Zum Inhalt

Arthroskopie

Kasuistiken zum Thema

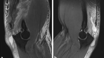
Beidseitige Trizepssehnenruptur nach unglücklichem Fahrradsturz

Ein 54-jähriger Patient fällt vom Fahrrad und stürzt dabei auf beide Unterarme. Noch zwei Wochen später empfindet ein beidseitiges Extensionskraftdefizit, weshalb er medizinischen Rat sucht. Die Bildgebung bestätigt den Verdacht der klinischen Untersuchung: knöcherne Avulsion des distalen M. triceps brachii beidseits.

Unklare Raumforderung der proximalen Ulna

Ein 57-jähriger Metzgermeister stellte sich mit seit 20 Jahren wiederkehrenden linkseitigen Ellenbogenschmerzen vor. Bei uneingeschränktem Bewegungsumfang fiel in der klinischen Untersuchung lediglich ein geringes, positives Cozen-Zeichen sowie ein dezenter Druckschmerz über dem M. anconeus auf. Erkennen Sie die Ursache?

Schulterschmerz nach Sturz beim Hockey-Spiel

Bei einem 21-jährigen Patienten traten nach einem Sturz beim Uni-Hockey starke Schmerzen auf, nachdem sich die Schulter ohne fremde Hilfe reponierte. Der linke Arm wurde in einer Innenrotationsschonhaltung gehalten. Erkennen Sie die seltene Schulterverletzung?

Schmerzhaftes Snapping-Scapula-Syndrom

Ein 28-jähriger Elektroingenieur stellte in der Schultersprechstunde vor wegen langsam einsetzender und seit etwa 5 Jahren bestehender Schmerzen mit kontinuierlicher Zunahme im Bereich der rechten Skapula ohne erinnerliches Trauma. Eine spezifische Therapie war bis dato noch nicht erfolgt.

Dorsaler Knieschmerz, aber im nativen MRT war nichts zu sehen

Kein vorheriges Trauma oder Sturzereignis: Eine 40-jährige Patientin stellte sich mit Schmerzen im Bereich des linken Kniegelenkes vor, welche seit ca. 18 Monaten bestanden. Das native MRT reichte nicht für die vollständige Diagnose.

Ungewöhnlicher Kniegelenkschmerz

Eine 17-jährige sportliche Reiterin stellt sich mit innenseitigen Kniegelenkbeschwerden vor, bestehend seid einem Jahr und in den letzten Monaten progredient. Ihr Gangbild war flüssig – doch palpatorisch ließ sich ein isolierter Druckschmerz im Bereich des medialen Kniegelenkspalts auslösen. Was war die Ursache dafür?

Schmerzhafte und kraftlose Schulter ohne aktuelle Traumaanamnese

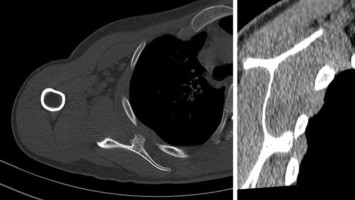
Ein 30-jähriger, rechtshändiger Berufsunteroffizier stürzt mit dem Motorroller nach vorn und fängt den Sturz mit beiden gestreckten Armen auf. Sofort verspürt der Patient starke Schmerzen im lateralen mittleren Drittel des Oberarms. Zwei Monate nach dem Trauma stellt er sich vor und zeigte einen guten Allgemeinzustand ohne Schmerzen. Er hatte jedoch eine Delle am Oberarm entdeckt und klagte über Kraftverlust am Ellenbogen. Wie lautet Ihre Diagnose?

Kann eine Kette gleichzeitig an zwei Stellen reißen?

Ein 18-jähriger athletischer Rechtshänder stellte sich aufgrund einer progredienten Instabilitätssymptomatik der adominanten Schulter vor. Dabei berichtete er von multiplen Subluxationsereignissen und einigen kompletten Auskugelungen in eine angedeutete „Erecta“-Stellung, die der Patient selbst reponieren konnte. Konventionell radiologisch war alles unauffällig. Der MR-tomographische Befund durch die Artho-MRT-Untersuchung widersprach jedoch diesem Eindruck.

Arthropedia

Grundlagenwissen der Arthroskopie und Gelenkchirurgie erweitert durch Fallbeispiele, Videos und Abbildungen. Zur Fortbildung und Wissenserweiterung, verfasst und geprüft von Expertinnen und Experten der Gesellschaft für Arthroskopie und Gelenkchirurgie (AGA).


Jetzt entdecken!

Neu im Fachgebiet Orthopädie und Unfallchirurgie

Robuste antitumorale Aktivität bei tenosynovialem Riesenzelltumor

Die 2-Jahres-Daten der Phase-III-Studie MOTION bestätigen Vimseltinib als anhaltend wirksame Therapieoption für Patientinnen und Patienten mit tenosynovialen Riesenzelltumoren bei handhabbarem Risikoprofil.

Pincer-Impingement und Coxarthrose: Auf den CE-Winkel kommt es an!

Das sogenannte Beißzangen-Impingement des Hüftgelenks war in einer großen Kohortenstudie mit einem signifikant höheren Risiko für eine spätere Coxarthrose assoziiert – allerdings nur dann, wenn ein bestimmter Wert beim CE-Winkel überschritten wurde.

STAR-Approach: „Das Beste aus zwei Welten“

Mit dem STAR-Approach, einem modifizierten posterioren Zugang zum Hüftgelenk, erreicht man nicht nur optimalen Überblick, sondern auch die vollständige Schonung des M. piriformis und wichtiger Nerven.

Sprunggelenksfraktur: Die Fünf-Millimeter-Grenze als OP-Indikation

Ob bei Sprunggelenksfrakturen operiert wird, hängt von der Stabilität und Gelenkkongruenz ab. Entscheidend ist die Messung des medialen Gelenkspalts im Belastungsröntgen. Warum die Fünf-Millimeter-Regel hilft, unnötige Operationen zu vermeiden, stellte Dr. Helen Anwander auf dem Orthopädie und Unfallchirurgie Kongress vor.

Update Orthopädie und Unfallchirurgie

Bestellen Sie unseren Fach-Newsletter und bleiben Sie gut informiert.

Bildnachweise
Orthopäde untersucht Patientin mittels Thomas-Handgriff /© Valle C et al. / all rights reserved Springer Medizin Verlag GmbH, MRT bei Epikondylopathia humeri radialis/© T. Leschinger, Mediale Meniskusallografttransplantation /© Winkler PW et al. doi.org/10.1007/s43205-025-00320-y unter CC-BY 4.0, Stressfrakturen des Schenkelhalses bei femoroazetabulärem Impingement/© Springer Medizin, Operation/© Alexander Lupin / Stock.adobe.com (Symbolbild mit Fotomodellen), Arthrose am Kniegelenk: Quantitative MRT-Analyse/© Springer Medizin, Rotatorenmanschette/© Springer Verlag GmbH, Arthropedia, Bildgebung Fraktur des oberen Sprunggelenks/© Klinik für Unfall-, Hand- und Wiederherstellungschirurgie, Universitätsklinikum Münster, Arthrose im Ellenbogen/© Zumbansen N. et al. / all rights reserved Springer Medizin Verlag GmbH, Magnetresonanztomographie: distale Trizepssehnenruptur/© Tegeder L et al. / all rights reserved Springer Medizin Verlag GmbH, Chronische, granulomatöse Entzündung am Ellenbogen/© Springer Medizin, Arthro-MRT der linken Schulter/© Springer Medizin, Search Icon, Frau unkenntlich fasst sich ans Knie/© Pornpak Khunatorn / Getty Images / iStock (Symbolbild mit Fotomodell), Ärzteteam führt Hüftoperation durch/© ATRPhoto / stock.adobe.com (Symbolbild mit Fotomodell), Gebrochener Fuß im Gips/© Aleksandr Kirillov / stock.adobe.com (Symbolbild mit Fotomodell)