Zum Inhalt

DGVS-Kongress 2023

Viszeralmedizin-Kongress (DGVS) 2023

11.-16. September 2023 | Hamburg

Auch im hohen Alter spricht nichts gegen eine Koloskopie und weder CED noch Zöliakie sind ein Grund auf Kinder zu verzichten – das waren zwei Themen beim diesjährigen Viszeralmedizin-Kongress. Ebenfalls berichtet wurde über eine Anti-IL23-Therapie bei Colitis ulcerosa und neue Methoden in der Therapie von Analfisteln bei Morbus Crohn. Wir waren vor Ort, unsere Berichterstattung finden Sie in unserem Kongressdossier.

News vom Kongress

Kolorektales Karzinom: Screening ohne Grenzen?

Das kolorektale Karzinom ist die häufigste maligne Erkrankung der Verdauungsorgane. Die Inzidenz dieser Erkrankung steigt mit zunehmendem Lebensalter an. Immer wieder wird deshalb diskutiert, die Screening-Maßnahmen auch bei alten Menschen fortzuführen.

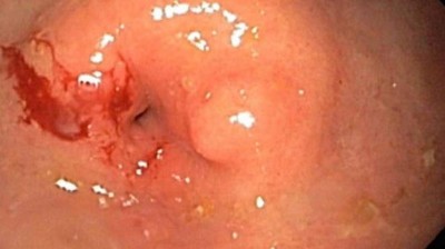
LAMS: sichere Abkürzung vom Magen zum Dünndarm

Bei einer Magenausgangsstenose wird die Anastomosierung von Magen und Dünndarm notwendig. Eine entsprechende Operation geht aber mit einer hohe Morbidität und Komplikationsrate einher und ist für Patientinnen und Patienten in der Palliativsituation oft nicht geeignet.

CED und Zöliakie kein Grund für selbst gewählte Kinderlosigkeit

Ob chronisch-entzündliche Darmerkrankung (CED) oder Zöliakie – viele betroffene Frauen haben Bedenken, schwanger zu werden und verzichten auf ein Kind. Eine adäquate Therapie in der Schwangerschaft vorausgesetzt, ist das aber unnötig.

Anti-IL23-Therapie lindert früh belastende Symptome bei Colitis ulcerosa

In den Studien LUCENT-1 und -2 führte Mirikizumab gegenüber Placebo zu mehr und länger anhaltenden klinischen Remissionen bei moderater oder schwerer Colitis ulcerosa nach Versagen vorangegangener Therapien. Schon früh ist für die Betroffenen ein Vorteil spürbar.

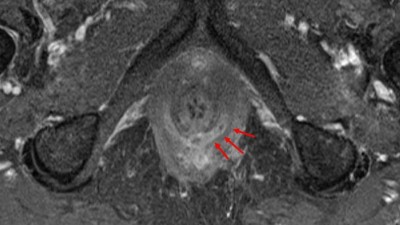
Der Heilung näher: Allogener Analfistelverschluss

Für die Therapie von Analfisteln bei Morbus Crohn gibt es neue Methoden: allogene mesenchymale Stammzellen als Alternative zu expandierten Stammzellen aus Fettgewebe oder die bioaktive Matrix.

Mehr erfahren

Weitere News vom Kongress

COVID-19: Darmselektives Nicotinamid unterstützt die Erholung

Bei viralen Infektionen wird ein verstärkter Tryptophanabbau beobachtet. In Studien sind niedrige Tryptophanwerte mit einer höheren Wahrscheinlichkeit für einen schweren Verlauf von COVID-19 und Veränderungen im Darmmikrobiom assoziiert. Daraus ergibt sich ein interessanter therapeutischer Ansatz.

Affenpocken im Analbereich

15 Monaten nach ihrem Beginn ist die weltweite Affenpocken-Epidemie durch Distanzmaßnahmen, Impfung und Therapie abgeflaut. Ausbrüche wird es aber weiter geben. Deshalb ist die Kenntnis der Erkrankung und ihrer Therapie weiter wichtig.

Berichte aus den Vorjahren vom Viszeralmedizin-Kongress

Viszeralmedizin-Kongress 2022

12.–17. September 2022 | Hamburg
Kann operiert werden oder ist ein endoskopischer Eingriff die schonendere Wahl? Wie gelingt ein sicherer Umgang mit Antibiotika? Wie sollte man über Tabuthemen wie Pruritus ani informieren? Das waren wichtige Diskussionen beim Viszeralmedizin-Kongress 2022. Doch auch die Umwelt spielte ein Rolle: Wie lässt sich der ökologische Fußabdruck der Endoskopie verbessern, ohne das Infektionsrisiko zu erhöhen?

Viszeralmedizin-Kongress 2021

13.–18. September 2021 | Leipzig
Leberadenome sind häufig Zufallsbefunde der Sonographie – doch wie geht es damit weiter? Mitunter besteht ein erhöhtes Malignitätsrisiko, weshalb ein genaues Abklären erforderlich ist. Ein weiteres Thema beim Viszeralmedizin-Kongress 2021 war das Perforationsrisiko im unteren Gastrointestinaltrakt. Nur etwa die Hälfte der iatrogenen Läsionen werden während des Eingriffs erkannt. Und: Über ein häufiges Problem bei CED wird meist gar nicht gesprochen. Diese und andere Berichte lesen Sie im Kongressdossier.

Die Highlights des Viszeralmedizin-Kongresses 2020

Im Kongressdossier werden Sie unter anderen zu diesen Themen fündig: Wann sollte bei einer Clostridien-Infektion operiert werden? Diagnostiziert künstliche Intelligenz besser als der Arzt? Warum ist bei dementen Patienten weniger oft mehr? Wir waren für Sie vor Ort und geben Ihnen die Antworten.

Bildnachweise
Hamburg/© FotografieLink / Getty Images / iStock, Vorbereitung für Koloskopie/© Eugene Nekrasov / Getty Images / iStock (Symbolbild mit Fotomodellen), Magenausgangsstenose/© SpringerMedizin.de, Frau hält sich die Hände vor den Bauch/© Tharakorn / Getty Images / iStock (Symbolbild mit Fotomodell), Colitis ulcerosa/© Springer Medizin Verlag GmbH, Transsphinktäre Fistel/© Springer Medizin Verlag GmbH, SARS-CoV-2 im Elektronenmikroskop, coloriert/© narvikk / Getty Images / iStock, Perianale Affenpocken-Infektion/© D. Sterzing / all rights reserved Springer Medizin Verlag GmbH, DGVS Logo/© Deutsche Gesellschaft für Gastroenterologie, Verdauungs- und Stoffwechselkrankheiten, Hamburg/© carol_anne / Stock.adobe.com, Leipzig/© Jakob Fischer / stock.adobe.com, Logo DGVS Kongress 2020/© RiverNorthPhotography / Getty Images / iStock