Zum Inhalt

Eine ungewöhnliche Ursache für eine Nierentransplantation

Zusammenfassung

Hintergrund

Systemische Amyloidosen stellen eine heterogene Gruppe seltener Erkrankungen dar, die durch Ablagerungen fehlgefalteter Proteine charakterisiert sind. Die Serum Amyloid A-(AA)-Amyloidose ist Folge chronischer Inflammationsprozesse, wobei das Vorliegen autoinflammatorischer Erkrankungen, insbesondere des familiären Mittelmeerfiebers (FMF), eine der häufigsten Ursachen darstellt. Insbesondere bei Patient:innen aus Gebieten mit hoher Prävalenz und unklarer Niereninsuffizienz sollten genetisch bedingte autoinflammatorische Erkrankungen differenzialdiagnostisch berücksichtigt werden.

Fallbericht

Wir berichten über den Fall einer 50-jährigen Patientin armenischer Herkunft mit Zustand nach Nierentransplantation 2022 bei terminaler Niereninsuffizienz unklarer Genese. Trotz adäquater Immunsuppression zeigte sich eine zunehmende Transplantatdysfunktion mit progredienter Proteinurie. Zusätzlich zeigten sich persistierend erhöhte serologische Entzündungsparameter – allerdings ohne begleitende klinische Symptome. In der wiederholten Transplantatbiopsie gelang letztlich mittels Kongorotfärbung der Nachweis glomerulärer Amyloidablagerungen; immunhistochemisch bestätigte sich eine AA-Amyloidose. Eine genetische Analyse ergab eine Compound-Heterozygotie im MEFV-Gen (Met694Val/Val726Ala). Wir stellten die Diagnose eines familiären Mittelmeerfiebers Typ II mit systemischer Amyloidose und initiierten eine antiinflammatorische Therapie mit Colchicin. Das Typ-II-FMF verläuft primär subklinisch und manifestiert sich erstmals über das Auftreten einer systemischen, meist renalen Typ-AA-Amyloidose.

Schlussfolgerung

Der vorliegende Fall verdeutlicht die Notwendigkeit einer sorgfältigen differenzialdiagnostischen Abklärung bei progredienter Niereninsuffizienz unklarer Genese in Kombination mit persistierender serologischer Inflammation. Bei terminaler Niereninsuffizienz unklarer Ursache und systemischen Entzündungszeichen sollte auch an seltene Ursachen wie eine AA-Amyloidose gedacht werden – insbesondere bei familiärer oder ethnisch bedingter Prädisposition kann eine genetische Diagnostik für FMF sinnvoll sein.
QR-Code scannen & Beitrag online lesen

Hinweis des Verlags

Der Verlag bleibt in Hinblick auf geografische Zuordnungen und Gebietsbezeichnungen in veröffentlichten Karten und Institutsadressen neutral.

Fallbericht

Eine 50-jährige Patientin stellte sich Ende 2023 aufgrund von Zephalgien und Übelkeit bei hypertensiver Entgleisung notfallmäßig über unsere zentrale Notaufnahme vor. Laborchemisch zeigten sich eine akut-auf-chronische Nierentransplantatfunktionsverschlechterung (Kreatinin 1,71 mg/dl, Baseline-Kreatinin 1,0 mg/dl) mit mittelgradiger Protein- und Albuminurie (Urin-Albumin-Kreatinin-Ratio 900 mg/g, Urin-Protein-Kreatinin-Ratio 1940 mg/g) und erhöhte Inflammationsparameter (CRP 74 mg/l). Initial hielten wir aufgrund genannter Klinik eine hypertensive Enzephalopathie, eine intrakranielle Blutung sowie einen Infekt unter Immunsuppression für wahrscheinliche Differenzialdiagnosen.
Die Patientin war im Jahr 2022 bei terminaler Niereninsuffizienz (CKD-Stadium 5, Dialysepflichtigkeit unklarer Genese seit 2014) einer Nierentransplantation unterzogen worden. Aufgrund von bilateralen Schrumpfnieren als Ausdruck einer lange bestehenden Nierenerkrankung im terminalen Zustand konnte eine Nierenbiopsie zur ätiologischen Sicherung nicht durchgeführt werden (siehe Abb. 1). Die aktuelle immunsuppressive Therapie umfasste Prednisolon (5 mg), den Calcineurininhibitor Tacrolimus (5 mg 1‑0-1) sowie den mTOR-Inhibitor Everolimus (3 mg 1‑0-1).
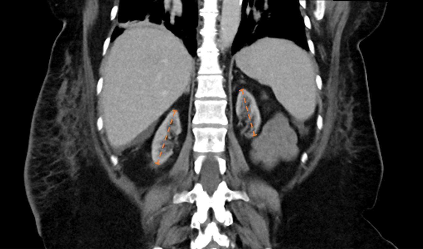
Abb. 1
Computertomographie des Abdomens nach erfolgter Nierentransplantation im Oktober 2022. Dargestellt sind bilaterale Schrumpfnieren, rechts 64 mm und links 58 mm im Längsdurchmesser
Bild vergrößern
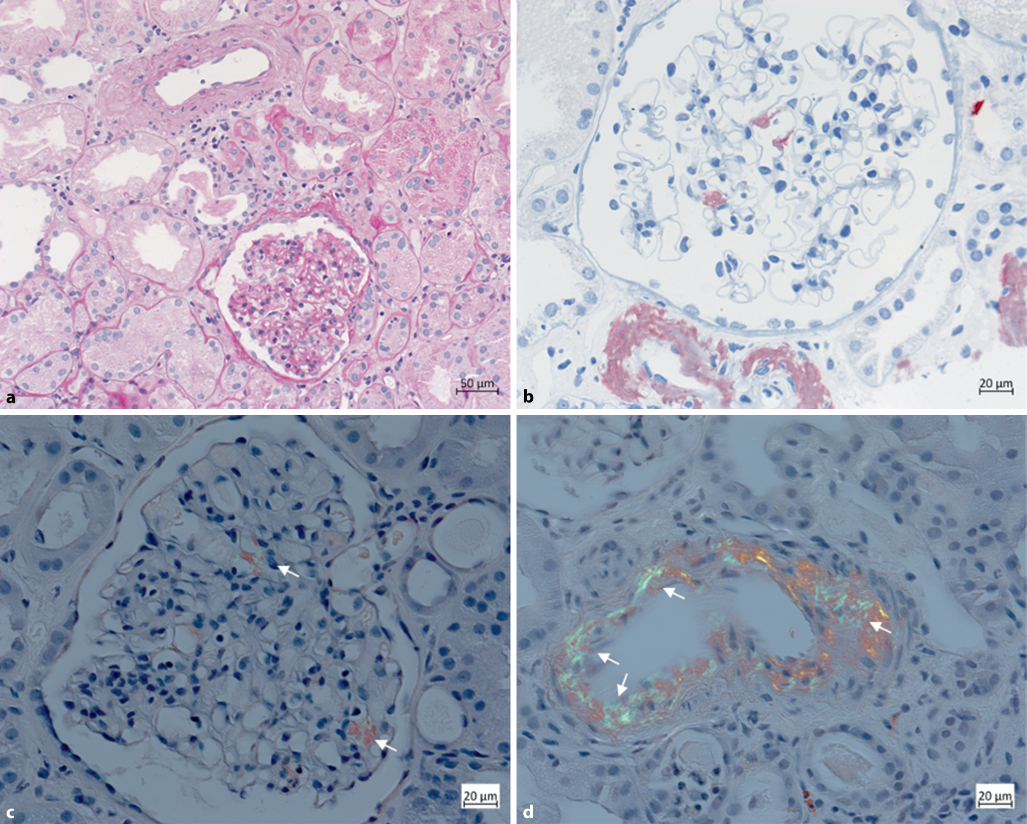
Die Immunsuppressivaspiegel lagen zum Zeitpunkt der aktuellen Vorstellung im Zielbereich (Tacrolimus: 5,7 µg/l, Ziel 5–7 µg/l; Everolimus: 4,3 µg/l, Ziel 4–6 µg/l). Wir stellten die Indikation zur Biopsie der Transplantatniere, in welcher sich histologisch eine mittelgradige zelluläre Rejektion mit Infiltraten an der Markrindengrenze und eine mittelgradige interstitielle Fibrose mit Tubulusatrophie (IFTA) zeigten. Eine Intensivierung der immunsuppressiven Therapie mittels Prednisolonstoß und Steigerung der Immunsuppressiva folgte. Im November 2024 erfolgte eine erneute Hospitalisierung der Patientin. Aufgrund einer anhaltenden Nierenfunktionseinschränkung (Kreatinin 2,03 mg/dl) stellten wir die Indikation zur Rebiopsie. In der histopathologischen Untersuchung der Rebiopsie kamen in der Kongorotfärbung glomeruläre und vaskuläre Ablagerungen von Amyloid mit typischem „apfelgrünem“ Erscheinungsbild in der Polarisationsmikroskopie zur Darstellung (siehe Abb. 2c,d). In der Immunhistochemie gelang der Nachweis von Amyloid A (siehe Abb. 2b).
Abb. 2
Nierenbiopsie der Transplantatniere: a PAS-Färbung, b immunhistochemische Färbung mit Nachweis von SAA-Ablagerungen, c Kongorotfärbung unter dem Polarisationsmikroskop mit glomerulären Amyloidablagerungen, d Kongorotfärbung unter dem Polarisationsmikroskop mit vaskulären Amyloidablagerungen, Pfeile markieren diskrete glomeruläre in c und mäßiggradige vaskuläre Amyloidablagerungen in d mit typischer doppelbrechender, apfelgrüner Farbe
Bild vergrößern
Nach retrospektiver Beurteilung des Krankheitsverlaufs fiel auf, dass die Patientin seit Erstvorstellung in unserer Klinik (Februar 2022, Transplantation Oktober 2022) zu keinem Zeitpunkt normwertige serologische inflammatorische Marker (CRP und Leukozyten) aufwies (siehe Abb. 3). Eindrucksvollerweise berichtete die Patientin, subjektiv vollkommen beschwerdefrei zu sein. In der Familienanamnese gab es keine Hinweise auf autoimmunologische oder autoinflammatorische Erkrankungen. In der Vergangenheit war die Patientin einer Appendektomie unterzogen worden. Der darüber hinaus bestimmte Serum-Amyloid-A-Wert lag deutlich oberhalb des oberen Referenzbereichs (SAA 126 mg/l, Referenzbereich < 8 mg/l).
Abb. 3
CRP-Verlauf seit Nierentransplantation im Oktober 2022 (Zeitpunkt 0)
Bild vergrößern
Abb. 4
Genotyp-Phänotyp-Korrelation beim familiären Mittelmeerfieber, adaptiert nach Kallinich et al. [25]
Bild vergrößern
Wir stellten die Diagnose einer systemischen Amyloidose vom Typ Serum-Amyloid A (AA-Amyloidose). Ein intravenöser Drogenabusus oder rezidivierende Infektionen lagen nicht vor.
Aufgrund des ethnischen Hintergrunds der Patientin (Geburtsland Armenien, 2014 Immigration) und der dortigen erhöhten Prävalenz des familiären Mittelmeerfiebers erfolgte eine genetische Untersuchung auf pathogene Varianten im MEFV-Gen. Hier zeigte sich eine Compound-Heterozygotie mit Nachweis der Varianten Met694Val und Val726Ala (Einstufung als hochpathogen anhand der ACMG/AMP-Kriterien und [1]). In Zusammenschau der Befunde stellten wir die Diagnose eines familiären Mittelmeerfiebers vom Typ II mit systemischer Amyloidose vom Typ AA. Eine antiinflammatorische Therapie mit Colchicin (0,5 mg 1‑0-1) wurde eingeleitet. Hierunter kam es zu einem deutlichen Abfall des SAA auf 18,3 mg/l (Referenzbereich < 8 mg/l). In der weiterführenden Diagnostik fiel echokardiographisch eine konzentrische, linksventrikuläre (LV) Hypertrophie (interventrikuläres Septum diastolisch [IVSd] 27,0 mm, LV-Masse 290 g) mit höhergradiger diastolischer Dysfunktion (E/A 0,77) auf. In der kardialen MRT-Bildgebung konnte bei ischämischem Late-Gadolinium-Enhancement (LGE) inferolateral eine myokardiale Beteiligung nicht bestätigt werden. Wir werteten die LV-Hypertrophie demnach im Rahmen der langjährigen, unkontrollierten arteriellen Hypertonie und Dialysepflichtigkeit. Hinweise auf weitere Organbeteiligungen (GI-Trakt, Milz, Polyneuropathie) ergaben sich anhand des klinischen Bilds und bildgebender Befunde nicht.

Diskussion

AA-Amyloidose

Amyloidosen stellen eine heterogene Gruppe von seltenen Erkrankungen dar, bei denen es zur lokalen oder systemischen Ablagerung von fehlgefalteten Proteinen und nachfolgender teils irreversibler Organschädigung kommt [2]. Zum heutigen Zeitpunkt sind 42 amyloidogene Proteine beschrieben [3]. Aufseiten der systemischen Amyloidosen stellen die Leichtkettenamyloidose (AL-Amyloidose), die Serum-Amyloid-A-Amyloidose (AA-Amyloidose), die Transthyretin-Amyloidose (ATTR-Amyloidose, Wildtyp [ATTRwt] oder hereditär [ATTRv]) und die β2-Mikroglobulin(β2M)-Dialyse-assoziierte Amyloidose die relevantesten Erkrankungsbilder dar.
AA-Amyloidosen, die etwa 12 % der systemischen Amyloidosen ausmachen, entstehen überwiegend infolge chronisch-entzündlicher Erkrankungen und chronischer Infektionen, die mit einer langanhaltenden starken Erhöhung des Akute-Phase-Proteins Serum-Amyloid A (SAA) einhergehen [2]. Zu den häufigsten assoziierten Erkrankungen zählen chronisch-entzündliche rheumatische Erkrankungen (z. B. rheumatoide Arthritis), chronisch-entzündliche Darmerkrankungen sowie autoinflammatorische Syndrome wie das familiäre Mittelmeerfieber (siehe Tab. 1; [4]). In Regionen mit hoher Infektionsprävalenz sind chronische Infektionen wie Tuberkulose, Osteomyelitis und chronische Hautinfektionen relevante Ursachen. Eine unterschiedliche Häufigkeit der jeweiligen Ursache sollte je nach geografischer Lage berücksichtigt werden.
Tab. 1
Ursachen der AA-Amyloidose.
Ursache
Beispiele Erkrankung
Häufigkeit (in %)
Referenz
Autoimmune, rheumatologische Systemerkrankungen
Rheumatoide Arthritis, juvenile idiopathische Arthritis, axiale Spondylarthritis, Psoriasisarthritis
30–40
[24, 3133]
Chronische Infektionen
Bronchiektase, Tuberkulose, Osteomyelitis, chronische Harnwegsinfektionen, Lepra, HIV
5–20
[31, 32, 34, 35]
Intravenöser Drogenabusus
10
[33, 36]
Monogenetische autoinflammatorische Erkrankungen
Familiäres Mittelmeerfieber, TNF-Rezeptor-assoziiertes periodisches Syndrom (TRAPS), cryopyrinassoziiertes periodisches Syndrom (CAPS)
5–25
[24, 31, 32, 34]
Maligne Erkrankungen
Lymphom, Nierenzellkarzinom, Adenokarzinom der Lunge, Niere, Magen-Darm-Trakt
2–7
[31, 34, 37]
Chronisch-entzündliche Darmerkrankungen
Morbus Crohn, Colitis ulcerosa
2–7
[31, 32, 34]
Idiopathisch
Ursache nicht kausal identifiziert
10–15
[24, 31, 32, 34]
Pathophysiologisch kommt es unter dem Einfluss proinflammatorischer Zytokine (insbesondere IL‑1, IL‑6, TNF-α) zu einer vermehrten Produktion von SAA in der Leber [5]. Persistierend erhöhte SAA-Konzentrationen im Blutkreislauf führen im Tiermodell zu einer beschleunigten Entstehung einer AA-Amyloidose. Dabei korrelieren höhere SAA-Spiegel mit einer schnelleren Krankheitsprogression [6]. Nur ein Teil der Patient:innen mit chronisch erhöhtem SAA entwickelt eine Amyloidose. Risikofaktoren hierfür sind die Dauer und Höhe der SAA-Erhöhung sowie genetische Polymorphismen im Gen SAA1 [7, 8]. In bis zu 20 % der Fälle bleibt die Ursache der AA-Amyloidose unklar (idiopathisch), wobei genetische Faktoren eine Rolle spielen können [9].
Klinisch kommt es bei über 90 % der Patient:innen mit AA-Amyloidose zu einer renalen Beteiligung [5]. In der frühen Krankheitsphase liegt häufig lediglich eine milde Proteinurie (Protein-Kreatinin-Ratio 100–300 mg/g) vor. Bei Fortschreiten der Erkrankung kann es zunächst zu einer moderaten Proteinurie (Protein-Kreatinin-Ratio 300–1000 mg/g) und schließlich zur typischen Manifestation des nephrotischen Syndroms (Protein-Kreatinin-Ratio > 3500 mg/g) sowie zu einer terminalen Niereninsuffizienz kommen. Auch die in 70 % der Fälle bestehende gastrointestinale Beteiligung zeigt sich häufig initial asymptomatisch, wobei im fortgeschrittenen Verlauf Malabsorptionssyndrome, chronische Diarrhöen und progrediente Kachexie auftreten können [5]. Eine kardiale Beteiligung im Rahmen der AA-Amyloidose ist im Vergleich zur AL- oder ATTR-Amyloidose eher seltener und liegt in etwa 10 % der Fälle vor [5]. Die Diagnose kann durch den histopathologischen Nachweis von Amyloid in der Kongorotfärbung und Amyloidfibrillen in der Elektronenmikroskopie gestellt werden [5]. Besonders geeignete Lokalisationen für eine Biopsie sind hierbei Bauchfett, Niere, Duodenum und Rektum. Die empfohlene Therapie der AA-Amyloidose besteht primär in der konsequenten Kontrolle und Behandlung der zugrunde liegenden chronisch-entzündlichen Erkrankung, um die Produktion des Serum-Amyloid-A-Proteins (SAA) zu senken.

Familiäres Mittelmeerfieber

Das familiäre Mittelmeerfieber (FMF) ist eine autoinflammatorische Erkrankung, die auf pathogenen Mutationen im Mediterranean-fever-Gen (MEFV; kodierendes Protein „Pyrin“) beruht. Typische klinische Manifestationen sind Bauchschmerzen (Peritonitis), Brustschmerzen (Pleuritis, seltener Perikarditis), Arthritis und gelegentlich erysipelartige Hautveränderungen. Die Attacken dauern in der Regel 12–72 h und treten meist im Kindes- oder Jugendalter erstmals auf, können aber auch im Erwachsenenalter auftreten [10]. Zwischen den Schüben sind die Betroffenen in der Regel beschwerdefrei. Im Rahmen der Schübe zeigt sich typischerweise eine Erhöhung der Inflammationsparameter (C-reaktives Protein [CRP], SAA, IL-18), wobei in Einzelfällen auch bei asymptomatischen Patient:innen eine serologische Inflammation nachweisbar sein kann (Abb. 2; [11]). Historisch betrachtet wurde lange Zeit von einem klassischen autosomal-rezessiven Vererbungsmechanismus ausgegangen [12]. Mittlerweile geht man jedoch davon aus, dass eine Genotyp-Phänotyp-Korrelation bzw. Gendosis-Wirkungs-Beziehung mit einem Krankheitskontinuum besteht, wobei die Erkrankung auch bei Vorliegen einer einzelnen pathogenen Variante manifest werden kann [1315]. Die vier bisher beschriebenen und validiert hochpathogenen Varianten sind M694V, M680I, M694I und V726A [16]. Die Heterozygotenfrequenz für MEFV-Mutationen ist in einigen Ländern des Mittelmeerraums (darunter Israel, Türkei, Armenien) am höchsten und liegt bei 1:5 bis 1:7 [14, 17].
Auf Grundlage klinischer und genetischer Merkmale können zum aktuellen Zeitpunkt drei verschiedene FMF-Typen (Typ I, II und III) differenziert werden [12, 18]. Das Typ-I-FMF kennzeichnet sich durch FMF-typische Beschwerden (Fieber und serositisassoziierte Beschwerden), das Typ-II-FMF verläuft primär subklinisch und manifestiert sich erstmals über das Auftreten einer systemischen, meist renalen, Typ-AA-Amyloidose [12]. Patient:innen mit Typ-II-FMF haben in aller Regel keine typischen Beschwerden (s. oben) und sind meist beschwerdefrei. Laborchemisch fallen erhöhte Inflammationsparameter auf. Eine infektiologische Abklärung bleibt in der Regel erfolglos. Im Verlauf der Krankheitshistorie entwickeln Patient:innen nach vielen Jahren eine AA-Amyloidose, welche sich initial über eine Proteinurie oder Nierenfunktionsverschlechterung bemerkbar macht. Das typische Alter, in dem Patient:innen mit Typ-II-FMF eine terminale Niereninsuffizienz mit Dialysepflichtigkeit entwickeln, liegt meist zwischen dem 20. und 40. Lebensjahr. Die Progression zur Dialysepflichtigkeit hängt stark von genetischen Faktoren (insbesondere M694V-Mutationen) sowie dem Zeitpunkt der Diagnosestellung und Therapiecompliance ab [19]. Ein Typ-III-FMF liegt bei Erwachsenen vor, bei denen trotz Nachweis von zwei hochpathogenen Mutationen (homo- oder heterozygot) weder klinische FMF-Beschwerden noch eine Amyloidose vorliegen [18]. Die Diagnosestellung erfolgt anhand der Eurofever-PRINTO-Kriterien (siehe Tab. 2; [20]).
Tab. 2
Eurofever-PRINTO-Kriterien [20].
Vorhandensein eines bestätigten MEFV-Genotyps* und mindestens einer der folgenden Punkte:
Dauer der Episoden 1–3 Tage
Arthritis
Thorakale Schmerzen
Abdominelle Schmerzen
Vorhandensein eines nicht bestätigten MEFV-Genotyps und mindestens zwei der folgenden Punkte:
Dauer der Episoden 1–3 Tage
Arthritis
Thorakale Schmerzen
Abdominelle Schmerzen
Sensitivität: 0,94
Spezifität: 0,95
„Accuracy“: 0,98
*Nachweis einer „pathogenic“ Variante oder „likely pathogenic“-Variante.
In trans compound-heterozygot für eine pathogene MEFV-Variante und eine Variante unklarer Signifikanz (VUS) oder biallelisch VUS oder heterozygot für eine pathogene MEFV-Variante.
Die Entstehung einer AA-Amyloidose stellt die schwerste Langzeitkomplikation des FMF dar und verdeutlicht die enge Assoziation der beiden Erkrankungen [21, 22]. Das Risiko, eine AA-Amyloidose zu entwickeln, wird in erster Linie durch genetische Faktoren bestimmt, insbesondere durch die jeweilige Variante im MEFV-Gen [12, 23]. Dabei ist die pathogene Variante M694V, insbesondere im homozygoten Zustand, der wichtigste genetische Risikofaktor, der im Vergleich zu anderen Genotypen ein deutlich erhöhtes Amyloidoserisiko mit sich bringt [23]. Ein zusätzliches Risiko geht von bestimmten SAA1-Genotypen aus, insbesondere SAA1.1/1.1, was die Auftretenswahrscheinlichkeit für eine Amyloidose bei FMF-Patienten weiter erhöht [24, 25]. In einer prospektiven Langzeitstudie von Lachmann et al., in der 374 Patient:innen mit AA-Amyloidose untersucht wurden, korrelierte die Höhe der SAA-Spiegel signifikant mit der renalen Prognose, dem „amyloid burden“ und der Mortalität [26]. Bei 60 % der Patient:innen mit normwertigen SAA-Werten zeigte sich eine Regredienz der Amyloidablagerungen im Verlauf [26].
In der Therapie des FMF ist Colchicin der Grundbaustein in der Anfallsprävention und der Amyloidoseprophylaxe [27]. Eine lebenslange tägliche Colchicintherapie (in der Regel 1,0–3,0 mg/Tag bei Erwachsenen, mit Dosisanpassung bei Nieren- oder Leberfunktionsstörungen) ist meist wirksam in der Verhinderung von Amyloidablagerungen und des weiteren Fortschreitens bei Vorliegen einer chronischen Niereninsuffizienz, insbesondere bei Hochrisikogenotypen wie M694V-Homozygoten [26]. Eine Colchicinresistenz1 oder die Nichteinhaltung der Therapie erhöht das Risiko einer Amyloidose deutlich. In colchicinresistenten Fällen sollte eine zusätzliche Interleukin-1(IL-1)-Blockade mittels Anakinra oder Canakinumab erfolgen [27, 28]. Im Falle von anhaltend erhöhten SAA-Werten sollte ebenso die Compliance der Medikamenteneinnahme kritisch geprüft werden.
Eine engmaschige Überwachung der Proteinurie und eine regelmäßige Beurteilung der Nierenfunktionsparameter sind bei FMF-Patient:innen unerlässlich, insbesondere bei Hochrisikogenotypen oder insuffizientem Ansprechen auf Colchicin. Eine klinische Schubfreiheit sowie vollständige Normalisierung der serologischen Inflammationsparameter (CRP, SAA) sollte angestrebt werden [27]. Bei Auftreten einer renalen AA-Amyloidose mit terminaler Niereninsuffizienz sollte eine Nierentransplantation erwogen werden, sofern die Grunderkrankung gut eingestellt ist. Eine retrospektive Analyse von 86 Patient:innen, die aufgrund einer AA-Amyloidose nierentransplantiert wurden (hiervon 43 % mit FMF), zeigt insgesamt ein sehr gutes Gesamt- sowie Transplantatüberleben mit einer histologisch gesicherten Rekurrenz der AA-Amyloidose in 5,8 % der Gesamtkohorte [29]. Eine weitere monozentrische retrospektive Analyse von 17 Patient:innen nach Nierentransplantation bei FMF mit AA-Amyloidose ergab ein 89 %iges Graft- und 90 %iges Patient:innenüberleben nach 5 Jahren unter Colchicintherapie [30]. Unter konsequenter antiinflammatorischer Therapie ergibt sich bei Patient:innen somit eine geringe Rekurrenz im Nierentransplantat und ein ausgezeichnetes Langzeitüberleben.
Zusammenfassend sollte bei Patient:innen mit unklarer chronischer Nierenerkrankung und (sub-)klinischer Inflammation differenzialdiagnostisch eine AA-Amyloidose in Betracht gezogen werden. Eine entsprechende genetische Panel-Diagnostik kann bei unklarer chronischer Nierenerkrankung initiiert und über die gesetzliche Krankenkasse abgerechnet werden. Das familiäre Mittelmeerfieber ist bei entsprechendem ethnischem Hintergrund eine häufige Ursache.

Fazit für die klinische Praxis

  • AA-Amyloidose als Differenzialdiagnose bei unklarer CKD: Bei Patient:innen mit chronischer Niereninsuffizienz unklarer Genese und persistierenden Entzündungszeichen sollte frühzeitig auch an eine AA-Amyloidose gedacht werden.
  • Familiäres Mittelmeerfieber (FMF) kann sich primär über eine Amyloidose manifestieren (Typ II): Ein FMF sollte auch bei zunächst fehlender typischer Klinik als Ursache einer systemischen AA-Amyloidose in Erwägung gezogen werden. Typ II manifestiert sich ausschließlich über die Amyloidose – die genetische Diagnostik ist essenziell.
  • SAA als zentraler Verlaufsparameter: Dauerhaft erhöhte Serum-Amyloid-A-Werte sind ein sensitiver Marker für das Risiko einer Amyloidose und sollten routinemäßig bei Verdacht auf autoinflammatorische Erkrankungen bestimmt und kontrolliert werden.
  • Histologie bleibt Goldstandard zur Diagnosesicherung: Trotz moderner Bildgebung und Serologie ist der histologische Kongorotnachweis mit immunhistochemischer Typisierung (z. B. AA) der entscheidende Schritt zur Diagnosesicherung bei Amyloidoseverdacht – auch im Rahmen einer Rebiopsie nach Nierentransplantation.

Einhaltung ethischer Richtlinien

Interessenkonflikt

P. Kremer, T. Wiech, I. Kötter, M. Kluger, T. Huber, M. Krusche und T. Xiong geben an, dass kein Interessenkonflikt besteht.
Für diesen Beitrag wurden von den Autor/-innen keine Studien an Menschen oder Tieren durchgeführt. Für die aufgeführten Studien gelten die jeweils dort angegebenen ethischen Richtlinien. Für Bildmaterial oder anderweitige Angaben innerhalb des Manuskripts, über die Patient/-innen zu identifizieren sind, liegt von ihnen und/oder ihren gesetzlichen Vertretern/Vertreterinnen eine schriftliche Einwilligung vor.
Open Access Dieser Artikel wird unter der Creative Commons Namensnennung 4.0 International Lizenz veröffentlicht, welche die Nutzung, Vervielfältigung, Bearbeitung, Verbreitung und Wiedergabe in jeglichem Medium und Format erlaubt, sofern Sie den/die ursprünglichen Autor(en) und die Quelle ordnungsgemäß nennen, einen Link zur Creative Commons Lizenz beifügen und angeben, ob Änderungen vorgenommen wurden. Die in diesem Artikel enthaltenen Bilder und sonstiges Drittmaterial unterliegen ebenfalls der genannten Creative Commons Lizenz, sofern sich aus der Abbildungslegende nichts anderes ergibt. Sofern das betreffende Material nicht unter der genannten Creative Commons Lizenz steht und die betreffende Handlung nicht nach gesetzlichen Vorschriften erlaubt ist, ist für die oben aufgeführten Weiterverwendungen des Materials die Einwilligung des jeweiligen Rechteinhabers einzuholen. Weitere Details zur Lizenz entnehmen Sie bitte der Lizenzinformation auf http://creativecommons.org/licenses/by/4.0/deed.de.

Hinweis des Verlags

Der Verlag bleibt in Hinblick auf geografische Zuordnungen und Gebietsbezeichnungen in veröffentlichten Karten und Institutsadressen neutral.
Download
Titel
Eine ungewöhnliche Ursache für eine Nierentransplantation
Verfasst von
Phillip Kremer
Thorsten Wiech
Ina Kötter
Malte Kluger
Tobias Huber
Martin Krusche
Tingting Xiong
Publikationsdatum
18.11.2025
1
Definition der Colchicinresistenz nach EULAR: Eine Colchicinresistenz liegt vor, wenn unter adäquater Colchicindosis und guter Adhärenz weiterhin durchschnittlich ≥ 1 Schub/Monat über mindestens drei Monate oder persistierende Entzündungszeichen bestehen.
 
2.
Zurück zum Zitat Wechalekar AD, Gillmore JD, Hawkins PN (2016) Systemic Amyloidosis. Lancet 387:2641–2654. https://doi.org/10.1016/S0140-6736(15)01274-XCrossRefPubMed
3.
Zurück zum Zitat Buxbaum JN, Dispenzieri A, Eisenberg DS, Fändrich M, Merlini G, Saraiva MJM, Sekijima Y, Westermark P (2022) Amyloid Nomenclature 2022: Update, Novel Proteins, and Recommendations by the International Society of Amyloidosis (ISA) Nomenclature Committee. Amyloid Int J Exp Clin Investig Off J Int Soc Amyloidosis 29:213–219. https://doi.org/10.1080/13506129.2022.2147636CrossRef
4.
Zurück zum Zitat Brunger AF, Nienhuis HLA, Bijzet J, Hazenberg BPC (2020) Causes of AA Amyloidosis: A Systematic Review. Amyloid Int J Exp Clin Investig Off J Int Soc Amyloidosis 27:1–12. https://doi.org/10.1080/13506129.2019.1693359CrossRef
5.
Zurück zum Zitat Blank N, Hegenbart U, Schönland S (2016) Ursachen und Therapie der systemischen AA-Amyloidose. Z Rheumatol 75:141–150. https://doi.org/10.1007/s00393-015-0024-8CrossRefPubMed
6.
Zurück zum Zitat Simons JP, Al-Shawi R, Ellmerich S, Speck I, Aslam S, Hutchinson WL, Mangione PP, Disterer P, Gilbertson JA, Hunt T et al (2013) Pathogenetic Mechanisms of Amyloid A Amyloidosis. Proc Natl Acad Sci U S A 110:16115–16120. https://doi.org/10.1073/pnas.1306621110CrossRefPubMedPubMedCentral
7.
Zurück zum Zitat Blank N, Hegenbart U, Lohse P, Beimler J, Röcken C, Ho AD, Lorenz H‑M, Schönland SO (2015) Risk Factors for AA Amyloidosis in Germany. Amyloid Int J Exp Clin Investig Off J Int Soc Amyloidosis 22:1–7. https://doi.org/10.3109/13506129.2014.980942CrossRef
8.
Zurück zum Zitat van der Hilst JCH, Yamada T, Camp ODHJM, van der Meer JWM, Drenth JPH, Simon A (2008) Increased Susceptibility of Serum Amyloid A 1.1 to Degradation by MMP-1: Potential Explanation for Higher Risk of Type AA Amyloidosis. Rheumatol Oxf Engl 47:1651–1654. https://doi.org/10.1093/rheumatology/ken371CrossRef
9.
Zurück zum Zitat Sikora J, Kmochová T, Mušálková D, Pohludka M, Přikryl P, Hartmannová H, Hodaňová K, Trešlová H, Nosková L, Mrázová L et al (2022) A Mutation in the SAA1 Promoter Causes Hereditary Amyloid A Amyloidosis. Kidney Int 101:349–359. https://doi.org/10.1016/j.kint.2021.09.007CrossRefPubMed
10.
Zurück zum Zitat Krusche M, Kallinich T (2022) Autoinflammation – Unterschiede bei Kindern und Erwachsenen. Z Rheumatol 81:45–54. https://doi.org/10.1007/s00393-021-01115-yCrossRefPubMed
11.
Zurück zum Zitat Sohar E, Gafni J, Pras M, Heller H (1967) Familial Mediterranean Fever. A Survey of 470 Cases and Review of the Literature. Am J Med 43:227–253. https://doi.org/10.1016/0002-9343(67)90167-2CrossRefPubMed
12.
Zurück zum Zitat Shohat M, Halpern GJ (2011) Familial Mediterranean Fever—A Review. Genet Med 13:487–498. https://doi.org/10.1097/GIM.0b013e3182060456CrossRefPubMed
13.
Zurück zum Zitat Kallinich T, Blank N, Braun T, Feist E, Kiltz U, Neudorf U, Oommen PT, Weseloh C, Wittkowski H, Braun J (2019) Evidenzbasierte Therapieempfehlungen für das familiäre Mittelmeerfieber: Eine gemeinsame Stellungnahme der Gesellschaft für Kinder- und Jugendrheumatologie und der Deutschen Gesellschaft für Rheumatologie. Z Rheumatol 78:91–101. https://doi.org/10.1007/s00393-018-0588-1CrossRefPubMed
14.
Zurück zum Zitat Marek-Yagel D, Berkun Y, Padeh S, Abu A, Reznik-Wolf H, Livneh A, Pras M, Pras E (2009) Clinical Disease among Patients Heterozygous for Familial Mediterranean Fever. Arthritis Rheum 60:1862–1866. https://doi.org/10.1002/art.24570CrossRefPubMed
15.
Zurück zum Zitat Ozen S (2009) Changing Concepts in Familial Mediterranean Fever: Is It Possible to Have an Autosomal-Recessive Disease with Only One Mutation? Arthritis Rheum 60:1575–1577. https://doi.org/10.1002/art.24565CrossRefPubMed
16.
Zurück zum Zitat Infevers—Tabular List. https://infevers.umai-montpellier.fr/web/search.php?n=1. Zugegriffen: 25. Juni 2025
17.
Zurück zum Zitat Jéru I, Hentgen V, Cochet E, Duquesnoy P, Le Borgne G, Grimprel E, Stojanovic KS, Karabina S, Grateau G, Amselem S (2013) The Risk of Familial Mediterranean Fever in MEFV Heterozygotes: A Statistical Approach. Plos One 8:e68431. https://doi.org/10.1371/journal.pone.0068431CrossRefPubMedPubMedCentral
18.
Zurück zum Zitat Soriano A, Manna R (2012) Familial Mediterranean Fever: New Phenotypes. Autoimmun Rev 12:31–37. https://doi.org/10.1016/j.autrev.2012.07.019CrossRefPubMed
19.
Zurück zum Zitat Bektas M, Koca N, Oguz E, Sari S, Dagci G, Ince B, Ozer PK, Agargun BF, Yalcinkaya Y, Artim-Esen B et al (2024) Characteristics and Course of Patients with AA Amyloidosis: Single Centre Experience with 174 Patients from Turkey. Rheumatol Oxf Engl 63:319–328. https://doi.org/10.1093/rheumatology/kead465CrossRef
20.
Zurück zum Zitat Gattorno M, Hofer M, Federici S, Vanoni F, Bovis F, Aksentijevich I, Anton J, Arostegui JI, Barron K, Ben-Cherit E et al (2019) Classification Criteria for Autoinflammatory Recurrent Fevers. Ann Rheum Dis 78:1025–1032. https://doi.org/10.1136/annrheumdis-2019-215048CrossRefPubMed
21.
Zurück zum Zitat Bekis Bozkurt H, Yıldırım S, Ergüven M (2023) Renal Involvement, Presence of Amyloidosis, and Genotype–Phenotype Relationship in Pediatric Patients with Familial Mediterranean Fever: A Single Center Study. Eur J Pediatr 182:1911–1919. https://doi.org/10.1007/s00431-023-04855-yCrossRefPubMed
22.
Zurück zum Zitat Blank N, Kötter I, Schmalzing M, Rech J, Krause K, Köhler B, Kaudewitz D, Nitschke M, Haas CS, Lorenz H‑M et al (2023) Clinical Presentation and Genetic Variants in Patients with Autoinflammatory Diseases: Results from the German GARROD Registry. Rheumatol Int 44:263–271. https://doi.org/10.1007/s00296-023-05443-xCrossRefPubMedPubMedCentral
23.
Zurück zum Zitat Mimouni A, Magal N, Stoffman N, Shohat T, Minasian A, Krasnov M, Halpern GJ, Rotter JI, Fischel-Ghodsian N, Danon YL et al (2000) Familial Mediterranean Fever: Effects of Genotype and Ethnicity on Inflammatory Attacks and Amyloidosis. Pediatrics 105:e70–e70. https://doi.org/10.1542/peds.105.5.e70CrossRefPubMed
24.
Zurück zum Zitat Blank N, Hegenbart U, Lohse P, Beimler J, Röcken C, Ho AD, Lorenz H‑M, Schönland SO (2015) Risk Factors for AA Amyloidosis in Germany. Amyloid Int J Exp Clin Investig Off J Int Soc Amyloidosis 22:1–7. https://doi.org/10.3109/13506129.2014.980942CrossRef
25.
Zurück zum Zitat Kallinich T, Orak B, Wittkowski H (2017) Rolle der Genetik beim familiären Mittelmeerfieber. Z Rheumatol 76:303–312. https://doi.org/10.1007/s00393-017-0265-9CrossRefPubMed
26.
Zurück zum Zitat Lachmann HJ, Goodman HJB, Gilbertson JA, Gallimore JR, Sabin CA, Gillmore JD, Hawkins PN (2007) Natural History and Outcome in Systemic AA Amyloidosis. N Engl J Med 356:2361–2371. https://doi.org/10.1056/NEJMoa070265CrossRefPubMed
27.
Zurück zum Zitat Ozen S, Sağ E, Oton T, Gül A, Sieiro SC, Bayraktar D, Proft FN, Lachmann HJ, Kuemmerle DJ, Gattorno M et al (2025) EULAR/PReS Endorsed Recommendations for the Management of Familial Mediterranean Fever (FMF): 2024 Update. Ann Rheum Dis 84:899–909. https://doi.org/10.1016/j.ard.2025.01.028CrossRefPubMed
28.
Zurück zum Zitat Kvacskay P, Hegenbart U, Lorenz H‑M, Schönland SO, Blank N (2024) bDMARD Can Prevent the Progression of AA Amyloidosis to End-Stage Renal Disease. Ann Rheum Dis 83:1200–1207. https://doi.org/10.1136/ard-2023-225114CrossRefPubMed
29.
Zurück zum Zitat Schwarz C, Georgin-Lavialle S, Lombardi Y, Marion O, Jambon F, Legendre C, Marx D, Levi C, Toure F, Le Quintrec M et al (2024) Kidney Transplantation in Patients With AA Amyloidosis: Outcomes in a French Multicenter Cohort. Am J Kidney Dis 83:329–339. https://doi.org/10.1053/j.ajkd.2023.07.020CrossRefPubMed
30.
Zurück zum Zitat Keven K, Sengul S, Kutlay S, Ekmekci Y, Anadol E, Nergizoglu G, Ates K, Erturk S, Erbay B (2004) Long-Term Outcome of Renal Transplantation in Patients with Familial Mediterranean Fever Amyloidosis: A Single-Center Experience. Transplant Proc 36:2632–2634. https://doi.org/10.1016/j.transproceed.2004.09.065CrossRefPubMed
31.
Zurück zum Zitat Mirioglu S, Uludag O, Hurdogan O, Kumru G, Berke I, Doumas SA, Frangou E, Gul A (2024) AA Amyloidosis: A Contemporary View. Curr Rheumatol Rep 26:248–259. https://doi.org/10.1007/s11926-024-01147-8CrossRefPubMedPubMedCentral
32.
Zurück zum Zitat Real De Asua D, Galvan JM, Filigghedu MT, Trujillo D, Costa R, Cadinanos J (2014) Systemic AA Amyloidosis: Epidemiology, Diagnosis, and Management. Clin Epidemiol. https://doi.org/10.2147/CLEP.S39981CrossRefPubMedPubMedCentral
33.
Zurück zum Zitat Vasstrand HJ, Raki M, Skrunes R, Leh S, Thomsen J, Gudmundsdottir H, Tveit A, Hartmann A, Reisæter AV, Åsberg A et al (2025) Epidemiology and Clinical Presentation of Kidney Amyloidosis Have Changed over the Past Three Decades: A Nationwide Population-Based Study. BMC Nephrol 26:272. https://doi.org/10.1186/s12882-025-04136-wCrossRefPubMedPubMedCentral
34.
Zurück zum Zitat Brunger AF, Nienhuis HLA, Bijzet J, Hazenberg BPC (2020) Causes of AA Amyloidosis: A Systematic Review. Amyloid 27:1–12. https://doi.org/10.1080/13506129.2019.1693359CrossRefPubMed
35.
Zurück zum Zitat Deshayes S, Aouba A, Grateau G, Georgin-Lavialle S (2021) Infections and AA Amyloidosis: An Overview. Int J Clin Pract 75:e13966. https://doi.org/10.1111/ijcp.13966CrossRefPubMed
36.
Zurück zum Zitat Lachmann HJ, Cohen O, Fontana M, Gilbertson J, Gillmore JD, Hawkins PN, Mahmood S, Naharro AM, Peet C, Ravichandran S et al (2024) Op0323 Causes of Aa Amyloidosis: Analysis of 952 Patients Seen at a Reference Centre Over 34 Years. Ann Rheum Dis 83:8–9. https://doi.org/10.1136/annrheumdis-2024-eular.2310CrossRef
37.
Zurück zum Zitat Bharati J, Lahoud OB, Jhaveri KD, Izzedine H (2023) AA Amyloidosis Associated with Cancers. Nephrol Dial Transplant 38:1366–1374. https://doi.org/10.1093/ndt/gfac217CrossRefPubMed

Passend zum Thema

APDS im Praxisalltag erkennen

Das klinische Bild von APDS ist heterogen mit erhöhter Infektanfälligkeit, Immunschwäche, Autoimmunität, Malignität, Allergien und Autoinflammation. Betroffene weisen zwar typische Laborabnormitäten auf, aber eine eindeutige Diagnose kann jedoch nur anhand einer genetischen Untersuchung gestellt werden.

Pathomechanismus – warum Betroffene unter APDS leiden

Ursache von APDS (Activated Phosphoinositide 3-Kinase Delta Syndrome) ist ein Gendefekt der zellulären Phosphoinositid-3-Kinase δ (PI3Kδ). Dieses Enzym gehört zur Familie der Kinasen und spielt eine zentrale Rolle bei der zellulären Signaltransduktion, insbesondere bei der Entwicklung und Funktion des Immunsystems.

ANZEIGE

Seltener Immundefekt: Activated Phosphoinositide 3-Kinase δ Syndrome (APDS)

Beim Activated Phosphoinositide 3-Kinase Delta Syndrome (APDS) handelt es sich um einen seltenen, schweren progredienten Immundefekt mit äußerst heterogener Symptomatik. Eine frühzeitige Diagnosestellung und Therapie ist für das Überleben der Patienten von entscheidender Bedeutung. 

Bildnachweise
Arzt untersucht Teenager an den Lymphknoten/© South_agency | GettyImages (Symbolbild mit Fotomodellen), Pathomechanismus APDS/© Pharming, Teenagerin sitzt im Bett, während sie hustet/© Vladimir Vladimirov | Getty Images (Symbolbild mit Fotomodell)