Zum Inhalt

ASCO Annual Meeting 2023

Brustkrebs: Zweite positive Adjuvanz-Studie mit CDK4/6-Inhibitor

Die Phase-3-Studie NATALEE untersuchte die zusätzliche Gabe von Ribociclib zur endokrinen Therapie nun auch beim frühen HR-positiven, HER2-negativem Brustkrebs. Auf dem ASCO stelle Dennis J. Slamon, Los Angeles, die Ergebnisse vor, die ein reduziertes Risiko für ein invasives Rezidiv zeigen.

weiterlesen

App unterstützt orale Therapie bei Brustkrebs

Orale Therapien erfordern eine hohe Autonomie der Patientinnen und Patienten. Die lässt sich digital unterstützen – mit dem Erfolg einer besseren Lebensqualität.

Einfaches Mittel schützt vor Hand-Fuß-Syndrom

Ein Hand-Fuß-Syndrom kann unter anderem Folge einer Chemotherapie mit Capecitabin sein. Es führt zu einer eingeschränkten Lebensqualität, zu Dosisreduktionen und auch zu dauerhaften Therapieabbrüchen. Doch es gibt Hilfe aus der Apotheke.

Nichthormoneller Ansatz bei Einschränkungen der Libido

Bei Frauen mit Brustkrebs, die eine adjuvante endokrine Therapie erhalten, können Einschränkungen ihrer Libido auftreten. Ein Serotonin-Rezeptor-Modulator konnte in einer kleinen Studie die sexuelle Dysfunktion lindern.

Nasopharynxkarzinome: PD-1-Inhibition sinnvoller Therapieansatz

Verschiedene PD-1-Antikörper haben kombiniert mit einer Chemotherapie eine vielversprechende Wirksamkeit bei lokal fortgeschrittenen Nasopharynxkarzinomen gezeigt. Aktuelle Überlebensdaten wurden auf der ASCO-Jahrestagung 2023 präsentiert.

Alle Infos zum ASCO 2023

print
DRUCKEN
insite
SUCHEN

Relevanten Informationen zum ASCO-Kongress finden Sie hier.

Die Seite der American Society of Clinical Oncology finden Sie unter: www.asco.org


print
DRUCKEN

Vorteil für Olaparib und Durvalumab bei fortgeschrittenem Ovarialkarzinom

Frauen, die an einem Ovarialkarzinom erkrankt sind, haben mit einer kombinierten Erhaltungstherapie aus einem Checkpoint- und einem PARP-Inhibitor eine Chance auf eine verbesserte Therapie. Das zeigen Daten einer Phase-3-Zwischenanalyse, die auf der Jahrestagung der ASCO vorgestellt wurde.

Hodgkin-Lymphom: PD-1-Inhibitor plus AVD neuer US-Standard?

Die Daten der SWOG-S1826-Studie könnten die US-amerikanische Standardtherapie beim unbehandelten fortgeschrittenen Hodgkin-Lymphom bei Kindern und Erwachsenen verändern. Deutsche Forschungsteams verfolgen allerdings eigene Ansätze zur Verbesserung der Erstlinientherapie.

Rektumkarzinom: Neoadjuvante Therapie ohne Bestrahlung?

In der US-amerikanischen Phase-III-Studie PROSPECT hat sich gezeigt, dass die neoadjuvante Therapie beim lokal fortgeschrittenen Rektumkarzinom auch ohne Bestrahlung der Beckenregion auskommt. Auf dem Annual Meeting der ASCO wurde die Bedeutung der Studie für die klinische Praxis diskutiert.

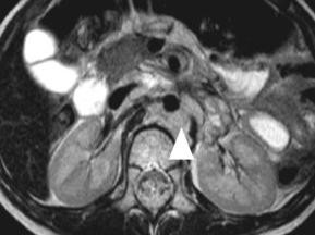
PARP-Hemmer verbessert First-Line-Therapie bei mCRPC

Eine Zusatztherapie mit Talazoparib in der Erstlinie kann das progressionsfreie Überleben für Männer mit metastasiertem kastrationsresistentem Prostatakarzinom (mCRPC) deutlich verlängern – auch dann, wenn keine Defekte in der homologen DNA-Reparatur vorliegen. Dafür sprechen die Resultate einer Phase-3-Studie.

Kein Vorteil für PD-L1-Hemmer in Zweitlinie bei Nierenzell-Ca.

Atezolizumab kann die Zweit- und Drittlinientherapie mit Cabozantinib bei metastasiertem Nierenzellkarzinom nicht verbessern – Gesamtüberleben und PFS werden nicht verlängert, dafür treten häufiger schwere Nebenwirkungen auf, so die Resultate der Studie CONTACT-03.

Einfache Hysterektomie ist bei frühem Zervixkarzinom sicher

Die radikale Hysterektomie ist eine hoch effektive Maßnahme bei Gebärmutterhalskrebs. Bei Niedrigrisikopatientinnen kann jedoch ein einfacher Eingriff ausreichen, ohne negative Effekte in Kauf zu nehmen. Im Gegenteil profitieren gut ausgewählte Patientinnen sogar von der schonenden Methode, wenn Lebensqualität oder Komplikationen betrachtet werden.

Brustkrebs: Zweite positive Adjuvanz-Studie mit CDK4/6-Inhibitor

Die Phase-3-Studie NATALEE untersuchte die zusätzliche Gabe von Ribociclib zur endokrinen Therapie nun auch beim frühen HR-positiven, HER2-negativem Brustkrebs. Auf dem ASCO stelle Dennis J. Slamon, Los Angeles, die Ergebnisse vor, die ein reduziertes Risiko für ein invasives Rezidiv zeigen.

Neuroblastom-Erkrankte profitieren vom RIST-Regime

Das RIST-Regime hat sich bei pädiatrischen Patientinnen und Patienten mit Hochrisiko-Neuroblastom als wirksam erwiesen. Damit verlängerten sich sowohl PFS als auch OS im Vergleich zu Irinotecan/Temozolomid.

Tiefes Ansprechen mit Obecabtagen-Autoleucel bei r/r B-ALL

In der Phase-2-Studie FELIX wurde mit dem gegen CD19 gerichteten CAR-T-Zell-Produkt Obecabtagen-Autoleucel bei stark vorbehandelten Erwachsenen mit rezidivierter/refraktärer B-ALL eine Gesamtansprechrate von 76 % erzielt. Zytokinfreisetzungssyndrome ≥ Grad 3 und ICANS ≥ Grad 3 gab es selten.

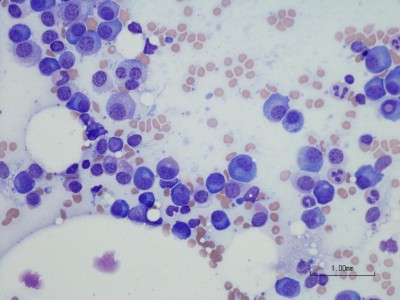
Früherer Einsatz von Cilta-Cel bei Multiplem Myelom

Im Vergleich zu den derzeitigen Standardtherapien verringerte Ciltacabtagene Autoleucel (Cilta-Cel) das Progressionsrisiko bei Menschen mit rezidiviertem und Lenalidomid-refraktärem Multiplem Myelom in der CARTITUDE-4-Studie um 74%. Beim Gesamtüberleben zeigte sich ein Trend zugunsten der CAR-T-Zelltherapie.

Gegen Resistenzen beim NSCLC: Chemotherapie zwischen EGFR-Inhibitor-Gabe

Erworbene Resistenzen limitieren beim fortgeschrittenen NSCLC die Wirksamkeit einer Therapie mit EGFR-Inhibitoren. In der AGAIN-Studie zeigten sich positive Effekte auf das progressionsfreie Überleben durch eine zwischengeschaltete Chemotherapie.

Vorasidenib: "Practice-changing" bei Grad 2-Gliomen

Der orale IDH1/2-Inhibitor Vorasidenib verlängerte in der INDIGO-Studie im Vergleich zu Placebo das progressionsfreie Überleben und die Zeit bis zur nächsten Therapie bei Personen mit Grad 2 diffusen Gliomen. Die Ergebnisse werden laut Experten die klinische Praxis verändern.

Bildnachweise
Eine Tablette wird aus einem Blister gedrückt/© fpic / stock.adobe.com, Ärztin zeigt etwas auf dem Smarphone/© SDI Productions / Getty Images / iStock (Symbolbild mit Fotomodellen), Creme auf Hand/© Klaus Eppele / Fotolia, Paar im Bett, Frau liegt wach/© drubig-photo / Fotolia (Symbolbild mit Fotomodellen), Checkpointhemmer/© molekuul.be / stock.adobe.com, Immuncheckpointinhibitoren binden an Krebszelloberflächenproteine /© Juan Gärtner / stock.adobe.com, Rektumkarzinom/© Rödel, C et al. / all rights reserved Springer Medizin Verlag GmbH, MRT der Prostata/© Reske, S. / all rights reserved Springer Medizin Verlag GmbH, Infusion/© georgeoprea9 / Getty Images / iStock, Radikales Hysterektomiepräparat/© de Gregorio, N., Ebner, F. / all rights reserved Springer Medizin Verlag GmbH, Typische Ausbreitungswege des Neuroblastoms/© Körber, F., Schäfer, J.F. / all rights reserved Springer Medizin Verlag GmbH, Myelomzellen aus dem Knochenmark/© OGphoto / Getty Images / iStock, NSCLC Adenokarzinom mit EGFR-Mutation und TTF-1-Positivität/© Tapia, C. et al. / all rights reserved Springer Medizin Verlag GmbH, Hirntumoren sichtbar im MRT/© semnic / Getty Images / iStock (Symbolbild mit Fotomodell)