Zum Inhalt
Arthroskopie

Instabilität des Kniegelenks – medial oder anteromedial?

Von der Anatomie zur Therapie

Erschienen in:

Zusammenfassung

Hintergrund

Verletzungen des medialen Bandkomplexes gehören zu den häufigsten Knieverletzungen. Sie heilen zwar meist mit konservativer Therapie problemlos aus, persistierende Instabilitäten erhöhen aber die Belastung der Kreuzbänder und benötigen speziell bei deren Beteiligung eine adäquate Therapie.

Anatomie und Biomechanik

Der mediale Seitenbandkomplex besteht im Wesentlichen aus dem oberflächlichen Seitenband (sMCL), welches der primäre Stabilisator gegen Valgus ist, dem tiefen Seitenband (dMCL) mit dessen schräg verlaufendem ventralem Anteil (AML), die nur sekundäre Stabilisatoren gegen Valgus darstellen, aber primär gegen Außenrotation stabilisieren, und dem hinteren Schrägband (POL), das in vollständiger Streckung gegen Valgus sowie gegen Innenrotation stabilisiert.

Therapie

Chronische Instabilitäten bzw. höhergradige Verletzungen mit Dislokation der Bandstümpfe oder multiligamentäre Verletzungen bedürfen einer operativen Versorgung. Im Akutstadium zeigen Avulsionsverletzungen bei anatomischer Refixation gutes Heilungspotenzial, während bei intraligamentären Verletzungen zusätzlich zur Naht der Bandanteile eine Augmentation mit Sehnenmaterial empfohlen wird. Bei chronischen Instabilitäten ist die Differenzierung des Instabilitätsmusters ausschlaggebend für die Wahl der Rekonstruktionstechnik (reine sMCL-Rekonstruktion oder kombinierte Rekonstruktion von sMCL und AML). In beiden Fällen kommt die hier beschriebene Technik mit flachem Transplantat der Anatomie näher als bei konventionellen Verfahren.

Diskussion

Rekonstruktionstechniken unter Verwendung flacher Sehnentransplantate, die alle betroffenen Bandanteile adressieren, haben sich biomechanisch als sehr effektiv erwiesen, komplexe mediale Instabilitäten suffizient zu behandeln. Ob diese auch klinisch überlegen sind, werden zukünftige klinische Studien zeigen müssen.

Redaktion

M. Herbort, München
E. Herbst, Münster
QR-Code scannen & Beitrag online lesen
Nachdem der konservativen Therapie medialer Seitenbandverletzungen lange Zeit nahezu absolutes Heilungspotenzial zugesprochen wurde, ist in den letzten Jahren die Aufmerksamkeit für residuelle mediale Instabilitäten und daraus resultierenden Problemen gestiegen. Insbesondere persistierende Rotationsinstabilitäten in Kombination mit Kreuzbandverletzungen können problematisch sein und werden zunehmend auch mit Reruptur und Transplantatversagen nach vorderer Kreuzbandplastik in Verbindung gebracht.
Verletzungen des medialen Bandapparats gehören zu den häufigsten Knieverletzungen [2]. Dies lässt sich zumindest teilweise durch die biomechanischen Eigenschaften des medialen Bandkomplexes erklären [25]. Während eine Vielzahl dieser Verletzungen mit einer entsprechenden konservativen Therapie (z. B. Orthesenbehandlung und physikalische Therapie) ausheilt, können einige Verletzungsmuster zu persistierenden Valgus- und/oder Rotationsinstabilitäten führen [16]. Speziell Letztere haben in letzter Zeit zunehmende Beachtung erhalten. Der Einfluss einer anterolateralen peripheren Stabilisierung auf den Erfolg der vorderen Kreuzbandplastik wurde mehrfach bewiesen [10, 15]. Es gibt jedoch unterschiedliche Muster der Rotationsinstabilität abhängig vom Verletzungsmechanismus und der Schädigung der peripheren Strukturen [24]. Analog zur anterolateralen Instabilität führen persistierende anteromediale Instabilitäten zu erhöhter Belastung des vorderen Kreuzbands (VKB) bzw. zu einem erhöhten Risiko für ein VKB-Transplantat-Versagen [5, 29]. Nachdem die verschiedenen Anteile des medialen Bandkomplexes unterschiedliche Funktionen aufweisen, liegt es nahe, dass Rekonstruktionstechniken entsprechend der Verletzungsmuster adaptiert werden sollten. Darüber hinaus soll eine möglichst anatomische Rekonstruktion angestrebt werden. Nachdem das oberflächliche Seitenband flach mit breiten Insertionsflächen ist [3, 27] und das tiefe Seitenband einem umgekehrten Fächer mit einem Faserverlauf von einer schmalen femoralen zu einer weiten tibialen Insertion entspricht [4], sollten Rekonstruktionsmethoden auch darauf abzielen.

Anatomie und Biomechanik

Anatomie des medialen Seitenbandkomplexes

Der mediale Kollateralbandkomplex besteht aus mehreren Anteilen, die sich durch einen besonders flachen und mehrschichtigen Aufbau auszeichnen. Aus diesem Grund ist die Bezeichnung des medialen Kollateralbands im Singular sehr irreführend und sollte eher vermieden werden. Grundsätzlich kann der Innenbandkomplex in die folgenden Anteile aufgeteilt werden:
  • oberflächliches mediales Kollateralband (sMCL),
  • tiefes mediales Kollateralband (dMCL),
  • ventraler Kapselbandbereich des tiefen MCL – auch anteromediales Ligament (AML) genannt,
  • hinteres Schrägband (POL),
  • posteromediale Kapsel des Kniegelenks.
Besonders wichtig für das Verständnis der Funktionsweise der einzelnen Bandstrukturen als auch essenziell für eine adäquate Rekonstruktion nach Ruptur dieser Strukturen ist die genaue Kenntnis der Insertionsanatomie der Bandstrukturen. Eine genaue Betrachtung der Insertion des sMCL konnte aufzeigen, dass diese anstatt rund, wie in den meisten vorherigen Publikationen beschrieben, eher flach ist (Abb. 1). Distal dieser flach verlaufenden sMCL-Insertion ist die Insertion des tiefen MCL und der AML-Fasern anzutreffen. Während das dMCL direkt nach distal verläuft und etwa 5–10 mm distal des Knorpelknochenübergangs des Tibiaplateaus inseriert, so verlaufen die Fasern des ventralen Anteils des dMCL/AML von dem femoralen Ansatz fächerförmig zur ventralen proximalen Tibiakante ebenfalls etwa 10 mm distal des Knorpel-Knochen-Übergangs. Die distale Insertion des sMCL befindet sich etwa 5–7 cm distal des Tibiaplateaus.
Abb. 1
Anatomische Präparation des medialen Kollateralbandkomplexes mit eingezeichnetem Insertionsbereich des oberflächlichen Seitenbands (sMCL; rote Markierung). Deutlich erkennbar sind die unterschiedlichen Anspannungsverhältnisse der ventralen und dorsalen Fasern des sMCL in Streckung (a) und Beugung (b) des Kniegelenks
Bild vergrößern
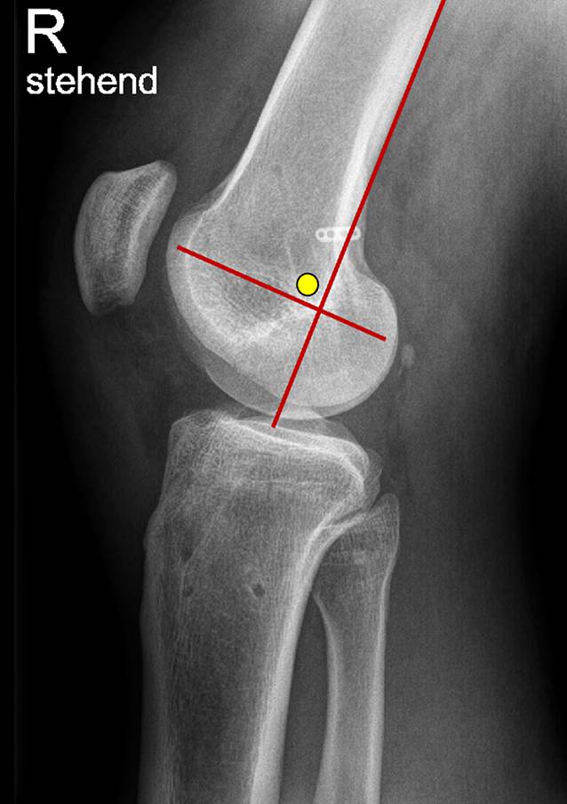
Eine große Hilfe bei der Rekonstruktion der einzelnen Bandanteile des Innenbandkomplexes stellt die Kenntnis über die radiologisch-kontrollierten topographischen Lagebeziehungen der Insertionsbereiche der MCL-Anteile dar. Hier wurde durch Athwal et al. insbesondere die femorale Platzierung des sMCL und dMCL im streng seitlichen Röntgenbild im Vergleich zu vorherigen Darstellungen korrigiert ([3]; Abb. 2).
Abb. 2
Insertionen des oberflächlichen Seitenbands (sMCL) im streng seitlichen Röntgenbild der distalen Femurkondylen. Die Hilfslinien bestehen aus einer Tangente der dorsalen Femurkortikalis und einer rechtwinkligen Linie am Schnittpunkt der ersten Linie mit der Blumensaatlinie. Die gelbe Markierung zeigt den anatomischen Insertionsbereich des sMCL. Dieser liegt ventroproximal des Schnittpunkts der beiden Hilfslinien. (Nach [12])
Bild vergrößern

Biomechanik der anteromedialen Gelenkecke

Zahlreiche Arbeiten haben sich mit den strukturellen Eigenschaften des medialen Kapsel-Band-Apparats und den kinematischen Konsequenzen von Defizienzen desselben auseinandergesetzt. Insgesamt weisen die medialen Kapselbandstrukturen, sowohl die maximale Versagenslast (534–557 N für das sMCL und 101–194 N für das dMCL) als auch die Steifigkeit (80–87,6 N/mm sMCL und 27,6–42 N/mm dMCL) betreffend, Werte auf [25, 32], welche deutlich unter jenen des VKB liegen (zwischen 1500 und 2200 N bzw. 120 und 240 N/mm) [33], wodurch sich u. a. auch die Verletzungsanfälligkeit der medialen Strukturen erklären lässt.
Klinisch hingegen ist die Funktion der einzelnen Strukturen relevanter als die strukturellen Eigenschaften, um Rekonstruktionstechniken entsprechend entwickeln bzw. adaptieren zu können. Dabei konnte gezeigt werden, dass das sMCL der primäre Stabilisator gegen Valgusstress in allen Beugegraden, insbesondere jedoch zwischen 30° und 90° Flexion ist [11, 26]. Das dMCL und die posteromediale Gelenkecke hingegen waren sekundäre Stabilisatoren gegen Valgusstress [11, 26]. Insbesondere bei intaktem sMCL zeigte sich nach Durchtrennung des dMCL keine signifikante Zunahme der Valgusinstabilität [11]. Dementsprechend sind aktuelle Rekonstruktionsverfahren mit Ersatz des sMCL und hinteren Schrägbands (POL) in der Lage, diese Valgusinstabilität biomechanisch zu adressieren [1921].
Die tibiale Außenrotation wird durch das oberflächliche und tiefe mediale Seitenband gehemmt
Ein klinisch häufig beobachtetes Problem sind jedoch nicht reine Valgus-, sondern kombinierte anteromediale Rotationsinstabilitäten. In diesem Kontext konnte gezeigt werden, dass das POL vorwiegend extensionsnah die tibiale Innenrotation hemmt, wohingegen bei tieferen Flexionsgraden auch das sMCL eine Rolle spielt [11, 26]. Im Gegensatz dazu wird die tibiale Außenrotation sowohl durch das dMCL insbesondere ab 30° Flexion und durch das sMCL vorwiegend ab 60° Flexion gehemmt [11, 26]. Neben diesen isolierten Rotationsinstabilitäten sind klinisch jedoch kombinierte Translations-Rotationsinstabilitäten von Bedeutung, da diese tatsächlich die anteromediale Instabilität hervorrufen. Interessanterweise konnten Robinson et al. bereits im Jahr 2005 zeigen, dass das dMCL zwar einen kleinen, aber statistisch signifikanten Beitrag leistet, die anteriore tibiale Translation bei fixierter tibialer Außenrotation zu hemmen [26]. Dennoch wurde in den Folgejahren der Fokus wissenschaftlich wie klinisch fast ausschließlich auf die posteromediale Instabilität gelegt, während die anteromediale Rotationsinstabilität wenig Beachtung erfahren hat. Daher wurde kürzlich durch Wierer et al. diese spezielle Entität erneut aufgegriffen. Dabei konnte gezeigt werden, dass diese kombinierte anteriore tibiale Translation und tibiale Außenrotation vorwiegend durch das sMCL ab 30° Flexion gehemmt werden, wohingegen das dMCL eine untergeordnete Rolle zu spielen scheint [31]. Demgegenüber wurde kürzlich die Anatomie des dMCL mit einem Faserverlauf von femoral epikondylär nach tibial anteromedial neu beschrieben. Mit dieser Definition des dMCL konnte gezeigt werden, dass die tibiale Außenrotation und hierdurch potenziell auch die anteromediale Rotationsinstabilität signifikant durch das dMCL gehemmt werden. Genauer gesagt ist das dMCL der primärer Hemmer gegen tibiale Außenrotation extensionsnah, wohingegen der Effekt des sMCL erst bei tiefer Flexion relevant wird [4]. In einer weiteren biomechanischen bzw. robotischen Studie konnte gezeigt werden, dass die anteriore tibiale Translation in tibialer Außenrotation streckungsnah vorwiegend durch das VKB und bis zu 35 % auch gemeinschaftlich durch das anteromediale Retinakulum und die anteromediale Kapsel gehemmt wird. Ab 60° Flexion schien in dieser Arbeit das sMCL die wichtigste Struktur für die anteromediale Rotationsinstabilität zu sein [14].
So ist es nicht verwunderlich, dass nur durch eine anteromediale Rekonstruktion diese anteromediale Rotationsinstabilität suffizient gehemmt werden kann, wohingegen gängige mediale Bandrekonstruktionen für dieses Instabilitätsmuster möglicherweise nicht ausreichend zu sein scheinen [23].
Ein weiterer Faktor könnte die flächige Anatomie des sMCL sein, welche mit aktuellen Rekonstruktionsverfahren nicht gänzlich repliziert werden kann. So haben biomechanische Studien gezeigt, dass sich die verschiedenen Anteile des sMCL (anteriores, mittleres, posteriores Drittel) unterschiedlich verhalten. Während sich die anterioren Anteile hauptsächlich in Flexion aufspannen, hemmen die posterioren Bereiche des sMCL vorwiegend in Extension. Hinsichtlich der anteromedialen Rotationsinstabilität bzw. der isolierten tibialen Außenrotation konnte beobachtet werden, dass hauptsächlich das anteriore Drittel des sMCL entscheidend ist. Das heißt im Umkehrschluss, dass die anteromediale Rotationsinstabilität bei Durchführung einer sMCL-Rekonstruktion mit runden Transplantaten am ehesten dann gehemmt werden kann, wenn das Transplantat im anterioren Bereich der nativen Insertionen positioniert wird. Dies kann letztlich jedoch zu einer Flexionseinschränkung führen [14, 17].
Um dieser Problematik zu entgehen, könnte eine flache sMCL-Rekonstruktion, mit und ohne anteromediale Rekonstruktion als dMCL-Ersatz, künftig eine bedeutende Rolle spielen, wie in einer ersten biomechanischen Arbeit bereits gezeigt werden konnte [6].

Therapie

Die meisten medialen Kapselbandverletzungen heilen konservativ mit guten klinischen Ergebnissen aus. Allerdings besteht bei höhergradigen Verletzungen, Dislokationen der Bandstümpfe (z. B. distale Rupturen des sMCL mit „Stener-like lesion“; [8]) oder multiligamentären Verletzungen die Gefahr einer residuellen Instabilität [3, 7]. Diese gilt es, durch operative Versorgung der akuten Verletzung zu vermeiden bzw. in der chronischen Situation zu adressieren. Zur differenzierten Indikationsstellung für eine Operation bedarf es einer genauen Analyse der Rupturform in der Magnetresonanztomographie (MRT; Abb. 3) und der Instabilität im Rahmen der klinischen Untersuchung.
Abb. 3
Magnetresonanztomographie (MRT) der unterschiedlichen Verletzungsmuster in koronarer STIR-Sequenz (Short-Tau Inversion Recovery). a Femorale Avulsion von oberflächlichem (sMCL) und tiefem Seitenband (dMCL). b Isolierte distale Avulsion des sMCL bei intaktem dMCL. c Proximale Avulsion des dMCL und Stener-Läsion des sMCL. d Proximale ansatznahe intraligamentäre Ruptur von dMCL und sMCL. a–d Die Verletzungslokalisation ist jeweils durch einen roten Kreis hervorgehoben. e Chronische proximale dMCL- und sMCL-Instabilität (roter Stern Defekt). f Chronische distale sMCL-Instabilität mit verdicktem sMCL und herabgesetzter Bandspannung
Bild vergrößern
Zusätzlich sollte eine Analyse der Beinachse erfolgen, welche vor allem bei chronischen Instabilitäten ein wichtiger Einflussfaktor ist [7].

Operationstechnik bei akuter medialer Instabilität

In der Akutsituation kann insbesondere bei Avulsionsverletzungen die primäre Refixation mit Knochenankern angestrebt werden. Hier ist es wichtig, in der präoperativen Planung die genaue Lokalisation der Verletzung der einzelnen Bandanteile zu kennen, um dann einen adäquaten Zugang wählen zu können (Abb. 3). Es können der oberflächliche und tiefe Anteil des MCL jeweils proximal oder distal ausreißen. Speziell bei Außenrotationsverletzungen kommt aber auch eine distale sMCL-Ruptur in Kombination mit einer proximalen dMCL-Ruptur vor. Werden die Bandanteile an ihr jeweiliges Insertionsareal refixiert, kann meistens wieder eine adäquate Stabilität erreicht werden ([7]; Abb. 4). Dies sollte unter arthroskopischer Sicht und/oder Bildwandler überprüft sowie die freie Beweglichkeit des Kniegelenks (zumindest zwischen 0° und 120°) kontrolliert werden.
Abb. 4
Intraoperatives Bild einer kombinierten proximalen Verletzung des tiefen Seitenbands (dMCL) und des distalen Seitenbands (sMCL). a Anschlingen des dMCL. b Refixiertes dMCL. c Refixiertes sMCL distal. ac (Stern Ankerposition)
Bild vergrößern
Kommt es nicht ansatznah, sondern intraligamentär zu Verletzungen mit hochgradigen Instabilitäten, so ist häufig durch eine Naht der Bandanteile keine ausreichende Stabilität zu erreichen. In diesem Fall oder falls eine suffiziente Naht nicht möglich ist, ist es empfehlenswert, die genähten Bandanteile beispielsweise mit einer distal gestielten Grazilissehne zu augmentieren ([1]; Abb. 5). Hierfür wird, nachdem die rupturierten Bandanteile des medialen Knieseitenbands identifiziert und genäht bzw. refixiert wurden, die Grazilissehne mit einem offenen Sehnenstripper entnommen und am Pes anserinus belassen. Nun wird die Sehne mit dem Messer bis zur Hälfte eingekerbt und mit einem Raspatorium flach ausgestrichen. Anschließend wird unmittelbar im proximalen Ansatzbereich des sMCL ein schlitzförmiger Kanal (wie unten beschrieben) angelegt und die Sehne so an einem „adjustable button“ fixiert, so dass mindestens 1,5 cm in den Kanal eingezogen werden können. Das Transplantat wird in den Kanal eingezogen und in ca. 20° Beugestellung und Neutralrotation gespannt. Das freie Sehnenende wird im distalen Insertionsbereich des sMCL mit Fadenankern unter Spannung fixiert [30]. Wie gezeigt werden konnte, hat der tibiale Ansatzpunkt geringeren Einfluss auf die Biomechanik als der femorale [17], somit kann diese Technik auch bei isolierten sMCL-Rupturen angewendet werden. Bei anteromedialen Verletzungen könnte der etwas schräger verlaufende Transplantatanteil vom Pes anserinus zum femoralen Ansatz des medialen Seitenbandkomplexes sogar Vorteile bieten, was die Hemmung der anteromedialen Rotationsinstabilität betrifft.
Abb. 5
Intraoperatives Bild einer genähten proximalen Verletzung von tiefem (dMCL) und oberflächlichem Seitenband (sMCL) mit Grazilissehnenaugmentation (Pfeile)
Bild vergrößern

Operationstechnik bei chronischer medialer Instabilität

Während im Fall einer chronischen medialen Instabilität eine alleinige Refixation oder Straffung des bestehenden Gewebes nicht zu zufriedenstellenden Ergebnissen geführt hat, ist eine Rekonstruktion unter Verwendung von Transplantaten zu empfehlen [7].
Bisher beschriebene Rekonstruktionstechniken der medialen Seite verwenden als Transplantat hauptsächlich im Querschnitt runde Sehnentransplantate als Auto- oder Allograft mit Punkt-zu-Punkt-Fixationen (Abb. 3a; [19, 21]). Hier wird eine Rekonstruktionstechnik mit flachem Sehnentransplantat [1], welche der Anatomie näherkommt, beschrieben. Aufgrund der anatomischen Nähe werden als Autografts hauptsächlich Semitendinosussehnen verwendet. Da diese aber einen wichtigen dynamischen Stabilisator gegen Valgusstress darstellt [13] und der einzige Innenrotator der Tibia ist [28], sollte auf die Verwendung der ipsilateralen Sehne zur Rekonstruktion der chronischen medialen oder anteromedialen Instabilität verzichtet werden. Als geeignete Alternativen stehen die Sehnen der kontralateralen Seite, ein Peroneus „splitgraft“ [22] oder Allografts zur Verfügung.

Transplantatpräparation

Der runde Querschnitt der meisten Sehnen entspricht jedoch in keiner Weise den flächigen Strukturen der medialen Seite (Abb. 1). Deshalb wird hier eine Operationstechnik beschrieben, die durch Modifikation (flächige Präparation) dieser Sehnen eine bessere Näherung an die ursprüngliche Anatomie gewährleistet ([1]; Abb. 6). Die Sehne wird hierfür in ihrem runden Anteil ausgehend vom Muskelansatz bis zur Hälfte mit dem Skalpell eingekerbt (Abb. 6a) und anschließend mit einem Raspatorium ausgestrichen (Abb. 6b; [1]). Ihre mechanischen Eigenschaften werden dadurch nicht verändert [9].
Abb. 6
Transplantatpräparation eines flachen Transplantats. a Das Sehnentransplantat wird in seinem tubulären Anteil bis zur Hälfte inzidiert und b mit einem Raspatorium flach ausgestrichen. c Das Transplantat wird im Verhältnis 1:2 gefaltet und mit Krackow-Nähten armiert. d Die seitliche Ansicht zeigt das flache Transplantat
Bild vergrößern
Anschließend wird das Transplantat entweder mittig oder im Verhältnis 1:2 zusammengelegt (Abb. 6c), je nachdem, ob eine reine Valgusinstabilität (sMCL-Rekonstruktion) oder eine anteromediale Instabilität vorliegt (sMCL- und AML-Rekonstruktion), und proximal mit Krackow-Nähten in einen „adjustable loop button“ eingeknüpft. Wichtig ist, bereits bei diesem Schritt zu berücksichtigen, welche Strukturen genau rekonstruiert werden sollen:
1.
sMCL – das Transplantat kann mittig zusammengelegt werden,
 
2.
AML/sMCL – das Transplantat wird im Verhältnis 1:2 zusammengelegt (Abb. 6d).
 
Die distalen Enden werden nicht armiert, da diese später mit Fadenankern am Knochen fixiert werden.

Femorale Fixation

Um der breiten femoralen Insertion des medialen Seitenbandkomplexes [3, 18, 27] näherzukommen, wird mit Hilfe eines Dilatators oder eines Meißels ein schlitzförmiger Kanal parallel zur Gelenklinie in voller Streckung angelegt (Abb. 7d). Hierfür wird primär ein Bankart-Stift im Zentrum des Insertionsareals eingebracht (Abb. 7a), der mit einem 4,5-mm-Bohrer über die Gegenkortikalis überbohrt wird [1]. Sind in einer chronischen Instabilitätssituation keine Bandreste zur Orientierung im Insertionsbereich mehr darstellbar, kann ein streng seitliches Röntgenbild mit zwei Hilfslinien das Auffinden des idealen Eintrittspunktes erleichtern (Abb. 2; [3]). Anschließend wird die Kortikalis mit einem Luer parallel zur Gelenkslinie der Transplantatdimension entsprechend entfernt (Abb. 7b) und der Dilatator (Medacta International, Castel San Pietro, Schweiz) bzw. der Meißel der entsprechenden Größe eingebracht (Abb. 7c; [1]).
Abb. 7
Operationsschritte der flachen Rekonstruktion des oberflächlichen (sMCL) und tiefen Seitenbands (dMCL) bzw. anteriomedialen Ligaments (AML). a Darstellen des N. saphenus (Vessel-Loop) und Spalten der Satoriusfaszie (Pinzette). b Einbringen eines K‑Drahts zentral im femoralen Insertionsbereich des sMCL. c Überbohren von diesem mit einem 4,5-mm-Bohrer. d Anlegen eines schlitzförmigen Kanals mit Hilfe eines Meißels. e Einziehen des Transplantats. f Rekonstruktion von AML und sMCL (Pfeile)
Bild vergrößern
Alternativ kann bei komplexen Rekonstruktionen, um Tunnelkonflikte zu vermeiden, auch ein runder Kanal angelegt werden. Hierfür wird der Draht mit einem kanülierten Bohrer der entsprechenden Größe, aber zumindest 8 mm, bis zu einer Tiefe von 3 cm überbohrt und anschließend eine Interferenzschraube proximal des Transplantats zur Fixation verwendet [1].
Isoliertes sMCL.
Da das Transplantat hier einfach mittig zusammengelegt wird, ist ein Ausrichten des Transplantats nicht notwendig. In diesem Fall kann alternativ zum „adjustable loop“ auch ein „continuous loop“ im Fixationsbutton verwendet werden. Das Transplantat wird hier primär auf die adäquate Tiefe in den femoralen Kanal eingezogen und mit Button oder mittels Interferenzschraube fixiert. Anschließend wird dieses doppelt in 20° Flexion nach unten zum Insertionsbereich distal des Pes anserinus gespannt und mit 2 Fadenankern fixiert. Im Fall eines „adjustable loop“ kann nun noch einmal nachgespannt werden. Auch hier sollte die freie Beweglichkeit und die mediale Stabilität unter arthroskopischer Sicht bzw. Bildwandler geprüft werden [1].
Rekonstruktion von sMCL und dMCL/AML.
Das Transplantat wird so ausgerichtet, dass der kürzere Schenkel innen und der längere außen zu liegen kommt (Abb. 7e) und mit Hilfe des K‑Ösen-Drahts in den Eingang des femoralen Kanals eingezogen, bis der Button an der lateralen Kortikalis flippt. Der innenliegende Schenkel des Transplantats wird nun mit 2 Fadenankern mit 1 cm Abstand ungefähr 8 mm distal der Gelenklinie ventral des sMCL spannungsfrei fixiert [1]. Anschließend wird der „adjustable loop“ bei Neutralrotation, streckungsnahe angezogen, bis sich das dMCL/AML spannt. Alternativ dazu wird bei einem runden Kanal das Transplantat zum jetzigen Zeitpunkt über eine Interferenzschraube, die proximal des Transplantats eingebracht wird, fixiert. Knapp unterhalb des femoralen Kanals wird dieses noch mit den Weichteilresten des dMCL vernäht. In 20° Flexion und leichtem Varus wird nun noch der oberflächliche Schenkel des Transplantats im distalen Insertionsbereich des sMCL mit 2 Fadenankern oder einem Staple unter Spannung fixiert (Abb. 7f). Am Ende sollte die freie Beweglichkeit des Kniegelenks (zumindest zwischen 0° und 120°) und die mediale Stabilität unter arthroskopischer Sicht oder Bildwandler überprüft werden [1].

Nachbehandlung

Unter Ausschluss zusätzlicher Begleitverletzungen wird das Kniegelenk für 6 Wochen postoperativ in einer Knieorthese mit Einschränkung der Beweglichkeit (0°-0°-90°) ruhiggestellt. Für die ersten beiden Wochen bzw. bis zum Wiedererlangen der Quadrizepskontrolle wird eine teilbelastende Mobilisation (15–20 kg) empfohlen. Anschließend kann zur Vollbelastung übergegangen werden. Aktive Bewegungsübungen mit besonderem Augenmerk auf die Streckung können und sollen unmittelbar postoperativ begonnen werden.

Diskussion

Verletzungen des anteromedialen Bandapparats des Kniegelenks haben in den letzten Jahren vermehrte Aufmerksamkeit erlangt. Neue anatomische und biomechanische Studien haben das komplexe Zusammenwirken der unterschiedlichen Bandanteile aufgezeigt [3, 4, 27, 31, 32]. Um eine zielführende Behandlung nach frischem Trauma einleiten zu können und damit das Risiko einer chronischen Instabilität zu minimieren, ist eine exakte Diagnose und die richtige Einschätzung des Verletzungsmechanismus essenziell. Besonders in Kombination mit VKB-Verletzungen kommt der adäquaten Therapie der medialen Verletzungen große Bedeutung zu, um ein frühzeitiges Transplantatversagen zu vermeiden [29].
Im Fall einer chronischen Instabilität ist ebenso die eingehende klinische Evaluierung die Basis der Planung der geeigneten Rekonstruktion. Vor allem in Kombination mit einer VKB-Instabilität ist die Differenzierung zwischen reiner Valgusinstabilität und anteromedialer Rotationsinstabilität für eine suffiziente Versorgung essenziell, da gängige Rekonstruktionstechniken für Letztere keine suffiziente Stabilisierung zu sein scheinen [23].
Die Rekonstruktion mit flachen Sehnentransplantaten ist anatomiegetreuer
Rekonstruktionstechniken unter Verwendung flacher Sehnentransplantate, die alle betroffenen Bandanteile adressieren, können die Faserstruktur des medialen Seitenbandkomplexes anatomiegetreuer ersetzen und haben sich biomechanisch als sehr effektiv erwiesen diese komplexen Instabilitäten suffizient zu behandeln [6]. Ob diese auch klinisch überlegen sind, werden zukünftige klinische Studien zeigen müssen.

Fazit für die Praxis

  • Die akute Ruptur des medialen Kollateralbandkomplexes muss unbedingt zeitnah und präzise mittels MRT-Diagnostik und klinischer Untersuchung analysiert werden, um eine adäquate Therapie (operativ oder konservativ) einleiten zu können.
  • Im Fall einer chronischen medialen Instabilität ist eine Straffung des ortsständigen Gewebes nicht ausreichend. Eine Rekonstruktion mittels Transplantat hat sich als wesentlich effektiver erwiesen.
  • Konventionelle Rekonstruktionstechniken verwenden tubuläre Sehnentransplantate zur Rekonstruktion des medialen Seitenbandkomplexes.
  • Flach präparierte Sehnentransplantate entsprechen dem natürlichen Faserverlauf und haben sich biomechanisch und klinisch als effektiv erwiesen, insbesondere zur Therapie kombinierter Rotationsinstabilitäten.

Einhaltung ethischer Richtlinien

Interessenkonflikt

E. Abermann und E. Herbst geben an, dass kein Interessenskonflikt besteht. M. Herbort, R. Smigielski und C. Fink haben einen Beratervertrag mit Medacta International.
Für diesen Beitrag wurden von den Autor/-innen keine Studien an Menschen oder Tieren durchgeführt. Für die aufgeführten Studien gelten die jeweils dort angegebenen ethischen Richtlinien.
Open Access Dieser Artikel wird unter der Creative Commons Namensnennung 4.0 International Lizenz veröffentlicht, welche die Nutzung, Vervielfältigung, Bearbeitung, Verbreitung und Wiedergabe in jeglichem Medium und Format erlaubt, sofern Sie den/die ursprünglichen Autor(en) und die Quelle ordnungsgemäß nennen, einen Link zur Creative Commons Lizenz beifügen und angeben, ob Änderungen vorgenommen wurden.
Die in diesem Artikel enthaltenen Bilder und sonstiges Drittmaterial unterliegen ebenfalls der genannten Creative Commons Lizenz, sofern sich aus der Abbildungslegende nichts anderes ergibt. Sofern das betreffende Material nicht unter der genannten Creative Commons Lizenz steht und die betreffende Handlung nicht nach gesetzlichen Vorschriften erlaubt ist, ist für die oben aufgeführten Weiterverwendungen des Materials die Einwilligung des jeweiligen Rechteinhabers einzuholen.
Weitere Details zur Lizenz entnehmen Sie bitte der Lizenzinformation auf http://creativecommons.org/licenses/by/4.0/deed.de.
download
DOWNLOAD
print
DRUCKEN
Titel
Instabilität des Kniegelenks – medial oder anteromedial?
Von der Anatomie zur Therapie
Verfasst von
DDr. Elisabeth Abermann
PD Dr. E. Herbst
Prof. Dr. M. Herbort
Dr. R. Smigielski
Ao. Prof. Dr. C. Fink
Publikationsdatum
21.09.2022
Verlag
Springer Medizin
Schlagwort
Arthroskopie
Erschienen in
Arthroskopie / Ausgabe 6/2022
Print ISSN: 0933-7946
Elektronische ISSN: 1434-3924
DOI
https://doi.org/10.1007/s00142-022-00564-0
1.
Zurück zum Zitat Abermann E, Wierer G, Herbort M et al (2022) MCL reconstruction using a flat tendon graft for anteromedial and posteromedial instability. Arthrosc Tech 11:e291–e300CrossRef
2.
Zurück zum Zitat Andrews K, Lu A, Mckean L et al (2017) Review: medial collateral ligament injuries. J Orthop 14:550–554CrossRef
3.
Zurück zum Zitat Athwal KK, Willinger L, Shinohara S et al (2020) The bone attachments of the medial collateral and posterior oblique ligaments are defined anatomically and radiographically. Knee Surg Sports Traumatol Arthrosc 28:3709–3719CrossRef
4.
Zurück zum Zitat Ball S, Stephen J, El-Daou H et al (2020) The medial ligaments and the ACL restrain anteromedial laxity of the knee. Knee Surg Sports Traumatol Arthrosc 28:3700–3708CrossRef
5.
Zurück zum Zitat Battaglia MJ 2nd, Lenhoff MW, Ehteshami JR et al (2009) Medial collateral ligament injuries and subsequent load on the anterior cruciate ligament: a biomechanical evaluation in a cadaveric model. Am J Sports Med 37:305–311CrossRef
6.
Zurück zum Zitat Behrendt P, Herbst E, Robinson JR et al (2022) The control of anteromedial rotatory instability is improved with combined flat sMCL and anteromedial reconstruction. Am J Sports Med 50(8):2093–2101CrossRef
7.
Zurück zum Zitat Bonasia DE, Bruzzone M, Dettoni F et al (2012) Treatment of medial and posteromedial knee instability: indications, techniques, and review of the results. Iowa Orthop J 32:173–183
8.
Zurück zum Zitat Brimmo OA, Senne JA, Crim J (2019) MRI findings of Stener-like lesion of the knee: a case series with surgical correlation. Eur J Radiol 121:108709CrossRef
9.
Zurück zum Zitat Domnick C, Herbort M, Raschke MJ et al (2017) Converting round tendons to flat tendon constructs: Does the preparation process have an influence on the structural properties? Knee Surg Sports Traumatol Arthrosc 25:1561–1567CrossRef
10.
Zurück zum Zitat Getgood AMJ, Bryant DM, Litchfield R et al (2020) Lateral extra-articular tenodesis reduces failure of hamstring tendon autograft anterior cruciate ligament reconstruction: 2‑year outcomes from the STABILITY study randomized clinical trial. Am J Sports Med 48:285–297CrossRef
11.
Zurück zum Zitat Griffith CJ, Laprade RF, Johansen S et al (2009) Medial knee injury: part 1, static function of the individual components of the main medial knee structures. Am J Sports Med 37:1762–1770CrossRef
12.
Zurück zum Zitat Hartshorn T, Otarodifard K, White EA et al (2013) Radiographic landmarks for locating the femoral origin of the superficial medial collateral ligament. Am J Sports Med 41:2527–2532CrossRef
13.
Zurück zum Zitat Herbort M, Michel P, Raschke MJ et al (2017) Should the ipsilateral hamstrings be used for anterior cruciate ligament reconstruction in the case of medial collateral ligament insufficiency? Biomechanical investigation regarding dynamic stabilization of the medial compartment by the hamstring muscles. Am J Sports Med 45:819–825CrossRef
14.
Zurück zum Zitat Herbst E, Peez C, Muhmann R et al (2021) Anteromedial rotatory knee instability—much more than the medial collateral ligament. 38. AGA – Kongress.
15.
Zurück zum Zitat Inderhaug E, Stephen JM, Williams A et al (2017) Biomechanical comparison of anterolateral procedures combined with anterior cruciate ligament reconstruction. Am J Sports Med 45:347–354CrossRef
16.
Zurück zum Zitat Kannus P (1988) Long-term results of conservatively treated medial collateral ligament injuries of the knee joint. Clin Orthop Relat Res 226:103–112CrossRef
17.
Zurück zum Zitat Kittl C, Robinson J, Raschke MJ et al (2021) Medial collateral ligament reconstruction graft isometry is effected by femoral position more than tibial position. Knee Surg Sports Traumatol Arthrosc 29:3800–3808CrossRef
18.
Zurück zum Zitat Laprade RF, Engebretsen AH, Ly TV et al (2007) The anatomy of the medial part of the knee. J Bone Joint Surg Am 89:2000–2010CrossRef
19.
Zurück zum Zitat Laprade RF, Wijdicks CA (2012) Surgical technique: development of an anatomic medial knee reconstruction. Clin Orthop Relat Res 470:806–814CrossRef
20.
Zurück zum Zitat Lind M, Jacobsen K, Nielsen T (2020) Medial collateral ligament (MCL) reconstruction results in improved medial stability: results from the Danish knee ligament reconstruction registry (DKRR). Knee Surg Sports Traumatol Arthrosc 28:881–887CrossRef
21.
Zurück zum Zitat Lind M, Jakobsen BW, Lund B et al (2009) Anatomical reconstruction of the medial collateral ligament and posteromedial corner of the knee in patients with chronic medial collateral ligament instability. Am J Sports Med 37:1116–1122CrossRef
22.
Zurück zum Zitat Liu CT, Lu YC, Huang CH (2015) Half-peroneus-longus-tendon graft augmentation for unqualified hamstring tendon graft of anterior cruciate ligament reconstruction. J Orthop Sci 20:854–860CrossRef
23.
Zurück zum Zitat Miyaji N, Holthof SR, Bastos RPS et al (2022) A triple-strand anatomic medial collateral ligament reconstruction restores knee stability more completely than a double-strand reconstruction: a biomechanical study in vitro. Am J Sports Med 50:1832–1842CrossRef
24.
Zurück zum Zitat Müller W, Hughston J, Muspach R et al (2012) The knee: form, function, and ligament reconstruction. Springer, Berlin, Heidelberg
25.
Zurück zum Zitat Robinson JR, Bull AM, Amis AA (2005) Structural properties of the medial collateral ligament complex of the human knee. J Biomech 38:1067–1074CrossRef
26.
Zurück zum Zitat Robinson JR, Bull AM, Thomas RR et al (2006) The role of the medial collateral ligament and posteromedial capsule in controlling knee laxity. Am J Sports Med 34:1815–1823CrossRef
27.
Zurück zum Zitat Saigo T, Tajima G, Kikuchi S et al (2017) Morphology of the insertions of the superficial medial collateral ligament and posterior oblique ligament using 3‑dimensional computed tomography: a cadaveric study. Arthroscopy 33:400–407CrossRef
28.
Zurück zum Zitat Stepien K, Smigielski R, Mouton C et al (2019) Anatomy of proximal attachment, course, and innervation of hamstring muscles: a pictorial essay. Knee Surg Sports Traumatol Arthrosc 27:673–684CrossRef
29.
Zurück zum Zitat Svantesson E, Hamrin Senorski E, Alentorn-Geli E et al (2019) Increased risk of ACL revision with non-surgical treatment of a concomitant medial collateral ligament injury: a study on 19,457 patients from the Swedish National Knee Ligament Registry. Knee Surg Sports Traumatol Arthrosc 27:2450–2459CrossRef
30.
Zurück zum Zitat Wierer G, Kittl C, Fink C, Weiler A (2022) Medial collateral ligament reconstruction: a gracilis tenodesis for anteromedial knee instability. Arthrosc Tech 11:e1409–e1418. https://doi.org/10.1016/j.eats.2022.03.034CrossRef
31.
Zurück zum Zitat Wierer G, Milinkovic D, Robinson JR et al (2021) The superficial medial collateral ligament is the major restraint to anteromedial instability of the knee. Knee Surg Sports Traumatol Arthrosc 29:405–416CrossRef
32.
Zurück zum Zitat Wijdicks CA, Ewart DT, Nuckley DJ et al (2010) Structural properties of the primary medial knee ligaments. Am J Sports Med 38:1638–1646CrossRef
33.
Zurück zum Zitat Woo SL, Hollis JM, Adams DJ et al (1991) Tensile properties of the human femur-anterior cruciate ligament-tibia complex. The effects of specimen age and orientation. Am J Sports Med 19:217–225CrossRef

Arthropedia

Grundlagenwissen der Arthroskopie und Gelenkchirurgie erweitert durch Fallbeispiele, Videos und Abbildungen. Zur Fortbildung und Wissenserweiterung, verfasst und geprüft von Expertinnen und Experten der Gesellschaft für Arthroskopie und Gelenkchirurgie (AGA).


Jetzt entdecken!

Neu im Fachgebiet Orthopädie und Unfallchirurgie

Mit LEAP mehr Stabilität nach Kreuzbandriss?

Welches ist die beste Methode zur Rekonstruktion des vorderen Kreuzbands (ACL) bei jungen, sportlich aktiven Patientinnen und Patienten? In einer Real-World-Studie wurde die alleinige ACL-Rekonstruktion – in diesem Fall mit einem BPTB(Bone-Patellar Tendon-Bone)-Autograft – mit einer zusätzlichen lateralen Technik verglichen.

Gips ebenbürtig mit Op. bei Weber-B-Fraktur des Sprunggelenks

Ist eine Weber-B-Fraktur des Außenknöchels mit einem Gipsverband ausreichend behandelt? In einer randomisierten Studie aus Finnland war das Ergebnis auch dann gleichwertig mit einer Op., wenn ein Stresstest auf eine „okkulte“ Instabilität hinwies.

Frau „erspült“ sich ein Kubitaltunnelsyndrom

Beim Abwaschen wurden die Rückenschmerzen jedes Mal unerträglich. Eine 74-Jährige behalf sich mit einem Trick – und erreichte damit, dass ihr nun auch noch der Arm wehtat und die Finger kribbelten.

Vorhaltepauschale: 2,50 Euro mehr pro Fall? Dafür lohnt es sich, einen Blick drauf zu werfen!

  • 11.01.2026
  • EBM
  • Nachrichten

Einfach alles beim alten lassen, oder doch für die Vorhaltepauschale Abläufe ändern? Arzt und Praxisberater Dr. Georg Lübben erläutert im Interview, für wen es sich lohnen könnte, aktiv zu werden.

Update Orthopädie und Unfallchirurgie

Bestellen Sie unseren Fach-Newsletter und bleiben Sie gut informiert.

Bildnachweise
Arthropedia, Vorbereitung einer Knie-Operation/© Issara / stock.adobe.com (Symbolbild mit Fotomodell), Gebrochener Fuß im Gips/© Aleksandr Kirillov / stock.adobe.com (Symbolbild mit Fotomodell), Frau mit Schmerzen in der linken Hand/© Jacob Wackerhausen / Getty Images / iStock (Symbolbild mit Fotomodell), Frau ist im Videocall mit einem Arzt/© seb_ra / Getty Images / iStock (Symbolbild mit Fotomodell)