Zum Inhalt
Arthroskopie

Distale tibiale Torsionsosteotomie – Algorithmus von konservativ bis operativ

Erschienen in:
download
DOWNLOAD
print
DRUCKEN
insite
SUCHEN

Zusammenfassung

Dieser Beitrag stellt einen diagnostischen und therapeutischen Algorithmus für die distale tibiale Torsionsosteotomie vor und wird anhand eines Falles mit Maltorsionssyndrom illustriert. Die erhöhte tibiale Außentorsion ist meist im Rahmen eines Maltorsionssyndroms mit anteriorem Knieschmerz oder einer Patellainstabilität behandlungsbedürftig. Die Diagnostik umfasst eine detaillierte klinische Untersuchung (Gangbild, Rotationsprofil), konventionelle Röntgenbilder, eine Rotationsanalyse der unteren Extremitäten mittels Magnetresonanztomographie (MRT) und eine Ganzbeinstandaufnahme zur umfassenden Beurteilung von tibialer und femoraler Torsion und koronaren Achsen. Die spezifische Kräftigung unter physiotherapeutischer Anleitung ist in den meisten Fällen die empfohlene Initialbehandlung. Die operative tibiale Torsionskorrektur ist Teil einer multifaktoriellen Behandlung von anteriorem Knieschmerz oder Patellainstabilität. Eine Analyse aller Faktoren (Femurtorsion, Knieversion, TT-TG-Abstand [„tibial tuberosity – trochlea groove distance“], Gangbild) ist essenziell für Indikation und Korrekturmaß. Als Richtwert für eine Operation gilt eine symptomatische tibiale Außentorsion von > 35° (Winkel zwischen der Transmalleolarachse direkt oberhalb des oberen Sprunggelenks und der Tangente der posterioren Tibiakondylen direkt unterhalb der Kniegelenklinie), wobei das Korrekturmaß individuell (meist 10–25°) festgelegt wird, um Kinematik und Gangbild zu normalisieren und eine Überkorrektur zu vermeiden. Als Standard propagieren wir die distale tibiale Torsionsosteotomie aufgrund der guten Heilungstendenz, des geringen Risikos (Kompartmentsyndrom, Nervenschäden) und der zuverlässigen Durchführbarkeit. Eine proximale tibiale Torsionsosteotomie wird gewählt, wenn ein pathologischer und adressierungsbedürftiger TT-TG-Abstand vorliegt.

Redaktion

J. Dickschas, Bamberg
A. Imhoff, München
QR-Code scannen & Beitrag online lesen

Hinweis des Verlags

Der Verlag bleibt in Hinblick auf geografische Zuordnungen und Gebietsbezeichnungen in veröffentlichten Karten und Institutsadressen neutral.
Eine distale Torsionsosteotomie der Tibia korrigiert eine erhöhte oder verringerte tibiale Außentorsion. Diese Fehlstellung korreliert zu einem gewissen Maß mit einer erhöhten femoralen Antetorsion. Typische Symptome sind der anteriore Knieschmerz oder eine Patellasymptomatik mit Instabilität. Der Verdacht einer erhöhten tibialen Torsion entsteht häufig bereits in der klinischen Gangbeobachtung und lässt sich in der klinischen Untersuchung erhärten.
Quantifiziert wird die Torsionsanomalie in einer radiologischen Torsionsanalyse mittels Magnetresonanztomographie (MRT) oder Computertomographie (CT). Insbesondere beim patellofemoralen Schmerzsyndrom ohne Patellaluxation geht eine längere und fokussierte Kräftigung in der Physiotherapie einer operativen Korrektur der tibialen Torsion voraus.
In diesem Beitrag wird ein Algorithmus zur Entscheidungsfindung und Behandlung einer distalen Tibia-Torsionsosteotomie am Fall eines jungen Patienten mit einem Maltorsionssyndrom erläutert. Dieses Krankheitsbild ist ein häufiger Grund für eine tibiale Torsionsosteotomie im Erwachsenenalter und ist durch eine erhöhte femorale Anteversion kombiniert mit einer tibialen Außentorsion gekennzeichnet. Auch wird auf die Patellainstabilität als Grund für eine tibiale Torsionsosteotomie eingegangen, und die Indikation einer proximalen versus distalen tibialen Torsionskorrektur wird diskutiert.
Posttraumatische frakturbedingte tibiale Torsionsanomalien werden als separate Entität mit unterschiedlicher Herangehensweise in diesem Beitrag außen vor gelassen.

Fallvorstellung, Anamnese und klinischer Befund

Ein 23-jähriger Patient stellt sich mit seit Längerem bestehenden, atraumatischen und belastungsverstärkten anterioren Knieschmerzen vor. Die Beschwerden bestehen beidseits, wobei rechts als die beschwerdeführende Seite angegeben wird. In der Vorgeschichte besteht keine Patellaluxation oder Instabilitätsgefühl und keine Operation an den unteren Extremitäten. Die Arbeit im Sicherheitsdienst ist durch die Schmerzen relevant eingeschränkt.
Eine Torsionsanomalie kann bereits in der klinischen Untersuchung identifiziert werden
Eine Torsionsanomalie kann in der Regel bereits in der klinischen Untersuchung identifiziert werden [29, 32]. Im Gangbild fällt bei unserem Patienten beidseits eine nach innen gerichtete Patella mit gerader Fußprogressionsachse auf. Zudem zeigt sich das typische Innenrotations-Adduktionsmoment der Kniegelenke im Übergang von der Schwung- zur Standphase [17]. Die koronare Beinachse ist gerade. In Bauchlage und Hüftextension wird beidseits eine deutlich vermehrte Hüftinnenrotation als Hinweis auf eine erhöhte femorale Anteversion festgestellt sowie zudem eine klinisch erhöhte Außentorsion der Tibia gemessen in Bauchlage und 90° Knieflexion mit nach außen gedrehten Füßen und transmalleolären Achse, sog. „thigh-foot angle“ (TFA; Abb. 1). Als erhöhte Torsion wird ein klinischer TFA >30° betrachtet [31]. Die weitere Untersuchung der Knie- und Hüftgelenke ist unauffällig.
Abb. 1
„Thigh-foot angle“ (TFA): Die klinische Messung der tibialen Torsion erfolgt in Bauchlagen mit extendierter Hüfte und 90° flektiertem Knie. Der Winkel zwischen Oberschenkel und Fußlängsachse ist definiert als TFA und misst die tibiale Torsion. (Mit freundl. Genehmigung, © T. Tondelli et al.)
Bild vergrößern
In der initialen konventionellen Röntgenaufnahme und MRT des Kniegelenks zeigen sich keine Binnenläsionen. Daher initiieren wir bei klinischem Verdacht auf ein Maltorsionssyndrom ohne vorangegangene Behandlungsversuche eine gezielte Physiotherapie.

Konservative Therapie

Eine gezielte Physiotherapie bei Maltorsionssyndrom beinhaltet die Kräftigung der Hüftabduktoren und der Quadrizepsmuskulatur [30]. Eine kräftige Glutealmuskulatur, welche im Hüftgelenk abduktorisch und außenrotatorisch wirkt, können über den Tractus iliotibialis dem im Gang nach innen gedrehtem Knie entgegenwirken. Ein kräftiger M. quadriceps führt und stabilisiert das Kniegelenk beim Gehen, Laufen und Springen. Wichtig ist vor allem der M. vastus medialis. Dieser vermag die Patella im patellofemoralen Gleitlager zu zentrieren und vermeidet dabei eine Glide- und/oder Tilt-Position.
Die Hüftabduktoren werden zuerst in offener Kette in Seitenlage (oberes Bein) mit kurzem, später mit langem Hebel trainiert, unter Einbezug der Rumpfmuskulatur. Diese müssen das Becken stabilisieren und weiterlaufende Bewegungen vermeiden, damit die Muskelaktivität selektiv auf das Hüftgelenk wirkt. Als Nächstes wird in der geschlossenen Kette im Einbeinstand und darauffolgend gangspezifisch trainiert. Es kann hilfreich sein, mit statischen oder isometrischen Übungen zu beginnen, bevor dynamisch trainiert wird. Hierbei kommen verschiedene physiotherapeutische Techniken und Materialien wie Gewichtsmanschetten, elastische Therabänder oder Zugapparate zum Einsatz.
Für das Quadrizeps-Training wählt man vorzugsweise die geschlossene Kette
Für das Quadrizeps-Training wählt man vorzugsweise die geschlossene Kette. So kann zunächst in der Leg Press trainiert werden, zweibeinig und später einbeinig, wobei der Patient in der Dynamik lernt, die korrekten Beinachsen einzuhalten. Dazu kann mit elastischen Bändern um die Kniegelenke die außenrotatorische Komponente der Glutealmuskulatur zusätzlich stimuliert werden, indem der Patient die Knie gegen Widerstand des Bandes nach außen drehen muss. Auf der anderen Seite erhält er während der Beuge-Streck-Bewegung einen Physioball zwischen die Kniegelenke, den er leicht zusammendrückt. So stimuliert er intensiv die Aktivität des M. vastus medialis [23]. Im Anschluss geht man über in den Stand und trainiert verschiedene zweibeinige und einbeinige Squat-Übungen.
Im methodischen Aufbau trainiert der Patient zunächst koordinativ, wobei er die qualitativ korrekten Bewegungsausführungen erlernt. Im Anschluss erfolgt ein Hypertrophie-Training, sofern eine Atrophie besteht, bevor er dann zum Maximalkrafttraining übergeht. Inwieweit die Maximalkraft in explosive oder in plyometrische Formen transferiert wird, hängt von den beruflichen oder sportlichen Anforderungen des Patienten ab. Dazu ist eine vorgängige berufliche oder sportartspezifische Analyse unabdingbar [10].

Erweiterte Diagnostik

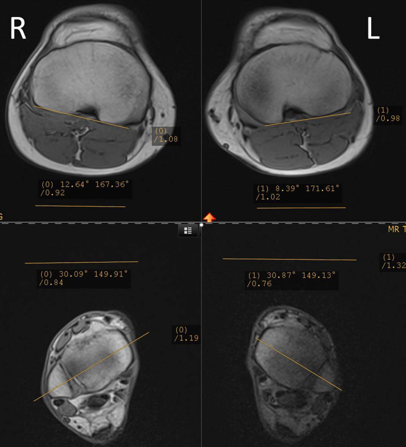
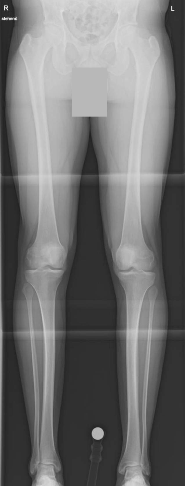
Bei Beschwerdepersistenz trotz mehrmonatiger Physiotherapie erfolgt eine Weiterabklärung der Torsion mittels Torsions-MRT der unteren Extremitäten und eine Röntgen-Ganzbeinaufnahme. In der Torsions-MRT bestätigt sich die erhöhte tibiale Außentorsion mit gemessen 43 und 39° links (Abb. 2). Für die Torsionsmessung wird tibial der Winkel zwischen der Transmalleolarachse direkt oberhalb des oberen Sprunggelenks und der Tangente an die posterioren Tibiakondylen direkt unterhalb der Kniegelenklinie verwendet [31, 36]. Auch bestätigt sich die erhöhte femorale Antetorsion mit rechts 30 und links 34° nach Murphy [27]. Im Ganzbeinbild zeigt sich bei nach innen gerichteter Patella eine gerade Beinachse (Abb. 3). Im „winking sign“ zeigt sich eine Überlagerung der lateralen Femurkondyle mit der lateralen Eminentia tibae, was bei korrekt zentrierter Ganzbeinaufnahme auf eine Torsionspathologie oder erhöhte Knieversion (intraartikuläre femorotibiale Rotation) hinweisen kann [12]. In diesem Fall zeigt sich keine erhöhte Knieversion in der Rotations-MRT, die intraartikuläre femorotibiale Rotation beträgt rechts 2 und links 6° (Norm < 10–15°). Der TT-TG-Abstand („tibial tuberosity – trochlear groove distance“) ist rechts mit 11 mm normwertig und links mit 20 mm grenzwertig erhöht.
Abb. 2
Tibiale Torsionsmessung in der Rotations-Magnetresonanztomographie beidseits. Gemessen wird der Winkel zwischen der Transmalleolarachse direkt oberhalb des oberen Sprunggelenks und der Tangente an den posterioren Tibiakondylen direkt unterhalb der Kniegelenklinie. (Mit freundl. Genehmigung, © T. Tondelli et al.)
Bild vergrößern
Abb. 3
Röntgen-Ganzbeinaufnahme mit nach innen gerichteter Patella, gerade Beinachse. (Mit freundl. Genehmigung, © T. Tondelli et al.)
Bild vergrößern

Beurteilung und Indikationsstellung

Bei unserem Patienten liegt ein radiologisch manifestes Malrotationssyndrom mit korrespondierender Klinik und den dafür typischen Beschwerden im Sinne des belastungsabhängigen chronischen anterioren Knieschmerzes vor. Ein mehrmonatiger konservativer Therapieversuch, wie oben beschrieben mit gezielter Kräftigung, brachte keine suffiziente Besserung. Daher wurde die Indikation zur Operation der rechten beschwerdeführenden Seite mit kombinierter supramalleollärer Tibia-Torsionsosteotomie und distaler femoraler Torsionsosteotomie gestellt. Eine gleichzeitige koronare Korrektur muss bei gerader Beinachse nicht vorgenommen werden.
Als Richtwert, ab dem eine tibiale Torsionsosteotomie biomechanisch Sinn macht, kann in Anlehnung an die Literatur [7, 22] und die klinische Relevanz eine tibiale Außentorsion von 35° gesehen werden. Auf der anderen Seite ist eine tibiale Außentorsion von mehr als 45° sehr hoch, und Patienten zeigen damit einen deutlichen Außenrotationsgang [3]. Dies sollte im Gesamtkontext des Gangbilds (Fußprogressionsachse) und der Begleitpathologien (femorale Anteversion, TT-TG, koronare Deformität, Q‑Angle) analysiert werden. Die Analyse und Planung einer Multi-Level-Osteotomie erfolgt von proximal nach distal. In unserem Beispiel entschieden wir uns die femorale Anteversion von 30° um 15° in den Normbereich mit 15° zu korrigieren. Bei erhöhter tibialer Außentorsion mit 43° und gerader Fußprogressionsachse entschieden wir uns zusätzlich für eine distale Tibia-Torsionsosteotomie innenrotierend um 13° auf geplant postoperativ 30°. Eine alleinige Korrektur der femoralen Antetorsion würde in ein noch weiter außenrotiertes Gangbild münden.
Im Allgemeinen favorisieren wir für die Korrektur der tibialen Torsion die distale, supramalleoläre gegenüber einer proximalen oder diaphysären Tibia-Torsionsosteotomie. In diesem Fall liegt rechts ein normwertiger TT-TG-Abstand und keine koronare Deformität vor, weshalb die Entscheidung auf unser favorisiertes Verfahren fällt. Die Überlegungen dazu werden in der Diskussion dargelegt.
Grundsätzlich kann und wird eine tibiale Torsionskorrektur distal, diaphysär und proximal durchgeführt. Wir favorisieren die distale tibiale Torsionsosteotomie. Vorteile sind eine große Kontaktfläche für die Knochenheilung, ein hohes Korrekturpotenzial, einfache und reproduzierbare technische Durchführbarkeit, geringes Risiko eines Kompartmentsyndroms und Nervenschadens (Nn. peronei; [2]). Ein weiteres Argument für die distale Tibia-Torsionsosteotomie ist die Korrektur anstelle der Deformität, welche infratuberositär liegt [37]. Auch kann distal eine Torsionskorrektur von bis zu 20° Derotation durchgeführt werden, bevor die Fibula sperrt. Im Vergleich dazu kann bei einer Torsionskorrektur proximal von mehr als 15° das Tibiofibulargelenk zu stören beginnen. In solchen Fällen kann eine zusätzliche Fibulaosteotomie nötig werden, welche ebenfalls distal einfacher durchführbar ist und mit einem geringeren Risiko eines Nervenschadens einhergeht. Bei einer proximalen Osteotomie muss der mediale Bandapparat während des Sägens gut geschont werden, was bei einer distalen Osteotomie kein Problem darstellt.
Eine tibiale Torsionskorrektur kann distal, diaphysär und proximal durchgeführt werden
Eine proximale, supratuberositär ausgeleitete tibiale Torsionsosteotomie hingegen hat den Vorteil, dass gleichzeitig zur Außentorsionskorrektur eine Reduktion des TT-TG-Abstands und damit des Q‑Winkels erreicht werden kann mit zusätzlich leichter Anteriorisierung (ähnlich einer anteromedialisierenden Tuberositasosteotomie; [19, 25]). Zudem kann mittels proximaler und kombinierter Lateral-closing-wedge-Osteotomie gleichzeitig die koronare und Torsionsfehlstellung korrigiert werden, was allerdings technisch anspruchsvoll ist [7, 8, 14]. Eine proximale Tibia-Torsionsosteotomie wird daher bei einem erhöhten und adressierungsbedürftigen TT-TG-Abstand durchgeführt oder bei deutlichem Varus (bzw. tibialem Valgus), der zusätzlich korrigiert werden soll. Eine proximale, supratuberositäre Tibia-Torsionsosteotomie ist dabei in Bezug auf das postoperative Gangbild einer isolierten medialisierenden Tuberositasosteotomie überlegen [28].
Eine diaphysäre Tibia-Torsionsosteotomie beispielsweise über eine Nagelosteosynthese hat zwar als Vorteile das hohe Korrekturpotenzial und die unmittelbare Vollbelastung (intramedulläre Fixation), dem gegenüber stehen aber die Nachteile eines höheren Risikos für ein Kompartmentsyndrom und eine schlechtere Heilung [2, 34], weshalb dieser Eingriff im Rahmen von Osteotomien im CORA („center of rotation of angulation“) bei klar diaphysären Deformitäten durchgeführt wird.

Operation: supramalleoläre distale tibiale Torsionsosteotomie

Die Operationsabfolge bei Doppel-Level-Osteotomie erfolgt grundsätzlich von proximal nach distal. Somit wird im Fallbeispiel mit der distalen femoralen Torsionsosteotomie begonnen und diese zu Ende gebracht.
Für die distale tibiale Torsionsosteotomie erfolgt die Hautinzision supramalleollär streng medial an der Tibia. Unter Schonung der V. saphena magna und des N. saphenus, welche zusammen mit den Extensorsehnen nach anterior weggehalten werden, wird die distale Tibia identifiziert. Sodann wird die Osteotomiehöhe markiert über das Anlegen der Platte (Supracondylar Plate 90°-3,5 mm/5,0 mm-LCP, JnJ DePuy-Synthes, Zuchwil, Schweiz). Die Ostetomiehöhe wird dabei so gewählt, dass die distalen Schrauben der Platte proximal der Epiphysenfuge eingebracht werden können und die Osteotomie zwischen distalen und proximalen Schrauben liegt: Damit kann sichergestellt werden, dass die Osteotomie proximal der Epiphysenfuge und der distalen tibiofibulären Syndesmose durchgeführt wird. Die Osteotomierichtung wird senkrecht zur Tibiaachse und parallel zur Epiphysenfuge gewählt und kann mit zwei parallelen 1,6-mm-Kirschner-Drähten gekennzeichnet werden. Die an die mediale Tibia angelegte Platte wird provisorisch über zwei Hülsen in den distalen Löchern mit Kirschner-Drähten fixiert. Zur Rotationskontrolle werden zwei 4,0-Schanz-Pins anterior der Platte, einer davon distal und einer proximal der geplanten Osteotomieebene eingebracht. Der Winkel in der Axialebene zwischen den Pins entspricht der gewünschten Torsionskorrektur und wird mit einem Goniometer ausgemessen. Zudem befinden sich beide Pins in paralleler Ausrichtung zur Osteotomieebene und zielen auf das Rotationszentrum. Die Platte wird entfernt, die Tibia mit zwei Hohmann-Hebeln umfahren und die Osteotomie mit der oszillierenden Säge entlang der Kirschner-Drähte durchgeführt.
Im beschriebenen Fallbeispiel (Reduktion der tibialen Außentorsion) wird nun mit Hilfe des distalen Schanz-Pins die Tibia nach innen auf die gleiche Höhe wie der proximale Schanz-Pin gedreht, um den zuvor eingestellten Korrekturwinkel zu erreichen. Bei einer zu niedrigen tibialen Torsion wird entsprechend distal nach außen gedreht – also umgekehrt zur üblichen Korrekturrichtung. Erneutes Anbringen der Platte über die zuvor gesetzten Kirschner-Drähte und provisorische Fixation mit Kirschner-Drähten auch proximal in korrigierter Stellung. Nach radiologischer Kontrolle werden die distalen Plattenlöcher mit winkelstabilen Schrauben monokortikal besetzt. Es erfolgt eine manuelle axiale Kompression auf die Osteotomie und schlussendlich das Besetzen der proximalen Löcher mit winkelstabilen Schrauben bikortikal.
Durch die korrigierende Innendrehung der distalen Tibia kommt es zu einem makroskopisch und radiologisch ersichtlichen leichten a.-p.-Versatz der Tibia distal der Osteotomie, wie in der intraoperativen lateralen Röntgenaufnahme (Abb. 4) zu sehen ist. Dieser entsteht aufgrund der Derotation um das Drehzentrum zwischen Tibia und Fibula bei intakter Membrana interossea und nicht allein um die Tibiaachse und ist in diesem Ausmaß zu tolerieren. Bei pädiatrischen Patienten ist auf eine möglichst schonende Behandlung des Periosts und ggf. Verschluss desselben nach Abschluss der Operation zu achten. Eine grafische Illustration der Prozedur findet sich in Kolp et al. [20].
Abb. 4
a, b Röntgenaufnahmen des oberen Sprunggelenks (OSG) intraoperativ. a Laterale Projektion mit charakteristischem Dorsalversatz der distalen Tibia (roter Pfeil). Aufgrund der Derotation um das Drehzentrum zwischen Tibia und Fibula bei intakter Membrana interossea und nicht allein um die Tibiaachse entsteht ein leichter a.-p.-Versatz, der in diesem Ausmaß zu tolerieren ist. b Anteroposteriore Projektion mit komplettierter Osteotomie und Derotation sowie fixiertem winkelstabilem Implantat. (Mit freundl. Genehmigung, © T. Tondelli et al.)
Bild vergrößern

Postoperatives Procedere

Aufgrund der distalen Tibia-Torsionsosteotomie wird eine Teilbelastung von 15 kg für 4 Wochen vorgegeben mit Belastungsaufbau ab der 5. Woche weiterhin an Stöcken. Die Beweglichkeit des Knie- und oberen Sprunggelenks wird ohne Limit freigegeben und kann aktiv und passiv ohne Belastung beübt werden. Es werden keine Orthesen oder Lagerungsschienen verwendet. Eine Doppel-Level-Osteotomie verändert dabei die Nachbehandlung zwar nicht, aber zusätzliche Eingriffe, wie z. B. eine Trochleaplastik zur Patellastabilisierung, können eine restriktivere Nachbehandlung erfordern. Sechs Wochen postoperativ erfolgt eine klinische und radiologische Verlaufskontrolle. In der Regel kann im Anschluss in Vollbelastung übergegangen und mit dem Kraftaufbau begonnen werden.
Im hier beschriebenen Fallbeispiel konnte die Nachbehandlung wie geplant durchgeführt werden, und der anteriore Knieschmerz war nach durchgeführtem Belastungsaufbau 3 Monate postoperativ verschwunden. Das klinische Gangbild zeigt zu diesem Zeitpunkt eine antegrad gerichtete Patella und weiterhin gerade Fußprogressionsachse. Das stehende Röntgenbild des oberen Sprunggelenks 3 Monate postoperativ zeigt eine unveränderte Osteotomie‑, Platten- und Schraubenlage (Abb. 5).
Abb. 5
Röntgenaufnahme des oberen Sprunggelenks (OSG) 3 Monate postoperativ. a Laterale Projektion, b anteroposteriore Projektion, mit einem a.-p. medial flauer abgrenzbaren Osteotomiespalt ohne sekundäre Dislokation mit regelrechter Materiallage. (Mit freundl. Genehmigung, © T. Tondelli et al.)
Bild vergrößern
Sechs Monate postoperativ bestehen einzig noch Beschwerden über dem femoralen und tibialen Plattenlager, so dass eine Osteosynthesematerialentfernung 12 Monate postoperativ mit gleichzeitiger Korrektur der kontralateralen Seite geplant wird.

Diskussion

Die tibiale Torsionsanomalie ist meistens im Rahmen einer multifaktoriellen Pathologie, wie eines patellofemoralen Schmerzsyndroms oder einer Patellainstabilität mit Luxationen, operativ behandlungsbedürftig. Im Grundsatz sollte die tibiale Torsionsanomalie daher als ein Teil einer multifaktoriellen Pathologie betrachtet werden. Eine sorgfältige Analyse der Begleitpathologien ist entscheidend für die Operationsindikation und das Korrekturausmaß.
Die Leitsymptome sind der anteriore Knieschmerz, Patellainstabilität, Gangdysfunktion und seltener eine störende Kosmetik, welche atraumatisch seit längerer Zeit besteht [8, 31].
Besteht ein patellofemorales Schmerzsyndrom mit einer Maltorsion und sind bisher keine nichtoperativen Therapieversuche erfolgt, propagieren wir eine gezielte Kräftigung mit physiotherapeutischer Unterstützung, bevor eine Operation evaluiert wird. Bei einer Patellainstabilität mit stattgehabter Luxation oder operationsbedürftiger Binnenläsion (z. B. osteochondrale Läsion) kann direkt zur quantitativen weiteren Abklärung nach Schema vorgegangen werden, um bei hohem Risiko für eine erneute Luxation direkt eine operative Versorgung zu planen [5].
Unser Algorithmus zur Weiterabklärung beinhaltet eine MRT-Torsionsmessung der beiden unteren Extremitäten mit Abbildung von Hüfte/Knie/Sprunggelenk. Die MRT bietet dabei eine genaue und reproduzierbare Alternative zur CT ohne Strahlenbelastung [15, 26]. Unser Standard umfasst zudem eine Röntgen-Ganzbeinaufnahme zur koronaren Deformitätsanalyse. Ergänzend kann eine 3D-Analyse der Bildgebung hilfreich sein, für eine genauere Analyse und ggf. Operationsplanung mit patientenspezifischer Instrumentierung durchgeführt werden [33]. Ergänzend kann eine biomechanische Ganganalyse erfolgen.
Die in der Literatur am häufigsten beschriebene Messmethode der tibialen Torsion misst den Winkel zwischen der Transmalleolarachse direkt oberhalb des oberen Sprunggelenks und der Tangente an die posterioren Tibiakondylen direkt unterhalb der Kniegelenklinie ([31, 36]; Abb. 2). Der postulierte Normbereich der tibialen Torsion variiert zwischen den Studien [6, 13, 21, 35, 38], ein evidenzgestützter Grenzwert für eine operative Korrektur besteht nicht [31]. Wir verwenden daher einen Richtwert von 35° tibialer Außentorsion für eine Torsionsosteotomie, welcher teils auf anatomischen Studien [35] und teils auf in der Literatur als effektiv beschriebenen tibialen Torsionskorrektur basiert [31]. Die erhöhte femorale Anteversion als Risikofaktor für anterioren Knieschmerz ist im Rahmen einer Maltorsion und Patellainstabilität etabliert. Die Knieversion, definiert als statische Torsion der Tibia im Verhältnis zum Femur gemessen in voller Extension [16], erhöht damit die effektive Außentorsion der distalen Tibia im Vergleich zum Femur. Wir erachten eine Knieversion (d. h. intraartikuläre Außendrehung der proximalen Tibia zum distalen Femur) von 10–15° als erhöht [16]. Ein breit abgestützter Normbereich existiert nicht, die Knieversion wurde als möglicher Risikofaktor für eine Patellainstabilität [9] identifiziert und eine Assoziation mit anteriorem Knieschmerz berichtet [1, 11, 16]. Bei Vorliegen einer erhöhten Knieversion addieren wir diese zur tibialen Außentorsion und lassen den Wert in den Korrekturentscheid mit einfließen. In unserem Fallbeispiel war die Knieversion mit 2° tief und damit nicht ausschlaggebend.
Ziel der tibialen Torsionsosteotomie ist eine Verbesserung der patellofemoralen Kinematik
Ziel der tibialen Torsionsosteotomie ist eine Verbesserung der patellofemoralen Kinematik und Normalisierung des Gangbilds. Diese Grundprinzipien leiten den Entscheid, ob und in welchem Ausmaß eine tibiale Korrektur durchgeführt wird. Entsprechend ist eine patientenspezifische Analyse entscheidend, ob und um wieviel Grad eine tibiale Torsionsosteotomie erfolgen soll.
Eine Korrektur der isoliert erhöhten Tibiatorsion ist beim Erwachsenen mit Ausnahme der frakturbedingten Deformitäten selten indiziert, wird aber im Kindesalter gelegentlich durchgeführt. Als Indikation diskutiert wird der starke Einwärts- oder Auswärtsgang aufgrund einer tibialen Torsionsanomalie, welcher sich nicht während des pubertären Wachstumsschubs korrigiert [4, 20, 32]. Mit einer distalen tibialen Torsionsosteotomie können die in postoperative Ganganalysen gemessenen koronaren Kniemomente normalisiert werden [24]. Die durchschnittlich 12-jährigen Kinder mit einem Einwärtsgang bedingt durch eine tibiale Torsionsanomalie zeigten ein erhöhtes Valgusmoment im Knie. Hingegen zeigte die Gruppe mit einem Auswärtsgang ein relatives Varusmoment im Vergleich zur Kontrollgruppe. Mit einer distalen tibialen Torsionsosteotomie ließen sich die Kniemomente in den Gruppen mit Ein- und Auswärtsgang so normalisieren, dass kein Unterschied zur Kontrollgruppe mehr festgestellt werden konnte [24]. Unklar bleibt, ob bei Kindern mit einer erhöhten tibialen Torsion aber geraden Fußprogressionsachse, welche durch eine kompensatorische Hüftinnenrotation entsteht, eine tibiale Torsionsosteotomie durchgeführt werden soll. Nach distaler Tibia-Torsionsosteotomie solcher Patienten zeigen Ganganalysen ein erhöhtes Hüft- und Knie-Adduktionsmoment, was möglicherweise mit einer Arthrose vergesellschaftet ist [4].

Fazit für die Praxis

  • Eine distale Tibia-Torsionsosteotomie kann bei vorderem Knieschmerz im Rahmen einer Maltorsion und patellofemoraler Instabilität als Kombinationseingriff durchgeführt werden.
  • Die isolierte tibiale Torsionskorrektur kann bei Kindern mit dadurch bedingtem starkem Ein‑/Auswärtsgang erwogen werden.
  • Die Diagnostik kombiniert eine detaillierte klinische Untersuchung (Gangbild, „thigh-foot angle“, Fußprogressionsachse) mit Bildgebung (Magnetresonanztomographie, Röntgenaufnahme, Ganzbeinstandaufnahme).
  • Eine operative Korrektur ist bei symptomatischer Tibia-Außentorsion > 35° nach erfolgloser konservativer Therapie zu erwägen.
  • Die Operationsplanung muss zwingend alle Alignment-Faktoren berücksichtigen, um die patellofemorale Kinematik und das Gangbild zu verbessern.
  • Die distale tibiale Torsionsosteotomie wird favorisiert.
  • Eine proximale tibiale Torsionsosteotomie ist sinnvoll bei zusätzlicher TT-TG-Pathologie („tuberositas tibiae – trochlea groove“) und deutlichem Varus.
  • Eine diaphysäre Torsionsosteotomie wird wegen hoher Risiken (Kompartment, Heilung) für die besprochene Pathologie selten angewandt.

Einhaltung ethischer Richtlinien

Interessenkonflikt

T. Tondelli, T. Garthe, J.-A. Overberg und F.B. Imhoff geben an, dass kein Interessenkonflikt besteht.
Für diesen Beitrag wurden von den Autor/-innen keine Studien an Menschen oder Tieren durchgeführt. Für die aufgeführten Studien gelten die jeweils dort angegebenen ethischen Richtlinien. Ein „informed consent“ wurde eingeholt.
Open Access Dieser Artikel wird unter der Creative Commons Namensnennung 4.0 International Lizenz veröffentlicht, welche die Nutzung, Vervielfältigung, Bearbeitung, Verbreitung und Wiedergabe in jeglichem Medium und Format erlaubt, sofern Sie den/die ursprünglichen Autor(en) und die Quelle ordnungsgemäß nennen, einen Link zur Creative Commons Lizenz beifügen und angeben, ob Änderungen vorgenommen wurden. Die in diesem Artikel enthaltenen Bilder und sonstiges Drittmaterial unterliegen ebenfalls der genannten Creative Commons Lizenz, sofern sich aus der Abbildungslegende nichts anderes ergibt. Sofern das betreffende Material nicht unter der genannten Creative Commons Lizenz steht und die betreffende Handlung nicht nach gesetzlichen Vorschriften erlaubt ist, ist für die oben aufgeführten Weiterverwendungen des Materials die Einwilligung des jeweiligen Rechteinhabers einzuholen. Weitere Details zur Lizenz entnehmen Sie bitte der Lizenzinformation auf http://​creativecommons.​org/​licenses/​by/​4.​0/​deed.​de.

Hinweis des Verlags

Der Verlag bleibt in Hinblick auf geografische Zuordnungen und Gebietsbezeichnungen in veröffentlichten Karten und Institutsadressen neutral.

Unsere Produktempfehlungen

Arthroskopie und Gelenkchirurgie

Print-Titel

Umfassende Reviews zu aktuellen arthroskopischen Fragestellungen sowie Tipps und Tricks zur endoskopischen Untersuchung und Chirurgie der Gelenke


e.Med Interdisziplinär

Kombi-Abonnement

Für Ihren Erfolg in Klinik und Praxis - Die beste Hilfe in Ihrem Arbeitsalltag

Mit e.Med Interdisziplinär erhalten Sie Zugang zu allen CME-Fortbildungen und Fachzeitschriften auf SpringerMedizin.de.

e.Med Orthopädie & Unfallchirurgie

Kombi-Abonnement

Mit e.Med Orthopädie & Unfallchirurgie erhalten Sie Zugang zu CME-Fortbildungen der Fachgebiete, den Premium-Inhalten der dazugehörigen Fachzeitschriften, inklusive einer gedruckten Zeitschrift Ihrer Wahl.

download
DOWNLOAD
print
DRUCKEN
Titel
Distale tibiale Torsionsosteotomie – Algorithmus von konservativ bis operativ
Verfasst von
Timo Tondelli
Tilman Garthe
Jan-Arie Overberg
PD Dr. med. Florian B. Imhoff
Publikationsdatum
04.08.2025
Verlag
Springer Medizin
Schlagwort
Arthroskopie
Erschienen in
Arthroskopie / Ausgabe 5/2025
Print ISSN: 0933-7946
Elektronische ISSN: 1434-3924
DOI
https://doi.org/10.1007/s00142-025-00788-w
1.
Zurück zum Zitat Ackermann J, Hasler J, Graf DN et al (2022) The effect of native knee rotation on the tibial-tubercle-trochlear-groove distance in patients with patellar instability: an analysis of MRI and CT measurements. Arch Orthop Trauma Surg 142:3149–3155. https://​doi.​org/​10.​1007/​s00402-021-03947-4CrossRefPubMed
2.
Zurück zum Zitat Albersheim M, Noonan B, Chau M et al (2022) Rotational Osteotomy for Femoral Version/Tibial Torsion. Curr Rev Musculoskelet Med 15:667–672. https://​doi.​org/​10.​1007/​s12178-022-09807-xCrossRefPubMedPubMedCentral
3.
Zurück zum Zitat Alexander N, Wegener R, Lengnick H et al (2020) Compensatory gait deviations in patients with increased outward tibial torsion pre and post tibial derotation osteotomy. Gait Posture 77:43–51. https://​doi.​org/​10.​1016/​j.​gaitpost.​2020.​01.​011CrossRefPubMed
4.
Zurück zum Zitat Alexander N, Wegener R, Lengnick H et al (2020) Compensatory gait deviations in patients with increased outward tibial torsion pre and post tibial derotation osteotomy. Gait Posture 77:43–51. https://​doi.​org/​10.​1016/​j.​gaitpost.​2020.​01.​011CrossRefPubMed
5.
Zurück zum Zitat Balcarek P, Oberthür S, Hopfensitz S et al (2014) Which patellae are likely to redislocate? Knee Surg Sports Traumatol Arthrosc 22:2308–2314. https://​doi.​org/​10.​1007/​s00167-013-2650-5CrossRefPubMed
6.
Zurück zum Zitat Bruce WD, Stevens PM (2004) Surgical Correction of Miserable Malalignment Syndrome. J Pediatr Orthop 24:392CrossRefPubMed
7.
Zurück zum Zitat Dickschas J, Harrer J, Pfefferkorn R, Strecker W (2012) Operative treatment of patellofemoral maltracking with torsional osteotomy. Arch Orthop Trauma Surg 132:289–298. https://​doi.​org/​10.​1007/​s00402-011-1303-8CrossRefPubMed
8.
Zurück zum Zitat Dickschas J, Tassika A, Lutter C et al (2017) Torsional osteotomies of the tibia in patellofemoral dysbalance. Arch Orthop Trauma Surg 137:179–185. https://​doi.​org/​10.​1007/​s00402-016-2599-1CrossRefPubMed
9.
Zurück zum Zitat Diederichs G, Köhlitz T, Kornaropoulos E et al (2013) Magnetic Resonance Imaging Analysis of Rotational Alignment in Patients With Patellar Dislocations. Am J Sports Med 41:51–57. https://​doi.​org/​10.​1177/​0363546512464691​CrossRefPubMed
10.
Zurück zum Zitat van Duijn A, Overberg J‑A (2021) Rehabilitation von Sportverletzungen: Sportreha-Fälle aus der evidenzbasierten Praxis. Georg Thieme VerlagCrossRef
11.
Zurück zum Zitat Eckhoff DG, Brown AW, Kilcoyne RF, Stamm ER (1997) Knee version associated with anterior knee pain. Clin Orthop Relat Res 339(1976–2007):152–155CrossRef
12.
Zurück zum Zitat Flury A, Hodel S, Hasler J et al (2022) The winking sign is an indicator for increased femorotibial rotation in patients with recurrent patellar instability. Knee Surg Sports Traumatol Arthrosc 30:3651–3658. https://​doi.​org/​10.​1007/​s00167-022-06971-yCrossRefPubMedPubMedCentral
13.
Zurück zum Zitat Fouilleron N, Marchetti E, Autissier G et al (2010) Proximal tibial derotation osteotomy for torsional tibial deformities generating patello-femoral disorders. Orthop Traumatol Surg Res 96:785–792. https://​doi.​org/​10.​1016/​j.​otsr.​2010.​04.​008CrossRefPubMed
14.
Zurück zum Zitat Fragomen AT, Meade M, Borst E et al (2017) Does the Surgical Correction of Tibial Torsion with Genu Varum Produce Outcomes Similar to Those in Varus Correction Alone? J Knee Surg 31:359–369. https://​doi.​org/​10.​1055/​s-0037-1603797CrossRefPubMed
15.
Zurück zum Zitat Grünwald L, Histing T, Springer F, Keller G (2023) MRI-based torsion measurement of the lower limb is a reliable and valid alternative for CT measurement: a prospective study. Knee Surg Sports Traumatol Arthrosc 31:4903–4909. https://​doi.​org/​10.​1007/​s00167-023-07533-6CrossRefPubMedPubMedCentral
16.
Zurück zum Zitat Huettner F, Lutter C, Zuehlke C et al (2023) Determination of Standard Values for Knee Version in a Healthy Population. Am J Sports Med 51:949–956. https://​doi.​org/​10.​1177/​0363546523115247​5CrossRefPubMed
17.
Zurück zum Zitat Imhoff FB, Cotic M, Dyrna FGE et al (2021) Dynamic Q‑angle is increased in patients with chronic patellofemoral instability and correlates positively with femoral torsion. Knee Surg Sports Traumatol Arthrosc 29:1224–1231. https://​doi.​org/​10.​1007/​s00167-020-06163-6CrossRefPubMed
18.
Zurück zum Zitat Jeon JH, Yoon Y‑S, Lee KJ et al (2017) A New Instrument for Measuring Tibial Torsion in Pediatric Patients. Ann Rehabil Med 41:441–449. https://​doi.​org/​10.​5535/​arm.​2017.​41.​3.​441CrossRefPubMedPubMedCentral
19.
Zurück zum Zitat Jud L, Singh S, Tondelli T et al (2020) Combined Correction of Tibial Torsion and Tibial Tuberosity-Trochlear Groove Distance by Supratuberositary Torsional Osteotomy of the Tibia. Am J Sports Med 48:2260–2267. https://​doi.​org/​10.​1177/​0363546520929687​CrossRefPubMed
20.
Zurück zum Zitat Kolp D, Ziebarth K, Slongo T (2017) Rotation or derotation osteotomy of the tibia. Oper Orthop Traumatol 29:163–172. https://​doi.​org/​10.​1007/​s00064-016-0473-5CrossRefPubMed
21.
Zurück zum Zitat Kristiansen LP, Gunderson RB, Steen H, Reikerås O (2001) The normal development of tibial torsion. Skelet Radiol 30:519–522. https://​doi.​org/​10.​1007/​s002560100388CrossRef
22.
Zurück zum Zitat Liße J, Perl M, Dickschas J (2023) Double-level torsional osteotomy a treatment for the “inwardly pointing knee” syndrome. Arch Orthop Trauma Surg 143:2863–2875. https://​doi.​org/​10.​1007/​s00402-022-04446-wCrossRefPubMed
23.
Zurück zum Zitat Machado W, Paz G, Mendes L et al (2017) Myoeletric Activity of the Quadriceps During Leg Press Exercise Performed With Differing Techniques. J Strength Cond Res 31:422. https://​doi.​org/​10.​1519/​JSC.​0000000000001494​CrossRefPubMed
24.
Zurück zum Zitat MacWilliams BA, McMulkin ML, Baird GO, Stevens PM (2010) Distal Tibial Rotation Osteotomies Normalize Frontal Plane Knee Moments. JBJS 92:2835. https://​doi.​org/​10.​2106/​JBJS.​J.​00147CrossRef
25.
Zurück zum Zitat Manilov R, Chahla J, Maldonado S et al (2020) High tibial derotation osteotomy for distal extensor mechanism alignment in patients with squinting patella due to increased external tibial torsion. Knee 27:1931–1941. https://​doi.​org/​10.​1016/​j.​knee.​2020.​10.​006CrossRefPubMed
26.
Zurück zum Zitat Muhamad AR, Freitas JM, Bomar JD et al (2012) CT and MRI lower extremity torsional profile studies: Measurement reproducibility. J Child Orthop 6:391–396. https://​doi.​org/​10.​1007/​s11832-012-0434-yCrossRefPubMedPubMedCentral
27.
Zurück zum Zitat Murphy SB, Simon SR, Kijewski PK et al (1987) Femoral anteversion. J Bone Joint Surg Am 69:1169–1176CrossRefPubMed
28.
Zurück zum Zitat Paulos L, Swanson SC, Stoddard GJ, Barber-Westin S (2009) Surgical Correction of Limb Malalignment for Instability of the Patella: A Comparison of 2 Techniques. Am J Sports Med 37:1288–1300. https://​doi.​org/​10.​1177/​0363546509334223​CrossRefPubMed
29.
Zurück zum Zitat Sanchis-Alfonso V, McConnell J, Monllau JC, Fulkerson JP (2016) Diagnosis and treatment of anterior knee pain. J Isakos 1:161–173. https://​doi.​org/​10.​1136/​jisakos-2015-000033CrossRef
30.
Zurück zum Zitat Snow M (2021) Tibial Torsion and Patellofemoral Pain and Instability in the Adult Population: Current Concept Review. Curr Rev Musculoskelet Med 14:67–75. https://​doi.​org/​10.​1007/​s12178-020-09688-yCrossRefPubMedPubMedCentral
31.
Zurück zum Zitat Solaiman RH, Shih Y, Bakker C et al (2024) Tibial derotational osteotomy for idiopathic tibial torsion: A systematic review of surgical indications based on clinical presentation and measurement technique. Knee Surg Sports Traumatol Arthrosc 32:1798–1809. https://​doi.​org/​10.​1002/​ksa.​12231CrossRefPubMed
32.
Zurück zum Zitat Staheli LT (1989) Torsion—treatment indications. Clin Orthop Relat Res: 61–66
33.
Zurück zum Zitat Stephen JM, Teitge RA, Williams A et al (2021) A Validated, Automated, 3‑Dimensional Method to Reliably Measure Tibial Torsion. Am J Sports Med 49:747–756. https://​doi.​org/​10.​1177/​0363546520986873​CrossRefPubMedPubMedCentral
34.
Zurück zum Zitat Stotts AK, Stevens PM (2009) Tibial rotational osteotomy with intramedullary nail fixation. Strateg Trauma Limb Reconstr 4:129–133. https://​doi.​org/​10.​1007/​s11751-009-0076-xCrossRef
35.
Zurück zum Zitat Strecker W, Keppler P, Gebhard F, Kinzl L (1997) LENGTH AND TORSION OF THE LOWER LIMB. J Bone Joint Surg Br 79:1019–1023. https://​doi.​org/​10.​1302/​0301-620X.​79B6.​0791019CrossRefPubMed
36.
Zurück zum Zitat Waidelich H‑A, Strecker W, Schneider E (2008) Computertomographische Torsionswinkel- und Längenmessung an der unteren Extremität. Rofo 157:245–251. https://​doi.​org/​10.​1055/​s-2008-1033007CrossRef
37.
Zurück zum Zitat Winkler PW, Lutz PM, Rupp MC et al (2021) Increased external tibial torsion is an infratuberositary deformity and is not correlated with a lateralized position of the tibial tuberosity. Knee Surg Sports Traumatol Arthrosc 29:1678–1685. https://​doi.​org/​10.​1007/​s00167-020-06291-zCrossRefPubMed
38.
Zurück zum Zitat Yoshioka Y, Siu DW, Scudamore RA, Cooke TDV (1989) Tibial anatomy and functional axes. J Orthop Res 7:132–137. https://​doi.​org/​10.​1002/​jor.​1100070118CrossRefPubMed

Arthropedia

Grundlagenwissen der Arthroskopie und Gelenkchirurgie erweitert durch Fallbeispiele, Videos und Abbildungen. Zur Fortbildung und Wissenserweiterung, verfasst und geprüft von Expertinnen und Experten der Gesellschaft für Arthroskopie und Gelenkchirurgie (AGA).


Jetzt entdecken!

Neu im Fachgebiet Orthopädie und Unfallchirurgie

Robuste antitumorale Aktivität bei tenosynovialem Riesenzelltumor

Die 2-Jahres-Daten der Phase-III-Studie MOTION bestätigen Vimseltinib als anhaltend wirksame Therapieoption für Patientinnen und Patienten mit tenosynovialen Riesenzelltumoren bei handhabbarem Risikoprofil.

Pincer-Impingement und Coxarthrose: Auf den CE-Winkel kommt es an!

Das sogenannte Beißzangen-Impingement des Hüftgelenks war in einer großen Kohortenstudie mit einem signifikant höheren Risiko für eine spätere Coxarthrose assoziiert – allerdings nur dann, wenn ein bestimmter Wert beim CE-Winkel überschritten wurde.

STAR-Approach: „Das Beste aus zwei Welten“

Mit dem STAR-Approach, einem modifizierten posterioren Zugang zum Hüftgelenk, erreicht man nicht nur optimalen Überblick, sondern auch die vollständige Schonung des M. piriformis und wichtiger Nerven.

Sprunggelenksfraktur: Die Fünf-Millimeter-Grenze als OP-Indikation

Ob bei Sprunggelenksfrakturen operiert wird, hängt von der Stabilität und Gelenkkongruenz ab. Entscheidend ist die Messung des medialen Gelenkspalts im Belastungsröntgen. Warum die Fünf-Millimeter-Regel hilft, unnötige Operationen zu vermeiden, stellte Dr. Helen Anwander auf dem Orthopädie und Unfallchirurgie Kongress vor.

Update Orthopädie und Unfallchirurgie

Bestellen Sie unseren Fach-Newsletter und bleiben Sie gut informiert.

Bildnachweise
Arthropedia, Frau unkenntlich fasst sich ans Knie/© Pornpak Khunatorn / Getty Images / iStock (Symbolbild mit Fotomodell), Ärzteteam führt Hüftoperation durch/© ATRPhoto / stock.adobe.com (Symbolbild mit Fotomodell), Gebrochener Fuß im Gips/© Aleksandr Kirillov / stock.adobe.com (Symbolbild mit Fotomodell)