Zum Inhalt
Die Radiologie

Exogen-allergische Alveolitis

Die aktuelle S2k-Leitlinie aus radiologischer Sicht

Erschienen in:

Zusammenfassung

Die exogen-allergische Alveolitis (EAA) ist eine seltene, auf die Lunge beschränkte Erkrankung, der eine immunologisch bedingte Entzündungsreaktion des Lungenparenchyms und der terminalen Bronchioli zugrunde liegt. Die erste deutsche Leitlinie zur Diagnostik und Therapie der EAA ist im Jahr 2024 erschienen. Die Bildgebungsmethode der Wahl ist die High-Resolution-Computertomographie (HRCT). Radiologisch wird eine rein inflammatorische von einer fibrotischen EAA unterschieden. Bei Anzeichen des fibrotischen Typs in der HRCT sollte das quantitative Verhältnis zwischen der Inflammation und der Fibrose bestimmt und im Befund angegeben werden. Die Prognose hängt stark vom Ausmaß der Fibrose und dem Anteil sog. Honigwaben ab.
Dieser Beitrag erscheint in Ergänzung zu dem Themenheft 08/2024 Interstitielle Lungenerkrankungen. https://link.springer.com/journal/117/volumes-and-issues/64-8
QR-Code scannen & Beitrag online lesen

Hinweis des Verlags

Der Verlag bleibt in Hinblick auf geografische Zuordnungen und Gebietsbezeichnungen in veröffentlichten Karten und Institutsadressen neutral.
Die exogen-allergische Alveolitis (EAA) ist eine auf die Lunge beschränkte immunologisch komplex (Typ III und IV) bedingte Entzündungsreaktion des Lungenparenchyms und der terminalen Bronchioli. Sie wird in der überwiegenden Mehrheit durch die Inhalation von Antigenen bei zuvor sensibilisierten und genetisch prädisponierten Personen hervorgerufen. Es gibt unzählige Antigene, die als Auslöser fungieren können [3]. Als klassische Krankheitsbilder seien die Vogelhalterlunge (Auslöser: Proteine in Federn, Serum und Kot von Vögeln), die Farmerlunge (Auslöser: Bakterien, z. B. Thermoactinomyces vulgaris, und Pilze, z. B. Aspergillus fumigatus in Heu, Stroh, verschimmelten Pflanzen) und die Befeuchterlunge (Auslöser: z. B. Achromobacter in kontaminierten Befeuchtern und Klimaanlagen) genannt. Das Muster der EAA kann jedoch auch nichtinhalativ im Rahmen eines medikamentös-toxischen Geschehens vorkommen (dann als Hypersensitivitätspneumonitis bezeichnet).
Die EAA weist unterschiedliche Verlaufsformen auf. Einerseits wurde nach der klinischen Symptomatik ein akuter von einem chronischen Verlauf unterschieden, andererseits in jüngeren Publikationen nur eine nicht-fibrotische von einer fibrotischen Verlaufsform [5, 10, 14, 17, 20].
Die aktuelle internationale Leitlinie unterteilt die EAA klinisch in einen nicht-fibrotischen und fibrotischen Typ [14]. Radiologisch wird hier für den nicht-fibrotischen Typ die Einteilung in High-Resolution-Computertomographie(HRCT)-Muster „typisch für EAA“ vs. „vereinbar mit EAA“ und für den fibrotischen Typ die Einteilung in HRCT-Muster „typisch für EAA“ vs. „vereinbar mit EAA“ vs. „unbestimmt“ vorgeschlagen.
Im Jahr 2024 ist die erste deutsche S2k-Leitlinie zur Diagnostik und Therapie der EAA veröffentlicht worden, die in wichtigen Punkten von der internationalen Leitlinie abweicht [9]. Im folgenden Übersichtsartikel werden die Inhalte der deutschen Leitlinie mit Fokus auf den radiologischen Part vorgestellt.

Epidemiologie

Die EAA ist eine seltene Erkrankung mit einer Inzidenz von ca. 1 Neuerkrankung pro 100.000/Jahr [6, 15, 18]. Sie tritt in der überwiegenden Mehrheit bei Erwachsenen auf. Das mittlere Erkrankungsalter liegt bei 52 Jahren. Selten können auch Kinder betroffen sein [8, 19]. Im Gegensatz zu vielen anderen interstitiellen Lungenerkrankungen ist das Rauchen ein protektiver Faktor [18, 21]. Dies wird auf die immunsuppressiven Eigenschaften des Rauchens, vor allem des inhalierten Nikotins zurückgeführt.

Klinische Einteilung

Klinisch macht es nach Ansicht der deutschen Leitlinienkommission weiterhin Sinn, die EAA in eine akute und chronische Verlaufsform einzuteilen. Bei der akuten Form kommt es 3–12 h nach wiederholter und intensiver Antigenexposition zu plötzlichen grippeähnlichen Symptomen. Bei Antigenkarenz ist der Patient in der Regel nach 24–48 h auch ohne medikamentöse Therapie wieder beschwerdefrei. Die chronische Form wird entweder durch eine lang andauernde kontinuierliche Antigenexposition oder durch rezidivierende Expositionen ausgelöst. Während die akute Form immer nicht-fibrotisch verläuft, werden bei der chronischen Form weitergehend die Subtypen fibrotisch und nicht-fibrotisch unterschieden (Abb. 1).
Abb. 1
Klinische Einteilung der exogen-allergischen Alveolitis (EAA) gemäß S2k-Leitlinie
Bild vergrößern

Radiologische Einteilung

Was die Kategorisierung der EAA in der Radiologie angeht, hat sich die internationale Leitlinie in Deutschland aufgrund ihrer Komplexität nicht durchgesetzt. In Anlehnung an die klinische Einteilung der deutschen S2k-Leitlinie wird aus radiologischer Sicht vorgeschlagen, in der HRCT pragmatisch zwischen einer rein inflammatorischen und einer fibrotischen Form zu unterscheiden, da diese Einteilung objektivierbar und sowohl therapeutisch als auch prognostisch relevant ist (Abb. 2). Dabei kann die fibrotische Form HRCT-morphologisch rein fibrotisch sein oder in Kombination mit inflammatorischen Zeichen auftreten. Umgekehrt kann die inflammatorische Form sowohl bei der akuten als auch bei der chronischen EAA gesehen werden, die fibrotische Form wird nur bei der chronischen EAA gesehen.
Abb. 2
Radiologische Einteilung der exogen-allergischen Alveolitis (EAA) gemäß S2k-Leitlinie
Bild vergrößern

Technik

Die bildgebende Modalität der Wahl ist die native dünnschichtige Volumen-Computertomographie (CT), auch als High-Resolution-CT (HRCT) bezeichnet. Auf die technischen Parameter soll nur kurz eingegangen werden:
1.
Die ausgespielte Schichtdicke sollte 1,2 mm nicht überschreiten.
 
2.
Neben der axialen Orientierung sind zusätzlich max. 1,2 mm dicke multiplanare Rekonstruktionen in sagittaler und koronarer Ebene empfohlen.
 
3.
Zusätzliche Aufnahmen in Exspiration (zur besseren Erkennbarkeit des Air-Trappings, siehe unten) oder Bauchlage (zur Unterscheidung einer funktionellen Hypostase von einer realen Parenchymveränderung) können bei Bedarf entweder als Einzelscans oder in einer erneuten Spiralakquisition in Low-dose-Technik erfolgen.
 

Morphologie in der High-Resolution-Computertomographie

Die EAA äußert sich in der HRCT in Form einer charakteristischen Kombination von HRCT-Zeichen und ihrer Verteilung in der Lunge (Tab. 1, 2 und 3 und Abb. 3, 4 und 5). Zu beachten ist, dass nicht alle aufgeführten Merkmale synchron vorliegen müssen. Meist liegt eine Auswahl in unterschiedlicher Kombination und Gewichtung vor. Grundsätzlich steigt die Wahrscheinlichkeit für das Vorliegen einer EAA an, je mehr Zeichen in typischer Verteilung vorliegen. Für die fibrotische EAA gilt, dass meist synchron Zeichen des inflammatorischen Stadiums vorliegen. Folgende Punkte sind ergänzend zu beachten:
1.
Air-Trapping stellt sich in Form eines Mosaikmuster dar. Da ein Mosaikmuster verschiedene Ursachen haben kann, darf Air-Trapping streng genommen nur dann befundet werden, wenn exspiratorische Aufnahmen vorliegen [2, 4, 7]. Es äußert sich hier in Form von geographisch konfigurierten hypodensen Arealen, die im Vergleich zur inspiratorischen Aufnahme nicht adäquat an Dichte zunehmen und nicht adäquat an Volumen abnehmen. Häufig ist der Befund jedoch schon in Inspiration so suggestiv, dass auf eine exspiratorische Aufnahme verzichtet werden kann. Minimum-Intensitäts-Projektionen (MinIPs) erleichtern die Erkennbarkeit des Air-Trappings.
 
2.
Das Drei-Dichte-Zeichen bezeichnet das Nebeneinander von 3 Graustufen im Lungenparenchym (Air-Trapping, normale Lunge, Milchglas/Konsolidierung; [14, 22]). Es ist ein Indikator für einen gemischt infiltrativen und obstruktiven Prozess.
 
3.
Die chronische Form der EAA kann sich bei einigen Patienten mit Farmerlunge statt mit einer Fibrose in Form eines zentrilobulären Lungenemphysems äußern.
 
4.
Die fibrotische EAA kann sich selten mit dem klassischen Muster einer „usual interstitial pneumonia“ (UIP) oder nicht spezifischen interstitiellen Pneumonie (NSIP) äußern.
 
5.
Im radiologischen Befund sollte bei der fibrotischen EAA kommentiert werden, ob eine Inflammation vorliegt und wie die Gewichtung zwischen Fibrose und Inflammation ist. Dies hat unmittelbare therapeutische Konsequenz. Bisher hat sich noch keine softwaregestützte/auf künstlicher Intelligenz (KI) basierende Methode etabliert, um diese Gewichtung objektiv vornehmen zu können. Daher muss subjektiv durch die Radiologin/den Radiologen eingeschätzt werden, ob die Inflammation (Milchglastrübung, Milchglasnoduli oder Konsolidierung außerhalber offensichtlicher Fibrose) oder die Zeichen einer Fibrose quantitativ im Vordergrund stehen. Für den behandelnden Pneumologen muss aus dieser Einschätzung ersichtlich sein, ob eher eine antiinflammatorische Therapie, eine antifibrotische Therapie oder eine Kombinationstherapie zielführend ist.
 
Tab. 1
Terminologie der Zeichen in der High-Resolution-Computertomographie (HRCT) bei exogen-allergischer Alveolitis (EAA) und pathophysiologisches Korrelat
HRCT-Zeichen
HRCT-Morphologie
Korrelation
Drei-Dichte-Zeichen (hohe Spezifität)
Areale mit 3 unterschiedlichen Dichtestufen:
Erhöht: entspricht Milchglas/Konsolidierung
Erniedrigt: entspricht Air-Trapping
Mittlere Graustufe: entspricht normalem Parenchym
Kombination aus infiltrativem und obstruktivem Prozess sowie nicht betroffenem Lungenparenchym
Honigwaben (nicht dominant)
Gruppierte, zystische Lufträume, die von dicken Wänden umgeben sind
Fibrosierung im Endstadium
Konsolidierung (selten)
Areale vermehrter Dichte ohne erkennbare Anatomie (Gefäße, Bronchialwände)
Inflammation, organisierende Pneumonie
Milchglastrübung
Areale vermehrter Dichte mit noch erkennbarer Anatomie (Gefäße, Bronchialwände)
Inflammation oder feine Fibrose
Milchglasknötchen
Noduli (bis ca. 5 mm Diameter) mit Milchglasdichte, unscharf begrenzt
Inflammatorische Bronchiolitis
Mosaikmuster durch Air-Trapping
Areale mit geografisch konfigurierter abwechselnd hoher und niedriger Dichte. Zunahme der Dichteunterschiede in Exspiration
Obstruktive Bronchiolitis, reflektorische hypoxische Vasokonstriktion
Retikulationen
Irregulär, feinmaschig oder grobmaschig, mit oder ohne Traktionsbronchi(ol)ektasen oder Honigwaben
Fibrosierung vor allem des intralobulären Interstitiums
Traktionsbronchiektasen/-bronchiolektasen
Dilatation der Bronchien/Bronchioli
Irreversible Erweiterung der Atemwege durch den Zug der umgebenden Lungenfibrose
Zysten (in ca. 10–40 % der Fälle)
Zart berandet, bis ca. 2,5 cm Diameter
Folge einer partiellen bronchiolären Obstruktion
Tab. 2
High-Resolution-Computertomographie (HRCT)-Morphologie der inflammatorischen exogen-allergischen Alveolitis (EAA)
HRCT-Zeichen
Verteilung
Milchglastrübung (dominant)
Meist diffus, weniger häufig multilokulär
Milchglasknötchen (dominant)
Zentrilobulär
Konsolidierung (selten)
Multilokulär, beidseitig
Air-Trapping
Multilokulär, beidseitig
Drei-Dichte-Zeichen
Multilokulär, beidseitig
Zysten
Innerhalb von Milchglas
Tab. 3
High-Resolution-Computertomographie(HRCT)-Morphologie der fibrotischen exogen-allergischen Alveolitis (EAA)
HRCT-Zeichen
Verteilung
Zusätzlich zu inflammatorischen Zeichen oder nur Zeichen der Fibrose
Fibrose
Retikulation
Axial:
Meist asymmetrisch – multilokulär, peribronchovaskulär (20 %), peripher
Kraniokaudal:
Oberlappenbetont (10 %), unterlappenbetont (30 %), diffus oder zufällig 60 %, relative Aussparung dorsobasal 20–40 %
Traktionsbronchi(ol)ektasen
Honigwaben
Lungenemphysem (meist zentrilobulär)
Variabel, Oberlappendominanz möglich
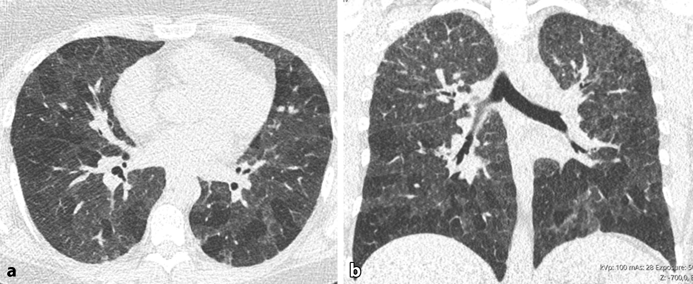
Abb. 3
Inflammatorische exogen-allergischen Alveolitis (EAA). a Axiale und b koronare multiplanare Reformation (MPR) einer nativen High-Resolution-Computertomographie (HRCT). Diffus in der Lunge verteilt zeigt sich eine Kombination aus Milchglas und Air-Trapping. Zeichen einer Fibrose fehlen
Bild vergrößern
Abb. 4
Fibrotische exogen-allergische Alveolitis (EAA) mit viel Inflammation. a Axiale und b sagittale multiplanare Reformation (MPR) einer nativen High-Resolution-Computertomographie (HRCT). Oberlappenbetonte Fibrose erkenntlich an irreguläre Retikulationen und Traktionsbronchiektasen. Zudem diffus verteiltes Milchglas und Air-Trapping. Beachte auch das Drei-Dichte-Zeichen
Bild vergrößern
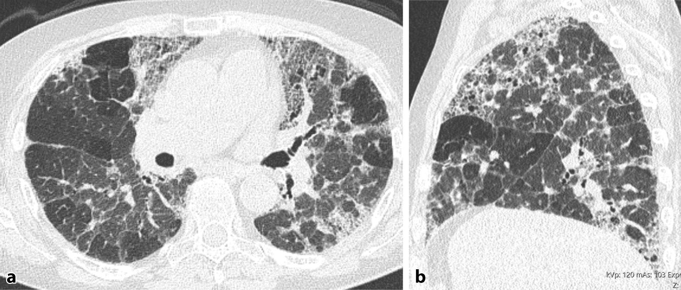
Abb. 5
Fibrotische exogen-allergische Alveolitis (EAA) ohne Inflammation. a Axiale und b sagittale multiplanare Reformation (MPR) einer nativen High-Resolution-Computertomographie (HRCT). Fibrose erkenntlich an irreguläre Retikulationen und Traktionsbronchiektasen. Zudem Air-Trapping. Zeichen einer Inflammation zeigen sich nicht
Bild vergrößern

Differenzialdiagnose

Radiologisch sind die wichtigsten Differenzialdiagnosen der inflammatorischen EAA:
  • die respiratorische Bronchiolitis (jedoch im Gegensatz zur EAA Oberlappendominanz der zentrilobulären Milchglasnoduli und häufig Bronchialwandverdickungen, die keine Begleitzeichen der EAA sind),
  • die infektiöse Bronchiolitis (jedoch im Gegensatz zur EAA eher multilokulär als diffuse Verteilung der zentrilobulären Milchglasnoduli, zudem häufig Bronchialwandverdickungen und „tree-in-bud“, die keine Zeichen der EAA sind) und
  • die lymphozytäre interstitielle Pneumonie (jedoch im Gegensatz zur EAA wesentlich häufiger und zahlreichere Zysten, kein Air-Trapping und häufig Assoziation mit einer autoimmunologischen Grunderkrankung, vor allem dem Sjögren-Syndrom).
Radiologisch sind die wichtigsten Differenzialdiagnosen der fibrotischen EAA:
  • idiopathische Lungenfibrose (IPF) (jedoch im Gegensatz zur EAA subpleural und dorsobasal dominant, Beteiligung der kostophrenischen Winkel, Dominanz von Honigwaben, keine oder nur wenig Zeichen eine Inflammation); das Drei-Dichte-Zeichen hat die höchste Spezifität bei der Differenzierung einer fibrotischen EAA gegenüber einer IPF [4],
  • interstitielle Lungenerkrankungen mit dem Muster einer nicht spezifischen interstitiellen Pneumonie (NSIP) (jedoch im Gegensatz zur EAA selten und lediglich diskretes Air-Trapping, nur selten zentrilobuläre Milchglasnoduli, in einem Teil der Fälle relative Aussparung des Subpleuralraums)
  • Asbestose (jedoch im Gegensatz zur EAA Expositionsanamnese gegenüber Asbest positiv, Dominanz der Fibrose in den dorsobasalen Unterlappen, asbestbedingte Pleuraveränderungen)

Prognose

Die Morphologie in der HRCT trägt bei der fibrotischen EAA zur Prognoseabschätzung bei. Mit zunehmendem Ausmaß der Fibrose und mit dem Auftreten von Honigwaben verschlechtert sich die Prognose [1, 1113]. Wenn Honigwaben nur in 1 oder 2 Lappen auftreten, weist die fibrotische EAA eine bessere Prognose auf als die IPF (medianes Überleben: fibrotische EAA: 8 Jahre gegenüber IPF: 5,2 Jahre; [16]). Wenn Honigwaben in allen 5 Lappen auftreten, gleicht sich das mediane Überleben der beiden Erkrankungen an (2,8 Jahre). Aber auch Retikulationen, Milchglastrübungen und ein Mosaikmuster wurden als unabhängige Prädiktoren für die Mortalität beschrieben [12].

Fazit für die Praxis

  • Im Jahr 2024 ist die erste deutsche Leitlinie zur Diagnostik und Therapie der exogen-allergischen Alveolitis (EAA) erschienen.
  • Die Bildgebung nimmt einen hohen Stellenwert bei der Abklärung von PatientInnen mit V. a. EAA ein.
  • Die Methode der Wahl ist hierbei die dünnschichtige Volumen-Computertomographie.
  • Radiologisch wird eine pragmatische und therapierelevante Einteilung der EAA in eine rein inflammatorische und eine fibrotische EAA vorgeschlagen. Diese Formen sind an der Kombination ausgewählter Zeichen in charakteristischer Verteilung erkennbar.
  • Die Wahrscheinlichkeit des Vorliegens einer EAA steigt, je mehr charakteristische Zeichen in typischer Verteilung vorliegen.
  • Der radiologische Befund muss Auskunft darüber gegeben, ob eine inflammatorische oder fibrotische EAA vorliegt.
  • Im Fall einer fibrotischen EAA muss festgehalten werden, ob eine inflammatorische Komponente vorliegt und wie die Gewichtung zwischen Fibrose und Inflammation ist.

Einhaltung ethischer Richtlinien

Interessenkonflikt

O.W. Hamer, D. Koschel und B. Rehbock geben an, dass kein Interessenkonflikt besteht.
Für diesen Beitrag wurden von den Autor/-innen keine Studien an Menschen oder Tieren durchgeführt. Für die aufgeführten Studien gelten die jeweils dort angegebenen ethischen Richtlinien.
Open Access Dieser Artikel wird unter der Creative Commons Namensnennung 4.0 International Lizenz veröffentlicht, welche die Nutzung, Vervielfältigung, Bearbeitung, Verbreitung und Wiedergabe in jeglichem Medium und Format erlaubt, sofern Sie den/die ursprünglichen Autor(en) und die Quelle ordnungsgemäß nennen, einen Link zur Creative Commons Lizenz beifügen und angeben, ob Änderungen vorgenommen wurden. Die in diesem Artikel enthaltenen Bilder und sonstiges Drittmaterial unterliegen ebenfalls der genannten Creative Commons Lizenz, sofern sich aus der Abbildungslegende nichts anderes ergibt. Sofern das betreffende Material nicht unter der genannten Creative Commons Lizenz steht und die betreffende Handlung nicht nach gesetzlichen Vorschriften erlaubt ist, ist für die oben aufgeführten Weiterverwendungen des Materials die Einwilligung des jeweiligen Rechteinhabers einzuholen. Weitere Details zur Lizenz entnehmen Sie bitte der Lizenzinformation auf http://creativecommons.org/licenses/by/4.0/deed.de.

Hinweis des Verlags

Der Verlag bleibt in Hinblick auf geografische Zuordnungen und Gebietsbezeichnungen in veröffentlichten Karten und Institutsadressen neutral.
download
DOWNLOAD
print
DRUCKEN
Titel
Exogen-allergische Alveolitis
Die aktuelle S2k-Leitlinie aus radiologischer Sicht
Verfasst von
Prof. Okka W. Hamer
Dirk Koschel
Beate Rehbock
Publikationsdatum
17.06.2025
Verlag
Springer Medizin
Erschienen in
Die Radiologie / Ausgabe 11/2025
Print ISSN: 2731-7048
Elektronische ISSN: 2731-7056
DOI
https://doi.org/10.1007/s00117-025-01461-x
1.
Zurück zum Zitat Adegunsoye A, Oldham JM, Bellam SK, Montner S, Churpek MM, Noth I et al (2019) Computed Tomography Honeycombing identifies a progressive fibrotic phenotype with increased mortality across diverse interstitial lung diseases. Ann Am Thorac Soc 16(5):580–588. https://doi.org/10.1513/AnnalsATS.201807-443OCCrossRefPubMedPubMedCentral
2.
Zurück zum Zitat Bankier AA, MacMahon H, Colby T, Gevenois PA, Goo JM, Leung ANC et al (2024) Fleischner society: glossary of terms for thoracic imaging. Radiology 310(2):e232558. https://doi.org/10.1148/radiol.232558CrossRefPubMed
3.
Zurück zum Zitat Barnes H, Lu J, Johannson KA (2022) Development of a knowledge-sharing website for hypersensitivity pneumonitis exposures. ATS Scholar 3(3):460–467. https://doi.org/10.34197/ats-scholar.2021-0139INCrossRefPubMedPubMedCentral
4.
Zurück zum Zitat Barnett J, Molyneaux PL, Rawal B, Rezaur A, Hare SS, Vancheeswaran R et al (2019) Variable utility of mosaic attenuation to distinguish fibrotic hypersensitivity pneumonitis from idiopathic pulmonary fibrosis. Eur Respir J. https://doi.org/10.1183/13993003.00531-2019CrossRefPubMedPubMedCentral
5.
Zurück zum Zitat Costabel U, Miyazaki Y, Pardo A, Koschel D, Bonella F, Spagnolo P et al (2020) Hypersensitivity pneumonitis. Nat Rev Dis Primers 6(1):65. https://doi.org/10.1038/s41572-020-0191-zCrossRefPubMed
6.
Zurück zum Zitat Fernández Pérez ER, Kong AM, Raimundo K, Koelsch TL, Kulkarni R, Cole AL (2018) Epidemiology of hypersensitivity pneumonitis among an insured population in the United States: a claims-based cohort analysis. Ann Am Thorac Soc 15(4):460–469. https://doi.org/10.1513/AnnalsATS.201704-288OCCrossRefPubMed
7.
Zurück zum Zitat Gayá García-Manso I, Arenas-Jiménez J, García-Sevila R, Ruiz-Alcaraz S, Sirera-Matilla M, García-Garrigós E et al (2022) Mosaic attenuation in non-fibrotic areas as a predictor of non-usual interstitial pneumonia pathologic diagnosis. Sci Rep 12(1):7289. https://doi.org/10.1038/s41598-022-10750-7CrossRefPubMedPubMedCentral
8.
Zurück zum Zitat Griese M, Stehling F, Schwerk N, Rosewich M, Jerkic P‑S, Rock H et al (2021) Hypersensitivity pneumonitis: Lessons from a randomized controlled trial in children. Pediatr Pulmonol 56(8):2627–2633. https://doi.org/10.1002/ppul.25513CrossRefPubMed
9.
Zurück zum Zitat Koschel D, Behr J, Berger M, Bonella F, Hamer O, Joest M et al (2024) Diagnostik und Therapie der exogen-allergischen Alveolitis. Pneumologie. https://doi.org/10.1055/a-2369-8458CrossRefPubMedPubMedCentral
10.
Zurück zum Zitat Lacasse Y, Selman M, Costabel U, Dalphin J‑C, Morell F, Erkinjuntti-Pekkanen R et al (2009) Classification of hypersensitivity pneumonitis: a hypothesis. Int Arch Allergy Immunol 149(2):161–166. https://doi.org/10.1159/000189200CrossRefPubMed
11.
Zurück zum Zitat Lynch DA (2019) CT phenotypes in hypersensitivity pneumonitis. Chest 155(4):655–656. https://doi.org/10.1016/j.chest.2018.10.048CrossRefPubMed
12.
Zurück zum Zitat Oh JH, Kang J, Song JW (2023) Fibrosis score predicts mortality in patients with fibrotic hypersensitivity pneumonitis. Front Med 10:1131070. https://doi.org/10.3389/fmed.2023.1131070CrossRef
13.
Zurück zum Zitat Ojanguren I, Morell F, Ramón M‑A, Villar A, Romero C, Cruz MJ, Muñoz X (2019) Long-term outcomes in chronic hypersensitivity pneumonitis. Allergy 74(5):944–952. https://doi.org/10.1111/all.13692CrossRefPubMed
14.
Zurück zum Zitat Raghu G, Remy-Jardin M, Ryerson CJ, Myers JL, Kreuter M, Vasakova M et al (2020) Diagnosis of hypersensitivity pneumonitis in adults. An official ATS/JRS/ALAT clinical practice guideline. Am J Respir Crit Care Med 202(3):e36–e69. https://doi.org/10.1164/rccm.202005-2032STCrossRefPubMedPubMedCentral
15.
Zurück zum Zitat Rittig Hald A, Hilberg O, Ibsen R, Løkke A (2019) Incidence, comorbidity and survival rate of hypersensitivity pneumonitis: a national population-based study. ERJ Open Res. https://doi.org/10.1183/23120541.00259-2018CrossRef
16.
Zurück zum Zitat Salisbury ML, Gu T, Murray S, Gross BH, Chughtai A, Sayyouh M et al (2019) Hypersensitivity pneumonitis: radiologic phenotypes are associated with distinct survival time and pulmonary function trajectory. Chest 155(4):699–711. https://doi.org/10.1016/j.chest.2018.08.1076CrossRefPubMed
17.
Zurück zum Zitat Salisbury ML, Myers JL, Belloli EA, Kazerooni EA, Martinez FJ, Flaherty KR (2017) Diagnosis and treatment of fibrotic hypersensitivity pneumonia. Where we stand and where we need to go. Am J Respir Crit Care Med 196(6):690–699. https://doi.org/10.1164/rccm.201608-1675PPCrossRefPubMedPubMedCentral
18.
Zurück zum Zitat Solaymani-Dodaran M, West J, Smith C, Hubbard R (2007) Extrinsic allergic alveolitis: incidence and mortality in the general population. QJM 100(4):233–237. https://doi.org/10.1093/qjmed/hcm008CrossRefPubMed
19.
Zurück zum Zitat Torrent-Vernetta A, Gaboli M, Castillo-Corullón S, Mondéjar-López P, Sanz SV, Costa-Colomer J et al (2022) Incidence and Prevalence of Children’s Diffuse Lung Disease in Spain. Arch Bronconeumol 58(1):22–29. https://doi.org/10.1016/j.arbres.2021.06.001CrossRefPubMed
20.
Zurück zum Zitat Vasakova M, Morell F, Walsh S, Leslie K, Raghu G (2017) Hypersensitivity pneumonitis: perspectives in diagnosis and management. Am J Respir Crit Care Med 196(6):680–689. https://doi.org/10.1164/rccm.201611-2201PPCrossRefPubMed
21.
Zurück zum Zitat Warren CP (1977) Extrinsic allergic alveolitis: a disease commoner in non-smokers. Thorax 32(5):567–569. https://doi.org/10.1136/thx.32.5.567CrossRefPubMedPubMedCentral
22.
Zurück zum Zitat Webb WR (2006) Thin-section CT of the secondary pulmonary lobule: anatomy and the image—the 2004 Fleischner lecture. Radiology 239(2):322–338. https://doi.org/10.1148/radiol.2392041968CrossRefPubMed

Neu im Fachgebiet Radiologie

Weniger Intervallkarzinome mit KI-unterstützter Mammografie

Die MASAI-Studie beschäftigt sich seit Längerem mit den Folgen des Einsatzes künstlicher Intelligenz beim Lesen von Screeningmammogrammen. Nun liegt eine neue Auswertung vor. Darin geht es um Intervallkarzinome.

Beeinflusst KI das Burnout-Risiko in der Radiologie?

Ein Review zweier US-amerikanischer Radiologen fasst die bisherige Studienlage zum Einsatz künstlicher Intelligenz in der Radiologie zusammen. Die verfügbaren Daten liefern bislang ein uneinheitliches Bild zum Einfluss von KI auf Burnout und dessen zentrale Ursachen.

Vermeiden Sie diese 5 Fehler bei Zahlenangaben im Patientengespräch!

US-Forschende haben fünf gängige Fehler identifiziert, die Behandelnden unterlaufen können, wenn sie mit Patientinnen und Patienten über Risiken und Zahlen sprechen. Vorschläge, wie’s sich besser machen lässt, liefern die Forscherinnen und Forscher gleich mit.

Dilatierte Aorta ascendens: Mehr Überwachung = mehr Sicherheit?

US-Radiologinnen und -Radiologen haben retrospektiv Fälle ihrer Einrichtung ausgewertet und kommen zu dem Schluss, dass mehr Surveillance bei erweiterter Aorta ascendens nicht immer hilfreich ist: In der Mehrzahl der Fälle blieben die Dilatationen stabil – und um die seltenen Fälle mit späterer Dissektion besser identifizieren zu können, müssten andere Faktoren noch stärker berücksichtigt werden.

Update Radiologie

Bestellen Sie unseren Fach-Newsletter und bleiben Sie gut informiert.

Bildnachweise
Zwei erfahrene Ärzte arbeiten an Computer/© alvarez / Getty Images / iStock (Symbolbild mit Fotomodell), Radiologin untersucht Mammogramm am Computer/© Framestock / stock.adobe.com (Symbolbild mit Fotomodell), Aufklärung einer Patientin/© Kanjana / stock.adobe.com (Symbolbild mit Fotomodell)