Zum Inhalt

Case report on possible causes of severe osteoporosis: diffuse panbronchiolitis

  • Open Access
  • 28.05.2025
  • Case Report
Erschienen in:
download
DOWNLOAD
print
DRUCKEN
insite
SUCHEN

Abstract

Background

Osteoporosis (OP) is a condition characterized by systemic degenerative bone disease. Recent studies have suggested a potential association between diffuse panfine bronchiectasis and osteoporosis. In this case report, we present a patient with severe osteoporosis and diffuse panfine bronchiectasis. The patient's medical history, clinical presentation, and diagnostic tests are discussed in detail.

Case presentation

A 72-year-old postmenopausal woman with a 30-year history of chronic cough and sputum production presented with severe back pain and height reduction (10 cm over 10 years). Imaging revealed multiple spinal compression fractures and severe osteoporosis (lumbar spine T-score: -4.4). CT confirmed diffuse panbronchiolitis with diffuse bilateral micronodular lung lesions.After ruling out secondary factors and common pathogenic factors, it was suspected that her severe osteoporosis might be closely related to diffuse panbronchiolitis. The patient was treated with anti-osteoporosis and anti-inflammatory medications. Currently, her pain has alleviated, and she can perform daily activities.

Conclusion

Clinicians should be aware of this possible association when evaluating patients with osteoporosis.Early identification and active treatment can effectively slow down the progression of osteoporosis. Identifying high-risk patients is also an important measure.

Publisher's note

Springer Nature remains neutral with regard to jurisdictional claims in published maps and institutional affiliations.
DPB
Diffuse panfine bronchiectasis
COPD
Chronic obstructive pulmonary disease
BMD
Bone mineral density
TSH
Thyroid-stimulating hormone

Introduction

Osteoporosis (OP) is a condition characterized by systemic degenerative bone disease, with key features including: destruction of bone microstructure, increased bone fragility, and reduced bone mass, ultimately leading to an increased risk of fractures [1]. Due to the increased fragility of bones in osteoporosis, almost any bone can fracture. These fractures are closely associated with higher healthcare costs, physical disability, impaired quality of life, and increased mortality [2]. Therefore, early detection and preventive treatment of potential risk factors are of utmost importance. Researchers have evaluated the prevalence of osteoporosis in patients with bronchiectasis and chronic obstructive pulmonary disease (COPD) [3, 4] , observing that increased systemic inflammation, as determined by markers such as C-reactive protein, IL-6, or TNF-α, is associated with reduced bone mass and disease progression in patients with bronchiectasis and COPD, significantly increasing the risk of osteoporosis (low BMD) [5]. However, no studies have yet investigated whether diffuse panbronchiolitis (DPB) can induce and exacerbate postmenopausal osteoporosis. Diffuse panbronchiolitis (DPB) is a chronic airway infection with diffuse bilateral micronodular lung lesions, primarily affecting East Asian populations [6]. It is a chronic, potentially life-threatening lower respiratory tract disease characterized by chronic infiltration of inflammatory cells. Compared to other chronic lung diseases, patients with DPB have high concentrations of neutrophils, lymphocytes, and inflammatory cytokines in their bronchoalveolar lavage fluid [7].

Case information

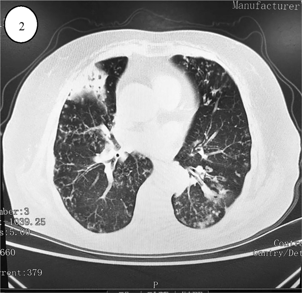
A 72-year-old female patient experienced a height reduction of 10 cm over 10 years and presented to our outpatient clinic in early November 2023 with severe back pain after an unstable standing twist. She had a history of coughing and sputum production for over 30 years, menopause at 49, and no other medical history. The patient's back pain and bilateral rib pain gradually worsened over a week, becoming more pronounced during activity and coughing, and alleviating with rest. Physical examination revealed: height 158 cm, weight 52 kg, visible spinal deformity, reduced chest-abdominal wall distance, and a bow-shaped kyphosis on spinal examination. Lung auscultation revealed moist rales. MRI indicated: 1. Fresh compression fractures of T9-11, with bone marrow edema changes in the T9 lamina; 2. Compression fractures of L1, 2, 4 (old); 3. Disc protrusion at L3/4, L4/5, and Schmorl's nodes formation at L1-4; 4. Osteoporosis of the thoracolumbar spine; thoracolumbar degenerative changes; subcutaneous fasciitis of the back as shown in Fig. 1. Dual-energy X-ray absorptiometry indicated: L1-4 bone density 0.560 g/cm2, T-score -4.4, Z-score -1.5, representing severe osteoporosis. To determine the cause of the patient's osteoporosis, serum levels of calcium, phosphorus, and parathyroid hormone (PTH) were checked: calcium, 1.85 mmol/L; phosphorus, 0.83 mmol/L; PTH, 81.20 pg/mL, all within normal ranges. Additionally, tests showed white blood cells, 5.22*10^9/L; red blood cells, 3.88*10^12/L; hemoglobin, 111 g/L; C-reactive protein, 3.33 mg/L; 25-hydroxyvitamin D, 16.30 ng/mL; thyroid-stimulating hormone (TSH), 1.2729 μIU/mL; urea, 4.47 mmol/L; creatinine, 41.2 μmol/L; aspartate aminotransferase, 20 U/L; alanine aminotransferase, 17 U/L; all immune series negative, ruling out hyperparathyroidism, hyperthyroidism, liver dysfunction, kidney dysfunction, and immune series diseases. Given her 30-year history of coughing and sputum production, a chest scan was completed, and paranasal sinus scan indicated: left maxillary sinusitis, slight deviation of the nasal septum, possible chronic bilateral otitis media; multiple small nodules in both lungs, slightly enlarged mediastinal lymph nodes; osteoporosis, uneven bone density of the manubrium, fracture of the left second anterior rib, sternal fracture, compression fractures of T6, L9, L10. She had a 30-year history of persistent coughing and sputum production, with paranasal sinus CT indicating chronic sinusitis, chest CT showing diffuse small nodular shadows as in Fig. 2, lung auscultation with moist rales, diagnosed as diffuse panbronchiolitis (DPB). After ruling out secondary factors and common pathogenic factors, it was suspected that her severe osteoporosis might be closely related to diffuse panbronchiolitis, and whether DPB could induce or exacerbate osteoporosis. Based on this hypothesis, the patient was treated with anti-osteoporosis and anti-inflammatory medications. Currently, her pain has alleviated, and she can perform daily activities, but she remains under continuous treatment.
Fig. 1
MRI showing spinal compression fractures
Bild vergrößern
Fig. 2
Chest CT showing diffuse small nodular shadows in the lungs
Bild vergrößern

Discussion

Currently known risk factors for osteoporosis and related fractures include aging, female gender, early menopause, prolonged inactivity, and long-term use of corticosteroids. Factors that may increase the risk of osteoporosis in postmenopausal women include low calcium intake, smoking, hip fractures, use of long half-life psychotropic drugs, and heavy alcohol consumption [8]. However, no one has yet discovered that diffuse panbronchiolitis (DPB) may induce and exacerbate postmenopausal osteoporosis. Diffuse panbronchiolitis (DPB) is an idiopathic inflammatory disease characterized by chronic inflammation, primarily confined to the respiratory bronchioles and adjacent centrilobular areas, with characteristic interstitial accumulation of foamy histiocytes, neutrophils, and lymphocytes. Neutrophils and T lymphocytes, especially CD8 + T cells, and cytokines interleukin-8 and macrophage inflammatory protein-1, are believed to play a key role in the occurrence of DPB [9]. The local and systemic inflammation in DPB patients can worsen, and this systemic inflammation may be related to osteoporosis and its incidence [10]. At the same time, changes in immune cells can promote the development of postmenopausal osteoporosis. Although neutrophils play an important role in bone homeostasis, their excessive activation under estrogen-deficient conditions promotes osteoclast apoptosis by releasing reactive oxygen species and increasing osteoclastogenesis through RANKL signaling, leading to bone mass reduction. In estrogen-deficient conditions, with the increase of pro-inflammatory cytokines, changes in fracture healing may occur, potentially leading to healing disorders [10]. CD8 + T cells also play an important role in the pathogenesis of osteoarthritis (OA), with a subset of CD8 + T cells known as Foxp3CD8 Tregs, which can inhibit osteoclast formation and activity by secreting various anti-osteoclast factors. Foxp3CD8 Tregs not only regulate osteoclast survival but also affect osteoclast maturation by inhibiting the formation of osteoclast actin rings, forming a bidirectional regulatory loop [11]. However, this bidirectional regulatory mechanism does not require the presence of various pro-inflammatory cytokines. In DPB patients, the CD4/CD8 T lymphocyte ratio is increased, and interleukin-8 is elevated [12], which may cause the bidirectional regulatory loop to lose balance, and any dysregulation may lead to increased bone loss reported in osteoporosis. Diffuse panbronchiolitis (DPB) is characterized by chronic airway infection with diffuse bilateral micronodular lung lesions [6]. Studies have shown that chronic airway infection is accompanied by a significant increase in the local concentration of several cytokines, including TNF-α, IL-1β, IFN-γ, IL-2, IL-4, and IL-5 [13]. IL-1β, IL-6, and TNF-α are products of stromal cells and monocytes, which can increase the production of RANKL and OPG. The main result of these three cytokines is a net increase in RANKL activity, leading to bone loss. Additionally, the increase in RANKL and OPG can also upregulate the expression of IL-6 and TNF-α [14], which may enhance systemic inflammation in DBP patients. Systemic inflammation may increase the serum levels of inflammatory cytokines, disrupting the balance of the OPG/RANK/RANKL system and leading to a dominant trend of RANKL. This trend may result in bone loss and reduced bone mass/osteoporosis in DBP patients.This case illustrates the necessity of osteoporosis risk screening for DPB patients, using dual-energy X-ray absorptiometry to measure bone density. Any patient at risk should be actively prevented, with early anti-inflammatory treatment to control inflammation and improve prognosis [13]. Nutritional interventions should be implemented, including adequate protein intake, moderate salt, various vegetables and fruits, calcium-rich diet, calcium + vitamin D supplementation, and appropriate exercise. If bone density reduction has already occurred, active pharmacological intervention should be undertaken, such as using anti-resorptive drugs or hormone replacement therapy [15]. Preventing postmenopausal osteoporosis is an important area of contemporary research, and early identification and active treatment can effectively slow the progression of osteoporosis, while identifying high-risk patients is also one of the important measures.

Declarations

Ethical approval

This study was approved by the ethics committee of our institutions.

Conflicts of interest

Ruoxi Cheng and Li Zhang declare that they have no conflicts of interest.
The participant has consented to the submission of the case report to the journal.
Open Access This article is licensed under a Creative Commons Attribution-NonCommercial 4.0 International License, which permits any non-commercial use, sharing, adaptation, distribution and reproduction in any medium or format, as long as you give appropriate credit to the original author(s) and the source, provide a link to the Creative Commons licence, and indicate if changes were made. The images or other third party material in this article are included in the article's Creative Commons licence, unless indicated otherwise in a credit line to the material. If material is not included in the article's Creative Commons licence and your intended use is not permitted by statutory regulation or exceeds the permitted use, you will need to obtain permission directly from the copyright holder. To view a copy of this licence, visit http://creativecommons.org/licenses/by-nc/4.0/.

Publisher's note

Springer Nature remains neutral with regard to jurisdictional claims in published maps and institutional affiliations.
download
DOWNLOAD
print
DRUCKEN
Titel
Case report on possible causes of severe osteoporosis: diffuse panbronchiolitis
Verfasst von
Ruoxi Cheng
Li Zhang
Publikationsdatum
28.05.2025
Verlag
Springer London
Erschienen in
Osteoporosis International / Ausgabe 7/2025
Print ISSN: 0937-941X
Elektronische ISSN: 1433-2965
DOI
https://doi.org/10.1007/s00198-025-07532-y
1.
Zurück zum Zitat Arceo-Mendoza RM, Camacho PM (2021) Postmenopausal osteoporosis: latest guidelines. Endocrinol Metab Clin North Am 50(2):167–178. https://doi.org/10.1016/j.ecl.2021.03.009CrossRefPubMed
2.
Zurück zum Zitat Walker MD, Shane E (2023) Postmenopausal osteoporosis. N Engl J Med 389(21):1979–1991. https://doi.org/10.1056/NEJMcp2307353CrossRefPubMed
3.
Zurück zum Zitat Li Y, Gao H, Zhao L, Wang J (2022) Osteoporosis in COPD patients: risk factors and pulmonary rehabilitation. Clin Respir J 16(7):487–496. https://doi.org/10.1111/crj.13514CrossRefPubMedPubMedCentral
4.
Zurück zum Zitat Ozcakir S, Sigirli D, Ursavas A, Uzaslan E (2020) COPD and osteoporosis: associated factors in patients treated with inhaled corticosteroids. Int J Chron Obstruct Pulmon Dis 15:2441–2448. https://doi.org/10.2147/COPD.S274728CrossRefPubMedPubMedCentral
5.
Zurück zum Zitat Inoue D, Watanabe R, Okazaki R (2016) COPD and osteoporosis: links, risks, and treatment challenges. Int J Chron Obstruct Pulmon Dis 29(11):637–648. https://doi.org/10.2147/COPD.S79638CrossRef
6.
Zurück zum Zitat Kudoh S, Keicho N (2012) Diffuse panbronchiolitis. Clin Chest Med 33(2):297–305. https://doi.org/10.1016/j.ccm.2012.02.005CrossRefPubMed
7.
Zurück zum Zitat Yanagihara K, Kadoto J, Kohno S (2001) Diffuse panbronchiolitis–pathophysiology and treatment mechanisms. Int J Antimicrob Agents 18(Suppl 1):S83–S87. https://doi.org/10.1016/s0924-8579(01)00403-4CrossRefPubMed
8.
Zurück zum Zitat Gao S, Zhao Y (2023) Quality of life in postmenopausal women with osteoporosis: a systematic review and meta-analysis. Qual Life Res 32(6):1551–1565. https://doi.org/10.1007/s11136-022-03281-1CrossRefPubMed
9.
Zurück zum Zitat Wu D, Cline-Smith A, Shashkova E, Perla A, Katyal A, Aurora R (2021) T-cell mediated inflammation in postmenopausal osteoporosis. Front Immunol 30(12):687551. https://doi.org/10.3389/fimmu.2021.687551CrossRef
10.
Zurück zum Zitat Fischer V, Haffner-Luntzer M (2022) Interaction between bone and immune cells: implications for postmenopausal osteoporosis. Semin Cell Dev Biol 123:14–21. https://doi.org/10.1016/j.semcdb.2021.05.014CrossRefPubMed
11.
Zurück zum Zitat Srivastava RK, Dar HY, Mishra PK (2018) Immunoporosis: immunology of osteoporosis-role of T cells. Front Immunol 5(9):657. https://doi.org/10.3389/fimmu.2018.00657CrossRef
12.
Zurück zum Zitat Tsang KW, Ooi CG, Ip MS, Lam WK, Ngan H, Chan EY, Hawkins B, Ho CS, Amitani R, Tanaka E, Itoh H (1998) Clinical profiles of Chinese patients with diffuse panbronchiolitis. Thorax 53(4):274–280. https://doi.org/10.1136/thx.53.4.274CrossRefPubMedPubMedCentral
13.
Zurück zum Zitat Yanagihara K, Tomono K, Kuroki M, Kaneko Y, Sawai T, Ohno H, Miyazaki Y, Higashiyama Y, Maesaki S, Kadota J, Kohno S (2000) Intrapulmonary concentrations of inflammatory cytokines in a mouse model of chronic respiratory infection caused by pseudomonas aeruginosa. Clin Exp Immunol 122(1):67–71. https://doi.org/10.1046/j.1365-2249.2000.01343.xCrossRefPubMedPubMedCentral
14.
Zurück zum Zitat Cheng CH, Chen LR, Chen KH (2022) Osteoporosis due to hormone imbalance: an overview of the effects of estrogen deficiency and glucocorticoid overuse on bone turnover. Int J Mol Sci 23(3):1376. https://doi.org/10.3390/ijms23031376CrossRefPubMedPubMedCentral
15.
Zurück zum Zitat Yong EL, Logan S (2021) Menopausal osteoporosis: screening, prevention and treatment. Singapore Med J. 62(4):159–166. https://doi.org/10.11622/smedj.2021036CrossRefPubMedPubMedCentral

Arthropedia

Grundlagenwissen der Arthroskopie und Gelenkchirurgie erweitert durch Fallbeispiele, Videos und Abbildungen. Zur Fortbildung und Wissenserweiterung, verfasst und geprüft von Expertinnen und Experten der Gesellschaft für Arthroskopie und Gelenkchirurgie (AGA).


Jetzt entdecken!

Neu im Fachgebiet Orthopädie und Unfallchirurgie

Mit Glukokortikoiden überbrücken? Studie stützt europäische Rheuma-Leitlinie

Glukokortikoide, die zu Beginn einer krankheitsmodifizierenden Rheumatherapie begleitend eingesetzt werden, lassen sich in den allermeisten Fällen planmäßig ausschleichen und absetzen: Das Ergebnis der ARCTIC-Studie spricht diesbezüglich für die europäische und gegen die US-amerikanische Leitlinie.

7% durch chronische Schmerzen stark beeinträchtigt

Laut einer Querschnittstudie leiden rund 7% der in Deutschland lebenden über 16-Jährigen unter chronischen Schmerzen, die ihren Alltag stark beeinträchtigen. Außer biologischen scheinen auch psychische und soziale Faktoren mit sogenanntem High-Impact Chronic Pain assoziiert zu sein.

Elektroschrott: Wie Praxen Altgeräte sicher entsorgen

Ob nun Sonogerät, Praxiscomputer oder gar TI-Konnektor: Einfach zum nächsten Wertstoffhof sollten Praxisteams ausgediente Elektrogeräte nicht bringen. Was bei der Entsorgung zu beachten ist. Und wie die Teams sicher sensible Daten auf PC-Festplatte, externem Datenspeicher und TI-Komponenten löschen.

Tipps: So können Praxen die Risiken für einen GOÄ-Streit minimieren

Für Streitigkeiten, die das GOÄ-Honorar betreffen, sind neuerdings nur noch Landgerichte zuständig. Das macht Prozesse teurer. Eine Praxisberaterin erläutert, wie Praxen vorbauen können, um solche Streitfälle und Gerichtsverfahren zu vermeiden.

Update Orthopädie und Unfallchirurgie

Bestellen Sie unseren Fach-Newsletter und bleiben Sie gut informiert.

Bildnachweise
Arthropedia, Verschiedene Tabletten/© zozzzzo / Getty Images / iStock, Ultraschalluntersuchung der Niere/© Your_Photo_Today (Symbolbild mit Fotomodellen), Richter mit Gesetzbuch/© Kzenon / stock.adobe.com (Symbolbild mit Fotomodell)