Zum Inhalt

Clinico-Pathologic Conference: Case 1

  • 01.12.2009
  • 63rd Annual Meeting of the American Academy of Oral and Maxillofacial Pathology
Erschienen in:

Auszug

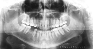
A 42-year-old Caucasian female presented with extreme pain of the right mandible and paresthesia of her right lower lip from the commissure to the midline. The patient reported that sudden severe pain began 4 months earlier in the right mandible. Consultation with a private dentist for the pain resulted in the initiation of endodontic therapy for tooth #30. Subsequent to the completion of root canal treatment on tooth #30, the pain increased and the paresthesia began. Both the pain and paresthesia were non-responsive to a short course of steroids and antibiotics. Tooth #30 was extracted 1 month prior to presentation. Following the extraction, the pain and paresthesia worsened and a “swishing” sound developed in her right ear. Evaluation by otolaryngology was negative. Intraoral and extraoral examinations were unremarkable except for the right lower lip paresthesia. Panoramic (Fig. 1), occlusal (Fig. 2) and periapical radiographs (Fig. 3) were taken at the time of presentation.
Fig. 1
Panoramic radiograph
Bild vergrößern
Fig. 2
Occlusal radiograph
Bild vergrößern
Fig. 3
Periapical radiograph
Bild vergrößern
Titel
Clinico-Pathologic Conference: Case 1
Verfasst von
Maria Fornatora
Amanda H. Yen
Jie Yang
Michael Pliskin
Peter D. Quinn
Publikationsdatum
01.12.2009
Verlag
Humana Press Inc
Erschienen in
Head and Neck Pathology / Ausgabe 4/2009
Elektronische ISSN: 1936-0568
DOI
https://doi.org/10.1007/s12105-009-0141-2
Dieser Inhalt ist nur sichtbar, wenn du eingeloggt bist und die entsprechende Berechtigung hast.

Neu im Fachgebiet Pathologie

Lymphome des Thymus und Mediastinums

Lymphozytenreiche Läsionen machen den Großteil der relevanten Differentialdiagnosen im vorderen Mediastinum aus und umfassen nichtneoplastische und neoplastische Entitäten. Lymphome stellen darunter mit ca. 10–15 % der Fälle eher einen kleinen …

Kombinationslymphome, Grauzonenlymphome und künftige Herausforderungen

Lymphome werden grundlegend in Hodgkin-Lymphome und B‑ und T‑Zell-Lymphome eingeteilt. Ihre Diagnostik beruht auf morphologischen, immunhistochemischen und zunehmend molekularen Methoden. Das klassische Hodgkin-Lymphom ist durch …

KI in der Diagnostik – aus Sicht der Pathologie

Die zunehmende Komplexität und Individualisierung onkologischer Diagnostik und Therapie stellt die Pathologie vor neue Herausforderungen. Gleichzeitig entwickelt sich die Künstliche Intelligenz (KI) von einer Zukunftstechnologie zu einem zentralen …

Räumlich-epidemiologische Datenanalyse von Pathologiedaten (REDPath)

In der pathologischen Routinediagnostik entstehen täglich große, gut dokumentierte Datensätze, deren Potential für räumlich-epidemiologische Analysen bislang kaum genutzt wird. Durch die Annotation dieser Daten eröffnen sich neue Möglichkeiten: …