Zum Inhalt

ERBB2/ ERBB3-mutated S100/ SOX10-positive unclassified high-grade uterine sarcoma: first detailed description of a novel entity

  • Open Access
  • 28.08.2024
  • ORIGINAL ARTICLE
Erschienen in:

Abstract

With the increasing use of innovative next generation sequencing (NGS) platforms in routine diagnostic and research settings, the genetic landscape of uterine sarcomas has been dynamically evolving during the last two decades. Notably, the majority of recently recognized genotypes in uterine sarcomas represent gene fusions, while recurrent oncogene mutations of diagnostic and/ or therapeutic value have been rare. Recently, a distinctive aggressive uterine sarcoma expressing S100 and SOX10, but otherwise lacking diagnostic morphological, immunophenotypic and molecular features of other uterine malignancies has been presented in a scientific abstract form (USCAP, 2023), but detailed description and delineation of the entity is still missing. We herein describe two high-grade unclassified uterine sarcomas characterized by spindle to round cell morphology and diffuse expression of S100 and SOX10, originating in the uterine body and cervix of 53- and 45-year-old women and carrying an ERBB3 (p.Glu928Gly) and an ERBB2 (p.Val777Leu) mutation, respectively. Both tumors harbored in addition genomic HER2 amplification, ATRX mutation and CDKN2A deletion. Methylation studies revealed a methylome most similar to MPNST-like tumors, but distinct from melanoma, MPNST, clear cell sarcoma, and endometrial stromal sarcoma. Case 1 died of progressive peritoneal metastases after multiple trials of chemotherapy 47 months after diagnosis. Case 2 is a recent case who presented with a cervical mass, which was biopsied. This study defines a novel heretofore unrecognized aggressive uterine sarcoma with unique phenotypic and genotypic features. Given the potential value of targeting HER2, recognizing this tumor type is mandatory for appropriate therapeutic strategies and for better future delineation of the entity.

Publisher's Note

Springer Nature remains neutral with regard to jurisdictional claims in published maps and institutional affiliations.

Introduction

During the last two decades, significant progress has been made in elucidating the genetic landscape of uterine mesenchymal neoplasms, with delineation of novel entities and characterization and expansion of the molecular drivers in the spectrum of established neoplasms. Notably, most of these recent advances concern identification of fusion genes [1]. For example, PLAG1 and PGR fusions have been recognized as genetic drivers in subsets of high-grade uterine sarcomas characterized by prominent myxoid and epithelioid/rhabdoid features, respectively, some of which were previously classified as leiomyosarcomas [2, 3]. On the other hands, ALK fusions have been confirmed in inflammatory myofibroblastic tumors [4]. In the spectrum of fibrosarcoma-like malignancies, a variety of recurrent tyrosine kinase fusions have allowed identification of distinct molecularly defined entities, including NTRK [5], COL1A1::PDGFB [5], and others. Uterine tumors resembling ovarian sex cord tumors (UTROSCT) represent another tumor with recently characterized recurrent fusion genes involving ESR1, GREB1, NCOA1-3, and others [6].
The molecular landscape of endometrial stromal neoplasms has emerged in both the low-grade (LG-) and high-grade (HG-) endometrial stromal sarcoma (ESS) categories [1]. Moreover, a new sarcoma category overlapping with ESS and harboring recurrent KAT6A/B::KANSL1 fusions has been recently identified [7]. Correctly identifying and precisely subtyping these emerging entities is mandatory for proper risk stratification, which is the basis for optimized treatment and follow-up strategies [8]. We herein describe the detailed clinicopathological and molecular findings of a novel uterine sarcoma characterized by a neurogenic-like (S100/SOX10-positive) immunophenotype and activating mutations involving members of the epidermal growth factor receptor (EGFR/ERBB) family of tyrosine kinases ERBB3 (HER3) and ERBB2 (HER2) to alert pathologists to this rare but possible underdiagnosed entity with therapeutic implications.

Materials and methods

The cases were identified in our consultation files. The tissue specimens were fixed in formalin and processed routinely for histopathology. Due to the consultation nature of the cases, immunohistochemistry (IHC) was performed in different laboratories and the stains applied varied from case to case, based on tissue availability and initial differential diagnostic considerations (details of the staining protocols and antibody sources are available upon request).

Targeted RNA Next generation sequencing

For Case 1, RNA was isolated from formalin-fixed paraffin embedded (FFPE) tissue sections and subjected to targeted sequencing using the TruSight RNA Fusion panel (Illumina, Inc., San Diego, CA, USA) as described previously [7]. To analyze the mutational status of commonly cancer related genes, DNA was isolated from FFPE tissue sections using the Maxwell 16LEV Blood DNA kit (Promega, Madison, USA) and submitted to hybrid-capture enrichment-based sequencing analysis using the QIAseq Targeted Human Comprehensive Cancer Panel according to manufacturer’s instructions. Bioinformatic evaluation of the sequencing data, including variant calling and annotation, was done with the CLC Genomics Workbench (QIAGEN, Redwood City, CA, USA). Low quality variants with a score under 200 were filtered out, as well as variants in non-protein-coding regions, synonymous variants, and those present in gnomAD with an allele frequency of over 1%. The variants were assessed for pathogenicity according to ACMG/AMP criteria [9]. Fluorescence in-situ hybridization (FISH) was performed using split apart probes designed to detect translocation involving the YWHAE, EWSR1 and FUS gene loci according to the manufacturer´s instructions. HER2 copy number status was validated using a color FISH probe (all probes from ZytoVision, Bremerhaven, Germany).

Methylation studies

For methylation studies, genomic DNA was extracted from formalin-fixed paraffin-embedded tissue sections for each of the samples. Next, 250 ng of genomic DNA was subjected to bisulfite conversion and processed on the Illumina Infinium Methylation EPICv2 platform with over 930,000 methylation sites according to the manufacturer’s instructions [10]. The raw idat files were uploaded to a DNA methylation-based classification tool Sarcoma classifier v10.1 available via https://​www.​molecularneuropa​thology.​org/​ [11, 12]. Additionally, IDAT processing and data analysis on both samples was performed using R version 4.4.0 (RRID:SCR_001905) and the “minfi” package (RRID:SCR_012830). Normalization was performed using the “preprocessSWAN” function and probes with a detection P value > 0.01 were filtered, as were SNP-related probes, and probes on sex chromosomes. Methylation levels were measured using beta values. CpG probes were annotated to the human reference genome using the “IlluminaHumanMethylationEPICv2anno.20a1.hg38” R packages. Unsupervised hierarchical clustering of the top 2,000 most variable CpGs and heatmap generation were performed using the “pHeatmap” package (RRID:SCR_016418) with Euclidean distance for clustering of rows and columns and Ward.D2 for clustering method. Methylation profiles of the ERBB2/3-mutated tumors were compared to those of melanoma (12 cases), MPNST (19 cases), MPNST-like tumors (7 cases), clear cell sarcoma (CCS) (7 cases), low-grade (16 cases) and high-grade (9 cases) endometrial stromal sarcomas (LGESS, HGESS) retrieved from NBCI Gene Omnibus (accession # GSE140686) [12].

Results

Clinical history of Case 1

A 53-year-old female underwent uterine curettage with a diagnosis of high-grade endometrial stromal, sarcoma (HGESS). She received total abdominal hysterectomy and bilateral salpingo-oophorectomy, followed by adjuvant radiotherapy. The initial diagnosis was revised to probable embryonal rhabdomyosarcoma and then again to HGESS at different institutions. Eleven months later, she presented with multiple peritoneal metastases, for which she received multiple surgeries. Due to new liver metastases developing 16 months later, she was treated with Adriamycin (3 × 25 mg/m2) and Ifosfamide (3 × 2500 mg/m2), but the dose was then reduced in the following cycles due to side effects. She then received 9 cycles of trabectedin monotherapy (1.5 mg/m2 every 4 weeks), which resulted in short-term improvement, followed soon by disease progression. Thereafter, she received 6 cycles of gemcitabine monotherapy with interruption due to drug intolerance. The patient finally died of progressive systemic metastases (peritoneum, lung, liver, spleen) 47 months from initial diagnosis.

Pathological findings in Case 1

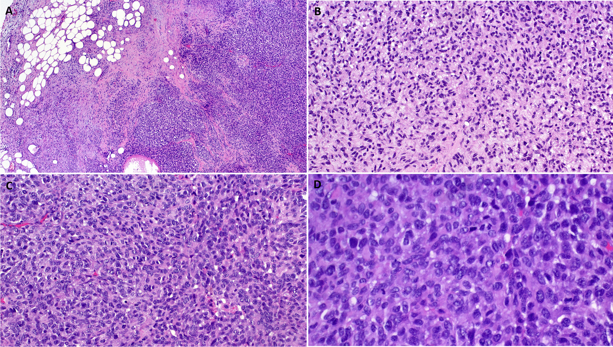
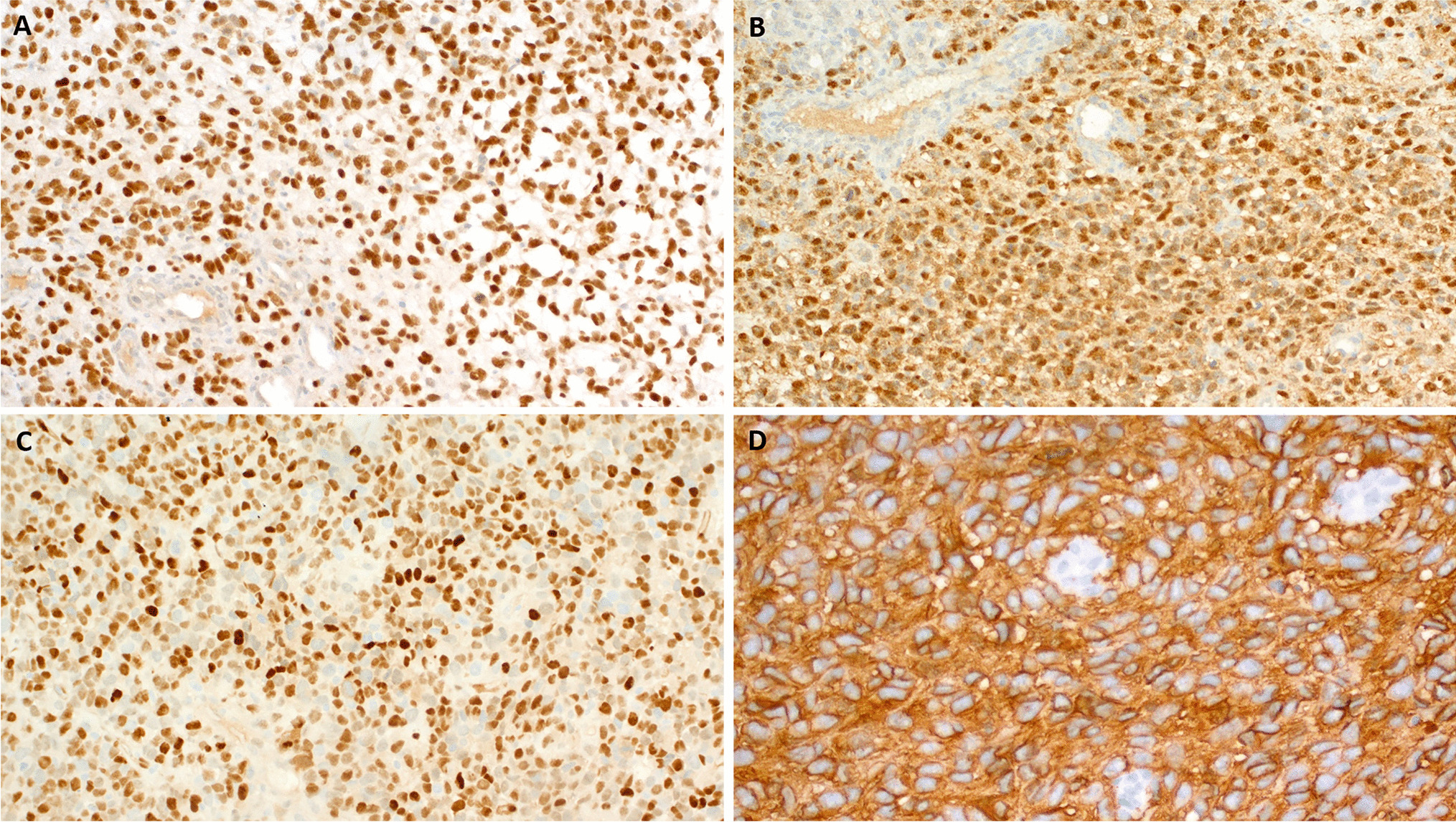
Histological examination of the primary tumor and the multiple resected metastases revealed a high-grade infiltrating neoplasm composed of medium-sized oval to slightly elongated neoplastic cells disposed into diffuse non-cohesive solid sheets within sparse fibrous stroma (Fig. 1A, B, C). The nuclei contained heterogeneous chromatin with variably recognizable nucleoli surrounded by a moderate rim of pale-eosinophilic cytoplasm. Mitotic activity was brisk with 36 mitoses in 10 HPFs (Fig. 1D). Foci of necrosis were seen focally. There were no spiral-like arterioles or any cytological, architectural, or stromal, features of other well established uterine malignancies. Immunohistochemistry displayed strong reactivity with SOX10 (Fig. 2A), S100 (Fig. 2B) and moderate diffuse expression of cyclin D1 (Fig. 2C). Immunohistochemistry for HER2 revealed strong circular membranous staining in all cells (DAKO score 3 + ; Fig. 2D). All other markers tested were negative (pan-melanoma, HMB45, Melan A, keratin AE1/AE3, desmin, alpha smooth muscle actin, h-caldesmon, CD34, p16, CD117, DOG1, myogenin, CD10, estrogen receptor (ER), progesterone receptor (PR), PAX8, WT1, synaptophysin, chromogranin A, CD99 and PRAME)).
Fig. 1
Representative examples of the histological findings in Case 1. A: peritoneal metastasis showing solid neoplasm infiltrating the fat tissue. B: less cellular spindle cell areas with slightly myxoid appearing stromal background. C: diffuse sheets of ovoid to fusiform cells lacking any specific features of ESS. D: higher magnification shows small round to ovoid cells with scanty cytoplasm and brisk mitotic activity
Bild vergrößern
Fig. 2
Representative examples of the immunohistochemical findings in Case 1. A: diffuse strong nuclear expression of SOX10. B: diffuse nucleocytoplasmic reactivity with S100. C: moderate diffuse nuclear expression of Cyclin D1. D: strong circular membranous expression of HER2
Bild vergrößern

Molecular results in Case 1

The DNA-based sequencing revealed a gain-of-function point mutation in ERBB3 (HER3)(c.2783A > G; p.Glu928Gly; variant allele frequency: 26%) (Table 1). No ERBB2 mutation was detected. The HER2 FISH testing revealed low-level amplification (HER2: CEP17 ratio = 2.49). In addition, genomic HER2 amplification was detected and the same ATRX c.792 T > G; p.Tyr264* loss-of-function nonsense mutation was detected in two analyzed samples from abdominal wall and liver metastases with an allele frequency of 20% and 43%, respectively. Deletion of CDKN2A was detected. RNA sequencing revealed no detectable gene fusions, and the FISH tests were negative for translocations involving YWHAE, EWSR1 and FUS gene loci (not shown).
Table 1
Molecular findings in ERBB2/3 mutated uterine sarcomas
Genetic findings
Case 1
Case 2
Primary genotype
ERBB3: c.2783A > G; p.Glu928Gly
ERBB2: c.2329G > T; p.Val777Leu
ATRX
c.[792 T > G] p.[Tyr264*]
c.[4957-1G > C] splicing
NRAS
Wildtype
p.Gln61Lys
CDKN2A (chr9)
Copy number loss
Copy number loss
CDKN2B (chr9)
No CNV
Copy number loss
Genomic HER2
Copy number amplification
Copy number amplification
HER2 FISH
Amplified (ratio: 2.49)
NA
CNV copy number variation, NA not available

Clinical history of Case 2

A 45-year-old female presented with irregular uterine bleeding and was found clinically to have a 0.9 cm cervical polyp that was biopsied and sent out for expert pathologic consultation. She had otherwise no pertinent clinical history or history of another malignancy. This is a recent case and complete surgical excision and referral to a multidisciplinary sarcoma team was recommended.

Pathological findings in Case 2

Histological examination of the biopsy tissue revealed a highly cellular spindle cell neoplasm composed of monomorphic ovoid to spindle cells with hyperchromatic nuclei and sparse pale-eosinophilic indistinct cytoplasm disposed into compact fascicles and diffuse solid sheets recapitulating the pattern of so-called adult-type fibrosarcoma (Fig. 3A). The cytology of the neoplastic cells was uniform with little nuclear pleomorphism (Fig. 3B). Admixed inflammation is completely absent. Mitotic activity was high with 9 mitoses in 10 HPFs. Immunohistochemistry revealed strong and diffuse expression of S100 (Fig. 2C), SOX10 (Fig. 2D), CyclinD1 and cytoplasmic CD99. CD10 showed focal/patchy expression. Negative markers included ER, CK AE1/AE3, EMA, Melan-A, HMB45, MITF, desmin, Myo D1, smooth muscle myosin, CD117, p40 and CD34.
Fig. 3
Representative examples of the histological and immunohistochemical findings in Case 2. A: diffuse solid sheets and fascicles of monotonous spindle cells imparting a “fibrosarcoma-like” pattern. B: higher magnification of A. C: diffuse nucleocytoplasmic reactivity with S100. D: strong nuclear expression of SOX10
Bild vergrößern

Molecular results in Case 2

DNA-based testing revealed multiple pathogenic mutations including an ERBB2 (HER2; c.2329G > T; p.Val777Leu; variant allele frequency: 39%) mutation, a NRAS Gln61Lys mutation, and an ATRX splicing mutation (c.4957-1G > C) (Table 1). Moreover, deletions of CDKN2A and CDKN2B were detected. RNA sequencing and FISH were not performed.

Methylation profiling of Case 1 and 2

DNA methylation was performed on both cases. The DKFZ soft tissue tumor classifier returned no match for both cases. On unsupervised hierarchical clustering, both cases displayed a methylome that clustered most closely with MPNST-like tumors (Fig. 4).
Fig. 4
Unsupervised hierarchical clustering of methylation profiles comparing the 2 cases of ERBB2/3-mutated sarcomas to melanoma, MPNST, MPNST-like tumors, clear cell sarcoma, low-grade and high-grade endometrial stromal sarcomas
Bild vergrößern

Discussion

With the wider application of next generation sequencing modalities in routine practice, the classification of uterine sarcomas has been dynamically evolving [1]. A variety of new entities have been delineated based on precise genotyping and most aggressive malignancies in the historical spectrum of undifferentiated uterine sarcomas could indeed be reclassified by molecular profiling, mostly into the spectrum of HGESS [13]. Most of these recent developments were represented by diverse recurrent oncogene fusions as driver events in distinct subsets of neoplasms of well established (endometrial stromal [1]) origin or of ambiguous (PLAG1, NTRK fusions and others [2, 3, 5]) histogenetic origin.
A series of 7 unclassified uterine neoplasms expressing S100 and SOX10, lacking gene fusions and harboring an activating ERBB2 (HER2) mutation at codon 777 were presented in an abstract form at the USCAP annual meeting (Los Angeles, 2023) [14]. Original diagnoses of the presented cases were mostly unclassified or undifferentiated sarcoma with discussion of metastases, MPNST or endometrial stroma sarcoma. Patient’s age range was 42 to 60 years (median, 53). Sites of primary involvement were cervix (n = 2), cervix/uterus/vagina (n = 2), cervix and uterus (n = 1), cervix and pelvis (n = 1) and uterus unspecified (n = 1). Hysterectomy was the treatment in 3 patients, three received biopsy only and one had removal of the mass with bilateral salpingo-oophorectomy. The tumor stage was stated as T1b (n = 1), T2 (n = 2), T3b (n = 1) and T4 (n = 1) [14]. All tumors were cellular with predominance of spindle cells and variable focal or multifocal epithelioid/ round cells with frequent necrosis (3 of 7), focal myxoid stromal changes (3 of 7) and brisk mitotic activity in the range of 1 – 30 mitoses/ 10 HPFs (median, 7). The genomic profiling of the 7 tumors revealed frequent truncating ATRX mutations (5 of 7) and homozygous CDKN2A (5 of 7) and CDKN2B (4 of 7) deletions. TP53 missense mutations (2 of 7) and HER2 co-amplification (3 of 7) were observed in subset of tumors [14].
The herein presented cases fit perfectly into this novel tumor category, both histologically, immunohistochemically and molecularly. We detected same ERBB2 point mutation (p.V777L) in Case 2 as described by Lin et al. [14] and a novel ERBB3 (HER3; EGFR3) point mutation (p.Glu928Gly) in Case 1. Remarkably, a ATRX mutation and deletion of CDKN2A (p16) together with HER2 co-amplification at a genomic level were detected in both tumors.
Being a member of the human EGFR family of tyrosine kinases, ERBB2/HER2-neu is an orphan receptor without a known activating ligand, however, it adopts a structure similar to the ligand-bound state and is active in a heterodimeric complex [15]. HER2 amplifications drive oncogenesis in a significant proportion of aggressive epithelial cancers (carcinomas) including in particular subsets of breast cancer [16] and salivary gland cancer [17] where it is detectable in 15 – 30% of cases.
Valine 777 of HER2 is located in the N-lobe (N-terminal lobe) of the tyrosine kinase domain and results in an elevated kinase activity, an aberrant and enhanced phosphorylation of downstream signaling molecules in cell culture experiments, as well as an increased and more rapid tumor growth compared to wild-type HER2 in xenograft models [18]. Mutation of Valine at position 777 represent one of the frequently detected HER2 alterations in cancer and is observed in approximately 4.0% of all HER2 mutated cases [19].
ERBB3 (Erb-B2 Receptor Tyrosine Kinase 3, synonym: HER3) belongs to the EGFR family of receptor tyrosine kinases. Despite the identification of neuregulin-1 (NRG1) as specific ligand, ERBB3 is lacking a significant intrinsic kinase activity and has been considered as kinase dead receptor. However, this paradigm has been continuously challenged and, in fact, the role of ERBB3 in pathogenesis of different malignancies has been demonstrated (as summarized in Black et al. [20]).
The c.2783A > G ERBB3 mutation replaces glutamic acid, a polar, negatively charged amino acid, by glycine with nonpolar and neutral properties at position 928 in the kinase domain. Glutamic acid at position 928 is implicated in the dimer formation interface of ERBB3 and, in fact, ERBB3 displays oncogenic potential when co-expressed with ERBB2 [21]. In this HER3/HER2 heterodimer, E928G increases the catalytic activity of HER2, an effect which was less pronounced when glutamine acid at position 928 was replaced with Alanine or Lysine, implicating varying functional effects of particular residues at this position [22]. Of note, in a heterodimeric complex, instead of reactivating catalytic activity of ERBB3, the E928G mutation rather increases the dimerization affinity of ERBB3 thereby enhancing its allosteric activation potential [23]. This highlights the necessity of including a functional, catalytical active dimerization partner in the heterodimer, for ERBB3 E928G to execute its full oncogenic potential. Our Case 1 falls into this pathogenetic category and represents a novel observation in this type of uterine sarcomas, indicating that mutant ERBB3 concurrent with ERBB2 amplification represents a novel mechanism driving oncogenesis in tumors lacking the V777L ERBB2 mutation.
The exact nosology of this neoplasm remains enigmatic. The lack of any detectable gene fusion and the strong and homogeneous expression of SOX10 and S100 exclude all known genetic subtypes of high-grade endometrial stromal sarcoma (HEESS) [1]. In this regard, the diffuse Cyclin D1 expression noted in both of our cases represents a diagnostic pitfall, given that this marker has been proposed as a surrogate for HGESS harboring YWHAE and BCOR gene fusions [24]. On the other hand, the expression of SOX10 and S100 makes the possibility of an MPNST and a metastatic melanoma important considerations. MPNST-like tumors have been reported in the female genital tract [25]. Their neurogenic nature was favored on the basis of patchy expression of S100 in addition to CD34 reactivity [25]. However, most of these tumors have been recently reclassified as genetically defined tyrosine kinase fusion associated sarcomas including in particular NTRK and COL1A1::PDGFB fusions [5]. Variable reactivity for S100 is a common feature in NTRK fusion sarcomas/neoplasms. However, these fusion tumors lack SOX10 expression, in line with a non-neurogenic and non-melanocytic origin. Indeed, coexpression of S100 (usually variable and patchy) and CD34 represents a valuable clue to tyrosine kinase fusion associated mesenchymal neoplasms originating at different anatomic sites [10]. In the context of non-epithelial and non-myoepithelial neoplasia, coexpression of S100/SOX10 is considered specific for a schwannian or melanocytic line of differentiation. In this regard, the detection of a NRAS mutation at position 61 in one of our cases represents a pitfall as this genotype is noted in 20—40% of melanomas, the frequency varying with the clinicopathological tumor type [26]. In our cases, the tumor did not cluster with MPNST or melanoma arguing against both possibilities. Moreover, the distinctive genotype with activating HER2 mutation, CDKN2A deletion and truncating ATRX mutation, which are identical to those reported in the cited abstract [14], all argue for a distinctive entity unrelated to melanoma, MPNST, or any of the established sarcoma types of the female genital tract or the soft tissues.
The literature on HER2 mutations in mesenchymal neoplasms is limited. Ronellenfitsch et al. reported activating ERBB2 mutations (p.Leu755Ser, p.Asp769Tyr, p.Val777Leu) in 3 of 7 (43%) patients with schwannomatosis, but in none of 8 NF2-asscoiated or sporadic hybrid schwannoma-neurofibroma cases [27]. One schwannomatosis patient had three tumors all harboring the same V777L (p.Val777Leu) ERBB2 mutation as reported in our cases. We have recently observed a similar mutation (p.Val777Leu) in a case of multiple hybrid schwannoma-neurofibromas unassociated with clinically recognizable NF1 or NF2 syndrome (Agaimy, unpublished data). These reported ERBB2 kinase domain mutations are known to occur in breast cancer and rarely in carcinomas of other organs and are treatable by pan-ERBB2 inhibitors [2831].
Finally, Lim et al. have recently reported a high-grade uterine sarcoma carrying a novel ERBB4 fusion (fused to CIQTNF1) in a 49-year-old woman [32]. The tumor morphology was suggestive of HGESS with variable expression of desmin, ER, PR, AE1/3 and cyclin D1 [32]. This report and our current cases point to an emerging role of members of the human EGFR family of tyrosine kinases (fusions and mutations) in the oncogenesis of rare uterine sarcomas.
In summary, we herein describe the first detailed study of a novel ERBB2/ ERBB3-mutated S100/SOX10-positive unclassified highly aggressive uterine sarcoma type. The histogenesis of this tumor, its appropriate classification and the potential benefit of targeting the underlying ERBB2/ ERBB3 tyrosine kinase mutation remain to be verified in the future. Inclusion of SOX10 in high-grade unclassified gynecological sarcomas would be a valuable and cheap screening tool to enhance recognition of this entity, particularly in putative cases of undifferentiated uterine sarcomas.

Declarations

Samples were used in accordance with ethical guidelines for the use of retrospective tissue samples provided by the local ethics committee of the Friedrich-Alexander University Erlangen-Nuremberg (ethics committee statements 24.01.2005 and 18.01.2012).

Conflict of interest

None.

Disclosures

AA is the Editor-in-Chief of Virchows Archiv. JKD, JMG and MM serve as members of the editorial board of Virchows Archiv. The authors have no financial or non-financial conflicts of interest to disclose.
Open Access This article is licensed under a Creative Commons Attribution 4.0 International License, which permits use, sharing, adaptation, distribution and reproduction in any medium or format, as long as you give appropriate credit to the original author(s) and the source, provide a link to the Creative Commons licence, and indicate if changes were made. The images or other third party material in this article are included in the article's Creative Commons licence, unless indicated otherwise in a credit line to the material. If material is not included in the article's Creative Commons licence and your intended use is not permitted by statutory regulation or exceeds the permitted use, you will need to obtain permission directly from the copyright holder. To view a copy of this licence, visit http://​creativecommons.​org/​licenses/​by/​4.​0/​.

Publisher's Note

Springer Nature remains neutral with regard to jurisdictional claims in published maps and institutional affiliations.

Unsere Produktempfehlungen

e.Med Interdisziplinär

Kombi-Abonnement

Für Ihren Erfolg in Klinik und Praxis - Die beste Hilfe in Ihrem Arbeitsalltag

Mit e.Med Interdisziplinär erhalten Sie Zugang zu allen CME-Fortbildungen und Fachzeitschriften auf SpringerMedizin.de.

download
DOWNLOAD
print
DRUCKEN
Titel
ERBB2/ ERBB3-mutated S100/ SOX10-positive unclassified high-grade uterine sarcoma: first detailed description of a novel entity
Verfasst von
Abbas Agaimy
Josephine K. Dermawan
Florian Haller
Sabine Semrau
Norbert Meidenbauer
Robert Stoehr
Sigurd Lax
Arndt Hartmann
Ying S. Zou
Deyin Xing
Lars Tögel
John M. Gross
Michael Michal
Publikationsdatum
28.08.2024
Verlag
Springer Berlin Heidelberg
Erschienen in
Virchows Archiv / Ausgabe 5/2024
Print ISSN: 0945-6317
Elektronische ISSN: 1432-2307
DOI
https://doi.org/10.1007/s00428-024-03908-3
1.
Zurück zum Zitat Momeni-Boroujeni A, Chiang S (2020) Uterine mesenchymal tumours: recent advances. Histopathology 76:64–75CrossRefPubMed
2.
Zurück zum Zitat Arias-Stella JA 3rd, Benayed R, Oliva E, Young RH, Hoang LN, Lee CH, Jungbluth AA, Frosina D, Soslow RA, Antonescu CR, Ladanyi M, Chiang S (2019) Novel PLAG1 Gene Rearrangement Distinguishes a Subset of Uterine Myxoid Leiomyosarcoma From Other Uterine Myxoid Mesenchymal Tumors. Am J Surg Pathol 43:382–388CrossRefPubMedPubMedCentral
3.
Zurück zum Zitat Michal M, Agaimy A, Croce S, Mechtersheimer G, Gross JM, Xing D, Bell DA, Gupta S, Mosaieby E, Martínek P, Klubíčková N, Michalová K, Bouda J, Fínek J, Hernandez T, Michal M, Schoolmeester JK, Ondič O (2024) PLAG1-Rearranged Uterine Sarcomas: A Study of 11 Cases Showing a Wide Phenotypical Spectrum Not Limited to Myxoid Leiomyosarcoma-like Morphology. Mod Pathol 26:100552CrossRef
4.
Zurück zum Zitat Haimes JD, Stewart CJR, Kudlow BA, Culver BP, Meng B, Koay E, Whitehouse A, Cope N, Lee JC, Ng T, McCluggage WG, Lee CH (2017) Uterine Inflammatory Myofibroblastic Tumors Frequently Harbor ALK Fusions With IGFBP5 and THBS1. Am J Surg Pathol 41:773–780CrossRefPubMed
5.
Zurück zum Zitat Croce S, Hostein I, Longacre TA, Mills AM, Pérot G, Devouassoux-Shisheboran M, Velasco V, Floquet A, Guyon F, Chakiba C, Querleu D, Khalifa E, Mayeur L, Rebier F, Leguellec S, Soubeyran I, McCluggage WG (2019) Uterine and vaginal sarcomas resembling fibrosarcoma: a clinicopathological and molecular analysis of 13 cases showing common NTRK-rearrangements and the description of a COL1A1-PDGFB fusion novel to uterine neoplasms. Mod Pathol 32:1008–1022CrossRefPubMed
6.
Zurück zum Zitat Goebel EA, Hernandez Bonilla S, Dong F, Dickson BC, Hoang LN, Hardisson D, Lacambra MD, Lu FI, Fletcher CDM, Crum CP, Antonescu CR, Nucci MR, Kolin DL (2020) Uterine Tumor Resembling Ovarian Sex Cord Tumor (UTROSCT): A Morphologic and Molecular Study of 26 Cases Confirms Recurrent NCOA1-3 Rearrangement. Am J Surg Pathol 44:30–42CrossRefPubMedPubMedCentral
7.
Zurück zum Zitat Agaimy A, Clarke BA, Kolin DL, Lee CH, Lee JC, McCluggage WG, Pöschke P, Stoehr R, Swanson D, Turashvili G, Beckmann MW, Hartmann A, Antonescu CR, Dickson BC (2022) Recurrent KAT6B/A::KANSL1 Fusions Characterize a Potentially Aggressive Uterine Sarcoma Morphologically Overlapping With Low-grade Endometrial Stromal Sarcoma. Am J Surg Pathol 46:1298–1308CrossRefPubMedPubMedCentral
8.
Zurück zum Zitat Horn LC, Schmidt D, Vordermark D, Vogl T, Reichardt P, Gaß P, Gebhardt M, Beckmann MW (2015) Sarcoma of the Uterus. Guideline of the DGGG (S2k-Level, AWMF Registry No. 015/074, August 2015). Geburtshilfe Frauenheilkd 75:1028–1042CrossRefPubMedPubMedCentral
9.
Zurück zum Zitat Richards S, Aziz N, Bale S, Bick D, Das S, Gastier-Foster J, Grody WW, Hegde M, Lyon E, Spector E, Voelkerding K, Rehm HL, ACMG Laboratory Quality Assurance Committee (2015) Standards and guidelines for the interpretation of sequence variants: a joint consensus recommendation of the American College of Medical Genetics and Genomics and the Association for Molecular Pathology. Genet Med 17:405–24CrossRefPubMedPubMedCentral
10.
Zurück zum Zitat Klubíčková N, Dermawan JK, Mosaieby E, Martínek P, Vaněček T, Hájková V, Ptáková N, Grossmann P, Šteiner P, Švajdler M, Kinkor Z, Michalová K, Szepe P, Plank L, Hederová S, Kolenová A, Spasov NJ, Kosemehmetoglu K, Pažanin L, Špůrková Z, Baník M, Baumruk L, Meyer A, Kalmykova A, Koshyk O, Michal M, Michal M (2024) Comprehensive clinicopathological, molecular, and methylation analysis of mesenchymal tumors with NTRK and other kinase gene aberrations. J Pathol 263:61–67CrossRefPubMed
11.
Zurück zum Zitat Capper D, Jones DTW, Sill M (2018) DNA methylation-based classification of central nervous system tumours. Nature 555:469–474CrossRefPubMedPubMedCentral
12.
Zurück zum Zitat Koelsche C, Schrimpf D, Stichel D et al (2021) Sarcoma classification by DNA methylation profiling. Nat Commun 12:498CrossRefPubMedPubMedCentral
13.
Zurück zum Zitat Cotzia P, Benayed R, Mullaney K, Oliva E, Felix A, Ferreira J, Soslow RA, Antonescu CR, Ladanyi M, Chiang S (2019) Undifferentiated Uterine Sarcomas Represent Under-Recognized High-grade Endometrial Stromal Sarcomas. Am J Surg Pathol 43:662–669CrossRefPubMedPubMedCentral
14.
Zurück zum Zitat Lin D, Huang RSP, Ross JS, Elvin JA, Williams EA (2023) Recurrent activating ERBB2 V777L point mutation in fusion-negative, S100 and SOX10-posotive uterine (corpus and cervix) spindle cell neoplasms. Mod Pathol, USCAP 936: S941-S942
15.
Zurück zum Zitat Garrett TP, McKern NM, Lou M, Elleman TC, Adams TE, Lovrecz GO, Kofler M, Jorissen RN, Nice EC, Burgess AW, Ward CW (2003) The crystal structure of a truncated ErbB2 ectodomain reveals an active conformation, poised to interact with other ErbB receptors. Mol Cell 11:495–505CrossRefPubMed
16.
Zurück zum Zitat Baehner FL, Achacoso N, Maddala T, Shak S, Quesenberry CP Jr, Goldstein LC, Gown AM, Habel LA (2010) Human epidermal growth factor receptor 2 assessment in a case-control study: comparison of fluorescence in situ hybridization and quantitative reverse transcription polymerase chain reaction performed by central laboratories. J Clin Oncol 28:4300–4306CrossRefPubMed
17.
Zurück zum Zitat McAfee JL, Hoda RS, Hoyle C, McCoy L, Sprague C, Reddy CA, Koyfman SA, Geiger JL, Komforti MK, Griffith CC (2023) ERBB2 Amplification and HER2 Expression in Salivary Duct Carcinoma: Evaluation of Scoring Guidelines and Potential for Expanded Anti-HER2 Therapy. Mod Pathol 36:100273CrossRefPubMed
18.
Zurück zum Zitat Bose R, Kavuri SM, Searleman AC, Shen W, Shen D, Koboldt DC, Monsey J, Goel N, Aronson AB, Li S, Ma CX, Ding L, Mardis ER, Ellis MJ (2013) Activating HER2 mutations in HER2 gene amplification negative breast cancer. Cancer Discov 3:224–237CrossRefPubMed
19.
Zurück zum Zitat Robichaux JP, Elamin YY, Vijayan RSK, Nilsson MB, Hu L, He J, Zhang F, Pisegna M, Poteete A, Sun H, Li S, Chen T, Han H, Negrao MV, Ahnert JR, Diao L, Wang J, Le X, Meric-Bernstam F, Routbort M, Roeck B, Yang Z, Raymond VM, Lanman RB, Frampton GM, Miller VA, Schrock AB, Albacker LA, Wong KK, Cross JB, Heymach JV (2019) Pan-Cancer Landscape and Analysis of ERBB2 Mutations Identifies Poziotinib as a Clinically Active Inhibitor and Enhancer of T-DM1 Activity. Cancer Cell 36:444-457.e7CrossRefPubMedPubMedCentral
20.
Zurück zum Zitat Black LE, Longo JF, Carroll SL (2019) Mechanisms of Receptor Tyrosine-Protein Kinase ErbB-3 (ERBB3) Action in Human Neoplasia. Am J Pathol 189:1898–1912CrossRefPubMedPubMedCentral
21.
Zurück zum Zitat Jaiswal BS, Kljavin NM, Stawiski EW, Chan E, Parikh C, Durinck S, Chaudhuri S, Pujara K, Guillory J, Edgar KA, Janakiraman V, Scholz RP, Bowman KK, Lorenzo M, Li H, Wu J, Yuan W, Peters BA, Kan Z, Stinson J, Mak M, Modrusan Z, Eigenbrot C, Firestein R, Stern HM, Rajalingam K, Schaefer G, Merchant MA, Sliwkowski MX, de Sauvage FJ, Seshagiri S (2013) Oncogenic ERBB3 mutations in human cancers. Cancer Cell 23:603–617CrossRefPubMed
22.
Zurück zum Zitat Collier TS, Diraviyam K, Monsey J, Shen W, Sept D, Bose R (2013) Carboxyl group footprinting mass spectrometry and molecular dynamics identify key interactions in the HER2-HER3 receptor tyrosine kinase interface. J Biol Chem 288:25254–25264CrossRefPubMedPubMedCentral
23.
Zurück zum Zitat Littlefield P, Liu L, Mysore V, Shan Y, Shaw DE, Jura N (2014) Structural analysis of the EGFR/HER3 heterodimer reveals the molecular basis for activating HER3 mutations. Sci Signal 7:ra114CrossRefPubMedPubMedCentral
24.
Zurück zum Zitat Lee CH, Ali RH, Rouzbahman M, Marino-Enriquez A, Zhu M, Guo X, Brunner AL, Chiang S, Leung S, Nelnyk N, Huntsman DG, Blake Gilks C, Nielsen TO, Dal Cin P, van de Rijn M, Oliva E, Fletcher JA, Nucci MR (2012) Cyclin D1 as a diagnostic immunomarker for endometrial stromal sarcoma with YWHAE-FAM22 rearrangement. Am J Surg Pathol 36:1562–1570CrossRefPubMedPubMedCentral
25.
Zurück zum Zitat Mills AM, Karamchandani JR, Vogel H, Longacre TA (2011) Endocervical fibroblastic malignant peripheral nerve sheath tumor (neurofibrosarcoma): report of a novel entity possibly related to endocervical CD34 fibrocytes. Am J Surg Pathol 35:404–412CrossRefPubMed
26.
Zurück zum Zitat Jakob JA, Bassett RL Jr, Ng CS, Curry JL, Joseph RW, Alvarado GC, Rohlfs ML, Richard J, Gershenwald JE, Kim KB, Lazar AJ, Hwu P, Davies MA (2012) NRAS mutation status is an independent prognostic factor in metastatic melanoma. Cancer 118:4014–4023CrossRefPubMed
27.
Zurück zum Zitat Ronellenfitsch MW, Harter PN, Kirchner M, Heining C, Hutter B, Gieldon L, Schittenhelm J, Schuhmann MU, Tatagiba M, Marquardt G, Wagner M, Endris V, Brandts CH, Mautner VF, Schröck E, Weichert W, Brors B, von Deimling A, Mittelbronn M, Steinbach JP, Reuss DE, Glimm H, Stenzinger A, Fröhling S (2020) Targetable ERBB2 mutations identified in neurofibroma/schwannoma hybrid nerve sheath tumors. J Clin Invest 130:2488–2495CrossRefPubMedPubMedCentral
28.
Zurück zum Zitat Croessmann S, Formisano L, Kinch LN, Gonzalez-Ericsson PI, Sudhan DR, Nagy RJ, Mathew A, Bernicker EH, Cristofanilli M, He J, Cutler RE Jr, Lalani AS, Miller VA, Lanman RB, Grishin NV, Arteaga CL (2019) Combined Blockade of Activating ERBB2 Mutations and ER Results in Synthetic Lethality of ER+/HER2 Mutant Breast Cancer. Clin Cancer Res 25:277–289CrossRefPubMed
29.
Zurück zum Zitat Christgen M, Bartels S, Radner M, Raap M, Rieger L, Christgen H, Gluz O, Nitz U, Harbeck N, Lehmann U, Kreipe H (2019) ERBB2 mutation frequency in lobular breast cancer with pleomorphic histology or high-risk characteristics by molecular expression profiling. Gene Chromosome Cancer 58:175–185CrossRef
30.
Zurück zum Zitat Eng J, Hsu M, Chaft JE, Kris MG, Arcila ME, Li BT (2016) Outcomes of chemotherapies and HER2 directed therapies in advanced HER2-mutant lung cancers. Lung Cancer 99:53–56CrossRefPubMed
31.
Zurück zum Zitat Yoo KH, Kim NK, Kwon WI, Lee C, Kim SY, Jang J, Ahn J, Kang M, Jang H, Kim ST, Ahn S, Jang KT, Park YS, Park WY, Lee J, Heo JS, Park JO (2016) Genomic Alterations in Biliary Tract Cancer Using Targeted Sequencing. Transl Oncol 9:173–178CrossRefPubMedPubMedCentral
32.
Zurück zum Zitat Lim SH, Mansor SB, Kathirvel R, Kuick CH, Lim-Tan SK, McCluggage WG (2022) Description of a Novel ERBB4 -rearranged Uterine Sarcoma. Int J Gynecol Pathol 41:508–513CrossRefPubMed

Neu im Fachgebiet Pathologie

Fabrizierte und/oder Induzierte Krankheit und medizinische Kindesmisshandlung

Fabrizierte und/oder Induzierte Krankheit (FII, ehemals Münchhausen-by-Proxy-Syndrom)/medizinische Kindesmisshandlung (MKM) ist eine Form der Kindesmisshandlung, bei der ein Kind oder Jugendliche*r unter 18 Jahren durch Handlungen einer …

Forensisch-medizinische körperliche Untersuchung von Mädchen und Jungen bei Verdacht auf Misshandlung und Missbrauch

1 Einleitung 2 Zielsetzung der Empfehlung 3 Grundsätze zum Umgang mit unterschiedlichen Settings/Auftraggebern und Zuweisern 3.1 Konsiliarische Mitbeurteilungen 3.2 Verletzungseinschätzungen für Jugendämter 3.3 Ermittlungsbehörden 3.4 Sonderfall …

Leibzeichen in Norddeutschland – ein (fast) vergessener Rechtsbrauch

In nordeuropäischen Kirchen werden – meistens im Rahmen von Baumaßnahmen – immer wieder menschliche Überreste entdeckt; diese befinden sich oft in mumifiziertem Zustand, und ihr Ursprung ist weitgehend unbekannt. Zu der Herkunft dieser Relikte – …

Präneoplasien des hepatozellulären Karzinoms

Das hepatozelluläre Karzinom (HCC) entsteht meist auf dem Boden einer Leberzirrhose. Häufige Risikofaktoren sind virale Hepatitiden B/C, Alkoholabusus, „metabolic dysfunction associated steatotic liver disease“ (MASLD) und genetische Erkrankungen.