Zum Inhalt

Der pädiatrische Schlaganfall: Time is brain

Erschienen in:
download
DOWNLOAD
print
DRUCKEN
insite
SUCHEN

Zusammenfassung

Wir berichten über den Fall eines 10-jährigen Patienten mit einer plötzlich aufgetretenen Hemiparese und Fazialisparese der rechten Körperhälfte. Als Ursache dieses kindlichen Schlaganfalls fand sich eine Angiographie-positive, nichtprogrediente Großgefäßvaskulitis als Subtyp einer cPACNS. Eine unmittelbare Diagnostik und Therapie der geschilderten Notfallsituation führte zu einer annähernden Restitutio ad integrum. Die cPACNS ist eine relevante Differenzialdiagnose eines kindlichen Schlaganfalls.
Die Autoren J. Margreitter und W. Mitterer haben zu gleichen Teilen zum Manuskript beigetragen.
QR-Code scannen & Beitrag online lesen

Hinweis des Verlags

Der Verlag bleibt in Hinblick auf geografische Zuordnungen und Gebietsbezeichnungen in veröffentlichten Karten und Institutsadressen neutral.

Anamnese

Ein 10 Jahre alter bislang gesunder Knabe wird in den Nachtstunden mit dem klinischen Bild einer Dysarthrie und Aphasie, Hemiplegie rechts und zentraler Fazialisparese rechts mit dem Rettungsdienst in die pädiatrische Notfallambulanz eines Universitätsklinikums gebracht. Der Patient wird eine Stunde zuvor von Familienmitgliedern zuhause auf dem Boden liegend vorgefunden. Laut Angaben der Begleitperson hat der Patient keine Vorerkrankungen und keine Vormedikation. Alle Geschwister (eine Schwester, zwei Brüder im Alter von 15 bis 30 Jahren) seien ebenfalls gesund, die Familienanamnese für kardiovaskuläre, neurologische oder rheumatologische Erkrankungen im Kindes- bzw. jungen Erwachsenenalter ist unauffällig. Ein Impfstatus besteht anamnestisch nach den Empfehlungen des Nationalen Impfgremiums (NIG).

Diagnostik

Klinische Untersuchung

Klinische Untersuchung: Bei Aufnahme ist der Patient wach, kooperativ und versteht Aufforderungen. Eine geordnete Konversation ist bei klinischem Bild einer Dysarthrie und Aphasie nicht möglich. Es imponiert eine zentrale Fazialisparese rechts sowie eine schlaffe Hemiparese der rechten oberen und unteren Extremität, jeweils mit einem Kraftgrad 2/5. Stehen und Gehen ist nicht möglich. Die Sensibilität ist allseits intakt. Der Babinski-Reflex ist rechts positiv. Der National Institute of Health Stroke Score [1] beträgt bei Aufnahme 15.

Labor

Im initialen Labor zeigen sich Elektrolyte, C‑reaktives Protein, Blutglukose und Blutbild inklusive Differenzialblutbild im Normbereich. Das von-Willebrand-Antigen ist erhöht. SARS-CoV-2-Antigen und -Antikörper können nicht nachgewiesen werden. Eine durchgeführte Liquorpunktion zeigt einen klaren Liquor ohne Pleozytose. Weitere Untersuchungen (Liquorkultur und -PCR) bezüglich neurotroper Erreger zeigen ebenso unauffällige Befunde. Die Diagnostik in Richtung einer Stoffwechselerkrankung als mögliche differenzialdiagnostische Ursache erbringt weder im Plasma noch im Harn einen auffälligen Befund. Die molekulargenetische Analyse bezüglich multisystemischer Dysfunktion der glatten Muskeln (ACTA2), Adenosin-Desaminase-2-Mangel (ADA2), einer Mutation im COL4A1- oder COL4A2-Gen ist ebenfalls unauffällig.

Bildgebung

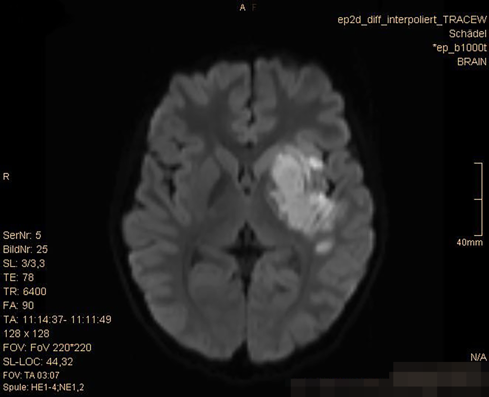
In der durchgeführten kranialen MRT (cMRT) zeigt sich eine nichtdemarkierte Diffusionsstörung im Mediastromgebiet links, genauer im Bereich der Basalganglien links mit Beteiligung der Inselrinde, ohne Nachweis eines Gefäßverschlusses oder -dissektion (Abb. 1 und 2).
Abb. 1
Axiale DWI-MRT (b1000) mit Bild einer Diffusionsrestriktion in den Basalganglien und der Inselrinde der linken Seite
Bild vergrößern
Abb. 2
Kontrastmittelunterstützte MR-Angiographie offenbart Wandunregelmäßigkeiten und Stenose der distalen ACI. (Pfeilspitze) und des M1-Segments der ACM der linken Seite im Verlauf
Bild vergrößern
Diagnose: Kindlicher Schlaganfall auf Grundlage einer Vaskulitis der Arteria cerebri media links

Therapie und Verlauf

Es wird die Diagnose eines kindlichen Schlaganfalls gestellt; weitere Differentialdiagnosen sind in Tab. 1 angeführt. Eine in der cMRT gezeigte Diffusionsrestriktion im Mediaversorgungsgebiet links erhärtet die Diagnose. Es wird im intensivmedizinischen Setting eine systemische Lysetherapie mit Alteplase (Actilyse®) in der Dosierung 0,9 mg/kg innerhalb eines Zeitfensters von 02:55 h nach Symptombeginn durchgeführt. In stabilem Allgemeinzustand kann der Patient in weiterer Folge am vierten Tag mit schlaffer Hemiparese und zentraler Fazialisparese rechts unter laufender kontinuierlicher Heparintherapie in der Dosierung 15 IE/kg/h mit einer Ziel-PTT im Normbereich zur Vorbeugung eines Rebound-Phänomens nach erfolgter Lysetherapie auf die Normalstation verlegt werden. Die cMRT am 7. Tag nach Symptombeginn mit Gefäßdarstellung zeigt Kaliberirregularitäten teilweise mit Stenosierungen im Bereich der distalen Arteria carotis interna, im A1-Segment der A. cerebri anterior sowie im M1-Segment der A. cerebri media links. Die rechts- und einseitige klinische Präsentation des Schlaganfalls, die fehlenden Entzündungszeichen, ein erhöhtes von-Willebrand-Antigen als Zeichen der Endothelaktivierung, die unilaterale Gefäßmanifestation sowie die Morphologie der Bildgebung sind somit passend zum Bild einer primären ZNS-Vaskulitis des Kindesalters („childhood primary angiitis of the central nervous system“, cPACNS). Es liegt der Subtyp einer idiopathischen Angiographie-positiven nichtprogredienten Großgefäßvaskulitis vor [24]. Therapeutisch erhält der Patient in weiterer Folge eine Methylprednisolon-Stoßtherapie in der Dosierung 20 mg/kg/Tag für 3 Tage mit anschließender oraler Therapie mit Prednisolon in der Dosierung 2 mg/kg/Tag, welche über 10 Wochen ausgeschlichen wird. Zudem werden eine Thrombozytenaggregationshemmung mit Acetylsalicylsäure 200 mg für 2 Jahre sowie eine Antikoagulation mit Enoxaparin 20 mg für 3 Monate veranlasst [5, 6]. Der Patient kann zur weiterführenden Rehabilitation an ein pädiatrisches Reha-Zentrum verlegt werden.
Tab. 1
Differenzialdiagnosen Halbseitensymptomatik im Kindesalter [7]
Intrakranielle Blutung
Ischämischer Insult
Meningitis bzw. Enzephalitis
ADEM
ZNS Neubildung
Metabolisch
Migräne bzw. Vasospasmus
Hemiplegische Migräne
Konvulsiv bzw. postiktal
Nichtorganisch

Fazit für die Praxis

Eine akute Hemiparese im Kindes- oder Jugendalter ist primär als kindlicher Schlaganfall zu interpretieren. Sie ist stets als Notfallsituation anzusehen und als solche nach Stabilisierung der Vitalparameter so rasch als möglich mittels Bildgebung abzuklären. Eine Auflistung der gängigen Differenzialdiagnosen ist Tab. 1 zu entnehmen. Die Weltgesundheitsorganisation (WHO) definiert einen Schlaganfall als „plötzlich entwickelnde Zeichen von fokaler bzw. globaler Beeinträchtigung der Hirnfunktion länger als 24 h anhaltend oder zum Tode führend mit keinem anderen offensichtlichen Grund als des vaskulären Ausgangspunkts“. Der kindliche Schlaganfall ist eine mit einer Inzidenz von 1,2 bis 13 Fällen pro 100.000 Kindern eine seltene Erkrankung. Im Vordergrund steht neben dem raschen Erkennen der Notfallsituation, einer ausführlichen und rationalen begründeten Diagnostik (klinisch-neurologische Untersuchung, laborchemische Analyse, Bildgebung) vor allem eine kausale Akuttherapie. Die weiterführende Therapie besteht zum einen in der Therapie der zugrundeliegenden Pathologie, zum anderen in einer konsequenten Sekundärprävention.

Einhaltung ethischer Richtlinien

Interessenkonflikt

J. Margreitter, W. Mitterer, T. Janjic, W. Streif, T. Müller, E. Heinz-Erian, J. Krösslhuber, M. Baumann und J. Brunner geben an, dass kein Interessenkonflikt besteht.
Für diesen Beitrag wurden von den Autor/-innen keine Studien an Menschen oder Tieren durchgeführt. Für die aufgeführten Studien gelten die jeweils dort angegebenen ethischen Richtlinien.
Open Access Dieser Artikel wird unter der Creative Commons Namensnennung 4.0 International Lizenz veröffentlicht, welche die Nutzung, Vervielfältigung, Bearbeitung, Verbreitung und Wiedergabe in jeglichem Medium und Format erlaubt, sofern Sie den/die ursprünglichen Autor(en) und die Quelle ordnungsgemäß nennen, einen Link zur Creative Commons Lizenz beifügen und angeben, ob Änderungen vorgenommen wurden.
Die in diesem Artikel enthaltenen Bilder und sonstiges Drittmaterial unterliegen ebenfalls der genannten Creative Commons Lizenz, sofern sich aus der Abbildungslegende nichts anderes ergibt. Sofern das betreffende Material nicht unter der genannten Creative Commons Lizenz steht und die betreffende Handlung nicht nach gesetzlichen Vorschriften erlaubt ist, ist für die oben aufgeführten Weiterverwendungen des Materials die Einwilligung des jeweiligen Rechteinhabers einzuholen.
Weitere Details zur Lizenz entnehmen Sie bitte der Lizenzinformation auf http://​creativecommons.​org/​licenses/​by/​4.​0/​deed.​de.

Hinweis des Verlags

Der Verlag bleibt in Hinblick auf geografische Zuordnungen und Gebietsbezeichnungen in veröffentlichten Karten und Institutsadressen neutral.

Unsere Produktempfehlungen

e.Med Interdisziplinär

Kombi-Abonnement

Für Ihren Erfolg in Klinik und Praxis - Die beste Hilfe in Ihrem Arbeitsalltag

Mit e.Med Interdisziplinär erhalten Sie Zugang zu allen CME-Fortbildungen und Fachzeitschriften auf SpringerMedizin.de.

e.Med Pädiatrie

Kombi-Abonnement

Mit e.Med Pädiatrie erhalten Sie Zugang zu CME-Fortbildungen des Fachgebietes Pädiatrie, den Premium-Inhalten der pädiatrischen Fachzeitschriften, inklusive einer gedruckten Pädiatrie-Zeitschrift Ihrer Wahl.

Pädiatrie & Pädologie

Print-Titel

Aktuelle Fortbildungseinheiten aus allen Gebieten der KinderheilkundeInterviews mit Fachexperten

Neueste diagnostische und therapeutische Hinweise

6 Hefte pro Jahr Normalpreis 104,00 € in 2016 zzgl ...

download
DOWNLOAD
print
DRUCKEN
Titel
Der pädiatrische Schlaganfall: Time is brain
Verfasst von
Dr. Julian Margreitter
W. Mitterer
T. Janjic
W. Streif
T. Müller
E. Heinz-Erian
J. Krösslhuber
M. Baumann
J. Brunner
Publikationsdatum
27.09.2024
1.
Zurück zum Zitat Ichord R, Bastian R, Abraham L, Askalan R, Benedict S, Bernard T et al (2011) Interrater Reliability of the Pediatric National Institutes of Health Stroke Scale (PedNIHSS) in a Multicenter Study. Stroke 42(3):613–617 (Mar)PubMedPubMedCentral
2.
Zurück zum Zitat Aviv RI, Benseler SM, Silverman ED, Tyrrell PN, Deveber G, Tsang LM et al (2006) MR imaging and angiography of primary CNS vasculitis of childhood. AJNR Am J Neuroradiol 27(1):192–199 (Jan)PubMedPubMedCentral
3.
Zurück zum Zitat Küker W, Gaertner S, Nagele T, Dopfer C, Schoning M, Fiehler J et al (2008) Vessel wall contrast enhancement: a diagnostic sign of cerebral vasculitis. Cerebrovasc Dis 26(1):23–29PubMedPubMedCentral
4.
Zurück zum Zitat Cellucci T, Tyrrell P, Pullenayegum E, Benseler S (2012) Von Willebrand factor antigen—a possible biomarker of disease activity in childhood central nervous system vasculitis? Rheumatol 51(10):1838–1845 (Oct)
5.
Zurück zum Zitat Quan A, Brunner J, Rose B, Smitka M, Hahn GG, Pain C et al (2021) Diagnosis and Treatment of Angiography Positive Medium to Large Vessel Childhood Primary Angiitis of Central Nervous System (p-cPACNS): An International Survey. Front Pediatr 9:654537PubMedPubMedCentral
6.
Zurück zum Zitat Beelen J, Benseler S, Dropol A, Ghali B, Twilt M (2019) Strategies for treatment of childhood primary angiitis of the central nervous system. Neurol Neuroimmunol Neuroinflamm 6(4):e567PubMedPubMedCentral
7.
Zurück zum Zitat Bhate S, Ganesan V (2015) A practical approach to acute hemiparesis in children. Dev Med Child Neurol 57(8):689–697 (Aug)PubMed
8.
Zurück zum Zitat Aho K, Harmsen P, Hatano S, Marquardsen J, Smirnov VE, Strasser T (1980) Cerebrovascular disease in the community: results of a WHO collaborative study. Bull World Health Organ 58(1):113–130PubMedPubMedCentral
9.
Zurück zum Zitat Tsze DS, Valente JH (2011) Pediatric Stroke: a review. Emerg Med Int 734506:
10.
Zurück zum Zitat Gerstl L, Weinberger R, von Kries R, Heinen F, Schroeder AS, Bonfert MV et al (2018) Risk factors in childhood arterial ischaemic stroke: Findings from a population-based study in Germany. Eur J Paediatr Neurol 22(3):380–386 (May)PubMed
11.
Zurück zum Zitat Ferriero D, Fullerton H, Bernard T, Billinghurst L, Daniels S, DeBaun M et al (2019) Management of Stroke in Neonates and Children: A Scientific Statement From the American Heart Association/American Stroke Association. Stroke 50(3):e51–e96PubMed

Kompaktes Leitlinien-Wissen Pädiatrie (Link öffnet in neuem Fenster)

Mit medbee Pocketcards schnell und sicher entscheiden.
Leitlinien-Wissen kostenlos und immer griffbereit auf ihrem Desktop, Handy oder Tablet.

Neu im Fachgebiet Pädiatrie

Welche Kinder holen Entwicklungsverzögerungen auf – und welche nicht?

Eine israelische Kohortenstudie belegt, dass sich vorübergehende von anhaltenden Entwicklungsverzögerungen bei Säuglingen mithilfe routinemäßiger Surveillance-Daten zuverlässig unterscheiden lassen. Die THIS-Skala und einfache Entscheidungsregeln können die Früherkennung deutlich verbessern.

Jedes vierte adipöse Kind mit zu hohem Bluthochdruck

Hoher Blutdruck ist bei Kindern und Jugendlichen in Europa offenbar stark verbreitet. Ein internationales Team fordert: Häufiger messen und frühzeitig intervenieren, vor allem bei Adipositas!

Kindlicher Rückenschmerz: Vom Schulranzen bis zur Spondylitis

Rückenschmerzen bei Kindern und Jugendlichen sind kein triviales Beschwerdebild. Neben funktionellen Ursachen müssen auch ernsthafte Pathologien bedacht werden. Eine sorgfältige klinische Abklärung mit Blick auf „Red Flags“ ist daher entscheidend.

Bundesverfassungsgericht: Triage-Regelung nicht mit Grundgesetz vereinbar

Das Bundesverfassungsgericht hat Regelungen zur Triage für nichtig erklärt. Es gab damit Verfassungsbeschwerden von Intensiv- und Notfallmedizinern statt. Der Eingriff in die Berufsfreiheit der Ärztinnen und Ärzte sei verfassungsrechtlich nicht gerechtfertigt, betont das Gericht.

Update Pädiatrie

Bestellen Sie unseren Fach-Newsletter und bleiben Sie gut informiert.

Bildnachweise
MRT des Gehirns eines 10-jährigen Jungens mit Schlaganfall /© Margreitter J. et al. https://doi.org/10.1007/s00608-024-01245-x unter CC-BY 4.0, Die Leitlinien für Ärztinnen und Ärzte, Adipösem Jungen wird Blutdruck gemessen/© New Africa / stock.adobe.com (Symbolbild mit Fotomodell), Rückenuntersuchung bei kleinem Mädchen/© Viacheslav Lakobchuk / stock.adobe.com (Symbolbild mit Fotomodellen), Junge Ärztin vor einem Triage-Zelt/© Milos / Stock.adobe.com (Symbolbild mit Fotomodell)