Zum Inhalt
Die Chirurgie

Differenzialdiagnose chronischer Abdominalschmerzen – Zufallsbefund einer auffälligen Leberläsion bei einem 15-jährigen Mädchen mit Bauchschmerzen

Erschienen in:
W. Kamel und T. Wagner teilen sich die Erstautorenschaft.
QR-Code scannen & Beitrag online lesen

Hinweis des Verlags

Der Verlag bleibt in Hinblick auf geografische Zuordnungen und Gebietsbezeichnungen in veröffentlichten Karten und Institutsadressen neutral.

Anamnese

Ein 15-jähriges Mädchen stellte sich bei persistierenden Bauchschmerzen und Übelkeit in Begleitung ihrer Mutter in unserer Ambulanz vor. Die Beschwerden bestünden bereits seit vielen Jahren. Die Bauchschmerzen seien auch nachts sowie vor dem Stuhlgang vorhanden. Der Stuhlgang sei normal und regelmäßig. Gewichtsverlust und klassische B‑Symptomatik werden verneint. In der Vorgeschichte seien im Rahmen mehrere klinischen Vorstellungen der Verdacht auf eine Fruktoseintoleranz gestellt worden. Beim Verdacht auf eine lymphozytäre Kolitis in der Vorgeschichte erfolgte, nach diagnostischer Sicherung mittels Koloskopie, eine Steroidtherapie. Zu diesem Zeitpunkt bestanden keine akuten abdominellen Beschwerden. Die Patientin ist psychisch und physisch altersgerecht normal entwickelt. Die familiäre Anamnese war unauffällig.

Klinischer Befund

Die körperliche Untersuchung ergab keinen wegweisenden Befund. Körperhöhe: 163,8 cm, Gewicht: 50,9 kg, BMI: 19,0 kg/m2, Körperoberfläche: 1,5 m2. Der Bauch imponierte klinisch weich, jedoch diffus druckschmerzhaft, betont in den unteren Quadranten, jedoch ohne Abwehrspannung. Die Patientin befand sich in einem guten Ernährungszustand, zeigte keinen Ikterus oder pathologische Hautveränderungen. Die klassischen Appendizitiszeichen und das Murphy-Zeichen waren negativ.
Zur weiteren Abklärung erfolgte zunächst eine sonographische Untersuchung. Dabei zeigte sich kein Anhalt für eine akute Appendizitis oder gynäkologische Auffälligkeiten. Jedoch war eine auffällige echoarme Struktur im Lebersegment I (lma 300–310) sowie ein akzentuierter Lymphknoten (0,8 cm in der Kurzachse) zu sehen, woraufhin bei systemisch-laborchemisch deutlich erhöhten Inflammationszeichen eine MRT-Untersuchung indiziert wurde.

Laborkonstellation

CRP 120,8 mg/l; Procalcitonin < 0,02 µg/l; Leukozyten 8,48 10*9/l; Hämoglobin 11,0 g/dl; Hämatokrit 34 %; Erythrozyten 3,92 × 106/µl, Bilirubin < 0,01 mmol/l; ASAT 32 U/l; ALAT 44 U/l; AP 121 U/l; GGT 63 U/l.

Mikrobiologie

  • 2‑mal periphere Blutkulturen: kein Erregernachweis
  • Quantiferontest: negativ
  • Lues-Serologie: negativ
  • Toxoplasmose-Serologie: negativ
  • Brucellose-Serologie: negativ
  • Bartonella-Serologie: negativ
  • β‑D-Glykan: negativ

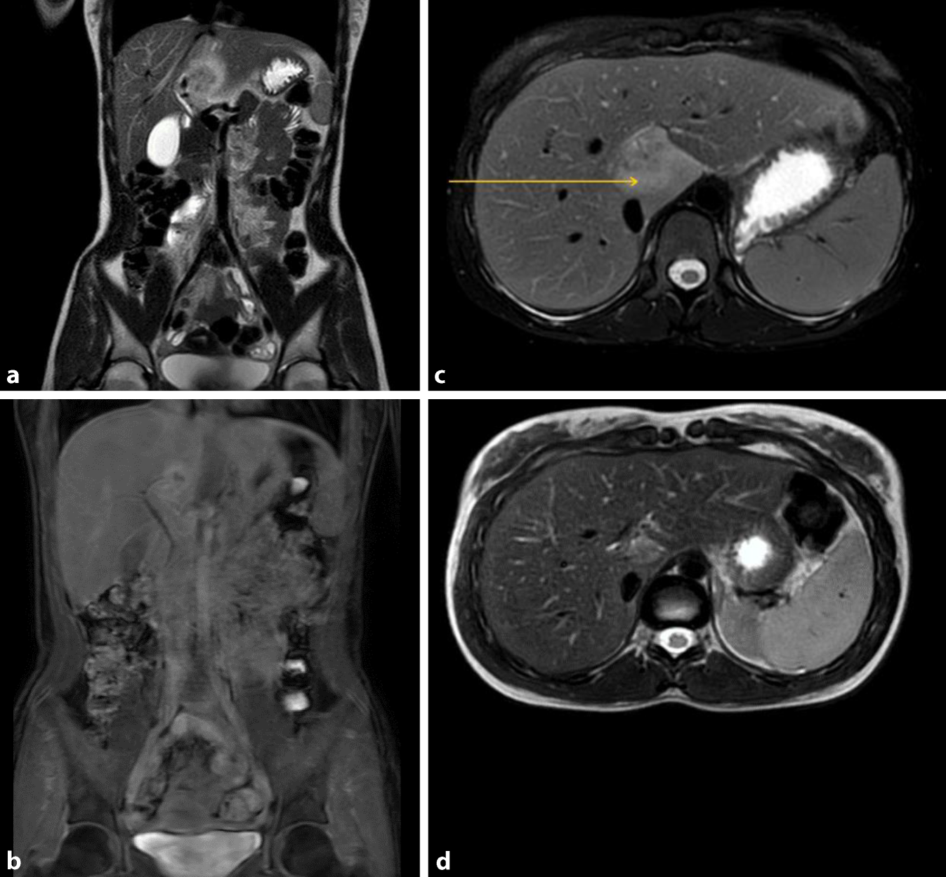
Bildgebende Untersuchung (MRT; Abb. 1)

Hier zeigte sich initial eine hyperperfundierte Raumforderung (ca. 2,5 × 2 0,0 × 3,4 cm) im Lebersegment I mit zentralem Wash-out. Eine etwas kleinere ebenfalls hyperperfundierte Läsion mit zentralem Wash-out war auch in Segment VI zu sehen. Es bestand bildmorphologisch kein Anhalt auf eine Kolitis, nebenbefundlich zeigten sich am ehesten zyklusbedingt zystische Ovarien beidseits.
Abb. 1
a Vor Therapie – MRT T2 TSE SSH koronar. b Nach Therapie – MRT cs mDIXON koronar. c Vor Therapie – MRT T2 SPIR. d Nach Therapie – MRT T2 TSE. Pfeil suspekte Leberraumforderung
Bild vergrößern

Weiteres Prozedere

Es erfolgte die Virusdiagnostik (Hepatitis A, B, C, D) mit negativen Befunden sowie eine ebenfalls unauffällige Stuhluntersuchung. Parasitäre Erkrankungen konnten serologisch ausgeschlossen werden. Bei weiterhin bestehender unklarer Dignität der Leberraumforderung wurde die stationäre Aufnahme zur weiteren Abklärung geplant. Der Fall wurde in unserer interdisziplinären Lebertumorkonferenz vorgestellt. Hier wurde bei unklarer Dignität der Leberraumforderungen die Empfehlung zur CT-gesteuerten histologischen Sicherung empfohlen.

Wie lautet Ihre Diagnose?

Histologischer Befund: In der Leberbiopsie in Segment I zeigten sich eine Gewebsnekrose und eitrige sowie granulomatöse Begleitentzündung. Eine infektiöse Genese, die mit Nekrosen und begleitenden Epitheloidzellgranulomen einhergeht, kommt hier in Betracht (z. B. Listeriose, Brucellose, weniger wahrscheinlich vom histomorphologischen Aspekt eine Tuberkulose).
Eine mikrobiologische Abklärung ist notwendig. Favorisiert wird eine infektiöse Genese. Kein Anhalt für Malignität.
Die mikrobiologischen Untersuchungen der Biopsie waren jedoch ohne pathologische Befunde.
Leberbiopsie:
  • Listerien-PCR: negativ
  • Mycobacterium-Spezies-PCR: negativ
  • Chlamydia-trachomatis-PCR: negativ
  • Bartonella-PCR: negativ
  • Brucella-PCR: negativ
  • S. aureus-PCR: negativ
  • Entamöben: negativ
  • Echinokokken: negativ
Diagnose: entzündlicher Pseudotumor der Leber (IPT)

Definition

Beim entzündlichen hepatischen Pseudotumor (IHP) handelt es sich um eine seltene, jedoch gutartige Läsion der Leber unklarer Genese, die gehäuft bei Kindern und jungen Erwachsenen vorkommt [1]. Erstmalig beschrieben wurde der IHP 1953 durch Pack und Baker im Rahmen einer histopathologischen Aufarbeitung eines unklaren Tumors des rechten Leberlappens [2]. Aufgrund seiner bildgebenden Eigenschaften und fehlender sicherer Diagnosekriterien kann er mit malignen Tumoren verwechselt werden. Entzündliche hepatische Pseudotumoren treten meist sporadisch auf, ätiologisch werden jedoch unter anderem Infektionen oder Autoimmunerkrankungen diskutiert [3]. Die eindeutige Diagnose eines entzündlichen hepatischen Pseudotumors bedarf einer bioptischen Sicherung und konsekutiv einer histopathologischen Aufarbeitung. Das pathologische Bild des IHP imponiert dabei insgesamt heterogen. Zen et al. teilten den IHP in zwei Typen ein: 1) den fibrohistiozytischen Typen, der häufig im peripheren Leberparenchym vorkommt, und 2) den lymphoplasmatischen Typ, der insbesondere im Bereich des Leberhilus entsteht und möglicherweise zu den IgG 4-assoziierten Erkrankungen gezählt werden kann [4].

Therapie und Verlauf

Die Therapie des entzündlichen Leberpseudotumors hängt von Faktoren wie der Tumorgröße, den Symptomen und dem gesundheitlichen Zustand des Patienten ab. Zu den Therapiemöglichkeiten gehören die Observation bei asymptomatischen kleinen Läsionen, die medikamentöse Behandlung zur Entzündungshemmung und Schmerzlinderung, interventionelle Verfahren wie die Drainage oder Embolisation bei symptomatischen Fällen und in seltenen Fällen die chirurgische Entfernung. Eine regelmäßige Nachsorge ist entscheidend, um ein Wiederauftreten oder etwaige Komplikationen zu identifizieren [4].
Die vorgestellte Patientin wurde zunächst empirisch antibiotisch mit Piperazillin/Tazobaktam anbehandelt. Bei stetig fallenden Infektparametern konnte die Antibiose zeitgerecht entfernt werden. Hiernach zeigten sich eine Normalisierung der Infektwerte und ein regredienter Residualbefund in der MRT. Die Patientin berichtete hierzu passend über eine Besserung der abdominellen Schmerzen. Der Residualbefund soll in regelmäßigen Verlaufsuntersuchungen mittels Schnittbildgebung kontrolliert werden. Bei der jungen Patientin wurde als Modalität die MRT gewählt und aktuell ein 3‑monatiges Intervall festgelegt.

Fazit für die Praxis

  • In der modernen Chirurgie ist die abdominale MRT-Untersuchung und interdisziplinäre Tumorkonferenzen von entscheidender Bedeutung, da sie die diagnostische Genauigkeit verbessern, eine umfassende Behandlungsplanung ermöglichen, minimal-invasive Techniken unterstützen, das chirurgische Risiko abschätzen, eine personalisierte Behandlung ermöglichen und zu verbesserten Patientenergebnissen bei der Behandlung abdominaler Tumoren und verwandter Erkrankungen beitragen.
  • Die rechtzeitige Erkennung und adäquate Behandlung raumfordernder Läsionen in der Leber ist von entscheidender Bedeutung. Diffuse Bauchschmerzen sollten daher sorgfältig abgeklärt werden, und es sollte eine gründliche Untersuchung, einschließlich Bildgebung und gegebenenfalls eine Biopsie, durchgeführt werden, um die genaue Ursache zu ermitteln und eine angemessene Behandlung zu gewährleisten.

Einhaltung ethischer Richtlinien

Interessenkonflikt

T. Wagner, W. Kamel, R. Stier, T. Persigehl, R. Datta, D. Stippel und M. Thomas geben an, dass kein Interessenkonflikt besteht.
Für diesen Beitrag wurden von den Autor/-innen keine Studien an Menschen oder Tieren durchgeführt. Für die aufgeführten Studien gelten die jeweils dort angegebenen ethischen Richtlinien. Für Bildmaterial oder anderweitige Angaben innerhalb des Manuskripts, über die Patient/-innen zu identifizieren sind, liegt von ihnen und/oder ihren gesetzlichen Vertretern/Vertreterinnen eine schriftliche Einwilligung vor.
Open Access Dieser Artikel wird unter der Creative Commons Namensnennung 4.0 International Lizenz veröffentlicht, welche die Nutzung, Vervielfältigung, Bearbeitung, Verbreitung und Wiedergabe in jeglichem Medium und Format erlaubt, sofern Sie den/die ursprünglichen Autor(en) und die Quelle ordnungsgemäß nennen, einen Link zur Creative Commons Lizenz beifügen und angeben, ob Änderungen vorgenommen wurden.
Die in diesem Artikel enthaltenen Bilder und sonstiges Drittmaterial unterliegen ebenfalls der genannten Creative Commons Lizenz, sofern sich aus der Abbildungslegende nichts anderes ergibt. Sofern das betreffende Material nicht unter der genannten Creative Commons Lizenz steht und die betreffende Handlung nicht nach gesetzlichen Vorschriften erlaubt ist, ist für die oben aufgeführten Weiterverwendungen des Materials die Einwilligung des jeweiligen Rechteinhabers einzuholen.
Weitere Details zur Lizenz entnehmen Sie bitte der Lizenzinformation auf http://creativecommons.org/licenses/by/4.0/deed.de.

Hinweis des Verlags

Der Verlag bleibt in Hinblick auf geografische Zuordnungen und Gebietsbezeichnungen in veröffentlichten Karten und Institutsadressen neutral.
download
DOWNLOAD
print
DRUCKEN
Titel
Differenzialdiagnose chronischer Abdominalschmerzen – Zufallsbefund einer auffälligen Leberläsion bei einem 15-jährigen Mädchen mit Bauchschmerzen
Verfasst von
Tristan Wagner
Wasim Kamel
Raphael Stier
Thorsten Persigehl
Rabi Datta
Prof. Christiane Bruns
Dirk Stippel
Michael Thomas
Publikationsdatum
02.01.2024
1.
Zurück zum Zitat Balabaud C, Bioulac-Sage P, Goodman ZD et al (2012) Inflammatory pseudotumor of the liver: a rare but distinct tumor-like lesion. Gastroenterol Hepatol (N Y) 8:633–634PubMed
2.
Zurück zum Zitat Pack GT, Baker HW (1953) Total right hepatic lobectomy; report of a case. Ann Surg 138:253–258CrossRefPubMedPubMedCentral
3.
Zurück zum Zitat Rosa B, Moutinho-Ribeiro P, Pereira JM et al (2012) Ghost tumor: an inflammatory pseudotumor of the liver. Gastroenterol Hepatol (N Y) 8:630–633PubMed
4.
Zurück zum Zitat Zen Y, Fujii T, Sato Y et al (2007) Pathological classification of hepatic inflammatory pseudotumor with respect to IgG 4-related disease. Mod Pathol 20:884–894CrossRefPubMed
Webinar

Magen-Darm-Erkrankungen in der Hausarztpraxis

Häufige gastrointestinale Krankheiten in der niedergelassenen Praxis sind Thema in diesem aufgezeichneten MMW-Webinar. Welche Differenzialdiagnosen bei Oberbauchbeschwerden sollten Sie kennen? Wie gelingt eine erfolgreiche probiotische Behandlung bei Reizdarm? Welche neuen Entwicklungen und praktischen Aspekte gibt es bei Diagnostik und Behandlung der chronisch entzündlichen Darmerkrankungen?

Passend zum Thema

ANZEIGE

Digitale Gesundheitsanwendungen: Vorteile für Betroffene und Praxis

Digitale Gesundheitsanwendungen (DiGA) bieten zahlreiche Vorteile für Patientinnen und Patienten sowie für die behandelnden Ärzt*innen. Sie unterstützen bei der Aufklärung, Therapie und im Krankheitsmanagement, was zu einer verbesserten Patient*innenversorgung und effizienteren Abläufen in der Praxis führt.

ANZEIGE

Mastzellaktivierungssyndrom (MCAS) erkennen und abgrenzen

Das Mastzellaktivierungssyndrom (MCAS) ist eine komplexe Multisystemerkrankung, die durch eine Überaktivität von Mastzellen gekennzeichnet ist. Es ist wichtig, MCAS von anderen Mastzellaktivierungsstörungen wie der Mastozytose abzugrenzen. Erfahren Sie hier mehr über die Symptome und die diagnostischen Herausforderungen.

ANZEIGE

Erstattungsfähigkeit von Iberogast®: alle Infos auf einen Blick

Viele gesetzliche Krankenkassen übernehmen die Kosten für rezeptfreie Arzneimittel wie Iberogast® Classic und Iberogast® Advance, sofern sie auf einem Grünen Rezept verordnet werden. In diesem Beitrag finden Sie eine praktische Übersicht und weiterführende Informationen dazu.

ANZEIGE

Ob jung, ob alt, Reizdarm und -magen gezielt therapieren

Erfahren Sie mehr über die gezielte Behandlung von Reizdarm und Reizmagen. Mit Expertenwissen von Prof. Dr. Madisch, Prof. Dr. Gerner und Prof. Dr. Labenz zu biopsychosozialen Konzepten und spezifischen Therapieansätzen auch für Kinder, Jugendliche und geriatrische Patienten.

Bayer Vital GmbH

Passend zum Thema

ANZEIGE

Mangelernährung als entscheidender Faktor des Therapie Outcomes

Bis zu 87 % der Patient:innen mit fortgeschrittenen Tumoren verlieren bereits zur Diagnose Gewicht. Das beeinträchtigt Lebensqualität, Therapieansprechen und Mortalität. Warum eine frühzeitige ernährungsmedizinische Intervention essenziell ist, lesen Sie im Artikel.

ANZEIGE

Sarkopenie als Prädiktor für dosislimitierende Toxizität

Ungewollter Gewichtsverlust betrifft nicht nur Fettgewebe, sondern auch Muskelmasse und ist mit erhöhter Therapietoxizität und Komplikationsrisiken assoziiert. Erfahren Sie, wie Sarkopenie die Therapie beeinflusst – und was Sie dagegen tun können.

ANZEIGE

"Krebsdiäten" auf dem Prüfstand

Immer wieder kursieren spezielle „Krebsdiäten“, die Heilung oder Besserung versprechen. Viele Patient:innen sind für solche Versprechen empfänglich – mit oft riskanten Folgen. Erfahren Sie, warum eine fundierte Ernährungsberatung entscheidend ist und welche Ernährungsinterventionen tatsächlich sinnvoll sind.

ANZEIGE

Mangelernährung in der Onkologie – Fortimel® als Teil der ganzheitlichen Versorgung

Bis zu 80% der onkologischen Patient:innen verlieren ungewollt Gewicht – mit gravierenden Folgen für den Therapieverlauf. Eine frühzeitige Ernährungstherapie mit medizinischer Trinknahrung wie Fortimel® kann den Unterschied machen und das Outcome Ihrer Patient:innen unterstützen. Jetzt mehr erfahren.

Fortimel
Bildnachweise
Suspekte Leberraumforderung bei 15-Jähriger im MRT/© Wagner T et al. https://doi.org/10.1007/s00104-023-02009-2 unter CC-BY 4.0, Ärztin tastet Bauch eines Patienten ab/© (M) qunica.com / Stock.adobe.com (Symbolbild mit Fotomodellen), Ärztin zeigt Patientin etwas auf einem Smartphone/© Hero Images Inc. | Getty Images, Stethoskop auf einem Laptop liegend/© Song_about_summer | Adobe Stock, Mann sitzt am Laptop und nutzt einen Taschenrechner/© ldprod | Adobe Stock, Neuer Inhalt/© Bayer Vital GmbH (Iberogast®), Ärztin im Gespräch mit Patientin/© sturti | GettyImages, Ärztin zeigt Patientin etwas auf dem Tablet/© andreswd | GettyImages, Ernährungsberaterin im Gespräch mit älterer Frau am Esstisch, auf dem Laptop und Nahrungsmittel stehen/© Maskot | GettyImages, Junge küsst seine Mutter auf die Nase/© Danone Deutschland