Zum Inhalt

Stresstest für den GI-Trakt: Blutungsraten unter NOAKs

Jede Antikoagulation stellt für den Gastrointestinaltrakt eine Stresssituation dar, in der sich ein Risiko für Blutungen ergibt. Verschiedene Medikamente gehen mit unterschiedlichen Wahrscheinlichkeiten für Blutungen einher, die bei der Auswahl der Behandlung bedacht werden sollten.

weiterlesen

Kasuistiken

Ungewöhnliche Ursache für Perforation des Magens

Wiederholtes kaffeesatzartiges Erbrechen, aber keine eindeutigen Befunde bei der Endoskopie sowie Computertomografie. Was fehlt dem geschwächten 85-jährigen Patienten mit multiplen Voroperationen aufgrund von Prostata-, Harnblasen- und Kolonkarzinomen?

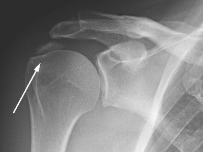
Hund heilt Herrchen von jahrelangem Schmerzproblem

Ausgeprägte rezidivierende Schulterschmerzen mit Kalkdepot oberhalb des Tuberculum majus begleiten einen 39-jährigen Mann über Jahre und trotzen jeglicher Physiotherapie. Dann greift der Dobermann des Patienten auf die rabiatere Tour ein. Und endlich ist Herrchen wieder schmerzfrei.

73-Jährige mit Schlaganfall unter DOAK-Therapie – wie würden Sie vorgehen?

Eine 73-jährige Patientin wird aufgrund eines akuten Anfalls mit einer Sprachstörung und einer mäßig ausgeprägten Hemiparese rechts vom Notarzt eingeliefert. Die Patientin war aufgrund eines nicht valvulären permanenten Vorhofflimmerns mit Dabigatran 150 mg BID (2-mal/Tag) antikoaguliert. Wie würden Sie weiter vorgehen?

Weitere Artikel aus unseren Fachzeitschriften

Stresstest für den GI-Trakt: Blutungsraten unter NOAKs

Jede Antikoagulation stellt für den Gastrointestinaltrakt eine Stresssituation dar, in der sich ein Risiko für Blutungen ergibt. Verschiedene Medikamente gehen mit unterschiedlichen Wahrscheinlichkeiten für Blutungen einher, die bei der Auswahl der Behandlung bedacht werden sollten.

Antikoagulation vor Eingriffen am Auge pausieren?

Die 71-jährige Frau M. stellt sich in der hausärztlichen Praxis mit einer Frage zu ihrer anstehenden Augenoperation vor. Sie wird in vier Wochen elektiv an den Augenlidern operiert und fragt, ob sie ihre Medikation beibehalten kann. Bei …

Akute und chronische intrakranielle Blutungen unter DOAK

Intrakranielle Blutungen stellen die schwerwiegendste Komplikation der oralen Antikoagulationstherapie dar. Angesichts der hohen Morbidität und Mortalität dieser Ereignisse sind eine zeitnahe Diagnostik sowie eine effektive …

DOAK-Überdosierung: So gehen Sie im Notfall vor

Bei einer 66-jährigen Notfallpatientin mit initial unklarer Vigilanzminderung und diffusen Blutungen kommt es zum Multiorganversagen. Ursache war eine Überdosierung mit direkten oralen Antikoagulanzien (DOAK). Welches Vorgehen wird in Fällen wie diesem empfohlen? Praxisempfehlungen zu Diagnostik und Akuttherapie.

Nicht gefunden, wonach Sie suchten?

Probieren Sie es mit der Suchfunktion:

Kompaktes Leitlinien-Wissen Innere Medizin (Link öffnet in neuem Fenster)

Mit medbee Pocketcards schnell und sicher entscheiden.
Leitlinien-Wissen kostenlos und immer griffbereit auf ihrem Desktop, Handy oder Tablet.

Neu im Fachgebiet Innere Medizin

Antisense-Medikament senkt Triglyzeride und Pankreatitis-Risiko

In zwei Phase-3-Studien zeigte eine Therapie mit dem Antisense-Oligonukleotid Olezarsen einen starken Triglyzerid-senkenden Effekt bei Betroffenen mit schwerer Hypertriglyzeridämie. Auch das Risiko für akute Pankreatitiden reduzierte sich.

SGLT2-Inhibitoren schützen Nieren auch noch im CKD-Stadium 4

Von der nephroprotektiven Wirkung der SGLT2-Inhibitoren profitieren offenbar auch Menschen mit bereits weit fortgeschrittener chronischer Nierenerkrankung.

Steigert Langzeit-Cannabiskonsum das Risiko für Hodentumoren?

Männer, die regelmäßig oder über viele Jahre Cannabis konsumieren, entwickeln häufiger testikuläre Keimzelltumoren – vor allem nicht-seminomatöse Formen. Darauf verweist eine Analyse von drei Fall-Kontroll- und zwei Beobachtungsstudien.

Akute Zystitis kann auf künftigen Krebs hinweisen

Die Diagnose einer akuten Zystitis im Alter ab 50 Jahren hat sich in einer Studie als nützlicher Prädiktor kommender urogenitaler Krebserkrankungen erwiesen. Besonders hoch ist das Risiko demnach in den ersten drei Monaten nach der Blasenentzündung.

Update Innere Medizin

Bestellen Sie unseren Fach-Newsletter und bleiben Sie gut informiert.

Bildnachweise
Mann nimmt eine Tablette ein/© Jelena Stanojkovic / stock.adobe.com (Symbolbild mit Fotomodell), Viele Ärzte versorgen einen Patienten/© Monkey Business / Stock.adobe.com (Symbolbild mit Fotomodellen), Hypertrophe, teils pseudopolypös anmutende Schleimhautfalten, mit Koagel, Sickerblutung und Hämatin/© H. Lutz, Eingang Notaufnahme im Krankenhaus/© ghazii / stock.adobe.com, Person hält Tablette und Glas/© bilderstoeckchen / stock.adobe.com (Symbolbild mit Fotomodell), Älterer Mann schaut kritisch auf Tabletten/© Mediteraneo / stock.adobe.com (Symbolbild mit Fotomodell), Ältere Frau nimmt Tablette ein/© Kseniia / stock.adobe.com (Symbolbild mit Fotomodell), Medikamentenplan mit Medikamenten/© Henrik Dolle / stock.adobe.com, Schulter a.p. /© Praxis Krapf, Schlaganfall unter NOAK-Therapie/© (Mit freundlicher Genehmigung), Search Icon, Die Leitlinien für Ärztinnen und Ärzte, Mann raucht Joint/© Daniel Sierralta / Westend61 / stock.adobe.com (Symbolbild mit Fotomodell), Blut in Toilette/© stylefoto24 / stock.adobe.com