Zum Inhalt

Welche Verdachtsdiagnose stellen Sie?

Neugeborenes mit Armzuckungen – erstes Symptom einer schwerwiegenden, leicht zu übersehenden Erkrankung

Erschienen in:

Auszug

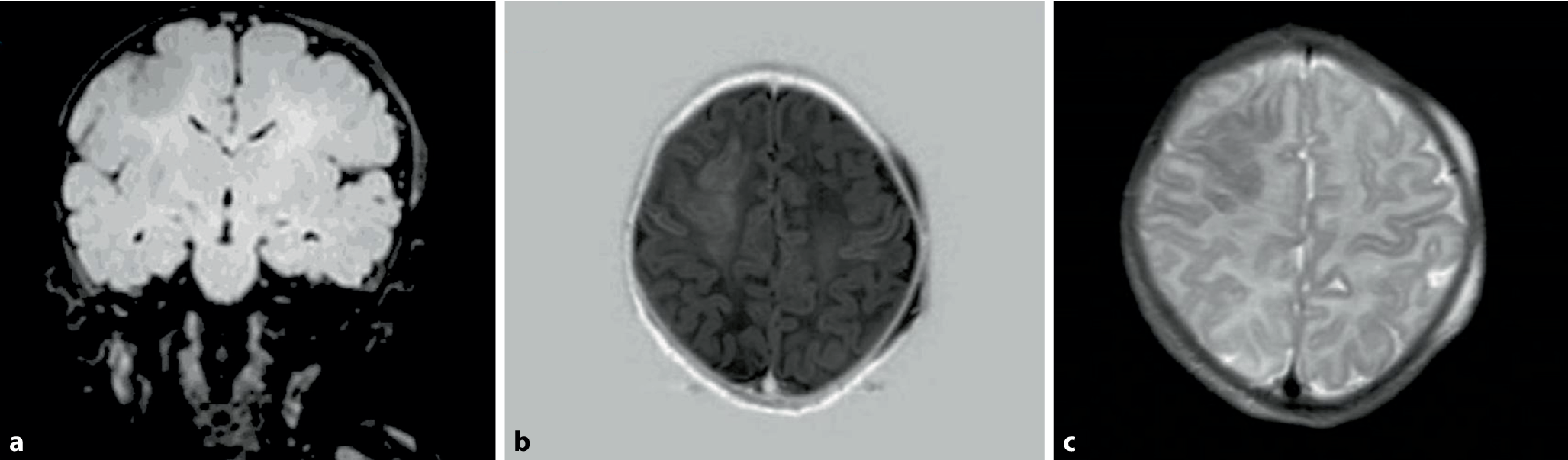
Am Vortag fiel erstmals auf, dass das sechs Tage alte Neugeborene wiederholt für einige Sekunden mit dem linken Arm zuckte. Am folgenden Tag drehte es im wachen Zustand mehrmals für etwa zwei Minuten den Kopf und die Augen nach links. Laut Eltern waren Schwangerschaft und Geburt unauffällig. Abb. 1, 2 und 3 zeigen die Hirnsonographie, die kranielle Magnetresonanztomographie (MRT, am neunten Lebenstag) und das Elektroenzephalogramm (EEG).
Abb. 1
Sonographie des zentralen Nervensystems, koronar. a Schallkopf mittig eingestellt, b Fokus auf die rechte Hemisphäre des Kindes
Bild vergrößern
Abb. 2
Kranielle Magnetresonanztomographie (MRT) am neunten Lebenstag. Sequenzen: a FLAIR, b T1-IR, c T2-TSE
Bild vergrößern
Abb. 3
Oberflächen-Elektroenzephalogramm kurz nach stationärer Aufnahme
Bild vergrößern
Titel
Welche Verdachtsdiagnose stellen Sie?
Neugeborenes mit Armzuckungen – erstes Symptom einer schwerwiegenden, leicht zu übersehenden Erkrankung
Verfasst von
Dr. med. Thomas Hoppen, M.A.
Publikationsdatum
10.03.2025
Verlag
Springer Vienna
Erschienen in
Pädiatrie & Pädologie / Ausgabe 2/2025
Print ISSN: 0030-9338
Elektronische ISSN: 1613-7558
DOI
https://doi.org/10.1007/s00608-025-01283-z
Dieser Inhalt ist nur sichtbar, wenn du eingeloggt bist und die entsprechende Berechtigung hast.

Kompaktes Leitlinien-Wissen Pädiatrie (Link öffnet in neuem Fenster)

Mit medbee Pocketcards schnell und sicher entscheiden.
Leitlinien-Wissen kostenlos und immer griffbereit auf ihrem Desktop, Handy oder Tablet.

Neu im Fachgebiet Pädiatrie

Kindlicher Rückenschmerz: Vom Schulranzen bis zur Spondylitis

Rückenschmerzen bei Kindern und Jugendlichen kein triviales Beschwerdebild. Neben funktionellen Ursachen müssen auch ernsthafte Pathologien bedacht werden. Eine sorgfältige klinische Abklärung mit Blick auf „Red Flags“ ist daher entscheidend.

Bundesverfassungsgericht: Triage-Regelung nicht mit Grundgesetz vereinbar

Das Bundesverfassungsgericht hat Regelungen zur Triage für nichtig erklärt. Es gab damit Verfassungsbeschwerden von Intensiv- und Notfallmedizinern statt. Der Eingriff in die Berufsfreiheit der Ärztinnen und Ärzte sei verfassungsrechtlich nicht gerechtfertigt, betont das Gericht.

Was lindert kindliche Kopfschmerzen?

Die Migräne-Inzidenz steigt auch bei Kindern und Jugendlichen. Medikamentös gibt es nur wenige Optionen, insbesondere für die Prophylaxe. Multimodale Ansätze sind gefragt. Hilft dabei auch ein strukturiertes Riechtraining? 

Vermehrt psychische Störungen nach vorzeitiger Pubertät

Kommen Kinder vorzeitig in die Pubertät, ist das Risiko für unterschiedliche psychische Störungen deutlich erhöht. Jungen sind dabei stärker gefährdet als Mädchen.

Update Pädiatrie

Bestellen Sie unseren Fach-Newsletter und bleiben Sie gut informiert.

Bildnachweise
Die Leitlinien für Ärztinnen und Ärzte, Rückenuntersuchung bei kleinem Mädchen/© Viacheslav Lakobchuk / stock.adobe.com (Symbolbild mit Fotomodellen), Junge Ärztin vor einem Triage-Zelt/© Milos / Stock.adobe.com (Symbolbild mit Fotomodell), Kranker Junge mit erhöhter Temperatur/© Imgorthand / Getty Images / iStock (Symbolbild mit Fotomodell)