Zum Inhalt

Erratum zu: Plötzliche bilaterale Visusminderung und Gesichtsfeldausfälle

Erschienen in:
download
DOWNLOAD
print
DRUCKEN
insite
SUCHEN
Die Online-Version des Originalartikels ist unter https://doi.org/10.1007/s00347-021-01392-7 zu finden.
Erratum zu:
Ophthalmologe 2021
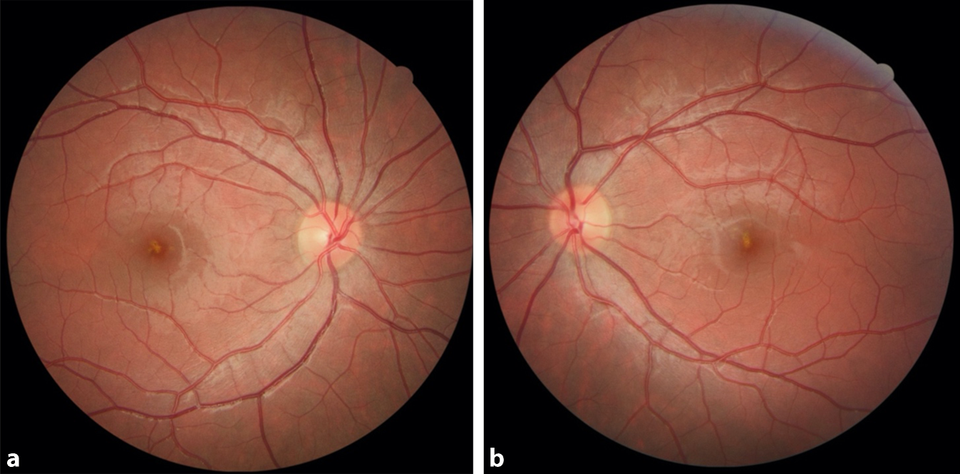
In dem ursprünglichen Artikel wurden die beiden Teilabbildungen 1 a und b vertauscht. Die Online-Version sowie das PDF des Beitrags wurden nachträglich korrigiert. Bitte beachten Sie die korrigierte Abbildung (Abb. 1).
Abb. 1
Fundoskopisch zeigte sich im Bereich der Makula am rechten (a) und am linken Auge (b) ein vergrößerter fovealer Reflex mit einer gelblichen Läsion und einem dunkleren roten Randsaum
Bild vergrößern
Der vollständige und korrigierte Artikel steht Ihnen auf www.springermedizin.de zur Verfügung. Bitte geben Sie dort den Beitragstitel in die Suche ein.
Die Redaktion
Open Access Dieser Artikel wird unter der Creative Commons Namensnennung 4.0 International Lizenz veröffentlicht, welche die Nutzung, Vervielfältigung, Bearbeitung, Verbreitung und Wiedergabe in jeglichem Medium und Format erlaubt, sofern Sie den/die ursprünglichen Autor(en) und die Quelle ordnungsgemäß nennen, einen Link zur Creative Commons Lizenz beifügen und angeben, ob Änderungen vorgenommen wurden.
Die in diesem Artikel enthaltenen Bilder und sonstiges Drittmaterial unterliegen ebenfalls der genannten Creative Commons Lizenz, sofern sich aus der Abbildungslegende nichts anderes ergibt. Sofern das betreffende Material nicht unter der genannten Creative Commons Lizenz steht und die betreffende Handlung nicht nach gesetzlichen Vorschriften erlaubt ist, ist für die oben aufgeführten Weiterverwendungen des Materials die Einwilligung des jeweiligen Rechteinhabers einzuholen.
Weitere Details zur Lizenz entnehmen Sie bitte der Lizenzinformation auf http://creativecommons.org/licenses/by/4.0/deed.de.

Unsere Produktempfehlungen

Die Ophthalmologie

Print-Titel

  • Umfassende Themenschwerpunkte mit klaren Handlungsempfehlungen
  • Praxisrelevante CME-Fortbildung in jedem Heft
  • Organ der Deutschen Ophthalmologischen Gesellschaft

e.Med Interdisziplinär

Kombi-Abonnement

Für Ihren Erfolg in Klinik und Praxis - Die beste Hilfe in Ihrem Arbeitsalltag

Mit e.Med Interdisziplinär erhalten Sie Zugang zu allen CME-Fortbildungen und Fachzeitschriften auf SpringerMedizin.de.

download
DOWNLOAD
print
DRUCKEN
Titel
Erratum zu: Plötzliche bilaterale Visusminderung und Gesichtsfeldausfälle
Verfasst von
Dr. med. Alexander C. Rokohl
Gerhard Welsandt
Ludwig M. Heindl
Friederike Schaub
Sigrid Roters
Publikationsdatum
20.05.2021
Verlag
Springer Medizin
Schlagwort
Augenheilkunde
Erschienen in
Die Ophthalmologie / Ausgabe Sonderheft 2/2021
Print ISSN: 2731-720X
Elektronische ISSN: 2731-7218
DOI
https://doi.org/10.1007/s00347-021-01424-2
Bildnachweise
Mädchen in selbst gebauter Zeitmaschine/© Santen GmbH (Symbolbild mit Fotomodell)