Zum Inhalt
Die Pathologie

Endotheliitis bei COVID-19

  • Open Access
  • 11.12.2020
  • Autopsie
  • Hauptreferate: Hauptprogramm der DGP
Erschienen in:

Zusammenfassung

Bei COVID-19-Infektion liegt eine systemische virale Reaktion gefolgt von einer entzündlichen Krankheitsphase vor. Die erste Phase verläuft meist mild/asymptomatisch. Nur ein Teil der Patienten entwickelt die entzündliche Phase mit hoher Mortalität. Patienten mit vorbestehenden kardiovaskulären Erkrankungen und kardiovaskulären Risikofaktoren haben ein höheres Risiko, schwer an COVID-19 zu erkranken. COVID-19 betrifft nicht nur das Lungenparenchym durch die ACE2-Rezeptoren. COVID-19 betrifft nicht nur das Lungenparenchym durch die ACE2-Rezeptoren, sondern kann auch im Gesamtkörper eine generalisierte endotheliale Schädigung und Entzündung im Sinne einer sog. Endotheliitis zur Folge haben. Die Morphologie der Endotheliitis stellt eine Akkumulation von Lymphozyten, Plasmazellen und Makrophagen im und unterhalb der endothelialen Zellen dar. Eine Endotheliitis kann eine Vasokonstriktion mit konsekutiver Organischämie, Entzündung und Gewebeödem sowie thrombotische Mikrozirkulationsstörung zur Folge haben. Patienten mit vorbestehender kardiovaskulärer Dysfunktion (Hypertonus, Diabetes mellitus, Übergewicht und weitere kardiovaskuläre Erkrankungen, männliches Geschlecht) haben ein erhöhtes Risiko für schwere Verläufe einer COVID-19-Infektion. Insbesondere endothelstabilisierende Ansätze kommen aus diesen Gründen zum Einsatz. Die Erkenntnisse wurden seit dem Pandemieausbruch mehrheitlich von Autopsien gewonnen.

Hintergrund und klinische Aspekte

Das Coronavirus SARS-CoV‑2 wurde Ende 2019 von ersten kranken Patienten aus Korea isoliert und aus den nasopharyngealen Abstrichpräparaten wurden erstmals labortechnisch mit Sars-CoV‑2 infizierte Zellen nachgewiesen [1]. Die viralen Strukturen in diesen ersten infizierten Zellkulturen zeigten einen klaren zytopathischen Effekt und haben sich als runde Partikel umgeben von einen prominenten äußeren Ring, welcher an eine Krone („crown-like spikes“) erinnert, erwiesen [1]. Die die Sars-Cov-2-Infektion (die sog. COVID-19-Erkrankung) begleitenden Krankheiten (Komorbiditäten) zeigen während der Pandemie keine geografische Spezifität, sondern präsentieren sich vielmehr unabhängig von den Kohorten und von den Kontinenten mit einem sehr ähnlichen klinischen Bild [2, 3]. Die Komorbiditäten sind vor allem in den schweren Verläufen vermehrt: chronische obstruktive Lungenerkrankungen (COPD), Diabetes mellitus, Hypertonus, koronare Herzkrankheit, zerebrovaskuläre Erkrankungen oder Tumorerkrankungen [2, 3]. Ein sehr ähnliches klinisches Bild konnte anhand der ersten größeren Kohorten aus New York und aus China charakterisiert werden [2, 3]. Interessanterweise waren chronische Nierenerkrankungen, Übergewicht, ein hoher BMI und das männliche Geschlecht bei COVID-19-Infektion vermehrt zu finden [2, 3].

Vaskuläre Beteiligung und histologische Aspekte

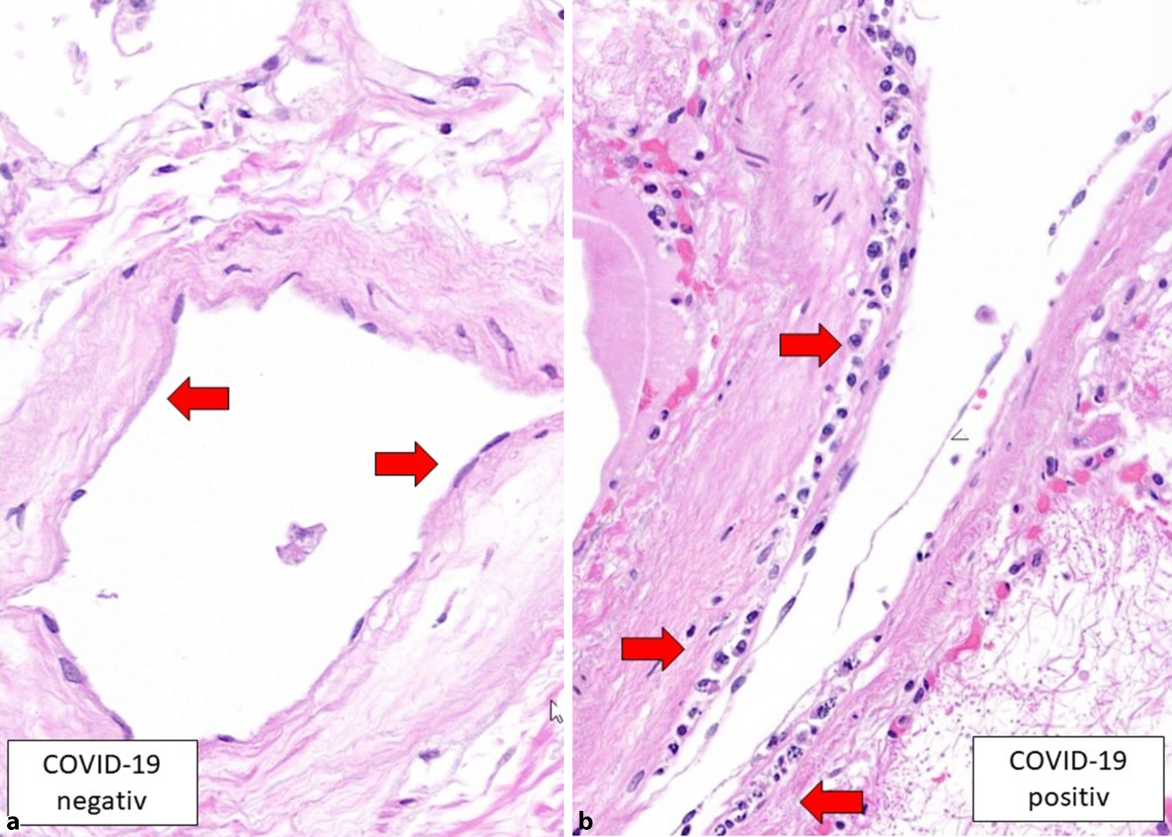
Es wurde bereits in den ersten Befunden nach COVID-19-Obduktionen beobachtet, dass diverse Organe pathologische Veränderungen in den Gefäßen zeigten [4], nicht nur in den pulmonalen Gefäßen, wo die Erkrankung sich klinisch mit den schwersten Symptomen präsentiert, sondern auch in den submukosalen Darmgefäßen, in der Herzmuskulatur oder auch in der Leber [4]. Diese Morphologie hat sich in Form einer sog. Endotheliitis präsentiert, welche im Grunde eine Akkumulation von Lymphozyten, Plasmazellen und Makrophagen im und unterhalb der endothelialen Zellen zur Folge hat. Diese gemischten Entzündungszellen haben mehrheitlich die Arteriolen/Venolen befallen, waren aber auch in den Kapillaren und ab und zu in den mittelgroßen Gefäßen in den genannten Organen nachweisbar (Abb. 1). Das SARS-CoV-2-Virus kann durch die sog. ACE2(„angiotensin coverting enzyme 2“)- und die TMPRSS(„transmembrane protease serine 2“)-Rezeptoren in die Zelle gelangen und sie infizieren. Wie es in Abb. 2 am Bespiel des Myokards dargestellt wird, sind ACE2-Rezeptoren in den kleinkalibrigen intramyokardialen Gefäßen, welche den Eintritt des Virus in die Zelle ermöglichen, reichlich vorhanden (Abb. 2). Ein weiterer Aspekt der Zellinfiltrate ist dadurch charakterisiert, dass die Entzündungszellen eine vermehrte apoptotische Aktivität zeigten, welche eine Art intraendothelialen apoptotischen Zelluntergang zur Folge hatten [4]. In den immunhistochemischen Reaktionen für Caspase 3 konnte die gesteigerte apoptotische Aktivität der Entzündungszellen und der benachbarten weiteren Zellelemente (wie Endothel, Kryptenepithel, Hepatozyten usw.) immunhistochemisch belegt werden [4]. Aufgrund der ersten Autopsiebefunde konnten 3 Mechanismen identifiziert werden, welche zu COVID-19-assoziierten vaskulären Gewebeschädigung und Mikrozirkulationsstörung führten [4]. Zum einen liegt eine disseminierte Endotheliitis vor, welche diverse Organe wie Lunge, Dünndarm, Niere, Myokard und Leber befallen kann, zum anderen ist eine disseminierte thrombotische Mikroangiopathie der kleinen Gefäße zu beobachten, welche durch Fibrinthromben und leukozytäre Thromben charakterisiert ist und welche bei schweren Verläufen von Dünndarmischämien zugrunde liegt. Als ein weiterer Aspekt der Gefäßschädigung konnte eine gesteigerte apoptotische Aktivität sowohl in der endothelialen entzündlichen Reaktion als auch im benachbarten Endothel/Epithel nachgewiesen werden [4].
Abb. 1
Ein histologischer Ausschnitt je von einem Gefäß aus der Lunge. a Patient A (COVID-19-negativ): keine Entzündung im Endothel (die Pfeile zeigen auf ein normales entzündungsfreies Endothel). b Patient B (COVID-19-positiv): in der inneren Schicht reichlich gemischte Entzündungszellen (Pfeile), lymphoplasmazellulär und makrophagenreich, z. T. mit Nachweis von apoptotischen Körperchen im Sinne von Apoptose. HE-Färbung
Bild vergrößern
Abb. 2
Ein Ausschnitt aus einem Myokard eines COVID-19-positiven Patienten, immunhistochemisch gefärbt für ACE2-Rezeptoren. Das Gefäßnetz im Myokard zeigt reichlich ACE2-Rezeptoren sowohl in einer Arteriole (Pfeile) als auch in multiplen intramyokardialen Kapillaren. Immunhistochemie für ACE2-Rezeptoren
Bild vergrößern

Vaskuläre Beteiligung und molekulare Aspekte

Die durch SARS-CoV‑2 verursachten Gefäßschädigungen sind auf einen komplexen Pathomechanismus zurückzuführen [7, 8]. Die Mikrozirkulationsstörung, welche durch den Zelltod der beteiligten Zellen den ersten pathomechanistischen Schritt darstellt, wird durch Faktoren wie IL-1-beta, TNF usw. begünstigt, welche eine Störung der interendothelialen Junktionen zur Folge haben [7, 8]. Die Aktivierung von weiteren Zytokinen wie IL‑6, IL‑8, Bradykinine, VEGF bedingt eine erhöhte intrazelluläre Kontraktilität [8]. Die gesteigerte Koagulation wird durch die Aktivierung der Koagulationskaskade durch P‑Selektin, Von-Willebrand-Faktor und durch weitere Faktoren wie GM-CSF begünstigt [8]. Die entzündliche Begleitreaktion wird durch die Aktivierung der Komplementkaskade und durch leukozytäre Adhäsionsmoleküle wie VCAM1, E‑Selectin, ICAM1 reguliert [8].
Die erste molekulare Evidenz, dass SARS-CoV‑2 extrapulmonäre Strukturen, wie z. B. Nierengewebe, infizieren kann, wurde in vaskulären kapillären Organoiden bereits gezeigt [9]. Montelli et al. haben SARS-CoV-2-virale RNA in CD31-positiven Nierenorganoiden nach einer SARS-CoV-2-Infektion nachgewiesen, welche den ersten Beweis dafür lieferte, dass SARS-CoV‑2 die Fähigkeit hat, direkt ins Endothel eines extrapulmonalen Organs einzugreifen [9]. Ein RNA-basierter Multiorganbefall durch SARS-CoV‑2 wurde anschließend in einer größeren Autopsiestudie nachgewiesen. Zusätzlich zu den bereits beschriebenen Organen wie Lunge, Trachea, Nieren und Leber wurde RNA auch im Hirn und im Blut nachgewiesen, was den Multiorgantropismus von SARS-CoV‑2 weiter belegt [10, 11].

Klinische Relevanz

Bei SARS-CoV-2-Infektion ist eine virale Reaktion gefolgt von einer entzündlichen Reaktion zu beobachten [2, 3]. Die erste Phase verläuft meist mild/asymptomatisch, nur ein Teil der Patienten und Patientinnen entwickelt die entzündliche Phase mit hoher Mortalität [2, 3]. COVID-19 betrifft nicht nur das Lungenparenchym durch ACE2 und TMPRSS [46]. Der Multiorganbefall durch SARS-CoV‑2 induziert eine generalisierte Endothelschädigung und endotheliale Entzündung im Sinne einer Endotheliitis [4]. Die Endotheliitis kann eine Vasokonstriktion mit konsekutiver Organischämie, Entzündung und Gewebeödem sowie thrombotische Mikrozirkulationsstörungen zur Folge haben [46]. Bei Patienten und Patientinnen mit bereits vorhandener kardiovaskulärer Dysfunktion (Hypertonus, Diabetes mellitus, Übergewicht und weitere kardiovaskuläre Erkrankungen) sowie männlichen Geschlechts besteht ein besonders hohes Risiko für schwere Verläufe einer COVID-19-Infektion [2, 3]. Endothelstabilisierende Therapien kommen aus diesen Gründen bei COVID-19-Erkrankung besonders zum Einsatz [4, 5].
Die ersten Erkenntnisse der COVID-19-Pathomechanismen wurden mehrheitlich durch Autopsien gewonnen.

Einhaltung ethischer Richtlinien

Interessenkonflikt

Z. Varga hat keinen Interessenkonflikt.
Für diesen Beitrag wurden von den Autoren keine Studien an Menschen oder Tieren durchgeführt. Für die aufgeführten Studien gelten die jeweils dort angegebenen ethischen Richtlinien.
The supplement containing this article is not sponsored by industry.
Open Access Dieser Artikel wird unter der Creative Commons Namensnennung 4.0 International Lizenz veröffentlicht, welche die Nutzung, Vervielfältigung, Bearbeitung, Verbreitung und Wiedergabe in jeglichem Medium und Format erlaubt, sofern Sie den/die ursprünglichen Autor(en) und die Quelle ordnungsgemäß nennen, einen Link zur Creative Commons Lizenz beifügen und angeben, ob Änderungen vorgenommen wurden.
Die in diesem Artikel enthaltenen Bilder und sonstiges Drittmaterial unterliegen ebenfalls der genannten Creative Commons Lizenz, sofern sich aus der Abbildungslegende nichts anderes ergibt. Sofern das betreffende Material nicht unter der genannten Creative Commons Lizenz steht und die betreffende Handlung nicht nach gesetzlichen Vorschriften erlaubt ist, ist für die oben aufgeführten Weiterverwendungen des Materials die Einwilligung des jeweiligen Rechteinhabers einzuholen.
Weitere Details zur Lizenz entnehmen Sie bitte der Lizenzinformation auf http://creativecommons.org/licenses/by/4.0/deed.de.
download
DOWNLOAD
print
DRUCKEN
Titel
Endotheliitis bei COVID-19
Verfasst von
Prof. Dr. med. Zsuzsanna Varga
Publikationsdatum
11.12.2020
Verlag
Springer Medizin
Erschienen in
Die Pathologie / Ausgabe Sonderheft 2/2020
Print ISSN: 2731-7188
Elektronische ISSN: 2731-7196
DOI
https://doi.org/10.1007/s00292-020-00875-9
1.
Zurück zum Zitat Park WB et al (2020) Virus isolation from the first patient with SARS-CoV‑2 in Korea. J Korean Med Sci. https://doi.org/10.3346/jkms.2020.35.e84CrossRefPubMedPubMedCentral
2.
Zurück zum Zitat Guan WJ et al (2020) Clinical characteristics of Coronavirus disease 2019 in China. N Engl J Med 382(18):1708–1720. https://doi.org/10.1056/NEJMoa2002032CrossRefPubMed
3.
Zurück zum Zitat Richardson S et al (2020) Presenting characteristics, comorbidities, and outcomes among 5700 patients hospitalized with COVID-19 in the New York City area. JAMA 323(20):2052–2059. https://doi.org/10.1001/jama.2020.677CrossRefPubMedPubMedCentral
4.
Zurück zum Zitat Varga Z et al (2020) Endothelial cell infection and endotheliitis in COVID-19. Lancet. https://doi.org/10.1016/S0140-6736(20)30937-5CrossRefPubMedPubMedCentral
5.
Zurück zum Zitat Zhong P et al (2020) COVID-19-associated gastrointestinal and liver injury: clinical features and potential mechanisms. Signal Transduct Target Ther 5:256CrossRefPubMedPubMedCentral
6.
Zurück zum Zitat Dong M et al (2020) ACE2, TMPRSS2 distribution and extrapulmonary organ injury in patients with COVID-19. Biomed Pharmacother 131:110678CrossRefPubMedPubMedCentral
7.
Zurück zum Zitat Oxford AE et al (2020) Endothelial cell contributions to COVID-19. Pathogens 9(10):785CrossRefPubMedCentral
8.
Zurück zum Zitat Teuwen LA et al (2020) COVID-19: the vasculature unleashed. Nat Rev Immunol 4:1
9.
Zurück zum Zitat Monteil V et al (2020) Inhibition of SARS-coV‑2 infections in engineered human tissues using clinical-grade solublehuman ACE2. Cell 181:905–913. https://doi.org/10.1016/j.cell.2020.04.004CrossRefPubMedPubMedCentral
10.
Zurück zum Zitat Puelles VG et al (2020) Multiorgan and renal tropism of SARS-coV‑2. N Engl J Med. https://doi.org/10.1056/NEJMc2011400CrossRefPubMedPubMedCentral
11.
Zurück zum Zitat Ackermann M et al (2020) Microvascular alterations in lungs from patients who died from Covid-19. N Engl J Med. https://doi.org/10.1056/NEJMoa2015432CrossRefPubMedPubMedCentral

Passend zum Thema

ANZEIGE

Differenziertes Kreislaufmanagement – Herzfrequenz und Kreislauf gezielt stabilisieren

Kritisch kranke Patienten mit hämodynamischer Instabilität stellen besondere Anforderungen an das Kreislaufmanagement. Während beim septischen Schock gezielte Vasopressor-Therapie im Vordergrund stehen, ist bei supraventrikulären Tachykardien ein kontrolliertes Frequenzmanagement entscheidend. Zwei bewährte Strategien – differenziert angewendet.

AOP Health
ANZEIGE

Der kritisch kranke Patient – Frequenz und Blutdruck kontrollieren

Hämodynamische Instabilität ist häufig und prognostisch ungünstig. Kurzwirksame Betablocker ermöglichen eine kontrollierte Frequenzsenkung bei Tachykardien. Im septischen Schock steht hingegen der gezielte Einsatz vasoaktiver Substanzen zur Kreislaufstabilisierung im Vordergrund.

ANZEIGE

Akutsituation Vorhofflimmern

Betablocker sind ein unverzichtbares Tool auf jeder Intensivstation. Ultrakurzwirksame, kardioselektive Substanzen ermöglichen selbst bei reduzierter linksventrikulärer Ejektionsfraktion eine effektive Frequenzkontrolle mit begrenztem Einfluss auf den Blutdruck.

Bildnachweise
Teaserbild AOP CH/© AOP Health Group, Grafik eines Schalters, der gedreht wird. Overlay mit der Schrift "ICU" und einem Intensivpatienten/© AOP Health, Grafik von einem menschlichen Herzen mit Visualisierung des Herzschlags im Hintergrund/© AOP Health