Zum Inhalt
Die Radiologie

Seltene Ursache einer bakteriellen Peritonitis

Redaktion

Anton Faron, Hamburg
QR-Code scannen & Beitrag online lesen

Hinweis des Verlags

Der Verlag bleibt in Hinblick auf geografische Zuordnungen und Gebietsbezeichnungen in veröffentlichten Karten und Institutsadressen neutral.

Anamnese

Wir berichten über eine 34-jährige Patientin, die sich in der zentralen Notaufnahme unseres Klinikums mit Bauchschmerzen vorstellte. Aus der Vorgeschichte waren eine Spina bifida mit Hemiparese sowie eine ventrikuloperitoneale Shuntanlage vorbekannt. Zudem erfolgte bei der Patientin vor 15 Jahren bei neurogener Dysfunktion der Harnblase ein Blasenhalsverschluss und Anlage eines katheterisierbaren Mitrofanoff-Stomas. Das Mitrofanoff-Stoma ist ein sog. kontinentes Stoma. Dabei wird die Appendix vermiformis als Kanal zur Blasenentleerung zwischen Bauchwand und Blase eingenäht. Für die Urinausscheidung wird mit einem Katheter der Urin mehrmals täglich über das Stoma aus der Blase abgelassen. Im vorliegenden Fall erfolgte die Ausleitung im rechten Unterbauch, worüber die Patientin ihre Blase mittels Einmal-Katheterisierung entleeren konnte. Dies erfolgte in den Tagen vor der Vorstellung laut Patientin subjektiv problemlos.
Laborchemisch zeigte sich eine Leukozytose mit Linksverschiebung sowie eine Kreatinämie. Im U‑Status zeigte sich eine Leukozyturie mit positivem Nitrit. In der initialen Urin- und Blutkultur konnten im Verlauf Enterococcus faecalis in signifikanter Keimzahl nachgewiesen werden. Urologisch bestanden anamnestisch vorbekannt eine ausgeprägte Hypertrophie der Harnblase mit einem kranialen Divertikel sowie multiple Konkremente intravesikal.

Radiologische Diagnostik

Zur weiteren Diagnostik wurde eine Bildgebung mittels kontrastangehobener Computertomographie (CT) des Abdomens in venöser und urographischer Phase zur Eruierung eines Infektgeschehens veranlasst.
In der durchgeführten CT (Abb. 1) zeigte sich bei ausgeprägtem Aszites eine deutliche Kontrastmittelaufnahme des peritonealen Blattes als Ausdruck einer Peritonitis. Ferner ließen sich multiple Konkremente innerhalb der wandverdickten Harnblase im Sinne einer chronischen Inflammation bzw. bei bekannter neurogener Dysfunktion feststellen. Des Weiteren zeigte sich eine gesteigerte Kontrastmittelaufnahme des Ureters und des Nierenbeckenkelchsystems (NBKS) im Sinne einer diffusen Entzündung. Links kranial war am Dach der Blase eine divertikelartige Aussackung mit Konkrementeinschluss abzugrenzen. Die Wand des Divertikels war zart, kurzstreckig war die Kontinuität der Wand nicht abgrenzbar. Im Verlauf der Ausleitung im rechten Unterbauch zeigte sich ebenfalls eine deutliche Entzündungsreaktion. Zur Darstellung der Abflussverhältnisse wurde eine urographische Phase angefertigt (Abb. 2).
Abb. 1
Computertomographie (CT) des Abdomens mit Kontrastmittel in portalvenöser Phase in koronarer (ad) und axialer (bc) Rekonstruktion (acd Weichteilfenster, b Knochenfenster). a Es zeigt sich im Unterbauch die zirkulär wandverdickte Harnblase und der kontrastmittelaufnehmende Ureter links (Pfeile). Zudem ist reichlich Flüssigkeit im Unterbauch und ein verdicktes, kontrastmittelaufnehmendes Peritoneum zu erkennen (Pfeilspitze). b Innerhalb der Blase finden sich multiple röntgendichte Konkremente (Pfeil). c Die Blase zeigt ein nach links kranial gerichtetes Divertikel mit einem darin befindlichen Konkrement (Pfeil). Die Ausleitung des Mitrofanoff-Stoma im rechten Unterbauch ist verdickt und nimmt Kontrastmittel auf (Pfeilspitze). d Abgebildet ist erneut die wandverdickte Blase mit dem nach links kranial gerichteten Divertikel und dem teilweise erfassten Konkrement (Pfeil). Die Wand des Divertikels zeigt eine Konturunterbrechung (Pfeilspitze)
Bild vergrößern
Abb. 2
Computertomographie (CT) des Abdomens in urographischer Phase in a koronarer und b axialer Rekonstruktion (Knochenfenster). a Zwischenzeitlich wurde ein Harnblasenkatheter über die Ausleitung im rechten Unterbauch eingebracht. Der geblockte Ballon liegt im Divertikel (Pfeil). Zudem Nachweis von austretendem Kontrastmittel/Urin (Pfeilspitze). b Abzugrenzen ist das austretende Kontrastmittel/Urin mit Ausbildung eines großen Urinoms im Unterbauch (Pfeilspitze)
Bild vergrößern

Wie lautet Ihre Diagnose?

Definition

Blasenrupturen können in intra- und extraperitoneal sowie spontane Rupturen unterschieden werden. Die Ursachen für eine Blasenruptur mit anschließendem Urinom können hierbei vielfältig sein, wobei Traumata und eine Obstruktion im Verlauf des Harntraktes mit konsekutivem Rückstau als die häufigsten Ursachen vorkommen. Extraperitoneale Rupturen sind in der Regel traumatisch bedingt und stellen insgesamt die häufigste Form dar. Intraperitoneale spontane Blasenrupturen werden in der Literatur vor allem bei Patienten mit vorbestehender struktureller Schädigung der Harnblase beschrieben. Zu diesen zählen Tumoren, Divertikel, chronische Entzündungen oder postradiogene Fibrosen, welche die Harnblase weniger widerstandsfähig gegenüber einer Überdehnung machen und so eine spontane Perforation begünstigen können [1]. Die Blasenkuppel/-dom gilt dabei als Prädilektionsstelle, da die Blasenwand hier am wenigsten widerstandsfähig ist [1]. Intravesikale Konkremente können infolge konsekutiver chronischer Inflammation eine Perforation begünstigen und sind daher als Risikofaktor zu betrachten [2]. Die spontane Ruptur von Harnblasendivertikeln infolge von Konkrementen ist in der Literatur dabei jedoch nur in Form von Einzelfallberichten beschrieben [3, 4]. Im vorliegenden Fall muss daher auch eine akzidentelle traumatische Ruptur infolge der Eigenkatheterisierung diskutiert werden.
Die Resorption von Urin durch das Peritoneum führt zu erhöhten Serumspiegeln des Kreatinins und kann so eine akute Nierenschädigung (AKI) vortäuschen, wie auch im von uns vorgelegten Fall. Die initiale Kreatininämie war am ehesten auf eine peritoneale Resorption des extravesikalen Urins zurückzuführen. Eine akute Nierenschädigung erschien aufgrund der unauffälligen CT-Bildgebung ohne Hinweis auf eine Harnabflussstörung, der raschen Normalisierung der Nierenparameter nach dauerhafter Katheterableitung sowie fehlender klinischer und laborchemischer Zeichen einer prä- oder intrarenalen AKI unwahrscheinlich.
Insbesondere in der direkten postoperativen Situation nach Operationen im Becken, z. B. nach gynäkologischen, visceralchirurgischen oder urologischen Eingriffen, ist ebenfalls an eine mögliche Verletzung der Blase zu denken [5]. Sofern mittels CT in venöser und urographischer Phase die Intaktheit der Harnblase nicht sicher nachgewiesen werden kann, kann zusätzlich über einen transurethralen Katheter eine retrograde Füllung mit verdünntem Kontrastmittel erfolgen [5]. Da es sich bei der spontanen Harnblasenruptur um eine seltene Differenzialdiagnose mit unspezifischer Symptomatik handelt, erfolgt die Diagnosestellung häufig verzögert [6]. Auch im von uns vorgestellten Fall konnte erst durch die mehrphasige CT die Diagnose gesichert werden.
Aufgrund der individuellen Patientenvorgeschichte im oben beschriebenen Fall, mit zahlreichen Katheterisierungen der Blase im Vorfeld, ist dies als weiterer prädisponierender Faktor zu berücksichtigen.
Diagnose: Bakterielle Peritonitis/superinfiziertes Urinom bei Ruptur eines Blasendivertikels
Die intraperitoneale Blasenruptur rechtfertigt per se eine zeitnahe chirurgische Sanierung, da sie mit dem Risiko einer Sepsis und Peritonitis einhergeht [7]. Assoziierte kleinere und spontane, nichttraumatische Urinome werden in der Regel konservativ behandelt und resorbieren sich häufig spontan [1]. Ausgedehnte oder superinfizierte Urinome können mittels perkutaner Drainage entlastet werden.

Therapie und Verlauf

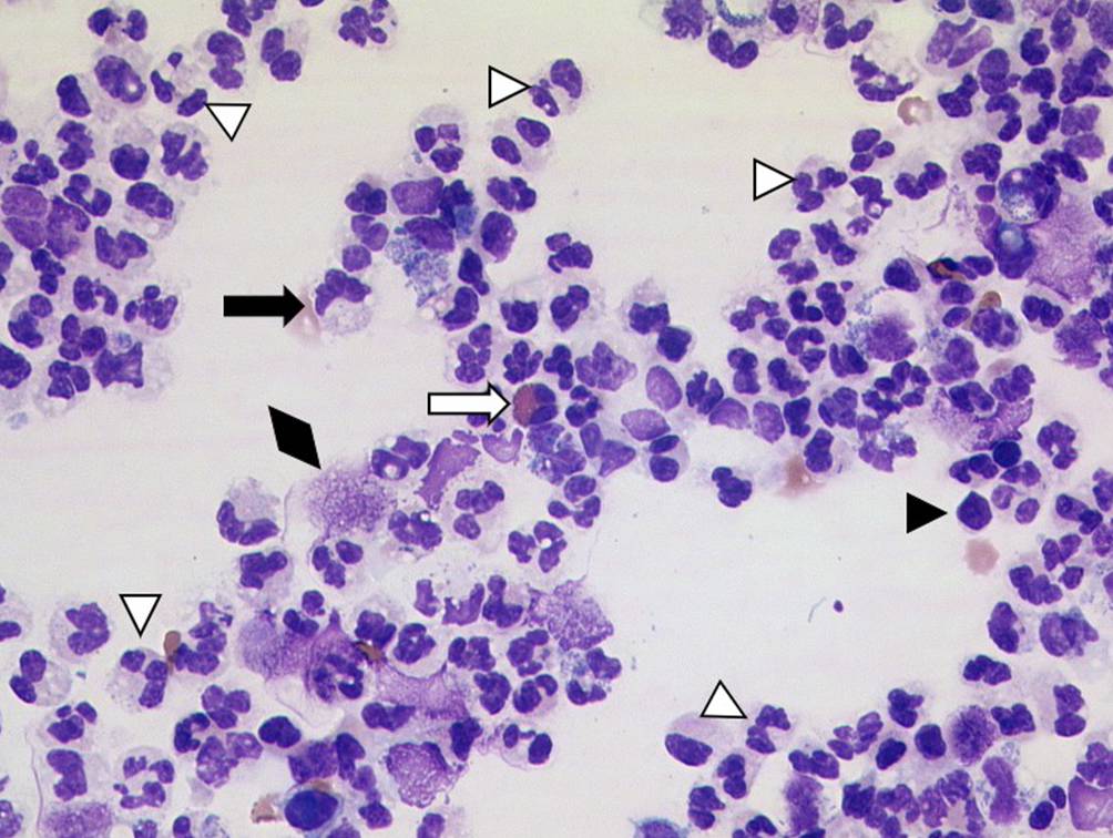
Als Therapie erfolgte eine parenterale Antibiose mit Meropenem im stationären Setting. Es erfolgte eine Katheterdauerableitung über das Mitrofanoff-Stoma im rechten Unterbauch, worunter sich der klinische Zustand und die laborchemischen Entzündungsparameter deutlich besserten. Es erfolgte zudem ein Zystogramm, in dem sich die Leckage am Harnblasendivertikel bestätigte. Das abdominelle Urinom wurde mittels Drainage abgeleitet und die gewonnene Flüssigkeit histopathologisch aufgearbeitet. Hierbei zeigte sich ein entzündliches, zellreiches Probenmaterial ohne Anhalt für Malignität (Abb. 3). Zudem konnte auch im Aszites Enterococcus faecalis nachgewiesen werden, passend zur Urin- und Blutkultur. Enterococcus faecalis ist zwar typischer Bestandteil der Darmflora, wird jedoch bei Patient:innen mit komplexer urologischer Vorgeschichte, insbesondere auch nach Harnblasenaugmentation, häufiger als Erreger von Harnwegsinfektionen nachgewiesen. Die veränderte Anatomie, die Zystolithiasis, die Schleimproduktion des augmentierten Darmsegments sowie intermittierend erhöhte Restharnvolumina begünstigen eine Kolonisation mit darmtypischen Bakterien. In unserem Fall ergaben sich keine Hinweise auf eine enterovesikale Fistel: Die CT-Diagnostik zeigte eine freie Perforation ohne Hinweis auf eine Fistel. Zudem bestanden keine gastrointestinalen Symptome sowie keine Fäkalurie.
Abb. 3
Aszitespunktat mit einem hochfloriden entzündlichen Zellbild mit zahlreichen neutrophilen Granulozyten (weiße Pfeilspitzen), einzelnen eosinophilen Granulozyten (weißer Pfeil), Lymphozyten (schwarze Pfeilspitze), Makrophagen (schwarzer Pfeil) und zerfallenden Leukozyten (schwarze Raute). Zytospinpräparat, MGG-Färbung, Originalvergrößerung 400:1
Bild vergrößern
Da das distale Ende des VP-Shunts innerhalb des Urinoms lag, wurde dieses entfernt und der Shunt temporär infraklavikulär nach extern ausgeleitet. Von einer operativen Sanierung der Blasenruptur wurde trotz bestehender Infektsituation aufgrund der Begleiterkrankungen und dem daraus resultierenden erhöhten operativen sowie Narkoserisiko zunächst abgesehen. Bei im Verlauf fallenden Entzündungsparametern und sistierender Fördermenge über die Drainage konnte diese nach 21 Tagen entfernt und die Patientin nach Hause entlassen werden. Im Verlauf konnte nach unauffälligem Zystogramm auch der Dauerkatheter entfernt und die gewohnte Einmalkatheterisierung wieder aufgenommen werden. Zudem erfolgten eine endoskopische Laserlithotripsie und Evakuation der Blasensteine über das Mitrofanoff-Stoma.

Fazit für die Praxis

  • Harnblasendivertikel sollten mit besonderem Augenmerk hinsichtlich etwaiger Komplikationen betrachtet werden.
  • Bei großen Mengen Aszites unklarer Ursache ist differenzialdiagnostisch an ein Urinom zu denken.
  • Sofern ein Urinom als Differenzialdiagnose im Raum steht, kann eine urographische Phase diagnostisch hilfreich oder beweisend sein.

Einhaltung ethischer Richtlinien

Interessenkonflikt

C. Kloth, T. Breining, A. Beck, A. John, M. Beer und D. Vogele geben an, dass kein Interessenkonflikt besteht.
Für diesen Beitrag wurden von den Autor/-innen keine Studien an Menschen oder Tieren durchgeführt. Für die aufgeführten Studien gelten die jeweils dort angegebenen ethischen Richtlinien. Für Bildmaterial oder anderweitige Angaben innerhalb des Manuskripts, über die Patient/-innen zu identifizieren sind, liegt von ihnen und/oder ihren gesetzlichen Vertretern/Vertreterinnen eine schriftliche Einwilligung vor.
Open Access Dieser Artikel wird unter der Creative Commons Namensnennung 4.0 International Lizenz veröffentlicht, welche die Nutzung, Vervielfältigung, Bearbeitung, Verbreitung und Wiedergabe in jeglichem Medium und Format erlaubt, sofern Sie den/die ursprünglichen Autor(en) und die Quelle ordnungsgemäß nennen, einen Link zur Creative Commons Lizenz beifügen und angeben, ob Änderungen vorgenommen wurden. Die in diesem Artikel enthaltenen Bilder und sonstiges Drittmaterial unterliegen ebenfalls der genannten Creative Commons Lizenz, sofern sich aus der Abbildungslegende nichts anderes ergibt. Sofern das betreffende Material nicht unter der genannten Creative Commons Lizenz steht und die betreffende Handlung nicht nach gesetzlichen Vorschriften erlaubt ist, ist für die oben aufgeführten Weiterverwendungen des Materials die Einwilligung des jeweiligen Rechteinhabers einzuholen. Weitere Details zur Lizenz entnehmen Sie bitte der Lizenzinformation auf http://creativecommons.org/licenses/by/4.0/deed.de.

Hinweis des Verlags

Der Verlag bleibt in Hinblick auf geografische Zuordnungen und Gebietsbezeichnungen in veröffentlichten Karten und Institutsadressen neutral.
Download
Titel
Seltene Ursache einer bakteriellen Peritonitis
Verfasst von
Christopher Kloth
Thomas Breining
Annika Beck
Axel John
Meinrad Beer
Dr. med. Daniel Vogele
Publikationsdatum
08.01.2026
Verlag
Springer Medizin
Erschienen in
Die Radiologie
Print ISSN: 2731-7048
Elektronische ISSN: 2731-7056
DOI
https://doi.org/10.1007/s00117-025-01551-w
1.
Zurück zum Zitat Hadjipavlou M, Tharakan T, Khan SA, Swinn M (2014) Spontaneous bladder rupture of a urinary bladder with non-muscle invasive bladder cancer. BMJ Case Rep. https://doi.org/10.1136/bcr-2013-201972CrossRefPubMedPubMedCentral
2.
Zurück zum Zitat Guitynavard F, Tamehri Zadeh SS, Tehranipour E, Rakebi MM, Kazem Aghamir SM (2021) Urinoma as the result of a 3 mm stone in ipsilateral ureter: a rare case report. Urol Case Rep 36:101571. https://doi.org/10.1016/j.eucr.2021.101571CrossRefPubMedPubMedCentral
3.
Zurück zum Zitat Chang TH, Li CC, Wu WJ, Chou YH, Liu CC, Huang CH (2005) Spontaneous rupture of ileal neobladder: a case report. Kaohsiung J Med Sci 21(4):189–192. https://doi.org/10.1016/S1607-551X(09)70300-6CrossRefPubMed
4.
Zurück zum Zitat Ostrowski DA, Cortese BD, Chelluri RR, Kovell RC, Wein AJ, Lee DJ (2022) Spontaneous rupture of a bladder diverticulum with delayed open surgical repair. Urol Case Rep 44:102165. https://doi.org/10.1016/j.eucr.2022.102165CrossRefPubMedPubMedCentral
5.
Zurück zum Zitat Tonolini M (2018) Multidetector CT of expected findings and complications after hysterectomy. Insights Imaging 9(3):369–383. https://doi.org/10.1007/s13244-018-0610-9CrossRefPubMedPubMedCentral
6.
Zurück zum Zitat Muneer M, Abdelrahman H, El-Menyar A, Zarour A, Awad A, Al-Thani H (2015) Spontaneous atraumatic urinary bladder rupture secondary to alcohol intoxication: a case report and review of literature. Am J Case Rep 16:778–781. https://doi.org/10.12659/ajcr.894992CrossRefPubMedPubMedCentral
7.
Zurück zum Zitat Cardoso VS, Sousa M, Campos Costa F, Gonçalves PP, Guerreiro JM (2023) Spontaneous rupture of a urinary bladder diverticulum in women: a rare cause of an acute abdomen. Cureus 15(7):e42622. https://doi.org/10.7759/cureus.42622CrossRefPubMedPubMedCentral

Neu im Fachgebiet Radiologie

Elektroschrott: Wie Praxen Altgeräte sicher entsorgen

Ob nun Sonogerät, Praxiscomputer oder gar TI-Konnektor: Einfach zum nächsten Wertstoffhof sollten Praxisteams ausgediente Elektrogeräte nicht bringen. Was bei der Entsorgung zu beachten ist. Und wie die Teams sicher sensible Daten auf PC-Festplatte, externem Datenspeicher und TI-Komponenten löschen.

Tipps: So können Praxen die Risiken für einen GOÄ-Streit minimieren

Für Streitigkeiten, die das GOÄ-Honorar betreffen, sind neuerdings nur noch Landgerichte zuständig. Das macht Prozesse teurer. Eine Praxisberaterin erläutert, wie Praxen vorbauen können, um solche Streitfälle und Gerichtsverfahren zu vermeiden.

Weniger Intervallkarzinome mit KI-unterstützter Mammografie

Die MASAI-Studie beschäftigt sich seit Längerem mit den Folgen des Einsatzes künstlicher Intelligenz beim Lesen von Screeningmammogrammen. Nun liegt eine neue Auswertung vor. Darin geht es um Intervallkarzinome.

Beeinflusst KI das Burnout-Risiko in der Radiologie?

Ein Review zweier US-amerikanischer Radiologen fasst die bisherige Studienlage zum Einsatz künstlicher Intelligenz in der Radiologie zusammen. Die verfügbaren Daten liefern bislang ein uneinheitliches Bild zum Einfluss von KI auf Burnout und dessen zentrale Ursachen.

Update Radiologie

Bestellen Sie unseren Fach-Newsletter und bleiben Sie gut informiert.

Bildnachweise
Ultraschalluntersuchung der Niere/© Your_Photo_Today (Symbolbild mit Fotomodellen), Richter mit Gesetzbuch/© Kzenon / stock.adobe.com (Symbolbild mit Fotomodell), Zwei erfahrene Ärzte arbeiten an Computer/© alvarez / Getty Images / iStock (Symbolbild mit Fotomodell), Radiologin untersucht Mammogramm am Computer/© Framestock / stock.adobe.com (Symbolbild mit Fotomodell)