Zum Inhalt

Typ-A-Aortendissektion: Management in der Notaufnahme nach Ablehnung von Blutprodukten – ein Fallbericht

Erschienen in:

Zusammenfassung

Die Behandlung von Patienten mit Typ-A-Aortendissektion in der Notaufnahme stellt eine komplexe, zeitkritische Herausforderung dar. In der vorliegenden Kasuistik wird ein durch ethische Aspekte besonders herausfordernder Fall beschrieben, in dem ein Patient aus religiösen Gründen Blutprodukte ablehnte und bis zur Verlegung aufwendig in der Notaufnahme gemanagt werden musste. Wir diskutieren den ethischen Konflikt, der sich aus dieser Situation ergab, sowie die organisatorischen und kommunikativen Schwierigkeiten bei der Verlegung des Patienten in ein spezialisiertes Zentrum.
QR-Code scannen & Beitrag online lesen

Hinweis des Verlags

Der Verlag bleibt in Hinblick auf geografische Zuordnungen und Gebietsbezeichnungen in veröffentlichten Karten und Institutsadressen neutral.

Anamnese

Ein 55-jähriger Patient wurde abends in Notarztbegleitung in der Zentralen Notaufnahme (ZNA) vorgestellt. Er verspürte seit dem Nachmittag einen plötzlich einsetzenden, zunächst leichten thorakalen Schmerz und zunehmende Schmerzen im linken Oberschenkel. Innerklinisch wurde er bei Aggravation der Beschwerden sehr unruhig und schrie, er war alsbald nicht mehr führbar. Eine Ursache für die plötzliche Exazerbation ließ sich präklinisch nicht feststellen. Anamnestisch war bei dem Patienten ein fraglich ossär metastasiertes Prostatakarzinom bekannt sowie ein arterieller Hypertonus.

Körperliche Untersuchung

Präklinisch lagen die Vitalparameter im Normbereich, auch die Blutdruckwerte waren seitengleich. Im Verlauf zeigte sich als einzige Auffälligkeit eine Malperfusion des rechten Arms bei ausgeprägter Blutdruckdifferenz. Zudem imponierte der Patient kaltschweißig, blass, erbrach einmalig und es bestand eine retrograde Amnesie zu den Ereignissen im häuslichen Umfeld.

Diagnostik

Das 12-Kanal-EKG zeigte keine Auffälligkeiten. Es erfolgte ergänzend eine transthorakale Echokardiographie. In dieser zeigten sich eine hochgradige Aortenklappeninsuffizienz sowie eine Dilatation der Aorta ascendens auf > 6 cm. Eine Dissektion selbst war nicht sicher darzustellen, ein Perikarderguss konnte ausgeschlossen werden. Aufgrund des verdächtigen klinischen Befunds wurde das Thoraxschmerzlabor (Troponin, D‑Dimere) nicht abgewartet und unmittelbar eine CT-Angiographie der Aorta durchgeführt. In dieser zeigte sich eine ausgedehnte Dissektion Typ A nach Stanford bzw. Typ I nach DeBakey (Abb. 1).
Abb. 1
Einteilung der Aortendissektion nach DeBakey/Stanford
Bild vergrößern
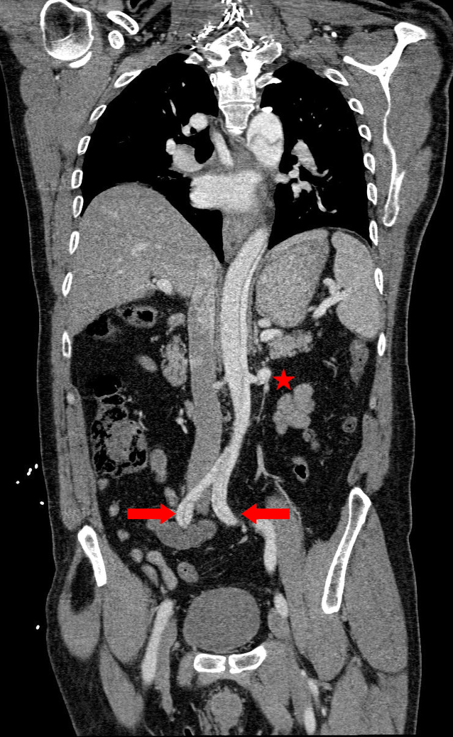
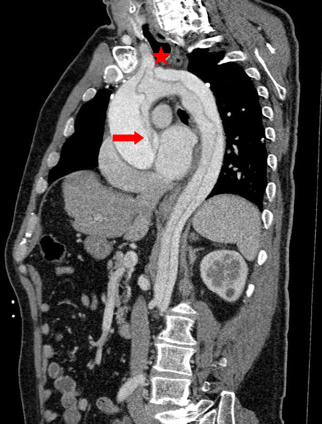
Der Beginn der Dissektion lag auf Höhe des Aortenbulbus (Abb. 2). Die Dissektion dehnte sich bis in die Iliakalgefäße aus (Abb. 3). Die Koronarien und die distalen hirnversorgenden Gefäße waren regelrecht kontrastiert. Zudem ergab sich kein Anhalt auf eine Endorganischämie oder ein Hämatoperikard. Aus ärztlicher Sicht ergab sich eine klare Indikation zur sofortigen operativen Versorgung.
Abb. 2
Sagittalschnitt: „Entry“ der Dissektion auf Höhe des Aortenbulbus (Pfeil), Beteiligung der Kopf-/Halsgefäße (Stern) und Verlauf bis weit in die Aorta abdominalis
Bild vergrößern
Abb. 3
Koronarer Schnitt: Beteiligung der linken Nierenarterie (Stern) und der Iliakalgefäße (Pfeile)
Bild vergrößern

Therapie und Verlauf

Vor Abschluss der Diagnostik wurden die Schmerzen zunächst auf die im Raum stehende ossäre Metastasierung zurückgeführt, sodass zeitnah eine Analgesie nach WHO-Stufenschema erfolgte. Nach Beendigung der Diagnostik wurde der Patient umgehend auf die Notwendigkeit einer sofortigen Operation hingewiesen. Er äußerte den Wunsch nach Maximaltherapie, wobei er aufgrund seiner religiösen Zugehörigkeit die Gabe von Vollblutprodukten ablehnte. Hierzu legte er eine schriftliche Verfügung vor, welche nebst Ablehnung des oben Genannten der Gabe von Gerinnungsfaktoren, Albumin und Fibrinogen zustimmte. Darüber hinaus erlaubte er die extrakorporale Zirkulation und maschinelle Autotransfusion im geschlossenen Kreislauf. Der Patient wurde über die Dringlichkeit des Eingriffs mit mitunter lebensbedrohlichem Blutverlust aufgeklärt, lehnte eine Transfusion allerdings weiter vehement ab.
Da innerklinisch keine entsprechende Fachabteilung vorhanden war, kontaktierten wir benachbarte herzchirurgische Zentren, um den Patienten zu verlegen. Der Patient war derweil klinisch stabil und beschwerdefrei.
Eine Übernahme des Patienten wurde, bei geringen Erfolgsaussichten einer derartig riskanten Operation ohne Gabe von Vollblutprodukten, in den meisten Fällen abgelehnt. Bei einzelnen Kliniken, die solch riskante Eingriffe prinzipiell durchführten, waren die Kapazitäten erschöpft. Der Patient bat infolgedessen um das Hinzuziehen einer „Kontaktperson für Krankenhausangelegenheiten“ seiner Religionsgemeinschaft. Diese unternahm weitere Verlegungsversuche, dies gelang allerdings auch überregional im Verlauf der Nacht nicht. Zudem waren die hauseigenen intensivmedizinischen Kapazitäten ebenfalls erschöpft, sodass der Patient vorerst in der Notaufnahme verblieb.
In der Zwischenzeit beriet sich der Patient mit seinem Kontaktmann. Religiöse Aspekte von Sterben und Krankheit spielten hier eine wichtige Rolle in der Entscheidungsfindung, da das Annehmen von Blutprodukten in diesem Falle mit der Aberkennung Gottes als Schöpfer und somit mitunter der eigenen Religionsidentität gleichgestellt war [3, 4, 8].
Im ärztlichen Team wurden der Verlauf, das weitere Prozedere sowie die Möglichkeiten der Therapie ausführlich nach Einbezug des Patienten und seiner Familie diskutiert. Das nahezu sichere Versterben des Patienten ohne Operation und das mögliche Versterben beim Versuch der Operation ohne Transfusion wurden mit allen Beteiligten kommuniziert und als Prozedere die Vorstellung in weiteren Kliniken vereinbart. Gemeinsam wurde zusätzlich das Unterlassen von Reanimationsmaßnahmen bei fehlenden Erfolgsaussichten einvernehmlich schriftlich festgelegt. So konnten der Patientenwunsch berücksichtigt und zudem ethisch und rechtlich klare Rahmenbedingungen geschaffen werden.
Am frühen Morgen meldete sich eine der über den Kontaktmann angefragten Kliniken mit frei gewordenen Kapazitäten zurück, der Patient wurde umgehend verlegt. Er erhielt in einem zweizeitigen Vorgehen erst einen suprakoronaren Ersatz des Aortenbogens und einen extraanatomischen Bypass der Aorta ascendens auf die rechte A. subclavia. Die Aortenwurzel wurde von außen mittels Fibringewebe verklebt. Ergänzend erfolgte eine endovaskuläre Reparatur der Aorta (TEVAR). Eine Transfusion war, wider Erwarten, nicht erforderlich. Das Hämoglobin lag postoperativ bei 8,1 g/dl. Der Patient konnte rund 4 Wochen postoperativ in eine Reha-Klinik verlegt werden.

Diskussion

Das Management eines komplexen und zeitkritischen Notfalls wie der Aortendissektion ist sehr herausfordernd, insbesondere wenn das Krankheitsbild im eigenen Zentrum nicht abschließend versorgt werden kann und vor Ort die personellen und intensivmedizinischen Kapazitäten erschöpft sind. Die Organisation der Verlegung in spezialisierte Abteilungen ist auch im Regelfall oft schwierig. Vor dem Hintergrund des individuellen Patientenwunschs wurde diese zusätzlich erschwert.
Das Spannungsfeld zwischen Op.-Indikation, Behandlungspflicht und Behandlungswunsch des Patienten verursachte einen Dissens zwischen den eingebundenen Mediziner:innen. „Wie helfe ich einem Patienten, der aus Glaubensgründen im Rahmen seiner Autonomie die empfohlene Therapie so nicht durchführen lassen will? Ab wann werden diese Versuche eingestellt? Ist es angesichts knapper Ressourcen vertretbar, eine ohne Transfusion scheinbar letal verlaufende Operation durchzuführen?“
Die Rechtslage ist hier bei einwilligungsfähigen, erwachsenen Patienten klar. Dem medizinischen Personal obliegt trotz der angespannten Situation keine Vernunftshoheit, der Autonomie des einwilligungsfähigen Patienten ist immer der Vorrang in der Entscheidungsfindung zu geben, auch wenn hierfür der möglicherweise verfrüht eintretende Tod in Kauf genommen werden muss. Andernfalls droht eine Klage wegen Körperverletzung. Die allgemeine Rechtspflicht zur Hilfeleistung verpflichtet im Notfall dennoch zum Behandlungsangebot. Dass eine fehlende Transfusion die Erfolgsaussichten der Operation mitunter deutlich mindert, spielt hier zunächst keine Rolle. Die Grundsätze der Fürsorge und des Nichtschadens fordern maximale Bemühungen für den Patienten im Rahmen des Machbaren und medizinisch Sinnvollen, jedoch ohne ihm durch die unterlassenen oder erfolgten Maßnahmen zu schaden [1, 8]. Die einzig medizinisch und ethisch vertretbare Option ist also, dem Patientenwunsch nachzugehen und eine Behandlungsoption ohne Transfusion anzubieten, auch wenn im Einzelfall begrenzte OP-Kapazitäten hierdurch blockiert werden.
Dennoch stellt sich die Frage: „Wie viel Aufwand, einen OP-Platz zu finden, ist in Anbetracht anderer, behandlungspflichtiger Notfälle tragbar?“
Das Management von Patienten in der Notaufnahme ist immer auch dem situativen Gesamtbild unterworfen, sodass im Einzelfall das Wahren der Gerechtigkeit als medizinethisches Grundprinzip nicht immer zufriedenstellend gelingt. Eine verzögerte Sichtung und Behandlung weiterer Notfälle zugunsten eines Einzelnen soll dennoch nicht in Kauf genommen werden. Hilfestellung können beispielsweise Algorithmen zur ethischen „Rationierung“ knapper Ressourcen bieten. Diese können u.A. durch eine Gegenüberstellung des Nutzens und der Erfolgsaussichten einerseits und des Aufwands andererseits erfolgen, wobei auch ethische Fragestellungen zunehmend einen Bestandteil der Entscheidungsfindung darstellen [57]. Auch wenn das Management des Patienten für das Personal eine große Herausforderung war, konnten für zukünftige Fälle sowohl ethisch als auch organisatorisch gute Erkenntnisse gewonnen werden.
Insbesondere in derartigen Fällen zeigt sich der hohe Stellenwert des differenzierten Managements von Krankheitsbildern und der Kenntnis alternativer Behandlungsstrategien, die auch das Einbeziehen von Aspekten spiritueller bzw. sozialer Natur ermöglichen. Oftmals werden Entscheidungen aufgrund von Unsicherheiten, Ängsten oder sozialem Druck von Behandlungsteam und Patienten anders getroffen, als diese es unter „optimalen“ Voraussetzungen tun würden [10]. Daher ist es gerade dann wichtig, als Behandlungsteam auf die Patienten zuzugehen und deren Ansichten und Wünsche nicht vorwegzunehmen, sondern aktiv zu erfragen. Auch der medizinische Standpunkt sollte klargestellt und deutlich kommuniziert werden, ohne zu beschönigen oder Druck auszuüben. Dies kann das gegenseitige Vertrauen stärken und die Therapieadhärenz und damit den Erfolg im Sinne der Patienten maßgeblich verbessern [10].

Fazit für die Praxis

  • Die Vereinbarkeit von bestmöglichen Therapieoptionen und Wahrung der Patientenautonomie kann herausfordernd sein, insbesondere wenn die medizinischen und personellen Ressourcen beschränkt sind.
  • Die ethischen Grundprinzipien (Autonomie, Fürsorge, Nichtschaden und Gerechtigkeit) aller Patienten müssen trotz begrenzter Ressourcen gleichermaßen gewahrt bleiben. Dies ist in der Realität oft nur als Kompromiss möglich und kann für das Team psychisch belastend sein. Wichtig zur Bewältigung und Prävention ist daher eine etablierte Organisationsethik mit standardisierten Prozessabläufen mitsamt Ansprechpartnern. Fortbildungsangebote sowie Debriefing, Aufklärung und Gesprächsangebote (Vermeidung von „second victims“) sollten hierbei wichtige Bestandteile sein.
  • Ethische und soziale Faktoren müssen in der Entscheidungsfindung genauso stark gewichtet werden wie medizinisch-fachliche Sachverhalte, da diese oft einen maßgeblichen Einfluss auf den Patientenwillen und auch auf den Umgang mit den Patienten und deren Angehörigen haben.
  • Vertreter:innen von Religionsgemeinschaften können zu einer verbesserten Compliance und zu einem erleichterten Zugang der Patient:innen zu spezialisierten Zentren beitragen und dem Team beratend zur Seite stehen. Daher sollten diese möglichst mit einbezogen werden.
  • Eine Liste mit Kliniken, die Erfahrung mit Eingriffen bei bestimmten Patientengruppen haben, kann hilfreich sein.

Danksagung

Wir danken Frau PD Dr. Paula Keschenau, Frau Mirja Stark und Herrn Prof. Dr. Bernd Niemann aus der Klinik für Herz‑, Kinderherz- und Gefäßchirurgie des Universitätsklinikums Gießen für ihre Unterstützung in der Aufarbeitung des Falls und die gute Zusammenarbeit.

Einhaltung ethischer Richtlinien

Interessenkonflikt

K. Wiedenhofer und L.-M. Hetjans geben folgende Interessenkonflikte an: Dieser Artikel wurde von den Helios Kliniken GmbH mit Übernahme der Publikationskosten durch die Helios Forschungsförderung unterstützt.
Für diesen Beitrag wurden von den Autor/-innen keine Studien an Menschen oder Tieren durchgeführt. Für die aufgeführten Studien gelten die jeweils dort angegebenen ethischen Richtlinien. Für Bildmaterial oder anderweitige Angaben innerhalb des Manuskripts, über die Patient/-innen zu identifizieren sind, liegt von ihnen und/oder ihren gesetzlichen Vertretern/Vertreterinnen eine schriftliche Einwilligung vor.
Open Access Dieser Artikel wird unter der Creative Commons Namensnennung 4.0 International Lizenz veröffentlicht, welche die Nutzung, Vervielfältigung, Bearbeitung, Verbreitung und Wiedergabe in jeglichem Medium und Format erlaubt, sofern Sie den/die ursprünglichen Autor(en) und die Quelle ordnungsgemäß nennen, einen Link zur Creative Commons Lizenz beifügen und angeben, ob Änderungen vorgenommen wurden.
Die in diesem Artikel enthaltenen Bilder und sonstiges Drittmaterial unterliegen ebenfalls der genannten Creative Commons Lizenz, sofern sich aus der Abbildungslegende nichts anderes ergibt. Sofern das betreffende Material nicht unter der genannten Creative Commons Lizenz steht und die betreffende Handlung nicht nach gesetzlichen Vorschriften erlaubt ist, ist für die oben aufgeführten Weiterverwendungen des Materials die Einwilligung des jeweiligen Rechteinhabers einzuholen.
Weitere Details zur Lizenz entnehmen Sie bitte der Lizenzinformation auf http://creativecommons.org/licenses/by/4.0/deed.de.

Hinweis des Verlags

Der Verlag bleibt in Hinblick auf geografische Zuordnungen und Gebietsbezeichnungen in veröffentlichten Karten und Institutsadressen neutral.
download
DOWNLOAD
print
DRUCKEN
Titel
Typ-A-Aortendissektion: Management in der Notaufnahme nach Ablehnung von Blutprodukten – ein Fallbericht
Verfasst von
Dr. Karl Wiedenhofer
Lisa-Marie Hetjans
Publikationsdatum
27.11.2024
Verlag
Springer Medizin
Erschienen in
Notfall + Rettungsmedizin / Ausgabe 7/2025
Print ISSN: 1434-6222
Elektronische ISSN: 1436-0578
DOI
https://doi.org/10.1007/s10049-024-01430-2
1.
Zurück zum Zitat Schelling P (2022) Ärztliche Entscheidungskonflikte: Fremdbluttransfusion und religiöse Anschauungen. Dtsch Ärztebl 119(3):A-90 / B‑74
2.
Zurück zum Zitat Deutsche Gesellschaft für Thorax‑, Herz- und Gefäßchirurgie e. V. (DGTHG) S2k-Leitlinie Behandlung der Thorakalen Aortendissektion Typ A, Stand: 03.02.2021
3.
Zurück zum Zitat Balboni TA et al (2022) Spirituality in serious illness and health. JAMA 328(2):184–197. https://doi.org/10.1001/jama.2022.11086CrossRefPubMed
4.
Zurück zum Zitat Chakraborty R et al (2017) A systematic review of religious beliefs about major end-of-life issues in the five major world religions. Palliat Support Care 15(5):609–622. https://doi.org/10.1017/S1478951516001061CrossRefPubMedPubMedCentral
5.
Zurück zum Zitat Marckmann G, Schildmann J (2022) Qualität und Ethik in der Gesundheitsversorgung” [Quality and ethics in healthcare]. Bundesgesundheitsblatt Gesundheitsforschung Gesundheitsschutz 65(3):335–341. https://doi.org/10.1007/s00103-022-03492-4CrossRefPubMedPubMedCentral
6.
Zurück zum Zitat Buyx AM et al (2011) Ethics and effectiveness: rationing healthcare by thresholds of minimum effectiveness. BMJ Clin Med 342(17):d54. https://doi.org/10.1136/bmj.d54CrossRef
7.
Zurück zum Zitat Burmeister C et al (2021) Organisationsethik in Einrichtungen des Gesundheitswesens. Ethik Medizin 33(2):153–158. https://doi.org/10.1007/s00481-021-00639-wCrossRef
8.
Zurück zum Zitat BGH, 28.11.1957–4 StR 525/57. „Einwilligung in ärztliche Heilbehandlung“. https://opinioiuris.de/entscheidung/883. Zugegriffen: 4. Juli 2024
9.
Zurück zum Zitat Watch Tower Bible and Tract Society of Pennsylvania Zeugen Jehovas und die Blutfrage. https://wol.jw.org/de/wol/d/r10/lp-x/1101977010. Zugegriffen: 4. Juli 2024
10.
Zurück zum Zitat Crookston KP, Kaufman M (2024) Approach to the patient who declines blood transfusion. UpToDate. https://www.uptodate.com/contents/approach-to-the-patient-who-declines-blood-transfusion. Zugegriffen: 9. Sept. 2024

Neu im Fachgebiet AINS

Mit den Schmerzen steigen die Troponinspiegel nach Hüft-Op.

Auf mögliche kardiale Auswirkungen postoperativer Schmerzen weist die Subgruppenanalyse des randomisierten kontrollierten HIP-ATTACK-Trials hin. Bei ausgeprägten Schmerzen im Zusammenhang mit einer Hüftoperation stiegen die Troponinspiegel signifikant an – ein Kausalzusammenhang ist damit allerdings noch nicht belegt.

7% durch chronische Schmerzen stark beeinträchtigt

Laut einer Querschnittstudie leiden rund 7% der in Deutschland lebenden über 16-Jährigen unter chronischen Schmerzen, die ihren Alltag stark beeinträchtigen. Außer biologischen scheinen auch psychische und soziale Faktoren mit sogenanntem High-Impact Chronic Pain assoziiert zu sein.

Elektroschrott: Wie Praxen Altgeräte sicher entsorgen

Ob nun Sonogerät, Praxiscomputer oder gar TI-Konnektor: Einfach zum nächsten Wertstoffhof sollten Praxisteams ausgediente Elektrogeräte nicht bringen. Was bei der Entsorgung zu beachten ist. Und wie die Teams sicher sensible Daten auf PC-Festplatte, externem Datenspeicher und TI-Komponenten löschen.

Hypothermie bei Sepsis – ein Warnsignal

  • 04.02.2026
  • Sepsis
  • Nachrichten

Im Fall einer Sepsis ist eine Körpertemperatur unter 36 °C bei älteren Menschen ein Warnsignal. In einer Studie aus Dänemark war bei Hypothermie, nicht aber bei Fieber das Mortalitätsrisiko deutlich erhöht.

e.Med Anästhesiologie - Alles drin für Ihr Fortbildungsziel ​ (Link öffnet in neuem Fenster)

Mit unserem e.Med Abo Anästhesiologie haben Sie jederzeit Zugriff auf aktuelles, ​praxisnahes Fachwissen – kompakt und einfach verfügbar. Jetzt CME-Punkte bequem online sammeln.

Update AINS

Bestellen Sie unseren Fach-Newsletter und bleiben Sie gut informiert.

Bildnachweise
Typ-A-Aortendissektion/© Wiedenhofer K, Hetjans L-M, doi.org/10.1007/s10049-024-01430-2 unter CC-BY 4.0, Troponintest/© MdBabul/stock.adobe.com (Symbolbild mit Fotomodell), Verschiedene Tabletten/© zozzzzo / Getty Images / iStock, Ultraschalluntersuchung der Niere/© Your_Photo_Today (Symbolbild mit Fotomodellen), Ohrthermometer/© fresnel6 / Stock.adobe.com (Symbolbild mit Fotomodellen), e.Med Anästhesiologie