Zum Inhalt

Dermatologie

Aktuelle Übersichtsarbeiten

Lebertransplantation bei Kindern und Jugendlichen

Die Entwicklung der pädiatrischen Lebertransplantation (LTx) ist eine Erfolgsgeschichte. Als etablierte Standardtherapie für akute und chronische Lebererkrankungen, Lebertumoren sowie hepatisch lokalisierte Stoffwechselerkrankungen erzielt sie ein …

Ganzkörperkältetherapie bei Rückenschmerz

Die Ganzkörperkältetherapie wird seit über 40 Jahren zur Behandlung der rheumatoiden Arthritis eingesetzt. In dieser Zeit wurden auch noch Wirksamkeitsnachweise für andere Erkrankungen erbracht. So können ebenfalls Rückenschmerzen, das …

Die neue, überarbeitete europäische S2k-Leitlinie zum chronischen Pruritus 2025: Ein Kommentar

Chronischer Pruritus ist ein häufiges Symptom der Haut und betrifft verschiedene medizinische Disziplinen, von Dermatologie über Allergologie bis zur Inneren Medizin/Onkologie und medizinischen Psychologie und Psychiatrie reichend. Bekannt ist …

PCOS – Diagnose und Screening

Das polyzystische Ovarsyndrom (PCOS) ist mit einer Prävalenz von 8–13 % eine der häufigsten endokrinologischen Erkrankungen bei Frauen im gebärfähigen Alter. Die Symptomatik ist heterogen und reicht von Akne, Hirsutismus und Zyklusstörungen bis zu …

Schwannomatose bei Kindern und Jugendlichen: hohe Relevanz frühzeitiger Diagnostik

Die häufigste Form der Schwannomatose (SWN) ist die NF2 -bedingte SWN, die mit einer Inzidenz von 1:61.332 auftritt (Tab. 1 ). Früher wurde diese SWN-Form als Neurofibromatose Typ 2 (NF2) bezeichnet, und die genetische Ursache ist eine …

Kongress Kompakt: Neues aus der Rheumatologie – EULAR 2025

EULAR 2025: Frühtherapie, neue Substanzen und innovative Ansätze verbessern die Versorgung spürbar. 10 Jahre Secukinumab – bewährt in der Praxis, bestätigt durch SERENA-Daten. Jetzt die Highlights für Ihre rheumatologische Praxis entdecken!

Mit freundlicher Unterstützung von:
  • Novartis Pharma GmbH

Medizinische Gesundheits-Apps für Psoriasis und Psoriasisarthritis

Chronisch-entzündliche Erkrankungen wie Psoriasis (PsO) und Psoriasisarthritis (PsA) gehen mit einer hohen Krankheitslast und einem großen Versorgungsbedarf einher. Angesichts begrenzter fachärztlicher Ressourcen rückt die Nutzung medizinischer …

Nicht überall, wo Chlorhexidin drin ist, steht auch Chlorhexidin drauf

Aufgrund seiner diversen Einsatzmöglichkeiten – etwa in der Haut- und Schleimhautdesinfektion mit Verwendung in Mundspülungen, Wundantiseptika oder bei Katheterisierungen – ist Chlorhexidin seit Jahrzehnten fester Bestandteil als Antiseptikum im Gesundheitswesen und darüber hinaus. Trotz seiner generell guten Verträglichkeit ist es aber auch ein potentes Allergen.

Antikoagulation im Rahmen dermatochirurgischer Eingriffe

Der perioperative Umgang mit Antikoagulation im Rahmen dermatochirurgischer Eingriffe stellt eine Herausforderung für Behandelnde dar. Die zahlreichen Formen der Blutverdünnung wirken an unterschiedlichen Orten in der Gerinnungskaskade, wodurch …

Unerwünschte Arzneimittelreaktionen auf Lokalanästhetika treten bei Frauen häufig auf – Typ-I-Allergien bleiben eine Seltenheit

Hintergrund: Unerwünschte Arzneimittelwirkungen (UAW) auf Lokalanästhetika (LA) wie Lidocain werden häufig fälschlicherweise als allergische Reaktion interpretiert. Diese Annahme führt zu einer Vielzahl allergologischer Abklärungen. Zahlreiche …

CME: Kutane Arzneimittelreaktionen: Klassifikation, Diagnostik, klinische und therapeutische Konsequenzen

Von milden Symptomen bis hin zu deutlich schwereren Verläufen wie dem Stevens-Johnson-Syndrom (SJS) oder der toxischen epidermalen Nekrolyse (TEN) können kutane Arzneimittelreaktionen sehr unterschiedlich verlaufen. Gibt es neue und präzisere Ansätze für die Diagnostik dieser Erkrankungen und was wissen wir über sie? 
 

Grundprinzipien der rekonstruktiven Dermatochirurgie im Kopf-Hals-Bereich

Plastische Rekonstruktionen im Kopf-Hals-Bereich sind häufige Eingriffe in der Dermatologie. Die theoretischen Grundlagen hierfür als Basis einer erfolgreich durchgeführten Operation werden in der Facharztweiterbildung jedoch wenig vermittelt.

Präkanzerosen in der hausärztlichen Praxis managen

Die Unterscheidung zwischen benignen, präkanzerösen und malignen Hautveränderungen ist im hausärztlichen Alltag eine häufige und wichtige Fragestellung. Insbesondere die Aktinische Keratose und der Morbus Bowen erfordern eine klare Abgrenzung gegenüber invasiven Hauttumoren sowie ein leitliniengerechtes Management.

Bei unspezifischen Symptomen stets auch an FSME denken

Eine Infektion mit dem FSME-Virus bleibt meist unbemerkt. Wenn Symptome auftreten, ähneln sie zunächst oft einem grippalen Infekt. Später kann sich jedoch eine Meningitis oder Meningoenzephalitis entwickeln, mit teils schweren neurologischen Schädigungen oder Todesfällen. Deshalb sollte man auch bei unspezifischen Symptomen an FSME denken.

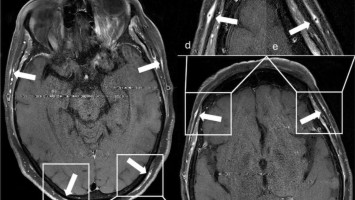
Wann sollten Sie an eine Riesenzellarteriitis denken?

Die Riesenzellarteriitis kann aufgrund ihrer unspezifischen Symptome leicht übersehen werden. Welche Warnsignale auf auf eine systemische Gefäßentzündung hindeuten und in der Hausarztpraxis erkannt werden sollten, fasst dieser Beitrag zusammen.

Gefäßchirurgische Eingriffe bei Schwangeren – Eine interdisziplinäre Herausforderung

Gefäßchirurgische Eingriffe in der Schwangerschaft sind selten. Um eine optimale Versorgung für die Patientinnen und die ungeborenen Kinder gewährleisten zu können, ist es wichtig die physiologischen Veränderungen während der Schwangerschaft zu …

Acne inversa erkennen und richtig einordnen

Eine 33-jährige Patientin stellt sich notfallmäßig vor. Seit zwei Tagen bestehe axillär links ein entzündlicher Knoten. Während des letzten Jahres seien ähnliche Hautveränderungen axillär und genital aufgetreten. In diesem Zusammenhang berichtet …

Wenn die Hautfarbe die Diagnose erschwert

Inflammatorische Dermatosen sind auf dunkel pigmentierter Haut oft schwerer erkennbar. Klassische Effloreszenzen wie Erythem und Schuppung bei seborrhoischem Ekzem erscheinen bei dunkel pigmentierten Hauttypen nicht gerötet, sondern mit …

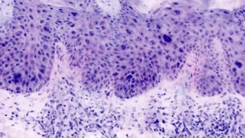
Update zur Pathologie der Peniskarzinome

Die Inzidenz von Peniskarzinomen beträgt in Europa < 1 %. Etwa die Hälfte der Peniskarzinome entsteht über die Präkanzerose hochgradige squamöse intraepitheliale Läsion (HSIL) durch eine transformierende Infektion mit humanen Papillomaviren (HPV) …

Gesichtskonturierung mit Fillern – So gelingt ein natürliches Ergebnis

Selbst mit der besten Pflege und einem gesunden Lebensstil kann man dem Alterungsprozess nur bedingt entgegenwirken. Mit Fillern lässt sich da mehr erreichen. Wie man dabei am besten vorgeht – von der Beurteilung des Gesichts bis hin zur Auswahl der richtigen Filler – erfahren Sie hier.

Aktuelle dermatologische Leitlinien in Deutschland: eine Auswahl klinisch relevanter Empfehlungen

  • Open Access
  • Aphthen
  • Übersichtsartikel

Medizinische Leitlinien dienen als systematische Entscheidungshilfen, um eine evidenzbasierte und angemessene ärztliche Vorgehensweise bei bestimmten Krankheitsbildern zu gewährleisten. In Deutschland werden dermatologische Leitlinien unter der …

Extrakorporale Stoßwellentherapie

Die extrakorporale Stoßwellentherapie kann in der Dermatologie bei unterschiedlichen Indikationen angewendet werden. Trotzdem setzen die meisten Behandelnden sie hauptsächlich bei Cellulite und Lip- oder Lymphödemen ein. Dabei kann die …

In-vivo-konfokale Lasermikroskopie und keratinozytäre Hauttumoren

Keratinozytäre Hauttumoren zählen zu den häufigsten malignen Hautläsionen weltweit v. a. bei älteren Patient:innen und umfassen ein Spektrum, das von aktinischer Keratose (AK) über Morbus Bowen (MB) bis hin zum invasiven Plattenepithelkarzinom …

Lichen sclerosus im Adoleszentenalter

Lichen sclerosus ist eine seltene, aber potenziell folgenschwere Hauterkrankung im Kindes- und Adoleszentenalter, die insbesondere bei Jungen mit phimotischen Beschwerden oder Miktionsstörungen in Erscheinung treten kann. Kinderärztinnen- und …

Neues zu Diagnostik und Therapie der ANCA-assoziierten Vaskulitiden

ANCA-assoziierte Vaskulitiden umfassen eine Gruppe seltener, potenziell lebensbedrohlicher systemischer Autoimmunerkrankungen, die durch eine Entzündung der kleinen bis mittelgroßen Gefäße gekennzeichnet sind. Charakteristisch und namengebend ist …

Kombinierte Lappenplastiken zur Defektrekonstruktion an der Nase

Die weiterhin stetige Zunahme UV-bedingter nichtmelanozytärer Hauttumoren führt zu einer steigenden Anzahl an Patienten, bei denen mehrere und/oder ausgedehnte Tumoren operativ zu versorgen sind. Rekonstruktionen im Bereich der Nase sind in diesen …

Anwendung moderner Bildgebungsoptionen in der Dermatochirurgie

Die Dermatochirurgie stellt eine zentrale Säule in der Behandlung kutaner Neoplasien dar. Neben der vollständigen Tumorentfernung steht der funktionelle und ästhetische Erhalt im Vordergrund. Klassische histopathologische Verfahren bieten …

Hypersensitivitätsreaktionen auf Tumeszenzlokalanästhesie bei dermatochirurgischen Eingriffen

Die Tumeszenzlokalanästhesie bietet viele Vorteile bei dermatochirurgischen Eingriffen, insbesondere bei älteren und multimorbiden Patienten, bei denen eine Vollnarkose mit Risiken verbunden ist. Echte Lokalanästhetikaunverträglichkeiten sind …

Das Lipödem-Syndrom in der Gefäßchirurgie: Status quo und Ausblick auf 2026

Das Lipödem-Syndrom ist eine chronische, schmerzhafte Fettgewebserkrankung mit disproportionaler Verteilung an den Extremitäten, deren Ätiologie weiterhin unklar bleibt. Es handelt sich weder um eine Gefäß- noch um eine Lymphgefäßerkrankung …

In vivo konfokale Lasermikroskopie und melanozytäre Tumoren

Die konfokale Lasermikroskopie (KLM) ist ein nichtinvasives bildgebendes Verfahren mit hoher lateraler Auflösung, das zunehmend in der dermatologischen Diagnostik eingesetzt wird. Insbesondere zur Differenzierung benigner und maligner …

Digitale Gesundheitsanwendungen in der Psychodermatologie? – Überblick über Angebote, Chancen und Herausforderungen

Chronisch entzündliche Hauterkrankungen wie Psoriasis, Akne oder Neurodermitis gehen häufig mit psychischen Komorbiditäten einher, etwa Depressionen, Angststörungen oder Schlafproblemen. Diese Belastungen sind klinisch relevant und beeinflussen …

Yin und Yang der Libido

Geschlechtsspezifische Ernährungsgewohnheiten spiegeln das Yin-Yang-Prinzip wider und beeinflussen nachweislich die sexuelle Gesundheit. Nationale Verzehrstudien aus Deutschland, Österreich und der Schweiz zeigen, dass Männer deutlich mehr …

Juvenile Morphea: Die vielen Gesichter der umschriebenen Sklerodermie

Die Morphea umfasst ein Spektrum entzündlich-sklerotischer Hautveränderungen, die je nach Subtyp und Lokalisation eine Beteiligung hautnaher Strukturen wie Fettgewebe, Muskulatur, Gelenke und Knochen zeigen können. Eine zeitnahe Therapieeinleitung …

Neurofibrome und Café-au-lait-Flecken

In dieser Serie geht es um Krankheitsbilder beziehungsweise Therapien, die sowohl dermatologische als auch orthopädische Relevanz haben und eine fächerübergreifende Patientenbetreuung erfordern. Dazu gehört beispielsweise die Neurofibromatose Typ 1, auf die Neurofibrome und Café-au-lait-Flecken hinweisen können.

Okkulte Mastozytose: Screening lohnt sich auch bei normwertiger Tryptase

Bei schweren anaphylaktischen Reaktionen nach Insektenstichen ohne typische Hautsymptome wie Urtikaria oder Angioödeme sollte stets eine systemische Mastozytose abgeklärt werden. Gerade bei normwertiger Tryptase kann die Erkrankung leicht übersehen werden. Ein Fallbeispiel einer Patientin mit schwerer Wespengiftanaphylaxie.

Gibt es die CRP-/BSG-negative Polymyalgia rheumatica, und wie behandle ich sie?

Die CRP-/BSG-negative PMR ist selten. Besonders wichtig ist die Berücksichtigung von Differenzialdiagnosen. Hierzu sollte mindestens eine Sonographie der Schulter- und Hüftgelenke erfolgen, ggf. MRT oder PET-CT. Die Therapie sollte wie bei anderen …

Risiken und Nebenwirkungen ärztlicher Kommunikation über Social Media

Die Vermittlung sachlicher medizinischer Inhalte wie die Aufklärung über gesundheitliche Prozesse, Symptome oder Krankheiten ist zulässig. Dermatologen verknüpfen die erlaubte reine Wissensvermittlung regelmäßig mit Tipps und Empfehlungen zu den …

Update onkologische Sport- und Bewegungstherapie

Inzwischen ist der Nutzen von körperlicher Aktivität und Bewegungstherapie bei Krebskranken durch Studien gut belegt. Aber es gibt in Deutschland durchaus noch Hürden für die Versorgung in der Breite. Welche Effekte hat Bewegung auf Nebenwirkungen und Prognose? Wie lauten aktuelle Empfehlungen? Und wie kann der Zugang zu evidenzbasierten Angeboten erleichtert werden?

Medizinische Kompressionstherapie bei fortgeschrittener Herzinsuffizienz – wirklich immer kontraindiziert?

Eine chronische Herzinsuffizienz (CHI) führt zu peripheren Ödemen. Die medizinische Kompressionstherapie (MK) ist meist die Basis der konservativen Behandlungsmethoden von Beinödemen [ 1 ]. Sie wird aktuell aber bei Patienten mit Beinödeme und CHI …

Biologika in der Therapie der atopischen Dermatitis: zugelassene Wirkstoffe und monoklonale Antikörper in fortgeschrittener klinischer Prüfung

Die atopische Dermatitis (AD) ist die häufigste chronisch-entzündliche Hauterkrankung in den Industrieländern und zeichnet sich durch heterogene (Endo-)Phänotypen sowie eine hohe Krankheitslast aus. In Europa sind derzeit vier Biologika und drei …

Systemische Therapie der atopischen Dermatitis mit Januskinase-Inhibitoren

Hintergrund: In den letzten acht Jahren wurde die Behandlung der atopischen Dermatitis (AD) durch die Entwicklung und Zulassung von neuartigen Systemtherapien geradezu revolutioniert. Mittlerweile stehen neben den Biologika Dupilumab …

Standardtherapie der atopischen Dermatitis - ein Update

Die atopische Dermatitis (AD) ist die häufigste chronisch-entzündliche Hauterkrankung und benötigt eine individualisierte leitlinienbasierte Therapie. Dieser narrative Review gibt ein Update über die Standardtherapie der AD, abhängig vom …

Mundgesundheit in Gefahr: E-Zigaretten und Co - alles gleich?

Etwa jeder vierte Deutsche raucht. Die damit verbundenen oralen Risikopotenziale sind in der zahnmedizinischen Praxis nahezu täglich präsent und müssen bei der Therapie und präventiven Betreuung beachtet werden. Doch wie ist das Schadenspotenzial der verbrennungsfreien Alternativen – und welche gibt es überhaupt?

Gefäßtumoren der Leber

Gefäßtumoren der Leber haben eine Spannbreite von häufigen benignen Hämangiomen bis hin zu sehr seltenen malignen Gefäßtumoren, epitheloiden Hämangioendotheliomen und Angiosarkomen. Hämangiome werden in Relation zu ihrer Häufigkeit selten …

Der Einfluss von Arzneimitteln auf die Mundschleimhaut

Unerwünschte Arzneimittelereignisse (UAEs) sind nicht selten und können eine große klinische Bandbreite aufweisen. Da diese Läsionen oft einen starken Einfluss auf die Lebensqualität des Patienten haben, ist eine intensive interdisziplinäre Zusammenarbeit empfehlenswert, um Möglichkeiten auszuloten, das auslösende Medikament abzusetzen oder eine Veränderung der Medikation vorzunehmen.

Medikamentöses hypereosinophiles Syndrom in der Praxis

Als seltene Nebenwirkung kann es unter dem IL-4/IL-13-Inhibitor Dupilumab zu einem akuten hypereosinophilen Syndrom mit Pneumonie kommen. Fallbeispiel eines 55-jährigen Asthmatikers.

Tödliche Verätzung

Herr Y., 27 Jahre alt, keine Vorerkrankungen, greift im Rahmen eines Streits zu einer Flasche Rohrreiniger (Inhaltstoffe: 25% Kaliumhydroxid, 5% Natriumhypochlorit) und nimmt 2-3 Schluck. Unmittelbar danach erbricht er blutig tingiert und zeigt …

Pubertätsgynäkomastie

Die Gynäkomastie in der Pubertät ist meist harmlos und bildet sich oft spontan zurück. Gleichzeitig darf nicht übersehen werden, dass sie in seltenen Fällen ein Hinweis auf eine ernsthafte Grunderkrankung sein kann und deshalb sorgfältig abgeklärt …

Pulmonale Mitbeteiligung bei seltenen systemischen Erkrankungen – Teil 1

Hämatologische Erkrankungen, insbesondere Lymphome, können sich in der Lunge sowohl primär als auch sekundär manifestieren. Primäre pulmonale Lymphome sind selten und meist vom Non-Hodgkin-Typ. In diesen Fällen kann der pulmonale Lymphombefall mit …

Primär biliäre Cholangitis – Update zu Diagnostik, Risikostratifizierung und neuen Therapieoptionen

Die primär biliäre Cholangitis (PBC) ist eine chronisch-entzündliche, autoimmunvermittelte Lebererkrankung, die unbehandelt zur Fibrose und Zirrhose fortschreitet. Neben der Verhinderung von Komplikationen stellt die Behandlung belastender …

Welche Indikationsimpfungen bei Diabetes mellitus?

Menschen mit Diabetes mellitus gelten unabhängig von ihrem Diabetestyp als Risikogruppe. Welche Auffrisch- und Indikationsimpfungen empfiehlt die STIKO bei Erwachsenen mit Diabetes mellitus bzw. chronischen Nierenkrankheiten in diesem Jahr?

„Large language models – hype or hope?“

„Large language models“ (LLMs) wie ChatGPT (OpenAI, San Francisco, CA, USA) haben die Informationsverarbeitung revolutioniert, und die weitere Entwicklung verläuft rasant. LLMs bieten nicht nur neue Wege für Wissensvermittlung, sondern auch für …

Line-field konfokale optische Kohärenztomographie und künstliche Intelligenz

Die differenzierte Beurteilung von aktinischer Keratose (AK), Basalzellkarzinom (BCC) und Psoriasis bleibt trotz dermatoskopischer Expertise oft limitiert. Die Line-field konfokale optische Kohärenztomographie (LC-OCT) liefert hochauflösende …

Mikroplastik: die Verantwortung der Dermatologie

Mikroplastik ist in der Umwelt ubiquitär und lässt sich kaum eliminieren. Es mehren sich Hinweise, dass Kunststoffe mit Ökosystemen und der menschlichen Gesundheit schädlich interagieren. Die Produktion von Plastik muss deutlich reduziert werden …

Mikroorganismen: so klein und doch so relevant

  • Akne
  • Übersichtsartikel

Wie das Mikrobiom der Haut und dermatologische Erkrankungen zusammenhängen, wird durch zahlreiche Forschungsvorhaben immer klarer. Ergebnisse aktueller Studien geben zudem bereits Hinweise auf vielfältige Therapieansätze. © Zoni / Adobe Stock …

Hautreaktionen unter Biologikatherapie

Biologika haben die Therapie chronisch entzündlicher Erkrankungen revolutioniert, jedoch kann es in etwa 5–20 % der Fälle zum Auftreten von Hautreaktionen kommen. Kutane Nebenwirkungen unter Biologika sorgen im Praxisalltag häufig für …

Laserbehandlung von Aknenarben

  • Laser
  • Übersichtsartikel

Die Behandlung von Aknenarben beginnt immer mit ihrer Prävention. Wenn dies nicht gelingt, kommen häufig Laserbehandlungen zum Einsatz. Doch diese Form der Therapie hat ihre Tücken.

Pulmonale Manifestationen ANCA-assoziierter Vaskulitiden in der Bildgebung

Die AAV sind durch die Bildung antineutrophiler zytoplasmatischer Antikörper charakterisiert. Diese sind gegen die Myeloperoxidase (MPO-ANCA, perinukleäre Fluoreszenz [pANCA]) oder die Proteinase 3 (PR3-ANCA, zytoplasmatische Fluoreszenz [cANCA]) …

Künstliche Intelligenz-Einsätze in der Ganzkörperfotografie, Videodermatoskopie und High-resolution-Dermatoskopie

Unter der Ganzkörperfotografie versteht man die standardisierte Erstellung von Fotografien der einsehbaren Hautoberfläche, die automatisiert zu einem zweidimensionalen (2D) bzw. dreidimensionalen (3D) Bild zusammengefügt werden. Mit dem ATBM(„2D …

Immunresistenz: Wie Tumorzellen dem Immunsystem entwischen

Tumorzellen können sich maskieren oder sie erschweren es Immunzellen zu arbeiten, indem sie den pH-Wert der Tumormikroumgebung verändern. Sie nutzen diese und weitere Mechanismen, um der Kontrolle durch das Immunsystem zu entgehen. Das kann den Verlauf von onkologischen Erkrankung maßgeblich beeinflussen.

Alte und neue PPAR-Agonisten: Welche können Sie bei PBC einsetzen?

Agonisten der Peroxisom-Proliferator-aktivierten Rezeptoren (PPAR), insbesondere Bezafibrat, werden in der klinischen Praxis bereits erfolgreich zur Zweitlinienbehandlung der primär biliären Cholangitis (PBC) eingesetzt, sind für diese Indikation jedoch nicht zugelassen. In Deutschland bedingt zugelassen sind die neuen, gezielt entwickelten PPAR-Agonisten Elafibranor und Seladelpar. Ein Überblick.

Warum sind Menschen mit Diabetes infektionsanfällig?

Menschen mit Diabetes sind durch eine Kombination aus Hyperglykämie, Immunstörungen und Begleiterkrankungen wie Adipositas und chronische Nierenkrankheit besonders anfällig für Infektionen. Die chronisch erhöhte Glukosekonzentration beeinträchtigt …

Datenschutz und -nutzung in der Gesundheitsforschung

Die hohen Datenschutzhürden in Deutschland stellen immer wieder ein Problem für Forschende in Deutschland dar. Dies hat die schwarz-rote Bundesregierung erkannt und sich in ihrem Koalitionsvertrag folgerichtig auf einige Initiativen zur …

Was sind Wundbeläge? Ein Positionspapier der Initiative Chronische Wunden (ICW) e. V.

Der Vorstand der Fachgesellschaft Initiative Chronische Wunden e. V. (ICW) hat in Absprache mit dem interdisziplinär und interprofessionell besetzten wissenschaftlichen Beirat konkrete Vorschläge für eine einheitliche Nomenklatur zu dem Thema …

Wie Sie die moderne Bildgebungsverfahren am besten abrechnen

Moderne, nicht invasive Diagnostik erhöht die Sicherheit, reduziert Eingriffe und lässt sich künftig gut mit KI-gestützten Modellen kombinieren. Nur bei der Abrechnung hakt es: Sie erfolgt derzeit noch nach der alten GOÄ über Analogziffern, was für erhebliche Unsicherheiten sorgt. 

Stiffness in der Kompressionstherapie

Die medizinische Kompressionstherapie ist ein Pfeiler in der konservativen Therapie von lymphologisch-phlebologischen Krankheitsbildern. Sie bietet eine Vielzahl an unterschiedlichen Modalitäten zur Versorgung der unterschiedlichen …

Line-field-konfokale optische Kohärenztomographie bei melanozytären Tumoren

Die Line-field-konfokale optische Kohärenztomographie (LC-OCT) ist ein innovatives und nichtinvasives Bildgebungsverfahren, das die Vorteile der konfokalen Lasermikroskopie (KLM) und der optischen Kohärenztomographie (OCT) kombiniert. Bisher …

Ex vivo konfokale Laserscanmikroskopie und künstliche Intelligenz bei Hauttumoren

Die ex vivo konfokale Laserscanmikroskopie (Ex-vivo-KLM) ist eine innovative Diagnostikmethode, mit der Gewebeproben direkt nach der Entnahme digital, schnell und hochauflösend dargestellt werden können. Dadurch erhalten Dermatologinnen und …

Ex vivo konfokale Laserscanmikroskopie in der Dermatologie

Die ex vivo konfokale Laserscanmikroskopie ist eine Weiterentwicklung der in vivo konfokalen Laserscanmikroskopie. Sie erlaubt eine schnelle, nichtinvasive mikroskopische Untersuchung von frisch exzidiertem, unfixiertem Gewebe. Lesen Sie mehr über die Vorteile und die Fehlerquellen dieser Methode.

Die neuen Leitlinien zur peripheren arteriellen Verschlusskrankheit (PAVK): Ein kritischer Methodenvergleich aus einer globalen Perspektive

Zur Behandlung der peripheren arteriellen Verschlusskrankheit (PAVK) und des diabetischen Fußsyndroms mit durchblutungsbedingten Wunden existieren zahlreiche nationale und internationale Praxisleitlinien unterschiedlicher Fachgesellschaften. Die …

Operatives Management von Riesenhämangiomen im Lobus caudatus: eine Übersicht zu dem intraoperativen Management und der Rolle der künstlichen Intelligenz (KI) bei der Verbesserung der chirurgischen Ergebnisse

Die Behandlung von Riesenhämangiomen im Lobus caudatus bleibt aufgrund der komplexen Anatomie und der Nähe des Lobus caudatus zu wichtigen Gefäßstrukturen eine große Herausforderung. Jüngste Fortschritte im Bereich der künstlichen Intelligenz (KI) …

Kombinierte Radioimmuntherapie solider Tumoren in der Klinik

Die Einführung von ICI in die strahlentherapeutische Behandlung lokal fortgeschrittener Plattenepithelkarzinome des Kopf-Hals-Bereichs („locally advanced head and neck squamous cell carcinoma“ [LA-HNSCC]) ist eine der größten Herausforderungen im …

„Ozempic-Face“: Wie die Abnehmspritze die Ästhetik verändert

Der Hype um die GLP-1-Rezeptor-Agonisten (GLP-1-RA) wie Semaglutid und Tirzepatid hat in den letzten Jahren stark zugenommen. Sie sind als „Abnehmspritze“ bekannt und werden gerne off-label zur Gewichtsreduktion genutzt. Doch der damit einhergehende schnelle Gewichtsverlust hat auch seine ästhetischen Schattenseiten, darunter das sogenannte „Ozempic-Face“, das durch Volumenverlust im Gesichtsbereich gekennzeichnet ist.

Moderne Krebstherapien verstehen: Grundlagen der Immunonkologie

Wie unterscheidet das Immunsystem zwischen "fremd" und "selbst"? Im Beitrag werden Mediatoren und Mechanismen der immunologischen Tumorabwehr und ihre Zielstrukturen beschrieben, die für aktuelle klinische Anwendungen in der Krebsimmuntherapie relevant sind bzw. in naher Zukunft wahrscheinlich an Relevanz gewinnen.

Neue Immuncheckpoint-Inhibitoren und Kombinationen

Trotz signifikanter Fortschritte bestehen weiterhin Limitationen durch schwierige Patientenselektion, Resistenzen sowie immunvermittelte Nebenwirkungen (irAE). Neue Strategien zielen darauf ab, die Effektivität bestehender Therapien durch gezieltere Immunmodulation, neue Zielstrukturen und eine Steuerung des Tumormikromilieus (TME) zu erhöhen.

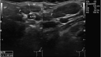
So behandle ich den Morbus Castleman

Verschiedene Pathomechanismen erfordern unterschiedliche Therapien für Morbus Castleman. Der unizentrische Morbus Castleman ist als lokale Hyperplasie operativ meist heilbar. Der multizentrische Morbus Castleman hingegen ist eine Systemerkrankung mit potenziell lebensbedrohlichen Symptomen.

Difelikefalin, Gabapentin – was hilft Dialysepatienten mit chronischem Pruritus?

Noch immer ist Pruritus ein häufiges Problem bei fortgeschrittener Niereninsuffizienz. Die Betroffenen leiden meist stark unter dem quälenden Juckreiz. Wie können Sie den urämischen Pruritus in der Praxis erkennen und wer profitiert von den neuen, opioidrezeptorbezogenen Therapeutika?

Diagnostik und Therapie des Ulcus cruris venosum – Zusammenfassung der S2k-Leitlinie

Die schwerste Verlaufsform chronisch venöser Erkrankungen ist das Ulcus cruris venosum. Im letzten Jahr wurde die S2k-Leitlinie „Diagnostik und Therapie des Ulcus cruris venosum” veröffentlicht. Was ist zur frühzeitigen Erkennung wichtig und was ist das sogenannte „Sourcing“?

Häufige Haut- und Weichgewebeinfektionen – aktuelle Leitlinie

Abszesse, Erysipele oder unkomplizierte Phlegmonen gehören zu den häufigsten Infektionen in dermatologischen Praxen. Diese Übersicht auf Basis der neuen Leitlinie soll helfen, Weichgewebeinfektionen gezielt antibiotisch zu behandeln und Resistenzen zu vermeiden.

Kawasaki-Syndrom – Diskussion zur US-Leitlinie von 2024

Sieben Jahre nach der letzten Stellungnahme hat die American Heart Association ihre Leitlinien zum Kawasaki-Syndrom aktualisiert. Die Diagnose bleibt klinisch; ein spezifischer Biomarker fehlt weiterhin. Die erforderliche Fieberdauer wurde von 5 …

IgE immunoadsorption: technical background, functionality, and first clinical experience

Background: The prevalence of allergic diseases has risen in the 21st century, drawing attention to specific therapeutic and preventive strategies. Due to the key role of immunoglobulin E (IgE) in the development of allergic reactions, IgE …

Therapeutische Ansätze bei Nahrungsmittelallergien

Diese Arbeit gibt eine Übersicht über die verschiedenen Therapieoptionen bei Nahrungsmittelallergien, angefangen vom Verzehr stark erhitzter Lebensmittel, über Immuntherapien, Lebensmittel-Leitern bis zur medikamentösen Behandlung.Zitierweise: …

Epidemiologie der Nahrungsmittelallergie

Nahrungsmittelallergien sind mit erheblichen psychosozialen Belastungen und Einschränkungen der Lebensqualität verbunden. Während Eltern oft von Nahrungsmittelallergien bei ihren Kindern berichten, zeigen Studien, dass die wahrgenommene Prävalenz …

Diagnostik von Nahrungsmittelallergien

Allergiediagnostik bei Nahrungsmittelallergien erfordert ein überlegtes Vorgehen vom ersten Schritt an. Ursache ist das häufige Vorliegen von klinisch irrelevanten IgE-Sensibilisierungen bei einer hohen Anzahl an Personen. Die Gleichsetzung von …

Der Einfluss von Ernährungsberatung auf allergische Reaktionen bei Kindern mit Nahrungsmittelallergie

Hintergrund: Ernährungsberatung bei Nahrungsmittelallergien zielt darauf ab, Betroffene dabei zu unterstützen, allergische Reaktionen zu vermeiden. Der konkrete Einfluss dieser Intervention auf die Häufigkeit allergischer Reaktionen ist jedoch …

Plaque-Psoriasis: PDE-4-Hemmer – erste orale Systemtherapie für Kinder

Aktuelle Zweijahresdaten der SPROUT-Studie bestätigten ein ausgewogenes Wirksamkeits- und Verträglichkeitsprofil des Phosphodiesterase-4-Hemmers Apremilast bei Kindern und Jugendlichen ab sechs Jahren mit mittelschwerer bis schwerer Plaque-Psoriasis. Auch bei Manifestationen z.B. an Kopfhaut, Gesicht, Nägeln erwies er sich als wirksam.

Mit freundlicher Unterstützung von:
  • Amgen GmbH

Herpes-Zoster-Impfung: Für wen wird sie empfohlen?

Eine wirksame und sichere Impfung gegen Herpes Zoster wird seit 2018 von der Ständigen Impfkommission empfohlen. Dennoch verzeichnet Deutschland eine niedrige Impfquote. Der folgende Artikel beantwortet häufige Fragen, die dabei aufkommen.

Gewitterasthma: eine bisher unterschätzte Gefahr

Auch in Deutschland gewinnt das Phänomen Gewitterasthma angesichts der steigenden Pollenbelastung und veränderter Wetterbedingungen durch den Klimawandel immer mehr an Bedeutung. Doch was genau steckt hinter den Symptomen?

Die Charcot-Osteoarthropathie

Bei der Charcot-Osteoarthropathie handelt sich um einen osteodestruktiven Prozess, der gekennzeichnet ist durch das Fehlen einer protektiven Propriozeption und bei dem Fehlbelastungen zu rezidivierenden Mikrotraumatisierungen, Triggerung einer …

Extrakorporale Stoßwellentherapie bei chronischen Wunden

Um die Heilung chronischer Wunden wie diabetisch oder venös bedingte Ulzera zu fördern, kann die Behandlung unter anderem durch die extrakorporale Stoßwellentherapie ergänzt werden. Diese rückt zunehmend in den Fokus der Forschung zur Wundheilung und steht im Mittelpunkt von diesem Artikel.

Eine eigenständige Störungskategorie für Trichotillomanie und Co.

Mit Ausnahme der Trichotillomanie waren körperbezogene repetitive Verhaltensstörungen wie pathologisches Haareausreißen, Skin Picking oder Nägelkauen in der ICD-10 mit keinem eigenen Code bedacht. Die Einführung der ICD-11 bringt wichtige Veränderungen hinsichtlich dieser Störungsbilder und ihrer Diagnosemöglichkeiten mit sich. Welche das sind, wird in diesem Überblick aufgezeigt.

SAPHO – Synovitis, Akne, Pustulosis, Hyperosteose, Osteitis

Die Pathogenese des SAPHO-Syndroms ist bisher nicht abschließend geklärt. Bisherige Forschungsergebnisse deuten auf ein komplexes Zusammenspiel zwischen immunologischer Dysregulation, genetischer Prädisposition und Umweltfaktoren hin. In einzelnen …

Adulte chronische nichtbakterielle Osteitis

Die adulte chronisch nichtbakterielle Osteitis (CNO) ist eine seltene autoinflammatorische Knochenerkrankung, die bislang unter uneinheitlichen Bezeichnungen wie SAPHO (Akronym: Synovitis, Akne, Pustulosis, Hyperostose, Osteitis) oder SCCH …

Indikation und Wirkung der Intermittierenden Pneumatischen Kompressionstherapie (IPK)

Die Intermittierende Pneumatische Kompressionstherapie (IPK), auch unter ihrer früheren Bezeichnung Apparative Intermittierende Kompressionstherapie (AIK) bekannt, wird weltweit in der Entstauungstherapie bei peripheren Ödemerkrankungen, in der …

Kompaktes Leitlinien-Wissen Dermatologie (Link öffnet in neuem Fenster)

Mit medbee Pocketcards schnell und sicher entscheiden.
Leitlinien-Wissen kostenlos und immer griffbereit auf ihrem Desktop, Handy oder Tablet.

Neu im Fachgebiet Dermatologie

STIKO ändert Empfehlung zur Herpes zoster-Impfung

Menschen mit erhöhtem Risiko, an Herpes zoster zu erkranken, empfiehlt die STIKO nun, sich bereits ab 18 statt ab 50 Jahren mit dem Totimpfstoff Shingrix impfen zu lassen.

Bildgebung in der Nachsorge von Melanomen womöglich nutzlos?

Verschiedene Leitlinien zum Melanom, darunter die deutsche, empfehlen in der Nachsorge von Personen mit hohem Rückfallrisiko, die Betroffenen routinemäßig einer Schnittbildgebung zu unterziehen. Wie nützlich das ist, soll die TRIM-Studie herausfinden.

Welche Nagelverfärbungen Indikatoren systemischer Erkrankungen sind

Veränderungen der Nagelfarbe und der Gefäßstruktur des Nagelbetts können frühe Anzeichen systemischer Erkrankungen sein. Eine aktuelle Übersichtsarbeit fasst die wichtigsten klinischen Befunde zusammen und erläutert deren diagnostische Relevanz für die ärztliche Praxis.

Podcast

Frailty: Funktionalität erhalten – aber wie?

Ab 60 Jahren in die Muckibude? Häufiger ein Frühstücksei im Alter? Zurückhaltung bei der Blutdruckregulation? Persönlich wie auch fachlich besprechen Markus M. Lerch und Cornel Sieber die Besonderheiten bei Prävention und Therapien im Alter. Und was es eigentlich bedeutet, gebrechlich – also frail – zu sein.

Deutsche Gesellschaft für Innere Medizin

Update Dermatologie

Bestellen Sie unseren Fach-Newsletter und bleiben Sie gut informiert.

Bildnachweise
Titelbild Kongress Kompakt EULAR 2025/© Hintergrundbild: william87 / stock.adobe.com, Wunde wird mit Wundspray versorgt/© Ilja / Stock.adobe.com (Symbolbild mit Fotomodell), Kutane Arzneimittelreaktion/© Hötzenecker, W., Hautveränderungen an der rechten Wange/© M.V. Heppt, In Risikogebieten tragen circa 1–2 % der Zecken das FSME-Virus./© astendal / stock.adobe.com (Symbolbild mit Fotomodell), MRT-Aufnahmen der Kopfschwarte bei Riesenzellarteriitis/© Universitätsklinikum Würzburg, Fillerbehandlung im Gesicht eines Mannes/© Microgen / stock.adobe.com (Symbolbild mit Fotomodell), Neurofibromatose auf der Haut/© Alexander Schuh / Klinikum Fichtelgebirge, Wespen auf Stein/© merlion / Getty Images / iStock (Symbolbild), Eine Person raucht eine E-Zigarette/© vchalup / stock.adobe.com (Symbolbild mit Fotomodell), Mund mit herausgestreckter Zunge: Medikamenteninduzierte Xerostomie mit extrem trockener Mundschleimhaut/© F. Halling | Die junge Zahnmedizin (16)·3:26-31, Aknenarben/© Hautwerk, Konfokale optische Kohärenztomographie mit Line-Field-Technologie/© Deußing, M. et al. / all rights reserved Springer Medizin Verlag GmbH, Ex vivo konfokales Laserscanmikroskopiebild eines Morbus Bowen/© Grunewald S et al. / all rights reserved Springer Medizin Verlag GmbH, Zwei Injektionspens mit Semaglutid/© Kassandra / Stock.adobe.com, Immuncheckpointinhibitoren binden an Krebszelloberflächenproteine /© Juan Gärtner / stock.adobe.com, Morbus Castleman: Sonographie eines Lymphknotens/© Springer Medizin, Person kratzt sich am Arm/© 9nong / stock.adobe.com (Symbolbild mit Fotomodell), Arzt tastet Bein ab/© Stratocaster / Stock.adobe.com (Symbolbild mit Fotomodellen), Hämorrhagisches Erysipel am Unterschenkel/© Sunderkötter C et al. / all rights reserved Springer Medizin Verlag GmbH, Piks in Oberarm/© stalnyk / stock.adobe.com, Gewitter mit Blitzschlag/© solarseven / Getty images / iStock, Behandlung eines diabetischen Druckulkus/© Alexander Schuh, Eine Person, die sich juckt und kratzt/© Maria Fuchs / stock.adobe.com (Symbolbild mit Fotomodell), Die Leitlinien für Ärztinnen und Ärzte, Herpes Zoster am Rücken/© Mumemories / Getty Images / iStock (Symbolbild mit Fotomodell), Mann erhält einen CT-Scan /© Mark Kostich / stock.adobe.com (Symbolbild mit Fotomodell), DGIM Podcast-Reihe - Frailty/© (M) David L / peopleimages.com / Stock.adobe.com (Symbolbild mit Fotomodell)