Zum Inhalt

Epiretinal Amniotic Membrane in Complicated Retinal Detachment: a Clinical and In Vitro Safety Assessment

  • Open Access
  • 11.03.2023
  • ORIGINAL RESEARCH
Erschienen in:

Abstract

Introduction

Amniotic membrane (AM) is a popular treatment for external ocular diseases. First intraocular implantations in other diseases reported promising results. Here, we review three cases of intravitreal epiretinal human AM (iehAM) transplantation as an adjunct treatment for complicated retinal detachment and analyze clinical safety. Possible cellular rejection reactions against the explanted iehAM were evaluated and its influence was assessed on three retinal cell lines in vitro.

Methods

Three patients with complicated retinal detachment and implanted iehAM during pars plana vitrectomy are retrospectively presented. After removal of the iehAM at subsequent surgery, tissue-specific cellular responses were studied by light microscopy and immunohistochemical staining. We investigated the influence of AM in vitro on retinal pigment epithelial cells (ARPE-19), Müller cells (Mio-M1), and differentiated retinal neuroblasts (661W) . An anti-histone DNA ELISA for cell apoptosis, a BrdU ELISA for cell proliferation, a WST-1 assay for cell viability, and a live/dead assay for cell death were performed.

Results

Despite the severity of the retinal detachment, stable clinical outcomes were obtained in all three cases. Immunostaining of the explanted iehAM showed no evidence of cellular immunological rejection. In vitro, there was no statistical significant change in cell death or cell viability nor were proliferative effects detected on ARPE-19, Müller cells, and retinal neuroblasts exposed to AM.

Conclusion

iehAM was a viable adjuvant with many potential benefits for treatment of complicated retinal detachment. Our investigations could not detect any signs of rejection reactions or toxicity. Further studies are needed to evaluate this potential in more detail.

Supplementary Information

The online version contains supplementary material available at https://doi.org/10.1007/s40123-023-00695-z.
Andreas Ohlmann and Armin Wolf contributed equally.
Key Summary Points
Why carry out this study?
Complicated retinal detachment after trauma or severe intraocular inflammation leads to severe visual impairment due to limited outcome and possible complications.
Amniotic membrane is a popular treatment for external ocular diseases, and first intraocular implantations in other diseases reported promising results.
We therefore aimed to analyze the use of amniotic membrane in intravitreal epiretinal transplantations for hard-to-treat complicated retinal detachments and hypothesized this may be safely used clinically as an adjuvant.
What was learned from the study?
The use of intravitreal epiretinal amniotic membrane resulted in an unexpectedly good clinical outcome in all three cases, while severe cellular rejection reactions and toxic effects were not detected in clinical observation, histological examination, and further in vitro experiments.
Intravitreal epiretinal transplantation of amniotic membranes appears to be a viable procedure for the treatment of complicated retinal detachments seemingly mitigating secondary complications such as severe fibrosis and the development of proliferative vitreoretinopathy, while demonstrating clinical safety and showing no signs of immunological cellular rejection reactions.

Introduction

Complicated retinal detachment following severe ocular trauma or endophthalmitis often leads to severe visual impairment [1]. The initial damage to the retina, neighboring tissue, and tissue disorganization following trauma and intraocular inflammation leads to hard-to-treat intraocular wound conditions and gravely limits the success of surgical intervention (2]. The primary surgical goal is the stabilization of morphological and functional outcomes by pars plana vitrectomy (PPV) [3]. The development of proliferative vitreoretinopathy (PVR), endophthalmitis, phthisis, and other complications are a common risk and prognosis remains reduced [3, 4]. Therefore, concomitant treatment options are needed to improve clinical outcome [3, 5].
Human amniotic membrane (AM) transplantation is widely used and popular to treat external ocular diseases owing to its anti-inflammatory, anti-apoptotic, anti-infective, and anti-fibrotic effects as well as its good biocompatibility [6]. As a result of these promising properties, AM has recently been used as an adjuvant treatment in atrophic retinal disease by direct subretinal implantation during PPV. So far, published examples are large macular tears [7], high myopic retinal detachment associated with macular holes [8], retinal tears [9], optic pits [10], and advanced age-related macular degeneration [11]. In the presented cases the procedure showed good anatomical results and stable visual outcome.
Compared to these atrophic retinal diseases, complicated retinal detachments primarily lead to a severe inflammatory and fibrotic cell response [12, 13]. Key promoters of these cellular immunological responses are thought to be retinal pigment epithelial cells (RPE) and Müller cells among others, which have critical functions in maintaining retinal homeostasis, induce cell differentiation, and promote retinal immunological responses [14, 15]. Interestingly, previous studies have found that AM was rather phenotype stabilizing and facilitated regenerative properties in RPE and Müller cells in vitro and in vivo [1618], emphasizing a possible intraocular application in complicated retinal detachment.
We therefore aimed to analyze the use of AM in intravitreal epiretinal transplantations for hard-to-treat complicated retinal detachments. We hypothesized that implantation of intravitreal epiretinal human amniotic membrane (iehAM) may be safely used clinically as an adjuvant in these cases without inducing secondary complications by evaluating three clinical cases. Immunological and cellular rejection reactions were further investigated on the subsequently explanted AM in regard to toxicity and rejection reactions, and the influence of AM was carefully assessed in vitro on cell cultures of RPE cells (ARPE-19), Müller cells (Mio-M1), and differentiated retinal neuroblasts (661W).

Methods

Clinical Cases

First we present case evaluations of three eyes of three patients suffering from severe ocular trauma with perforating ocular wounds (two patients) and endophthalmitis following blebitis (one patient) that were treated at the Department of Ophthalmology of the Ludwig Maximilians University of Munich between 2017 and 2019. Common features for inclusion were complicated retinal detachment and the use of iehAM as an adjunctive treatment option. Cryopreserved human AM were procured from a certified supplier (Gewebebank Mecklenburg-Vorpommern, Rostock, Germany). Tissue that remained after surgery and would otherwise have been discarded was transferred to the laboratory for further investigation. All three eyes required 23-gauge PPV to treat the underlying disease. All surgical procedures were performed by one experienced vitreoretinal surgeon (AW). In addition, following the surgeon’s evaluation of the clinical situation, an iehAM was placed close to the primary retinal defect epiretinally and into the perforating wound for the ocular trauma cases.
Research approval from the institutional review board of the department of ophthalmology of the Ludwig Maximilians University Munich was obtained, as well as written informed consent from all subjects. All research was performed in accordance with relevant guidelines and regulations and adhered to the Declaration of Helsinki.

Immunohistochemistry and Staining of Explanted iehAM

Explanted iehAM were fixed in 4% formaldehyde, embedded in paraffin, and stained with hematoxylin and eosin according to standard protocols. Additional sections were deparaffinized and pretreated with Ultra CC1 (Ventana Medical Systems, Tucson, AZ, USA) for antigen retrieval for anti-CD45, anti-CD20, anti-CD68, and anti-CD3 antibody staining and with target retrieval solution pH 9 (Dako, Heverlee, Belgium) for anti-pan-cytokeratin and anti-GFAP antibody staining. After endogenous peroxidase blocking, sections were incubated with 1:25 anti-CD45 (Dako, Heverlee, Belgium, clone 2B11 + PD7/26), 1:200 anti-CD20 (Dako, clone L-26), 1:1000 anti-CD68 (Merck, Darmstadt, Germany), 1:100 anti-pan-cytokeratin (Dako, clone 6F2), 1:200 anit-GFAP (Dako, clone AE1/AE3), and 1:20 anti-CD3 (Monosan, Uden, Netherlands, clone PS-1) antibodies. After incubation with peroxidase-labelled secondary antibodies, sections were visualized with a chromogen DAB (3,3′-diaminobenzidine) solution.

Cell Culture of 661W, Mio-M1, and ARPE-19 Cells

ARPE-19 (ATCC, Manasas, VA, USA), immortalized retinal precursor cells (661W, ATCC), and immortalized Müller cells (Mio-M1, kindly provided by Dr. Wolfram Eichler, Leipzig, Germany) were incubated at 37 °C in humidified 5% CO2. Mio-M1 and 661W were cultured in Dulbecco’s Modified Eagle Medium (DMEM, Gibco by Life Technologies, Paisley, UK) and ARPE-19 in Dulbecco’s Modified Eagle Medium: Nutrient Mixture F-12 (Gibco by Life Technologies). Both cell culture media contained 10% FBS, 100 U/ml penicillin, and 100 μg/ml streptomycin. For experimental procedures, 4000 or 10,000 cells/well of ARPE19 or Mio M1 were seeded into a 96-well tissue culture plate and allowed to attach for 4 h. For differentiation into a neuroretinal phenotype, 20,000 661W cells/well were treated with staurosporine (Merck, Burlington, MA, USA) as described previously [19]. In brief, after their attachment, cells were washed twice with 1 × phosphate buffered saline (1 × PBS) and incubated for 1 h with 1 μM staurosporine in unsupplemented medium. For recovery, treated 661W cells were incubated in DMEM with 10% FBS for an additional 24 h.

Cell Viability

Cell viability was determined using a WST-1 assay (MilliporeSigma) as described previously [20]. In brief, 10,000 cells/well were incubated in serum-free cell culture medium with or without AM (2 mm × 2 mm length). After 3 days, the medium was removed and serum-free cell culture medium containing 10% WST-1 was added. After incubation for 30 min, extinction was measured at 450 nm using an ELISA plate reader (Molecular Devices, San Jose, CA, USA).

Cell Proliferation

Cell proliferation was analyzed by BrdU labeling of dividing cells (Merck) as described previously [21]. In brief, 4000 cells/well were plated and cultured in serum-free cell culture medium with or without AM and 10 µM BrdU. After 72 h, cells were fixed and incorporated BrdU was detected by ELISA using an ELISA plate reader (Molecular Devices) at 450 nm.

Apoptosis Detection by ELISA

To rule out toxic effects, cellular apoptosis was examined after incubation with AM by measuring histone–DNA complexes in accordance with the manufacturer’s instructions (cell death detection ELISA, Merck). In brief, 20,000 differentiated 661W cells/well as well as 10,000 ARPE-19 or Mio-M1 cells/well were incubated in serum-free cell culture medium with or without AM for 24 h or 72 h, respectively. After treatment, the cell culture medium was centrifuged, and histone–DNA fragments were detected by ELISA using an ELISA plate reader (Molecular Devices) at 405 nm.

Live/Dead Staining

For histological analysis of dead cells, glass coverslips with ARPE-19 cell were washed three times with 1 × PBS and incubated with 5 µg/ml propidium iodide (Thermo Scientific, Waltham, MA, USA) in 1 × PBS (red, dead cells) and 5 µg/ml Hoechst 33342 (Thermo Scientific) in 1 × PBS (all cells) for 15 min. After an additional three washings, the cells were fixed with 4% paraformaldehyde for 15 min and mounted on a glass slide upside down.

Statistics

All values are expressed as mean ± standard error of the mean. For statistical analyses a one-way analysis of variance (ANOVA) was performed, followed by a least significant difference post hoc test for data that met the criteria of the assumption of homogeneity of variances and a Games–Howell post hoc test for data that did not. p values less than 0.05 were considered statistically significant.

Results

Case Presentation

In the first case, a 67-year-old male patient suffered from symptoms of protracted endophthalmitis due to blebitis 6 days before the examination. Fundoscopy was not possible because of purulent vitreous material and visual acuity was light perception only. A PPV with peeling and intravitreal antibiotic injection was performed. Intraoperatively, the retina was covered with pus, multiple membranes, and subretinal infiltrates. Corrected visual acuity did not increase beyond hand motion. Four weeks later, a second PPV was required because a retinal detachment had developed as a result of a large full-thickness macular hole. Closure of the macular hole was not possible because of the size and fragile edematous retina (supplementary Fig. 1a, b). A posterior capsulotomy had already been performed and an epiretinal membrane peeling was conducted, but the internal limiting membrane could not be mobilized. It was decided to patch the macular hole with iehAM, and fixate its epiretinal premacular position with a silicone oil tamponade. In the postoperative course, the patient showed stable clinical results with no signs of intraocular infection, PVR reaction, or recurrent retinal detachment (Fig. 1a and supplementary Fig. 1c, d). Corrected visual acuity increased to 1.3 logMAR measured 8 months after surgery. The silicone oil and the iehAM were removed by sclerotomy during follow-up PPV with epiretinal membrane peeling another 2 months later (Fig. 1b). The result was confirmed 22 months after initial presentation with optical coherence tomography (OCT) analysis with the macular hole remaining closed and the retina attached. As a result of preexisting glaucoma as well as atrophy of the central retina, best corrected visual acuity did not improve beyond 1.3 logMAR (supplementary Fig. 1e, f).
Fig. 1
Clinical examples of case 1 that suffered from a large macular hole after severe endophthalmitis a after surgery and b after explantation of the iehAM with closed macular hole. In case 2, the penetrating wound was covered by iehAM by plugging the wound as well as laying it out epiretinally. No secondary tissue reaction could be discovered clinically (c, d). The last two images are taken from case 3, which suffered from ocular trauma with large scleral rupture extending far beyond the equator e after surgery and f after explantation of the iehAM without formation of excessive scar or tractional membrane
Bild vergrößern
Case 2 was a 48-year-old male patient, who suffered a car battery explosion. The trauma caused multiple minor injuries in the craniofacial area and a second-degree burn on the left eye. The right eye, however, exhibited complete hyphema and visual acuity was light perception only, while the intraocular pressure was stable at 15 mmHg and orbital CT scans were inconspicuous. First, we opted for a conservative approach and stabilization of the post-traumatic situation. Clinical findings did not improve over the inpatient stay and a covered ocular perforation was suspected. On the sixth day, an explorative PPV with anterior chamber irrigation was performed. During surgery, a perforating injury with incarcerated retina was observed at the temporal posterior pole. After removal of the lens and implantation of the iehAM via the anterior chamber, the incarcerated retina was removed, the exit wound was covered, and the wound gap was filled with iehAM by positioning it epiretinally as well as filling the scleral defect. At the end of surgery, a gas tamponade was instilled (Fig. 1c, supplementary Fig. 2a). Vision increased to 0.2 logMAR 4 weeks after surgery (Fig. 1d, supplementary Fig. 2b). As a result of bleeding adjacent to the iehAM, we decided to remove it 8 weeks later by performing PPV with iehAM removal through a sclerotomy. Wide-angle angiography performed preoperatively showed no evidence of inflammatory or vascular changes in the surrounding retina and vessels (supplementary Fig. 2c, d). Six weeks after the second surgery, best corrected visual acuity of the aphakic eye was 0 logMAR. A few weeks later, a secondary implantation of an intraocular lens into the sulcus was performed. Six months after the initial trauma, visual acuity remained 0 logMAR with an intact foveal impression, good scleral wound closure, and lack of PVR response were observed in OCT analysis (supplementary Fig. 2e). The patient reported himself to be subjectively symptom-free.
Case 3 was a 28-year-old male patient who presented with a traumatic ruptured globe after a fist fight. Visual acuity was light perception at initial presentation and the eye was hypotonic. In due course, exploratory surgery with primary wound closure was performed. A 16-mm scleral rupture at the superior insertion of the lateral rectus muscle extending posteriorly to well behind the equator and a triangular rupture extending to the posterior insertion of the superior oblique muscle, with prolapsed choroid, vitreous, and retina could partly be sutured. However, the posterior part of the wound needed to be left unsutured. As a result of persisting hypotony 11 days after primary wound closure and visual acuity remaining at light perception, PPV was performed. Intraoperatively, incarcerated retina and choroidal hemorrhage were noted. After cataract extraction, the incarcerated retina was carefully mobilized from the tear. When the surgeon determined the extent of the rupture, an iehAM was used to completely cover the tear by filling the defect and also placing it epiretinally over the wound and associated smaller retinal defects. Silicone oil was used as a tamponade. Within 4 weeks after PPV, corrected visual acuity increased to 0.3 logMAR (Fig. 1e and supplementary Fig. 3a, b). A secondary PPV for silicone oil removal and iehAM extraction was performed 12 months later (Fig. 1f). Visual acuity decreased during follow-up and was 1.0 logMAR 48 months after the primary trauma, with stable wound scars on the retina, choroid, and sclera but a persisting macular edema. No PVR development could be detected up to 3 years follow-up (supplementary Fig. 3c–e).

Histopathology of Explanted AMs

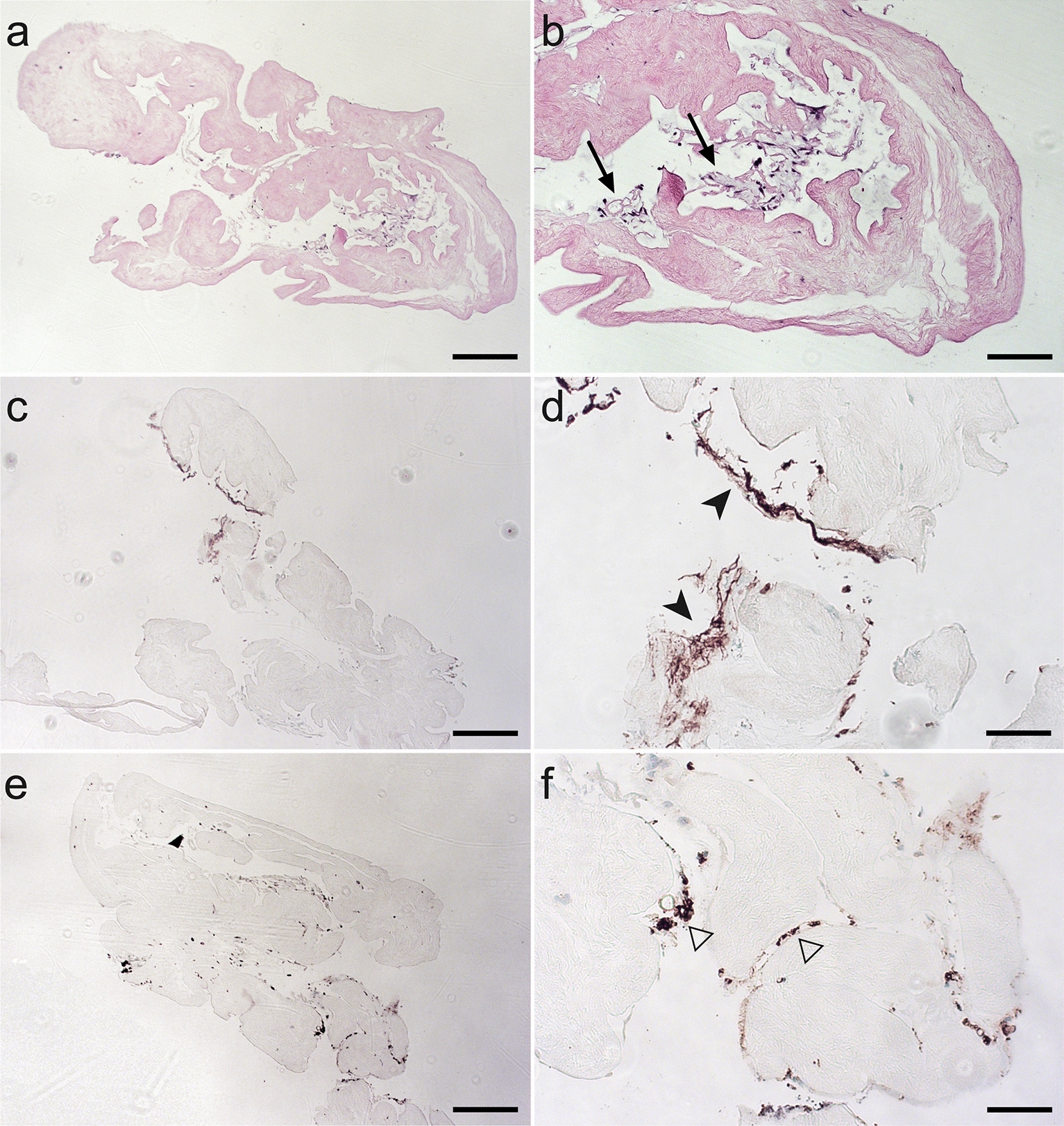
To investigate potential immunological reactions against the iehAM and its role in potential PVR reaction, light microscopy and immunohistochemical staining against various lymphoid markers were performed. In the cases with ocular trauma, light microscopy revealed an almost acellular and avascular stroma of the explanted AMs lined on one side with devitalized epithelial ghost cells without nuclei (Fig. 2a). In addition, the epithelial origin of the epithelial ghost cells was confirmed by staining against cytokeratin (Fig. 2b). However, few lymphocytes showed an immunoreactivity for CD45 in both cases that suffered from ocular trauma (Fig. 2c). No signal was obtained for CD3 and CD20, as markers for mature T cells and B cells, respectively.
Fig. 2
iehAM induced no rejection reaction following double perforating eye injury. a H&E staining as well as immunohistochemistry for b pan-cytokeratin, a marker for epithelial cells, and c CD45, a marker for lymphocytes. By CD45 immunostaining, only a few lymphocytes could be detected, whereas an intense staining for cytokeratin was observed in amniotic epithelial cells. Magnification bars, 100 µm
Bild vergrößern
After explantation of the iehAM used to close the macular hole, spindle-shaped cells with surrounding connective tissue were detected in the center of the specimen (Fig. 3a, b), suggesting that potential PVR cells were growing onto the AM. Furthermore, thin acellular membranes were observed on the surface of the iehAM, which showed a fibrillar structure after staining against glial fibrillary acidic proteins (GFAP), indicating partial adhesions between the amniotic and the inner limiting membrane (Fig. 3c, d). In addition, several cells that stained positive for CD68, which is a marker for macrophages and microglia cells, were seen adjacent to the iehAM and within their fibrotic tissue (Fig. 3e, f). Again, no immunohistochemical staining for CD3 or CD20 was detected.
Fig. 3
H&E staining (a, b) and immunohistochemistry for GFAP (c, d), a marker for Müller cells and astrocytes, and CD68 (e, f), a marker for macrophages and microglia cells. On surface of the iehAM, focal accumulation of spindle or oval-shaped cells with surrounding connecting tissue was observed (arrows in b). Immunohistochemistry detected fibrillar GFAP-positive membranes on the surface of the iehAM (arrowheads in d) and plenty of CD68-positive cells adjacent to the amniotic membrane and within the fibrotic tissue (open arrowheads in f). Magnification bars: b, d 100 µm; a, f 200 µm; c, e 400 µm
Bild vergrößern

AMs Mediate No Toxic or Proliferative Effects on Immortalized RPE Cells

The potential toxic and proliferative effects of AMs on immortalized RPE cells were studied in vitro in cell cultures. After 3 days of incubation of ARPE-19 cells with AM, no difference in the relative amount of histone–DNA fragments was detected compared with the untreated controls (Fig. 4a). These results are consistent with the live-dead assay, in which only isolated apoptotic cells were seen (Fig. 4d, e). Furthermore, in the WST-1 assay, an increase of metabolic activity of more than 17% (p = 0.004) was observed in treated cells when compared to controls (Fig. 4b). However, no increase in cell proliferation was detected by BrdU ELISA in ARPE-19 cells following incubation with AM (Fig. 4c).
Fig. 4
Incubation of ARPE-19 cells with AM did not show toxic or proliferative effects. a Quantification of histone–DNA fragments, b cell viability, and c of incorporated BrdU after incubation of ARPE-19 cells in serum-free cell culture medium with or without AM for 3 days (mean ± SEM of 3 independent experiments; **p < 0.01). d, e ARPE-19 cells were stained with Hoechst 33342 (blue) and propidium iodide (red), which is a marker for apoptosis. Following incubation only rare sporadic apoptotic cells were detected in both AM-exposed and control cells. Magnification bars, 50 µm
Bild vergrößern

AMs Mediate No Toxic or Proliferative Effects on Immortalized Müller Cells

Like RPE cells, Müller cells play a crucial role in maintaining neuroretinal homeostasis and are involved in PVR formation. To this end, possible toxic and proliferative effects of AMs on immortalized Müller cells (Mio-M1) were investigated by anti-histone DNA ELISA, BrdU ELISA, and WST-1 assays in vitro. After incubation of Mio-M1 cells with AM, no difference was detected between the amount of histone–DNA complexes (Fig. 5a), WST-1 metabolism (Fig. 5b), and BrdU incorporation (Fig. 5c) compared with untreated controls. Our data strongly suggest that AMs have no toxic effects and a negligible effect on the metabolic or proliferative activity of immortalized Müller cells.
Fig. 5
Incubation of Mio-M1 cells with AM has no toxic or proliferative effects. a Quantification of histone–DNA complexes, b cell viability, and c BrdU incorporation after incubation of Mio-M1 cells with or without AM in serum-free cell culture medium for 3 days (mean ± SEM of 3 independent experiments)
Bild vergrößern

AMs Mediate Protective Effects on Differentiated Retinal Neuroblasts

To quantify these morphological observations, apoptosis and viability were analyzed by anti-histone DNA ELISA and WST-1 assay, respectively. In AM-treated cells, the amount of histone DNA complexes was reduced by more than 20% (p = 0.004) compared with untreated controls. The viability of differentiated 661W cells was increased by approximately 18% (p < 0.001) after incubation with AM compared with untreated controls (Fig. 6a, b). Photoreceptor-derived retinal neuroblasts (661W) were differentiated with staurosporine. To induce apoptosis, the differentiated 661W cells were incubated in serum-depleted cell culture medium. In the control group without AM exposure, a substantial number of cells were detached or showed cell rounding, shrinkage, or bleb formation after 24 h, which strongly indicate cellular apoptosis. In contrast, the incubation of differentiated 661W cells with AM reduced the number of cells with apoptotic signs (Fig. 6c, d).
Fig. 6
AM mediates protective effects on differentiated retinal neuroblasts. a Quantification of histone DNA fragments, b cell viability after incubation of differentiated W661 cells in serum-free cell culture medium with or without AM for 24 h (mean ± SEM of 3 independent experiments; **p < 0.01, ***p < 0.001). c, d 661W cells were differentiated with staurosporine (1 µM) and incubated for 24 h in non-supplemented cell culture medium with or without AM. After 24 h of treatment with AM, the number of differentiated W661 cells was significantly increased d compared with control cells (c). Magnification bar, 100 µm
Bild vergrößern

Discussion

In summary, despite the severity of the cases with complicated retinal detachment, an unexpected good clinical outcome with stable postoperative visual acuity and the absence of secondary complications such as PVR formation was achieved in all three cases when iehAM were used. In further immunohistological studies, no evidence of cellular immunologic rejection reaction was detected in any of the explanted iehAM, and in subsequent in vitro experiments, we did not detect any toxic effect of iehAM on retinal cells. Our conclusions are based on the following observations: (1) Clinically, no intravitreal inflammation, retinal detachment, or excessive scarring such as PVR formation was observed adjacent to the explanted AMs. (2) No PVR reaction, no proliferating RPE or Müller cells, and no lymphoid markers were seen on the explanted iehAM in immunohistochemical staining and light microscopy. (3) Further in vitro cell culture experiments suggested no toxicity, as there was no cell death of retinal cells and, with regard to an uncontrolled cell response, no proliferative effects of AMs on immortalized RPE or Müller cells were observed. In this combined clinical and in vitro cell culture evaluation, iehAM proved to have the potential of being a useful adjuvant in the treatment of complicated retinal detachment and demonstrated clinical safety without promoting cellular immunologic rejection reactions.
Cases of complicated retinal detachments most often imply visual impairment, difficult surgical situations, and severe secondary complications such as fibrosis and intraocular inflammation [1, 13]. Hence, in posterior segment surgery and implantation of allogeneic tissue, immunocompatibility is an important concern to prevent further immunologic and fibrotic reaction [13]. Other studies, including human and animal studies, reported no inflammatory response to intravitreal AM and even postulated a regenerative rather than degenerative effect on the outer retinal layers [11]. Small clinical case series with AM do not show toxic or graft rejection effects and AM seems to be well tolerated in the posterior segment [711]. In addition, a subretinal AM in dry age-related macular degeneration was able to partially restore retinal function  months after surgery with improvement in visual acuity in six patients, as argued by the authors [11]. Consistent with these findings, in our study iehAM did not appear to cause rejection reactions such as increased intravitreal inflammation, vasculitis, or induction of fibrotic scarring in the three cases studied, but rather appeared to promote a stable postoperative course, which facilitated clinical safety.
Potential rejection reaction against allogeneic implanted AM, which could induce chronic inflammation in the vitreous and adjacent retina and subsequently lead to impaired retinal function, is a major argument against the intraocular use of AMs. To further investigate possible rejection reactions in our patients, immunohistochemical staining of the explanted was performed against markers for macrophages and microglial cells as well as for T and B cells. In one patient, a few macrophages or microglial cells were detected on iehAM. No T cells were detected in all three explanted iehAM. Consistent with our observations, no clinical signs of rejection have been reported in previous studies in which AMs were implanted in the subretinal space of humans [11]. Intriguingly, in vitro experiments on T cells from mice demonstrate that AMs mediate distinct immunosuppressive properties on immune cells [22]. Consistent with this, our results suggest that iehAM do not elicit relevant cellular immunologic rejection reactions in the vitreous.
AMs are predominantly composed of an extracellular matrix that contains various cytokines and growth factors in large amounts [23, 24]. Depending on their concentrations, composition, and target cells, they can induce apoptosis or cell proliferation among other effects. As published in other studies, on the one hand, an enhanced proliferation of fibroblasts or skin keratinocytes during wound healing was observed following treatment with AMs, which for example would be an unwanted effect in RPE cells [25]. To this end, several other reports, on the other hand, suggest that AMs have the distinct potential to induce growth arrest in hepatocarcinoma cells or epithelial ovarian cancer cells [26, 27]. Because both events could have severe side effects in the retina, such as neuroretinal degeneration or development of PVR membranes, both phenomena were studied in our current study in three classic retinal cell lines in cell cultures known to promote retinal degeneration and stress response: Müller cells, RPE cells, and differentiated retinal neuroblasts [28, 29]. In all cell lines, no apoptosis, necrosis, reduced cell viability, or proliferative effects of AM were observed. Previous studies found that a more differentiated cell phenotype was induced in RPE cells cultured on human AMs compared with control cells, and factors secreted by AM appeared to inhibit epithelial mesenchymal transition [30, 31]. Because greater differentiation of cells is often accompanied by decreased proliferation while maintaining good cell viability and original cell function, it is reasonable to speculate that AM mediate their antiproliferative effects on PVR cells in this case via the induction of growth arrest and differentiation. Thus, on the basis of the current status of our studies, we suggest that iehAM neither increases the risk of developing PVR by cell differentiation nor induces cell death by toxicity.
Limitations of the study include its retrospective nature, lack of a control group, and the small sample size related to the relatively low incidence of the disease. The heterogeneity of our group must also be considered. Therefore, further prospective studies with a larger number of participants need to be performed in this rare retinal disease. Also, the data from the analysis of aqueous humor cytokines during removal might have served as a valid assessment of the primary condition of intraocular inflammation [32, 33]. Other limitations of the study include inherent problems arising from the use of cell culture as a model for retinal disease. The cells used are a very simplified model and do not fully represent the pathologic basis of the retina as a complex tissue with glial cells, neurons, microglia cells, and blood vessels. As this study was intended to serve as an evaluation of clinical safety and possible cellular immunological rejection reaction to iehAM implantation, we believe that only very initial, but nontheless important conclusions can be drawn from the results found.

Conclusion

Intravitreal epiretinal transplantation of human AMs proved to be a useful adjuvant in treating these three cases with complicated retinal detachment. The assessment of the clinical as well as histological and cell culture in vitro findings further supports the conclusion of clinical safety of the implantation as cellular immunological rejection reaction could not be detected. It appears reasonable to investigate the intravitreal use of AMs in prospective studies.

Acknowledgements

Funding

No funding or sponsorship was received for this study or publication of this article. The journal’s Rapid Service Fee was funded by research funds from the department of Ophthalmology, University of Ulm.

Medical Writing and Editorial Assistance

The authors want to thank Andrea Ringleb and Corinna Schilffarth for excellent technical support.

Author Contributions

Anna Hillenmayer made a substantial contribution to the analysis and interpretation of the data and drafted the work substantively. Christian Wertheimer and Maximilian Gerhard made a substantial contribution to the analysis and interpretation of the data and revised it. Siegfried Priglinger substantively revised it. Andreas Ohlmann and Armin Wolf made a substantial contribution to conception and drafted the work substantively. They made a substantial contribution to acquisition and interpretation of the data, to the design of the work and the analysis.

Disclosures

All authors declare that no funds, grants, or other support was received for this work. All authors certify that they have no affiliations with—or involvement in—any organization or entity with any financial interest or non-financial interest in the subject matter or materials discussed in this manuscript. Anna Hillenmayer, Christian Maximilian Wertheimer, Maximilian Joachim Gerhardt and Andreas Ohlmann declare that they have no financial interests. Siegfried Priglinger receives speaker and consultant honoraria from and has served on advisory boards for Abbott, Alcon, Geuder, Oculus, Schwind, STAAR, TearLab, Thieme Compliance, Ziemer, Zeiss and research funding from Abbott, Alcon, Hoya, Oculentis, Oculus, Schwind and Zeiss. Armin Wolf receives fees for lectures/consulting or research funding from Novartis Pharma GmbH; Bayer Healthcare AG; Alimera; Allergan; Oertli Instrumente AG; Roche and Appellis.

Prior Presentation

Parts of this work were presented at the EURETINA 2022 in Hamburg. A preprint version of the manuscript is available at https://doi.org/10.21203/rs.3.rs-1870437/v1.

Compliance with Ethics Guidelines

Research approval from the institutional review board of the department of ophthalmology of the Ludwig Maximilians University Munich was obtained as well as informed written consent from all subjects. All research was performed in accordance with relevant guidelines and regulations and adhered to the Declaration of Helsinki.

Data Availability

The data sets generated during and/or analyzed during the current study are available from the corresponding author on reasonable request. Further data is accessible in supplementary material.
Open AccessThis article is licensed under a Creative Commons Attribution-NonCommercial 4.0 International License, which permits any non-commercial use, sharing, adaptation, distribution and reproduction in any medium or format, as long as you give appropriate credit to the original author(s) and the source, provide a link to the Creative Commons licence, and indicate if changes were made. The images or other third party material in this article are included in the article's Creative Commons licence, unless indicated otherwise in a credit line to the material. If material is not included in the article's Creative Commons licence and your intended use is not permitted by statutory regulation or exceeds the permitted use, you will need to obtain permission directly from the copyright holder. To view a copy of this licence, visit http://creativecommons.org/licenses/by-nc/4.0/.
download
DOWNLOAD
print
DRUCKEN
Titel
Epiretinal Amniotic Membrane in Complicated Retinal Detachment: a Clinical and In Vitro Safety Assessment
Verfasst von
Anna Hillenmayer
Christian M. Wertheimer
Maximilian-Joachim Gerhard
Siegfried G. Priglinger
Andreas Ohlmann
Armin Wolf
Publikationsdatum
11.03.2023
Verlag
Springer Healthcare
Erschienen in
Ophthalmology and Therapy / Ausgabe 3/2023
Print ISSN: 2193-8245
Elektronische ISSN: 2193-6528
DOI
https://doi.org/10.1007/s40123-023-00695-z

Supplementary Information

Below is the link to the electronic supplementary material.
1.
Zurück zum Zitat Negrel AD, Thylefors B. The global impact of eye injuries. Ophthal Epidemiol. 1998;5(3):143–69.CrossRef
2.
Zurück zum Zitat Chee YE, Patel MM, Vavvas DG. Retinal detachment after open-globe injury. Int Ophthalmol Clin. 2013;53:4.CrossRef
3.
Zurück zum Zitat Rouberol F, Denis P, Romanet JP, Chiquet C. Comparative study of 50 early- or late-onset retinal detachments after open or closed globe injury. Retina. 2011;31(6):1143–9.CrossRefPubMed
4.
Zurück zum Zitat Wang T, Moinuddin O, Abuzaitoun R, et al. Retinal detachment after endophthalmitis: risk factors and outcomes. Clin Ophthalmol. 2021;15:1529–37.CrossRefPubMedPubMedCentral
5.
Zurück zum Zitat Dave VP, Pathengay A, Relhan N, et al. Endophthalmitis and concurrent or delayed-onset rhegmatogenous retinal detachment managed with pars plana vitrectomy, intravitreal antibiotics, and silicone oil. Ophthalmic Surg Lasers Imaging Retina. 2017;48(7):546–51.CrossRefPubMed
6.
Zurück zum Zitat Tseng SC. Amniotic membrane transplantation for ocular surface reconstruction. Biosci Rep. 2001;21(4):481–9.CrossRefPubMed
7.
Zurück zum Zitat Caporossi T, Tartaro R, De Angelis L, Pacini B, Rizzo S. A human amniotic membrane plug to repair retinal detachment associated with large macular tear. Acta Ophthalmol. 2019;97(8):821–3.CrossRefPubMed
8.
Zurück zum Zitat Caporossi T, De Angelis L, Pacini B, et al. A human amniotic membrane plug to manage high myopic macular hole associated with retinal detachment. Acta Ophthalmol. 2020;98(2):e252–6.CrossRefPubMed
9.
Zurück zum Zitat Caporossi T, De Angelis L, Pacini B, Rizzo S. Amniotic membrane for retinal detachment due to paravascular retinal breaks over patchy chorioretinal atrophy in pathologic myopia. Eur J Ophthalmol. 2020;30(2):392–5.CrossRefPubMed
10.
Zurück zum Zitat Rizzo S, Caporossi T, Pacini B, De Angelis L, De Vitto ML, Gainsanti F. Management of optic disk pit-associated macular detachment with human amniotic membrane patch. Retina. 2020;43:144–7.CrossRefPubMed
11.
Zurück zum Zitat Rizzo S, Caporossi T, Tartaro R, et al. Human amniotic membrane plug to restore age-related macular degeneration photoreceptor damage. Ophthalmol Retina. 2020;4(10):996–1007.CrossRefPubMed
12.
Zurück zum Zitat Mietz H, Heimann K. Onset and recurrence of proliferative vitreoretinopathy in various vitreoretinal disease. Br J Ophthalmol. 1995;79(10):874–7.CrossRefPubMedPubMedCentral
13.
Zurück zum Zitat Stepp MA, Menko AS. Immune responses to injury and their links to eye disease. Transl Res. 2021;236:52–71.CrossRefPubMedPubMedCentral
14.
Zurück zum Zitat Simón MV, De Genaro P, Abrahan CE, de los-Santos B, Rotstein NP, Politi LE. Müller glial cells induce stem cell properties in retinal progenitors in vitro and promote their further differentiation into photoreceptors. J Neurosci Res. 2012;90(2):407–21.CrossRefPubMed
15.
Zurück zum Zitat Reichenbach A, Bringmann A. New functions of Müller cells. Glia. 2013;61(5):651–78.CrossRefPubMed
16.
Zurück zum Zitat Zhang S, Ye K, Gao G, et al. Amniotic membrane enhances the characteristics and function of stem cell-derived retinal pigment epithelium sheets by inhibiting the epithelial-mesenchymal transition. Acta Biomater. 2022;151:183–96.CrossRefPubMed
17.
Zurück zum Zitat Ohno-Matsui K, Ichinose S, Nakahama K, et al. The effects of amniotic membrane on retinal pigment epithelial cell differentiation. Mol Vis. 2005;11:1–10.PubMed
18.
Zurück zum Zitat Koh S, Chen WJ, Dejneka NS, et al. Subretinal human umbilical tissue-derived cell transplantation preserves retinal synaptic connectivity and attenuates Müller glial reactivity. J Neurosci. 2018;38(12):2923–43.CrossRefPubMedPubMedCentral
19.
Zurück zum Zitat Frassetto LJ, Schlieve CR, Lieven CJ, et al. Kinase-dependent differentiation of a retinal ganglion cell precursor. Invest Ophthalmol Vis Sci. 2006;47(1):427–38.CrossRefPubMed
20.
Zurück zum Zitat Seitz R, Hackl S, Seibuchner T, Tamm ER, Ohlmann A. Norrin mediates neuroprotective effects on retinal ganglion cells via activation of the Wnt/beta-catenin signaling pathway and the induction of neuroprotective growth factors in Muller cells. J Neurosci. 2010;30(17):5998–6010.CrossRefPubMedPubMedCentral
21.
Zurück zum Zitat Ohlmann A, Seitz R, Braunger B, Seitz D, Bosl MR, Tamm ER. Norrin promotes vascular regrowth after oxygen-induced retinal vessel loss and suppresses retinopathy in mice. J Neurosci. 2010;30(1):183–93.CrossRefPubMedPubMedCentral
22.
Zurück zum Zitat Tago Y, Kobayashi C, Ogura M, et al. Human amnion-derived mesenchymal stem cells attenuate xenogeneic graft-versus-host disease by preventing T cell activation and proliferation. Sci Rep. 2021;11(1):2406.CrossRefPubMedPubMedCentral
23.
Zurück zum Zitat Murri MS, Moshirfar M, Birdsong OC, Ronquillo YC, Ding Y, Hoopes PC. Amniotic membrane extract and eye drops: a review of literature and clinical application. Clin Ophthalmol. 2018;12:1105–12.CrossRefPubMedPubMedCentral
24.
Zurück zum Zitat Koob TJ, Rennert R, Zabek N, et al. Biological properties of dehydrated human amnion/chorion composite graft: implications for chronic wound healing. Int Wound J. 2013;10(5):493–500.CrossRefPubMedPubMedCentral
25.
Zurück zum Zitat McQuilling JP, Kammer M, Kimmerling KA, Mowry KC. Characterisation of dehydrated amnion chorion membranes and evaluation of fibroblast and keratinocyte responses in vitro. Int Wound J. 2019;16(3):827–40.CrossRefPubMedPubMedCentral
26.
Zurück zum Zitat Bu S, Zhang Q, Wang Q, Lai D. Human amniotic epithelial cells inhibit growth of epithelial ovarian cancer cells via TGFbeta1-mediated cell cycle arrest. Int J Oncol. 2017;51(5):1405–14.CrossRefPubMedPubMedCentral
27.
Zurück zum Zitat Riedel R, Perez-Perez A, Carmona-Fernandez A, et al. Human amniotic membrane conditioned medium inhibits proliferation and modulates related microRNAs expression in hepatocarcinoma cells. Sci Rep. 2019;9(1):14193.CrossRefPubMedPubMedCentral
28.
Zurück zum Zitat Kaur G, Singh NK. The role of inflammation in retinal neurodegeneration and degenerative diseases. Int J Mol Sci. 2021;23:1.CrossRef
29.
Zurück zum Zitat Idrees S, Sridhar J, Kuriyan AE. Proliferative vitreoretinopathy: a review. Int Ophthalmol Clin. 2019;59(1):221–40.CrossRefPubMedPubMedCentral
30.
Zurück zum Zitat Akrami H, Soheili ZS, Sadeghizadeh M, et al. Evaluation of RPE65, CRALBP, VEGF, CD68, and tyrosinase gene expression in human retinal pigment epithelial cells cultured on amniotic membrane. Biochem Genet. 2011;49(5–6):313–22.CrossRefPubMed
31.
Zurück zum Zitat He H, Kuriyan AE, Su CW, et al. Inhibition of proliferation and epithelial mesenchymal transition in retinal pigment epithelial cells by heavy chain-hyaluronan/pentraxin 3. Sci Rep. 2017;7:43736.CrossRefPubMedPubMedCentral
32.
Zurück zum Zitat Dai Y, Dai C, Sun T. Inflammatory mediators of proliferative vitreoretinopathy: hypothesis and review. Int Ophthalmol. 2020;40(6):1587–601.CrossRefPubMedPubMedCentral
33.
Zurück zum Zitat Canataroglu H, Varinli I, Ozcan AA, Canataroglu A, Doran F, Varinli S. Interleukin (IL)-6, interleukin (IL)-8 levels and cellular composition of the vitreous humor in proliferative diabetic retinopathy, proliferative vitreoretinopathy, and traumatic proliferative vitreoretinopathy. Ocul Immunol Inflamm. 2005;13(5):375–81.CrossRefPubMed

Kompaktes Leitlinien-Wissen Innere Medizin (Link öffnet in neuem Fenster)

Mit medbee Pocketcards schnell und sicher entscheiden.
Leitlinien-Wissen kostenlos und immer griffbereit auf ihrem Desktop, Handy oder Tablet.

Neu im Fachgebiet Innere Medizin

Vorhofflimmern: Das waren die Top-Studien 2025

Neue Studien haben 2025 praxisrelevante Informationen zur Behandlung von Patienten mit Vorhofflimmern geliefert, so etwa zur Antikoagulation bei gleichzeitiger Koronarerkrankung sowie zum möglichen Verzicht auf Antikoagulation nach Katheterablation.

Frühe CAR-T-Zell-Therapie halbiert Sterberate bei multiplem Myelom

Erhalten Menschen mit multiplem Myelom bereits nach dem ersten Versagen einer Lenalidomid-Behandlung eine CAR-T-Zell-Therapie gegen BCMA, wird die Sterberate im Vergleich zu einer Standardbehandlung um 45% reduziert. Das belegt ein Update einer Phase-3-Studie.

Zufallsbefund vergrößerte Milz: Droht hämatologischer Krebs?

Wird in der Bildgebung inzidentell eine vergrößerte Milz diagnostiziert, stellt sich die Frage nach der Ursache. Ab welcher Größe das Risiko für hämatologische Malignome und Lebererkrankungen steigt, hat ein dänisches Team untersucht.

Beeinflusst Farbenblindheit die Blasenkrebsprognose?

Forschende aus den USA sind in elektronischen Gesundheitsakten auf einen Zusammenhang von Farbenblindheit und Blasenkarzinomen gestoßen. Was zunächst merkwürdig klingt, lässt sich prinzipiell recht schlüssig erklären …

Update Innere Medizin

Bestellen Sie unseren Fach-Newsletter und bleiben Sie gut informiert.

Bildnachweise
Die Leitlinien für Ärztinnen und Ärzte, Älterer Mann beim EKG/© Roman_23203 / stock.adobe.com (Symbolbild mit Fotomodellen), Infusionstherapie/© Trsakaoe / stock.adobe.com, Älterer Mann bei MRT-Untersuchung/© gilaxia/Getty Images/iStock (Symbolbild mit Fotomodell), Blut in Toilette/© stylefoto24 / stock.adobe.com