Zum Inhalt

Effectiveness of root canal therapy in auto-transplanted third molars: a systematic review, meta-analysis and case series report

  • Open Access
  • 01.04.2025
  • Review
Erschienen in:

Abstract

Objectives

The existing literature indicates insufficient conclusive evidence regarding the efficacy of root canal therapy (RCT) in conjunction with third molar autologous tooth transplantation (ATT). This systematic review aims to evaluate the long-term survival rates and complications associated with this method.

Materials and methods

A comprehensive search was conducted across multiple databases, including PubMed, EMBASE (OVID), Web of Science (WOS), EBSCO, SpringerLink, Oxford, and ScienceDirect. This systematic review adhered to the guidelines set forth by the PRISMA and was registered in PROSPERO (CRD42024585817). This study calculated pooled survival rates, root resorption rates, and overall survival metrics. Subgroup analyses were performed to investigate the influence of follow-up duration, sample size, timing of endodontic treatment, and endodontic treatment on outcomes. Statistical significance was determined using an alpha value of 0.05, with 95% confidence intervals (CI) reported for pooled estimates. Heterogeneity was assessed using the I2 statistic and Cochran’s Q test.

Results

Among the 17 included studies, the follow-up period ranged from 1 to 29 years. After excluding two studies with 100% survival rates, the overall 1-year survival rate was 96% (P < .0001). Studies with mixed samples showed a higher 20-year survival rate compared to those exclusively involving third molars (46.2% vs. 41.3%; P = 0.029). RCT significantly improved survival and success rates in third molar autotransplantation, though heterogeneity varies across studies. The success rate reflects the completeness of treatment and indicates the restoration of tooth function, whereas the survival rate focuses more on the long-term retention of the tooth. The higher risk difference (RD) observed in the RCT group suggests that RCT enhances both survival and success rates. This finding highlights the potential role of RCT in enhancing the success of ATT. However, significant heterogeneity was observed across studies (I2 = 73%), and the difference between the two groups were not statistically significant (P = 0.37, I2 = 0%). These results may be influenced by follow-up duration, timing of endodontic treatment, and sample size. Therefore, the conclusions should be read with caution.

Conclusion

ATT of third molars with intact root formation represents a reliable approach for the replacement of missing teeth, demonstrating a high survival rate. Furthermore, RCT is associated with reduced complication rates and enhanced long-term survival.

Supplementary Information

The online version contains supplementary material available at https://doi.org/10.1007/s00784-025-06264-x.

Publisher's Note

Springer Nature remains neutral with regard to jurisdictional claims in published maps and institutional affiliations.

Introduction

Autogenous tooth transplantation (ATT) is a widely used approach for replacing missing teeth, providing both functional and aesthetic benefits while preserving proprioceptive feedback [1, 2]. Compared to other restorative methods, ATT offers superior biocompatibility, reduced costs, and shorter surgical procedures [3]. Additionally, the ability of transplanted teeth to integrate with adjacent structures promotes bone regeneration and contributes to long-term oral health [4].
However, the survival rate of ATT is influenced by several critical factors, including donor tooth selection, extraction-related trauma, periodontal membrane viability, root morphology, alveolar bone condition, and postoperative immobilization [2, 5, 6]. Moreover, ATT presents narrower clinical applicability along with heightened technical sensitivity and greater variability in outcomes—factors that may deter practitioners from utilizing this method [79].
Consequently, a range of factors must be considered when selecting ATT as a method for restoring missing teeth [10]. These include the patient’s oral condition, the quality and quantity of the grafted teeth, and the proficiency of surgical technique [11, 12]. Surgeons must conduct thorough evaluations and diagnoses to identify suitable candidates and develop precise treatment plans aimed at optimizing graft success rates and patient outcomes[1215]. Due to the limited efficacy of pulp revascularization in mature teeth, root canal therapy (RCT) has become a standard procedure to prevent pulp necrosis along with its associated periapical inflammation [8, 1618]. Initiating RCT 2–4 weeks post-transplantation, after achieving sufficient donor tooth stability, is recommended to facilitate permanent root canal filling and prevent resorption or inflammatory infections caused by pulp necrosis [8, 19].
In clinical practice, successful long-term healing of transplanted teeth without RCT has been observed, even after more than a decade. During donor tooth extraction, apical blood vessels and pulp may be disrupted by external forces [13, 20]. The pulp and blood vessels within the root canal can retract and thicken to a certain extent due to the soft and elastic nature of surrounding tissues [21]. This retraction may lead to an overflow of pulp into lateral canals, increasing pressure within the root canals and ultimately resulting in pulp necrosis, which adversely affects periapical healing of implanted teeth [21, 22]. when large apical foramina are present or pulp disruption occur outside the root canal, dental nerve tissues and blood vessels may establish integration with the transplantation socket, enabling pulp survival and successful healing [23, 24]. However, when there is a small apical foramen or if pulp is compromised during extraction, healing of the tooth may not occur optimally [25].
This systematic review aims to evaluate the correlation between RCT and the survival rates, success rates, and root resorption outcomes following third molar transplantation. Additionally, it presents three clinical cases of grafted teeth with varying root conditions that achieved successful regeneration without RCT, providing detailed surgical information.

Material and method

Registration

The systematic review followed the Preferred Reporting Items for Systematic Reviews and Meta-Analyses (PRISMA) guidelines and was registered in the International Prospective Register of Systematic Reviews (PROSPERO) under the registration number CRD42024585817.

Patient, intervention, comparison, outcome (PICO) criteria

This review employed the Patient, Intervention, Comparison and Outcome (PICO) framework. Patients who received ATT for missing teeth (P). Underwent RCT either immediately or at a delayed time point (I). Transplanted teeth untreated with RCT (C). This approach considered the adverse effects of pulp necrosis on surgical outcomes following donor tooth isolation. Survival served as the primary outcome, while success rates, root resorption, and pulpal status were designated as secondary outcomes (O). Consequently, the central question addressed by this systematic review was: “Does root canal treatment of donor teeth affect prognosis and clinical performance?”.

Inclusion and exclusion criteria

The inclusion and exclusion criteria for selecting studies were assessed. Inclusion criteria were (1) primary human studies, including studies on ATT of third molar teeth; (2) studies that reported at least one rate of root canal treatment, survival, success, root resorption, or failure; (3) studies with at least 1 year of follow-up; (4) case–control, prospective studies and retrospective studies in human; (5) studies published in English. Exclusion criteria were (1) studies that did not report third molar ATT success or survival rates; (2) studies that used donor teeth with incomplete root formation for ATT; (3) case reports, case series, expert opinions, and review articles; (4) animal or in vitro studies; (5) studies published in languages other than English of the study.

Information sources and literature search

In the first stage of writing this manuscript, two independent authors (YX and TK) conducted electronic and manual searches of the literature from 1970 to July 2024 in databases such as PubMed, EMBASE (OVID), Web of Science (WOS), EBSCO, SpringerLink, Oxford, and ScienceDirect. Recent studies on dental autologous transplantation were screened for research, using the database’s intelligent follow-up screening feature to ensure a comprehensive search.
Using Medical Subject Headings (MeSH), we constructed the following keywords: (third molar OR wisdom tooth OR wisdom teeth) AND (autotransplantation OR transplants) AND (root canal therapy). Publications were limited to English. The detailed search strategies for each electronic database are provided in Appendix 1. Additionally, a manual search of reference lists from relevant studies was performed. An experienced librarian assisted in developing the search strategies.

Data extraction and data validation

Data extraction and validation for study screening were conducted independently by two authors (YX and TK). Studies failing to meet the inclusion criteria were excluded. In cases of disagreement, a third author was consulted to reach a consensus. Retrieved articles were imported into EndNote 20.0 (Thomson ResearchSoft, CT, USA), with duplicates removed. Information extracted from the eligible studies included details such as the first author’s name, year of publication, country of origin, participant characteristics, donor tooth specifics, recipient site information, splinting procedures and duration, success rates, survival rates, root resorption rates, endodontic treatments, and timing of endodontic treatments. Cross-verification was performed to ensure data completeness and accuracy.

Statistical analysis

The risk of bias in the included studies was evaluated using the ROBINS-I (Risk of Bias in Non-Randomized Studies of Interventions) tool, as recommended by the Cochrane Handbook. Two authors (YX and TK) independently assessed potential bias related to confounding, participant selection, intervention classification, deviations from intended interventions, and missing data. Studies were classified as having low, moderate, or high risk of bias. Details of the assessments are provided in Appendix 2. Any disagreements regarding study selection, data extraction, or quality assessment were resolved through consensus discussions with a third reviewer (GDY).
To evaluate and address heterogeneity, we used fixed-effects or random-effects models based on the maximum likelihood method to calculate the combined survival rate, success rate, and root resorption rate. The survival curve was generated using the Freeman-Tukey double arcsine transformation to improve the normality and stability of proportional data. For binary data, the results were expressed as risk difference (RD). The weight of each study was calculated using the inverse variance method. A random-effects model was applied for data synthesis to account for variability between studies and the impact of event rates.
A forest plot was used to display the estimated values and their 95% confidence intervals (CI) for each study, along with the overall pooled estimate. Heterogeneity was assessed using Cochran’s Q test (chi-square test) with degrees of freedom equal to N-1, and a significance level of 0.10. If no significant heterogeneity was detected (P ≥ 0.10), a fixed-effects model was used for analysis. If significant heterogeneity was present (P < 0.10), a random-effects model was adopted. To further quantify the degree of heterogeneity, the I2 statistic was reported and interpreted, with thresholds of < 25%, 25%−50%, and > 50% indicating low, moderate, and high heterogeneity, respectively.
Subgroup analyses were performed to explore potential sources of heterogeneity and to assess the impact of specific variables on outcomes. Predefined subgroups were categorized according to treatment modality, duration of follow-up, and timing of root canal treatment. Through subgroup analysis, explore the impact of RCT on the combined survival and success rates, and generate survival curves. The analysis was conducted using Review Manager (REVMAN) software, version 5.4.

Results

Study selection

The electronic search yielded 355 articles. After the exclusion of 329 duplicates, 26 articles were screened based on their titles and abstracts, resulting in the identification of 24 articles for full-text evaluation. One article could not be retrieved despite assistance from an experienced librarian. Subsequently, 10 potentially relevant studies were excluded, leaving a total of 13 studies for analysis. A manual search conducted in PubMed identified an additional four studies. Consequently, a total of 17 studies met the inclusion criteria and underwent both qualitative and quantitative analyses. The flowchart illustrating the literature selection process is presented in Fig. 1.
Fig. 1
PRISMA flowchart of the literature search, screening, and selection
Bild vergrößern

Characteristics of included studies

Characteristics of Included Studies: The 17 studies included in this review were published between 1998 and 2022, originating from seven different countries. None of the studies were controlled design, among them, seven cohorts were retrospective while ten were prospective. Sample sizes varied significantly, ranging from 18 to 2,626 patients, with a mean sample size of 60.3 patients. In total, 4,089 patients were included in these studies, with 1,973 fully rooted third molars transplanted (Table 1).
Table 1
Characteristics and study design of studies included for analysis
Author/Year/Country
Study design
Patients/Male:Female/Teeth/Third molars
Age range
(Average)
Donor teeth site
(Third molars)
Recipient site
(Third molars)
Apical formation
(Third molars)
Surgical procedure
(Yes/No)
Medication
(Yes/No)
Anesthesia method
Maxilla
Mandible
Same
Opposite
Closed
Open
Thomsson
(1984-Sweden) [26]
RSP
24/9:15/26/5
13–59
(25)
22(3)
4(2)
24
2
16(3)
8(2)
Minimally invasive extraction Y
preservation fluid Y
radiographic N
3D technology N
BEFORE N
AFTER Y
local anesthesia
Andreasen
(1970-Denmark) [27]
PCS
69/54:15/76/76
11–43
(22.5)
7(7)
69(69)
69(69)
7(7)
58
18
Minimally invasive extraction Y
preservation fluid Y
radiographic Y
3D technology NR
BEFORE N
AFTER Y
local anesthesia
Keranmu
(2021-China) [28]
PCS
52/22:29/52/52
22–46
(32.63)
29(29)
23(23)
24(24)
28(28)
52(52)
0
Minimally invasive extraction Y
preservation fluid Y
radiographic Y
3D technology Y
BEFORE Y
AFTER Y
local anesthesia
Murtadha
(2017-UK) [29]
PCS
209/57:154/252/34
10–58
(18.7)
208(6)
44(28)
NR
NR
184(28)
68(6)
Minimally invasive extraction Y
preservation fluid Y
radiographic NR
3D technology NR
BEFORE N
AFTER Y
general anesthesia
Lin
(2020-TaiWan) [30]
PCS
2626/1523:1103/NR/1811
30.44 ± 10.32
820(820)
991(991)
NR
NR
NR
NR
NR
NR
NR
Nagori
(2014-India) [31]
PCS
19/10:19/19/19
16–25
5 (5)
14 (14)
6(6)
13(13)
6 (6)
14 (14)
Minimally invasive extraction Y
preservation fluid N
radiographic Y
3D technology N
BEFORE N
AFTER Y
local anesthesia
Yan
(2010-China) [32]
PCS
34/6:28/35/35
16–39
(24)
35 (35)
0(0)
NR
NR
19(19)
16(16)
Minimally invasive extraction Y
preservation fluid Y
radiographic Y
3D technology N
BEFORE Y
AFTER Y
local anesthesia
Yoshino
(2012-Japan) [33]
RSP
171/171:0/183/135
20–72
(44.8)
96(NR)
87(NR)
110(NR)
73(NR)
183(135)
0
Minimally invasive extraction Y
preservation fluid NR
radiographic NR
3D technology N
NR
NR
Abela
(2019-UK) [12]
RSP
314/111:203/329/40
10–58
(19.4)
87(NR)
242(NR)
NR
NR
NR
NR
Minimally invasive extraction Y
preservation fluid Y
radiographic Y
3D technology N
BEFORE N
AFTER Y
general anesthesia
Liao
(2023-China) [19]
RSP
27/10:17/27/27
18–51
(28.78)
6(6)
21(21)
23(23)
4(4)
NR
NR
Minimally invasive extraction Y
preservation fluid Y
radiographic Y
3D technology N
NR
local anesthesia
Marques-Ferreira
(2011-Portugal) [34]
RSP
26/12:14/NR/24
11–43
(22.34 ± 8.14)
NR
NR
NR
NR
12(12)
12(12)
Minimally invasive extraction Y
preservation fluid Y
radiographic Y
3D technology Y
BEFORE Y
AFTER Y
local anesthesia
Bolton
(1974-UK) [35]
PCS
60/NR/71/3
10–31
(15)
NR
NR
NR
NR
NR
NR
Minimally invasive extraction Y
preservation fluid Y
radiographic NR
3D technology N
BEFOR NR
AFTER Y
(not all cases)
general anesthesia
Kahnberg
(1987-Sweden) [25]
PCS
45/15:30/51/23
15–44
NR
NR
14(6)
37(17)
37(NR)
14(NR)
Minimally invasive extraction Y
preservation fluid NR
radiographic Y
3D technology N
NR
NR
Watanabe
(2010-Japan) [36]
RSP
27/10:17/33/6
24.1
15(2)
18(4)
4(3)
29(3)
33(6)
0
Minimally invasive extraction Y
preservation fluid NR
radiographic Y
3D technology NR
NR
local anesthesia
Aoyama
(2012-Japan) [37]
RSP
259/104:155/259/212
12–73
(40)
112 (90)
147(122)
NR
NR
NR
NR
NR
NR
NR
Sugai
(2010-Japan) [38]
PCS
109/41:68/117/83
11–75
(39)
52(35)
65(48)
NR(51)
NR(32)
NR
NR
Minimally invasive extraction Y
preservation fluid Y
radiographic Y
3D technology NR
BEFORE N
AFTER Y
local anesthesia
Kristerson
(1991-Sweden) [39]
PCS
18/7:11/18/18
24–58
(39.8)
9(9)
9(9)
15(15)
3(3)
NR
NR
Minimally invasive extraction Y
preservation fluid N
radiographic Y
3D technology NR
BEFORE N
AFTER Y
NR
Author/Year/Country
Extraoral period in minutes
Root therapy
(RCT/Non RCT)
Timing of RCT
(Average)
Splinting procedure
Splinting duration
(Average)
Root development
Root resorption
Vitality test
Survival rate
(%)
Success rate
(%)
Follow-up
(Years/Months)
Thomsson
(1984-Sweden) [26]
3-17w
T 20/6
TM 3/2
total 6-11W
third molar 6.2W
rigid fixing
 > 2W
complete root formation (61%)
incomplete root formation(88)
total(4)
canine(2)
premolar(1)
molar(1)
total (21)
molar (3)
total(100%)
total
Closed(69.2)
Open(87.5%)
canine(2.3Y)
premolar(2.1Y)
molar(2.5Y)
Andreasen
(1970-Denmark) [27]
RCT
(< 30 min-28 > 30 min-28)
no RCT(7.4 m)(< 30 min-18)
(58:18)
immediately
rigid fixing
 > 2W
100%(18)
total(45)
RCT(44–79%)
No RCT (1–6%)
NR
94.40%
Closed(84.4)
Open (11.1%)
1-6Y(3.7Y)
Keranmu
(2021-China) [28]
42 s (± 10.2)
(52:0)
2-4W
both
NR
NR
NR
NR
NR
CGF(100%)
CTR(92.3%)
1-3Y(2.2Y)
Murtadha
(2017-UK) [29]
NR
T 48:204
TM NR
 ≤ 1Y(48)
 ≥ 1Y(34)
 > 7Y(27)
 > 5Y(17)
10Y(9)
196(flexible fixing)
56(rigid fixing)
34molar(all rigid fixing)
 ≥ 2W
NR
31
NR
total(76.3%)
NR
1-29Y
Lin
(2020-TaiWan) [30]
NR
1811:00:00
 < 2 weeks 163
2–4 weeks 208
4–8 weeks 326
 > 8 weeks 750
NR
NR
NR
NR
NR
3 years(68%)
17 years(57.8%)
NR
1-16Y
Nagori
(2014-India) [31]
2.07 min
6:13
 ≥ 2w
12(flexible fixing)
7(rigid fixing)
 ≥ 2W
NR
none
13
95%
95%
16.4Y
Yan
(2010-China) [32]
NR
21:14
2.5W
both
NR
NR
2
NR
94.20%
94.20%
1-11Y(5.2Y)
Yoshino
(2012-Japan) [33]
NR
T 20:163
NR
346(flexible fixing)
20(rigid fixing)
 ≥ 2W
NR
21
NR
total
5 years(95%)
10 years(59.1%)
15 years(28%)
total(81.08%)
4.48Y
Abela
(2019-UK) [12]
NR
T 13:315
TM NR
 ≤ 6 M (60.7%)
 ≥ 1Y (39.2%)
rigid fixing (40)
 ≥ 2W
NR
33
244
total
1 years(97.3%)
5 years(95%)
15 years(88%)
total (92.4%)
3.51Y
Liao
(2023-China) [19]
NR
8:19
NR
flexible fixing
2W
NR
8
NR
100%
70.40%
3Y
Marques-Ferreira
(2011-Portugal) [34]
 < 5 min
9:15
NR
flexible fixing
 ≤ 2W
100%(12)
NR
NR
98%
98%
5.6Y
Bolton
(1974-UK) [35]
NR
T 17:54
TM NR
NR
both
 ≥ 2W
NR
none
43 normal
total:63/68
molar:2/3
NR
1–7.5Y
Kahnberg
(1987-Sweden) [25]
NR
T 40:11
TM NR
3-4W
43(flexible fixing)
8(rigid fixing)
 ≥ 2W
57.1%(8)
total(6)
weak 4
strong 6
total(92.0%)
molar(66%)
total(41.1%)
3 M-10Y
Watanabe
(2010-Japan) [36]
NR
T 33:0
TM 6:0
 ≤ 3W
rigid fixing
 ≥ 2W
NR
total (7)
NR
total(86.8%)
total(63.1%)
6.1–14.5Y(9.2Y)
Aoyama
(2012-Japan) [37]
NR
NR
3W
both
 ≥ 2W
NR
total(10)
NR
total
5 years(84.4%)
lyears96.8%)
NR
35.6 M
Sugai
(2010-Japan) [38]
NR
NR
3W
rigid fixing
 ≥ 2W
NR
total(5)
NR
total
1 years(96%)
5 years(84%)
total(88%)
12.0–71.2 M(40.9 M)
Kristerson
(1991-Sweden) [39]
NR
18:0
 ≤ 3W
rigid fixing
 ≥ 2W
NR
NR
NR
83.30%
83.30%
18–72 M
NR Not review.

Risk of bias

According to the ROBINS-I tool assessment, 17 studies exhibited a low risk of bias in participant selection and intervention implementation. However, three studies were identified as having a moderate risk, and two studies exhibited a high risk of bias related to intervention implementation. Furthermore, two studies exhibited moderate and high risk of bias due to missing data, respectively. Regarding bias in outcome measurement, two studies were rated as having a moderate risk, while two studies had a moderate risk and one study had a high risk of bias in outcome reporting. Lastly, confounding bias was observed in 12 of the 17 included studies (Fig. 2).
Fig. 2
Risk of bias for the included studies
Bild vergrößern

Survival and success rate

With and without root canal treatment

Regarding the survival rate (Fig. 3), the combined RD of RCT group was 0.45 (95% CI: 0.26–0.65, P < 0.00001), with high heterogeneity (I2 = 93%). In without RCT group, the combined RD was 0.28 (95% CI: 0.18–0.38, P < 0.00001), with null heterogeneity (I2 = 0%). The overall combined effect value is 0.43 (95% CI: 0.27–0.59, P < 0.00001). The intergroup difference test (P = 0.13, I2 = 56.7%) showed no significant difference between RCT group and without RCT group.
Fig. 3
Forest plot of survival and success of third molar autografts with or without RCT
Bild vergrößern
Subgroup analysis based on whether root canal treatment was performed showed different results. In RCT group, the combined RD was 0.36 (95% CI: 0.22–0.50, P < 0.00001), indicating high heterogeneity (I2 = 66%). In without RCT group, the merged RD was lower at 0.25 (95% CI: 0.06–0.44, P = 0.009), with high heterogeneity (I2 = 74%). Overall, the combined effect value for all studies was 0.29 (95% CI: 0.19–0.38, P < 0.00001). It is worth noting that the inter subgroup difference test (P = 0.37, I2 = 0%) showed no statistically significant difference in success rate between RCT group and without RCT group.

Follow up time

The analysis of the impact of different follow-up times (Fig. 4) on survival rate showed that the RD between the follow-up groups of less than or equal to 3 years was 0.84 [95% CI: 0.55, 1.12], with null heterogeneity (I2 = 0%, P = 0.97), and the overall effect was significant (Z = 5.68, P < 0.00001); The RD for groups less than or equal to 5 years is 0.25 [95% CI: 0.05, 0.45], with high heterogeneity (I2 = 76%, P = 0.006); The RD for the group with follow-up time exceeding 5 years was 0.37 [95% CI: 0.19, 0.55], with null heterogeneity (I2 = 0%, P = 0.59), and the overall effect was significant (Z = 4.08, P < 0.0001). The overall analysis shows a total RD of 0.43 [95% CI: 0.25, 0.60], with high heterogeneity (I2 = 74%, P < 0.0001).
Fig. 4
Forest plot of the effect of different follow-up times on survival and success rates of third molar autografts
Bild vergrößern
The analysis results of the impact of follow-up time on success rate are as follows: the overall RD in the group with less than or equal to 3 years is 0.73 [95% CI: 0.26, 1.19], with null heterogeneity (I2 = 0%, P = 0.90), and the overall effect is significant (Z = 3.07, P = 0.002); The overall RD of the 5-year group with less than equal values is 0.28 [95% CI: 0.08, 0.48], indicating significant heterogeneity (I2 = 82%, P = 0.0009); The overall RD between the groups with a follow-up period greater than 5 years was 0.37 [95% CI: 0.20, 0.55], with null heterogeneity (I2 = 0%). Overall analysis shows that the overall RD is 0.37 [95% CI: 0.21, 0.53], with high heterogeneity (I2 = 69%, P = 0.0003).

Timing of root canal treatment

The analysis of the timing of RCT on success rate and survival rate is as follows (Fig. 5): In terms of survival rate, the RD of immediate treatment was 0.76 [95% CI: 0.36, 1.17], with a significant overall effect (Z = 3.70, P = 0.0002). The RD between the treatment group of less than or equal to 3 weeks was 0.77 [95% CI: 0.53, 1.00], with null heterogeneity (I2 = 0%, P = 0.91), and the overall effect was significant (Z = 6.42, P < 0.00001); The RD between the treatment group over 3 weeks was 0.46 [95% CI: 0.14, 0.78], with null heterogeneity (I2 = 0%, P = 0.78), and the overall effect was significant (Z = 2.79, P = 0.005). The RD for overall survival rate was 0.68 [95% CI: 0.51, 0.85], with null heterogeneity (I2 = 0%, P = 0.81).
Fig. 5
Forest plot analysis of the RCT timing on the survival and success rates of third molar autografts
Bild vergrößern
In terms of success rate, the RD of immediate treatment was 0.65 [95% CI: 0.30, 0.99], with no heterogeneity (single study), and the overall effect was significant (Z = 3.64, P = 0.0003). The RD between the treatment group of less than or equal to 3 weeks was 0.77 [95% CI: 0.55, 0.99], with null heterogeneity (I2 = 0%, P = 0.89), and the overall effect was significant (Z = 6.89, P < 0.00001); The RD between the treatment group after 3 weeks was 0.29 [95% CI: 0.06, 0.51], with null heterogeneity (I2 = 0%, P = 0.56), and the overall effect was significant (Z = 2.50, P = 0.01). The RD of overall success rate was 0.61 [95% CI: 0.41, 0.81], with moderate heterogeneity (I2 = 35%, P = 0.15).

Resorption rate with root canal treatment

The pooled odds ratio (OR) of 0.43 (95% CI: 0.06–3.00) indicates a potential protective effect of RCT against root resorption following third molar transplantation. However, this effect is not statistically significant (Z = 0.85, p = 0.39). Heterogeneity analysis revealed high heterogeneity among the included studies (P = 0.11, I2 = 54%), which may be attributed to differences in study design, sample sizes, or treatment strategies, potentially impacting the consistency of the results (Fig. 6).
Fig. 6
Forest plot of the pooled root resorption rate with RCT (Total)
Bild vergrößern
Similarly, the overall OR of 0.42 (95% CI: 0.15–1.20) suggests a possible protective effect of RCT in reducing root resorption. Nonetheless, this effect was also not statistically significant (Z = 1.62, P = 0.10). Notably, significant heterogeneity was observed among the studies (P < 0.00001, I2 = 90%), likely resulting from variations in study design, sample characteristics, or treatment protocols (Fig. 7).
Fig. 7
Forest plot of the pooled root resorption rate with RCT (Third molar)
Bild vergrößern

Survival analysis

The follow-up durations varied considerably among studies, ranging from 1 to 29 years. Two studies [19, 26] reported a 100% survival rate after one year, which may have inflated the overall survival rate. Excluding these studies, the combined one-year survival rate was 96% (Fig. 8). A significant difference was observed in overall survival rates between all 17 included studies and the remaining 15 after excluding those with a 100% survival rate (P < 0.0001), suggesting that the true level of survival may be lower than indicated by the combined rate from all included studies.
Fig. 8
Pooled survival rate at 30 years of the 17 included studies
Bild vergrößern
Sensitivity analysis revealed a significant difference in combined survival rates between low risk bias studies and all included studies (P = 0.018), indicating that the overall survival rate was influenced by study quality. Ideally, only studies with low risk of bias should be incorporated into statistical analyses. After excluding low risk studies, the combined survival rate did not differ significantly from that of all included studies (1-year: 96.1% vs 97.77%, P = 0.248).
This review included eight mixed-sample studies (541 impacted third molars) and 11 exclusive third molar studies. Among the eleven exclusive third molar studies, two reported annual survival rates over a follow-up period of 16 years. Consequently, we summarized cumulative survival rates for the first 20 years (Fig. 9). The combined survival rate for large-sample studies was significantly higher than that for small-sample studies at the 20-year mark (46.2% vs 41.3%, P = 0.029). Thus, mixed-sample studies had a primary influence on the aggregated results.
Fig. 9
Survival analysis of large and small sample studies
Bild vergrößern

Cases series

Clinical cases of three patients who received consultation at the Department of Stomatology, Peking Union Medical College Hospital between February 1992 and June 2022 were collected for this study. The cohort comprised two females and one male, aged between 20 and 39 years. All three patients underwent dental implant surgery after providing informed consent and were subsequently followed up for examination (Table 2).
Table 2
Basic information for dental implant patients
Case
Age(years)
Sex
Reasons for dental transplantation
Number(The donor tooth-the recipient tooth)
Survival time(years)
1
32
Male
Chronic apical infection with poor prognosis for healing
C8-C6
 > 20
2
21
Female
Periapical Granuloma associated with a residual Crown
C8-C6
21
3
39
Female
Intractable dental caries with apical periodontitis
C8-C6
20

Case 1

Diagnosis

The patient, a 32-year-old male, presented to the Oral-Dental Surgery Department at Peking Union Medical College Hospital in June 1997 due to recurrent pain in the lower right molar region. Clinical and radiographic examinations revealed a residual crown with a periodontal shadow following RCT of tooth 46, as well as impaction of the lower right third molar (tooth 48) (Fig. 10). Despite undergoing RCT, tooth 46 was diagnosed with chronic apical infection and deemed to have a poor prognosis. Given that the root size of tooth 48 was comparable to that of the alveolus of tooth 46 and considering its fused roots facilitated extraction, posterior tooth autotransplantation was proposed. The treatment plan involved extracting the residual crown of tooth 46, followed by transplantation of tooth 48 into the alveolus previously occupied by tooth 46; endodontic treatment would be performed subsequently.
Fig. 10
Preoperative panoramic radiograph and the treatment planning
Bild vergrößern

Surgical management

The patient was prescribed amoxicillin (875 mg) or clavulanic acid (125 mg) one hour prior to surgery. Under local anesthesia with 4% lidocaine hydrochloride and 1:100,000 epinephrine, tooth 46 was sectioned, and its fragments were gently extracted using a dental elevator. Granulation tissue was removed, and the socket was prepared with a carbide bur according to the root morphology of tooth 48, abundant rinsing with 0.05% chlorhexidine gluconate and sterile saline was performed to eliminate debris. The gingiva surrounding tooth 48 was carefully peeled away before gently extracting it with dental elevators while meticulously examining it to avoid damaging or rubbing the periodontal tissue. Tooth 48 was immediately placed into the alveolar fossa of tooth 46, and the buccal gingival margin was covered with an eugenol-based periodontal dressing. Occlusal adjustments were made on the donor tooth to remove any interferences. Due to excellent initial stability following implantation, no rigid fixation or suturing was required (Fig. 11). The total surgical time lasted for 45 min, with less than three minutes elapsing from extraction of the donor tooth until its placement at the recipient site.
Fig. 11
A preoperative (residual crown in recipient alveolar fossa) (B) immediate postoperative (small gap between the transplanted root apex and the alveolar fossa)
Bild vergrößern
Postoperatively, the patient was prescribed antibiotics to be taken twice daily for five days, along with nimesulide (100 mg) as needed. The patient was advised to rinse with 0.12% chlorhexidine gluconate for the first five days to promote antisepsis and prevent infection. The patient received a list of postoperative instructions, emphasizing the importance of avoiding masticatory trauma in the area for two weeks.
A follow-up examination was conducted six weeks later, during which the patient reported no signs of infection were observed in the region. The transplanted teeth remained stable, and gingival tissue exhibited healthy healing without redness or swelling. Although initial gingival healing was observed, tooth mobility remained high, so the planned endodontic treatment was postponed. After twelve weeks, stability improved compared to six weeks post-surgery, with no looseness or percussion pain. Radiographic evaluation indicated initial periodontal healing with no space between the distal surface of the root and surrounding bone (Fig. 12B). One year after surgery, integration of the transplant with adjacent dentition was confirmed: there were no gaps or percussion pain present, and gingival tissue appeared healthy and firmly attached. Radiographs showed that the root canal of the transplanted tooth had closed and calcified without inflammatory infiltration at its apex (Fig. 12C). Consequently, we decided against performing endodontic treatment while maintaining long-term follow-up observation.
Fig. 12
A six weeks postoperative (sparse osteogenesis and a 1 mm gap between the transplanted root and alveolar bone) (B) twelve weeks postoperative (ongoing bone remodeling with a reduced apical gap) (C) one year postoperative (satisfactory periodontal healing with a normal ligament space, calcified root canal, visible bony contour)
Bild vergrößern
18 years later, we fortuitously reconnected with the patient and conducted a comprehensive examination. During this visit, the patient reported experiencing pulpitis resulting from caries in the tooth, prompting orthograde endodontic treatment. Intraoral examination revealed that tooth 46 was discolored and filled with silver amalgam. The gingiva exhibited no redness or swelling, and there was no percussion pain (Fig. 13).
Fig. 13
A eighteen years postoperative (intraoral photograph) (a) eighteen years postoperative (satisfactory periodontal healing) (B) eighteen and a half years postoperative (intraoral photograph) (b) eighteen and a half years postoperative (normal ligament gaps) (C) nineteen years postoperative (adequate centric occlusal contact position) (c) nineteen years postoperative (intraoral photograph)
Bild vergrößern

Case 2

Diagnosis

A 39-year-old female patient was evaluated in September 1992 at the Oral-Dental Surgery Department of Peking Union Medical College Hospital. The tooth 46 exhibited extensive decay extending to the subgingival with periapical periodontitis. The tooth was deemed non-restorable and recommended for extraction and subsequent restoration. Imaging studies revealed that the lower right third molar possessed favorable morphology and structure (Fig. 14), being in an early stage of development, which would facilitate initial stability and reconstruction of the pulp after transplantation. Consequently, a treatment plan was devised whereby tooth 48 was transplanted into the position of the missing tooth following the extraction of tooth 46.
Fig. 14
Preoperative panoramic radiograph and the treatment planning
Bild vergrößern

Surgical management and follow up

The surgical procedure was essentially the same as Case 1. The patient was followed up 6 months after transplantation, during which no significant pain or discomfort was reported. Imaging examinations revealed that the transplanted root had begun to form gradually, with the alveolar bone tightly integrated with the root (Fig. 15C). No apparent periapical lesions were observed. Consequently, the fixed ligature wire was removed, and monitoring continued, with RCT planned if necessary.
Fig. 15
A immediate postoperative (apices undeveloped) (B) two weeks postoperative (apices not yet completely closed) (C) six months postoperative (apices developed, distal caries involved.) (D) one year postoperative (apical foramen closed and caries filled.) (E) twenty years postoperative (residual root remained, alveolar socket reconstructed) e: twenty years postoperative (intraoral photograph)
Bild vergrößern
One year later, follow-up evaluations indicated well-developed roots, a tendency for closure of the apical foramen was observed. Throughout this period, the patient experienced no discomfort and demonstrated good proprioceptive function. An intraoral examination and imaging revealed caries in the distal-medial region of the crown, which was restored with a filling (Fig. 15D). Unfortunately, during the patient’s visit 20 years post-grafting, it was noted that the grafted tooth had deteriorated to a stump due to untreated caries (Fig. 15E).

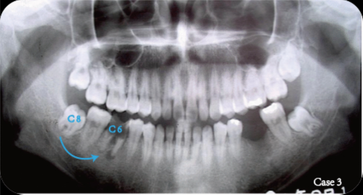
Case 3

Diagnosis

A 21-year-old female patient presented to the Oral-Dental Surgery Department of Peking Union Medical College Hospital in September 2002 for the treatment and restoration of her mandibular bilateral first molars. The patient had not received treatment for secondary caries affecting the lower right posterior teeth, leading to disease progression and a gradual evolution into residual crown. Imaging studies indicated a root bifurcation lesion with a small apical dark shadow exhibiting clear borders in tooth 46 (Fig. 16), without evidence of dense bony wall formation. This was diagnosed as a residual crown associated with an apical periapical granuloma in tooth 46. Surgery was planned to replace tooth 46 with tooth 48.
Fig. 16
Preoperative panoramic radiograph and the treatment planning
Bild vergrößern

Surgical management

During this procedure, tooth 48 was extracted under anesthesia utilizing inferior alveolar and lingual nerve blocks. Inflammatory tissue in the alveolar fossa was debrided, followed by copious irrigation with 0.9% saline solution to ensure complete removal of residual granulation tissue. The alveolar septum was then refined with a water-cooled high-speed handpiece to prepare the socket for grafting. Tooth 48 was subsequently extracted and transplanted into the prepared alveolar sockets of tooth 46 within three minutes. The transplanted tooth was positioned sub-occlusally and stabilized using a combination of photopolymerized resin and fiber-reinforced splinting to achieve rigid fixation. Continuous monitoring of the affected site was implemented, with RCT to be initiated if indicated.
At the one-year postoperative follow-up, clinical examination revealed stable fixation of tooth 46 with no detectable mobility. Both percussion testing and pulp vitality assessment demonstrated responses consistent with its contralateral counterpart, confirming preserved physiological responsiveness. Radiographic evaluation exhibited homogeneous radiolucency in the periapical region, indicative of successful osseous regeneration.
Longitudinal monitoring of the transplanted dentition was maintained for two decades postoperatively. At the 6-year follow-up interval, carious lesions were identified in the grafted teeth and managed through composite restorations. The most recent assessment demonstrated successful osseointegration of tooth 46 with no detectable mobility, accompanied by physiologically responsive pulp status confirmed via thermal sensitivity testing. While the occlusal relationship did not attain Angle Class I standards, the tooth maintained functional occlusal stability with biomechanically favorable loading characteristics (Fig. 17).
Fig. 17
A one week postoperative (periapical dark shadows) (B) six years postoperative (apices not yet completely closed, continuous regular black translucent images surrounded the roots) (C) twelve years postoperative (apices completely closed, visible periapical space) (D) twenty-one years postoperative (intraoral photograph) (E) twenty-one years postoperative (intraoral photograph) e: twenty-one years postoperative (adequate centric occlusal contact position)
Bild vergrößern

Discussion

Autotransplantation involves the surgical extraction of a donor tooth followed by its immediate transplantation into a recipient site within the same individual. This technique serves as a biologically favorable alternative for tooth replacement, particularly when conventional treatments are precluded by financial constraints, compromised recipient site biology, or anatomical restrictions [40]. The procedure not only conserves native dental tissues but also effectively restores masticatory function, natural esthetics, and periodontal proprioception, ultimately achieving superior biocompatibility compared to prosthetic alternatives [41].
The three case presentations shared a standardized autotransplantation protocol involving third molar transfer to first molar sites, with uniform postoperative antibiotic prophylaxis and surveillance protocols. Notable inter-case variations existed in:
(1)
Patient demographics (32-, 39- vs 21-year-old).
 
(2)
Donor tooth maturation status (complete vs 2/3 root formation).
 
(3)
Stabilization approaches.
 
Case 1 utilized immediate functional loading based on adequate primary stability (≥ 35Ncm), whereas Cases 2–3 required titanium ligature stabilization. All cases adopted a conservative pulp management strategy with serial vitality monitoring, successfully deferring endodontic intervention. With 20 years follow-up data, two transplants maintained functional integrity (Case 1: 24 years; Case 3: 22 years). Case 2 exhibited catastrophic failure at 20.3 years postoperatively secondary to extensive caries with periapical involvement. Adjacent dentition demonstrated carious susceptibility patterns, potentially attributable to ecological niche alterations post-transplantation, though definitive etiological analysis was precluded by incomplete dietary records.
Autotransplanted teeth require dual evaluation metrics: survival rate and success rate [13]. Survival rate refers to clinically retained transplanted teeth without requiring extraction due to catastrophic complications (e.g., advanced root resorption, irreversible pulp necrosis), whereas success rate necessitates not only physiological function but also periodontal integrity—specifically the absence of pathological findings including inflammatory root resorption (> 1mm), replacement resorption, or radiographically detectable ankylosis [11, 13, 42]. Studies show 5-year survival rate of 80–95%, with a slightly lower success rate primarily attributable to inflammatory complications and periodontal reinfection [12, 27, 32, 33, 38, 42, 43]. These findings indicate that ATT is a viable treatment option, though careful consideration is needed when optimizing the transplantation procedure and selecting suitable cases.
This study focuses on the combined effect of fully developed third molar transplantation and root canal treatment, addressing a gap left by previous systematic reviews and meta-analyses. By analyzing 17 long-term follow-up studies (1–29 years), it provides valuable clinical insights, particularly regarding transplant survival rates and complication assessments (Table 1). Subgroup analysis revealed a 20-year survival rate for tooth transplants greater than 40% (Figs. 8 and 9). The transplantation of third molars combined with postoperative RCT has improved survival and success rates (DR = 0.46 and 0.69), providing new evidence to support clinical treatment strategies. Overall study heterogeneity was null (I2 = 0%), though some variability may stem from differences in sample size, follow-up duration, and patients’ oral conditions.

Periodontal membrane damage and pulp extrusion

Pulp necrosis and root resorption are common causes of failure in tooth transplantation, particularly when the root is fully developed [44]. Factors such as a narrow apical foramen, extraction trauma, and bacterial contamination make pulp survival difficult, closely related to pulp extrusion and periodontal membrane damage [2, 24]. Damage to the periodontal ligament can result in external root resorption, ankylosis, and eventually tooth loss. After the extraction and replantation process, small amounts of pulp may leak through the apical foramen or lateral canals. If not promptly addressed, this can lead to postoperative inflammation and infection, which in turn causes internal and external root resorption or pulp necrosis [45]. Both conditions can activate factors that regulate root resorption through a complex cytokine network, including interleukin-1 (IL-1), interleukin-6 (IL-6), receptor activator of nuclear factor kappa-B ligand (RANKL), and matrix metalloproteinases (MMPs) [24, 4649].

Root canal treatment in auto-transplanted teeth

Three cases suggest that long-term success can be achieved without RCT. However, there is still debate regarding the optimal timing and necessity of RCT in ATT. The reports on the necessity of RCT following tooth transplantation at root tip maturity tooth are observational studies, lacking randomized controlled trials into treatment and non-treatment groups [1214, 50]. Most studies typically evaluate clinical symptoms approximately two weeks after transplantation to determine if RCT is required [44, 51, 52].When the donor tooth’s root is fully developed, immediate RCT is usually recommended to prevent pulp necrosis and periapical inflammation [53]. Research has shown that performing RCT within 14 days or immediately after transplantation significantly increases success rates, while delaying the procedure beyond 14 days results in a twofold increase in the incidence of root resorption [8, 54].To improve success rates, many experts advocate for RCT within three months of transplantation, especially since some transplanted teeth do not achieve optimal stability within the first 14 days [52, 55].
In our previous study on autotransplantation in beagle dogs, we observed that the survival rate of transplanted teeth without root canal treatment was 70.2%, with ahigh incidence of root resorption and apical inflammation reaching 77% [56]. In contrast, transplanted teeth that underwent root canal treatment exhibited a survival rate of 91.6%, with the incidence of root resorption and apical inflammation reduced to less than 35% [57, 58]. Although these findings diverge significantly from clinical success rates, likely due to the poor oral hygiene and lack of protective behavior in the animal subjects, the data still reveal a 40% higher success rate in teeth that received root canal treatment, demonstrating statistically significant improvement.
Another study from China indicated that the incidence of root resorption and apical inflammation in transplanted teeth without RCT was as high as 63%, while in those that underwent RCT, the incidence dropped to 12% (P < 0.05) [59].
The occurrence of root resorption after transplantation is primarily associated with damage to the periodontal ligament. Factors such as the donor tooth’s periodontal condition, extraoral time, root-to-socket fit, and the duration of post-operative stabilization all influence the vitality of the periodontal ligament. Reducing the incidence of RCT can be achieved through minimally invasive donor tooth extraction, minimizing extraoral time, precise socket preparation, and using flexible stabilization methods [47, 60].
The timing of RCT should be based on the individual stage of root development, with personalized post-transplant care, requiring closer patient-clinician collaboration [29].
Data indicate a 5-year cumulative survival rate of 100% in the RCT group, with a success rate of 88%. In contrast, the non-treated group showed a survival rate of 58% and a success rate of only 36% [61]. In studies involving over 300 transplanted teeth, the overall survival rate was similar to that of dental implants, approximately 96%. Of these, 36.2% underwent RCT due to early symptoms, while 62.5% of teeth that did not undergo treatment healed successfully. At 1-year, 3-year, and 5-year follow-ups, the success rates in the RCT group were 79.3%, 48.3%, and 24.1%, respectively, while the untreated group had success rates of 50%, 29.0%, and 15.7% [62]. In a study of 261 transplanted teeth, patients did not undergo routine RCT after surgery. Instead, RCT was performed only when clinical or radiographic signs of periapical inflammation or internal/external root resorption were observed during follow-up. The final analysis revealed an overall survival rate of 92%, with 61.4% of the transplanted teeth showing poor prognosis during follow-up, although outcomes improved after RCT [63]. (Table 3).
Table 3
Survival and success rates of auto-transplanted teeth with and without RCT
Parameter
RCT
Without RCT
Total / Notes
1[61]
5-year cumulative survival rate
100%
58%
5-year success rate
88%
36%
2[62]
Proportion of teeth undergoing RCT during follow-up
36.2%
0%
62.5% of teeth did not undergo RCT
1-year success rate
79.3%
50%
3-year success rate
48.3%
29%
5-year success rate
24.1%
15.7%
Final survival rate
96%(300 + transplanted teeth)
Number of failures (teeth extraction)
12 patients
3[63]
Overall survival rate in patients without routine RCT
92%
Based on clinical and radiographic follow-ups
Improvement in prognosis after RCT
61.4%
Survival rate refers to the percentage of transplanted teeth still present at a given time point. Success rate refers to teeth that remain symptom-free with no signs of periapical pathology or root resorption.
Although RCT increases treatment costs and extends the procedure time, it also presents challenges due to the complex root canal morphology of third molars. Even under optimal conditions, achieving precise canal filling can be difficult, potentially prolonging extraoral time and leading to poor outcomes. Therefore, a systematic approach is urgently needed to enhance pulp survival following transplantation. Techniques such as apicoectomy, immediate extracorporeal RCT, and retrograde filling offer promising alternatives [19]. A study on immediate RCT further supports this approach. In cases where the apical foramen is wider than 1 mm and the apex remains incompletely developed, delaying RCT might actually promote pulp regeneration [55, 64, 65]. For teeth with fully developed roots, routine post-operative RCT is recommended to prevent periapical inflammation and root resorption [51].

Application of 3D printing technology, growth factors, and antibiotics in ATT

Advancements in autotransplantation techniques have markedly enhanced surgical outcomes. A key development is the introduction of 3D printing technology. By utilizing preoperative imaging data to create a 3D printed model of the donor tooth, surgeons can more precisely prepare the recipient site, thereby minimizing adverse effects on the periodontal membrane during the adaptation of the auto-transplanted tooth [66, 67]. This approach minimizes the extraoral duration of the tooth, effectively preventing mechanical friction and drying of the periodontal ligament (PDL), which are crucial for surgical success [50].
The application of concentrated growth factor (CGF), a novel autologous platelet concentrate, as along with platelet-rich plasma (PRP) and platelet-rich fibrin (PRF), has shown promise potential [68]. These biomaterials enhance soft tissue regeneration and bone remodeling, thereby accelerating the healing process and reducing postoperative pain and swelling within 2 to 4 weeks, facilitating more rapid stabilization of the transplanted tooth [69, 70].
The application of antibiotics is continuously evolving. Among the 17 studies included, three of them applied antibiotic prophylaxis both one day prior to and three days following surgery. Antibiotics like amoxicillin were utilized to reduce the risk of infection in the bacteria-rich oral environment [28, 32, 34, 68, 71].

Limitations

The principal methodological constraints of this investigation include:
(1)
Absence of Level I evidence from randomized controlled trials, limited analytical power due to restricted eligible studies (n = 17) despite comprehensive search strategies.
 
(2)
The sample volume included is small (average = 60.3 patients, 8 studies < 50 patients), resulting in a high effect estimate.
 
(3)
70% of studies exhibited confounding bias, and the survival rate and success rate are significantly heterogeneous (I2 > 50%), partially explained by clinical diversity in age distributions (11–75 years old), variable follow-up durations (1–29 years), and non-standardized surgical protocols.
 
Future investigations should: 1) Establish standardized operational definitions for success metrics, 2) implement core outcome sets with follow-up intervals, and 3) Determine optimal RCT timing through survival analysis. Multicenter prospective cohorts employing harmonized surgical protocols are urgently needed to minimize ecological bias and enhance clinical translatability.

Conclusion

The root canal treatment protocol for transplanted teeth should be stratified based on pulpal regeneration potential:
1.
Closed-apex donor teeth:
a)
Immediate intraoperative or ex vivo RCT is recommended (success rate was<28% without RCT). Meta-analytical evidence indicates that postoperative in vivo RCT on third molars frequently fails to achieve hermetic obturation due to complex root canal anatomy, often leading to persistent pulpal necrosis and subsequent periapical inflammation.
 
b)
Critical technical note: Ex vivo RCT must maintain PDL cell viability through strict moisture preservation, aseptic protocols, and atraumatic handling. If these conditions cannot be guaranteed, defer RCT to 3–6 months post-transplantation when initial osseointegration stabilizes the tooth against micro-vibrations from canal instrumentation.
 
 
2.
Open-apex donor teeth:
a)
Avoid immediate root canal therapy (5 and 10 years survival rates were >95% without RCT) [11]. Implement rigorous vitality monitoring at 1, 3, 6, and 12 months post-transplantation.
 
b)
Mandatory RCT indications:
i.
No progressive pulp vitality recovery by 6 months.
 
ii.
Radiographic evidence of periapical pathosis.
 
 
c)
Biological rationale: Preserves potential for spontaneous revascularization while preventing inflammatory resorption.
 
 

Declarations

For this type of study, ethical approval was not required. All patients were provided with both oral and written explanations of the study, including details on potential risks, benefits, and alternative treatment options. Before participating in the study, each patient signed a written informed consent form in accordance with the 1997 Helsinki Declaration, as revised in 2000.

Competing interests

The authors declare no competing interests.
Open Access This article is licensed under a Creative Commons Attribution-NonCommercial-NoDerivatives 4.0 International License, which permits any non-commercial use, sharing, distribution and reproduction in any medium or format, as long as you give appropriate credit to the original author(s) and the source, provide a link to the Creative Commons licence, and indicate if you modified the licensed material. You do not have permission under this licence to share adapted material derived from this article or parts of it. The images or other third party material in this article are included in the article’s Creative Commons licence, unless indicated otherwise in a credit line to the material. If material is not included in the article’s Creative Commons licence and your intended use is not permitted by statutory regulation or exceeds the permitted use, you will need to obtain permission directly from the copyright holder. To view a copy of this licence, visit http://creativecommons.org/licenses/by-nc-nd/4.0/.

Publisher's Note

Springer Nature remains neutral with regard to jurisdictional claims in published maps and institutional affiliations.
Download
Titel
Effectiveness of root canal therapy in auto-transplanted third molars: a systematic review, meta-analysis and case series report
Verfasst von
Xin Yang
Lu Yin
Danyang Guo
Junzhou Chi
Shaozhen Ma
Juanxiu Liu
Yue Chen
Shunyun Luo
Kun Tian
Publikationsdatum
01.04.2025
Verlag
Springer Berlin Heidelberg
Erschienen in
Clinical Oral Investigations / Ausgabe 4/2025
Print ISSN: 1432-6981
Elektronische ISSN: 1436-3771
DOI
https://doi.org/10.1007/s00784-025-06264-x

Supplementary Information

Below is the link to the electronic supplementary material.
1.
Zurück zum Zitat Tsurumachi T, Kakehashi Y (2007) Autotransplantation of a maxillary third molar to replace a maxillary premolar with vertical root fracture. Int Endod J 40(12):970–978PubMedCrossRef
2.
Zurück zum Zitat de Freitas Coutinho NB, Nunes FC, Gagno Intra JB, Roldi A, de Jesus-Soares A, Coelho MS, Frozoni M (2021) Success, survival rate, and soft tissue esthetic of tooth autotransplantation. J Endod 47(3):391–396PubMedCrossRef
3.
Zurück zum Zitat Boschini L, Melillo M, Berton F (2020) Long term survival of mature autotransplanted teeth: A retrospective single center analysis. J Dent 98PubMedCrossRef
4.
Zurück zum Zitat Gault PC, Warocquier-Clerout R (2002) Tooth auto-transplantation with double periodontal ligament stimulation to replace periodontally compromised teeth. J Periodontol 73(5):575–583PubMedCrossRef
5.
Zurück zum Zitat Gilijamse M, Baart JA, Wolff J, Sándor GK, Forouzanfar T (2016) Tooth autotransplantation in the anterior maxilla and mandible: retrospective results in young patients. Oral Surg Oral Med Oral Pathol Oral Radiol 122(6):e187–e192PubMedCrossRef
6.
Zurück zum Zitat Zakershahrak M, Moshari A, Vatanpour M, Khalilak Z, Jalali Ara A (2017) Autogenous Transplantation for Replacing a Hopeless Tooth. Iran Endod J 12(1):124–127PubMedPubMedCentral
7.
Zurück zum Zitat Tsukiboshi M (2002) Autotransplantation of teeth: requirements for predictable success. Dent Traumatol 18(4):157–180PubMedCrossRef
8.
Zurück zum Zitat Plotino G, Abella Sans F, Duggal MS, Grande NM, Krastl G, Nagendrababu V, Gambarini G (2022) Present status and future directions: Surgical extrusion, intentional replantation and tooth autotransplantation. Int Endod J 55(Suppl 3):827–842PubMedCrossRef
9.
Zurück zum Zitat Herrera H, Herrera H, Leonardo MR, de Paula e Silva FWG, da Silva LAB (2006) Treatment of external inflammatory root resorption after autogenous tooth transplantation: case report. Oral Surg Oral Med Oral Pathol Oral Radiol Endod 102(6):e51–e54PubMedCrossRef
10.
Zurück zum Zitat Wei L, Wu S, Huang Z, Chen Y, Zheng H, Wang L (2024) Autologous transplantation tooth guide design based on deep learning. J Oral Maxillofac Surg 82(3):314–324
11.
Zurück zum Zitat Tan BL, Tong HJ, Narashimhan S, Banihani A, Nazzal H, Duggal MS (2023) Tooth autotransplantation: An umbrella review. Dent Traumatol 39(Suppl 1):2–29PubMedCrossRef
12.
Zurück zum Zitat Abela S, Murtadha L, Bister D, Andiappan M, Kwok J (2019) Survival probability of dental autotransplantation of 366 teeth over 34 years within a hospital setting in the United Kingdom. Eur J Orthod 41(5):551–556PubMedCrossRef
13.
Zurück zum Zitat Singh AK, Khanal N, Acharya N, Hasan MR, Saito T (2022) What are the complications, success and survival rates for autotransplanted teeth? An overview of systematic reviews and metanalyses. Healthcare (Basel) 10(5):835
14.
Zurück zum Zitat Pini Prato G, Franceschi D, Pace R, Di Gianfilippo R (2024) Translational approach to tooth autotransplantation: a 27-year case study. Clin Adv Periodontics 14(3):165–171
15.
Zurück zum Zitat Hwang LA, Chang CY, Su WC, Chang CW, Huang CY (2022) Rapid prototyping-assisted tooth autotransplantation is associated with a reduced root canal treatment rate: a retrospective cohort study. BMC Oral Health 22(1):25PubMedPubMedCentralCrossRef
16.
Zurück zum Zitat Teixeira CS, Pasternak B Jr, Vansan LP, Sousa-Neto MD (2006) Autogenous transplantation of teeth with complete root formation: Two case reports. Int Endod J 39(12):977–985PubMedCrossRef
17.
Zurück zum Zitat Spinas E, Pipi L, Mezzena S, Giannetti L (2021) Use of orthodontic methods in the treatment of dental luxations: a scoping review. Dent J (Basel) 9(2):18
18.
Zurück zum Zitat Sasaki JI, Zhang Z, Oh M, Pobocik AM, Imazato S, Shi S, Nör JE (2020) VE-cadherin and anastomosis of blood vessels formed by dental stem cells. J Dent Res 99(4):437–445PubMedPubMedCentralCrossRef
19.
Zurück zum Zitat Liao F, Wang H, Zhao J, Zhang B, Zhong H (2023) Effectiveness evaluation of autotransplanted teeth after performing extraoral endodontic surgery instead of conventional root canal therapy. BMC Oral Health 23(1):1005PubMedPubMedCentralCrossRef
20.
Zurück zum Zitat Luo N, Deng YW, Wen J, Xu XC, Jiang RX, Zhan JY, Zhang Y, Lu BQ, Chen F, Chen X (2023) Wnt3a-loaded hydroxyapatite nanowire@mesoporous silica core-shell nanocomposite promotes the regeneration of dentin-pulp complex via angiogenesis, oxidative stress resistance, and odontogenic induction of stem cells. Adv Healthc Mater 12(22):e2300229. https://doi.org/10.1002/adhm.202300229CrossRefPubMed
21.
Zurück zum Zitat Leone A, Angelova Volponi A, Uzzo ML, Spatola GF, Jurjus A, Vandevska-Radunovic V (2015) Dental pulp in mature replanted human teeth: morphological alterations and metalloproteineses-2 and -9, Annexin-5, BCL-2 and iNOS modulation. J Biol Regul Homeost Agents 29(4):961–967PubMed
22.
Zurück zum Zitat Wei Y, Lyu P, Bi R, Chen X, Yu Y, Li Z, Fan Y (2022) Neural regeneration in regenerative endodontic treatment: an overview and current trends. Int J Mol Sci 23(24):15492
23.
Zurück zum Zitat EzEldeen M, De Piero M, Xu L, Driesen RB, Wyatt J, Van Gorp G, Meschi N, Van Meerbeek B, Lambrichts I, Jacobs R (2023) Multimodal imaging of dental pulp healing patterns following tooth autotransplantation and regenerative endodontic treatment. J Endod 49(8):1058–1072PubMedCrossRef
24.
Zurück zum Zitat Lin S, Moreinos D, Wisblech D, Rotstein I (2022) Regenerative endodontic therapy for external inflammatory lateral resorption following traumatic dental injuries: Evidence assessment of best practices. Int Endod J 55(11):1165–1176PubMedPubMedCentralCrossRef
25.
Zurück zum Zitat Kahnberg KE (1987) Autotransplantation of teeth (I). Indications for transplantation with a follow-up of 51 cases. Int J Oral Maxillofac Surg 16(5):577–585PubMedCrossRef
26.
Zurück zum Zitat Thomsson M, Blomlof L, Otteskog P, Hammarstrom L (1984) A clinical and radiographic evaluation of cultivated and autotransplanted human teeth. Int J Oral Surg 13(3):211–220PubMedCrossRef
27.
Zurück zum Zitat Andreasen JO, Hjorting-Hansen E, Jolst O (1970) A clinical and radiographic study of 76 autotransplanted third molars. Scand J Dent Res 78(6):512–523PubMed
28.
Zurück zum Zitat Keranmu D, Ainiwaer A, Nuermuhanmode N, Ling W (2021) Application of concentrated growth factor to autotransplantation with inflammation in recipient area. BMC Oral Health 21(1):556PubMedPubMedCentralCrossRef
29.
Zurück zum Zitat Murtadha L, Kwok J (2017) Do auto transplanted teeth require elective root canal therapy? a long-term follow-up case series. J Oral Maxillofac Surg 75(9):1817–1826PubMedCrossRef
30.
Zurück zum Zitat Lin PY, Chiang YC, Hsu LY, Chang HJ, Chi LY (2020) Endodontic considerations of survival rate for autotransplanted third molars: a nationwide population-based study. Int Endod J 53(6):733–741PubMedCrossRef
31.
Zurück zum Zitat Nagori SA, Jose A, Bhutia O, Roychoudhury A (2014) Evaluating success of autotransplantation of embedded/impacted third molars harvested using piezosurgery: a pilot study. Acta Odontol Scand 72(8):846–851PubMedCrossRef
32.
Zurück zum Zitat Yan Q, Li B, Long X (2010) Immediate autotransplantation of mandibular third molar in China. Oral Surg Oral Med Oral Pathol Oral Radiol Endod 110(4):436–440PubMedCrossRef
33.
Zurück zum Zitat Yoshino K, Kariya N, Namura D, Noji I, Mitsuhashi K, Kimura H, Fukuda A, Kikukawa I, Hayashi T, Yamazaki N et al (2012) Risk factors affecting third molar autotransplantation in males: A retrospective survey in dental clinics. J Oral Rehabil 39(11):821–829PubMedCrossRef
34.
Zurück zum Zitat Marques-Ferreira M, Rabaça-Botelho MF, Carvalho L, Oliveiros B, Palmeirão-Carrilho EV (2011) Autogenous tooth transplantation: Evaluation of pulp tissue regeneration. Medicina Oral, Patologia Oral y Cirugia Bucal 16(7):e984–e989PubMedCrossRef
35.
Zurück zum Zitat Bolton R (1974) Autogenous transplantation and replantation of teeth: Report on 60 treated patients. Br J Oral Surg 12(2):147–165PubMedCrossRef
36.
Zurück zum Zitat Watanabe Y, Mohri T, Takeyama M, Yamaki M, Okiji T, Saito C, Saito I (2010) Long-term observation of autotransplanted teeth with complete root formation in orthodontic patients. Am J Orthod Dentofacial Orthop 138(6):720–726PubMedCrossRef
37.
Zurück zum Zitat Aoyama S, Yoshizawa M, Niimi K, Sugai T, Kitamura N, Saito C (2012) Prognostic factors for autotransplantation of teeth with complete root formation. Oral Surg Oral Med Oral Pathol Oral Radiol 114(5 Suppl):S216–228PubMedCrossRef
38.
Zurück zum Zitat Sugai T, Yoshizawa M, Kobayashi T, Ono K, Takagi R, Kitamura N, Okiji T, Saito C (2010) Clinical study on prognostic factors for autotransplantation of teeth with complete root formation. Int J Oral Maxillofac Surg 39(12):1193–1203PubMedCrossRef
39.
Zurück zum Zitat Kristerson L, Johansson LA, Kisch J, Stadler LE (1991) Autotransplantation of third molars as treatment in advanced periodontal disease. J Clin Periodontol 18(7):521–528PubMedCrossRef
40.
Zurück zum Zitat Cremona M, Bister D, Sherriff M, Abela S (2023) Prognostic factors, outcomes, and complications for dental autotransplantation: an umbrella review. Eur J Orthod 46(1):cjad067
41.
Zurück zum Zitat Kırmalı Ö, Türker N, Akar T, Yılmaz B (2022) Finite element analysis of stress distribution in autotransplanted molars. J Dent 119PubMedCrossRef
42.
Zurück zum Zitat Yoshino T, Yoshizawa M, Aoyama S, Sugai-Toyama T, Niimi K, Kitamura N, Kobayashi T (2023) Validation of a Cox prognostic model for tooth autotransplantation. Clin Exp Dent Res 9(6):969–982PubMedPubMedCentralCrossRef
43.
Zurück zum Zitat Ferreira MM, Filomena BM, Lina C, Barbara O, Palmeirao CE (2014) The effect of Emdogain gel on periodontal regeneration in autogenous transplanted dog’s teeth. Indian J Dent Res 25(5):589–593PubMedCrossRef
44.
Zurück zum Zitat Grisar K, Smeets M, Ezeldeen M, Shaheen E, De Kock L, Politis C, Jacobs R (2021) Survival and success of autotransplanted impacted maxillary canines during short-term follow-up: A prospective case-control study. Orthod Craniofac Res 24(2):222–232PubMedCrossRef
45.
Zurück zum Zitat Bastos JV, de Souza Côrtes MI, Goulart EMA, Colosimo EA, Gomez RS, Dutra WO (2014) Age and timing of pulp extirpation as major factors associated with inflammatory root resorption in replanted permanent teeth. J Endod 40(3):366–371. https://doi.org/10.1016/j.joen.2013.10.009CrossRefPubMed
46.
Zurück zum Zitat Bastos JV, Côrtes MI, Silva JF, Goulart EM, Colosimo EA, Gomez RS, Dutra WO (2015) A study of the interleukin-1 gene cluster polymorphisms and inflammatory external root resorption in replanted permanent teeth. Int Endod J 48(9):878–887PubMedCrossRef
47.
Zurück zum Zitat Machado LA, do Nascimento RR, Ferreira DM, Mattos CT, Vilella OV (2016) Long-term prognosis of tooth autotransplantation: A systematic review and meta-analysis. Int J Oral Maxillofac Surg 45(5):610–617PubMedCrossRef
48.
Zurück zum Zitat Yamaguchi M (2009) RANK/RANKL/OPG during orthodontic tooth movement. Orthod Craniofac Res 12(2):113–119PubMedCrossRef
49.
Zurück zum Zitat Lima T, Amaro RG, Dos Santos LCM, Coste SC, Silva EFE, Barbato-Ferreira DA, Colosimo EA, Silva TAD, Bastos JV (2021) Expression of matrix metalloproteinases 2 and 9 in replanted teeth with external root resorption: A cross-sectional study. Arch Oral Biol 129PubMedCrossRef
50.
Zurück zum Zitat Hou R, Hui X, Xu G, Li Y, Yang X, Xu J, Liu Y, Zhu M, Zhu Q, Sun Y (2024) Use of 3D printing models for donor tooth extraction in autotransplantation cases. BMC Oral Health 24(1):179PubMedPubMedCentralCrossRef
51.
Zurück zum Zitat Mejàre B, Wannfors K, Jansson L (2004) A prospective study on transplantation of third molars with complete root formation. Oral Surg Oral Med Oral Pathol Oral Radiol Endod 97(2):231–238PubMedCrossRef
52.
Zurück zum Zitat Dhar S, Singh G, Mishra M, Gaur A (2022) A prospective study on autotransplantation of mandibular third molars with complete root formation. Craniomaxillofac Trauma Reconstr 15(4):340–349PubMedPubMedCentralCrossRef
53.
Zurück zum Zitat Lee KE, Mo S, Lee HS, Jeon M, Song JS, Choi HJ, Cho H, Kang CM (2021) Deferoxamine reduces inflammation and osteoclastogenesis in avulsed teeth. Int J Mol Sci 22(15):8225
54.
Zurück zum Zitat Almpani K, Papageorgiou SN, Papadopoulos MA (2015) Autotransplantation of teeth in humans: a systematic review and meta-analysis. Clin Oral Investig 19(6):1157–1179PubMedCrossRef
55.
Zurück zum Zitat Tang MQ, Ye L, Gao B (2023) Role of dental pulp stem cells to promote angiogenesis in cell-based regenerative endodontics. Chin J Dent Res 26(3):129–142PubMed
56.
Zurück zum Zitat Liang Chen (2021) Cryotransplantation of beagle canine teeth. Dissertation, Zunyi Medical University. https://doi.org/10.27680/d.cnki.gzyyc.2021.000050
57.
Zurück zum Zitat Shouyin Y, Jin L, Juan R, Yue C, Junzhou C, Kun T (2023) Effect of different apical treatments on pulp and periodontal healing in tooth autotransplantation. J Chengdu Med Coll 18(02):137–143
58.
Zurück zum Zitat Liang C, Tingting L, Xiu Z, Kun T (2021) Imaging and histological observation of autogenous tooth transplantation and intentional replantation. Pract J Clin Med 18(02):185–188
59.
Zurück zum Zitat Zhenlong F, Peng X, Yunfei D (2020) Long-term prognosis and influencing factors of autologous tooth transplantation after root development. J Oral Sci Res 36(05):449–453
60.
Zurück zum Zitat Kokai S, Kanno Z, Koike S, Uesugi S, Takahashi Y, Ono T, Soma K (2015) Retrospective study of 100 autotransplanted teeth with complete root formation and subsequent orthodontic treatment. Am J Orthod Dentofacial Orthop 148(6):982–989PubMedCrossRef
61.
Zurück zum Zitat Nie XH, Lyu J, Wang Z, Luo SY (2018) A retrospective clinical study on autotransplantation of teeth with complete root formation. Zhonghua Kou Qiang Yi Xue Za Zhi 53(11):736–740PubMed
62.
Zurück zum Zitat Luo Shunyun (2019) Illustration of the clinical operation of autogenous tooth transplantation. People’s Medical Publishing House, Beijing
63.
Zurück zum Zitat Biao Yang (2018) A clinical retrospective analysis of autotransplanted teeth. Dissertation, Peking Union Medical College
64.
Zurück zum Zitat Al-Hijazi AY, Al-Khafaji LK, Shaalan AH, Jabaz MF (2023) Success of replantation of avulsed teeth using human colostrum as an interim storage medium. J Taibah Univ Med Sci 18(6):1189–1194PubMedPubMedCentral
65.
Zurück zum Zitat Ji LL, Song G, Jiang LM, Liu Y, Ding ZJ, Zhuang XY, Chen X (2021) Evaluation of conditioned medium from placenta-derived mesenchymal stem cells as a storage medium for avulsed teeth: An in vitro study. Dent Traumatol 37(1):73–80PubMedCrossRef
66.
Zurück zum Zitat Huang J, Gan Y, Han S, Xu HE, Yuan YI, Zhu HE, Tian X, Li N, Li D, Cai Z (2023) Outcomes of autotransplanted third molars with complete root formation: A systemic review and meta-analysis. J Evid Based Dent Pract 23(2):101842. https://doi.org/10.1016/j.jebdp.2023.101842CrossRefPubMed
67.
Zurück zum Zitat Anssari Moin D, Derksen W, Verweij JP, van Merkesteyn R, Wismeijer D (2016) A novel approach for computer-assisted template-guided autotransplantation of teeth with custom 3d designed/printed surgical tooling. An ex vivo proof of concept. J Oral Maxillofac Surg 74(5):895–902PubMedCrossRef
68.
Zurück zum Zitat Li F, Qiao J, Duan JY, Zhang Y, Wang XJ (2020) Effect of concentrated growth factors combined with guided tissue regeneration in treatment of classII furcation involvements of mandibular molars. Beijing Da Xue Xue Bao Yi Xue Ban 52(2):346–352PubMed
69.
Zurück zum Zitat Chen L, Cheng J, Cai Y, Zhang J, Yin X, Luan Q (2023) Efficacy of concentrated growth factor (CGF) in the surgical treatment of oral diseases: a systematic review and meta-analysis. BMC Oral Health 23(1):712PubMedPubMedCentralCrossRef
70.
Zurück zum Zitat Gonzalez-Ocasio J, Stevens M (2017) Autotransplantation of third molars with platelet-rich plasma for immediate replacement of extracted non-restorable teeth: A case series. J Oral Maxillofac Surg 75(9):1833.e1831–1833.e1836CrossRef
71.
Zurück zum Zitat Chung WC, Tu YK, Lin YH, Lu HK (2014) Outcomes of autotransplanted teeth with complete root formation: a systematic review and meta-analysis. J Clin Periodontol 41(4):412–423PubMedCrossRef

Neu im Fachgebiet Zahnmedizin

Vitamin D und Zahnimplantate

Fachleute empfehlen ein differenziertes Vorgehen statt Routine-Test und -Substitution

Ist die Mundmikrobiota mit Pankreaskrebs assoziiert?

In einer Kohortenstudie wurde ein Zusammenhang zwischen oralen Bakterien und Pilzen und dem Auftreten von Pankreaskarzinomen gesehen. Diese Assoziation könnte helfen, Patientinnen und Patienten für gezielte Vorsorgeuntersuchungen ausfindig zu machen.

Elektroschrott: Wie Praxen Altgeräte sicher entsorgen

Ob nun Sonogerät, Praxiscomputer oder gar TI-Konnektor: Einfach zum nächsten Wertstoffhof sollten Praxisteams ausgediente Elektrogeräte nicht bringen. Was bei der Entsorgung zu beachten ist. Und wie die Teams sicher sensible Daten auf PC-Festplatte, externem Datenspeicher und TI-Komponenten löschen.

Tipps: So können Praxen die Risiken für einen GOÄ-Streit minimieren

Für Streitigkeiten, die das GOÄ-Honorar betreffen, sind neuerdings nur noch Landgerichte zuständig. Das macht Prozesse teurer. Eine Praxisberaterin erläutert, wie Praxen vorbauen können, um solche Streitfälle und Gerichtsverfahren zu vermeiden.

Update Zahnmedizin

Bestellen Sie unseren kostenlosen Newsletter und bleiben Sie gut informiert – ganz bequem per eMail.

Bildnachweise
Eine Speichelprobe wird entnommen/© Animaflora PicsStock / stock.adobe.com (Symbolbild mit Fotomodell), Ultraschalluntersuchung der Niere/© Your_Photo_Today (Symbolbild mit Fotomodellen), Richter mit Gesetzbuch/© Kzenon / stock.adobe.com (Symbolbild mit Fotomodell)