Zum Inhalt

Posttraumatische Verfärbungen

Episode IX - Posttraumatische Verfärbungen (Die dunkle Bedrohung)

  • Open Access
  • 01.09.2023
  • Bleaching
  • Übersichtsarbeiten / Reviews
Erschienen in:

Zusammenfassung

Nach einem Zahntrauma mit oder ohne Dislokationsverletzung kann es zu unterschiedlichen Verfärbungen der klinischen Krone kommen. So können graue, rötliche oder gelbliche Farbveränderungen beobachtet werden. Der folgende Beitrag befasst sich mit den Ursachen und Therapiemöglichkeiten der jeweiligen Verfärbung.
Zitierweise:Attin T (2023) Posttraumatische Verfärbungen. Episode IX - Posttraumatische Verfärbungen (Die dunkle Bedrohung). Oralprophylaxe Kinderzahnheilkd · 45: 134-137 · https://doi.org/10.1007/s44190-023-0667-0 Eingereicht: 25.05.2023 / Angenommen: 14.06.2023 / Online publiziert: 01.09.2023 · © Der/die Autor(en) 2023

Ursachen

Posttraumatische Verfärbungen können entsprechend ihrer Farbausprägung in gräuliche, rötliche oder gelbliche Verfärbungen eingeteilt werden [22].
Gräuliche Verfärbungen, die sich oft erst im Laufe der Zeit einstellen, sind eher mit einer Pulpanekrose assoziiert. Man geht hier von einem Zusammenspiel von Blutbestandteilen (Eisen des Hämoglobins) mit Schwefelwasserstoffverbindungen bakterieller Herkunft aus. Aus diesem Zusammenwirken können graue Eisensulfidverbindungen resultieren. Zusätzlich können Zerfallsstoffe von Proteinen aus der Pulpa die Farbveränderung verstärken. Auch das Belassen von nekrotischem, zerfallenem Gewebe im Pulpakavum nach der Trepanation kann eine Verfärbung der Zahnkrone begünstigen.
Um diese Verfärbung zu vermeiden, ist auf ein sorgfältiges Ausräumen von Pulpagewebe aus dem Pulpakavum ein wesentliches Augenmerk zu legen. Neben der mechanischen Entfernung von Pulpagewebe in den schwer zugänglichen Pulpahörnern mit einem kleinen Rosenbohrer sollten eine Desinfektion und Gewebeentfernung durch Spüllösungen erfolgen. Dafür haben sich gründliche Spülungen mit Natriumhypochlorit-Lösungen bewährt, die in geringem Maß gleichzeitig auch eine Farbaufhellung der Zähne unterstützen [24].
Auch kann die Verwendung nicht farbstabiler verfärbender endodontischer Füllungsmaterialien oder Wurzelkanaleinlagen wie hydraulische Kalzium-Silikat-Zemente oder Ledermix ebenso graue oder gelbliche Diskolorationen der Zahnkrone verursachen [10, 15, 16]. Diese Präparate sind deshalb mit entsprechender Umsicht anzuwenden (Abb. 1, Abb. 2). Ihre Applikation sollte, wenn immer möglich, auf den Wurzelkanal beschränkt sein. Eine Ausdehnung bis in die Trepanationskammer sollte - wie auch bei allen Wurzelkanalfüllungsmaterialien - vermieden werden.
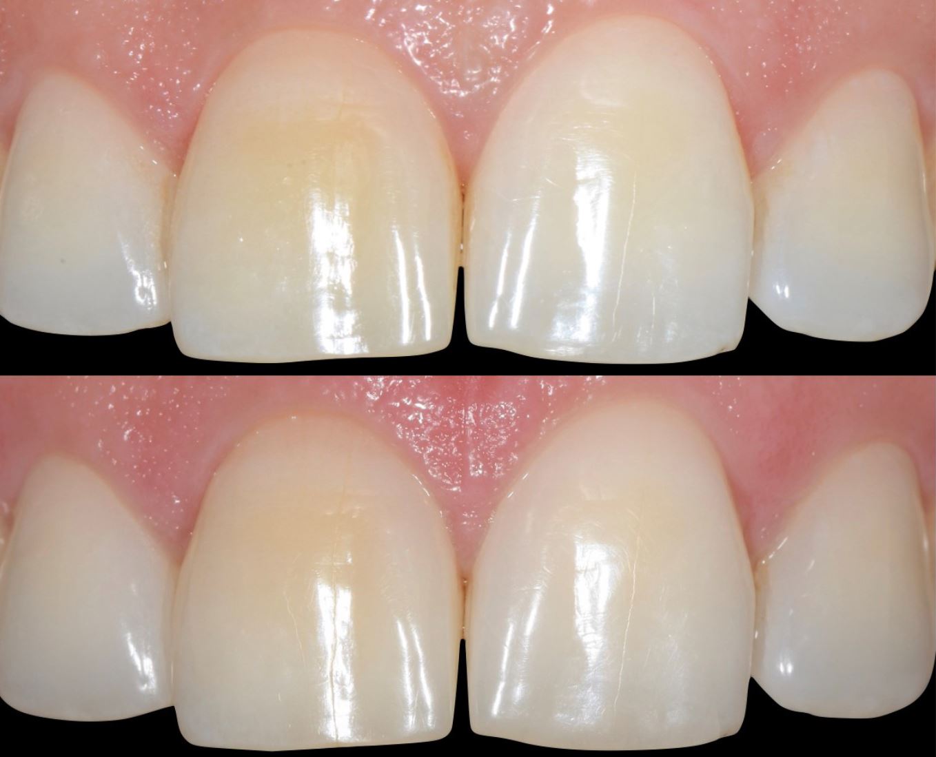
Abbildung 1
Zahn 11 mit posttraumatischer Verfärbung und alio loco durchgeführter Wurzelkanal- und Füllungstherapie
Figure 1
Posttraumatic discoloration of tooth 11 (Fédération Dentaire Internationale notation) after having been previously treated with root canal and filling in another dental practice
Bild vergrößern
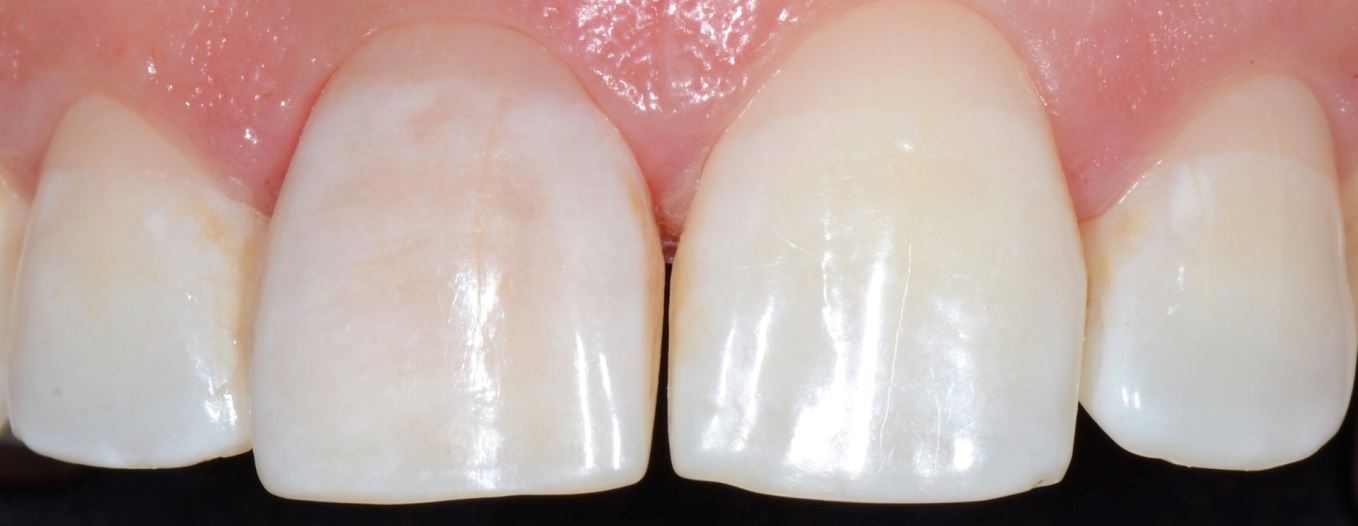
Abbildung 2
Zustand des Zahnes unmittelbar nach erfolgter interner Bleichtherapie (oben) sowie im Recall nach 7 Jahren (unten). Es zeigt sich eine leichte Gelbfärbung des Zahnes bei einem zufriedenstellenden, stabilen Ergebnis
Figure 2
Condition of the tooth immediately after internal bleaching (top) and at the 7-year follow-up (bottom). The tooth shows a slight yellow discoloration with a satisfactory, stable result
Bild vergrößern
Rötliche Verfärbungen der Zahnkrone sind auf eine traumatisch bedingte Einblutung aus der Pulpa mit Diffusion von Blutbestandteilen in das Dentin zurückzuführen. Diese Verfärbung ist teilweise transienter Natur und kann wieder verschwinden. Sie ist daher kein sicheres Zeichen für eine sich entwickelnde Pulpanekrose und muss engmaschig kontrolliert werden [14]. Häufig entwickelt sich daraus aber eine Nekrose mit den Zeichen einer gräulichen Zahnverfärbung.
Gelbliche Verfärbungen sind als Reaktion einer vitalen Pulpa zu verstehen. Als Antwort auf den traumatischen Reiz kommt es zu einer zunehmenden Sklerosierung und Mineralisation des Dentin- und Pulpagewebes, die auch treffend als "kalzifizierende Metamorphose" bezeichnet werden [1]. Oftmals sind gelbliche Verfärbungen daher mit einer vollständigen oder partiellen Obliteration des Wurzelkanals assoziiert, und die betroffenen Zähne reagieren nicht oder nur sehr verzögert auf einen Sensibilitätstest.

Therapieüberlegungen

Die Wahl der Therapie wird von vielen Faktoren beeinflusst, sodass keine allgemeingültige Empfehlung ausgesprochen werden kann. Zu den die Therapie beeinflussenden wesentlichen Faktoren zählen u. a. die Art und Stärke der Verfärbung, der Zustand der Pulpa des Zahnes sowie das Ausmaß an verbliebener, nicht geschädigter und stabiler Zahnhartsubstanz.
Häufig kann mit Erfolg versucht werden, eine Zahnverfärbung mit einer Aufhellungstherapie (Bleichtherapie) zu korrigieren, um die Ausgangfarbe des Zahnes wiederherzustellen [19]. Diese Bleichtherapie kann mir einer eventuell notwendigen Restauration geschädigter Zahnhartsubstanz kombiniert werden. Zur Restauration bieten sich direkte oder indirekte Versorgungen aus Komposit sowie Keramik an. Bei kleinen Defekten sollte dabei direkten Kompositversorgungen der Vorzug gegeben werden. Auf jeden Fall sollte bedacht werden, dass nach einer Bleichtherapie die Haftung von Adhäsiven und Adhäsiv-verankerten Restaurationen für einen Zeitraum von bis zu 3 Wochen eingeschränkt ist. Grund dafür sind Reste von Sauerstoff in/an der Zahnhartsubstanz, die eine vollständige Aushärtung eines Adhäsivs negativ beeinträchtigen. Daher sollten nach abgeschlossener Bleichtherapie ca. 2 bis 3 Wochen vergehen, bevor eine definitive Adhäsiv-verankerte Restauration inseriert wird [5, 6, 7, 8].
Oftmals werden zur Therapie posttraumatischer Zahnverfärbungen auch Keramik- oder Kompositveneers verwendet, die sich insbesondere dann eignen, wenn gleichzeitig Zahnfehlstellungen korrigiert werden sollen oder die Verfärbung durch eine Bleichtherapie nicht ausreichend rückgängig gemacht werden konnte. Hier sollte beachtet werden, dass eine Minimumstärke der Keramik von 0,5 mm nicht unterschritten werden sollte, um einen dunklen darunterliegenden Zahnstumpf farblich ausreichend zu kaschieren [18]. Für Komposite liegen diesbezüglich keine Daten vor. Um eine ausreichende farbliche Deckkraft zu erzielen, muss daher oftmals eine etwas invasivere Präparation als bei der Veneer-Präparation nicht verfärbter Zähne in Kauf genommen werden. Zusätzlich gilt es zu bedenken, dass eine restaurative Einzelzahnversorgung im Frontzahnbereich eine große ästhetische Herausforderung an den Behandler und den Zahntechniker darstellt.

Bleichverfahren zur Therapie

Handelt es sich um einen vitalen Zahn mit einer (meist) gelblichen Verfärbung, so ist eine externe Bleichtherapie eine Option, die Farbveränderung rückgängig zu machen. Dafür werden Anwendungen mit hoch konzentrierten Bleichpräparaten (bis zu 40% H2O2 [Wasserstoffperoxid]) angeboten, die im Behandlungsstuhl in 1 bis 2 Behandlungssitzungen zur Anwendung kommen (In-Office-Bleaching). Die Aktivierung mit Licht, Laser oder Wärme bringt bei dieser Applikationsart keinen Vorteil, steigert aber das Risiko von Zahnhypersensibilitäten [4, 20]. Darüber hinaus ist die Applikation eines niedrig konzentrierten Bleichgels (10% Carbamidperoxid, d. h. 3,4% H2O2) im Sinne einer Homebleaching-Therapie über mehrere Wochen mittels einer Schiene eine gute Option für die Aufhellung vitaler Zähne. Die Schiene sollte über ein Bleichreservoir am betroffenen Zahn verfügen und für 1-2 h pro Tag getragen werden.
Die Endergebnisse, die mit beiden Bleichverfahren in Bezug auf die Farbaufhellung erzielt werden können, sind vergleichbar [3, 23]. Gegebenenfalls sind die Rate und der Grad an transienten Hypersensibilitäten nach dem Bleichen bei hoch konzentrierten Präparaten höher als bei niedrig konzentrierten Präparaten. Wie beschrieben, handelt es sich bei gelblich verfärbten Zähnen nicht "nur" um eine Farbeinlagerung, sondern auch um eine Strukturveränderung des Dentins. Daher gilt es zum einen zu berücksichtigen, dass eine erfolgreiche externe Bleichtherapie deutlich längere Anwendungszeiten benötigt, als es z. B. beim Aufhellen von Zähnen aus rein kosmetischer Sicht erforderlich ist. Bei Anwendung eines häuslichen Schienenbleichverfahrens kann die Dauer der Therapie bei stärkeren Verfärbungen daher durchaus mehrere Wochen bis Monate betragen, um stabile Langzeitergebnisse zu erzielen [17]. Zum anderen sollte mit dem Patienten besprochen werden, dass die Farbe eines zuvor gelblich verfärbten Zahnes nach einer Bleichtherapie zwar sehr wahrscheinlich deutlich aufgehellt sein wird, aber aufgrund der oben genannten kalzifizierenden Metamorphose nicht zwingend der identischen Farbe des Nachbarzahnes entsprechen muss.
Bei gräulich verfärbten, avitalen, wurzelkanalbehandelten Zähnen hat sich die Walking-bleach-Technik als Standard etabliert und zeigt hervorragende Langzeitergebnisse [2]. Sie kann natürlich auch bei gelblich verfärbten, avitalen Zähnen zum Einsatz kommen, zeigt dabei aber eine geringere Erfolgswahrscheinlichkeit und eine geringere Farbstabilität als bei der Bleichtherapie dunkel verfärbter Zähne [12, 13].
Bei der Walking-bleach-Technik wird ein Bleichmittel mehrere Tage im wieder dicht verschlossenen koronalen Pulpakavum belassen und diffundiert in die Dentinkanälchen, wo die chemische Umsetzung der dort eingelagerten Farbstoffe erfolgt. Als bewährtes Mittel steht hier Natriumperborat-Pulver zur Verfügung, das als Paste mit Wasser angemischt, in breiartiger Konsistenz in das Pulpakavum appliziert wird [21]. Aus dem Natriumperborat-Wasser-Gemisch wird langsam H2O2 freigesetzt, das im Bleichprozess verbraucht wird. Wichtig ist es, darauf zu achten, dass die Wurzelkanalfüllung zunächst ca. 1-2 mm unterhalb des Gingivaniveaus abgetrennt wird und dieser Raum mit einem dichten Verschluss (z. B. aus Glasionomerzement) wieder aufgefüllt wird. Dadurch wird ermöglicht, dass das Bleichmittel im zervikalen Bereich des Zahnes wirken, aber aufgrund der Abdichtung kein H2O2 in das marginale Parodont diffundieren kann. Eine solche Diffusion von H2O2 könnte das Auftreten von externen zervikalen Resorptionen begünstigen, die bei intern gebleichten Zähnen in seltenen Fällen beobachtet wurden [11]. Ebenso werden hoch konzentrierte Bleichpräparate für das Entstehen von externen zervikalen Resorptionen verantwortlich gemacht [9].

Fazit

Posttraumatisch verfärbte Zähne lassen sich mit adäquaten minimal-invasiven Maßnahmen erfolgreich therapieren. Es bedarf in jedem Fall einer angemessenen Fall- und Therapieauswahl, um zu zufriedenstellenden Ergebnissen zu kommen.

Korrespondenzadresse

Prof. Dr. Thomas Attin
Klinik für Zahnerhaltung und Präventivzahnmedizin
Zentrum für Zahnmedizin
Universität Zürich
Plattenstr. 11
8032 Zürich, Schweiz
Thomas.Attin@zzm.uzh.ch

Einhaltung ethischer Richtlinien

Für diesen Beitrag wurden vom Autor keine Studien an Menschen oder Tieren durchgeführt. Für die aufgeführten Studien gelten die jeweils dort angegebenen ethischen Richtlinien. Für Bildmaterial oder anderweitige Angaben innerhalb des Manuskripts, über die Patient/-innen zu identifizieren sind, liegt von ihnen und/oder ihren gesetzlichen Vertretern/Vertreterinnen eine schriftliche Einwilligung vor.

Hinweis

Der Artikel basiert auf dem Vortrag "Episode IX - Posttraumatische Verfärbungen (Die dunkle Bedrohung)", gehalten von Prof. Thomas Attin auf der Frühjahrstagung 2023 der DGKiZ.

Interessenkonflikt

T. Attin gibt an, dass kein Interessenkonflikt besteht.
Open Access: Dieser Artikel wird unter der Creative Commons Namensnennung 4.0 International Lizenz veröffentlicht, welche die Nutzung, Vervielfältigung, Bearbeitung, Verbreitung und Wiedergabe in jeglichem Medium und Format erlaubt, sofern Sie den/die ursprünglichen Autor(en) und die Quelle ordnungsgemäß nennen, einen Link zur Creative Commons Lizenz beifügen und angeben, ob Änderungen vorgenommen wurden. Die in diesem Artikel enthaltenen Bilder und sonstiges Drittmaterial unterliegen ebenfalls der genannten Creative Commons Lizenz, sofern sich aus der Abbildungslegende nichts anderes ergibt. Sofern das betreffende Material nicht unter der genannten Creative Commons Lizenz steht und die betreffende Handlung nicht nach gesetzlichen Vorschriften erlaubt ist, ist für die oben aufgeführten Weiterverwendungen des Materials die Einwilligung des jeweiligen Rechteinhabers einzuholen. Weitere Details zur Lizenz entnehmen Sie bitte der Lizenzinformation auf http://creativecommons.org/ licenses/by/4.0/deed.de.

Unsere Produktempfehlungen

Oralprophylaxe & Kinderzahnmedizin

Print-Titel

  • Offizielles Organ der Deutschen Gesellschaft für Kinderzahnmedizin (DGKiZ)
  • Umfasst alle Bereiche der Oralprophylaxe und Kinderzahnmedizin
  • Bietet praxisnah aufbereitete, wissenschaftlich fundierte Informationen

e.Dent – Das Online-Abo der Zahnmedizin

Online-Abonnement

Mit e.Dent erhalten Sie Zugang zu allen zahnmedizinischen Fortbildungen und unseren zahnmedizinischen und ausgesuchten medizinischen Zeitschriften.

e.Med Interdisziplinär

Kombi-Abonnement

Für Ihren Erfolg in Klinik und Praxis - Die beste Hilfe in Ihrem Arbeitsalltag

Mit e.Med Interdisziplinär erhalten Sie Zugang zu allen CME-Fortbildungen und Fachzeitschriften auf SpringerMedizin.de.

download
DOWNLOAD
print
DRUCKEN
Titel
Posttraumatische Verfärbungen
Episode IX - Posttraumatische Verfärbungen (Die dunkle Bedrohung)
Verfasst von
Prof. Dr. Thomas Attin
Publikationsdatum
01.09.2023
Verlag
Springer Medizin
Erschienen in
Oralprophylaxe & Kinderzahnmedizin / Ausgabe 3/2023
Print ISSN: 3005-0782
Elektronische ISSN: 3005-0790
DOI
https://doi.org/10.1007/s44190-023-0667-0
1.
Zurück zum Zitat Attin T, Wegehaupt FJ (2009) Zahnverfärbungen nach Trauma - Möglichkeiten von Aufhellungsverfahren. Quintessenz 60:631-635
2.
Zurück zum Zitat Attin T, Paque F, Ajam F, Lennon AM (2003) Review of the current status of tooth whitening with the walking bleach technique. Int Endod J 36:313-329
3.
Zurück zum Zitat Auschill TM, Hellwig E, Schmidale S, Sculean A, Arweiler NB (2005) Efficacy, side-effects and patients' acceptance of different bleaching techniques (OTC, in-office, at-home). Oper Dent 30:156-163
4.
Zurück zum Zitat Buchalla W, Attin T (2007) External bleaching therapy with activation by heat, light or laser - a systematic review. Dent Mater 23:586-596
5.
Zurück zum Zitat Cavalli V, Reis AF, Giannini M, Dias CTS (2000) Effect of peroxide bleaching on bond strength to enamel. J Dent Res 79(Suppl 1):373-373
6.
Zurück zum Zitat Cavalli V, Reis AF, Giannini M, Ambrosano GMB (2001) The effect of elapsed time following bleaching on enamel bond strength of resin composite. Oper Dent 26:597-602
7.
Zurück zum Zitat Cavalli V, de Carvalho RM, Giannini M (2005) Influence of carbamide peroxide-based bleaching agents on the bond strength of resin-enamel/dentin interfaces. Braz Oral Res 19:23-29
8.
Zurück zum Zitat Cheng YL, Musonda J, Cheng H, Attin T, Zheng M, Yu H (2019) Effect of surface removal following bleaching on the bond strength of enamel. BMC Oral Health 19:50
9.
Zurück zum Zitat Cog E, Sibilla P, Turrini R (2019) Nebenwirkungen des internen Bleichens. Endodontie 28:39-45
10.
Zurück zum Zitat Eggmann F, Rihs J, Lenherr P, Weiger R, Krastl G, Zaugg LK (2021) Spectrophotometric insights: calcium hydroxide influences tooth discolorations induced by short-term application of antibiotic/corticosteroid pastes. Clin Oral Investig 25:1141-1149
11.
Zurück zum Zitat Friedman S, Rotstein I, Libfeld H, Stabholz A, Heling I (1988) Incidence of external root resorption and esthetic results in 58 bleached pulpless teeth. Endod Dent Traumatol 4:23-26
12.
Zurück zum Zitat Heithersay GS (1999) Invasive cervical resorption: an analysis of potential predisposing factors. Quintessence Int 30:83-95
13.
Zurück zum Zitat Heithersay GS (1999) Invasive cervical resorption following trauma. Aust Endod J 25:79-85
14.
Zurück zum Zitat Hergt A, Holscher C (2016) Zahnverfärbungen nach dentalem Trauma. Endodontie 25:405-410
15.
Zurück zum Zitat Krastl G, Allgayer N, Lenherr P, Filippi A, Taneja P, Weiger R (2013) Tooth discoloration induced by endodontic materials: a literature review. Dent Traumatol 29:2-7
16.
Zurück zum Zitat Lenherr P, Allgayer N, Weiger R, Filippi A, Attin T, Krastl G (2012) Tooth discoloration induced by endodontic materials: a laboratory study. Int Endod J 45:942-949
17.
Zurück zum Zitat Matis BA, Wang Y, Eckert GJ, Cochran MA, Jiang T (2006) Extended bleaching of tetracycline-stained teeth: a 5-year study. Oper Dent 31:643-651
18.
Zurück zum Zitat Pala K, Bindl A, Mühlemann S, Özcan M, Hüsler J, Ioannidis A (2023) The capacity to change the lightness of discolored tooth substrates by means of minimally invasive restorations: perception by dentists, dental technicians, and laypersons. Int J Prosthodont 36:7-12
19.
Zurück zum Zitat Paqué PN, Attin T (2019) Bleichverfahren endodontisch behandelter Zähne: Aktuelle Bewertung. Endodontie 28:23-34
20.
Zurück zum Zitat Polydorou O, Wirsching M, Wokewitz M, Hahn P (2013) Three-month evaluation of vital tooth bleaching using light units - a randomized clinical study. Oper Dent 38:21-32
21.
Zurück zum Zitat Weiger R, Kuhn A, Löst C (1994) In vitro comparison of various types of sodium perborate used for intracoronal bleaching of discolored teeth. J Endod 20:338-341
22.
Zurück zum Zitat Weinberger T, Hülsmann M (2019) Endodontisch bedingte Zahnverfärbungen: Ätiologie, Diagnostik und Therapie. Endodontie 28:7-22
23.
Zurück zum Zitat Zhong BJ, Yang S, Hong DW, Cheng YL, Attin T, Yu H (2023) The efficacy of at-home, in-office, and combined bleaching regimens: a randomized controlled clinical trial. Oper Dent 48(3):E71-E80
24.
Zurück zum Zitat Zollinger A, Attin T, Mohn D, Zehnder M (2019) Effects of endodontic irrigants on blood and blood-stained dentin. Heliyon 5:e01794

Neu im Fachgebiet Zahnmedizin

Krankenkassen erklären sich bereit, therapeutische Wundprodukte weiterhin zu erstatten

  • 05.12.2025
  • EBM
  • Nachrichten

Aktuell gesteigertes Regressrisiko bei der Verordnung therapeutischer Wundauflagen? Vielerorts signalisieren Kassen und KVen schon Entwarnung.

Betriebliche Weihnachtsfeier: So ist die Gesetzliche Unfallversicherung mit von der Partie

Damit die Gesetzliche Unfallversicherung auch dann leistet, wenn während der betrieblichen Weihnachtsfeier gestolpert wird und hingeschlagen, sind einige Voraussetzungen zu beachten.

gematik verlängert Frist für Austausch der E-Arztausweise

Nachdem die Berichte über Probleme beim Austausch der E-Arztausweise für die digitale Signatur in der Telematikinfrastruktur nicht abrissen, hat die gematik jetzt die Notbremsung eingeleitet: Demnach können eHBA der alten Version nun bis 30. Juni 2026 genutzt werden. Für alte Konnektoren gibt es keinen Aufschub.

Oft genug, aber nicht sauber genug

Viele Deutsche putzen regelmäßig ihre Zähne – doch die meisten erreichen keine Plaquefreiheit. Studien zeigen: Unsystematisches Putzen führt oft zu Zahnfleischentzündungen. Forschende wollen mit KI und gezielter Anleitung die Mundhygiene verbessern..

Update Zahnmedizin

Bestellen Sie unseren kostenlosen Newsletter und bleiben Sie gut informiert – ganz bequem per eMail.

Bildnachweise
Zahn 11 mit posttraumatischer Verfärbung und alio loco durchgeführter Wurzelkanal- und Füllungstherapie/© Th. Attin | Oralprophylaxe & Kinderzahnheilkunde (45)·3:134-137, Versorgung einer infizierten Wunde bei diabetischem Fuß/© kirov1969 / Stock.adobe.com (Symbolbild mit Fotomodellen), Glatte Straße mit Schnee bedeckt/© Urheber / Agentur (Symbolbild mit Fotomodell), Arztausweis/© Ulrich Zillmann / FotoMedienService / picture alliance (Symbolbild mit Fotomodell)