Zum Inhalt
Knie Journal

Die vier klassischen MRT-Zeichen einer chronischen, medialen Meniskushinterwurzelläsion

  • Open Access
  • 13.01.2023
  • Arthroskopie
  • Klinischer Schnappschuss
Erschienen in:
download
DOWNLOAD
print
DRUCKEN
insite
SUCHEN
QR-Code scannen & Beitrag online lesen
Eine 45-jährige Patientin stellt sich mit einem akuten Kniegelenkserguss in der Notfallambulanz vor. Aufgetreten sei dieser vor 2 Tagen, nachdem sie sich aus der Hockstellung erhoben und ein stark schmerzhaftes Knacken in der Kniekehle verspürt hat. Ein stehendes Knie-Röntgenbild schloss eine Arthrose aus.
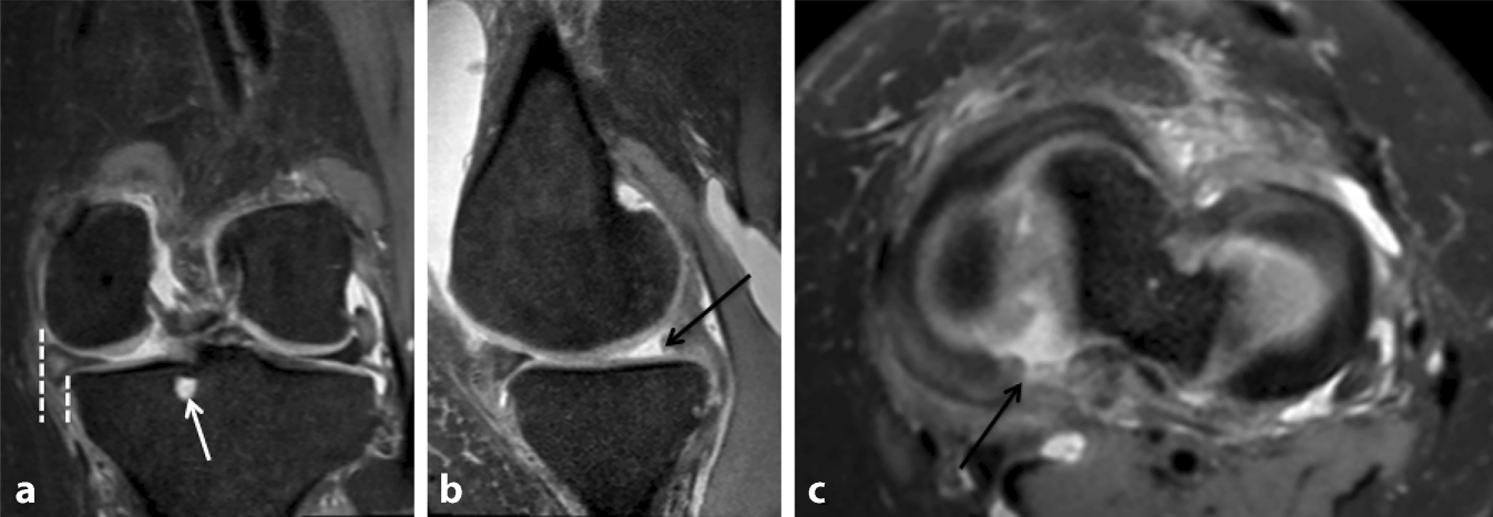
Das MRT zeigt einen dorsalen Wurzelausriss des medialen Meniskus mit der dafür klassischen Trias (Abb. 1): 1) eine Meniskusextrusion von > 3 mm in der Koronalebene 2) ein „ghost sign“ (Fehlen des Meniskus auf mehr als 3 aufeinanderfolgenden Sagittalschnitten), 3) eine subchondrale Knochenzyste im Bereich des dorsalen Wurzelansatzes. Als weiteres Zeichen findet sich eine intrameniskale, T2-hyperintensive Hypertrophie des Meniskuskörpers, hinweisend auf einen degenerativen Ursprung.
Abb. 1
Das MRT zeigt eine hintere Wurzelabrissstelle des medialen Meniskus. In der koronalen Ebene (a) beträgt die Extrusion des medialen Meniskus mehr als 3 mm (gepunktete Linien), und am Ansatz der Wurzel ist eine Knochenzyste (weißer Pfeil) zu erkennen. In der Sagittalebene (b) ist das Geisterzeichen zu erkennen (Fehlen des Meniskus bei 3 aufeinanderfolgenden Schnitten, schwarzer Pfeil). In der axialen Ebene (c) kann eine Wurzelablösung beobachtet werden
Bild vergrößern
Um eine rasch progrediente, mediale Gonarthrose, aufgrund der verlorenen meniskalen Ringspannung zu vermeiden, wurde eine arthroskopisch-assistierte, transossäre Wurzelrefixation durchgeführt (Abb. 2).
Abb. 2
Arthroskopie des linken Knies (a) mit Abriss der hinteren Wurzel des medialen Meniskus (Asterisk). Während der Arthroskopie (b) wird der Meniskus mit transossärer Wiedereinsetzung repariert (doppelter Asterisk)
Bild vergrößern

Interessenkonflikt

M. Gauthier, T.N. Lê und P.M. Tscholl geben an, dass kein Interessenkonflikt besteht.
Open Access Dieser Artikel wird unter der Creative Commons Namensnennung 4.0 International Lizenz veröffentlicht, welche die Nutzung, Vervielfältigung, Bearbeitung, Verbreitung und Wiedergabe in jeglichem Medium und Format erlaubt, sofern Sie den/die ursprünglichen Autor(en) und die Quelle ordnungsgemäß nennen, einen Link zur Creative Commons Lizenz beifügen und angeben, ob Änderungen vorgenommen wurden.
Die in diesem Artikel enthaltenen Bilder und sonstiges Drittmaterial unterliegen ebenfalls der genannten Creative Commons Lizenz, sofern sich aus der Abbildungslegende nichts anderes ergibt. Sofern das betreffende Material nicht unter der genannten Creative Commons Lizenz steht und die betreffende Handlung nicht nach gesetzlichen Vorschriften erlaubt ist, ist für die oben aufgeführten Weiterverwendungen des Materials die Einwilligung des jeweiligen Rechteinhabers einzuholen.
Weitere Details zur Lizenz entnehmen Sie bitte der Lizenzinformation auf http://creativecommons.org/licenses/by/4.0/deed.de.
download
DOWNLOAD
print
DRUCKEN
Titel
Die vier klassischen MRT-Zeichen einer chronischen, medialen Meniskushinterwurzelläsion
Verfasst von
Dr. Morgan Gauthier
Thanh Nam Lê
Philippe M. Tscholl
Publikationsdatum
13.01.2023
Verlag
Springer Medizin
Erschienen in
Knie Journal / Ausgabe 2/2023
Print ISSN: 2662-4028
Elektronische ISSN: 2662-4036
DOI
https://doi.org/10.1007/s43205-022-00193-5

Arthropedia

Grundlagenwissen der Arthroskopie und Gelenkchirurgie erweitert durch Fallbeispiele, Videos und Abbildungen. Zur Fortbildung und Wissenserweiterung, verfasst und geprüft von Expertinnen und Experten der Gesellschaft für Arthroskopie und Gelenkchirurgie (AGA).


Jetzt entdecken!

Neu im Fachgebiet Orthopädie und Unfallchirurgie

Bewegung bei Nackenschmerzen: Welcher Sport ist der richtige?

Bei nicht-spezifischen Nackenschmerzen müssen Patienten mehr Selbstverantwortung übernehmen. Kein Physiotherapeut hat „magische Hände“, meint die Physiotherapeutin Kerstin Lüdtke. Sie erzählt im Interview, worauf es beim Sport gegen Nackenschmerzen ankommt und warum sie keine Übungspläne mehr schreibt.

Viele Ältere mit ambulant lösbaren Problemen in Notaufnahmen

Ein Drittel der Menschen ab 70 Jahren, die eine Notaufnahme in Deutschland aufsuchen, hat keine dringenden Probleme. Oft stehen Kopfverletzungen oder Komplikationen bei Krankheiten wie Herzinsuffizienz und Hypertonie im Vordergrund, die in die ambulante Versorgung gehören.

Mit LEAP mehr Stabilität nach Kreuzbandriss?

Welches ist die beste Methode zur Rekonstruktion des vorderen Kreuzbands (ACL) bei jungen, sportlich aktiven Patientinnen und Patienten? In einer Real-World-Studie wurde die alleinige ACL-Rekonstruktion – in diesem Fall mit einem BPTB(Bone-Patellar Tendon-Bone)-Autograft – mit einer zusätzlichen lateralen Technik verglichen.

Gips ebenbürtig mit Op. bei Weber-B-Fraktur des Sprunggelenks

Ist eine Weber-B-Fraktur des Außenknöchels mit einem Gipsverband ausreichend behandelt? In einer randomisierten Studie aus Finnland war das Ergebnis auch dann gleichwertig mit einer Op., wenn ein Stresstest auf eine „okkulte“ Instabilität hinwies.

Update Orthopädie und Unfallchirurgie

Bestellen Sie unseren Fach-Newsletter und bleiben Sie gut informiert.

Bildnachweise
Arthropedia, Patientin erhält Physiotherapie am Nacken /© julief514 / Getty Images / iStock (Symbolbild mit Fotomodellen), Hinweisschild Notaufnahme/© huettenhoelscher / Getty images / iStock, Vorbereitung einer Knie-Operation/© Issara / stock.adobe.com (Symbolbild mit Fotomodell), Gebrochener Fuß im Gips/© Aleksandr Kirillov / stock.adobe.com (Symbolbild mit Fotomodell)