Zum Inhalt
HNO

The woman with a swollen tongue

A rare case of an ANCA-negative localized eosinophil-rich granulomatous inflammation affecting solely the tongue

Erschienen in:
download
DOWNLOAD
print
DRUCKEN
insite
SUCHEN

Abstract

Eosinophilic granulomatosis with polyangiitis (EGPA, previously known as Churg–Strauss syndrome) is an antineutrophil cytoplasmic antibody (ANCA)-associated vasculitis (AAV) often presenting with chronic rhinosinusitis, pulmonary infiltrates, gastrointestinal and cardiac disorders, or renal lesions. Sinonasal and inner ear manifestations are common, but other affections of the head and neck area are rarely reported. Here we report a case of a young woman with a histopathological diagnosis of eosinophil-rich granulomatous inflammation affecting solely the tongue without other local or systemic lesions. It suggests histopathologically a localized EGPA according to the 1992 Chapel Hill classification but does not formally meet the recent 2022 joint classification criteria for EGPA of the American College of Rheumatology (ACR) and the European Alliance of Associations for Rheumatology (EULAR). In this report, we also describe the difficulty associated with the treatment.
Scan QR code & read article online

Publisher’s Note

Springer Nature remains neutral with regard to jurisdictional claims in published maps and institutional affiliations.

Case report

History

A woman in her 30s with a 1-week history of progressive and painful tongue swelling presented to our otorhinolaryngological (ENT) emergency department (Fig. 1a). Due to pain and burning sensations, swallowing and ingestion of solid food were restricted. There was a known allergy to pollen, dust mites, and nickel. Furthermore, bronchial asthma and recurrent rhinosinusitis, which had been self-limiting, were reported several years earlier. In that regard, no complaints were documented at the time of the patient’s presentation. The patient gave birth to a healthy child around 7 months before the onset of the tongue swelling and was otherwise healthy without regular intake of medication.
Fig. 1
a Physical examination with pronounced swelling of the tongue at the initial presentation. b T1-weighted magnetic resonance imaging (MRI) with gadolinium: Coronal section showing strong contrast enhancement of the upper third of the tongue including the tongue surface
Bild vergrößern

Findings

During the clinical examination, pronounced swelling of the tongue with reduced mobility and bilaterally enlarged cervical lymph nodes were observed. The remaining clinical investigations were unremarkable; in particular, there were no clinical signs of sinusitis. The patient’s aural temperature was 36.8 °C. In the blood examination, C‑reactive protein (CRP) was slightly elevated at 6.4 mg/L and with a normal leukocyte count of 7.11 × 109/L. Due to the unresponsiveness of the glossitis to low-dose systemic corticosteroids and empirical antifungal therapy, further work-up was performed with an MRI scan including contrast agent, which revealed a diffuse inflammatory process of the tongue (Fig. 1b). Next, tongue biopsies were taken, which showed eosinophilic and granulomatous inflammation with transmural vasculitis and fibrinoid necrosis of small- to medium-sized vessels. The inflammation involved the tunica intima (endothelium) first, with secondary involvement of the tunica media. There were no signs of amyloidosis, immunoglobulin G subclass 4 (IgG4) presence, or mycobacteria or fungus infestation (Fig. 2). Further diagnostic and laboratory work was provided by the Department of Immunology (Table 1). In the laboratory work-up, there was no elevated eosinophilic blood cell count. The antineutrophil cytoplasmic antibody (ANCA) status was negative. Due to myalgia of the lower extremities and enhanced metabolic activity of the calf muscles observed on positron emission tomography (PET) as well as on contrast-enhanced MRI of the gluteal, thigh, and calf muscles, muscle biopsies of the vastus medialis were taken. The histopathology of these biopsies was normal with no indications of myositis or other pathological results. The origin of the radiological changes seen in the leg muscles remains unclear.
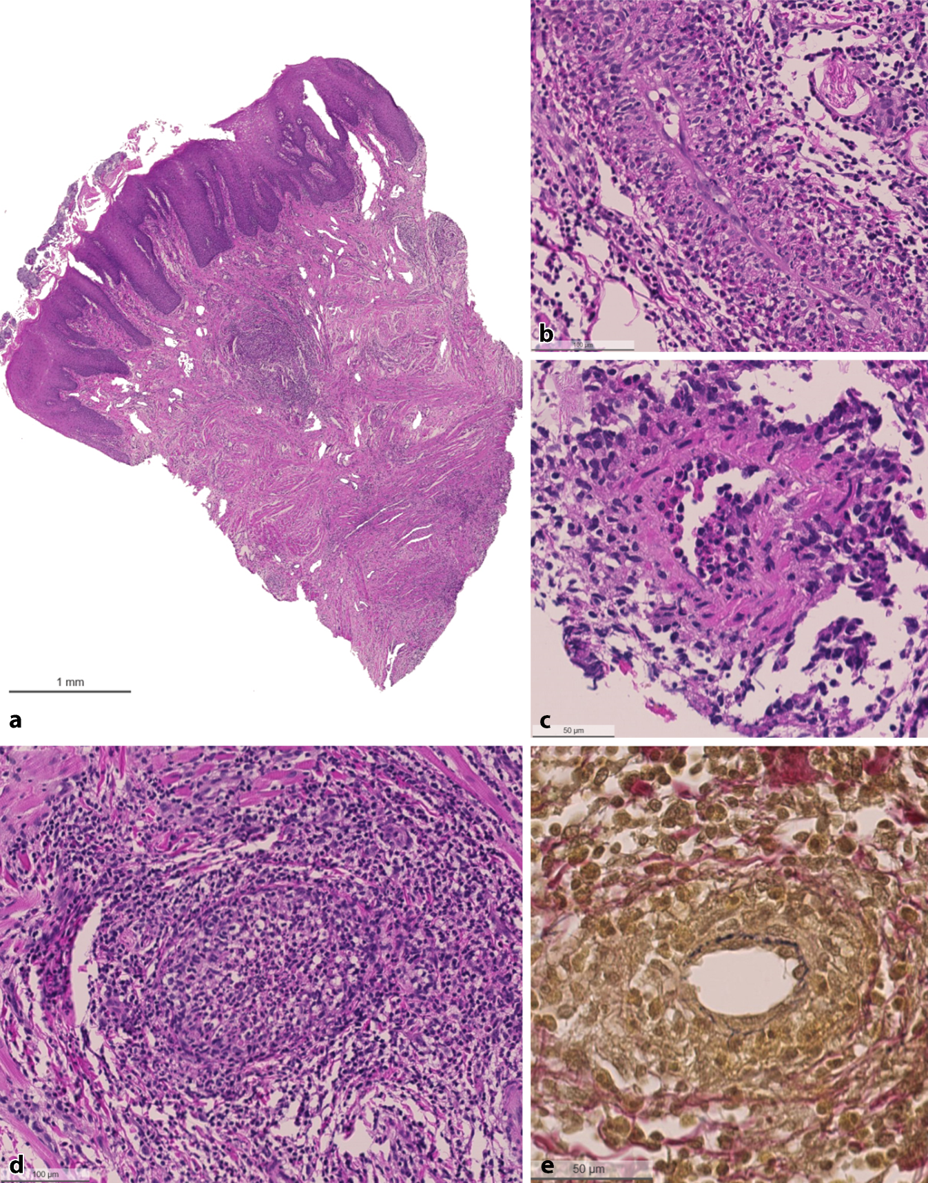
Fig. 2
Histopathologic analysis of tongue biopsy. a Squamous mucosa with subepithelial eosinophil-rich granulomatous inflammation (Hematoxylin and eosin stain [H&E]). b Vasculitis of a small artery showing transmural eosinophil infiltration (H&E). c, d Blood vessel with eosinophil-rich inflammation and necrosis (H&E). e Destruction of the elastic fibers (elastic fibers are represented by black lines). Step sections. Elastica-van-Gieson, Alcian blue-PAS and Grocott (no fungi), Acid Fuchsin Orange G, Congo red (no amyloid), Ziehl–Neelsen (no acid-fast rods), Giemsa. Immunohistochemistry: kappa/lambda (polytypic plasma cells), IgG and IgG4 (physiological ratio). Spirochetes (negative)
Bild vergrößern
Table 1
Overview of diagnostic investigations
Tests
Results
Serological
No elevation of eosinophilic granulocytes
Normal findings of: cANCA, pANCA, ANA, ANA cytoplasm, Anti-SS‑A, Anti-SS‑B, Anti-SmD, rheumatoid factor, Anti-CCP, IgA, IgE, IgG, IgM, C1 Inhibitor, complementary factor C3c and C4, Anti-Ku 70 and 80, Anti-Mi2, IL‑1, sIL‑2, IL‑5, IL‑6, IL-12, IFN gamma, TNF alpha, free lambda and kappa light chains, HIV, Anti-HBc IgG and IgM, Anti-HBs, Anti-HCV IgG
Microbiological
Mycobacterium-specific interferon gamma release assay (QuantiFERON ®): negative
Oral cavity swab: normal flora and Staphylococcus aureus with resistance to penicillin and ampicillin
Genetic
HLA-B27 and HLA-B51: negative
Cardio-/pneumological
Electrocardiogram: normal
Echocardiography: normal
6‑minute walking test: normal
Lung function: normal
Radiology
MRI neck: contrast agent enhancing upper third of the tongue
MRI thorax, abdomen, and lower extremities: symmetric contrast agent enrichment in the gluteal, thigh, and calf muscles
PET-CT full-body scan: increased metabolic activity of the calf muscles. No indications for lymphoma or other pathologies. No chronic rhinosinusitis
Histology
Biopsies of tongue tissue: eosinophilic granulomatous inflammation with necrotic vasculitis. No indication of carcinoma, lymphoma, sarcoidosis, amyloidosis, or bacterial infection
Biopsy of vastus medialis muscle with peripheral nerve: normal tissue without pathology

Diagnosis

On the basis of the aforementioned findings, the diagnosis of an isolated AAV was made. Due to the histopathological characteristics of an eosinophilic and granulomatous inflammation of the tongue with necrosis of small and medium-sized vessels, and referring to the Chapel Hill Consensus Conference criteria, we suspected a pauci-immune, ANCA-negative, localized EPGA. According to the new American College of Rheumatology (ACR) and the European Alliance of Associations for Rheumatology classification, the criteria for EGPA were no longer met in this case.

Therapy and follow-up

The breastfeeding patient showed some relief of her symptoms after high-dose intravenous steroid therapy with 500 mg of methylprednisolone administered daily (Solu-Medrol®) and with accompanying analgesia comprising paracetamol and nonsteroidal anti-inflammatory drugs. After successive steroid reduction, the patient again complained of progressive tongue swelling and muscle pain. Treatment with the anti-interleukin-5-receptor monoclonal antibody benralizumab (Fasenra® 30 mg s.c.) and mycophenolate mofetil (CellCept®) was not successful. A combination of anti-CD20 monoclonal antibody treatment with rituximab (Mabthera®) and CellCept® was implemented. With this treatment, remission and reduction of the oral prednisone dose were achieved (Fig. 3).
Fig. 3
Follow-up image around 2 years after the initial treatment
Bild vergrößern

Discussion

Anti-neutrophil cytoplasmatic antibody (ANCA)-associated vasculitis (AAV) constitutes a group of systemic disorders primarily affecting small vessels [1, 2]. The AAVs can be subdivided into three entities, as defined by the 1992 Chapel Hill Consensus Conference: granulomatosis with polyangiitis (GPA, previously known as Wegener’s disease), microscopic polyangiitis (MPO), and eosinophilic granulomatosis with polyangiitis (EGPA, previously known as Churg–Strauss syndrome). The incidence of EGPA is considerably lower than other forms of AAVs with 0.5–4 cases/100,000 per year; it often presents with chronic rhinosinusitis, hearing loss, pulmonary infiltrates, gastrointestinal and cardiac disorders, renal lesions, and neuropathy [5]. Ear, nose, and throat manifestations are common; however, other affections of the head and neck area are rarely reported [57]. In the past, EGPA was histopathologically defined as an eosinophilic and granulomatous inflammation with necrotizing vasculitis of small and medium-sized vessels [13]. In 2022, the ACR and EULAR jointly proposed new classification criteria for AAV [4]. In summary, these ACR/EULAR classification criteria include clinical, laboratory, histological, and radiological parameters. In the present case with histopathological findings of eosinophilic granulomatous inflammation with necrotic vasculitis, we hypothesized a localized form of ANCA-negative EGPA or an early stage of EGPA that was still localized in one organ according to the 2012 Chapel Hill definition. However, the ACR/EULAR cut-off value for a positive EGPA classification was not met in our case [4]. In our opinion, one shortcoming of the recent ACR/EULAR classification of AAVs has become apparent in our case report of an isolated form of eosinophilic granulomatous inflammation: Localized forms of AAV as well as early stages of EGPA, which might initially present as localized and only develop into a systemic presentation at a later stage, may not be classified as EGPA based on the aforementioned ACR/EULAR classification criteria.

Practical conclusion

  • Here, we report a rare case of isolated eosinophil-rich granulomatous inflammation affecting solely the tongue.
  • Discordance in the diagnosis between the 2012 Chapel Hill and the 2022 ACR/EULAR classification criteria was observed, especially in localized forms of antineutrophil cytoplasmic antibody (ANCA)-associated vasculitis (AAV) as well as early stages of eosinophilic granulomatosis with polyangiitis, which may start locally and develop into a systemic presentation later.
  • In cases of unclear and persistent tongue swelling, biopsies might be helpful to diagnose autoimmune diseases such as AAVs including rare subcategories—especially if other local and systemic symptoms or lesions are absent.
  • Treatment of ANCA-negative, localized eosinophil-rich granulomatous inflammation might be challenging and prolonged even when applying new therapies such as B‑cell depletion with rituximab or blocking of the interleukin (IL)-5 pathway.

Declarations

Conflict of interest

F. Munzinger, L. Giudici, M.B. Soyka, T. Kleinjung and D. Runggaldier declare that they have no competing interests.
For this article no studies with human participants or animals were performed by any of the authors. All studies mentioned were in accordance with the ethical standards indicated in each case. For images or other information in the manuscript that identifies patients, consent was obtained from them and/or their legal guardians.
Open Access Dieser Artikel wird unter der Creative Commons Namensnennung 4.0 International Lizenz veröffentlicht, welche die Nutzung, Vervielfältigung, Bearbeitung, Verbreitung und Wiedergabe in jeglichem Medium und Format erlaubt, sofern Sie den/die ursprünglichen Autor(en) und die Quelle ordnungsgemäß nennen, einen Link zur Creative Commons Lizenz beifügen und angeben, ob Änderungen vorgenommen wurden. Die in diesem Artikel enthaltenen Bilder und sonstiges Drittmaterial unterliegen ebenfalls der genannten Creative Commons Lizenz, sofern sich aus der Abbildungslegende nichts anderes ergibt. Sofern das betreffende Material nicht unter der genannten Creative Commons Lizenz steht und die betreffende Handlung nicht nach gesetzlichen Vorschriften erlaubt ist, ist für die oben aufgeführten Weiterverwendungen des Materials die Einwilligung des jeweiligen Rechteinhabers einzuholen. Weitere Details zur Lizenz entnehmen Sie bitte der Lizenzinformation auf http://​creativecommons.​org/​licenses/​by/​4.​0/​deed.​de.

Publisher’s Note

Springer Nature remains neutral with regard to jurisdictional claims in published maps and institutional affiliations.

Unsere Produktempfehlungen

HNO

Print-Titel

• Ausgewählte Übersichtsbeiträge zu aktuellen Themenschwerpunkten

• Mit CME-Beiträgen Wissen auffrischen und Punkte sammeln

• Prüfungsvorbereitung mit dem Repetitorium Facharztprüfung

• Kommentierte Studienreferate

e.Med Interdisziplinär

Kombi-Abonnement

Für Ihren Erfolg in Klinik und Praxis - Die beste Hilfe in Ihrem Arbeitsalltag

Mit e.Med Interdisziplinär erhalten Sie Zugang zu allen CME-Fortbildungen und Fachzeitschriften auf SpringerMedizin.de.

e.Dent – Das Online-Abo der Zahnmedizin

Online-Abonnement

Mit e.Dent erhalten Sie Zugang zu allen zahnmedizinischen Fortbildungen und unseren zahnmedizinischen und ausgesuchten medizinischen Zeitschriften.

Weitere Produktempfehlungen anzeigen
download
DOWNLOAD
print
DRUCKEN
Titel
The woman with a swollen tongue
A rare case of an ANCA-negative localized eosinophil-rich granulomatous inflammation affecting solely the tongue
Verfasst von
Dr. med. Fabio Munzinger
Dr. med. Luca Giudici
Prof. Dr. med. Michael B. Soyka
Prof. Dr. med. Tobias Kleinjung
Dr. med. Daniel Runggaldier
Publikationsdatum
01.09.2025
Verlag
Springer Medizin
Erschienen in
HNO / Ausgabe 11/2025
Print ISSN: 0017-6192
Elektronische ISSN: 1433-0458
DOI
https://doi.org/10.1007/s00106-025-01662-9
1.
Zurück zum Zitat Geetha D, Jefferson JA (2020) ANCA-Associated Vasculitis: Core Curriculum 2020. Am J Kidney Dis 75(1):124–137. https://​doi.​org/​10.​1053/​j.​ajkd.​2019.​04.​031CrossRefPubMed
2.
Zurück zum Zitat Vaglio A, Buzio C, Zwerina J (2013) Eosinophilic granulomatosis with polyangiitis (Churg-Strauss): state of the art. Allergy 68(3):261–273. https://​doi.​org/​10.​1111/​all.​12088CrossRefPubMed
3.
Zurück zum Zitat Jennette JC (2013) Overview of the 2012 revised International Chapel Hill Consensus Conference nomenclature of vasculitides. Clin Exp Nephrol 17(5):603–606. https://​doi.​org/​10.​1007/​s10157-013-0869-6CrossRefPubMedPubMedCentral
4.
Zurück zum Zitat Pyo JY, Lee LE, Park YB, Lee SW (2023) Comparison of the 2022 ACR/EULAR Classification Criteria for Antineutrophil Cytoplasmic Antibody-Associated Vasculitis with Previous Criteria. Yonsei Med J 64(1):11–17. https://​doi.​org/​10.​3349/​ymj.​2022.​0435CrossRefPubMed
5.
Zurück zum Zitat Cruz CM, Oliveira J, Sequeira T, Ricardo M, Magalhaes L, Mendonca C (2016) The Man With the Swollen Tongue. J Med Cases 7(12):543–546CrossRef
6.
Zurück zum Zitat Petersen H, Götz P, Both M, et al (2015) Manifestation of eosinophilic granulomatosis with polyangiitis in the head and neck. Rhinology 53(3):277–285. https://​doi.​org/​10.​4193/​Rhino14.​074CrossRefPubMed
7.
Zurück zum Zitat Noda S, Komiya Y, Soejima M (2022) A case of eosinophilic granulomatosis with polyangiitis presented with blisters on the tongue. Clin Rheumatol 41(6):1925–1926
8.
Zurück zum Zitat Kitching AR, Anders HJ, Basu N, et al (2020) ANCA-associated vasculitis. Nat Rev Dis Primers 6(1):71. https://​doi.​org/​10.​1038/​s41572-020-0204-yCrossRefPubMed
9.
Zurück zum Zitat Ennis D, Lee JK, Pagnoux C (2019) Mepolizumab for the treatment of eosinophilic granulomatosis with polyangiitis. Expert Opin Biol Ther 19(7):617–630. https://​doi.​org/​10.​1080/​14712598.​2019.​1623875CrossRefPubMed
10.
Zurück zum Zitat Teixeira V, Mohammad AJ, Jones RB, Smith R, Jayne D (2019) Efficacy and safety of rituximab in the treatment of eosinophilic granulomatosis with polyangiitis. RMD Open 5(1):e000905. https://​doi.​org/​10.​1136/​rmdopen-2019-000905CrossRefPubMedPubMedCentral

Kompaktes Leitlinien-Wissen Innere Medizin (Link öffnet in neuem Fenster)

Mit medbee Pocketcards schnell und sicher entscheiden.
Leitlinien-Wissen kostenlos und immer griffbereit auf ihrem Desktop, Handy oder Tablet.

Neu im Fachgebiet Innere Medizin

Stereotaktische Strahlentherapie bei Prostatakrebs intensiv geprüft

Mit Hilfe der PSMA-PET/CT lassen sich Patienten mit Prostatakarzinomen identifizieren, bei denen eine lokale Therapie möglich ist und die z.B. von einer stereotaktischen Radiotherapie profitieren könnten. Die aktuelle Evidenz dazu wurde auf dem DGHO-Kongress vorgestellt.

Gliome zielgerichtet behandeln mit Vorasidenib

IDH (Isocitrat-Dehydrogenase)-Mutationen sind bei Gliomen im Erwachsenenalter ein wichtiger prognostischer und prädiktiver Faktor und zugleich ein ideales Target für eine zielgerichtete Therapie. Mittlerweile gibt es mit Vorasidenib eine zugelassene Behandlungsoption. 

NSCLC: Stellschrauben für den Langzeiterfolg der Immuntherapie

Die Prognose von Patientinnen und Patienten mit nicht-kleinzelligem Lungenkarzinom (NSCLC) hat sich durch die Einführung von Immuntherapien enorm verbessert. Dennoch erreicht nur ein Teil der Betroffenen eine langfristige und stabile Krankheitsremission. Das hat verschiedene Gründe.

Botulinumtoxin in der orthopädischen Schmerztherapie

Chronische Schmerzen und therapieresistent: Botulinumtoxin A könnte dafür eine Lösung sein. Wie der Wirkstoff in der Orthopädie eingesetzt wird, welche Evidenz dafür spricht und wie es um die Kostenübernahme steht, erklärte Dr. Stephan Grüner auf dem Kongress für Orthopädie und Unfallchirurgie.

Update Innere Medizin

Bestellen Sie unseren Fach-Newsletter und bleiben Sie gut informiert.

Bildnachweise
Geschwollene Zunge der Patientin/© Munzinger F et al. doi.org/10.1007/s00106-025-01662-9 unter CC-BY 4.0, Die Leitlinien für Ärztinnen und Ärzte, Stereotaktische Strahlentherapie (SBRT) einer solitären ossären Metastase in dem Brustwirbelkörper/© Springer Medizin Verlag GmbH, Hirntumoren sichtbar im MRT/© semnic / Getty Images / iStock (Symbolbild mit Fotomodell), Endobronchialer Befund mit exophytischem Tumor im Bereich des rechten Oberlappens/© Möller, M., Schütte, W. / all rights reserved Springer Medizin Verlag GmbH, Aufziehen einer Spritze/© Eisenhans / Fotolia