Zum Inhalt

DGHO 2025

DGHO 2025

Jahrestagung der Deutschen, Österreichischen und Schweizerischen Gesellschaften für Hämatologie und Medizinische Onkologie

24. - 27. Oktober 2025 | Köln
Wie gelingt eine strukturierte Delirprävention? Welche Rolle spielen metabolische Prozesse bei der Tumorentstehung? Und welche medikamentösen Optionen gibt es um Patientinnen und Patienten mit Tumorkachexie zu unterstützen? Diese und viele weitere Fragen wurden in Köln diskutiert. Unsere Highlights vom DGHO-Kongress lesen Sie hier.

Robuste antitumorale Aktivität bei tenosynovialem Riesenzelltumor

Die 2-Jahres-Daten der Phase-III-Studie MOTION bestätigen Vimseltinib als anhaltend wirksame Therapieoption für Patientinnen und Patienten mit tenosynovialen Riesenzelltumoren bei handhabbarem Risikoprofil.

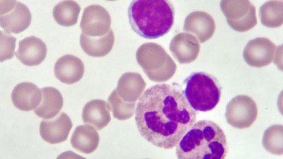
CLL: Resistenzmechanismen bei BTK-Inhibition durchbrechen

Bruton-Tyrosinkinase-Inhibitoren (BTKi) haben die Therapie der chronischen lymphatischen Leukämie (CLL) revolutioniert. Doch Resistenzen schmälern den Therapieerfolg. Neue Ansätze umgehen Resistenzmechanismen oder eröffnen Alternativtherapien.

Ösophagogastrale Karzinome: "Highlight des Jahres" und mehr

Sowohl bei der zielgerichteten Behandlung als auch der Immuntherapie von resezierbaren Karzinomen des Magens und des gastroösophagealen Übergangs gibt es neue Daten. Ein Highlight: Die Ergebnisse zum Gesamtüberleben der Phase-III-Studie MATTERHORN.

Immuncheckpoint-Blockade überall wirksam – nur nicht bei Lymphomen?

Innerhalb von nur zehn Jahren wurden Checkpoint-Inhibitoren in mehr als 110 Indikationen zugelassen, vor allem bei soliden Tumoren. Das Therapieprinzip ist auch in hämatologischen Indikationen oft erfolgreich, nicht aber bei den großzelligen Lymphomen.

Polypharmazie bei Krebs – so gelingt die Delirprävention

Die medikamentöse Versorgung älterer Krebskranken ist oft komplex – viele nehmen bereits vor der Tumordiagnose mehrere Arzneimittel ein. Diese Polypharmazie birgt Risiken, insbesondere für die Entwicklung eines Delirs. Auf der DGHO-Jahrestagung gab Dr. Nina Rosa Neuendorff, Herne, Tipps zur Prävention bei Hochbetagten. 

Mehr erfahren

Vergangene onkologische Kongresse

Kongress der European Society For Medical Oncology

17. - 21. Oktober 2025 | Berlin
Für tosenden Applaus sorgten auf dem diesjährigen ESMO Congress in Berlin die Studienergebnisse zu perioperativem Enfortumab-Vedotin und Pembrolizumab bei muskelinvasivem Blasenkarzinom, wenn Cisplatin keine Option ist. Die Radioligandentherapie 177Lu-PSMA-617 beim metastasierten kastrationsresistenten Prostatakarzinom wurde hingegen kritischer diskutiert. Diese und weitere Highlight vom ESMO 2025 finden Sie im Kongressdossier.

Kongress der European Hematology Association

12. - 15. Juni 2025 | Mailand
Ein neuer Antikörper, der gleich zwei Antigene ins Visier nimmt. 5-Jahres-Daten der GAIA/CLL13-Studie, die einen Vorteil für Patientinnen und Patienten mit Venetoclax-basierter Triple-Therapie zeigt. Oder ein Prognose-Tool, das dabei hilft, die Gebrechlichkeit vor einer allogenen Stammzelltransplantation einzuschätzen. Diese und weitere Highlights vom EHA-Kongress 2025 finden Sie im Kongressdossier.

Annual Meeting der American Society of Clinical Oncology 2025

30. Mai - 3. Juni 2025 | Chicago
Zahlreiche vielversprechende Studiendaten wurden dieses Jahr auf dem ASCO in Chicago diskutiert: Ein neuer Standards ist zur Therapie der Polycythemia vera in Sicht. Bei Kolonkarzinom und Plattenepithelkarzinom bewähren sich adjuvante Immuntherapien. Mehr zu diesen und weiteren Highlights lesen Sie hier im Kongressdossier.

Neu im Fachgebiet Onkologie

Tiefere Diagnostik, mehr Therapietargets bei metastasiertem Brustkrebs

Eine umfangreichere molekulardiagnostische Aufarbeitung kann bei metastasiertem Brustkrebs mehr therapierelevante Angriffsstellen aufdecken als das Standardvorgehen, was sich in Behandlungsvorteile übersetzt. Dafür sprechen zumindest die ersten Ergebnisse der deutschen CATCH-Studie.     

Steigert Langzeit-Cannabiskonsum das Risiko für Hodentumoren?

Männer, die regelmäßig oder über viele Jahre Cannabis konsumieren, entwickeln häufiger testikuläre Keimzelltumoren – vor allem nicht-seminomatöse Formen. Darauf verweist eine Analyse von drei Fall-Kontroll- und zwei Beobachtungsstudien.

Akute Zystitis kann auf künftigen Krebs hinweisen

Die Diagnose einer akuten Zystitis im Alter ab 50 Jahren hat sich in einer Studie als nützlicher Prädiktor kommender urogenitaler Krebserkrankungen erwiesen. Besonders hoch ist das Risiko demnach in den ersten drei Monaten nach der Blasenentzündung.

Wo ist das größte Innovationspotenzial in der Strahlentherapie?

"Das größte Potenzial liegt in der Verbindung biologischer und technischer Innovationen", sagt Professor Emmanouil Fokas, stellvertretender Sprecher der AG Radiologische Onkologie in der DKG und benennt Beispiele. Über seine radiologischen Highlights auf dem Krebskongress 2026 und wie mehr Nachwuchs für sein Fach begeistert werden kann, erzählt er im Interview.

Mit freundlicher Unterstützung von:
  • Deutsche Krebsgesellschaft und Deutsche Krebshilfe

Update Onkologie

Bestellen Sie unseren Fach-Newsletter und bleiben Sie gut informiert.

Bildnachweise
Köln/© Simon / stock.adobe.com, Frau unkenntlich fasst sich ans Knie/© Pornpak Khunatorn / Getty Images / iStock (Symbolbild mit Fotomodell), Blutabstrich der chonisch lymphatischen Leukämie/© jarun011 / Getty Images / iStock, Endoskopische Befunde des Magenkarzinoms/© Probst, A., Messmann, H. / all rights reserved Springer Medizin Verlag GmbH, Diffus großzelliges B-Zell-Lymphom (DLBCL)/© David A Litman / stock.adobe.com, Senior nimmt Medikament an/© Yuri Arcurs / Fotolia (Symbolbild mit Fotomodellen), Berliner Dom/© Photocreo Bednarek / Stock.adobe.com, Mailand/© walipix / stock.adobe.com, Blick auf die Skyline von Chicago vom Lake Michigan/© nuinthesky / stock.adobe.com, Person setzt DNS-Probe in Maschine ein/© Vit Kovalcik / stock.adobe.com, Mann raucht Joint/© Daniel Sierralta / Westend61 / stock.adobe.com (Symbolbild mit Fotomodell), Blut in Toilette/© stylefoto24 / stock.adobe.com