Zum Inhalt

Chirurgie

Kommentierte Studien

Radiojodtherapie nach Schilddrüsenresektion beim differenzierten Schilddrüsenkrebs: die IoN-Studie

Die IoN-Studie bestätigt, dass bei Patienten mit pT1- und pT2-Tumoren sowie N0- oder Nx-Status auf eine postoperative RAIT verzichtet werden kann. Damit verdoppelt sich im Vergleich zu ESTIMABL2 die Zahl der Patienten, die ohne RAIT behandelt …

Kardiale MRT zur Risikoabschätzung und ICD-Indikationsstellung bei kardialer Sarkoidose

In die multizentrische, retrospektive Analyse wurden 1514 Patienten (medianes Alter 54 Jahre; 46 % weiblich) mit histologisch gesicherter Sarkoidse eingeschlossen, die eventuell für eine primärpräventive ICD-Implantation in Frage kamen. Alle …

Die Rolle der Nebennieren-erhaltenden Chirurgie in der Behandlung von Aldosteron-produzierenden Adenomen

Da keine prospektiv randomisierte Studie in die Metaanalyse eingeschlossen werden konnte und diese ausschließlich auf retrospektiven Studien beruht, ist die Aussagekraft durch den potenziellen Selektionsbias und das Fehlen einer Kontrollgruppe …

Lohnt sich die Gelegenheits-Salpingektomie?

Es gibt Hinweise, dass die Eileiter an der Pathogenese von Eierstockkrebs beteiligt sein könnten und ihre Entfernung das Krebsrisiko reduziert. Im Zuge anderer Operationen wie Hysterektomie aber auch Endometrioseexzision oder Appendektomie bei Frauen mit abgeschlossener Familienplanung könnten die Eileiter präventiv entfernt werden. Klinisch als auch wirtschaftlich hat das Potenzial, wie eine Modellierungsanalyse zeigt.

Stereotaktische Bestrahlung statt Ganzhirnradiatio bei 1–10 Hirnmetastasen auch bei kleinzelligem Lungenkarzinom?

Kleinzellige Tumoren bleiben die wesentliche Indikation für eine WBRT, die aber zunehmend infrage gestellt wird. Eine Metaanalyse [ 3 ] zeigte ein besseres Überleben von Patienten nach stereotaktischer Bestrahlung im Vergleich zur WBRT, allerdings …

Paravertebraler Block versus Periduralkatheter zur perioperativen Analgesie bei der minimalinvasiven Ösophagektomie, Ergebnisse des PEPMEN Trial

Die ist die erste randomisierte Studie zu genau dieser Fragestellung bei der MIE. Die Ergebnisse der Arbeit konnten die Hypothese einer Überlegenheit der PVB gegenüber der EDA hinsichtlich der postoperativen Erholung am dritten Tag nicht …

Prädiktive Faktoren für ein Versagen der antibiotischen Therapie bei unkomplizierter Appendizitis: sekundäre Analyse aus 2 randomisierten Studien

Die sekundäre Auswertung der APPAC- und APPAC-II-Studie hinsichtlich prädiktiver Faktoren für ein Therapieversagen der antibiotischen Therapie der unkomplizierten Appendizitis zeigt, dass bei einem Appendixdurchmesser ≥ 15 mm und Fieber > 38 °C …

Ist die Splenektomie bei distaler Pankreasresektion wegen eines nichtfunktionellen pNET erforderlich?

Das retrospektive Design der Studie impliziert alle Nachteile dieses Studientyps, u. a. auch ein Selektionsbias. So wurde z. B. die K‑SPDP im Vergleich zur W‑SPDP und DPS fast ausschließlich bei Patienten mit kleinen pNET (median 15,5 mm) und …

Transkatheter-Implantation oder wiederholte Chirurgie für degenerierte chirurgische Aortenprothesen

  • TAVI
  • Kommentierte Studie

Mit der Genehmigung von ViV-TAVI durch die Food and Drug Administration (FDA) 2015 für Patienten mit hohem chirurgischen Risiko folgte der Einzug in die klinische Routine. Leitlinien empfehlen ViV-TAVI als eine Alternative zu rSAVR bei Patienten …

Vergleich eines frühen und späten oralen Kostaufbaus nach Ösophagektomie: Ergebnisse einer prospektiv-randomisierten Studie

Die Studie erreicht ihren primären Endpunkt. Der späte orale Kostaufbau in Kombination mit enteraler Ernährung über eine Katheterjejunostomie erwies sich als effektiv in der Vermeidung eines ausgeprägten Gewichtsverlustes, ermöglichte eine …

Aktive Überwachung beim Ösophaguskarzinom mit kompletter Remission durch Radiochemotherapie

Die SANO-Studie liefert überzeugende Evidenz dafür, dass bei Patienten mit klinischer Komplettremission nach neoadjuvanter Radiochemotherapie eine aktive Überwachung eine sichere Alternative zur sofortigen Operation darstellt. Das …

Chronischer Opioidgebrauch nach Operation

Diese großangelegte Studie zeigt eindrücklich, dass das Problem der persistierenden Opioidverschreibung auch in Österreich existiert. Das Ausmaß ist aber im Vergleich zu den USA geringer. Bestimmte Struktur- und Patient:innen-bezogene Faktoren …

α-Synuclein-Pathologie beim idiopathischen Normaldruckhydrozephalus:

α‑Synuclein-Seed-Amplifikationstests (SAA) revolutionieren derzeit die Diagnostik und Differenzialdiagnostik von Synucleinopathien wie der Parkinsonkrankheit, DLB und der Multisystematrophie. Die Ergebnisse der Studie von Weber et al. zeigen …

Hinzunahme der Brachytherapie zur neoadjuvanten Radiochemotherapie zur Erhöhung der Rate an Organerhalt: Ergebnisse der randomisierten OPERA-Studie

Die aktuell vorgestellten 5‑Jahres Ergebnisse der OPERA-Studie zeigen erstmals, dass insbesondere eine zusätzliche lokale Kontaktbestrahlung (Brachytherapie) des Rektumkarzinoms ein mögliches Tool darstellt, um die Rate an Organerhalt weiter zu …

Verbessert der Roboter tatsächlich die funktionellen und onkologischen Ergebnisse beim Rektumkarzinom?

Bereits die 2022 veröffentlichten Frühdaten der REAL-Studie sorgten für Aufmerksamkeit: Sie zeigten erstmals signifikante Vorteile für die Robotik bezüglich onkologischer Surrogatparameter (höhere Rate kompletter TME-Präparate, niedrigere Rate …

Welche Anastomose ist zu bevorzugen? Anastomoseninsuffizienzraten unterschiedlicher Rekonstruktionstechniken nach RAMIE

Trotz der Limitationen dieser retrospektiven Registeranalyse kann man aus den hier vorliegenden Daten ableiten, dass maschinelle Anastomosen bei der Rekonstruktion im Rahmen einer robotisch-assistierten Ivor-Lewis-Ösophagektomie eindeutig zu …

Robotische oder laparoskopische distale Gastrektomie?

In den letzten Jahren haben sich auch im viszeralchirurgischen Bereich zunehmend roboterassistierte Verfahren etabliert. Doch bisher gab es wenige Studien, die das Langzeit-Outcome bei Magenkarzinom nach robotischer Gastrektomie mit dem nach laparoskopischer Gastrektomie vergleichen. Dieses Datendefizit schließt nun eine aktuelle Studie. 

COMPARE Study: dV-RAS versus Lap/VATS und offen

Die Studie demonstriert den Vorteil von dV-RAS für onkologische Eingriffe. Einziger Nachteil war die verlängerte Operationszeit, welche nicht mit schlechterem Outcome korrelierte. Dies scheint generell ein Faktor der MIS zu sein, erklärbar durch …

Nahinfrarot-Autofluoreszenz bei bilateraler Halsexploration wegen eines milden primären Hyperparathyreoidismus

Die FLUO-PARA ist eine gut konzipierter RCT (randomisierte kontrollierte Studie), die unter realen klinischen Bedingungen an einem tertiären Zentrum durch 2 sehr erfahrene endokrine Chirurgen durchgeführt wurde. Diese besondere Erfahrung der …

Fünf-Jahres-Ergebnisse der Oseberg-Studie zum Roux-Y-Magenbypass versus Schlauchmagenoperation bei Adipositas mit Diabetes mellitus

Die Autor:innen präsentieren Langzeitdaten zur Remission des T2DM. Die vordefinierte Sekundäranalyse der vorliegenden Studie zeigt, dass Patient:innen mit T2DM nach einem Standard-RYGB eine mehr als doppelt so hohe Wahrscheinlichkeit für eine …

Liver-first-Resektion bei Patienten mit kolorektalen Lebermetastasen geht mit einem erniedrigten rezidivfreien Überleben einher

Der signifikant höhere Anteil an R1-Resektionen ( p  = 0,03) in dieser Studie kann das schlechtere rezidivfreie Überleben durchaus erklären. In Studien mit deutlich größerer Anzahl an eingeschlossenen Patienten fand sich beim Liver-first-Zugang ein …

Ist die adjuvante Gabe von Imatinib über 3 oder 6 Jahre bei resezierten GIST-Hochrisikopatienten sinnvoller?

Die Ergebnisse der IMADGIST-Studie haben wichtige Implikationen für die klinische Praxis im Management von GIST. Sie zeigen, dass eine Verlängerung der adjuvanten Imatinib-Therapie auf 6 Jahre die Wahrscheinlichkeit eines krankheitsfreien …

Ein Scoring-System zur Ermittlung des postoperativen Rezidivrisikos nach Hirnmetastasenresektion

Dass man von neurochirurgischer Seite großes Interesse an einem Score hat, der einen Verzicht auf die postoperative Bestrahlung nach Metastasenresektion ermöglicht, ist verständlich; damit würde man dem wissenschaftlich klar begründeten Trend zur …

TAVI bei asymptomatischer hochgradiger Aortenklappenstenose – Je früher desto besser?

  • TAVI
  • Kommentierte Studie

Insgesamt 901 Patienten ab einem Alter von 65 Jahren wurden in der multizentrischen, randomisierten EARLY-TAVR-Studie mit asymptomatischer, hochgradiger Aortenklappenstenose und erhaltener linksventrikulärer Ejektionsfraktion (LVEF ≥ 50 %) im …

Active Surveillance versus Operation nach neoadjuvanter Radiochemotherapie – Ergebnisse des SANO Trials

Die Ergebnisse der Studie suggerieren, dass ein Active-Surveillance-Konzept in einem komplex zu definierenden Patientenkollektiv möglicherweise eine gewisse Alternative zur chirurgischen Therapie bei Patienten mit resektablem Ösophaguskarzinom …

Ist eine prophylaktische zentrale Halsdissektion beim klinisch Lymphknoten-negativen papillären Schilddrüsenkarzinom erforderlich?

Die vorliegende Arbeit ist eine hochwertige, prospektiv randomisierte Einzelzentrumsstudie mit einer außergewöhnlich langen Nachbeobachtungszeit. Sie belegt, dass die pCND bei kleinen, klinisch nodal-negativen PTC keinen signifikanten …

Auswirkungen der Zentralisierung der Ösophaguschirurgie in Irland

Die Studie zeigt eindrucksvoll eine Verbesserung der Behandlungsergebnisse von Ösophaguskarzinompatienten in Irland im untersuchten Zeitraum jeweils 11 Jahre vor und nach Zentralisierung. Es bleibt jedoch unklar, inwieweit diese Effekte allein auf …

Patienten mit pHPT und negativer Standardbildgebung oder in der Rezidivsituation profitieren vom präoperativen 18F-Cholin-PET/CT

Die vorliegende multizentrische Registerstudie ist mit 776 Patienten die bislang größte Studie, die die Effektivität der funktionellen Bildgebung (18F-Cholin- und 11C-Methionin-PET/CT) in der präoperativen Lokalisation des pHPT untersucht.

Die SAHARA-Studie: liberale Transfusionsstrategie ohne Outcome-Vorteil bei aneurysmatischer Subarachnoidalblutung

Die aneurysmatische Subarachnoidalblutung ist ein Notfall mit hoher Morbidität und Mortalität [ 2 ]. Eine Anämie tritt bei diesen Patienten häufig auf und ist mit einer erhöhten Rate an Erythrozytenkonzentrattransfusionen, höherer Mortalität und …

Randomisierter Vergleich der onkologischen robotischen vs. laparoskopischen distalen Magenresektion – Ergebnisse einer prospektiven Phase-2-Studie

Die Studie ist insofern bedingt auf westliche Patientenkollektive übertragbar, als dass ausschließlich distale Magenresektionen untersucht wurden. Der Standard der operativen Expertise der beiden Zentrumsoperateure ist zudem schwer in …

Das Stresslevel der Chirurgen beeinflusst Operationskomplikationen

In dieser Studie korrelierte ein erhöhtes Stresslevel invers mit dem Auftreten schwerer postoperativer Komplikationen. Dieses Ergebnis könnte mit dem Yerkes-Dodson-Gesetz erklärt werden: Es beschreibt eine umgekehrt U‑förmige Beziehung zwischen …

Im Spannungsfeld zwischen Blutung und Thrombembolie

  • TAVI
  • Kommentierte Studie

Die internationale, „open-label“, randomisierte, Untersucher-initiierte Nichtunterlegenheitsstudie randomisierte hierzu im Zeitraum von November 2020 bis Dezember 2023 1:1 Patienten mit einer Indikation zur oralen Antikoagulation in 2 Gruppen: …

Myokardrevaskularisation bei NSTEMI – quadratisch, praktisch, „equipoise“?

  • CABG
  • Kommentierte Studie

Dabei wurde die universelle Definition des Myokardinfarkts verwendet, einschließlich der Aktualisierungen aus den Jahren 2007, 2012 und 2018 [ 2 ]. Ein NSTEMI wurde demnach als ein Anstieg und/oder Abfall des kardialen Troponinspiegels (cTn) mit …

Herz-Op. zur Beendung der Antikoagulation?

Bei Vorhofflimmern gilt der interventionelle Verschluss des linken Vorhofohrs als wirksame Therapie. Eine sekundäre Datenauswertung nährt die Hoffnung, dass im Anschluss sogar die orale Antikoagulation beendet werden könnte.

10-Jahres-Ergebnisse der SM-BOSS-Studie zum Roux-Y-Magenbypass vs. Schlauchmagenoperation bei Adipositas

Die Autoren liefern neuartige Daten zum Langzeitverlauf und den Verlauf der SG im Vergleich zum RYGB. Bisher sind derartige vergleichende Daten über 10 Jahre noch nicht publiziert worden. Bereits vorherige Daten lassen vermuten, dass nach einer …

Der weitere Verlauf („natural history“) nach ileoanaler Pouchoperation bei Colitis ulcerosa: Ergebnisse einer populationsbasierten Studie

Die vorliegende Studie stellt einen repräsentativen Querschnitt zum weiteren natürlichen Verlauf nach einer IPAA-Operation vor. Hierbei muss vor allem betont werden, dass bereits im ersten Jahr die Hälfte der Patienten nach IPAA eine …

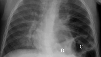
Pulmonale Hypertonie bei angeborener Zwerchfellhernie

Eine angeborene Zwerchfellhernie (CHD) kann Probleme wie eine pulmonale Hypertonie (PH) zur Folge habe. Die vorliegende Studie untersuchte über einen Zeitraum von einem Jahr, wie sich eine PH bei Neugeborenen mit einer CHD entwickelt.

Ist die Radiojodtherapie nach Thyreoidektomie beim „niedrig-risiko“ differenzierten Schilddrüsenkarzinom erforderlich? – 5-Jahres-Ergebnisse der ESTIMABL2-Studie

Es handelt sich um eine sehr gut designte und durchgeführte Multicenterstudie. In der Erstpublikation der ESTIMABL2-Studie [ 1 ] wurde der relativ kurze Nachbeobachtungszeitraum als Limitation genannt. Mit einer nun 5‑jährigen Nahbeobachtung ist …

FLOT versus CROSS beim lokalisierten Adenokarzinom des Ösophagus

Bei lokalisierten Adenokarzinomen des Ösophagus ist die FLOT-Therapie der CROSS-Therapie vorzuziehen. Das 3‑Jahres-Gesamtüberleben lag bei 57,4 % in der FLOT-Gruppe und bei 50,7 % in der CROSS-Gruppe.

Neoadjuvante Oxaliplatin-basierte Chemotherapie vs. primäre Operation beim lokal fortgeschrittenen Kolonkarzinom

Diese Ergebnisse zeigen, dass eine 3‑monatige neoadjuvante Therapie mit mFOLFOX6 oder CAPOX bei Patienten mit lokal fortgeschrittenem Kolonkarzinom in einem signifikanten pathologischen Downstaging und einem potenziell verbesserten Gesamtüberleben …

Ovarialkarzinomprävention durch opportunistische (Gelegenheits‑)Salpingektomie während Bauchoperationen: eine Kosten-Nutzen-Modellierungsstudie

Zu Beginn des neuen Jahrtausends häuften sich wissenschaftliche Beweise für einen extraovariellen Ursprung vieler histologischer Subtypen von Eierstockkrebs. Krebsvorläuferzellen stammen wahrscheinlich aus den Eileitern oder werden durch die …

Zweitmalignom nach CD19-CAR-T-Zell-Therapie

Studien zeigen, das Patient:innen mit B‑Zell-Lymphomen unabhängig von einer etwaigen CAR-T-Zell-Therapie ein erhöhtes Risiko für das Auftreten eines T‑Zell-Lymphoms als Zeitmalignom in Vergleich zur Allgemeinbevölkerung haben [ 5 ]. Ein onkogener …

Heilungswahrscheinlichkeiten nach Resektion des duktalen Adenokarzinoms des Pankreas: eine multiinstitutionelle Analyse von 2554 Patienten

Patienten, die aufgrund eines duktalen Adenokarzinoms des Pankreas operiert werden, können eine Lebenserwartung erreichen, die der allgemeinen Bevölkerung ähnelt. Die Heilungswahrscheinlichkeit steigt mit der Dauer des rezidivfreien Überlebens.

Perioperative Chemotherapie oder neoadjuvante Radiochemotherapie in der multimodalen Therapie des Ösophaguskarzinoms – Ergebnisse der ESOPEC-Studie

Dies ist die erste prospektive Studie, die einen klaren Vorteil einer perioperativen Chemotherapie im Vergleich mit einer neoadjuvanten Radiochemotherapie beim lokal fortgeschrittenen Adenokarzinom des Ösophagus zeigt. Die Ergebnisse der Studie …

Fasziennahtverstärkung nach Medianlaparotomie – der Rein4CeTo1-Trial

Die Rein4CeTo1-Studie war eine randomisierte, kontrollierte Zweizentrenstudie, die die Rate an Narbenhernien nach elektiver Kolorektalchirurgie über eine mediane Laparotomie untersuchte. Die Ergebnisse zeigten, dass die Rate an Narbenhernien in …

Koronarintervention bei chronischem Koronarsyndrom vor Transfemoraler Aortenklappenimplantation (TAVI) – Welche Patienten profitieren?

  • TAVI
  • Kommentierte Studie

Die international angelegte Open-Label-Studie randomisierte hierzu Patienten 1:1 mit der Indikation zum Aortenklappenersatz und gleichzeitig vorliegender stabiler koronarer Herzerkrankung in 2 Gruppen: TAVI in Kombination mit einer …

Robotische vs. laparoskopische Adrenalektomie beim Phäochromozytom

Diese internationale multizentrische Studie zeigte, dass die RA eine sichere und praktikable Alternative zur LA beim Phäochromozytom ist und vergleichbare Ergebnisse in Bezug auf geschätzten Blutverlust, Konversionsrate, Komplikationsrate und CCI …

Lebertransplantation bei nichtresektablen kolorektalen Lebermetastasen

Patientinnen und Patienten mit einem hepatisch metastasierten kolorektalen Karzinom können von einer Lebertransplantation zusätzlich zur Chemotherapie profitieren. Die TransMet-Studie hebt jedoch die kritische Bedeutung einer sorgfältigen Patientenselektion und der Kooperation zwischen verschiedenen medizinischen Disziplinen hervor.

Veränderungen des metabolischen, mikrobiologischen und immunoinflammatorischen Profils nach Sleeve-Gastrektomie und Magenbypass

Die Autoren dieser Studie haben den ersten direkten Vergleich der Mikrobiomentwicklung zwischen RYGB und SG veröffentlicht. Die von den Autoren präsentierten Ergebnisse ähneln bezüglich der Veränderung der α‑ und β‑Diversität der verschiedenen …

Embolisation der Arteria meningea media beim subduralen Hämatom

Chronisch subdurale Hämatome werden konservativ oder operativ behandelt. Trotz erfolgreicher operativer Therapie kann es zu einem Hämatomwachstum oder Rezidiv kommen. Drei Studien untersuchten deshalb den Nutzen der Embolisation der Arteria meningea media. Ist das Verfahren wirksam?

3-D-Rekunstruktion der Leber

Die 3‑D-Rekonstruktion der Leber unterstützt die Planung von Leberoperationen, insbesondere bei Transplantationen wie der Leberlebendspende und komplexen Leberresektionen. Außerdem erhöht sie die Genauigkeit der chirurgischen Resektion durch eine …

Assoziation von alterstypischen strukturellen Veränderungen des Gehirns und Ganzhirnbestrahlung

Diese Studie betrachtet den kognitiven Abbau nach WBRT aus einer neuen Perspektive. Obwohl dieser gut beschrieben ist, ist das Wissen über den tatsächlichen Pathomechanismus immer noch spärlich. Die Autoren bieten den ersten Ansatz zur …

Bösartiger Augentumor früh erkannt

Bei allen Krebsarten zusammengenommen verbessert sich die 5-Jahres-Überlebensrate bei Kindern weltweit stetig. Der häufigste primäre bösartige Orbitatumor bei Kindern ist das embryonale Rhabdomyosarkom - die Prognose steigt, wenn wir …

Ultraschnelle intraoperative Parathormonbestimmung – Ergebnisse einer prospektiven multizentrischen Validierungsstudie

Es handelt sich um eine methodisch aufwendige, multizentrische Validierungsstudie eines neuen IOPTH-Analyzers bei 234 Patient/innen mit HPT, der in 3 Phasen im klinischen Einsatz evaluiert wurde. Durch Modifikationen am Analyzer verbesserten sich …

Lebertransplantation bei irresektablen Darmkrebsmetastasen?

Nur etwa ein Drittel der hepatisch metastasierten kolorektalen Karzinome ist primär chirurgisch resektabel. Für ausgewählte Betroffene könnte eine Lebertransplantation eine verheißungsvolle Option darstellen. Die Ergebnisse einer ersten prospektiven, randomisierten Studie dazu sind in einem Graphic Abstract veranschaulicht.

Laparoskopische vs. robotische Eingriffe in der minimal-invasiven Chirurgie chronisch entzündlicher Darmerkrankungen – Ergebnisse einer Metaanalyse

Die vorliegende Metaanalyse zeigt, dass die robotische Chirurgie bei Patienten mit CED mindestens so gute Ergebnisse liefert wie die laparoskopische Chirurgie, was auf diese Weise die „feasibility and safety“ der robotischen Plattform bei diesem …

Typ-2-Diabetes: Arterielle Komplikationen rückläufig

Gute Nachrichten aus Schweden: Die Inzidenz nicht koronarer arterieller Komplikationen bei Typ-2-Diabetikern hat signifikant abgenommen. Einzige Ausnahme sind die Aortenaneurysmen. Möglicher arterieller Verschluss. © pikselstock / stock.adobe.com …

Eine randomisierte klinische Studie an PatientInnen mit Weichgewebesarkom der Extremitäten. Verglichen wird Strahlentherapie plus Operation mit vs. ohne zusätzlicher Gabe von Pembrolizumab

Die SU2C-SARC032-Studie ist die erste randomisierte Studie, die die Kombination von Strahlentherapie, Checkpointinhibition und Chirurgie bei PatientInnen mit High-risk-Weichgewebesarkomen der Extremitäten untersucht. Die Auswertung zeigt, dass …

Extrakorporaler Life Support (ECLS) – Update 2024

  • ECMO
  • Kommentierte Studie

Die Datenbank der Extracorporeal Life Support Organization ( ELSO ) ist die größte internationale Datenbank zur extrakorporalen Membranoxygenierung bzw. zu ECMO-Verfahren und umfasst sowohl respiratorische (venovenöse bzw. vv-ECMO) als auch …

Ergebnisse der frühzeitigen Operation vs. primärer Endoskopie bei chronischer Pankreatitis: Follow-up-Analyse der ESCAPE-Studie

Die Langzeitergebnisse dieser ESCAPE-Studie zeigen, dass die frühzeitige Operation der primär endoskopischen Therapie bei Patienten mit schmerzhafter chronischer Pankreatitis und einem erweiterten Pankreashauptgang in Bezug auf Schmerzbewertung …

Prognostischer Einfluss der operativen Technik auf das Überleben nach Ösophagektomie und verzögertem Intervall nach Radiochemotherapie

MIE war mit einem verbesserten Gesamtüberleben im Vergleich zur OE bei Patienten mit verlängertem Intervall zwischen Rtx und Operation assoziiert. Mögliche Hypothesen, die diesen Zusammenhang erklären, umfassen die Reduktion postoperativer …

Neoadjuvante FOLFIRINOX-Chemotherapie gefolgt von präoperativer Radiochemotherapie bei Patienten mit lokal fortgeschrittenem Rektumkarzinom 

Zusammenfassend bestätigt die vorliegende multizentrische Studie auf hohem Evidenzniveau, dass die induktive Chemotherapie mit FOLFIRINOX gefolgt von nRCT, Operation und adjuvanter Chemotherapie beim fortgeschrittenen Rektumkarzinom gegenüber der …

Drainage nach D2-Gastrektomie ja oder nein? Ergebnisse der ADIGE-Studie

Die Ergebnisse der ADIGE-Studie liefern prospektiv-randomisierte Daten, dass der Verzicht auf prophylaktische abdominale Drainagen nach Gastrektomie das Risiko für postoperative invasive Eingriffe signifikant erhöht. Ein routinemäßiger Verzicht …

Ein neuer Ansatz für die perioperative Messung des Parathormons zur Feststellung der Heilung bei Patienten mit primärem Hyperparathyreoidismus

Das Miami-Kriterium ist der Goldstandard für die intraoperative PTH-Messung bei PTX. Es bietet eine hohe Genauigkeit und Erfolgsrate, insbesondere bei erfahrenen Chirurgen. Die vorliegende Studie untersuchte die Bedeutung der PTH-Bestimmung kurz …

Erhöhte Körpertemperatur senken oder gar nicht erst ansteigen lassen?

Fieber tritt bei bis zu 90% der schweren Schlaganfälle innerhalb von sieben Tagen auf und verschlechtert die Prognose. Inwieweit kann bei Patientinnen und Patienten mit schwerem Schlaganfall eine präventive Senkung der Körpertemperatur auf der Intensivstation erreicht werden?  Und führt diese Maßnahme zu einer Verbesserung des funktionellen Outcomes?

Bariatrische Operation kann Bedarf an Antihypertensiva reduzieren

Die bariatrische Chirurgie ist eine etablierte Option zur Behandlung von krankhaftem Übergewicht, das häufig zusammen mit Bluthochdruck auftritt. Tatsächlich senkt das Verfahren auch den Bedarf an Antihypertensiva.

Subkutaner Defi + kabelloser Schrittmacher

Ein subkutan implantierter Defibrillator (S-ICD) umgeht Komplikationen transvenöser Sonden, kann allerdings nichts gegen Brady- und Tachykardien ausrichten. Eine sichere neue Option ist die Kombination mit einem kabellosen Schrittmacher. Die …

Effekt der Anpassung der biliopankreatischen Schlinge an die Gesamtlänge des Dünndarms im Vergleich zur standardisierten Schlinge beim Einanastomosenmagenbypass – Ein-Jahresergebnisse der randomisiert controllierten Studie TAILOR

Zunächst ist bei der Beurteilung dieser Studienergebnisse zu beachten, dass es sich um eine Zwischenanalyse bei einem angesetzten Beobachtungszeitraum von insgesamt 5 Jahren handelt. Somit sind keine endgültigen Aussagen zu den primären und …

Kontinuierliche Glukosemessung auch auf der Intensivstation einsetzbar?

Der Einsatz des kontinuierlichen Glukosemonitorings in Echtzeit (rtCGM) wird bei kritisch Kranken auf der Intensivstation von Fachgesellschaften augenblicklich nicht empfohlen. Möglich wäre er aber einer Studie zufolge, die die Durchführbarkeit und Genauigkeit des kontinuierlichen Echtzeit-Glukosemonitoring nach größeren Bauchoperationen untersucht hat.

Die „onkologischen Risiken“ des Organerhaltes beim Rektumkarzinom: Ergebnisse aus zwei internationalen Registern

Die vorliegende Studie lässt vermuten, dass Patienten mit initialer cCR → „watch and wait“ und subsequent durchgeführter Salvage-TME im Falle eines „local regrowth“ ein höheres Risiko für Fernmetastasen haben als Patienten, die bei „near-complete …

Neoadjuvante Therapie mit 177Lu-DOTATATE bei nichtfunktionellen neuroendokrinen Tumoren des Pankreas (NEOLUPANET): eine multizentrische Phase-II-Studie

Diese prospektive Machbarkeitsstudie zeigt, dass die neoadjuvante Behandlung mit 177Lu-DOTATATE bei Patienten mit potenziell resektablem NF-PanNET und hohem Rezidivrisiko sicher und wirksam ist. Die meisten Patienten beendeten alle 4 Zyklen und …

Prävalenz und potenzielle Risikofaktoren für eine lymphatische Metastasierung beim Frühkarzinom des Ösophagus und Magens – Ergebnisse der CONGRESS-Studie

Die Arbeit verdeutlicht erneut, wie sorgfältig die Entscheidung einer reinen endoskopischen Therapie bei Frühkarzinomen des Magens und des Ösophagus abgewogen werden muss. Insbesondere die Tatsache, dass vermeintliche Low-risk-oder …

Konversionstherapien für primär nichtresektable hepatozelluläre Karzinome

In der vorliegenden Analyse zeigte sich die Kombination aus TKI + PD-1 + LRT als diejenige Therapie mit der höchsten Konversionsrate zur chirurgischen Resektion bei mit anderen Therapiekombinationen vergleichbarer Rate an AEs. Durch die Resektion …

Mechanische Unterstützung mit Mikroaxialpumpe reduziert Mortalität im kardiogenen Schock (DanGer-Shock-Studie)

Die DanGer-Shock-Studie hat prospektiv randomisiert den Nutzen der mechanischen Unterstützung (Impella CP) bei Patienten mit kardiogenem Schock gezeigt. Zukünftig müssen nach der Revaskularisation im Katheterlabor die Einschlusskriterien der …

Der GRAFITI-Trial: eine nationale prospektive Studie zur Verlaufsbeobachtung von Patienten mit nicht-intraabdominalen Desmoid-Typ-Fibromatosen

Die GRAFITI-Studie zeigt, dass in dem Beobachtungzeitraum von 34 Monaten zwei Drittel der DTF keine aktive Therapie benötigten und Patienten mit S45F-mutierten Tumoren ein höheres Risiko hatten, eine aktive Therapie starten zu müssen. Dies …

Verbesserung der Betazellfunktion bei Diabetes mellitus Typ 2 durch eine kohlenhydratreduzierte Diät

In dieser kleinen, aber interessanten Studie konnte gezeigt werden, dass bei Patienten mit leichtem und frühem Diabetes mellitus Typ 2 innerhalb von 12 Wochen eine Verbesserung der Funktion der Betazellen nach Absetzen der oralen Antidiabetika …

Zytoreduktive Therapie mit HIPEC und Leberteilresektion bei Patienten mit peritoneal und lebermetastasiertem kolorektalem Karzinom

Diese Studie zeigt, dass Patienten mit kolorektalen Lebermetastasen, bei denen eine zytoreduktive Chirurgie mit HIPEC durchgeführt wird, ein vergleichbares Outcome wie solche mit alleiniger zytoreduktiver Chirurgie mit HIPEC haben. Dies kann auch …

Selektive Stomaanlage nach totaler mesorektaler Exzision bei Rektumkarzinom – ein maßgeschneiderter Ansatz

Die Anlage eines protektiven Stomas zur Stuhldeviation ist nach tiefer Rektumresektion üblich, um die klinischen Folgen einer Anastomoseninsuffizienz abzumildern. Auf der anderen Seite ist ein Deviationsstoma mit einem eigenen Komplikationsprofil …

Bariatrische Operation kann den Bedarf an Antihypertensiva reduzieren

Die bariatrische Chirurgie ist seit vielen Jahren eine Option zur Behandlung von krankhaftem Übergewicht, das häufig zusammen mit Bluthochdruck auftritt. Welchen Einfluss hat das Verfahren auf den anschließenden Bedarf an Antihypertensiva?

Subkutaner Defi in Kombination mit kabellosem Schrittmacher auf dem Prüfstand

In der Studie MODULAR ATP wurde untersucht, ob die Implantation eines Defibrillators und eines kabellosen Schrittmachers eine sichere Option zur Behandlung von Herzrhythmusstörungen ist.

Extendierte mesenteriale Resektion vs. mesenteriumsparende Resektion im Rahmen der Ileozökalresektion bei Morbus Crohn

Die vorliegenden Daten zeigen, dass eine (ausgedehntere) Resektion des Mesenteriums der bisher üblichen und leitlinienkonformen darmwandnahen Skelettierung in Bezug auf das endoskopische Rezidiv 6 Monate nach durchgeführter Operation nicht …

Initiale Hemithyreoidektomie im Vergleich zur totalen Thyreoidektomie bei differenzierten Schilddrüsenkarzinomen mit niedrigem Risiko

Es handelt sich um eine sehr große Datenbankstudie, die wiederum postuliert, dass beim beim differenzierten Schilddrüsenkarzino < 4 cm mit niedrigem Risiko eine Hemithyreoidektomie onkologisch ausreichend ist. In der vorgelegten Studie beträgt …

Fokus Neurochirurgische Intensivmedizin 2022–2024

Die invasive Messung der Hirngewebeoxygenierung (p bt O 2 ) mittels Implantation von Sonden in das Hirnparenchym wird zunehmend bei Patienten mit schwerem Schädel-Hirn-Trauma (SHT) eingesetzt, um bei Auftreten von Episoden einer zerebralen Hypoxie …

Transkatheter-basierte Mitralklappenreparatur mittels Edge-to-Edge-Verfahren versus chirurgischer Mitralklappenoperation bei sekundärer Mitralinsuffizienz

Die Ergebnisse der MATTERHORN-Studie zeigen eine Nichtunterlegenheit der M‑TEER-Verfahrens mit dem MitraClip im Vergleich zur chirurgischen Mitralklappentherapie. Patienten im Alter von 70,5 ± 7,9 Jahren mit einer optimalen medikamentösen Therapie …

Sakralnervenstimulation hilft bei Low-Anterior-Resection-Syndrom

Mit der vorliegenden Arbeit ist erstmals in einem randomisierten Studiendesign ein positiver Effekt der Sakralnervenstimulation (SNS) auf das Low-Anterior-Resection-Syndrom (LARS) belegt. Auch wenn die Effekte gemessen am LARS-Score bezüglich …

POSE-2 für Patienten mit Adipositas: eine sichere und effektive Therapieoption

Die Autoren dieser Studie konnten zeigen, dass mit der POSE-2.0-Intervention innerhalb von 12 Monaten eine Gewichtsabnahme von ca. 15 % erreicht werden kann. Dies entspricht einem kurzfristigen Ergebnis. Ebenfalls nachgewiesen werden konnten die …

CAR-T-Zell-Therapie beim rezidivierten Glioblastom

Die vorliegende Studie zeigt einen neuen Therapieansatz in der Behandlung von rezidivierten Glioblastomen auf, welche bislang trotz multimodaler Therapieansätze eine limitierte Prognose haben. Innovativ ist dabei die intraventrikuläre Applikation …

Optimale Kontrollintervalle für Patienten mit Seitengang-intraduktal papillär-muzinöser Neoplasie (IPMN)

Aufgrund der steigenden Prävalenz von Patienten mit Seitengang-IPMN erscheint die Entwicklung von an das Risiko einer malignen Transformation angepassten Surveillance-Strategien sinnvoll. Durch die vorliegende Arbeit wurden u. a. mit initialer …

Erhöht Gestageneinnahme das Meningeomrisiko?

Das Risiko für Meningeome steigt mit zunehmendem Alter. Risikofaktoren sind unter anderem Strahlenexposition und das weibliche Geschlecht. In einer aktuellen Studie wurde der Zusammenhang zwischen der Exposition gegenüber Gestagenen und der Entstehung von Meningeomen untersucht.

Perioperative Ergebnisse zwischen zervikaler und retrosternaler Struma

Die wichtigste Erkenntnis dieser multizentrischen, retrospektiven Beobachtungsstudie ist, dass die TT bei retrosternaler Struma selbst für sehr erfahrene Chirurgen ein anspruchsvoller Eingriff ist, da sie mit einer signifikant höheren Rate an …

Status quo des operativen Trainings in der Notfallchirurgie in Deutschland

Diese Studie stellt prägnant dar, dass die Ausbildung in der Notfallchirurgie in Deutschland deutlich verbesserungswürdig ist. Die AutorInnen schlagen hier insbesondere Teilschritte wie auch verpflichtende Simulationskurse vor. Grundsätzlich sind …

Risikofaktoren für Major-Morbidität und dauerhafte Stomaanlage nach elektiver Sigmaresektion bei Divertikulitis

Die vorliegende retrospektive, landesweite Kohortenstudie zeigt, dass von 100 Patienten, die elektiv wegen Divertikulitis sigmareseziert werden müssen, ca. 11 bis 12 Patienten eine schwerwiegende Komplikation erleiden und ca. 3 bis 4 Patienten mit …

Langzeitvergleich zwischen oraler und intravenös/oraler Antibiotikatherapie bei der unkomplizierten Appendizitis

Erneut diskutieren wir hier eine multizentrische, prospektiv-randomisierte Studie aus der chirurgischen Allgemeinversorgung. Die Appendizitis „begleitet“ Chirurg:innen während ihres gesamten Berufslebens, und jeder/jede kennt die entsprechenden …

Verhindert Fundoplicatio Barrett-Karzinome?

Ein gastroösophagealer Reflux sollte immer therapiert werden. Hierbei zeigte sich klinisch die Antirefluxoperation mit Fundoplicatio der medikamentösen Therapie mit Protonenpumpeninhibitoren (PPI) überlegen. Jedoch scheint das die Entwicklung von …

Studie zur frühen minimalinvasiven Operation bei intrazerebralen Blutungen

Eine aktuelle Studie untersucht, ob die frühzeitige minimalinvasive Entfernung von intrazerebralen Blutungen zu besseren Ergebnissen führt als die konservative Behandlung. Wie innovativ und effektiv ist diese Technik?

Verbessert die Prähabilitation vor Ösophagektomie das postoperative Outcome?

Die Autoren dieser Metaanalyse schlussfolgern, dass trotz eines Trends die statistische Sicherheit dieser Ergebnisse aufgrund der mangelnden Qualität der untersuchten Daten als gering zu bewerten ist und damit die Evidenz für den Nutzen eines …

Antibiotische Therapie vs. Beobachtung bei unkomplizierter Divertikulitis: Ergebnisse einer Metaanalyse

Die vorliegende Metaanalyse zeigt, dass eine nichtantibiotische Behandlung von klinisch stabilen Patienten mit unkomplizierter Divertikulitis „feasible and safe“ ist. Diese Strategie kann die Dauer des stationären Aufenthaltes verkürzen und geht …

Fast-Track-CABG-Studie

  • CABG
  • Kommentierte Studie

Einfluss der portalen Hypertension auf das postoperative Outcome nach Leberresektionen beim hepatozellulären Karzinom: eine Metaanalyse gematchter Kohorten- und prospektiver Studien

Beim Vorliegen indirekter Anzeichen einer portalen Hypertension zeigte sich das Risiko postoperativer und leberbezogener Komplikationen nicht erhöht. Allerdings besteht, bei Patienten mit einem HVPG ≥ 10 mm Hg, nach erfolgter Leberresektion, ein …

Vaskuläre Komplikationen und 30-Tage-Morbidität bei Patient:innen nach allgemeinchirurgischen Operationen aus dem nichtkardialen Spektrum

Anhand der hier publizierten Studie wird einerseits die Bedeutung prospektiv multizentrisch geführter klinischer Studien zum Wissensgewinn in der Medizin nochmals evident. Andererseits heben die publizierten Daten die besondere Relevanz des …

Verhindert eine Fundoplikatio das Barrett-Karzinom?

Seit der Einführung der laparoskopischen Fundoplikatio und die der PPI-Medikamente diskutieren Chirurginnen und Gastroenterologen: Was ist wohl die bessere Refluxtherapie? Und wie kann die Entstehung eines Adenokarzinoms aus der metaplastischen Barrett-Mukosa verhindert werden? Aus einer aktuellen Studie lassen sich zwei Ergebnisse ableiten.

10-Jahres-Outcome nach Roux-en-Y-Magenbypass vs. Duodenal-Switch bei hohem Body-Mass-Index: eine randomisierte klinische Studie

In dieser Studie zeigte sich in der DS-Gruppe eine wesentlich höhere BMI-Reduktion über die Zeit mit begleitenden positiven metabolischen Effekten, dies jedoch auf Kosten vermehrt nutritiver Defizite aufgrund der Malabsorption und damit …

Neu im Fachgebiet Chirurgie

Prophylaktische Antibiotika bei Nasentamponade ohne erkennbaren Nutzen

Bei immunsupprimierten Patientinnen und Patienten mit Nasentamponade nach anteriorer Epistaxis konnte durch eine prophylaktische Antibiotikagabe keine Reduktion klinisch relevanter Infektionen erzielt werden. Die Rate unerwünschter Arzneimittelwirkungen lag hingegen deutlich über der Infektionsrate.

Periprothetische Infektion: Welches Verfahren beim Prothesenwechsel liegt im Trend?

Eine periprothetische Gelenkinfektion stellt ein erhebliches Mortalitätsrisiko in der Endoprothetik dar. Der Prothesenwechsel kann in einem einzeitigen oder zweizeitigen Verfahren erfolgen. Die Wahl des Verfahrens beeinflusst die Prognose maßgeblich, der Trend geht aber klar in eine Richtung.

Gliome zielgerichtet behandeln mit Vorasidenib

IDH (Isocitrat-Dehydrogenase)-Mutationen sind bei Gliomen im Erwachsenenalter ein wichtiger prognostischer und prädiktiver Faktor und zugleich ein ideales Target für eine zielgerichtete Therapie. Mittlerweile gibt es mit Vorasidenib eine zugelassene Behandlungsoption. 

Bei präoperativer Dyspnoe könnte sich gezieltes Atemtraining lohnen

Eine präoperative Dyspnoe war bei Teilnehmenden eines Prähabilitationsprogramms ein Risikofaktor für suboptimale Ergebnisse nach Op. am Magen-Darm-Trakt. Forschende aus den USA plädieren für ein verstärktes individuelles Atemtraining.

Update Chirurgie

Bestellen Sie unseren Fach-Newsletter und bleiben Sie gut informiert.

Bildnachweise
Hysterektomie/© nkeskin / Getty Images / iStock, Laparoskopischer Eingriff/© Portra / Getty Images / iStock, Angeborene Zwerchfellhernie/© Thater G et al. / all rights reserved Springer Medizin Verlag GmbH, Ein chirurgisches Team führt eine abdominelle Operation durch/© HealthyShot / stock.adobe.com (Symbolbild mit Fotomodell), Subdurales Hämatom im MRT-Befund/© Springer Medizin, Kolorektale Lebermetastase in Segment II, nahe der linken Lebervene (LHV)./© Sucher, E. et al. / all rights reserved Springer Medizin Verlag GmbH, Ärztin auf Intensivstation/© Caiaimage / Martin Barraud / Getty Images / iStock (Symbolbild mit Fotomodell), MRT-Aufnahme Meningeom/© Hey M. et al. doi.org/10.1007/s00106-023-01351-5 unter CC-BY 4.0, Neurologe eilt durch Krankenhausgang/© sudok1 / stock.adobe.com (Symbolbild mit Fotomodell), Short-Segment-Barrett-Ösophagus mit submukosalem Adenokarzinom/© Baumer, S., Pech, O. / all rights reserved Springer Medizin Verlag GmbH, Knochensäge im Einsatz bei Knie-TEP/© Issara / stock.adobe.com (Symbolbild mit Fotomodellen), Hirntumoren sichtbar im MRT/© semnic / Getty Images / iStock (Symbolbild mit Fotomodell), Lungentrainer/© S@photo / stock.adobe.com (Symbolbild mit Fotomodell)