Zum Inhalt

Cementoblastoma

  • Open Access
  • 01.06.2009
  • Sine qua none Radiology-Pathology
Erschienen in:
Download

History

An incidental finding was noted during routine radiographic examination of a 18 year-old male.

Radiographic Features

A panoramic radiograph revealed a well-defined, radiopacity with a surrounding peripheral radiolucent zone partially obscuring and resorbing the roots of the left mandibular first molar (Fig. 1).
Fig. 1
Round radiopacity with radiolucent rim at the apical region of left mandibular first molar tooth
Bild vergrößern

Treatment

Excision of the mass and extraction of the left mandibular first molar tooth was performed.

Diagnosis

Histologic examination revealed sheets and masses of paucicellular cementum attached to the root of the tooth (Fig. 2). The cementum displayed prominent basophilic reversal lines and cementoblastic rimming (Figs. 3 and 4). The cementoblasts were plump with moderate amounts of cytoplasm, hyperchromatic nuclei, and conspicuous nucleoli. The intervening stroma consisted of loose fibrovascular tissue with scattered multinucleated osteoclast-type giant cells. At the periphery of the lesion, radiating columns of unmineralized tissue were oriented perpendicular to the surface of the lesion.
Fig. 2
Calcified mass fused to the root of a molar tooth
Bild vergrößern

Discussion

Cementoblastoma, in the current World Health Organization (WHO) classification of odontogenic tumors, is in the category of tumors of mesenchyme and/or odontogenic ectomesenchyme with or without odontogenic epithelium [1]. Cementoblastoma is a rare benign odontogenic tumor that accounts for less than 1% of all odontogenic tumors [2, 3]. These tumors primarily affect young adults in the second and third decades of life, with approximately one-half occurring under the age of 20 years and approximately three quarters occurring under the age of 30 years [25]. Although there does not appear to be a definitive gender preference, some authors have reported both a male and a female predominance [1, 2, 4]. Cementoblastoma has a predilection for involving the mandibular permanent first molar which remains vital [1, 2, 46]. Cementoblastoma has, only rarely, been associated with a primary or impacted tooth [14]. All cases are connected to the root of the involved tooth [17]. Cementoblastoma commonly presents with pain and associated swelling due to bony expansion of the buccal and lingual aspects of the alveolar ridges [15]. Radiographically, cementoblastoma typically demonstrates a well-circumscribed, radiopaque mass attached to the root of the involved tooth with a surrounding thin radiolucent zone [17]. When the attachment to the root of the involved tooth is apparent, this radiographic finding is nearly pathognomonic [2, 4]. Additional radiographic features include root resorption, loss of the root outline, invasion of the root canal, bony expansion, displacement and involvement of adjacent teeth, cortical erosion, and obliteration of the periodontal ligament space [13]. Grossly, a round to ovoid, well-circumscribed mass of hard, calcified, tan tissue surrounds the root of the affected tooth [1, 3, 4]. This is usually surrounded by an irregular layer of gray-tan soft tissue [1, 3]. Histologically, cementoblastoma is characterized by masses of hypocellular cementum embedded in a fibrovascular stroma [1, 2, 57]. There is typically prominent cementoblastic rimming [2, 3, 57]. Another characteristic feature is the formation of prominent basophilic reversal lines within the cementum giving the lesion a Pagetoid appearance [1, 2, 57]. Multinucleated osteoclast-type giant cells and plump cementoblasts may be present within the fibrovascular stroma [13, 57]. At the periphery of the lesion, there is a rim of connective tissue and commonly radiating columns of cellular unmineralized tissue that accounts for the radiographic radiolucent zone [13, 5, 7]. Although the cytologic features of the cementoblasts and cementoclasts, particularly in the peripheral cellular zone, may have considerable pleomorphism, mitotic figures are not seen [2, 3, 5]. The differential diagnosis of cementoblastoma includes osteoblastoma and osteosarcoma. Osteoblastoma and cementoblastoma are essentially identical histologically and the only distinguishing feature is the attachment of cementoblastoma to the root of a tooth [15, 7]. Osteosarcoma must also be differentiated from cementoblastoma. Histologically, the cementoblasts in cementoblastoma may be plump with pleomorphic and hyperchromatic nuclei; however, mitotic figures are not seen in cementoblastoma [13, 5, 7]. Differentiation, of the above mentioned lesions, from cementoblastom requires correlation with the clinical and radiographic findings [1, 4, 6]. The treatment of choice for cementoblastoma is complete excision of the mass with removal of the affected tooth [14, 6]. With incomplete removal, recurrence is common and recurrence risk appears to be highest for those treated with curettage alone [14]. Some authors advocate curettage after extraction to decrease the overall rate of recurrence [3, 4].
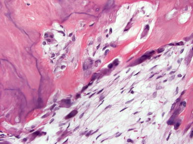
Fig. 3
Cementum with basophilic reversal lines and intervening loose fibrovascular connective tissue stroma
Bild vergrößern
Fig. 4
Cementum with prominent cementoblastic rimming
Bild vergrößern

Acknowledgment

I would like to give credit to Dr. Dave Wells, D.D.S., M.S. for providing the images of figure 3 and 4.

Open Access

This article is distributed under the terms of the Creative Commons Attribution Noncommercial License which permits any noncommercial use, distribution, and reproduction in any medium, provided the original author(s) and source are credited.
Open AccessThis is an open access article distributed under the terms of the Creative Commons Attribution Noncommercial License (https://creativecommons.org/licenses/by-nc/2.0), which permits any noncommercial use, distribution, and reproduction in any medium, provided the original author(s) and source are credited.
Download
Titel
Cementoblastoma
Verfasst von
Aaron R. Huber
Gretchen S. Folk
Publikationsdatum
01.06.2009
Verlag
Humana Press Inc
Erschienen in
Head and Neck Pathology / Ausgabe 2/2009
Elektronische ISSN: 1936-0568
DOI
https://doi.org/10.1007/s12105-008-0099-5
1.
Zurück zum Zitat van der Waal I. Cementoblastoma. In: Barnes EL, Everson JW, Reichart P, Sidransky D, editors. Pathology and genetics of head and neck tumours. Kleihues P, Sobin LH, series editors. World Health Organization classification of tumours, Lyon, France: IARC Press; 2005. p. 318.
2.
Zurück zum Zitat Ulmansky M, Hjortig-Hansen E, Praetorius F, et al. Benign cementoblastoma. A review and five new cases. Oral Surg Oral Med Oral Pathol. 1994;77:48–55.PubMedCrossRef
3.
Zurück zum Zitat Vieira AP, Meneses JM Jr, Maia RL. Cementoblastoma related to a primary tooth: a case report. J Oral Pathol Med. 2007;36:117–9.PubMed
4.
Zurück zum Zitat Sumer M, Gunduz K, Sumer AP, et al. Benign cementoblastoma: a case report. Med Oral Patol Oral Cir Bucal. 2006;11:E483–5.PubMed
5.
Zurück zum Zitat Ackermann GL, Altini M. The cementomas-a clinicopathological re-appraisal. J Dent Assoc S Afr. 1992;47:187–94.PubMed
6.
Zurück zum Zitat Infante-Cossio P, Hernandez-Guisado JM, Acosta-Feria M, et al. Cementoblastoma involving the maxillary sinus. Br J Oral Maxillofac Surg. 2008;46:234–6.PubMedCrossRef
7.
Zurück zum Zitat Slootweg PJ. Cementoblastoma and osteoblastoma: a comparison of histological features. J Oral Pathol Med. 1992;21:385–9.PubMedCrossRef

Neu im Fachgebiet Pathologie

Lymphome des Thymus und Mediastinums

Lymphozytenreiche Läsionen machen den Großteil der relevanten Differentialdiagnosen im vorderen Mediastinum aus und umfassen nichtneoplastische und neoplastische Entitäten. Lymphome stellen darunter mit ca. 10–15 % der Fälle eher einen kleinen …

Kombinationslymphome, Grauzonenlymphome und künftige Herausforderungen

Lymphome werden grundlegend in Hodgkin-Lymphome und B‑ und T‑Zell-Lymphome eingeteilt. Ihre Diagnostik beruht auf morphologischen, immunhistochemischen und zunehmend molekularen Methoden. Das klassische Hodgkin-Lymphom ist durch …

KI in der Diagnostik – aus Sicht der Pathologie

Die zunehmende Komplexität und Individualisierung onkologischer Diagnostik und Therapie stellt die Pathologie vor neue Herausforderungen. Gleichzeitig entwickelt sich die Künstliche Intelligenz (KI) von einer Zukunftstechnologie zu einem zentralen …

Räumlich-epidemiologische Datenanalyse von Pathologiedaten (REDPath)

In der pathologischen Routinediagnostik entstehen täglich große, gut dokumentierte Datensätze, deren Potential für räumlich-epidemiologische Analysen bislang kaum genutzt wird. Durch die Annotation dieser Daten eröffnen sich neue Möglichkeiten: …