Zum Inhalt

Ameloblastic Fibroma

  • Open Access
  • 01.03.2009
  • Sine qua none Radiology-Pathology
Erschienen in:
Download
The opinions and assertions expressed herein are those of the author and are not to be construed as official or representing the views of the Department of the Navy or the Department of Defense.

History

An 18-year-old male presented for a routine dental examination with an incidental finding in the left posterior maxilla.

Radiographic Features

Imaging studies revealed a well-circumscribed, unilocular radiolucency preventing eruption of the left maxillary second molar and displacing it in a superior and posterior direction, into the maxillary sinus (Fig. 1).
Fig. 1
Well-defined unilocular radiolucency prohibiting the eruption of the left maxillary second molar
Bild vergrößern

Treatment

The area was treated with thorough curettage and the associated maxillary second molar was extracted.

Diagnosis

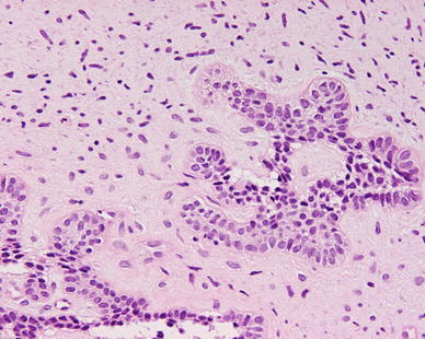
Histological evaluation revealed multiple fragments of richly cellular mesenchymal tissue containing round drop-like islands and long narrow anastomosing cords of odontogenic epithelium. The epithelial islands and cords were characterized by peripheral columnar or cuboidal hyperchromatic cells and were frequently only two cell layers thick (Fig. 2). The mesenchymal component contained evenly distributed plump ovoid and stellate cells in a loose myxoid to predominantly eosinophilic matrix, resembling the primitive dental papilla. Mitotic activity was not appreciated.
Fig. 2
Round islands and narrow cords of odontogenic epithelium in a cellular, primitive mesenchymal background
Bild vergrößern

Discussion

Ameloblastic fibromas are neoplasms of odontogenic epithelium and mesenchymal tissues, and as such are categorized as mixed odontogenic tumors. Other mixed odontogenic lesions, such as ameloblastic fibro-odontomas and odontomas share some clinical, radiographic and histologic similarities with ameloblastic fibroma. In the past, it was suggested that these lesions represented a spectrum of a single entity, with ameloblastic fibromas, the least differentiated of the tumors, maturing and developing into ameloblastic fibro-odontomas and later odontomas [1]. This theory has been refuted with the support of the tumors’ associated demographics. The least differentiated lesion, ameloblastic fibroma, actually occurs, on average, at an older age then the more differentiated ameloblastic fibro-odontoma and odontoma [4]. Further more, ameloblastic fibro-odontomas and odontomas are better categorized as hamartomas and as a result, unlike the ameloblastic fibroma, have little chance of recurrence or malignant transformation [4]. For these reasons, despite many similarities, it is essential to differentiate the ameloblastic fibroma from other mixed odontogenic lesions because it has true neoplastic qualities.
Ameloblastic fibromas are rare and comprise approximately 2% of odontogenic tumors [2, 3]. The tumors are considered a tumor of childhood and adolescence and occur almost exclusively in the first and second decades of life [3, 4]. A slight male predilection has been noted [4, 5]. The most common location for the tumor is the posterior mandible, followed by the posterior maxilla. Patients often present with painless swelling of the jaw and the lesion may affect the normal eruption of teeth in the area. An impacted tooth may be associated with the tumor in approximately three quarters of the cases [2, 5, 6]. Some lesions are asymptomatic, with up to 20% of cases initially detected upon review of routine dental radiographs [1, 3, 4, 6].
Radiographically, ameloblastic fibromas are unilocular lesions, occasionally multilocular when larger, with smooth well-demarcated borders. Cortical expansion may or may not be discernable on plane film. Because lesions are frequently associated with unerupted teeth they may initially be interpreted as dentigerous cysts [1, 3, 4, 7].
Grossly, ameloblastic fibroma appears as firm, lobular soft tissue mass with a smooth surface [3]. If a tooth is associated with the lesion it may accompany the specimen. A capsule is generally not appreciated. Microscopically, an ameloblastic fibroma is composed of a connective tissue background that appears to recapitulate dental papilla, resembling stellate reticulum [1, 3, 7]. This tissue is composed of spindled and angular cells with little collagen, imparting a myxomatous appearance. The epithelial component is made up of thin branching cords or small nests of odontogenic epithelium with little cytoplasm and basophilic nuclei. Larger nests may show a central area of stellate reticulum. Mitoses should not be a feature of ameloblastic fibroma [1, 3]. The presence of mitosis should expand the differential diagnosis to include malignant entities, to include ameloblastic fibrosarcoma. Finally, immunohistochemistry generally does not aid in differentiating ameloblastic fibroma from other mixed odontogenic tumors.
Surgical excision or thorough curettage with removal of affected teeth is the treatment of choice [1, 2]. The recurrence rate varies among sources, but is considered to be low [5, 7]. While uncommon, the possibility of malignant transformation of ameloblastic fibroma into ameloblastic fibrosarcoma is well documented [8, 9].

Open Access

This article is distributed under the terms of the Creative Commons Attribution Noncommercial License which permits any noncommercial use, distribution, and reproduction in any medium, provided the original author(s) and source are credited.
Open AccessThis is an open access article distributed under the terms of the Creative Commons Attribution Noncommercial License (https://creativecommons.org/licenses/by-nc/2.0), which permits any noncommercial use, distribution, and reproduction in any medium, provided the original author(s) and source are credited.
Download
Titel
Ameloblastic Fibroma
Verfasst von
Brenda L. Nelson
Gretchen S. Folk
Publikationsdatum
01.03.2009
Verlag
Humana Press Inc
Erschienen in
Head and Neck Pathology / Ausgabe 1/2009
Elektronische ISSN: 1936-0568
DOI
https://doi.org/10.1007/s12105-008-0091-0
1.
Zurück zum Zitat Tomich CE. Benign mixed odontogenic tumors. Semin Diagn Pathol. 1999;16:308–16.PubMed
2.
Zurück zum Zitat Regezi JA, Kerr DA, Courtney RM. Odontogenic tumors: analysis of 706 cases. Oral Surg. 1978;36:771–8.
3.
Zurück zum Zitat Cohen DM, Bhattacharyya I. Ameloblastic fibroma, ameloblastic fibro-odontoma, and odontoma. Oral Maxillofac Surg Clin North Am. 2004;16:375–84.PubMedCrossRef
4.
Zurück zum Zitat Slootweg PJ. An analysis of the interrelationship of mixed odontogenic tumors—ameloblastic fibroma, ameloblastic fibro-odontoma, and the odontomas. Oral Surg Oral Med Oral Pathol. 1981;51:266–76.PubMedCrossRef
5.
Zurück zum Zitat Philipsen HP, Reichart RP, Pratorius F. Mixed odontogenic tumors and odontomas: considerations on interrelationship. Review of the literature and presentation of 134 new cases of odontomas. Oral Oncol. 1997;33:86–99.PubMedCrossRef
6.
Zurück zum Zitat Trodahl JN. Ameloblastic fibroma. A survey of cases from the armed Forces Institute of Pathology. Oral Surg Oral Med Oral Pathol. 1972;33:547–58.PubMedCrossRef
7.
Zurück zum Zitat Hansen LS, Ficarra G. Mixed Odontogenic tumors: an analysis of 23 new cases. Head Neck Surg. 1988;10:330–43.PubMedCrossRef
8.
Zurück zum Zitat Leider AS, Nelson JF, Trodahl JN. Ameloblastic fibroma. Oral Surg. 1972;33:559–69.PubMedCrossRef
9.
Zurück zum Zitat Altini M, Thompson SH, Lownie JF, Berezowski BB. Ameloblastic sarcoma of the mandible. J Oral Maxillofac Surg. 1985;43:789–94.PubMedCrossRef

Neu im Fachgebiet Pathologie

Lymphome des Thymus und Mediastinums

Lymphozytenreiche Läsionen machen den Großteil der relevanten Differentialdiagnosen im vorderen Mediastinum aus und umfassen nichtneoplastische und neoplastische Entitäten. Lymphome stellen darunter mit ca. 10–15 % der Fälle eher einen kleinen …

Kombinationslymphome, Grauzonenlymphome und künftige Herausforderungen

Lymphome werden grundlegend in Hodgkin-Lymphome und B‑ und T‑Zell-Lymphome eingeteilt. Ihre Diagnostik beruht auf morphologischen, immunhistochemischen und zunehmend molekularen Methoden. Das klassische Hodgkin-Lymphom ist durch …

KI in der Diagnostik – aus Sicht der Pathologie

Die zunehmende Komplexität und Individualisierung onkologischer Diagnostik und Therapie stellt die Pathologie vor neue Herausforderungen. Gleichzeitig entwickelt sich die Künstliche Intelligenz (KI) von einer Zukunftstechnologie zu einem zentralen …

Räumlich-epidemiologische Datenanalyse von Pathologiedaten (REDPath)

In der pathologischen Routinediagnostik entstehen täglich große, gut dokumentierte Datensätze, deren Potential für räumlich-epidemiologische Analysen bislang kaum genutzt wird. Durch die Annotation dieser Daten eröffnen sich neue Möglichkeiten: …