Zum Inhalt
Die Chirurgie

Eine seltene Ursache des akuten Oberbauchschmerzes

Erschienen in:

Auszug

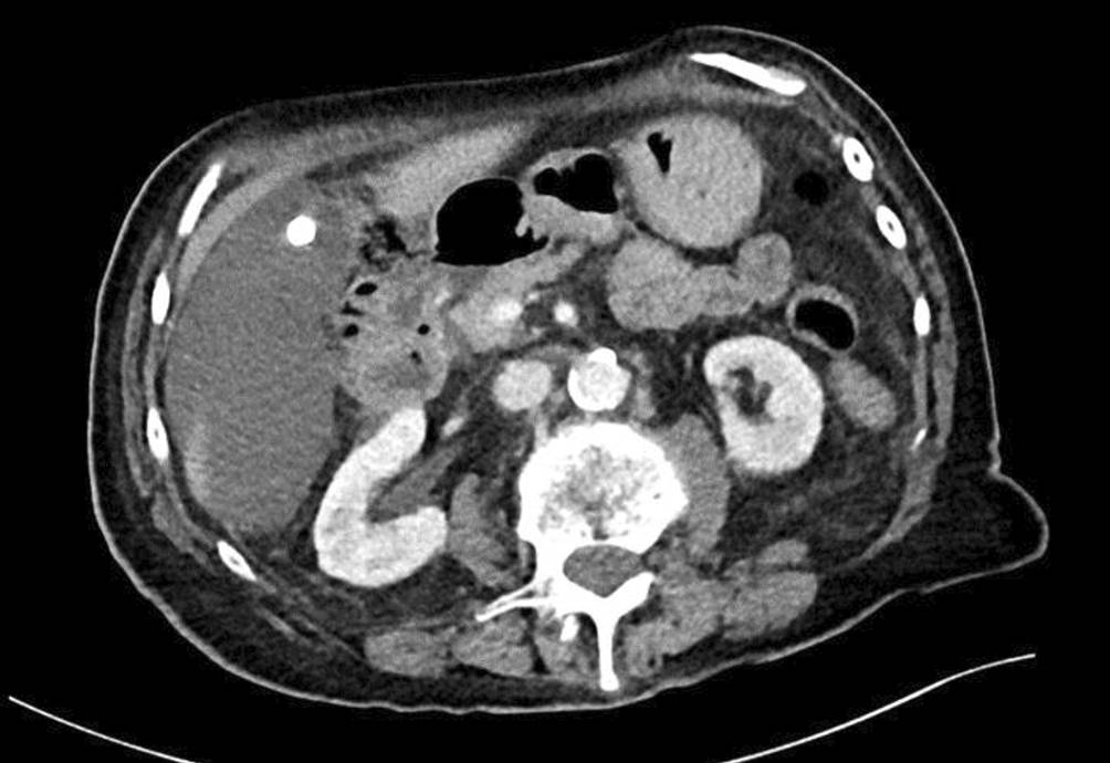
Die Vorstellung der 89-jährigen Patientin erfolgte über die Notaufnahme mit seit der Nacht bestehenden Oberbauchschmerzen und einmaligem Erbrechen. In der klinischen Untersuchung zeigte sich ein deutlicher Druckschmerz im rechten Ober- und Mittelbauch bei nur marginal erhöhten Entzündungswerten und normwertigen Cholestaseparametern. Sonographisch stellte sich ein Gallenblasenhydrops mit begleitender Entzündung und Cholezystolithiasis dar. In der unmittelbar ergänzten Computertomographie des Abdomens wurde der Verdacht auf eine akute Cholezystitis bei Cholezystolithiasis mit Hydrops und möglicher Perforation geäußert (Abb. 1).
Abb. 1
Computertomographie mit Darstellung der vergrößerten Gallenblase, Gallenblasenkonkrement und Umgebungsreaktion
Bild vergrößern
Titel
Eine seltene Ursache des akuten Oberbauchschmerzes
Verfasst von
Dr. med. C. Barz
A. Franke
H. Steffen
K. Ludwig
Publikationsdatum
31.05.2025
Verlag
Springer Medizin
Erschienen in
Die Chirurgie / Ausgabe 10/2025
Print ISSN: 2731-6971
Elektronische ISSN: 2731-698X
DOI
https://doi.org/10.1007/s00104-025-02318-8
Dieser Inhalt ist nur sichtbar, wenn du eingeloggt bist und die entsprechende Berechtigung hast.
Dieser Inhalt ist nur sichtbar, wenn du eingeloggt bist und die entsprechende Berechtigung hast.

Neu im Fachgebiet Chirurgie

Wie Chirurgen durch Missgeschicke zu zweiten Opfern werden

Wenn sich in der Medizin verhängnisvolle Komplikationen oder Fehler ereignen, gibt es neben den betroffenen Patienten oft ein zweites Opfer: die behandelnden Ärztinnen oder Ärzte. Eine dafür besonders anfällige Disziplin ist die Chirurgie.

Wenn die Teestunde in der Notaufnahme endet

Den heißen Tee in der Hand und die Wärmflasche auf dem Bauch: Gerade im Winter bringt man solche Situationen im Allgemeinen mit Wohlbehangen in Verbindung. Ein chirurgisches Team warnt jedoch mit einer Serie von Verbrühungsfällen vor Unachtsamkeit.

Schlechtere Blutungskontrolle mit kryokonservierten Thrombozyten?

In einer australischen Nichtunterlegenheitsstudie waren kryokonservierte Thrombozyten zur Behandlung von Blutungen im Zusammenhang mit einer Herz-Op. hämostatisch weniger wirksam als herkömmliche Konzentrate.

Kommt die Früherkennung von Pankreaskrebs in Sicht?

Späte Diagnose, frühe Tumorstreuung: Menschen mit Pankreaskarzinom haben nach wie vor eine trübe Prognose. In einer Studie ist getestet worden, ob die Flüssigbiopsie helfen könnte, die Situation zu verbessern.

Update Chirurgie

Bestellen Sie unseren Fach-Newsletter und bleiben Sie gut informiert.

Bildnachweise
Arzt stützt sich nachdenklich ab/© Wavebreakmedia / Getty Images / iStock (Symbolbild mit Fotomodell), Mann niest in Ellbogen/© Drazen Zigic / Getty Images / iStock (Symbolbild mit Fotomodell), Titel/© alexandre / Stock.adobe.com (Symbolbild mit Fotomodell), Blutproben in Zentrifuge/© Maksym Yemelyanov / stock.adobe.com