Zum Inhalt
Die Pathologie

Disseminated coccidioidomycosis mimicking malignant lymphoma in a 14-year-old female

  • Open Access
  • 13.11.2025
  • Hauptreferate: Hauptprogramm der DGP – Kurzbeiträge
Erschienen in:
Download

Abstract

Coccidioidomycosis is a fungal infection that is often asymptomatic in immunocompetent individuals. When symptoms do occur, they often resemble a mild, flu-like illness. However, this disease can become clinically severe and disseminate, especially in immunocompromised patients or other high-risk groups. Failure to consider coccidioidomycosis in the differential diagnosis may lead to missed or delayed diagnosis, resulting in postponement of appropriate treatment.
Scan QR code & read article online

Publisher’s Note

Springer Nature remains neutral with regard to jurisdictional claims in published maps and institutional affiliations.
The Coccidioides species are thermally dimorphic fungi that can cause infections ranging from an asymptomatic presentation to disseminated clinical findings. In its disseminated form, coccidioidomycosis can present with clinical features that closely resemble other conditions. Herein, the authors highlight how disseminated coccidioidomycosis can mimic lymphoma, thereby emphasizing the importance of including coccidioidomycosis in the differential diagnosis.

Introduction

Coccidioidomycosis, also known as “valley fever,” is a fungal disease caused by Coccidioides immitis and Coccidioides posadasii, two species of fungi that are endemic to arid and semiarid regions of the southwestern United States of America (USA) and Latin America [2, 4, 5]. The infection is usually self-limiting; however, a proportion of cases require antifungal medication and treatment [5, 8]. Most patients who present clinically with this infection have respiratory symptoms [1, 8]. A proportion of individuals may progress to life-threatening severe pulmonary or disseminated disease. If there is lack of clinical suspicion for coccidioidomycosis, it may take longer to arrive at the true diagnosis, and essential treatment may be delayed. Presented below is a case of disseminated coccidioidomycosis that mimicked malignant lymphoma.
A 14-year-old African American female presented with a 3-month history of shortness of breath, fever, night sweats, and 13.6 kg weight loss. Physical examination showed a superficial forehead skin lesion, and there was no evidence of hepatosplenomegaly (Fig. 1). Computed tomography (CT) and magnetic resonance imaging (MRI) scans revealed diffuse bilateral hilar and mediastinal lymphadenopathy, including multiple infiltrative lesions that involved the thoracic and lumbar vertebral bodies and sacrum (Fig. 2).
Fig. 1
Ulcerated forehead lesion of the 14-year-old female patient
Bild vergrößern
Fig. 2
MRI revealing multiple infiltrative lesions involving thoracic and lumbar vertebral bodies
Bild vergrößern
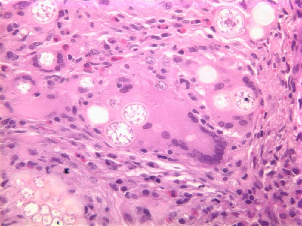
These findings were clinically and radiologically suspicious for lymphoma. The patient underwent bone marrow biopsy to rule out lymphoma, a solid tumor, or an infection with marrow involvement. The bone marrow biopsy was significant for a slightly left-shifted myeloid hyperplasia, mild megakaryocytic hyperplasia, and mild marrow eosinophilia. Significantly, thick-walled non-budding spherules with a granulomatous giant cell reaction were present within the bone marrow trephine core section and stained positively for periodic acid–Schiff (PAS) and Grocott’s methenamine silver (GMS; Figs. 3, 4, 5 and 6). In addition, fungal hyphae with arthrospores were detected in the patient’s blood and bronchial alveolar lavage cultures, and she was conclusively diagnosed with disseminated coccidioidomycosis.
Fig. 3
Hematoxylin and eosin (H&E) stain showing a granulomatous giant cell reaction
Bild vergrößern
Fig. 4
Periodic acid–Schiff stain highlighting thick-walled non-budding spherules filled with small endospores
Bild vergrößern
Fig. 5
Grocott’s methenamine silver stain highlighting thick-walled non-budding spherules filled with small endospores
Bild vergrößern
Fig. 6
Higher magnification of Grocott’s methenamine silver stain highlighting thick-walled non-budding spherules filled with small endospores
Bild vergrößern
The Coccidioides species are soil-dwelling, thermally dimorphic fungi, most common in the southwestern United States, although there appears to be more recent expansion into other central and northwestern states [5, 9]. Recent years have shown an increased disease burden with expansion of the geographic distribution, even though coccidioidomycosis is underdiagnosed and underreported [4, 5, 9]. It is estimated that the actual burden is 10–18 times higher than reported, and these findings are a growing public health concern [4].
C. immitis and C. posadasii exist as a mycelium in the soil (consisting of filamentous hyphae) and mature into arthroconidia (spores) [6]. The most common method of transmission to humans is by air inhalation of the arthroconidia [2, 7]. In the human body and tissues, the arthrospores transform into spherules, which are filled with hundreds of small endospores; when these spherules rupture, the endospores can disseminate and form new spherules [3, 6].
Approximately 60% of those infected with Coccidioides are asymptomatic, with subclinical findings [1, 3, 7]. The other 40% present with flu-like symptoms that are often indistinguishable from pneumonia [3, 8, 9]. This population of patients can present with a broad spectrum of symptoms, including low-grade fevers, headaches, chills, cough, night sweats, weight loss, and/or joint pain [6, 7].
Certain groups of people are at a higher risk of infection and severe disease, especially those who are immunocompromised, such as human immunodeficiency virus (HIV)/acquired immune deficiency syndrome (AIDS) or transplant patients [6]. Other established risk factors include pregnancy and occupations with high exposure to dust and soil [5, 6]. Higher rates of disseminated coccidioidomycosis have been noted in certain racial groups, including African Americans and Filipinos [3, 5, 6]. Persons with disseminated disease most frequently exhibit effects in skin or the musculoskeletal and/or central nervous system [68].
There are multiple methods for detecting and diagnosing coccidioidomycosis in affected patients. Detection by culture remains the gold standard for definitive diagnosis [6]. Inoculation of solid culture media will show growth of mycelium/hyphae [2, 6]. In tissue specimens, spherules containing endospores can present microscopically and are highlighted by the special fungal stains PAS and GMS [1, 2, 6, 8]. Serologic antibody testing is frequently used to detect coccidioidomycosis. Immunoglobulin M/G (IgM/IgG) precipitins appear within 1 to 4 weeks of symptom onset [6, 8]. Complement-fixing antibodies occur at lower titer initially but rise if dissemination occurs [6].
Depending on the severity of infection and the clinical history of the patient, treatment may vary. Immunocompetent hosts who are asymptomatic or have mild primary infections may not need any antifungal treatment and can overcome the infection naturally [3, 5]. Triazoles are usually the first line of treatment for symptomatic coccidioidomycosis, with fluconazole favored over other azoles [3, 5, 9]. Amphotericin B is used for persistent lung lesions, disseminated disease, meningitis, and/or cases that are resistant to triazoles [3, 5, 9].
In summary, the clinical presentation and radiological findings of this 14-year-old patient were strongly suggestive of a malignant lymphoma or solid tumor with bone marrow involvement. However, further diagnostic evaluation ultimately led to the diagnosis of coccidioidomycosis. This case underscores the importance of including coccidioidomycosis in the differential diagnosis when evaluating patients with similar presentations, particularly in endemic regions or high-risk populations.

Practical conclusion

  • Coccidioidomycosis is a fungal disease caused by the thermally dimorphic fungi Coccidioides species.
  • Disseminated coccidioidomycosis is occasionally seen and can present with clinical features suggestive of lymphoma.
  • Consider coccidioidomycosis as a differential diagnosis in patients with high-risk features to prevent a delay in appropriate treatment.

Declarations

Conflict of interest

I.E. Lee and J. Wang declare that they have no competing interests.
For this article no studies with human participants or animals were performed by any of the authors. All studies mentioned were in accordance with the ethical standards indicated in each case.
The supplement containing this article is not sponsored by industry.
Open Access Dieser Artikel wird unter der Creative Commons Namensnennung 4.0 International Lizenz veröffentlicht, welche die Nutzung, Vervielfältigung, Bearbeitung, Verbreitung und Wiedergabe in jeglichem Medium und Format erlaubt, sofern Sie den/die ursprünglichen Autor(en) und die Quelle ordnungsgemäß nennen, einen Link zur Creative Commons Lizenz beifügen und angeben, ob Änderungen vorgenommen wurden. Die in diesem Artikel enthaltenen Bilder und sonstiges Drittmaterial unterliegen ebenfalls der genannten Creative Commons Lizenz, sofern sich aus der Abbildungslegende nichts anderes ergibt. Sofern das betreffende Material nicht unter der genannten Creative Commons Lizenz steht und die betreffende Handlung nicht nach gesetzlichen Vorschriften erlaubt ist, ist für die oben aufgeführten Weiterverwendungen des Materials die Einwilligung des jeweiligen Rechteinhabers einzuholen. Weitere Details zur Lizenz entnehmen Sie bitte der Lizenzinformation auf http://creativecommons.org/licenses/by/4.0/deed.de.

Publisher’s Note

Springer Nature remains neutral with regard to jurisdictional claims in published maps and institutional affiliations.
Download
Titel
Disseminated coccidioidomycosis mimicking malignant lymphoma in a 14-year-old female
Verfasst von
Iris E. Lee, MD
Jun Wang, MD
Publikationsdatum
13.11.2025
Verlag
Springer Medizin
Erschienen in
Die Pathologie / Ausgabe Sonderheft 1/2026
Print ISSN: 2731-7188
Elektronische ISSN: 2731-7196
DOI
https://doi.org/10.1007/s00292-025-01509-8
1.
Zurück zum Zitat Agarwal P, Gami ROAF, Khor SY, Haddad I (2022) Disseminated Coccidioidomycosis in an Immunocompetent Male Who Lived in an Endemic Region in the Remote Past: A Case Report. curēus Publ Online. https://doi.org/10.7759/cureus.25249CrossRef
2.
Zurück zum Zitat Ampel NM (2009) The diagnosis of coccidioidomycosis. F1000 Med Rep. https://doi.org/10.3410/m2-2 (Published online January)CrossRef
3.
Zurück zum Zitat Ampel NM (2015) The Treatment Of Coccidioidomycosis. Rev Inst Med trop S Paulo 57(Suppl 19):51–56. https://doi.org/10.1590/S0036-46652015000700010CrossRefPubMedPubMedCentral
4.
Zurück zum Zitat CDC Facts and Stats about Valley fever (Coccidioidomycosis). Valley Fever (Coccidioidomycosis). https://www.cdc.gov/valley-fever/php/statistics/index.html. Accessed 15 May 2024
5.
Zurück zum Zitat Hernandez H, Erives VH, Coccidioidomycosis MLR (2019) Epidemiology, Fungal Pathogenesis, and Therapeutic Development. Curr Trop Med Rep 6(3):132–144. https://doi.org/10.1007/s40475-019-00184-zCrossRefPubMedPubMedCentral
6.
Zurück zum Zitat Mchardy IH, Barker BM, Thompson GR (2023) Review of Clinical and Laboratory Diagnostics for Coccidioidomycosis. J Clin Microbiol. https://doi.org/10.1128/jcm.01581-22CrossRefPubMedPubMedCentral
7.
Zurück zum Zitat Gharakhanian R, Ohno A, Craig D, Wang S (2023) Valley fever, mimicker of malignancy. heliyon (londen) 9(1):e12900–e12900. https://doi.org/10.1016/j.heliyon.2023.e12900CrossRef
8.
Zurück zum Zitat Saubolle MA (2007) Laboratory Aspects in the Diagnosis of Coccidioidomycosis. Ann NY Acad Sci 1111(1):301–314. https://doi.org/10.1196/annals.1406.049CrossRefPubMed
9.
Zurück zum Zitat Williams SL, Chiller T (2022) Update on the Epidemiology, Diagnosis, and Treatment of Coccidioidomycosis. J Fungi 8(7):666. https://doi.org/10.3390/jof8070666CrossRef

Kompaktes Leitlinien-Wissen Innere Medizin (Link öffnet in neuem Fenster)

Mit medbee Pocketcards schnell und sicher entscheiden.
Leitlinien-Wissen kostenlos und immer griffbereit auf ihrem Desktop, Handy oder Tablet.

Neu im Fachgebiet Innere Medizin

Prostatakarzinom: Frühe Taxantherapie bei Rauchern von Vorteil?

Eine Studie aus Japan legt nahe, dass Raucher mit Prostatakarzinom möglicherweise von einer frühzeitigen Chemotherapie mit Taxanen profitieren.

Pflanzenbasierte Kost und Krebsrisiko

Eine gepoolte Analyse von elf prospektiven Studien liefert eine umfassende Bestandsaufnahme zu Zusammenhängen von verschiedenen Kostformen und dem Krebsrisiko. Neben bekannten Vorteilen von eher pflanzenbasierten Kostformen fanden sich überraschenderweise auch Hinweise auf einzelne ungünstige Effekte.   

Erhöhtes Krebsrisiko unter Erythropoese-Stimulation

Hohe Wochendosierungen Erythropoese-stimulierender Substanzen erhöhen möglicherweise das Krebsrisiko von dialysepflichtigen Personen: In einer Analyse aus Korea traten neue Tumorerkrankungen bei hohen Dosierungen um etwa ein Viertel häufiger auf.

Vor der TAVI erst noch eine PCI?

Relevante Koronarstenosen vor einer Transkatheter-Aortenklappen-Intervention (TAVI) interventionell statt rein medikamentös zu behandeln, bietet Registerdaten zufolge einen überschaubaren klinischen Nutzen zum Preis eines erhöhten Blutungsrisikos.

Update Innere Medizin

Bestellen Sie unseren Fach-Newsletter und bleiben Sie gut informiert.

Bildnachweise
Die Leitlinien für Ärztinnen und Ärzte, Mann raucht eine Zigarette/© (M) StockPlanets / Getty images / istock (Symbolbild mit Fotomodell), Seniorenpaar frühstückt/© Halfpoint / stock.adobe.com (Symbolbild mit Fotomodellen), Dialyse/© Semen Salivanychuk / stock.adobe.com (Symbolbild mit Fotomodell)