Zum Inhalt

Corpus callosum infarction in uncontrolled diabetes mellitus

  • 28.06.2021
  • Neuro-Images
Erschienen in:

Auszug

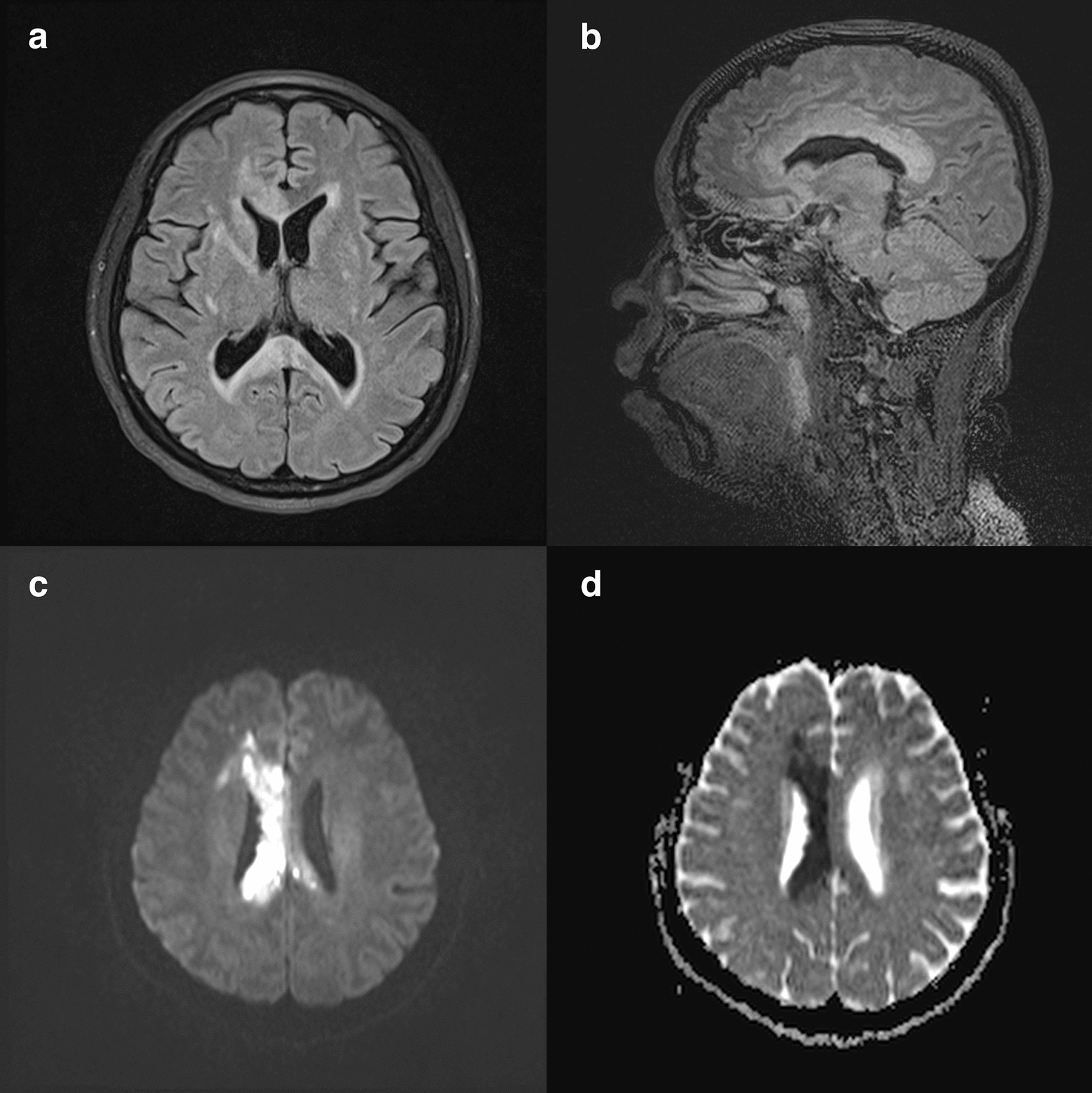
A 40-year-old woman with no previous medical illness presented with sudden onset of left sided body weakness and facial asymmetry for two days. On examination, she had left lower facial palsy and left hemiparesis with muscle power of MRC grade 2/5. The higher cortical function and sensory modalities were normal. There were no visual disturbance or features of connective tissue disease. Non-contrasted CT brain showed hypodensity in the right corpus callosum. Magnetic resonance imaging (MRI) of the brain revealed hyperintense T2/FLAIR signals in corpus callosum with restricted diffusion (Fig. 1). There were also evidence of lacunar infarcts in the right corona radiata and putamen. MR angiogram of the brain showed atherosclerotic disease with focal stenosis of the right A1 segment. Electrocardiogram, echocardiogram and 24 h Holter monitoring were unremarkable. She was found to have diabetes mellitus with fasting serum glucose of 16.2 mmol/L and HbA1c of 11.7%. Peripheral blood count, renal and liver function, erythrocyte sedimentation rate were normal. Anti-nuclear antibody, anti-phospholipid antibodies, serum aquaporin-4 and myelin oligodendrocyte glycoprotein antibodies were not detected. The diagnosis of corpus callosum infarction was made and she was treated with oral aspirin, atorvastatin and subcutaneous insulin. Despite inpatient rehabilitation, she remained disabled with modified Rankin scale of 4/6 after one month.
Fig. 1
MRI of the brain showed hyperintense signals in the corpus callosum, especially the splenium and appearing as an “arch-bridge” pattern on T2/FLAIR sequences. a, b There were also hyperintense lesions in the corona radiata and putamen suggestive of old lacunar infarctions. On the DWI/ADC sequences, the entire corpus callosum showed significant restricted diffusion particularly on the right side (c, d)
Bild vergrößern
Titel
Corpus callosum infarction in uncontrolled diabetes mellitus
Verfasst von
Chen Fei Ng
Hui Jan Tan
Publikationsdatum
28.06.2021
Verlag
Springer International Publishing
Erschienen in
Acta Neurologica Belgica / Ausgabe 5/2021
Print ISSN: 0300-9009
Elektronische ISSN: 2240-2993
DOI
https://doi.org/10.1007/s13760-021-01729-8
Dieser Inhalt ist nur sichtbar, wenn du eingeloggt bist und die entsprechende Berechtigung hast.

Kompaktes Leitlinien-Wissen Neurologie (Link öffnet in neuem Fenster)

Mit medbee Pocketcards schnell und sicher entscheiden.
Leitlinien-Wissen kostenlos und immer griffbereit auf ihrem Desktop, Handy oder Tablet.

Neu im Fachgebiet Neurologie

Als Kind pummelig, als Erwachsener geistig weniger flexibel

Wer bereits in der Kindheit oder Jugend ein ungünstiges kardiovaskuläres Risikoprofil aufweist, muss im jungen Erwachsenenalter mit kognitiven Nachteilen rechnen.

Gesunder Lebensstil bei Parkinson essenziell

Wie sehr Menschen mit Parkinson von körperlicher Aktivität, mediterraner Ernährung und Entspannungsübungen profitieren, zeigt ein Review im Fachblatt „Lancet“. Betroffene können mit entsprechenden Maßnahmen eine deutlich verbesserte Lebensqualität erreichen.

RNA-basierte CAR-T-Zell-Therapie hält Myasthenie in Schach

Eine gegen BCMA gerichtete Therapie mit CAR-T-Zellen kann eine schwere Myasthenia gravis über ein Jahr hinweg gut kontrollieren. Der RNA-basierte Ansatz verursacht zudem kaum Nebenwirkungen, erfordert aber sechs wöchentliche Infusionen.

Demenzrisiko: Keine Angst vor fettem Käse!

  • 14.01.2026
  • Demenz
  • Nachrichten

Wer sich täglich ein Stück fetten Käse gönnt oder auf fette Sahne schwört, darf sich über ein vermindertes Demenzrisiko freuen. Dass Milchfett vor Demenz schützt, lässt sich daraus allerdings nicht unbedingt schließen.

Update Neurologie

Bestellen Sie unseren Fach-Newsletter und bleiben Sie gut informiert.

Bildnachweise
Die Leitlinien für Ärztinnen und Ärzte, Untersuchung eines adipösen Kindes/© Colourbox (Symbolbild mit Fotomodell), Senior mit Parkinson hält den Löffel mit zwei Händen/© MarianVejcik / Getty Images / iStock (Symbolbild mit Fotomodell), Störung der Lidhebung bei Myasthenia gravis/© Alessandro Grandini / stock.adobe.com (Symbolbild mit Fotomodell), Person hält ein Glas Milch in beiden Händen/© Africa Studio / stock.adobe.com (Symbolbild mit Fotomodell)