Zum Inhalt

Lungenarterienembolie als unerwartete Ursache einer traumatischen Subarachnoidalblutung

QR-Code scannen & Beitrag online lesen

Hinweis des Verlags

Der Verlag bleibt in Hinblick auf geografische Zuordnungen und Gebietsbezeichnungen in veröffentlichten Karten und Institutsadressen neutral.
CT
Computertomographie
ESC
Europäische Gesellschaft für Kardiologie
LAE
Lungenarterienembolie
RV
Rechter Ventrikel
SAB
Subarachnoidalblutung

Anamnese

Ein 65-jähriger Mann wurde aus einem externen Krankenhaus in unsere Notaufnahme verlegt aufgrund eines Schädel-Hirn-Traumas nach stattgehabter Synkope. In der externen CT-Diagnostik konnte, neben einer komplexen offenen Mittelgesichtsfraktur, eine Subarachnoidalblutung (SAB) nachgewiesen werden, sodass die Verlegung zur neurochirurgischen Überwachung und ggf. Therapie in unser Haus erfolgte.
Der Patient berichtete in der Notaufnahme von mehreren Synkopen am Morgen. Diese erfolgten im Sitzen am Arbeitsplatz und zuletzt auch nach dem Treppensteigen, mit anschließender Verletzungsfolge. Zudem bestünde seit mehreren Tagen eine Belastungsdyspnoe, und nach einer längeren Autofahrt habe er vor einigen Wochen auch Schmerzen im rechten Bein verspürt. Thorakale Schmerzen wurden verneint.

Untersuchung

Es zeigte sich in der Notaufnahme ein normotoner und tachykarder Patient (RR 121/62 mm Hg, HF 105/min). Am Kopf war eine kleine Wunde lateral der Orbita auffällig sowie ein ausgeprägtes Hämatom der linken Schläfe und Monokelhämatom. Es zeigten sich kein Wadendruckschmerz oder sonstige klinische Hinweise auf eine Thrombose.

Diagnostik

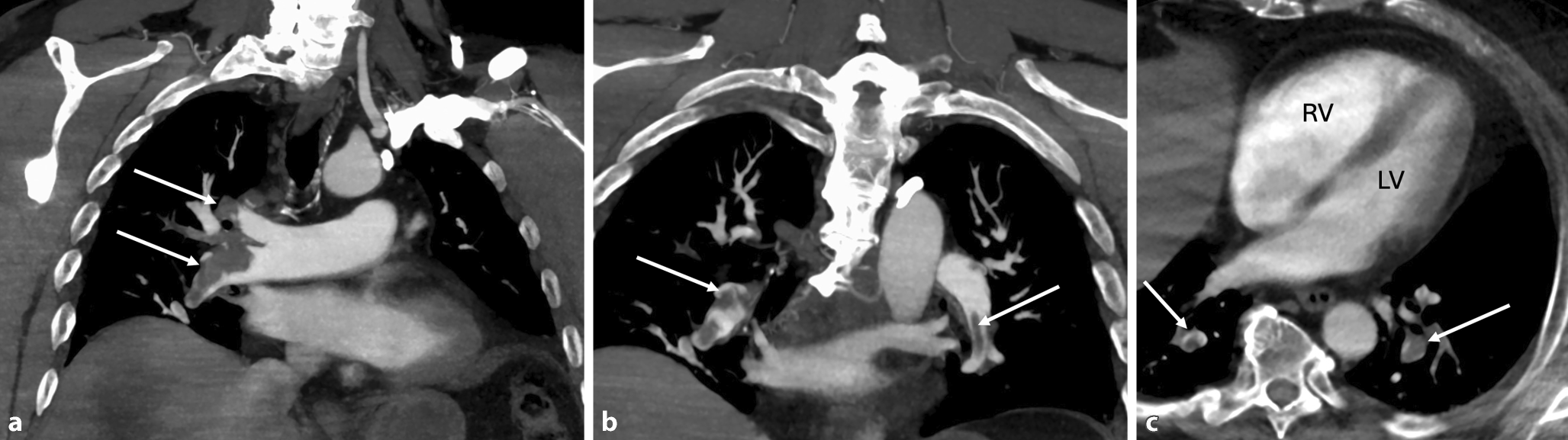
Das 12-Kanal-EKG ergab, bis auf eine Sinustachykardie, keinen wegweisenden Befund. Im Labor waren ein erhöhtes Troponin (153 ng/l, Normwert < 5 ng/l) und NT-proBNP (1250 pg/ml, Normwert < 125 pg/ml) auffällig. In der daraufhin erfolgten Echokardiographie ergaben sich Zeichen einer akuten Rechtsherzbelastung bei deutlich dilatiertem rechtem Ventrikel („RV/LV ratio“ 1,4) mit reduzierter Funktion (TAPSE 17 mm). In der danach durchgeführten CT des Thorax zeigte sich eine ausgeprägte zentrale Lungenembolie (LAE) mit hoher Thrombuslast (Abb. 1).
Abb. 1
CT des Thorax mit Kontrastmittel. a Darstellung der Lungenarterienembolie in der rechten Pulmonalarterie (Pfeil), b Darstellung der Lungenarterienembolie in der linken Pulmonalarterie (Pfeil), c Zeichen der Rechtsherzbelastung im CT bei im Verhältnis zum linken Ventrikel (LV) deutlich dilatiertem rechtem Ventrikel (RV). Periphere Thromben (Pfeil)
Bild vergrößern

Therapie und Verlauf

Es wurden nach Diagnosestellung und kurzer Rücksprache mit den behandelnden Neurochirurgen 5000 IE Heparin als Bolus appliziert. Nach den aktuellen Kriterien der Europäischen Gesellschaft für Kardiologie (ESC) lag bei dem Patienten eine Intermediate-high-risk-LAE vor [3]. Bei bereits bestehender Rechtsherzbelastung und hoher Thrombuslast bestand ein hohes Risiko für eine hämodynamische Verschlechterung und nachfolgende Lyseindikation, welche bei SAB kontraindiziert gewesen wäre. Zudem bestand allein durch die effektive Antikoagulation ein hohes Risiko für eine zerebrale Verschlechterung. Nach interdisziplinärer Fallbesprechung und ausführlicher Aufklärung des Patienten wurde sich daher für eine frühzeitige mechanische Thrombektomie entschieden. Diese erfolgte wenige Stunden nach Aufnahme mithilfe des FlowTriever System® (Inari Medical Inc., CA, USA). Hierbei wurde über einen venösen transfemoralen Zugang ein 24 F-Katheter in die Pulmonalarterien vorgebracht und ein Großteil der Thromben aspiriert (Abb. 2). Die Heparingabe wurde während der Intervention mit einer Ziel-ACT von 250 s fortgeführt. Der mittlere pulmonalarterielle Druck war vor der Intervention mit 28 mm Hg erhöht. Direkt nach der Thrombektomie zeigte sich dieser im Wesentlichen unverändert, was aber am ehesten der verbesserten Rechtsherzfunktion und systemisch hypertensiven Blutdruckwerten zuzuschreiben war. In der weiteren Überwachung auf der Intensivstation zeigte sich der Patient stabil und mit echokardiographisch gebesserter RV-Funktion. Die Antikoagulation erfolgte mittels Heparinperfusor und einer reduzierten Ziel-PTT von 50 s nach erfolgreicher Thrombektomie. Hierunter zeigte sich die SAB in den CT-Kontrollen stabil und der Patient war neurologisch unauffällig. Die RV-Funktion normalisierte sich nahezu vollständig bis zur Entlassung nach 11 Tagen.
Abb. 2
Thrombektomie. Mittels kathetergestützter Thrombektomie (FlowTriever, Inari Medical) entfernte Thromben aus den Pulmonalarterien
Bild vergrößern

Diskussion

Die akute Lungenembolie stellt eine lebensbedrohliche Differenzialdiagnose bei Patienten mit stattgehabter Synkope dar. Eine frühe Diagnosestellung ist essenziell und beeinflusst das weitere Management erheblich, vor allem wenn andere Diagnosen, wie im vorliegenden Fall, zunächst vordringlicher erscheinen. Ohne Kenntnis des Troponins und des Echokardiographiebefunds wäre im LAE-Wells-Score lediglich die Herzfrequenz > 100 als Kriterium positiv gewesen, mit resultierender geringer LAE-Wahrscheinlichkeit. Zusammen mit den anamnestischen Angaben (High-risk-Synkope, Dyspnoe, unklare Beinschmerzen) erhöhte sich die klinische Wahrscheinlichkeit für eine kardiale Ursache, was zu einer erweiterten Diagnostik und raschen Diagnosestellung geführt hat.
Hinsichtlich der LAE-Therapie haben sich in den letzten Jahren diverse interventionelle Verfahren etabliert, welche in Registerdaten und kleineren Studien vielversprechend erscheinen. Zu nennen sind als Optionen einerseits die lokale kathetergestützte Lysetherapie und die mechanische Thrombektomie. Die Ergebnisse der kürzlich publizierten PEERLESS-Studie zeigten in einer Intermediate-high-risk-Population für beide Verfahren eine sehr niedrige 30-Tages-Mortalität von 0,8 % bzw. 0,4 % [2], was vor allem im Vergleich zu früheren konservativen Studienergebnissen bemerkenswert niedrig ist. Daten aus größeren randomisierten Studien, in welchen die Verfahren mit den aktuellen Standardtherapien verglichen werden, sind in den kommenden Jahren zu erwarten. Während die 2019er ESC-Leitlinien eine interventionelle Therapie nur als Alternative zur Rescue-Lysetherapie empfahlen, wurde deren Rolle in einem Positionspapier der Deutschen Gesellschaft für Kardiologie aus dem Jahr 2023 gestärkt [1, 3]. Aufgrund der noch nicht eindeutigen Datenlage wurde hierbei der Stellenwert von interdisziplinären Besprechungen, bestenfalls in einem definierten Lungenembolieteam, bestärkt.

Fazit für die Praxis

  • Bei unklarer Synkope ist die Diagnose von lebensbedrohlichen Ursachen, neben der Behandlung der Sturzfolgen, eine wesentliche Aufgabe der klinischen Akutmedizin.
  • Die neuen interventionellen Verfahren zur Therapie der Lungenembolie bieten bereits heute die Möglichkeit, akut gefährdete und komplexe Patienten einer angepassten Therapie zuzuführen.

Einhaltung ethischer Richtlinien

Interessenkonflikt

J.U. Lindner, M.F. Ernst, C. Hackenbroch, U. Kizilkaya, J. Lührs und B. Hossfeld geben an, dass kein Interessenkonflikt besteht.
Für diesen Beitrag wurden von den Autor/-innen keine Studien an Menschen oder Tieren durchgeführt. Für die aufgeführten Studien gelten die jeweils dort angegebenen ethischen Richtlinien. Für Bildmaterial oder anderweitige Angaben innerhalb des Manuskripts, über die Patient/-innen zu identifizieren sind, liegt von ihnen und/oder ihren gesetzlichen Vertretern/Vertreterinnen eine schriftliche Einwilligung vor.
Open Access Dieser Artikel wird unter der Creative Commons Namensnennung 4.0 International Lizenz veröffentlicht, welche die Nutzung, Vervielfältigung, Bearbeitung, Verbreitung und Wiedergabe in jeglichem Medium und Format erlaubt, sofern Sie den/die ursprünglichen Autor(en) und die Quelle ordnungsgemäß nennen, einen Link zur Creative Commons Lizenz beifügen und angeben, ob Änderungen vorgenommen wurden. Die in diesem Artikel enthaltenen Bilder und sonstiges Drittmaterial unterliegen ebenfalls der genannten Creative Commons Lizenz, sofern sich aus der Abbildungslegende nichts anderes ergibt. Sofern das betreffende Material nicht unter der genannten Creative Commons Lizenz steht und die betreffende Handlung nicht nach gesetzlichen Vorschriften erlaubt ist, ist für die oben aufgeführten Weiterverwendungen des Materials die Einwilligung des jeweiligen Rechteinhabers einzuholen. Weitere Details zur Lizenz entnehmen Sie bitte der Lizenzinformation auf http://​creativecommons.​org/​licenses/​by/​4.​0/​deed.​de.

Hinweis des Verlags

Der Verlag bleibt in Hinblick auf geografische Zuordnungen und Gebietsbezeichnungen in veröffentlichten Karten und Institutsadressen neutral.

Unsere Produktempfehlungen

Notfall + Rettungsmedizin

Print-Titel

Praxisorientierte Leitthemen für die optimale Behandlung von Notfallpatientinnen und -patienten, interdisziplinäre Ansätze und Konzepte sowie praxisnahe Übersichten, Fallberichte, Leitlinien und Empfehlungen


e.Med Interdisziplinär

Kombi-Abonnement

Für Ihren Erfolg in Klinik und Praxis - Die beste Hilfe in Ihrem Arbeitsalltag

Mit e.Med Interdisziplinär erhalten Sie Zugang zu allen CME-Fortbildungen und Fachzeitschriften auf SpringerMedizin.de.

e.Dent – Das Online-Abo der Zahnmedizin

Online-Abonnement

Mit e.Dent erhalten Sie Zugang zu allen zahnmedizinischen Fortbildungen und unseren zahnmedizinischen und ausgesuchten medizinischen Zeitschriften.

Weitere Produktempfehlungen anzeigen
download
DOWNLOAD
print
DRUCKEN
Titel
Lungenarterienembolie als unerwartete Ursache einer traumatischen Subarachnoidalblutung
Verfasst von
Jakob U. Lindner
Mario F. Ernst
Carsten Hackenbroch
Ugurkan Kizilkaya
Jochen Lührs
Prof. Dr. med. Björn Hossfeld
Publikationsdatum
11.03.2025
1.
Zurück zum Zitat Ghanem A, Andrassy M, Dürschmied D et al (2023) Interventionelle Therapie und multidisziplinäre Managementstrategien für die akute Lungenembolie. Kardiologie 17:141–159. https://​doi.​org/​10.​1007/​s12181-023-00610-7CrossRef
2.
Zurück zum Zitat Jaber WA, Gonsalves CF, Stortecky S et al (2024) Large-bore mechanical thrombectomy versus catheter-directed thrombolysis in the management of intermediate-risk pulmonary embolism: primary results of the PEERLESS randomized controlled trial. Circulation 072364:124. https://​doi.​org/​10.​1161/​CIRCULATIONAHA.​124.​072364CrossRef
3.
Zurück zum Zitat Konstantinides SV, Meyer G, Becattini C et al (2020) 2019 ESC Guidelines for the diagnosis and management of acute pulmonary embolism developed in collaboration with the European Respiratory Society (ERS). Eur Heart J 41:543–603. https://​doi.​org/​10.​1093/​eurheartj/​ehz405CrossRefPubMed

Passend zum Thema

ANZEIGE

Antikoagulation bei hohem Blutungsrisiko – krebsassoziierte Thrombosen (CAT) richtig managen

Thrombosen verhindern und Blutungen vermeiden – eine patientengerechte Behandlung krebsassoziierter Thrombosen (CAT) erfordert beides. Doch was gibt es bei der individuellen Abwägung zwischen VTE- und Blutungsrisiko zu beachten?  Erfahren Sie im Video, welche klinischen Faktoren das Blutungsrisiko bestimmen, wie diese die Wahl der Antikoagulation beeinflussen und warum aktuelle Leitlinien für viele CAT-Patientenprofile niedermolekulare Heparine als Behandlungsoption empfehlen.

ANZEIGE

Frühstückssymposium: Wenn Antikoagulation auf den Magen schlägt

Antikoagulation und gastrointestinale Blutungen – zwei Seiten einer Medaille und Schwerpunkt des Frankfurter Gerinnungssymposiums. Sehen Sie, wie Prof. Dr. med. Martin Raithel und Prof. Dr. med. Sebastian Krug anhand anschaulicher Fallbeispiele und aktueller Leitlinien die Grenzen der oralen Antikoagulation, insbesondere im Kontext gastrointestinaler Tumorerkrankungen, beleuchten. 

ANZEIGE

3 Empfehlungen für niereninsuffiziente Patienten

Angesichts der Herausforderungen bei der Dosierung renal eliminierter Medikamente und dem Risiko erhöhter Nebenwirkungen bietet Prof. Dr. Lutz Renders nützliche Einblicke in die sichere Anwendung von Antikoagulanzien. Erfahren Sie, welche Substanzen bei chronischer Nierenerkrankung geeignet sind, wie man Risiken minimiert und die Dosierungsfehler vermeidet. Nutzen Sie die praxisnahen Tipps zur optimalen Patientenversorgung.

ANZEIGE

Management von Thromboembolien bei Krebspatienten

Die Thromboembolie ist neben Infektionen die zweithäufigste Todesursache bei Krebspatienten. Die Behandlung der CAT (cancer associated thrombosis) ist komplex und orientiert sich am individuellen Patienten. Angesichts einer Vielzahl zur Verfügung stehender medikamentöser Behandlungsoptionen finden Sie hier viele Informationen zur Therapieentscheidung auf Basis von Expertenempfehlungen.

LEO Pharma GmbH
Bildnachweise
Entfernte Thromben bei Lungenembolie /© Lindner JU et al. https://doi.org/10.1007/s10049-025-01500-z unter CC-BY 4.0, Teaserbild Blutungsrisko managen bei Antikoagulation - Waage/© Leo Pharma GmbH, Vortrag Frankfurter Gerinnungssymposium/© LEO Pharma GmbH (Screenshot aus Vortrag), 3 Empfehlungen für niereninsuffiziente Patienten/© LEO Pharma GmbH, Thrombus und Patientin im Gespräch/© crevis / adobe.stock.com (Symbolbild mit Fotomodell)