Zum Inhalt

Üble Überraschung in der Oberbauch-Sono

Erschienen in:

Auszug

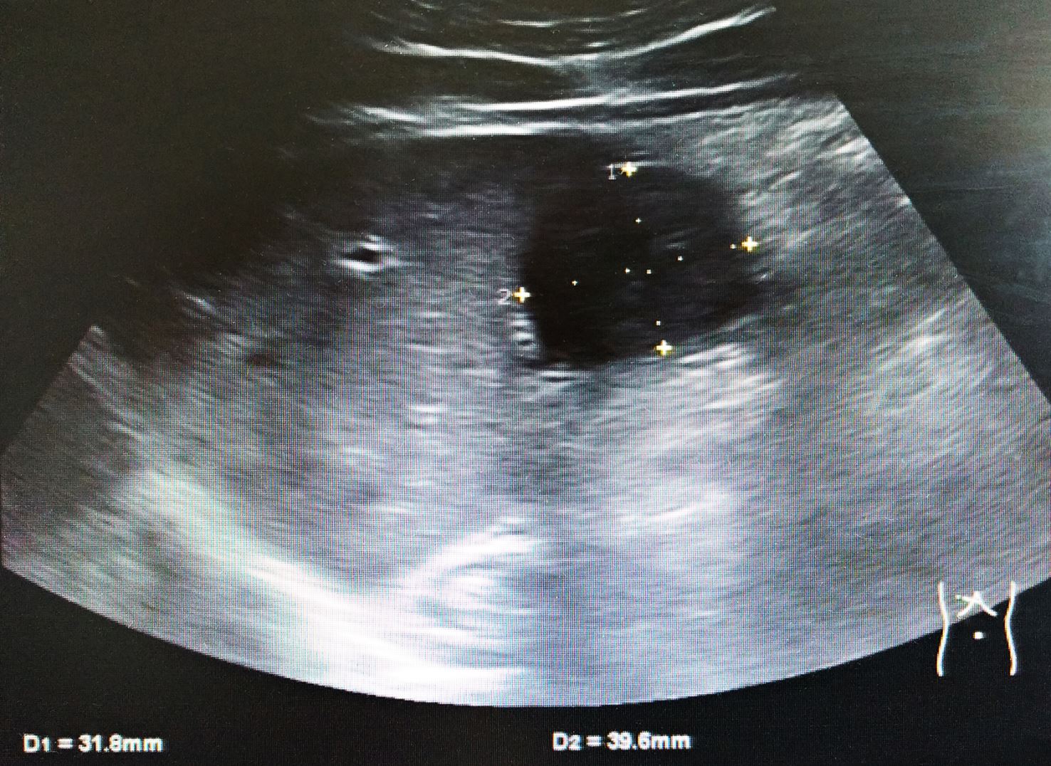
Ein 34-jähriger, 1,89 m großer und 99 kg schwerer Maler und Lackierer, der in seiner Freizeit wettkampfmäßig Volleyball spielte, stellte sich wegen akuter Oberbauchbeschwerden ohne Übelkeit, Erbrechen oder Diarrhö vor. Mit dem Ultraschallgerät kam ich der Ursache schnell auf die Spur.
© C. Raschka
Bild vergrößern
Titel
Üble Überraschung in der Oberbauch-Sono
Verfasst von
Prof. Dr. med. Dr. rer. nat. Dr. Sportwiss. Christoph Raschka
Publikationsdatum
07.11.2025

Passend zum Thema

ANZEIGE

Digitale Gesundheitsanwendungen: Vorteile für Betroffene und Praxis

Digitale Gesundheitsanwendungen (DiGA) bieten zahlreiche Vorteile für Patientinnen und Patienten sowie für die behandelnden Ärzt*innen. Sie unterstützen bei der Aufklärung, Therapie und im Krankheitsmanagement, was zu einer verbesserten Patient*innenversorgung und effizienteren Abläufen in der Praxis führt.

ANZEIGE

Mastzellaktivierungssyndrom (MCAS) erkennen und abgrenzen

Das Mastzellaktivierungssyndrom (MCAS) ist eine komplexe Multisystemerkrankung, die durch eine Überaktivität von Mastzellen gekennzeichnet ist. Es ist wichtig, MCAS von anderen Mastzellaktivierungsstörungen wie der Mastozytose abzugrenzen. Erfahren Sie hier mehr über die Symptome und die diagnostischen Herausforderungen.

ANZEIGE

Erstattungsfähigkeit von Iberogast®: alle Infos auf einen Blick

Viele gesetzliche Krankenkassen übernehmen die Kosten für rezeptfreie Arzneimittel wie Iberogast® Classic und Iberogast® Advance, sofern sie auf einem Grünen Rezept verordnet werden. In diesem Beitrag finden Sie eine praktische Übersicht und weiterführende Informationen dazu.

ANZEIGE

Ob jung, ob alt, Reizdarm und -magen gezielt therapieren

Erfahren Sie mehr über die gezielte Behandlung von Reizdarm und Reizmagen. Mit Expertenwissen von Prof. Dr. Madisch, Prof. Dr. Gerner und Prof. Dr. Labenz zu biopsychosozialen Konzepten und spezifischen Therapieansätzen auch für Kinder, Jugendliche und geriatrische Patienten.

Bayer Vital GmbH

Passend zum Thema

ANZEIGE

Mikrobiom und Darmgesundheit im Fokus

Das Darmmikrobiom gewinnt zunehmend an Bedeutung– sowohl in der Forschung als auch in der ärztlichen Praxis. Erfahren Sie mehr über das Mikrobiom, mit Dysbiosen assoziierte Erkrankungen wie das Reizdarmsyndrom und Nahrungsmittelunverträglichkeiten sowie Ansätze zur Verbesserung der Darmgesundheit – für mehr Lebensqualität.

ANZEIGE

Postbiotika: Wie sie die Darmgesundheit fördern können

Bei der Fermentation zur Herstellung von Postbiotika werden In­haltsstoffe wie Vitamine, Polyphenole und andere sekundäre Pflanzenstoffe für den Körper besser verfügbar gemacht, während Antinährstoffe abgebaut werden. Zudem werden biogene Amine wie Spermin und Spermidin gebildet sowie wichtige kurzkettige Fettsäuren (SCFA) produziert.

ANZEIGE

Darmgesundheit – neu gedacht: Das Medibiom®-Programm

Medice hat einen besonderen Ansatz entwickelt, um Darmgesundheit zu fördern: Sie bietet Personen mit darmassoziierten Beschwerden, gereiztem Darm und Nahrungsmittelunverträglichkeiten ein ursachenorientiertes, synergistisches Programm zur praktischen Umsetzung einer gezielt darmgesunden Lebensweise an.

Webinar

Magen-Darm-Erkrankungen in der Hausarztpraxis

Häufige gastrointestinale Krankheiten in der niedergelassenen Praxis sind Thema in diesem aufgezeichneten MMW-Webinar. Welche Differenzialdiagnosen bei Oberbauchbeschwerden sollten Sie kennen? Wie gelingt eine erfolgreiche probiotische Behandlung bei Reizdarm? Welche neuen Entwicklungen und praktischen Aspekte gibt es bei Diagnostik und Behandlung der chronisch entzündlichen Darmerkrankungen?

Bildnachweise
Oberbauchsonoraphie/© C. Raschka, Ärztin zeigt Patientin etwas auf einem Smartphone/© Hero Images Inc. | Getty Images, Stethoskop auf einem Laptop liegend/© Song_about_summer | Adobe Stock, Mann sitzt am Laptop und nutzt einen Taschenrechner/© ldprod | Adobe Stock, Neuer Inhalt/© Bayer Vital GmbH (Iberogast®), Teaserbild Content Hub Mediom/© mi-viri | iStock , Teaserbild: Postbiotika: Wie die Darmgesundheit gefördert werden kann/© Sebastian Kaulitzki / fotolia.c, Person mit virtuellem Darm/© mi-viri | iStock, Ärztin tastet Bauch eines Patienten ab/© (M) qunica.com / Stock.adobe.com (Symbolbild mit Fotomodellen)