Zum Inhalt
Gefässchirurgie

Sonographische Bestimmung des Aortenaneurysmadurchmessers

Fehlermöglichkeiten und deren Konsequenzen für Patienten

Erschienen in:

Zusammenfassung

Die exakte Messung des Aortendurchmessers ist wichtig im Screening, in der Bestimmung des Grenzdurchmesser zur Operationsindikation und in der Verlaufskontrolle nach endovaskulärer Aortenreparatur (EVAR). In vielen sonographischen wie auch computertomographischen (CT-) Studien erfolgen die Messungen des Aortendurchmessers nicht einheitlich, und genaue Angaben von Messebene, -achse und -kaliberpositionierung fehlen. Dies führt zu beträchtlichen Interobservervariabilitäten. Der Aortendurchmesser sollte beim Aneurysma orthogonal, achsenunabhängig am breitesten Durchmesser und mit der LELE(„leading-to-leading-edge“)-Methode bestimmt werden, um reproduzierbare und in Studien vergleichbare, reelle Werte zu erhalten. Die systolisch-diastolische Durchmesserschwankung von bis zu 5 mm muss beim Aneurysmawachstum und bei Grenzdurchmessern zur Operationsindikation bedacht werden. Falsche Aneurysmadurchmesserbestimmungen können zu Überdiagnose und Übertherapie mit gravierenden Begleitmorbiditäten für Patienten führen.
Videoclip 1: Im Oberbauchquerschnitt zeigt ein infrarenales AAA einen maximalen Durchmesser von 5,7 mm (vgl. Abb. 1 und 2). Durch Drehen des Transducers auf dieser Stelle von axial in eine orthogonale Schallebene (senkrecht zur Gefäßachse) „schrumpft“ der Durchmesser auf den reellen Wert des AAA, nämlich auf 4,7 mm (keine Operationsindikation).
Videoclip 2: Bei einem AAA ist die herzzyklusabhängige Durchmesserschwankung links im Real-time-B-Bild dargestellt, und rechts ist im Time-motion-Modus die Durchmesserschwankung (systolisch – diastolisch) von fast 4 mm im zeitlichen Verlauf (in a.-p.-Ebene) dokumentiert.
Videoclip 3: Aortenuntersuchung im Screening: Nach axialem Scannen der Aorta von suprarenal bis zur Bifurkation wird bei augenscheinlicher Elongation nach links-lateral der Transducer auf der Aorta am breitesten Durchmesser senkrecht zur Gefäßachse gedreht. Die als Ellipse geschnittene Aorta wird rundlich, und der maximale Durchmesser verkleinert sich von über 4 cm auf reelle 2,9 cm; es liegt also noch eine Ektasie vor.
Videoclip 4: Der in a.-p.-Ebene axial gemessene AAA-Durchmesser von ca. 51 mm reduziert sich in der Längsachse, orthogonal gemessen, ca. auf reelle 46 mm. Das AAA ist nicht elongiert, die Fehlmessung entsteht allein durch den schrägen Verlauf des AAA von dorsal im Oberbauch nach ventral im Mittelbauch (Lendenlordose).
Videoclip 5: Differenzialdiagnose „Aortenulkus“. Von einem AAA ist ein penetrierendes Aortenulkus (pilzförmige Ausstülpung), degenerativ bei Arteriosklerose, mykotisch oder bei einem Morbus Behçet, zu differenzieren. Typischerweise zeigt sich wie bei einer gedeckten Perforation in der Ulkusöffnung eine Pendelströmung zwischen Aortenlumen und Ulkus. Das infrarenale Ulkus ist zunächst im Querschnitt und danach im Längsschnitt dargestellt (A. mesenterica superior ventral der Aorta dargestellt). Befund in der CTA bestätigt mit einem Gesamtdurchmesser (Ulkus + Aortenlumen) von 3,2 cm.
Videoclip 6: Differenzialdiagnose „infrarenale Aortendissektion“. Eine seltene distale infrarenale Aortendissektion (hier bis in die A. iliaca reichend; Darstellung zunächst im Querschnitt, dann im Längsschnitt) kann bei Dilatation und Teilthrombosierung ein ähnliches Bild zeigen wie ein AAA. Typischerweise jedoch ist parallel zur Gefäßwand die dissezierte Intima (Pfeil markiert Dissektionsmembran) sichtbar, und der Verlauf von „entry“ und „reentry“ prägt das Dopplerfrequenzspektrum. Hier ist im „entry“ eine Pendelströmung nachweisbar, ein relevantes „reentry“ ist nicht zu finden, und der Druckaufbau im falschen Lumen führt zur aneurysmatischen Erweiterung (hier ca. 3,4 cm) und in Todwasserzonen zu Thromben.
Videoclip 7: Differenzialdiagnose „Nierenzyste“. Die Differenzierung zwischen einer Nierenzyste und einem an der Gefäßwand anliegenden AAA (Pfeil zeigt Aorta und A. ilaca links) oder einem exzentrischen Iliakalaneurysma (Differenzialdiagnose „gedeckte Perforation“) ist sonomorphologisch und in der Zuordnung zur Niere zu führen. Die Unterscheidung von Zysten kann durch Binnenechos wie hier bei Zysteneinblutung erschwert werden.

Wissenschaftliche Leitung

M. Bischoff, Heidelberg
J. Hoffmann, Essen
A. Oberhuber, Münster

Zusatzmaterial online

Die Onlineversion dieses Beitrags (https://doi.org/10.1007/s00772-020-00733-1) enthält Videos zur sonographischen Bestimmung des Aortenaneurysmadurchmessers. Beitrag und Zusatzmaterial stehen Ihnen auf www.springermedizin.de zur Verfügung. Bitte geben Sie dort den Beitragstitel in die Suche ein, das Zusatzmaterial finden Sie beim Beitrag unter „Ergänzende Inhalte“.

Lernziele

Nach Absolvieren dieser Fortbildungseinheit …
  • wissen Sie, wie die Aorta abdominalis sonographisch untersucht und dargestellt wird.
  • wissen Sie, wie ein abdominales Aortenaneurysma (AAA) unter adäquater Wahl von Messebene, Messachse und Kaliberpositionierung sowie unter Berücksichtigung der pulsatilen Durchmesserschwankungen korrekt vermessen wird.
  • kennen Sie die Fehlermöglichkeiten in der Messung des Aneurysmadurchmessers und können die Konsequenzen in Screeningprogrammen, in der Therapieplanung des AAA und in der Verlaufskontrolle nach endovaskulärer Therapie (EVAR) bewerten und diskutieren.
  • können Sie (wie hier exemplarisch beim AAA dargestellt) die weitreichenden Konsequenzen für Patienten reflektieren und verstehen, die sich aus Messwertdiskrepanzen durch eine unterschiedliche oder gar falsche Messmethodik ergeben, obwohl die Messung eigentlich so simpel erscheint.
Die exakte Bestimmung des maximalen Aortendurchmessers ist in der Aneuryamadiagnostik von großer Bedeutung. Die Ultraschalldiagnostik ist dabei die Methodik der ersten Wahl. Zunächst ist eine exakte Durchmesserbestimmung im Screening des abdominellen Aortenaneurysmas (AAA) notwendig, insbesondere um Screeningteilnehmer durch Überschätzung des Aortendurchmessers mit der Diagnose eines Aneurysmas nicht zu verunsichern.
Zweitens bildet eine exakte Bestimmung des Aneurysmadurchmessers die Basis, um die Rupturgefahr richtig einzuschätzen und die Indikation zur Operation adäquat zu stellen. Grundlage der Indikation zur Intervention beim AAA ist der Vergleich des spontanen Rupturrisikos mit dem Operationsrisiko (eingriffsspezifische Morbidität und Mortalität).
Drittens ist auch in der Verlaufskontrolle nach endovaskulärer Aneurysmaausschaltung (endovascular aortic repair“, EVAR) die Veränderung des Aneurysmarestsackdurchmessers (Schrumpfung oder Wachstum) für weitere diagnostische und interventionelle Schritte von entscheidender Bedeutung.
Da mehr als 90 % der Aortenaneurysmen infrarenal lokalisiert sind, lässt sich durch eine sonographische Screeninguntersuchung bei meist asymptomatischen Patienten das Auftreten von Aneurysmarupturen reduzieren [1, 2]. Weitere Aortenerkrankungen wie Stenose bis hin zum akuten Verschluss (Leriche-Syndrom), Thrombus als Emboliequelle bei peripheren Verschlüssen, Dissektion und Aortitis werden meist aufgrund gezielter Fragestellung bei entsprechender Klinik beurteilt. Die sonographische Diagnostik der Aorta ist nebenwirkungsfrei, rasch durchführbar und kostengünstig. Dadurch wird eine breite Akzeptanz insbesondere im Screening des AAA erreicht. Die Methode hat bei entsprechender Ausbildung des Untersuchers eine steile Lernkurve; sie ermöglicht somit bei adäquatem Untersuchungsprotokoll mit hoher Treffsicherheit auch in der Breite und nicht nur in speziellen Zentren valide Untersuchungsergebnisse.
Allerdings werden in Studien Interobservervarianzen beschrieben, die von 1,3 mm bis 8 mm reichen und meist durch unterschiedliche oder oft nicht standardisierte Messmethoden verursacht sind. In einer Metaanalyse von 9 Studien zu Interobservervariabilität bleiben 5 unter dem von in den Screeningprogrammen im Vereinigten Königreich (UK) und in den USA akzeptierten 5 mm, und 4 lagen zum Teil deutlich darüber (≤10 mm; [2, 3]).
Weil keine Bildgebung bisher verlässliche Daten zu Wandschwäche bzw. lokal degenerativen Wandprozessen mit Rupturpotenzial liefert, bleibt der Aneurysmadurchmesser bisher das einzige gesicherte, prädiktive Maß für eine Aneurysmaruptur. Das Rupturrisiko steigt exponentiell mit Zunahme des Aneurysmadurchmessers. Vor diesem Hintergrund wäre zu erwarten, dass die Messmethode standardisiert und klar definiert ist. Ein Vergleich der Studien (sowohl Vergleichsstudien mit Computertomographie [CT] als auch Screeningstudien sowie Empfehlungen in Guidelines) zeigt jedoch, dass methodisch sehr unterschiedlich vorgegangen wird und oft gar keine Aussage über die Messmethode getroffen wird [4, 5].

Gerätetechnische Voraussetzung und Patientenvorbereitung

Voraussetzung für eine adäquate Aortendarstellung ist aufgrund der anatomischen Lage vor der Wirbelsäule eine adäquate Eindringtiefe. Hierzu werden niedrigfrequente „curved transducer“ mit einer Frequenz von 2–5 MHz verwendet. Bei sehr adipösen Patienten ist eine Frequenzerweiterung bis auf 1 MHz hilfreich.
Die Untersuchung erfolgt in Rückenlage des Patienten bei entspannter Bauchdecke mit Armlagerung parallel zum Körper. Weitere Patientenvorbereitungen sind normalerweise nicht notwendig. Durch dosierten Druck mit dem Schallkopf können störende Darmluftartefakte vermieden werden, weil die beweglichen Darmschlingen von medial nach lateral verdrängt bzw. luftgefüllte Anteile komprimiert werden. Weiterhin führt der dosierte Druck mit dem Transducer auch zu einer Verringerung des Abstands von der Haut zur Aorta und somit durch die geringere Eindringtiefe zu einer verbesserten Bildgebung. Diese Kompression ist lediglich bei voroperierten Patienten mit ausgeprägten Verwachsungen schmerzbedingt eingeschränkt.

Untersuchungsablauf und spezielle Aspekte in der sonographischen Diagnostik des Aortenaneurysmas

Die Aorta wird im Querschnitt vom Zwerchfelldurchtritt bis zur Aortenbifurkation dargestellt, und der maximale Durchmesser (orthogonal) sowie die Konfiguration (fusiform, sakkulär, penetrierendes Aortenulkus) werden beschrieben. In detaillierteren, das Screening ergänzenden Untersuchungen werden in den Aa. iliaca communis, externa und interna im Längs- und Querschnitt die Ausdehnung und die Morphologie stenosierender und dilatativer Gefäßveränderungen beurteilt.
Die Vermessung der Längenausdehnung des Aneurysmas ist für die Operationsindikation nicht relevant und schafft eher Verwirrung im Zahlenspiel. Wichtig sind jedoch die Lokalisation des Aneurysmas mit Angabe von supra- oder infrarenalem Beginn und der infrarenale Abstand von den Nierenarterien sowie die Ausdehnung nach peripher, d. h. die Einbeziehung der A. iliaca communis und evtl. der A. iliaca interna. Neben diesen Angaben sind auch die Beschreibung der Aneurysmakonfiguration, der Halslänge, von intraluminalen Thromben sowie der Verlauf und der Durchmesser der Iliakalgefäße zur Indikationstellung für die Operationsmethode (endovaskuläres Vorgehen, Standard- oder Spezialprothese) relevant. Diese Angaben sind neben der Halskonfiguration und dem Vorliegen intraluminaler Plaque wichtig für die erste Beratung des Patienten hinsichtlich möglicher Therapiealternativen (offenes oder endovaskuläres Vorgehen, Standard- oder Spezialprothese).

B-Bild-Sonographie versus Farbduplexsonographie

In der Screeninguntersuchung des AAA ist die B‑Bild-Sonographie (Grauwertsonographie in Echtzeitdarstellung) die Methode der Wahl. Die Treffsicherheit beträgt nahezu 100 % [2, 3, 6, 7, 8, 9, 10].
Die Aorta wird im B‑Bild orthogonal am größten Durchmesser in anterior-posteriorer (a.-p.) sowie in transversaler Achse gemessen.
Die Farbduplexsonographie ist nur in der Abgrenzung des durchflossenen Lumens von Wandthromben sowie in der Differenzialdiagnose von seltenen Befunden wie z. B. eines inflammatorischen Aortenaneurysmas und einer Aortitis notwendig. Sie erleichtert auch die topographische Zuordnung zu den Nierenarterien sowie bei erheblicher Längsausdehnung den Bezug zum Abgang der A. iliaca interna.
Merke
Die Aorta wird im B‑Bild orthogonal am größten Durchmesser in anterior-posteriorer (a.‑p.) sowie in transversaler Achse gemessen.

Messmethodische Besonderheiten

Das AAA ist eine dreidimensionale Pathologie, oft mit exzentrischer Aussackung und elongiertem, zum Teil gedrehtem Verlauf der Aorta, deren reeller Durchmesser in Schnittbildverfahren zweidimensional möglichst genau und reproduzierbar abgebildet werden muss.
Die vorgestellten Messvarianten werden in verschiedenen Studien zum Teil unterschiedlich eingesetzt, die meisten treffen jedoch nur zu einzelnen Messparametern Aussagen, oder es werden gar keine Angaben zur eingesetzten Messmethode gemacht [4].
Zu einer standardisierten Messung mit Bestimmung des reellen Aneurysmadurchmessers müssen folgende 4 Messparameter sowie die systolisch-diastolische Durchmesserschwankung beachtet werden:
1.
Messebene: Der maximale Durchmesser kann in der axialen Ebene, also senkrecht zum Oberbauchquerschnitt, in der sagittalen Ebene oder orthogonal, also senkrecht zur Achse des Aortenverlaufs, bestimmt werden. Die in den verschiedenen Messebenen erhobenen Messwerte sind oft diskrepant, weil dilatative Prozesse der Aorta oft auch mit einer Elongation einhergehen und die Aorta dabei meist bogenförmig nach links-lateral oder selten auch nach ventral verlagert (Abb. 1 und 2).
 
2.
Messachse: Der maximale Durchmesser kann standardisiert in a.-p.-Achse oder in Transversalachse gemessen werden, oder er kann achsenunabhängig (z. B. schräg getroffen) in der maximalen Ausdehnung bestimmt werden (Abb. 2).
 
3.
Diameterbestimmung als Einzelwert oder Mittelwert: Es kann zwischen einem maximal messbaren Wert in der entsprechenden Achse oder einem Mittelwert aus Messungen in 2 Achsen gewählt werden.
 
4.
Positionierung der Messkaliber: Sie können zur Durchmesserbestimmung entweder von Außenseite zu Außenseite („outer-to-outer edge“, OTO) des Wandreflexes (Außendurchmesser), vom lumennahen zum lumennahen („inner-to-inner edge“, ITI) Wandreflex (Innendurchmesser), in einer Messposition in Wandmitte oder nach der LELE(„leading-to-leading-edge“)-Methode (Außenwandreflex zu Innenwandreflex der Gegenseite) gesetzt werden (Abb. 3).
 
5.
Pulsatile Durchmesserschwankung: Diameterbestimmung in der Systole, in der Enddiastole oder zufällige Messung in der Herzaktion (Abb. 4).
 
Abb. 1
Aortendurchmesser beim abdominalen Aortenaneurysma (AAA) mit Elongation nach links-lateral: Vergleich der axialen Messung im Oberbauchquerschnitt (links Durchmesser/D1 [in schräg transversaler Messachse] von 57 mm → Operationsindikation) mit der orthogonalen Messung, in welcher der Transducer an gleicher Stelle senkrecht zur Gefäßachse gedreht wurde (b/D2 von 47 mm und fast Rundstruktur → keine Operationsindikation). Diese orthogonale Durchmesserbestimmung (rechts) entspricht dem reellen Durchmesser (vgl. Videoclip 1). Der anterior-posteriore (a.-p.) Durchmesser ist gleichbleibend (44 mm bzw. 45 mm in D 3 und D 4)
Bild vergrößern
Abb. 2
Schemazeichnung zur adäquaten Durchmesserbestimmung beim abdominalen Aortenaneurysma (AAA) mit elongiertem Gefäßverlauf: Bei Messung im Abdomenquerschnitt wird durch den schräg geschnittenen Aneurysmasack ein falsch-erhöhter Durchmesser (D1) aus der Ellipsendarstellung ermittelt. Dieser Messwert ist oft auch schwer reproduzierbar, und so entstehen schlechte Inter- und Intraobservervarianzen. Zur adäquaten, auch reproduzierbaren Messung ist der Transducer im maximalen Durchmesserbereich so zu drehen, dass der reelle Aneurysmaquerdurchmesser (D2) senkrecht zur Gefäßachse entsteht (oft Rundstruktur)
Bild vergrößern
Abb. 3
Schematische Darstellung der Messung nach der Außendurchmesserbestimmungs- („outer-to-outer edge“, OTO: schwarze Pfeile), der Innendurchmesserbestimmungs- („inner-to-inner edge“, ITI: weiße Pfeile) und nach der LELE(„leading-to-leading edge“)-Methode (Außenwandreflex zu Innenwandreflex gegenüberliegende Aortenwand: rechter Bildabschnitt), um die sonographische Überschätzung der Gefäßdicke durch den Blooming-Effekt an Grenzfächen mit hohem akustischen Impedanzsprung (wie Gefäßwand/Blut) zu minimieren und zu standardisieren
Bild vergrößern
Abb. 4
Systolisch-diastolische Durchmesserschwankung von systolisch 48 mm auf diastolisch 44 mm im Time-motion-Modus (LELE[„leading-to-leading edge“]-Methode) dargestellt: Im B‑Bild-Querschnitt (rechts) ist der Durchmesser mit 48 mm zufällig in der Systole dargestellt (vgl. Videoclip 2)
Bild vergrößern

Messebene und multiplanare Rekonstruktion

Bis in die frühen Jahre dieses Jahrtausends war die CT-Angiographie (CTA) in axialer Ebene der Goldstandard. In sonograhischen Studien wird meist die axiale Ebene angegeben, in wenigen die longitudinale Ebene, in einigen werden überhaupt keine Angaben gemacht, und in nur sehr wenigen wird angegeben an, dass orthogogonal gemessen wird [2, 4, 5].
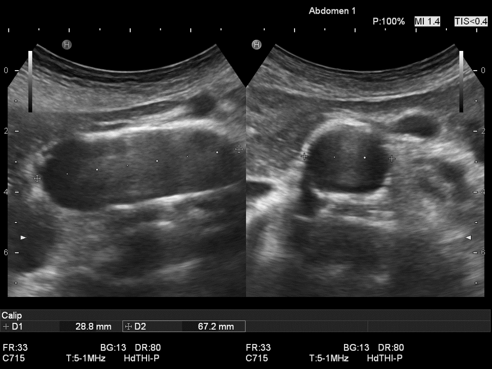
Gravierende Messfehler entstehen durch eine Oberbauchquerschnittmessung in axialer Ebene bei schräg getroffener Aortenachse. Die aneurysmatisch veränderte Aorta neigt mit zunehmender Größe auch zu einer Elongation, die meist zu einem bogenförmigen Verlauf nach links-lateral (Abb. 1), zum Teil auch nach ventral führt (Abb. 5). Der reelle maximale Aortenaneurysmadurchmesser kann sonographisch dann axial nicht adäquat im Oberbauchquerschnitt bestimmt werden. Dies führt, wie übrigens auch bei der axialen CT-Messung, zu einer Ellipsendarstellung mit falsch-hohen Messwerten (bis zu 1–2 cm höher) im Vergleich zum realen, multiplanar gemessenen Aneurysma (Abb. 1 und 5).
Abb. 5
Vergleich einer Messung des maximalen AAA(abdominales Aortenaneurysm)-Durchmessers (Elongation nach ventrolateral) von 62,6 mm (D1) im Abdomenquerschnitt in anterior-posteriorer (a.-p.) Ebene (rechts) mit der Messung in orthogonaler Ebene (senkrecht zur Gefäßachse, hier im Längsschnitt am besten darstellbar [links]): Hier liegt der reelle Aortendurchmesser nur bei maximal 45,5 mm (D4), am Messort der a.-p.-Ebene im Querschnitt beträgt er nur 39,7 mm (D3). Die Messung von 62,1 mm im Querschnitt (rechts) ist im Längsschnitt (links) ebenfalls mit Messkreuzen (D2) markiert. Die Durchmesserbestimmung in der a.-p.-Ebene im rechten Bildabschnitt entspricht der a.-p.-Messung in der Computertomographie (CT) in axialer Ebene (ohne Rekonstruktion)
Bild vergrößern
Wenn sich die Aorta bzw. das AAA axial nicht als Rundstruktur, sondern elliptisch darstellt oder die Lage vor dem Wirbelsäulenreflex nach links und rechts wechselt, muss der Verlauf der Aorta geprüft werden. Bei der häufigen Elongation nach links-lateral muss der Schallkopf im Bereich des maximalen Durchmessers so gedreht werden, dass er senkrecht zum Achsenverlauf der Aorta steht bzw. dass in diesem Bereich die als Ellipse geschnittene Aorta wieder möglichst rund wird (Abb. 1 und 2; Videoclip 1). Bei Elongation der Aorta im Verlauf nach ventral lässt sich der Durchmesser orthogonal am besten in der Sagittalebene messen (Abb. 5).
Dreidimensionale (3-D-) sonographische Messungen oder die Bildfusion von Ultraschall und CT können hilfreich sein, um die Messgenauigkeit v. a. bei Verlaufsuntersuchungen zu erhöhen [11, 12, 13]. In der Bestimmung des maximalen Durchmessers hat die 3‑D-Sonographie im Vergleich zu CT-Messungen jedoch keine signifikante Verbesserung der Messgenauigkeit gegenüber der 2‑D-Sonographie in orthogonaler Messebene [13, 14] erreicht, und es wird eine gute Korrelation der AAA-Durchmesser zwischen 2‑D- und 3‑D-Ultraschall beschrieben [15]. Allerdings können die Aneurysmakonfiguration, das Aneurysmavolumen und das Volumen der Teilthrombosierung exakter bestimmt werden, wodurch sich Vorteile der 3‑D-Sonographie ergeben [15], wenn weitere Untersuchungen zeigen, dass diese Faktoren prognoserelevant für die Rupturgefahr sind.
In Verlaufskontrollen nach EVAR zeigt die 3‑D-Sonographie in Kombination mit kontrastmittelverstärktem Ultraschall („contrast-enhanced ultrasound“, CEUS) Vorteile im Lokalisieren von Endoleaks sowie in der Beurteilung von Ursprung und Therapiewürdigkeit gegenüber dem 2‑D-Ultraschall [14].

Messachse

Für die Einschätzung des Rupturrisikos sollte der maximale Durchmesser achsenunabängig bestimmt werden. Bei der anzustrebenden orthogonalen Ebene wird die axial oft ovaläre Struktur (bei Elongation nach links meist in transversaler Achse) mit Durchmesserüberschätzung zu einer Rundstruktur mit reellem Durchmesser und ohne die Gefahr der Fehlmessung durch die vorgegebene Wahl der Messebene (Abb. 1). Dann erübrigt sich auch die Überlegung bezüglich eines Mittelwertes aus 2 Achsen.

Positionierung der Messkaliber bezüglich Wandreflex

Die beste Kaliberpositionierung (Abb. 3) ist in der Literatur umstritten. Die meisten Autoren von Studien in den 90er-Jahren bis 2010 verwenden den maximalen Außendurchmesser (OTO), der sich in einer der Messachsen zeigt [6, 16, 17, 18, 19, 20], selten auch als Durchschnitt aus a.-p.- und lateralem Diameter [21]. Andere Studien favorisieren den Innendurchmesser [22, 23, 24] oder machen keine Angaben [4, 7].
Vergleichsstudien beschreiben innerhalb einer Messmethode zwar eine relativ gute Inter- und Intraobservervariabilität [25], meist wird jedoch der OTO verwendet und auf die bessere Interobservervariabilität verwiesen [17, 26]. Kontrovers dazu wird der ITI eine bessere Reproduzierbarkeit bescheinigt [6, 23, 27], insbesondere wenn die Untersuchung durch Sonographer geschieht.
Zwangsläufig unterschätzt die ITI-Bestimmung den Durchmesser gegenüber der OTO-Bestimmung um etwa 4 mm [25], im Mittel werden nur 2,7 mm angegeben [6], und erstaunlicherweise wird sogar eine Differenz von 6–7 mm beschrieben [26].
Die normale Aortenwand zeigt anatomisch wie auch in Vergleichsstudien von Magnetresonanzangiographie (MRA) und Ultraschall eine Wanddicke von 1,5–2 mm [28, 29, 30], sodass sich bei Vergleich von ITI zu OTO eine Differenz von rund 4 mm ergeben müsste [31]. Abweichungen davon sind Messfehler infolge der limitierten sonographischen Auflösung in 6–10 cm Eindringtiefe (Haut bis Aorta).
Wenn wie in einigen Studien der Transversaldurchmesser bestimmt wurde, ist die Kaliberpositionierung durch die schlechte Ortsauflösung bei tangentialem Einfall des Schallstrahls auf die Gefäßwand fehlerbehaftet (Abb. 1 und 5). Dies verursacht transversal eine deutlich schlechtere Interobservervariabilität [3, 6, 17].
Aus Messreihen an anderen Gefäßen sowie an Ultraschallphantomen ist bekannt, dass die sog. LELE-Methode die treffsichersten Ergebnisse zeigt (Abb. 3), weil der Blooming-Effekt zu einer Überbetonung von Ultraschallreflexen an Grenzflächen mit hohen akustischen Impedanzsprüngen, wie sie Gefäßwände darstellen, führt [27, 32]. Danach wird vom Außenwandreflex zum gegenüberliegenden Innenwandreflex gemessen, d. h. vom äußeren Beginn des echoreichen Wandreflexes zum lumennahen Reflexpunkt der Gegenseite (Abb. 1 und 3). Ein Vergleich von OTO, ITI und LELE an 127 Patienten bestätigt auch bei Aortenaneurysmen, dass LELE die am besten reproduzierbaren Ergebnisse (geringste Interobservervariabilität) liefert, und zeigt auch die Differenzen in den Messergebnissen: 4,1 mm zwischen OTO und ITI sowie je 2 mm zwischen OTO und LELE bzw. zwischen ITI und LELE [31].
Auch die jüngste deutsche S3-Leitlinie zur Diagnostik und Therapie des AAA empfiehlt inzwischen die LELE-Methode [33] Die Leitlinie der European Society for Vascular Surgery (ESVS; [2]) bietet diese Messmethode jedoch nur als Möglichkeit an und lässt eine Empfehlung offen.

Diameterschwankung in Abhängigkeit vom Herzzyklus

Bei einer exakten Durchmesserbestimmung ist zu bedenken, dass sowohl bei der unauffälligen Aorta als auch beim Aortenaneurysma systolisch-diastolische Durchmesserschwankungen bis zu 5 mm möglich sind (Abb. 4). Kaum eine sonographische Studie geht auf die herzzyklusabhängigen Messwerte ein [34], und in CT-Aufnahmen zu einem zufälligen Zeitpunkt werden diese Schwankungen gar nicht berücksichtigt. Lediglich in wenigen CTA- und MRA-Studien wurde mittels eines speziellen Tracking-Systems insbesondere in Vorbereitungs- oder Verlaufsuntersuchungen bei EVAR über herzzyklusabhängige Schwankungen von 1–5 mm berichtet [35, 36, 37, 38, 39]. Dabei wurde jedoch meist nur der Aneurysmahals für die richtige Wahl von Stentgraftgröße und -design und für die Risikoabwägung einer Stentmigration beurteilt [40]. Eine eigene sonographische Untersuchung zeigt bei 46 AAA am maximalen Aneurysmadurchmesser eine mittlere systolisch-diastolische Schwankung von 2,3 mm (1,1–4,6 mm; [32]). Eine mittlere Differenz von 1,94 mm zwischen Systole und Diastole wurde in einer Auswertung von sonographischen Videoclips festgestellt [34]. Differenzen sowohl in der Verlaufskontrolle als auch im Methodenvergleich lassen sich dadurch erklären. Als hilfreich wird hier eine EKG(Elektrokardiographie)-getriggerte Messung angesehen [41]. Diese ist jedoch weder im Screening noch bei routinemäßigen AAA-Verlaufskontrollen zu fordern oder durchführbar. Bei einer deutlichen Diameterzunahme um mehr als 3 mm in der halbjährlichen Verlaufsuntersuchung sollte jedoch die bei verschiedenen AAA sehr unterschiedliche pulsatile Schwankung in einer systolisch-diastolischen Vergleichsmessung bestimmt werden, die am einfachsten und zuverlässigsten im Time-motion-Modus an der Stelle mit breitestem AAA-Durchmesser in orthogonaler Messebene durchzuführen ist (Abb. 4; Videoclip 2). Bei starker Pulsatilität muss die Diameterzunahme relativiert werden, und statt einer verfrühten Operationsindikation muss diese engmaschig systolisch-diastolisch verlaufskontrolliert werden.
Merke
Bei einer exakten Durchmesserbestimmung ist zu bedenken, dass sowohl bei der unauffälligen Aorta als auch beim Aortenaneurysma systolisch-diastolische Durchmesserschwankungen bis zu 5 mm möglich sind.

Methodenvergleich von Sonographie und Computertomographie

Ein Methodenvergleich zwischen Ultraschall und CT zeigt in Studien zum Teil diskrepante Befunde im Durchmesser des AAA [42, 43], oft verursacht durch das Studiendesign [3, 44, 45]. Messfehler und Messwertdiskrepanzen zum Goldstandard CT entstehen aufgrund einer fehlenden einheitlichen Messmethodik (Außen‑, Innendurchmesser, Messung in Systole oder Diastole, Messebene axial oder orthogonal), und zwar sowohl in CT- als auch Ultraschallstudien.
So enthalten von 23 Ultraschallstudien zum AAA [4] nur 40 % Angaben zur Schallebene, in der gemessen wurde. In lediglich 30 % wird die Positionierung der Messkreuze beschrieben, und nur in 10 % wurde nach der LELE-Methode gemessen.
Diese Auswertung von Ultraschall- und zum Teil CT-Studien ([4]; mit einigen auch älteren Studien, die zur Bestimmung der durchmesserabhängigen Rupturgefahr herangezogen werden) zeigt, wie oft keine oder wenig Angaben zur Messmethode gemacht wurden: Aus 4 Messvariablen (wie u. a. Messebene, Kaliberpositionierung) wurde eine Art Qualitätsscore zur Standardisierung der Studien bzw. zu den Angaben der Messmethodik errechnet. In Screeningstudien liegt der Score durchschnittlich bei 2,52 von möglichen 4 Punkten, in Guidelines zum Screening nur bei 1,66 und in Studien zur Therapieplanung (vorwiegend CT-Studien) nur bei 1,63 [4].
Auch bei CT-Messungen sind Messebene, Messachse und Messkaliberposition (Außen- oder Innendurchmesser) oft nicht definiert [4, 16], und die richtige Messmethodik wird selten diskutiert [46, 47]. Diese fehlende Standardisierung, auch in der CT [47, 48], führt zwangsläufig zu Messergebnissen mit schlechter Reproduzierbarkeit [2, 16, 22, 48], und Interobservervariabilitäten von bis zu 5 mm sind daher auch in der CT keine Seltenheit (in 17 % sogar 5 mm oder mehr; [16]). Wo überhaupt angegeben, erfolgte die Messung meist in axialer, selten in sagittaler und in einigen wenigen Fällen in orthogonaler Ebene [4].
Auffallend ist, dass in den Vergleichsstudien zum Goldstandard CT die Ultraschalldiagnostik oft geringere Werte bei der Bestimmung des maximalen Aortendurchmessers zeigt [16, 43, 49]. Zum Teil ist dies bedingt durch die Positionierung der Messkaliber, oft aber durch die unterschiedliche Wahl der Messebene (CT meist axial, selten orthogonal; [4, 43, 45, 49]). Eindrucksvoll dokumentiert wurde dieses messmethodische Problem 2003 und 2004 in 2 Studien von Sprouse [43, 50]. Der in der CT axial bestimmte Durchmesser ist durchschnittlich um fast 1 cm größer als der mittels orthogonalem Ultraschall gemessene. In einer Folgestudie war die mittlere Abweichung mit 0,8 mm zwischen nun orthogonal rekonstruierten CT-Werten und der Ultraschallmessung nicht signifikant. Der CT-interne Vergleich zeigt die Ursache mit axial (im Mittel 58 mm) signifikant höheren Werten als orthogonal (im Mittel 54,7 mm; p < 0,05). Je größer die aortale Angulation, desto höher war die Überbewertung in der axialen Messung.
Wegen geringerer Untersucherabhängigkeit und geringerer Fehleranfälligkeit durch schlechte Untersuchungsbedingungen wird allgemein die CT als Goldstandard angesehen. Die Diskussion um den gerätetechnischen Goldstandard in der Aneurysmadiagnostik ist bei Betrachtung der oben beschriebenen Messprobleme jedoch zweitrangig; wichtiger ist zunächst die Definition eines „messmethodischen Goldstandards“, nach dem einheitlich gemessen und verlaufskontrolliert wird und mit dem der reelle Aorten- bzw. Aneurysmadurchmesser am exaktesten erfasst wird (LELE-Methode, Messung einheitlich in Systole oder Diastole, orthogonale Messung). Diese messmethodischen Probleme finden nicht nur bei der Ultraschalluntersuchung, sondern auch bei der CT-Messung oft zu wenig Beachtung, sowohl im Alltag als auch in Studien [4].
Cave
Messfehler und Messwertdiskrepanzen zum Goldstandard CT entstehen aufgrund einer fehlenden einheitlichen Messmethodik.

Besondere Brisanz der exakten Durchmesserbestimmung des AAA im Screening

Bei einem Aortendurchmesser zwischen 2 und 3 cm ist von einer Ektasie auszugehen. Ein AAA ist definiert als ein Durchmesser über 3 cm oder eine sprunghafte Verdopplung des Durchmessers. Dies ist insbesondere bei dünnlumigeren Aorten schlankerer, oft weiblicher Personen relevant, bei denen bei Aortendurchmessern von weniger als 1,5 cm bei sprunghafter Verdopplung schon unterhalb von 3 cm von einem AAA auszugehen ist.
Im Rahmen von Screeningprogrammen (männlich, >65 Jahre, 1‑malig) aufgefallene AAA sollten nach Leitlinie bei einem Durchmesser zwischen 3 und 4 cm alle 2 Jahre, zwischen 4 und 5 cm im Verlauf jährlich und zwischen 5 und 5,5 cm halbjährlich kontrolliert werden. Eine fehlerhafte Bestimmung bzw. Überbewertung des Aortendurchmessers führt zur Überdiagnose und ist auch unter ethischen Gesichtspunkten sehr kritisch zu werten, weil die einmal gestellte Diagnose eines Aortenaneurysmas nicht selten zu Verängstigung, Verunsicherung und zur Einschränkung der Lebensqualität führt [2, 51, 52, 53, 54, 55].
Insbesondere bei elongiertem Aortenverlauf (meist nach links-lateral) kann eine axial gemessene, ektatische Aorta fälschlicherweise als Aortenaneurysma (insbesondere bei Messung in transversaler Achse) diagnostiziert werden (Abb. 6; Videoclip 3).
Abb. 6
Ausgeprägte Aortenelongation bei einem Screeningpatienten: Der im Oberbauchquerschnitt gemessene Aortendurchmesser von 68 mm (axiale Ebene, transversale Achse gemessen) „schrumpft“ in orthogonaler Ebene (senkrecht zur Gefäßachse, transversale Achse gemessen) durch Drehen des Transducers auf den reellen Durchmesser von 28 mm (Aortenektasie; vgl. Videoclip 3)
Bild vergrößern
Weil das Aortenaneursma keine maligne Erkrankung ist und auch nicht zwangsläufig zum Aneurysmawachstum oder gar zur Ruptur führt, ist bei den durch vaskuläre Komorbiditäten oft multimorbiden Patienten die Operation von jedem Aneurysma, das nicht zur Ruptur geführt hätte, eigentlich als Übertherapie zu werten. Die evtl. daraus entstandene Morbidität (oder gar Mortalität) ist nach ethischen Gesichtspunkten sehr kritisch zu werten, insbesondere wenn das ganze Prozedere durch Screeningprogramme initiiert wurde, also der Patient gar nicht selbst mit einem Wunsch nach Diagnostik und Therapie an einen Arzt herangetreten ist.
Merke
Bei durch vaskuläre Komorbiditäten oft multimorbiden Patienten ist die Operation von jedem Aneurysma, das überbewertet wurde und nicht zur Ruptur geführt hätte eigentlich als Übertherapie zu werten.
Die Screeningprogramme wurden bei Prävalenzen von 4–8 % (Datenerhebung der großen Multizenterstudien in den 90er-Jahren) bei über 65-jährigen Männern sinnvollerweise ins Leben gerufen [2, 18, 19, 23, 46, 56, 57, 58]. Bei inzwischen nur noch Prävalenzen von 1–2 % [59, 60, 61, 62, 63], v. a. bedingt durch eine geringere Raucherrate in der Bevölkerung, ist ein Screening in Zukunft vor dem Hintergrund der Folgen von Überdiagnosen nochmals selbstkritisch zu überdenken [52]. Insbesondere muss dann in Screeningprogrammen der Aortendurchmesser standardisiert und orthogonal exakt bestimmt und diese Messmethode in Screening-Guidelines publiziert werden. Ansonsten drohen Fehlinterpretationen wie beim Rückgang der Prävalenz von 4–8 % in den großen Multizenterstudien (oft in OTO gemessen; [18, 56, 57, 58]), welche zur Begründung von Screeningprogrammen zitiert wurden, auf 1,1 % in den NAAASP(National Abdominal Aortic Aneurysm Screening Programme)-Daten, die nach ITI gemessen wurden (Daten aus dem umgesetzten britischen Screeningprogramm; [59, 60, 61, 63]).
Aber auch die große Diskrepanz der Prävalenzdaten (4–8 %) kann zum Teil dadurch begründet sein, dass Studien mit unterschiedlichen Messmethoden (Werte bei OTO-Messung ca. 4 mm größer als bei ITI-Messung) arbeiten: Innendurchmesser (ITI) [23, 24] versus dem Außendurchmesser (OTO; [18, 19, 20, 57, 58]).
Screeningergebisse aus skandinavischen Ländern (OTO oder LELE) und Großbritannien (oft von Sonographern gemessener ITI) sind somit schlecht miteinander vergleichbar, und Aortendurchmesser bei Männern von knapp unter 3 cm nach ITI werden im Gegensatz zur rund 4 mm höheren Messung nach OTO nicht als Aneurysma gewertet (ca. 4 %; [6]).
Bei diesen durch die Messmethodik bedingten Diskrepanzen dürfen die Konsequenzen des Screenings nicht noch durch Messfehler verschärft werden: Nach den frühen Programmen in den Jahren von 1990 bis 2004 reduziert das Screening zwar die durch Aneurymaruptur verursachte Mortalität um 38–43 % [64], und die Notfalloperationen nehmen um 43 % ab, es entstehen jedoch auch 44 % mehr elektive Operationen [65]. Die Gesamtmortalität wurde nicht signifikant verändert. Auswertungen jüngerer Screeningdaten aus Schweden finden inzwischen nur noch eine geringe, nicht signifikante Reduktion der AAA-Mortalität. Sie berichten von 2 verhinderten Todesfällen pro 10.000 gescreenten Männern [52]. Andererseits zeigen die Auswertungen späterer Programme ein screeningbedingtes Mortalitätsrisiko (perioperativ) von 1 auf 10.000 zum Screening eingeladenen Männern [51]. Weiterhin werden 43 überdiagnostizierte pro 10.000 gescreente Männer angegeben, und für 19 wird eine vermeidbare Operation eingeräumt [52].

Millimeter entscheiden über die Operationsindikation

Bei einem Aneurysmadurchmesser von mehr als 5,5 cm bei Männern und mehr als 5–5,5 cm bei Frauen ist gemäß Leitlinie [33] von einer Operationsindikation auszugehen. Die Operations- bzw. Interventionsindikation ist geprägt von der Abwägung zwischen dem Spontanverlauf mit Rupturrisiko und der perioperativen Mortalität sowie der eingriffsspezifischen Morbidität.
Metaanalysen und Studien zur Bestimmung des Grenzdurchmessers, der zur Operationsindikation führt [19, 46, 56, 66, 67, 68], zeigen, dass bei Werten unter 5 cm das Perforationsrisiko mit weniger als 1 % pro Jahr zu vernachlässigen ist.
Das Rupturrisiko von Aneurysmen im vieldiskutierten Bereich von 5–6 cm zeigt gemäß Studien [46, 56, 66] starke Schwankungen (zwischen 1 und 11 %), in der Zusammenfassung und kritischen Wertung von Metaanalysen jedoch ein Rupturrisiko von 2–3 % [67, 68]. Bei Werten über 6 cm ist mit einer Rupturgefahr von mehr als 10 % pro Jahr die Operationsindikation durchmesserbezogen unumstritten gegeben (jedoch unter Berücksichtigung der individuellen Komorbiditäten).
Dies zeigt, wie Millimeter (neben Begleiterkrankungen, Operabilität, Operationsmethode, Aneurysmakonfiguration und nicht zuletzt Patientenwille) über eine Operationsindikation entscheiden und wie wichtig die exakte Bestimmung des reellen AAA-Durchmessers ist. Selbst bei gradlinigen Aortenverläufen ohne wesentliche Elongation kann schon der schräge Verlauf vom Zwerchfelldurchtritt bis zu Bifurkation (von dorsal nach ventral) durch die Lendenlordose insbesondere bei schlanken Personen axial v. a. in der a.-p.-Ebene zu Überschätzungen von bis zu 1 cm führen (Abb. 7; Videoclip 4).
Abb. 7
Die durch die Lendenlordose in ihrem Verlauf vom Zwerchfelldurchtritt zur Aortenbifurkation nach ventral verlagerte Aorta führt auch ohne wesentliche Aortenelongation zur Gefahr der Überschätzung des Aneurysmadurchmessers in der anterior-posterioren Messebene. Im Längsschnitt ist der Verlauf beurteilbar, und der Aortendurchmesser muss von axial 50 mm (D3) auf orthogonal reelle 41 mm (D1) korrigiert werden (vgl. Videoclip 4). Neben der Überschätzung des abdominalen Aortenaneurysmas (AAA) kann in axialer Messebene allein durch geringes kraniokaudales Kippen des Transducers auf der Haut eine erhebliche Inter- und Intraobservervariabilität entstehen
Bild vergrößern
Bei der inzwischen favorisierten endovaskulären Therapie wird der Patient von seinem Aneurysmaleiden nicht geheilt, sondern das Aneurysma ist durch die Aortenprothese nur ausgeschaltet. Die bestechend geringe Mortalität von 1–2 % (in wenigen Studien sogar <1 %) gegenüber dem offen-chirurgischen Vorgehen mit 5–7 % [2, 46, 65] wird erkauft mit einer hohen Rate an Spätkomplikationen, insbesondere durch Endoleaks. Ein 5‑Jahres-Follow-up zeigt in bis zu 5 % der Fälle ein gefährliches, interventionsbedürftiges Typ-1-Endoleak [2], in bis zu 3 % ein Typ-3-Endoleak und in 20–40 % ein Typ-2-Endoleak (aus Lumbalarterien oder der A. mesenterica inferior), die in etwa der Hälfte revisionsbedürftig sind. In der Diskussion um die Herabsetzung des Grenzdurchmesser bei geringerer Krankenhausletalität nach EVAR ist zu bedenken, dass durch Spätkomplikationen, insbesondere durch Endoleaks, nach 3 bis 5 Jahren nach EVAR die eingriffsspezifische, frühe Mortalität der offenen Aortenrekonstruktion überschritten wird und dass in Langzeitbeobachtungen über 15 Jahre die durchschnittliche jährliche Rupturrate nach EVAR mit letalem Ausgang bei etwa 2 % [69] und somit nur gering unter der spontanen jährlichen Rupturrate von AAA zwischen 5 und 6 cm liegt [67, 68]. Die Eurostar-Registerstudie berichtet in einer Auswertung über 8 Jahre von einer Interventionsrate von jährlich 5 % meist wegen eines Endoleaks, und es werden durchschnittliche jährliche Rupturraten nach EVAR von 1 % [70, 71] erreicht.
Jüngere Registerdaten aus Deutschland beschreiben in 2018 eine Krankenhausletalität von nur 1,1 % nach EVAR (n = 2800) und 4,7 % offen-chirurgisch (n = 895) beim asymptomatischen AAA [65]. In dieser Registerstudie liegt jedoch der Median bei elektiven Operationen des AAA mittels EVAR bei 5,4 cm (Mittelwert: 5,48 ± 11 cm) und offen-chirurgisch bei 5,5 cm (Mittelwert: 5,63 ± 12,3 cm), also rund 50 % sind bei Messwerten unterhalb des in der Leitlinie vorgegebenen Grenzdurchmessers und 20 % sogar bei Werten unter 5 cm operiert worden; nur 20 % der Eingriffe sind bei einem AAA von mehr als 6 cm vorgenommen worden [65].
Besondere Brisanz erhält dieses Zahlenspiel um die Operationsindikation und die Komplikationen durch die Gefahr der Überbewertung des AAA-Durchmessers, wenn nicht orthogonal gemessen oder wenn einem Aneurysma ein Wachstum unterstellt wurde, das nur durch die systolisch-diastolische Schwankung oder durch fehlende Standardisierung der Messkaliberposition bedingt war.
Die jüngsten europäischen Leitlinien der ESVS [2] formulieren jedoch weiterhin nur, dass die AAA-Messung senkrecht zur Gefäßachse in Betracht gezogen werden kann, sie geben aber immer noch keine Empfehlung.
Weil in Studien zur Rupturgefahr (sowohl in der CT als auch sonographisch) früher oft axial (oder ohne genaue Angaben) gemessen [2, 4], also der Durchmesser gegenüber orthogonal eher überbewertet wurde [18, 19, 46, 67, 68], kann gegenüber der nun konsequent orthogonalen Messung der Grenzdurchmesser zur Rupturgefahr etwas zu klein angesetzt sein.
Über weitere Studien sollte jedoch mit standardisierter orthogonaler Messmethode der Grenzdurchmesser bestimmt werden, der eine Operationsindikation auch unter Abwägung von Spätmorbiditäten und -mortalität nach EVAR rechtfertigt.
Wenn in Studien zur Rupturgefahr die Kaliberpositionierung angegeben wurde, handelte es sich oft um den Außendurchmesser (OTO; [2, 4, 18, 19, 46]), oder es wurden keine genaue Angaben gemacht; der OTO-Messwert liegt natürlich gegenüber der LELE-Methode oder der Messung über den Innendurchmesser (ITI) wie in der MASS-Studie um 2–4 mm höher [23]. Diese unterschiedlichen Messergebnisse haben auch einen gravierenden Einfluss auf die individuelle Operationsindikation, und diese wäre bei der Durchmesserbestimmung nach ITI im Grenzbereich von 5,5 cm im Vergleich zu OTO in fast 10 % der Fälle nicht gestellt worden [6, 44].
Cave
Bei Prüfung der Operationsindikation und der Komplikationen besteht die Gefahr der Überbewertung des AAA-Durchmessers:
  • wenn nicht orthogonal gemessen wurde oder – wenn einem Aneurysma ein Wachstum unterstellt wurde, das nur durch die systolisch-diastolische Schwankung oder durch fehlende Standardisierung der Messkaliberposition bedingt war.

Restsackdurchmesser nach EVAR: therapierelevantes Endoleak?

Die Behandlungsbedürftigkeit von Typ-2-Endoleaks wurde in den letzten 20 Jahren kontrovers diskutiert [72, 73]. Langzeitverlaufsbeobachtungen sowie Reviews zeigen aber auch noch Jahre nach EVAR ein Auftreten von Endoleaks mit Restsackwachstum und eine Rupturrate bis 2 % jährlich [69], in einzelnen Studien sogar bis 5,4 % [74, 75, 76]. Metaanalysen an über 5000 eingeschlossenen Patienten nach EVAR ergaben, dass über 6 Monate bzw. 12 Monate persistierende Endoleaks und eine Zunahme des Restsacks von mehr als 5 mm im Verlauf einer Intervention zum Endoleak-Verschluss bedürfen [2, 77, 78]. Kleine Typ-2-Endoleaks ohne Wachstum des Restsacks können engmaschig verlaufsbeobachtet werden und verschließen sich zum Teil selbst [2].
Nicht nur ist die exakte und reproduzierbare Restsackvermessung nach EVAR Grundlage der Entscheidung über die weitere Diagnostik und Reintervention, sondern ein mangelndes Schrumpfen im ersten Jahr nach EVAR ist auch prognostisch negativ zu werten bzw. zeigt im weiteren Verlauf eine hohe Endoleak-Rate mit höherer Reinterventionsrate (Komplikationen und Rupturgefahr; [79]). Dagagen führt ein anfänglich deutliches Schrumpfen des Restsacks um mehr als 5 mm zu einer signifikant geringeren Endoleak-Rate auch im weiteren Verlauf [80].
Die Entwicklung des Restsackdurchmessers ist Ausdruck von Druckverhältnissen, und somit kann ein Endoleak, abhängig von seiner Größe, zu einer Dilatation (bis zur Ruptur) durch den persistierenden oder steigenden Druck im Restsack führen.
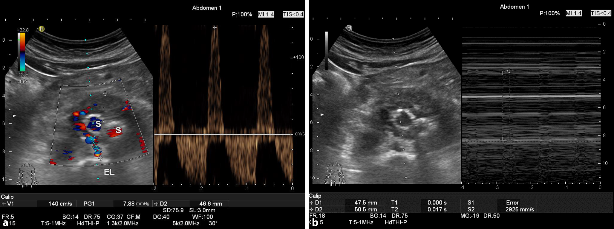
Neben Versuchen, die Therapierelavanz durch die systolische Spitzengeschwindigkeit („peak systolic velocity“, PSV) ostiumnah in High-flow- und Low-flow-Endoleaks (Abb. 8a) zu quantifizieren [81], kann auch die im Time-motion-Modus nachgewiesene Pulsation im Restsack als Ausdruck des Druckaufbaus im Restsack durch ein therapiebedürftiges Endoleak gewertet werden (Abb. 8b).
Abb. 8
a High-flow-Endoleak, farbduplexsonographisch dargestellt mit einer systolischen Spitzengeschwindigkeit („peak systolic velocity“, PSV) von >140 cm/s im Dopplerfrequenzspektrum (S Stentbeinchen) mit typischer Pendelströmung aus einer Lumbalarterie. b Die systolisch-diastolische Pulsation von >3 mm im Aneurysmarestsack drückt den Druckaufbau durch ein therapiebedürftiges Endoleak in einem durch EVAR („endovascular aortic repair“) ausgeschalteten AAA aus (Darstellung wie in a, nur etwas weiter kranial)
Bild vergrößern
Merke
Noch Jahre nach EVAR treten Endoleaks mit Restsackwachstum und einer Rupturrate (tödlich verlaufend) von bis zu 2 % jährlich auf.
Fehlende Pulsationen des Restsacks sind insbesondere bei kleinen Endoleaks nicht selten, Pulsationen drücken jedoch einen Druck im Restsack aus und signalisieren eine Therapierelevanz.
In der obligaten halbjährlichen sonographischen Verlaufsbeobachtung ist bei einem schrumpfenden Restsack ein therapierelevantes Endoleak ausgeschlossen. Bei Zunahme des Aneurysmarestsacks ist von einem relevanten Endoleak auszugehen (außer Endotension), und das Endoleak muss mit allen diagnostischen Möglichkeiten gesucht und hinsichtlich seiner Rupturgefahr bewertet werden. Stufendiagnostisch ist zunächst mittels farbkodierter Dopplersonographie (FKDS) zu suchen, bei fehlendem Endoleak-Nachweis mit CEUS und bei weiter unklarem Befund mit CTA. Nach primärer Schrumpfung nach EVAR kommt es später oft zu einem reduzierten, aber dann nicht mehr wesentlich schrumpfenden Durchmesser. Bei fehlender primärer Schrumpfung kann ein gleichbleibender Durchmesser Ursache eines kleinen Endoleaks sein, das gesucht und prognostisch bewertet werden muss (PSV im Endoleak, Endoleaktyp und Größe mit CEUS; [32, 81]).
Dieses differenzierte Vorgehen auf Basis der exakten Bestimmung des Restsackdurchmessers ist nur bei standardisierter, orthogonaler Messung mit methodisch, gerätetechnisch und personell nachgewiesener guter Reproduzierbarkeit möglich.

Differenzialdiagnose

Differenzialdiagnostisch müssen retroperitoneale Prozesse wie eine retroperitoneale Fibrose, Lymphome oder insbesondere am unteren Nierenpol gelegene Nierenzysten mit Kontakt zur Aorta oder zu Iliakalarterien beachtet werden, ebenso wie dilatative Prozesse bei Aortitis mit Wandverdickung oder einer distalen Aortendissektion oder einem penetrierenden Aortenulkus (Videoclips 5–7). Die Wandverdickung beim inflammatorischen Aortenaneurysma lässt sich vom AAA mit intraluminalem Thrombus differenzieren, indem versucht wird, die Intima durch sklerosebedingte Wandechos (Abb. 9) oder Plaque zu lokalisieren [32].
Abb. 9
Bei Bestimmung des Aortendurchmessers ist die Wandverdickung beim inflammatorischen Aortenaneurysma anhand der echoreichen Reflexe der Intima mit Sklerose und Plaque von einem Aneurysma mit wandständigem Thrombus (innerhalb der Intima) zu differenzieren. Zur hier ausnahmsweise gezeigten Innendurchmesserbestimmung („inner-to-inner edge“, ITI) sollten (Risikoabschätzung) die inflammatorisch bedingte Wandverdickung (hier 9 mm) und die Messmethode angegeben werden
Bild vergrößern
Die hier gezeigten Prinzipien und Messfehlermöglichkeiten bei der Bestimmung des Aortendurchmessers gelten auch für die Durchmesserbestimmung aller Gefäße und sind insbesondere auch für die Bestimmung des Flussvolumens bei arteriovenösen (AV-) Fisteln relevant.

Fazit für die Praxis

  • Sowohl die Methode zur Messung des Aortendurchmessers als auch die Messebene müssen in Ultraschallmessungen und auch in der Computertomographie (CT) standardisiert sein, um Vergleichs- und valide Verlaufsuntersuchungen zu ermöglichen.
  • Der Aortendurchmesser sollte in der Aneurysmadiagnostik orthogonal (senkrecht zur Gefäßachse) im breitesten Durchmesser (achsenunabhängig) mit der LELE(„leading-to-leading edge“)-Methode bestimmt werden, um reproduzierbare und in Studien vergleichbare, reelle Werte zu erhalten.
  • Die Sonographie zeigt bei dieser standardisierten Messmethode auch im Methodenvergleich zur CT valide, reproduzierbare Ergebnisse und ist für Screeninguntersuchungen zum abdominalen Aortenaneurysma (AAA) die Methode der Wahl.
  • Bei grenzwertigen Befunden, sowohl im Screening als auch in der Operationsindikation, und bei rascher Diameterzunahme in der Verlaufskontrolle sollte die systolisch-diastolische Schwankung bestimmt werden, um die gemessene Diameterschwankung adäquat zu bewerten.
  • Die exakte Bestimmung des Aortendurchmessers ist enorm wichtig, um im Screening eine verunsichernde Überdiagnose zu vermeiden und um bei größeren AAA das Rupturrisiko adäquat abzuschätzen und eine Übertherapie mit beträchtlichen Komplikationsmöglichkeiten zu vermeiden.
  • Viele Studien versuchen zu evaluieren, welche Messebene, welche Messachse und welche Positionierung der Messkaliber die besten Interobservervariabilitäten zeigt. Bei der zur Ermittlung des reellen Aortendurchmessers notwendigen orthogonalen Messung erübrigen sich viele Fragestellungen zur Messachse, und achsenbedingte Messfehler werden reduziert. Ultraschallphänomene drängen zur LELE-Kaliberpositionierung.

Einhaltung ethischer Richtlinien

Interessenkonflikt

Gemäß den Richtlinien des Springer Medizin Verlags werden Autoren und Wissenschaftliche Leitung im Rahmen der Manuskripterstellung und Manuskriptfreigabe aufgefordert, eine vollständige Erklärung zu ihren finanziellen und nichtfinanziellen Interessen abzugeben.

Autoren

W. Schäberle: A. Finanzielle Interessen: W. Schäberle gibt an, dass kein finanzieller Interessenkonflikt besteht. – B. Nichtfinanzielle Interessen: Viszeral- und Gefäßchirurg, Oberarzt, Alb-Fils-Kliniken, Göppingen | Mitgliedschaften: DGG, DEGUM, DGAV, Ultraschallkommission der DGG (Vorsitzender), DEGUM (erweiterter Vorstand), Herausgeberboard Zeitschrift Gefässchirurgie, Qualitätssicherungskommission der KV.

Wissenschaftliche Leitung

Die vollständige Erklärung zum Interessenkonflikt der Wissenschaftlichen Leitung finden Sie am Kurs der zertifizierten Fortbildung auf www.springermedizin.de/cme.

Der Verlag

erklärt, dass für die Publikation dieser CME-Fortbildung keine Sponsorengelder an den Verlag fließen.
Für diesen Beitrag wurden vom Autor keine Studien an Menschen oder Tieren durchgeführt. Für die aufgeführten Studien gelten die jeweils dort angegebenen ethischen Richtlinien.
Open Access Dieser Artikel wird unter der Creative Commons Namensnennung 4.0 International Lizenz veröffentlicht, welche die Nutzung, Vervielfältigung, Bearbeitung, Verbreitung und Wiedergabe in jeglichem Medium und Format erlaubt, sofern Sie den/die ursprünglichen Autor(en) und die Quelle ordnungsgemäß nennen, einen Link zur Creative Commons Lizenz beifügen und angeben, ob Änderungen vorgenommen wurden.
Die in diesem Artikel enthaltenen Bilder und sonstiges Drittmaterial unterliegen ebenfalls der genannten Creative Commons Lizenz, sofern sich aus der Abbildungslegende nichts anderes ergibt. Sofern das betreffende Material nicht unter der genannten Creative Commons Lizenz steht und die betreffende Handlung nicht nach gesetzlichen Vorschriften erlaubt ist, ist für die oben aufgeführten Weiterverwendungen des Materials die Einwilligung des jeweiligen Rechteinhabers einzuholen.
Weitere Details zur Lizenz entnehmen Sie bitte der Lizenzinformation auf http://creativecommons.org/licenses/by/4.0/deed.de.
download
DOWNLOAD
print
DRUCKEN
Titel
Sonographische Bestimmung des Aortenaneurysmadurchmessers
Fehlermöglichkeiten und deren Konsequenzen für Patienten
Verfasst von
Dr. W. Schäberle
Publikationsdatum
26.11.2020
Verlag
Springer Medizin
Erschienen in
Gefässchirurgie / Ausgabe 8/2020
Print ISSN: 0948-7034
Elektronische ISSN: 1434-3932
DOI
https://doi.org/10.1007/s00772-020-00733-1

Caption Electronic Supplementary Material

Videoclip 1: Im Oberbauchquerschnitt zeigt ein infrarenales AAA einen maximalen Durchmesser von 5,7 mm (vgl. Abb. 1 und 2). Durch Drehen des Transducers auf dieser Stelle von axial in eine orthogonale Schallebene (senkrecht zur Gefäßachse) „schrumpft“ der Durchmesser auf den reellen Wert des AAA, nämlich auf 4,7 mm (keine Operationsindikation).
Videoclip 2: Bei einem AAA ist die herzzyklusabhängige Durchmesserschwankung links im Real-time-B-Bild dargestellt, und rechts ist im Time-motion-Modus die Durchmesserschwankung (systolisch – diastolisch) von fast 4 mm im zeitlichen Verlauf (in a.-p.-Ebene) dokumentiert.
Videoclip 3: Aortenuntersuchung im Screening: Nach axialem Scannen der Aorta von suprarenal bis zur Bifurkation wird bei augenscheinlicher Elongation nach links-lateral der Transducer auf der Aorta am breitesten Durchmesser senkrecht zur Gefäßachse gedreht. Die als Ellipse geschnittene Aorta wird rundlich, und der maximale Durchmesser verkleinert sich von über 4 cm auf reelle 2,9 cm; es liegt also noch eine Ektasie vor.
Videoclip 4: Der in a.-p.-Ebene axial gemessene AAA-Durchmesser von ca. 51 mm reduziert sich in der Längsachse, orthogonal gemessen, ca. auf reelle 46 mm. Das AAA ist nicht elongiert, die Fehlmessung entsteht allein durch den schrägen Verlauf des AAA von dorsal im Oberbauch nach ventral im Mittelbauch (Lendenlordose).
Videoclip 5: Differenzialdiagnose „Aortenulkus“. Von einem AAA ist ein penetrierendes Aortenulkus (pilzförmige Ausstülpung), degenerativ bei Arteriosklerose, mykotisch oder bei einem Morbus Behçet, zu differenzieren. Typischerweise zeigt sich wie bei einer gedeckten Perforation in der Ulkusöffnung eine Pendelströmung zwischen Aortenlumen und Ulkus. Das infrarenale Ulkus ist zunächst im Querschnitt und danach im Längsschnitt dargestellt (A. mesenterica superior ventral der Aorta dargestellt). Befund in der CTA bestätigt mit einem Gesamtdurchmesser (Ulkus + Aortenlumen) von 3,2 cm.
Videoclip 6: Differenzialdiagnose „infrarenale Aortendissektion“. Eine seltene distale infrarenale Aortendissektion (hier bis in die A. iliaca reichend; Darstellung zunächst im Querschnitt, dann im Längsschnitt) kann bei Dilatation und Teilthrombosierung ein ähnliches Bild zeigen wie ein AAA. Typischerweise jedoch ist parallel zur Gefäßwand die dissezierte Intima (Pfeil markiert Dissektionsmembran) sichtbar, und der Verlauf von „entry“ und „reentry“ prägt das Dopplerfrequenzspektrum. Hier ist im „entry“ eine Pendelströmung nachweisbar, ein relevantes „reentry“ ist nicht zu finden, und der Druckaufbau im falschen Lumen führt zur aneurysmatischen Erweiterung (hier ca. 3,4 cm) und in Todwasserzonen zu Thromben.
Videoclip 7: Differenzialdiagnose „Nierenzyste“. Die Differenzierung zwischen einer Nierenzyste und einem an der Gefäßwand anliegenden AAA (Pfeil zeigt Aorta und A. ilaca links) oder einem exzentrischen Iliakalaneurysma (Differenzialdiagnose „gedeckte Perforation“) ist sonomorphologisch und in der Zuordnung zur Niere zu führen. Die Unterscheidung von Zysten kann durch Binnenechos wie hier bei Zysteneinblutung erschwert werden.
1.
Zurück zum Zitat Hyhlik-Dürr A, Debus S, Eckstein HH et al (2011) Ultrasound screening in abdominal aortic aneurysm—numbers, data, facts. Zentralbl Chir 136(4):390
2.
Zurück zum Zitat Wanhainen A, Verzini F, Van Herzeele I et al (2019) European society for vascular surgery (ESVS) 2019 clinical practice guidelines on the management of abdominal aorto-iliac artery aneurysma. Eur J Vasc Endovasc Surg 57:8–93PubMed
3.
Zurück zum Zitat Beales L, Wolstenhumlme S, Evans JA et al (2011) Reproducibility of ultrasound measurement of abdominal aorta. Br J Surg 98(11):1517–1525PubMed
4.
Zurück zum Zitat Long A, Rouet L, Lindholdt JS, Allaire E (2012) Measuring the maximum diameter of native abdominal aortic aneurysms: review and critical analysis. Eur J Vasc Endovasc Surg 43:515–521PubMed
5.
Zurück zum Zitat Carino D, Sarac T, Ziganshin B et al (2018) Abdominal aortic aneurysm: evolving controversies and uncertainties. Int J Angiol 27:58–80PubMedPubMedCentral
6.
Zurück zum Zitat Harthorne TC, McCollum CN, Earnshaw JJ et al (2011) Ultrasound measurement of aortic diameter in a national screening programme. Eur J Vasc Endovasc Surg 42(2):195–199
7.
Zurück zum Zitat Lindholdt JS, Vammen S, Juul S et al (1999) The validity of ultrasonographic scanning as screening method for abdominal aortic aneurysm. Eur J Vasc Endovasc Surg 17(6):472–475
8.
Zurück zum Zitat Vidakovic R, Feringa HH, Kuiper RJ et al (2007) Comparison with computed tomography of two ultrasound devices for diagnosis of abdominal aortic aneurysm. Am J Cardiol 100(12):1786–1791PubMed
9.
Zurück zum Zitat Mastracci TM, Ciná CS (2007) Screening for abdominal aortic aneurysm in Canada: review and position statement of the Canadian society for vascular surgery. J Vasc Surg 45(6):1268–1276PubMed
10.
Zurück zum Zitat Thanos J, Rebeira M, Shragge BW, Urbach D (2008) Vascular ultrasound screening for asymptomatic abdominal arotic aneurysm. Health Policy 4(2):75–83
11.
Zurück zum Zitat Bredahl K, Taudorf M, Long A et al (2013) Three-dimensional ultrasound improves the accuracy of diameter measurement of the residual sac in EVAR patients. Eur J Vasc Endovasc Surg 46(5):525–532PubMed
12.
Zurück zum Zitat Pfister K, Kasprzak P, Apfelbeck H, Schäberle H et al (2014) Hochauflösende 3‑D-Sonographie und Bildfusion mit der CT-Angiographie – Herausforderungen und Möglichkeiten. Gefässchirurgie 19:422–428
13.
Zurück zum Zitat Bredahl K, Sandholt B, Lonn L et al (2015) Three-dimensional ultrasound evaluation of small asymptomatic abdominal aortic aneurysms. Eur J Vasc Endovasc Surg 49:289–296PubMed
14.
Zurück zum Zitat Lowe C, Ghulam Q, Bredahl K et al (2016) Three-dimensional ultrasound in the management of abdominal aortic aneurysm: a topical review. Eur J Vasc Endovasc Surg 52:466–474PubMed
15.
Zurück zum Zitat Long A, Rouet L, Debreuve A et al (2013) Abdominal aortic aneurysm imaging with 3‑D ultrasound: 3‑D-based maximum diameter measurement and volume quantification. Ultrasound Med Biol 39:1325–1336PubMed
16.
Zurück zum Zitat Lederle FA, Wilson SE, Johnson GR et al (1995) For the abdominal aortic aneurysm detection and management veterans administration cooperativ study group. Variability in measure of abdominal aortic aneurysms. J Vasc Surg 21:945–952PubMed
17.
Zurück zum Zitat Ellis M, Powell JT, Greenhalgh RM (1991) Limitations of ultrasonography in surveillance of small abdominal aortic aneurysms. Br J Surg 78(5):616–616
18.
Zurück zum Zitat Lindholt JS, Juul S, Fasting H et al (2004) Screening for abdominal aortic aneurysm: single center randomized controlled trial. BMJ 330:1259–1262
19.
Zurück zum Zitat The UK Small Aneurysm Trial Participants. (1998) Mortality results for randomised controlled trial of early elective surgery or ultrasonographic surveillance for small abdominal aortic aneurysms. Lancet 352:1649–1655
20.
Zurück zum Zitat Pleumeekers HJ, Hoes AW, Mulder PG et al (1998) Differences in observer variability of ultrasound measurement of the proximal and distal aorta. J Med Screen 5(2):104–108PubMed
21.
Zurück zum Zitat Zöllner N, Zoller WG, Spengel F et al (1991) The spontaneous course of small abdominal aortic aneurysms. Aneurysmal growth rates and life expectancy. Klin Wochenschr 69:633–639PubMed
22.
Zurück zum Zitat Grimshaw GM, Docker MF (1992) Accurate screening for abdominal aortic aneurysm. Clin Phys Physiol Meas 13:135–138PubMed
23.
Zurück zum Zitat Multicentre Aneurysm Screening Study Group (2002) The multicentre aneurysm screening study (MASS) into the effect of abdominal aortic aneurysm screening on mortality in men: a randomized controlled trial. Lancet 360:1531–1539
24.
Zurück zum Zitat Lanne T, Sandgren T, Mangell P et al (1997) Improved reliability of ultrasonic surveillance of abdominal aortic aneurysms. Eur J Vasc Endovasc Surg 13(2):149–153PubMed
25.
Zurück zum Zitat Chiu KW, Ling L, Tripathi V et al (2014) Ultrasound measurement for abdominal aortic aneurysm screening: a direct comparison of the three leading methods. Eur J Vasc Endovasc Surg 47(4):367–373PubMed
26.
Zurück zum Zitat Thapar A, Cheal D, Hopkins T et al (2010) Internal or external wall diameter for abdominal aortic aneurysm screening? Ann R Coll Surg Engl 92:503–505PubMedPubMedCentral
27.
Zurück zum Zitat Borgbjerg J, Bogsted M, Lindholt J et al (2018) Superior reproducibility of the leading to leading edge and inner to inner edge methods in the ultrasound assessment of maximum abdominal aortic diameter. Eur J Vasc Endovasc Surg 37:3213–3221
28.
Zurück zum Zitat Li AE, Kamel I, Rando F et al (2004) AJR using MRI to assess aortic wall thickness in the multiethnic study of atherosclerosis: distribution by race, sex, and age. AJR Am J Roentgenol 182:593–597PubMed
29.
Zurück zum Zitat Timaran C, Rosero E, Clagett P et al (2006) Noninvasive vascular imaging: ultrasound and MRI abstract 2423: abdominal aortic wall-thickness by magnetic resonance imaging and cardiovascular disease in a multi-ethnic population-based study. Circulation 114:498
30.
Zurück zum Zitat Arko FR, Murphy EH, Davis CM 3rd et al (2007) Dynamic geometry and wall thickness of the aortic neck of abdominal aortic aneurysms with intravascular ultrasonography. J Vasc Surg 46:891–896 (discussion 896–7)PubMed
31.
Zurück zum Zitat Gürtelschmid M, Björck M, Wanhainen A (2014) Comparison of three ultrasound methods of measuring the diameter of the abdominal aorta. Br J Surg 101:633–636PubMed
32.
Zurück zum Zitat Schäberle W (2018) Ultrasonography in vascular diagnosis, 3. Aufl. Springer, Heidelberg, Berlin, S 423–434
33.
Zurück zum Zitat Debus ES, Heidemann F, Gross-Fengels W et al (2018) Kurzfassung S3-Leitlinie zu Screening, Diagnostik, Therapie und Nachsorge des Bauchaortenaneurysmas. Gefäßchirurgie 23:432–451
34.
Zurück zum Zitat Grondal N, Bramsen MB, Thomson MD et al (2012) The cardiac cycle is the major contricutor to variability in size measurements of abdominal aortic aneurysma by ultrasound. Eur J Vasc Endovasc Surg 43:30–33PubMed
35.
Zurück zum Zitat Laskowski I, Venhagen HJ, Gagne P et al (2007) Current safe of dynamic imaging in endovascular aorticaneurysm repair. J Endovasc Ther 14:807–812PubMed
36.
Zurück zum Zitat Teutelink A, Rutten A, Muhs BE et al (2006) Pilot study of dynamic cine CT angiography for evaluation of abdominal aortic aneurysms: implications for endocraft treatment. J Endovasc Ther 13:139–144PubMed
37.
Zurück zum Zitat van Hervaarden JA, Bartels LW, Muhs BE et al (2006) Dynamic magnetic resonance angiography of aneurysm neck: conformational changes during teh cardiac cycle with possible consequences for endocraft sizing and future design. J Vasc Surg 44:22–28
38.
Zurück zum Zitat van Keulen JW, Prokop M, Moll FL et al (2009) Dynamics of the aorta before and after endovascular aneurysm repair. Eur J Vasc Endovasc Surg 38:586–596PubMed
39.
Zurück zum Zitat Vos AW, Wisselink W, Marcus JT et al (2002) Aortic aneurysm pulsatile wall motion imaged by MRI: a tool to evaluate efficacy of endovascular aneurysm repair. Eur J Vasc Endovasc Surg 23:158–161PubMed
40.
Zurück zum Zitat van Keulen JW, Moll FL, Barwegen GK et al (2010) Pulsatile distention of proximal aneurysm neck is larger in patients with stent graft migration. Eur J Vasc Endovasc Surg 40:326–331PubMed
41.
Zurück zum Zitat Bredahl K, Eldrup N, Meyer C et al (2013) Reproducibility of ECG-gated ultrasound diameter assessment of small abdominal aortic aneurysms. Eur J Vasc Endovasc Surg 45(3):235–240PubMed
42.
Zurück zum Zitat Singh K, Jacobsen BK, Solberg S et al (2004) The difference between ultrasound and computed tomography (CT) measurements of aortic diameter increases with aortic diameter: analysis of axial images of abdominal aortic and common iliac artery diameter in normal and aneurismal aortas. The Tromsø study, 1994–1995. Eur J Vasc Endovasc Surg 28:158–167PubMed
43.
Zurück zum Zitat Sprouse LR, Meier GH, Lesar CJ et al (2003) A comparison of abdominal aortic aneurysm diameter measurements obtained by ultrasound and computerized tomography: is there a difference? J Vasc Surg 38(3):466–471PubMed
44.
Zurück zum Zitat Foo FJ, Hammond CJ, Goldstone AR et al (2011) Agreement between computed tomography and ultrasound on abdominal aortic aneurysms and implications on clinical decisions. Eur J Vasc Endovasc Surg 42:608–614PubMed
45.
Zurück zum Zitat Jaakkola P, Hippeläinen M, Farin P et al (1996) Interobserver variability in measuring the dimension of the abdominal aorta: comparison of ultrasound and computed tomography. Eur J Vasc Endovasc Surg 12:230–237PubMed
46.
Zurück zum Zitat Moll FL, Powell JT, Fraedrich G et al (2011) Management of abdominal aortic aneurysms. Clinical practice guidelines of the European society of vascular surgery. Eur J Vasc Endovasc Surg 41:51–58
47.
Zurück zum Zitat Mora CE, Marcus CD, Barbe CM et al (2014) Measurement of maximum diameter of native abdominal aortic aneurysm by angio-CT: reproducibility is better with the semi-automated method. Eur J Vasc Endovasc Surg 47:139–150PubMed
48.
Zurück zum Zitat Mora CE, Marcus CD, Barbe CM et al (2015) Maximum diameter of native abdominal aortic aneurysm measured by angio-computed tomography: reproducibility and lack of consensus impacts on clinical decisions. Aorta 3:47–55PubMed
49.
Zurück zum Zitat Manning BJ, Kristmundsson T, Sonesson B et al (2009) Abdominal aortic aneurysm diameter: a comparison of ultrasound measurements with those from standard and three-dimensional computed tomography reconstracions. J Vasc Surg 50:263–268PubMed
50.
Zurück zum Zitat Sprouse LR, Meier GH, Parent FN et al (2004) Is ultrasound more accurate than axial computed tomography for determination of maximal abdominal aortic aneurysm diameter? Eur J Vasc Endovasc Surg 28:28–35PubMed
51.
Zurück zum Zitat Svensjö S, Björck M, Wanhainen A et al (2014) Update on screening of abdominal aortic aneurysm. A topical review. Eur J Vasc Endovasc Surg 48:659–667PubMed
52.
Zurück zum Zitat Johansson M, Zahl H, Siersma V et al (2018) Benefits and harm of screening men for abdominal aortic aneurysm in Sweden: a registry-based cohort study. Lancet 291:2441–2447
53.
Zurück zum Zitat Johansson M, Hansson A, Brodersen J et al (2015) Estimating overdiagnosis in screening für abdominal aortic aneurysm: could a change in smoking habits and lowered aortic diameter tip the balance of screening towards harm? BMJ 350:h825PubMed
54.
Zurück zum Zitat Wanhainen A, Rosen C, Rutegard J et al (2004) Low quality of life prior to screening of abdominal aortic aneurysm: a possible risk factor for negative mental effects. Ann Vasc Surg 18:287–293PubMed
55.
Zurück zum Zitat Spencer C, Norman P, Jamrozik K et al (2004) Is screening for abdominal aortic aneurysm bad for your health and well-being? ANZ J Surg 74:1069–1075PubMed
56.
Zurück zum Zitat Scott RA, Tisi PV, Ashton HA et al (1998) Abdominal aortic aneurysm rupture rates: a 7-year follow-up of the entire abdominal aortic aneurysm population detected by screening. J Vasc Surg 28:124–128PubMed
57.
Zurück zum Zitat Singh K, Bonaa K, Jacobson G et al (2001) Prevalence et risk factors for abdominal aortic aneurysms in a population-based study: the Tromso study. Am J Epidemiol 154:236–244PubMed
58.
Zurück zum Zitat Normann P, Jamrozik K, Lawrence-Brown M et al (2004) Population based randomized controlled trail on impact of screening on mortality from abdominal aortic aneurysm. BMJ 329:1259–1262
59.
Zurück zum Zitat Darwood R, Brooks M (2012) The impact of decreasing abdominal aortic aneurysm prevalence on a local aneurysm screening programme. Eur J Vasc Endovasc Surg 44:45–50PubMed
60.
Zurück zum Zitat Conway A, Malkawi A, Hinchcliffe R et al (2011) Early experience of the UK aneurysm screening programme. Br J Surg 98(S1):1–15
61.
Zurück zum Zitat Forman C, Sales H, Trainor O et al (2011) Aneurysm screening results in North London—a world away from the MASS trail. Br J Surg 98(S1):1–15
62.
Zurück zum Zitat Svensjö S, Bjork M, Gurtelschmid M et al (2011) A low prevalence of abdominal aortic aneurysm among 65-year-old Swedish men indicates a change in the epidemiology of the disease. Circulation 124:1118–1123PubMed
63.
Zurück zum Zitat NHS Abdominal Aortic Screening Programme (2009) NHS abdominal aortic aneurysm screening programme annual report 2009-10.1010
64.
Zurück zum Zitat Guirguis-Blake J, Beil T, Senger C et al (2019) Primary care screening for abdominal aortic aneurysm: a systematic evidence review fort he U.S. Preventive services task force. Agency for healthcare research and quality (US) (Report No.:19-05253-EF-1)
65.
Zurück zum Zitat Schmitz-Rixen T, Steffen M, Böckler D et al (2020) Versorgung des abdominellen Aortenaneurysmas (AAA) 2018. Gefäßchirurgie 25:105–113
66.
Zurück zum Zitat Brown P, Zelt D, Sobolev B (2003) The risk of rupture in untreated aneurysms: the impact of size, gender and expansion rate. J Vasc Surg 37:280–284PubMed
67.
Zurück zum Zitat Parkinson F, Ferguson S, Lewis P et al (2015) Rupture rates of untreated large abdominal aortic aneurysms in patients unfit for elective repair. J Vasc Surg 61:1606–1612PubMed
68.
Zurück zum Zitat Powell J, Gotensparre S, Sweeting M et al (2010) Rupture rates of small aortic aneurysms: a systematic review. Eur J Vasc Endovasc Surg 41:2–10PubMed
69.
Zurück zum Zitat Patel R, Sweeting M, Powell J et al (2016) Endovascular versus open repair of abdominal aortic aneurysm in 15 years follow up of the UK endovascular aneurysm repair trail 1 (EVAR trail 1): a randomised controlled trail. Lancet 388:2366–2374PubMed
70.
Zurück zum Zitat Miju B, Chung Woon S, Won Lee C et al (2017) A comparative study of abdominal aortic aneurysm: endovascular aneurysm repair versus open repair. Korean J Thorac Cardiovasc Surg 50:263–269
71.
Zurück zum Zitat Harris P, Vallabhaneni R, Desgranges P et al (2000) Incidence and risk factor of late rupture, conversion and death after endovascular repair of infrarenal aortic aneurysms: The EUROSTAR experience. J Vasc Surg 32:739–749PubMed
72.
Zurück zum Zitat Schlosser FJ, Gusberg RJ, Dardik A, Lin PH, Verhagen HJ, Moll FL et al (2009) Aneurysm rupture after EVAR: can the ultimate failure be predicted? Eur J Vasc Endovasc Surg 37:15–22PubMed
73.
Zurück zum Zitat Sidloff DA, Stather PW, Choke E, Bown MJ, Sayers RD (2013) Type II endoleak after endovascular aneurysm repair. Br J Surg 100:1262–1270PubMed
74.
Zurück zum Zitat Schermerhorn M, Buck D, O’Malley A (2015) Long-term outcomes of abdominal aortic aneurysm in the medicare population. N Engl J Med 373:328–338PubMedPubMedCentral
75.
Zurück zum Zitat United Kingdom EVAR Trial Investigators, Greenhalgh R, Brown L, Powell J et al (2010) Endovascular versus open repair of abdominal aortic aneurysm. N Engl J Med 362:1863–1871
76.
Zurück zum Zitat De Bruin J, Baas A, Buth J et al (2010) Long-term outcome of open or endovascular repair of abdominal aortic aneurysm. N Engl J Med 362:1881–1889PubMed
77.
Zurück zum Zitat Deery S, Ergul E, Schemerhorn M et al (2018) Aneurysma sac expansion is independently associated with late mortality in patients treated with endovascular aneurysm repair. J Vasc Surg 67:157–164PubMed
78.
Zurück zum Zitat Schanzer A, Greenberg R, Hevelone N et al (2011) Predictors of early or late aneurysm sac enlargement after endovascular repair. Circulation 123:2848–2855PubMed
79.
Zurück zum Zitat Houbballah R, Majewski M, Becquemin JP (2010) Significant sac retraction after endovascular aneurysm repair is a robust indicator of durable treatment success. J Vasc Surg 52(4):878–883PubMed
80.
Zurück zum Zitat Bastos Goncalves F, Baderkhan H, Verhagen H et al (2014) Early sac shrinkage predicts a low risk of late complications after endovascular aortic aneurysm repair. Br J Surg 101:802–810PubMedPubMedCentral
81.
Zurück zum Zitat Schäberle W, Heim GR, Leyerer L (2014) Hat die Farbduplexsonographie noch eine Bedeutung gegenüber der Kontrastmittelsonographie in der Endoleakdiagnostik nach EVAR. Gefäßchirurgie 19:47–52

Neu im Fachgebiet Chirurgie

Wie Chirurgen durch Missgeschicke zu zweiten Opfern werden

Wenn sich in der Medizin verhängnisvolle Komplikationen oder Fehler ereignen, gibt es neben den betroffenen Patienten oft ein zweites Opfer: die behandelnden Ärztinnen oder Ärzte. Eine dafür besonders anfällige Disziplin ist die Chirurgie.

Wenn die Teestunde in der Notaufnahme endet

Den heißen Tee in der Hand und die Wärmflasche auf dem Bauch: Gerade im Winter bringt man solche Situationen im Allgemeinen mit Wohlbehangen in Verbindung. Ein chirurgisches Team warnt jedoch mit einer Serie von Verbrühungsfällen vor Unachtsamkeit.

Schlechtere Blutungskontrolle mit kryokonservierten Thrombozyten?

In einer australischen Nichtunterlegenheitsstudie waren kryokonservierte Thrombozyten zur Behandlung von Blutungen im Zusammenhang mit einer Herz-Op. hämostatisch weniger wirksam als herkömmliche Konzentrate.

Kommt die Früherkennung von Pankreaskrebs in Sicht?

Späte Diagnose, frühe Tumorstreuung: Menschen mit Pankreaskarzinom haben nach wie vor eine trübe Prognose. In einer Studie ist getestet worden, ob die Flüssigbiopsie helfen könnte, die Situation zu verbessern.

Update Chirurgie

Bestellen Sie unseren Fach-Newsletter und bleiben Sie gut informiert.

Bildnachweise
Arzt stützt sich nachdenklich ab/© Wavebreakmedia / Getty Images / iStock (Symbolbild mit Fotomodell), Mann niest in Ellbogen/© Drazen Zigic / Getty Images / iStock (Symbolbild mit Fotomodell), Titel/© alexandre / Stock.adobe.com (Symbolbild mit Fotomodell), Blutproben in Zentrifuge/© Maksym Yemelyanov / stock.adobe.com