Zum Inhalt

Artikel aus unseren Fachzeitschriften zum Thema

Bakterielle Interaktionen

Bei der Arbeit mit Bakterien gibt es immer drei Probleme: Sie sind winzig klein und somit für das menschliche Auge unsichtbar, sie treten in schier unvorstellbaren Zahlen auf und sie kommen selten alleine vor. Letztgenanntes Problem führt dann bei …

Endometriose – ein Chamäleon in der Medizin

Die Auswirkungen der Endometriose beeinträchtigen betroffene Frauen in ihrer gesamten Lebensrealität – körperlich, psychisch und sozial. Das Risiko für Folgeerkrankungen wie chronische Schmerzen, Infertilität und psychische Störungen ist hoch.

STI: Gut behandelbar, jedoch oft spät erkannt

Die hausärztliche Praxis ist oft die erste Anlaufstelle bei Symptomen, die für eine sexuell übertragbare Infektion (STI) sprechen könnten. Sie sind heute meist gut behandelbar, werden jedoch vielfach erst spät erkannt. Eine frühe Diagnose ist …

Vergleich von MR-Defäkographie und klinischer Untersuchung

In der Diagnostik von Deszensusprozessen kommt, neben der klinisch-proktologischen Untersuchung, regelmäßig eine MR-Defäkographie als aufwendige und kostenintensive Diagnostik zum Einsatz. In diesem Beitrag wird dargestellt, inwieweit bei …

CME: Präkonzeptionelle Impfberatung

Die präkonzeptionelle Beratung umfasst neben der körperlichen Untersuchung und der Erfassung individueller Risikofaktoren auch eine strukturierte Impfberatung. Impfpräventable Erkrankungen bergen in der Schwangerschaft ein hohes Risiko für schwere Komplikationen. Dieser CME-Beitrag gibt Ihnen einen Überblick über die aktuellen Impfempfehlungen.

Verhütung im Jugendalter – das ist wichtig bei der Beratung

Während früher Mädchen in die Sprechstunde kamen, um sich die Pille verschreiben zu lassen, rückt heute vor allem eines in den Fokus: eine möglichst risikolose und hormonfreie Verhütung. Was Sie im Gespräch über mögliche Verhütungsmethoden, sexuell übertragbare Erkrankungen und Notfallkontrazeption unbedingt ansprechen sollten.

COVID-19-Pandemie – verdrängt und wenig gelernt?

Analysen zur Nützlichkeit und Wirksamkeit sowie zu den möglichen Folgen verschiedener Pandemie-Maßnahmen, welche die Frauengesundheit betrafen, sind im deutschsprachigen Raum bisher rar. Auf der Basis einer selektiven Literaturrecherche werden …

Die Rolle von Infektionen bei Frühgeburten

Frühgeburten stellen eine der größten geburtshilflichen Herausforderungen dar. Infektionen und gestörte vaginale Mikrobiota zählen zu den zentralen Risikofaktoren. Was Sie über Screening, Therapie und Prävention vaginaler Infektionen während der Schwangerschaft wissen sollten, erfahren Sie hier.

Der Stellenwert des Mikrobioms bei rezidivierenden Harnwegsinfektionen der Frau

Rezidivierende Harnwegsinfektionen (rHWI) sind eine häufige Erkrankung bei Frauen und gehen mit erheblicher psychosozialer Belastung einher. Therapie und Prophylaxe erfolgen in vielen Fällen antibiotisch, was nicht nur mit Nebenwirkungen verbunden …

Einfluss des vaginalen Mikrobioms auf die Fertilität

Das humane vaginale Mikrobiom ist komplex und seine Rolle noch nicht vollständig verstanden. Aktuelle Studien deuten darauf hin, dass eine bakterielle Dysbiose sowohl die Fertilität als auch eine assistierte Reproduktion beeinflussen könnte. Was bedeutet das für die Diagnose und anschließende Therapie?

Infertilität bei Endometriose – operieren oder gleich die künstliche Befruchtung?

Entzündungen im veränderten Peritonealraum sowie Endometriosezysten beeinträchtigen die Ovarien und mindern die Eizellqualität – mit erhöhtem Risiko für Fehlgeburten. Zwei Therapiepfade stehen zur Wahl: Operation oder assistierte Reproduktion. Doch während die eine Methode zunehmend kritisch betrachtet wird, gewinnt die andere immer mehr an Bedeutung.

Eizellqualität unter hormoneller Stimulation – darauf kommt es an

Mehr ist nicht immer besser: In der Reproduktionsmedizin zählt nicht die Anzahl der gewonnenen Eizellen, sondern ihre Qualität. Aus embryologischer Sicht kann eine Überstimulation die Erfolgschancen sogar mindern. Warum die individuelle Hormonstimulation der Schlüssel zur effizienten Kinderwunschbehandlung ist.

Wie sich Frühgeburten verhindern lassen

Wer die Risikofaktoren für eine Frühgeburt kennt und bereits vor einer Schwangerschaft erkennen kann, hat die Chance, ein solches Ereignis zu vermeiden. Welche Faktoren dabei eine Rolle spielen und welche Interventionen möglich sind, lesen Sie hier.

Das Agonisten-Protokoll bei der ovariellen Stimulation

Der Einsatz von GnRH(Gonadotropin-releasing Hormon)-Agonisten ist in Deutschland in den vergangenen 18 Jahren stark zurückgegangen, sowohl im langen als auch im kurzen Protokoll. Dennoch sind überdurchschnittlich bessere Schwangerschaftsraten …

Wie Antibiotika in der Schwangerschaft das neonatale Mikrobiom beeinflussen

Antibiotika sind aus der perinatalen Medizin nicht mehr wegzudenken. Doch immer mehr Studien zeigen: Ihr Einsatz kann das Mikrobiom des Neugeborenen langfristig beeinflussen oder sogar Risiken für entzündliche Erkrankungen hervorrufen. Wie gelingt ein verantwortungsvoller und zugleich wirksamer Umgang?

HIV-Präexpositionsprophylaxe für Frauen: eine neue Ära Prävention

  • HIV
  • Übersichtsartikel

Eine vielversprechende Option zur Verhinderung von HIV-Neuinfektionen könnte der Kapsidinhibitor Lenacapavir sein. Aufgrund seiner Depotwirkung muss er nur zweimal im Jahr injiziert werden, was die Prävention erheblich vereinfachen könnte.

Ovarielle Stimulation bei unerfülltem Kinderwunsch – ein Leitfaden

Wann ist eine ovarielle Stimulation sinnvoll? Kann die Ovarialreserve zuverlässig gemessen werden? Und welche Gonadotropin-Dosis ist zielführend? Ein Leitfaden zu Indikationen, Medikamenten und Protokollen zum Ablauf der Stimulation.

Der unsichtbare Gegner – Infektionen als Verursacher von wiederholten Fehlgeburten

Genitale Infektionen wie bakterielle Vaginose oder Chlamydien werden als mögliche Ursache bei rezidivierenden Spontanaborten diskutiert. Wie sieht es mit der Evidenzlage zur Diagnostik und Therapie aus? Und was empfehlen nationale sowie internationale Leitlinien? 

Entzündungen und Schmerz

Chronische Schmerzen sind vielschichtig und entstehen durch komplexe Mechanismen, die nozizeptive, neuropathische und noziplastische Komponenten kombinieren. Entzündliche wie nichtentzündliche Erkrankungen zeigen häufig Überlappungen ihrer …

Point-of-Care-Tests für sexuell übertragbare Infektionen – was ist der aktuelle Stand?

Point-of-Care-Tests revolutionieren die Diagnostik sexuell übertragbarer Infektionen. Doch der hierzulande verfügbare HIV-Selbsttest ist erst zwölf Wochen nach Exposition aussagekräftig. Welche Tests heute schon verfügbar sind und wo die Entwicklung noch hinterherhinkt, lesen Sie hier.

Klimasensible Gesundheitsberatung in der Frauenheilkunde

Die gesundheitlichen Auswirkungen des Klimawandels sind bereits heute in der Gynäkologie und Geburtshilfe sichtbar. So zeigt sich die enge Verknüpfung zwischen Klima und Frauengesundheit am Anstieg von Frühgeburtlichkeit bei Hitze in Deutschland [ …

Jungengesundheit im Fokus

Männliche Jugendliche nutzen bestehende Versorgungs- und Aufklärungsangebote zur sexuellen Gesundheit deutlich seltener als ihre weiblichen Altersgenossen. Dieser Beitrag analysiert aktuelle Wissensdefizite, Zugangsbarrieren und Präventionspotenziale und zeigt strukturelle Lösungsansätze auf.

Zusatznutzen hormoneller Kontrazeptiva

Die Pille liegt in Deutschland momentan nicht auf den ersten Plätzen der kontrazeptiven Optionen. Allerdings kann eine sorgfältig ausgewählte hormonelle Kontrazeption zusätzlich noch manche gynäkologische Beschwerden verbessern, wie etwa …

Rekonstruktive Beckenbodenchirurgie: So haben Sie Komplikationen im Griff

Die rekonstruktive Beckenbodenchirurgie bietet vielfältige operative Optionen bei Harninkontinenz, Organprolaps und weiteren Beckenbodenstörungen. Für den Therapieerfolg sind eine präzise Diagnostik, konservative Alternativen sowie interdisziplinäre Expertise entscheidend – denn das Komplikationsmanagement beginnt bereits vor dem Eingriff.

STI weiter auf dem Vormarsch– Darauf sollten Sie achten

In Deutschland nimmt, wie in ganz Europa, die Inzidenz sexuell übertragbarer Infektionen deutlich zu. Aktualisierte Leitlinien und Änderungen im Infektionsschutzgesetz versuchen hier entgegenzuwirken. Ein kontroverses Thema ist die medikamentöse Prävention als Prä- und Postexpositionsprophylaxe.

Beckenorganprolaps: Wann operieren, wie rekonstruieren?

Zystozelen, Rektozelen und Enterozelen erfordern eine differenzierte chirurgische Therapie – besonders, wenn konservative Maßnahmen wie Pessare nicht greifen. Eine bebilderte Übersicht über die unterschiedlichen operativen Verfahren und das konkrete chirurgische Vorgehen.

HPV-Impfung: Wie erfolgreich ist sie tatsächlich?

Die Impfung gegen humane Papillomaviren Impfung (HPV) sollte Mädchen und Jungen vor HPV-bedingten Krebserkrankungen schützen. Ist das deutschen Ärztinnen und Ärzten wirklich gelungen? 

Jungengesundheit aus urologischer Sicht

Der Jungengesundheit und ihrer Förderung kommt eine entscheidende Bedeutung bei der Verhinderung von Krankheiten im späteren Leben zu. Die Urologie kann hier auf allen Gebieten der männlichen Entwicklung, Sexualität und Reproduktion präventiv …

CME: Beckenbodenprotektion

Inkontinenz und Genitaldeszensus belasten den Alltag vieler Mütter langfristig. Welche vorbeugenden Maßnahmen gibt es vor, während und nach einer Geburt? Und bietet eine elektive Sectio möglicherweise Schutz vor den negativen Folgen? Diese und weitere Fragen beleuchtet der Beitrag.

CME: S2k-Leitlinie zur nichthormonellen Kontrazeption

Barrieremethoden werden in Deutschland inzwischen häufiger genutzt als hormonelle Verhütungsmittel. Die neue S2k-Leitlinie empfiehlt, sie in jeder Beratung zur Verhütung zu berücksichtigen – doch in der Praxis geschieht das oft nicht. Was Sie rund um die Beratung Ihrer Patientinnen wissen sollten.

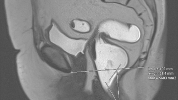
Adenomyose und Kinderwunsch – wenn die Hysterektomie keine Option ist

Von chronischen Schmerzen bis hin zu Blutungsstörungen: Nicht selten führt eine Adenomyose zu einer Hysterektomie. Doch was, wenn ein Kinderwunsch besteht? Neue Erkenntnisse zeigen, dass eine fertilitätserhaltende Operation eine vielversprechende Alternative sein könnte.

Eileiterschwangerschaft: Erhalt oder operative Entfernung der Tuben?

Die Extrauteringravidität im ersten Trimenon ist die häufigste mütterliche Todesursache – mit der Tubargravidität als häufigste Form. Doch wie operieren, wenn die Fertilität erhalten bleiben soll? Zwischen Salpingotomie und Salpingektomie gilt: Die Entscheidung ist individuell.

Muss es immer gleich die „Pille“ sein?

Starke Monatsblutungen belasten viele junge Patientinnen – darauf folgt oftmals eine hormonelle Therapie. Doch gerade wegen möglicher Langzeitrisiken sollte sie nicht immer die erste Wahl sein. Ein Handlungsalgorithmus von der Diagnose bis hin zu alternativen Therapiemöglichkeiten bei Menorrhagie.

Endometriose und Kinderwunsch – wann operieren, wann nicht?

Eine Operation kann auch bei Endometriose-Patientinnen mit unerfülltem Kinderwunsch der richtige therapeutische Schritt sein. Allerdings ist der optimale Zeitpunkt vom Stand der Familienplanung, Lebensalter und der bisherigen Vorgeschichte abhängig. Rein diagnostische Operationen sind obsolet und sollten idealerweise vermieden werden.

Radiofrequenzablation bei Uterusmyomen und Kinderwunsch

Die transzervikale Radiofrequenzablation (TRFA) bietet eine vielversprechende, organerhaltende Therapieoption für Frauen mit symptomatischen Myomen – auch bei bestehendem Kinderwunsch. Doch wie sicher ist der Eingriff für eine spätere Schwangerschaft? 

Unfruchtbare Patientin? Hydrosalpinx nicht vergessen!

Geschwollene Eileiter, in denen sich Flüssigkeit ansammelt, beeinträchtigen die Tubenfunktion und Implantation immens – auch bei der assistierten Reproduktion. Mehr über die Diagnostik, Therapiemethoden, Leitlinien und aktuelle Studien lesen Sie hier.

Levatoravulsionen: Risikofaktoren, Diagnostik und Prävention

Genitaldeszensus, Inkontinenz und eingeschränkte Lebensqualität. Das sind nur ein paar der möglichen Folgen von Levatoravulsionen nach einer vaginalen Geburt. Welche Risikofaktoren diese Komplikation begünstigen und wie Sie Patientinnen davor schützen können, lesen Sie hier.

Welche Vorteile hat eine Pessartherapie nach einer Geburt oder in der Postmenopause?

Geburt und Menopause hinterlassen Spuren am Beckenboden – akut wie chronisch. Die Pessartherapie kann in beiden Lebensphasen sowohl präventiv als auch therapeutisch unterstützen. Was Sie über deren Einsatz sowie aktuelle Studien wissen sollten, lesen Sie hier.

Descensus genitalis und obstruktives Defäkationssyndrom

Häufig geht ein Descensus genitalis auch mit einem obstruktiven Defäkationssyndrom (ODS) oder einer analen Inkontinenz einher. Insbesondere Patientinnen mit kombinierter Symptomatik profitieren von einer interdisziplinären Diagnostik und Therapieplanung. Eine Übersicht über das konservative und operative Vorgehen zeigt dieser Beitrag.

Was Sie über Vulvodynie wissen sollten

Neben den psychischen, körperlichen und sexuellen Belastungen, die mit Vulvodynie einhergehen, stellt die jahrelange Verzögerung bis zur korrekten Diagnose ein erhebliches Problem dar. Mehr über die Symptome, die richtige Diagnostik und die Therapiemöglichkeiten lesen Sie in diesem Beitrag.

Vorgehen bei Chlamydien, Gonokokken oder Mykoplasmen

Wer in einer gynäkologischen Praxis arbeitet, dem sind genitale Infektionen nicht unbekannt – doch wie evidenzbasiert sind die aktuellen Diagnose- und Therapieempfehlungen? Eine Behandlung mit Antimikrobiotika ist nicht immer notwendig und kann potenziell schädlich sein. Das bietet Anlass dafür, individuell vorzugehen.

Basisdiagnostik in der Urogynäkologie

Erkrankungen wie Genitalprolaps und Inkontinenz führen oft zu hohem Leidensdruck. Aus Scham sprechen Betroffene jedoch nicht immer über ihre Beschwerden. Dieser Artikel bietet einen Überblick über die gezielte Anamnese und die wichtigsten Untersuchungen in der Urogynäkologie.

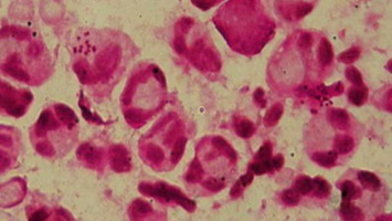
Neue Einblicke in das Krankheitsbild der bakteriellen Vaginose

Bakterielle Vaginose (BV) ist ein klinisches Syndrom, das mehrere, komplexe Infektionsprozesse mit ähnlichen Symptomen umfasst. Aktuelle Fluoreszenz-in-situ Studien haben nun die häufigsten Ursachen dafür herausgefunden – und könnten so die Diagnostik und Behandlung in Zukunft verbessern.

HIV: was bei gynäkologischen Untersuchungen zu beachten ist

  • HIV
  • Leitthema

HIV-positive Frauen haben dieselben Ansprüche auf gynäkologische Betreuung wie nicht-infizierte Frauen – sei es bei Vorsorge, Kontrazeption, Schwangerschaft oder Menopause. Was müssen Behandelnde über die Infektion und Therapie wissen, um eine optimale Versorgung der Betroffenen zu gewährleisten?

Trichomonas vaginalis rückt wieder ins Rampenlicht

Die weltweit häufigste nichtvirale Geschlechtskrankheit, Trichomoniasis, scheint in Deutschland wieder zuzunehmen – mit teils schwerwiegenden Komplikationen. Eine exakte und frühzeitige Diagnose ist notwendig, um rechtzeitig eine wirksame Therapie einzuleiten und so die Infektanfälligkeit für HSV und HIV zu minimieren.

Reproduktionsmedizin: welchen Einfluss das vaginale Mikrobiom hat

Aktuelle Studien deuten darauf hin, dass das vaginale Mikrobiom relevant für den Erfolg in der natürlichen Konzeption und Reproduktion ist. Der Beitrag thematisiert potenzielle Zusammenhänge zwischen Dysbiose und negativen reproduktiven Outcomes.

CME: Psychosomatik in der Gynäkologie

Chronische Unterbauchschmerzen, ein unerfüllter Kinderwunsch oder traumatische Geburten stellen Frauen vor psychische Herausforderungen. Dieser CME-Beitrag vermittelt ein psychosomatisches Verständnis und zeigt wichtige Ansätze der Psychotherapie auf.

Schwangerschaft nach assistierter Reproduktion – Was ist zu beachten?

Schwangerschaften, die durch in-vitro-Fertilisation oder intrazytoplasmatische Spermieninjektion entstanden sind, haben ein höheres Risiko für plazentavermittelte Komplikationen und peripartale Probleme – insbesondere beim Vorhandensein einer Endometriose. Eine entsprechende Schwangerenvorsorge ist maßgeblich, um einen guten Ausgang zu erzielen.

Ursachen, Diagnostik und Therapie bei Implantationsstörungen

Ob das Alter der Wunschmutter, die Genetik des Embryos oder die Bedingungen des Endometriums – viele Faktoren beeinflussen den Erfolg einer Implantation. Welche Ursachen gibt es? Und wie gestaltet sich die Therapie bei Implantationsversagen?

Fertilitätsprotektion bei Endometriose, rheumatischen Erkrankungen & Co.

Fertilitätserhaltende Maßnahmen werden zunehmend auch bei benignen Erkrankungen oder genetischen Prädispositionen relevant. Doch wie früh sollten Patientinnen sensibilisiert werden? Und welche Herausforderungen stellt die begrenzte Datenlage zum Beispiel zum Kosten-Nutzen-Fragen dar? 

Worauf man bei der Sonografie von Adnexbefunden achten sollte

Die Abgrenzung zwischen benignen und malignen Veränderungen anhand des transvaginalen Ultraschalls wird hierzulande noch immer unterschätzt. Worauf Sie achten sollten und welche Schritte bei einem Befund zu unternehmen sind, lesen Sie hier.

Reaktive Arthritis

Die reaktive Arthritis (ReA) ist eine durch extraartikuläre Infektion ausgelöste Erkrankung, die sich als sterile Gelenkentzündung manifestiert. Im Gegensatz zur bakteriell-septischen Arthritis können bei der ReA keine Erreger aus dem Gelenk …

Chronische pelvine Schmerzen

Die Endometriose stellt nach wie vor eine weit verbreitete Ursache sowohl für die Infertilität als auch für teilweise ausgeprägte Schmerzbilder im Bereich des Abdomens, insbesondere des kleinen Beckens, dar. Das Wichtigste für die behandelnden …

CME: Welchen Einfluss Sexualität auf das Krebsrisiko hat

Erhöht Sexualität das Krebsrisiko oder kann sie es möglicherweise senken? Und wie verhält es sich während oder nach einer Krebserkrankung? Dieser Beitrag beantwortet wichtige Fragen, mit denen Sie Ihre Patientinnen bestmöglich unterstützen können.

Aktualisierte Leitlinie zur nicht hormonellen Verhütung

Welche unterschiedlichen Möglichkeiten zur nicht hormonellen Verhütung gibt es? Und wie sicher sind diese Methoden in ihrer Verwendung? Antworten darauf liefert die aktualisierte S2k-Leitlinie.

Das mütterliche Mikrobiom in der unauffälligen Schwangerschaft und bei Geburt mittels Kaiserschnitt sowie die frühe Entwicklungsphase des neonatalen Mikrobioms

Ziel: In dieser Studie von Foessleitner et al. wurden sowohl das mütterliche Mikrobiom im dritten Trimester der Schwangerschaft als auch die Faktoren, welche die Entwicklung des kindlichen Mikrobioms nach Kaiserschnittgeburt beeinflussen …

Cannabinoide bei Endometriose und Migräne?

Die Auseinandersetzung um den klinischen Stellenwert von cannabinoiden Arzneimitteln hält unvermindert an. Welche neuen, belastbaren Erkenntnisse hat die Forschung in den letzten Jahren zutage gefördert? Und in welchen Fällen ist ein Therapieversuch mit Cannabinoiden trotz geringer Evidenz gerechtfertigt?

Endometriose und assistierte Reproduktionstechnologie in der chinesischen Medizin

Endometriose ist eine chronische, multifaktorielle und systemische Erkrankung, die sich direkt und indirekt auf Fortpflanzung und Unfruchtbarkeit auswirken kann. Hierbei findet sich endometriumartiges Gewebe außerhalb der Gebärmutter. Hauptsymptom …

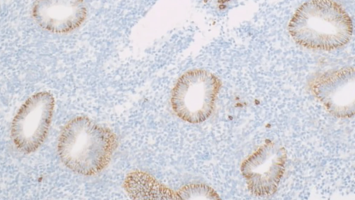
Ein erstes Fazit zur reformierten Zervixkarzinomvorsorge

Im Vergleich zur rein zytologischen Untersuchung kann die Detektion auch von Krebsvorstufen des Zervixkarzinoms durch die HPV-Testung deutlich verbessert werden. Doch der Aufwand bleibt hoch. Kann das aktuelle Screening langfristig die Inzidenz und Mortalität senken? Inzwischen liegt die zentrale Auswertung durch den G‑BA für die Jahre 2021/2022 vor.

Warum scheitern Implantationen?

Die Antwort darauf liefern immunologische und hormonelle Faktoren wie uterine Killerzellen, HLA-C-Typen oder Progesteron. Eine Übersicht über die Kommunikation zwischen Embryo und mütterlicher Immunantwort im Zusammenhang mit Implantationen.

Beckenbodentraining - welche Methoden sind sinnvoll?

Regelmäßiges Beckenbodentraining kann viele Beschwerden vorbeugen und entgegenwirken. Worauf kommt es bei dieser oft unterschätzten Therapieform an und wann ist sie besonders hilfreich? Eine Physiotherapeutin plädiert für eine multiprofessionelle Versorgung z.B. bei chronischen Schmerzen, Inkontinenz oder Organprolaps.

Obstipation: Das können Sie in der hausärztlichen Praxis tun

Chronic constipation is one of the most frequent gastrointestinal symptoms with significant increase of prevalence in the elderly. In the absence of risk factors (awareness of prevention colonoscopy), symptomatic therapy according to the guideline …

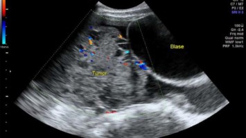
Ovarialtumore im jungen Alter – ein Leitfaden

Von harmlosen Zysten bis zu neoplastischen Prozessen – Ovarialveränderungen bei Kindern und Jugendlichen zeigen ein breites Spektrum. Dabei sind die Unterschiede zu Erwachsenen teils gravierend. Welche Differenzialdiagnosen gibt es zu beachten? Und welche Komplikationen gilt es zu vermeiden? 

Updates bei der Behandlung von Gonokokken-Infektionen

Die Fallzahlen der Infektionen mit Neisseria gonorrhoeae (NG) nehmen weltweit stetig zu. Ein signifikanter Anteil entfällt auf asymptomatische extragenitale Infektionen, die im Rahmen von Screenings auf sexuell übertragbare Infektionen (STI) …

Feigwarzen: eine der am häufigsten durch Geschlechtsverkehr übertragenen Hauterkrankungen

Das Erscheinungsbild von Condylomata acuminata (Feigwarzen) kann dem gut- und bösartiger Hautveränderungen ähneln, der klinisch makroskopische Befund ist jedoch meist eindeutig. Steht die Diagnose Condylomata acuminata fest, stehen verschiedene Therapieoptionen zur Wahl - auch wenn nicht immer sofort behandelt werden muss.

Aktualisierung der Endometriose-Leitlinie

Endometriose kann die Fertilität und Familienplanung von Betroffenen signifikant beeinträchtigen. Die in Kürze verfügbare aktualisierte S2k-Leitlinie beinhaltet umfassende Neuerungen zur hormonellen und operativen Therapie bei Kinderwunsch sowie zur medizinisch assistierten Reproduktion.

Einflussfaktoren auf die Rehospitalisierungsrate bei Alkoholabhängigkeit

Obwohl in den vergangenen beiden Jahrzehnten in der psychotherapeutischen und pharmakologischen Behandlung für Patienten mit Alkoholabhängigkeit Fortschritte gemacht wurden, beispielsweise die Entwicklung evidenzbasierter psychotherapeutischer …

CME: Eine STI kommt selten allein – sexuell übertragbare Infektionen im Überblick

Dieser CME-Beitrag gibt Ihnen einen Überblick über die wichtigsten sexuell übertragbaren Infektionen („sexually transmitted infections“ [STI]). Er informiert über die notwendigen diagnostischen Schritte bei klinischem Verdacht auf STI und hilft Ihnen dabei, mikrobiologische und virologische Befunde sicher zu interpretieren.

Operationsmethoden zur Behebung von Geburtsverletzungen

Nach Entbindungen leiden viele Frauen an einer Senkung und Inkontinenz. Konservative Therapien können oft helfen, manchmal sind aber operative Maßnahmen erforderlich. Spezielle Fragen stellen sich bei jungen Patientinnen mit Kinderwunsch. Antworten darauf sind selten evidenzbasiert.

Einfluss der ovariellen Reifung auf die Fertilität

Die Rate euploider Eizellen nimmt mit zunehmendem Alter ab, was zu nachlassender Fertilität und steigender Abortrate führt. Wichtige Aspekte zur Reifung, Alterung und Befruchtung von Oozyten lesen Sie in diesem Beitrag.

Wie man den Beckenboden vor Funktionsstörungen schützen kann

Nicht jede Schwangere trägt das gleiche Risiko für das Entstehen von Störungen des Beckenbodens. Je nach Risiko, lassen sich dementsprechend Maßnahmen zur Protektion bereits vor, während oder nach der Geburt anwenden.

So wenig wissen Studierende über humane Papillomaviren

Deutschlands Impfrate gegen humane Papillomaviren (HPV) liegt unter dem europäischen Durchschnitt. Nicht nur das ist bedenklich, sondern auch, dass die Jugendlichen kaum etwas über die sexuell übertragbare Krankheit wissen. Wie könnte die Zielgruppe aufgeklärt und sensibilisiert werden? 

Endometriose: Entscheidungshilfen bei akuten und rezidivierenden Symptomen

Trotz zunehmender Aufmerksamkeit dauert es noch immer durchschnittlich sieben Jahre, bis eine Endometriose erkannt wird. Betroffene leiden körperlich und psychisch unter den ungeklärten Symptomen. Welche individuellen Therapieoptionen gibt es und wie lässt sich der Leidensdruck effektiv lindern?

Ist der Uteruserhalt eine Modeerscheinung oder medizinisch sinnvoll?

Zur Behandlung eines Genitaldeszensus oder Genitalprolapses werden häufig chirurgische Verfahren angewendet, die sowohl mit als auch ohne Erhalt des Uterus erfolgen können. Doch wann ist der Erhalt wirklich sinnvoll? In diesem Beitrag werden aktuelle Verfahren und ihre Vor- und Nachteile diskutiert.

Gonorrhoe, Lues, Chlamydien, Mykoplasmen und Ureaplasmen aus proktologischer Sicht

Die Multiplex-PCR ist sehr hilfreich bei der Erstdiagnostik von sexuell übertragbaren Infektionen, beinhaltet aber einige Fallstricke. Im Beitrag werden die aktuell wichtigsten Fakten für die klinische Praxis sowie empfohlene Therapieoptionen bei in der Proktologie bedeutsamen Erregern dargestellt.

Adenomyose per Ultraschall diagnostizieren

Eine Adenomyose kann mithilfe der Sonographie und unter Berücksichtigung der Anamnese, Symptome und klinischen Befunde theoretisch zuverlässig diagnostiziert werden. Praktisch bleibt es jedoch eine Herausforderung. Anhand charakteristischer Sonographie-Befunde zeigt der Beitrag, worauf Sie achten sollten.

Starke Monatsblutungen: Muss es immer gleich die „Pille“ sein?

Starke Monatsblutungen sind ein häufiges und belastendes Problem bei adoleszenten Patientinnen. Neben der häufig verwendeten hormonellen Therapie gibt es wirksame Alternativen, die bei der Behandlung berücksichtigt werden sollten.

Humanes Papillomavirus, Herpes-simplex-Virus und Mpox-Virus aus proktologischer Sicht

Neben den klassischen, durch Bakterien hervorgerufenen Geschlechtserkrankungen (Syphilis, Gonorrhoe, Ulcus molle und Lymphogranuloma venerum) gibt es auch virale Infektionen, die sich typischerweise durch Sexualkontakte verbreiten. Eine Ansteckung …

Was Sie zu kontrazeptiven Barrieremethoden wissen sollten

Barrieremethoden wie Diaphragma, Portiokappe und (Frauen-)Kondome werden bislang eher selten in der gynäkologischen Praxis thematisiert. Aufgrund zunehmender Skepsis gegenüber oraler Kontrazeptiva sollten Behandelnde nicht nur Vor- und Nachteile dieser Kontrazeption kennen, sondern ihre Patientinnen auch individuell beraten können. 

Humanes Immundefizienzvirus und Präexpositionsprophylaxe

  • HIV
  • Leitthema

Die Prävalenz von sexuell übertragbaren Infektionen (STI) nimmt weltweit stetig zu, insbesondere bei Männern, die Sex mit Männern haben (MSM). Proktologische und gastroenterologische Manifestationen von STI, wie akute Proktitis, akute …

Kolitis und Enteritis als sexuell übertragbare Infektion

Sexuell übertragbare Infektionen (STI) des Dick- und Dünndarms (Kolitis, Enteritis) sind selten und stellen deshalb für die Behandelnden herausfordernde diagnostische Hürden dar. Dieser Artikel gibt einen Leitfaden für die klinische Präsentation, Diagnostik, Differenzialdiagnosen und Therapien von durch STI bedingte (Entero‑)Kolitiden.

CME: Diagnostik und Therapie des Descensus genitalis

Je nach Ausprägung führt der Descensus genitalis zu einer erheblichen Beeinträchtigung der Lebensqualität. Eine sorgfältige Evaluation der Beschwerden kombiniert mit einer kompartimentspezifischen Diagnostik ist ein Schlüssel zur individuellen Erstellung eines Therapiekonzeptes. In diesem Kurs werden am Fallbeispiel Diagnostik und therapeutisches Vorgehen zusammengefasst.

Patient mit Proktitis: CED oder infektiöse Genese?

Ein 51-jähriger Patient stellte sich in der Klinikambulanz mit starken Schmerzen bei der Defäkation und imperativem Stuhlgang mit Blut- und Schleimbeimengung vor. Er war Jahre zuvor aus Afghanistan nach Deutschland eingewandert. Vorerkrankungen …

Cannabinoide gegen Schmerzen bei Endometriose?

Ärztinnen und Ärzte stehen cannabinoidbasierten Therapien oft kritisch gegenüber. Um Patientinnen vor risikobehafteten Selbstversuchen zu bewahren, sollte man sich der Anwendung von Cannabinoiden bei Endometriose aber nicht ganz verschließen – das rechtfertigt auch die aktuelle Studienlage nicht.

Risiken, Nebenwirkungen und Effektivität von intrauteriner Kontrazeption

Die S2k-Leitlinie zur nicht-hormonellen Verhütung bietet passende Empfehlungen für Frauen, die hormonelle Verhütungsmethoden hinterfragen. Dabei werden Faktoren wie das Alter der Patientin, die Anzahl der Geburten und der Pessartyp berücksichtigt. So können Sie Patientinnen individuell beraten.

Unterbauchschmerz bei Frauen - diese Differenzialdiagnosen sollten Sie kennen

Gynäkologisch, urologisch, gastrointestinal: Die Liste der möglichen Ursachen für akute Unterbauchschmerzen bei Frauen ist vielfältig. Zusätzlich beeinflusst eine (eventuelle) Schwangerschaft das weitere Vorgehen. Diese Übersicht fasst die ersten diagnostischen Schritte und Differenzialdiagnosen zusammen.

Syphilis in der Chirurgie – sicher erkennen, richtig behandeln

Die Syphilis hat viele Manifestationsformen und kann chirurgische Krankheitsbilder imitieren. Große Verwechslungsgefahr besteht mit Analfissuren, Feigwarzen, Proktitis und Rektumkarzinomen. Die Übersicht veranschaulicht anhand vieler Bilder die Syphilismanifestationen und erläutert das korrekte Vorgehen.

HIV-Präexpositionsprophylaxe in Deutschland nicht ausreichend genutzt

  • HIV
  • Übersichtsartikel

In Studien hat sich gezeigt, dass die HIV-Präexpositionsprophylaxe (HIV-PrEP) Risikogruppen zuverlässig vor einer HIV-Infektion schützt und kosteneffektiv ist. Das Potenzial dieser Präventionsmethode wird aktuell jedoch zu wenig ausgeschöpft. Erkenntnisse aus den Studien und Verbesserungsvorschläge im Überblick.

Folgen und Therapiemöglichkeiten der HSV-2-Infektion

Eine Infektion mit Herpes-simplex-Virus Typ 2 ist durch schmerzhafte genitale Läsionen und häufige Rezidive eine belastende Erkrankung. Vor allem Risikogruppen wie Schwangere und Immunsupprimierte sind für schwere Verläufe gefährdet. Die Diagnose sicher zu stellen und rechtzeitig die passende Therapie einzuleiten, ist deshalb wichtig.

Scores bei Darmobstruktion

Die OD stellt eine Unterkategorie der chronisch-idiopathischen Konstipation da, die von hoher Prävalenz und mit hohen direkten und indirekten Kosten verbunden ist. So sind 11–18 % der US-Bevölkerung von einer chronischen Konstipation betroffen und …

Notfälle in der Kindergynäkologie

Vaginale Blutungen, Infektionen und akute Bauchschmerzen sind häufige Notfälle, weshalb Mädchen in eine gynäkologische Praxis kommen. Jedoch stellt das Durchführen altersgerechter Untersuchungen oft eine Herausforderung dar. Tipps für die Praxis.

Social egg freezing – eine gesellschaftliche Debatte

Die weibliche Fruchtbarkeit ist endlich und erstreckt sich etwa über 30 Lebensjahre. Daher gewinnt das Einfrieren von Eizellen zunehmend an Bedeutung – auch ohne medizinische Indikation. Wie sieht die rechtliche Lage bei unseren österreichischen Nachbarn aus? 

Differenzialdiagnosen des akuten Skrotums

Die Ursachen akuter Genitalerkrankungen sind vielfältig und können neben typischen Erkrankungen und Verletzungen des Skrotums bzw. des skrotalen Inhalts auch in deren näheren und weiteren Umgebung entstehen. Dabei gibt es altersabhängige Verteilungsmuster der einzelnen Erkrankungen, die es diagnostisch zu berücksichtigen gilt.

Die S2k-Leitline "Bakterielle Vaginose" im Überblick

Aufgrund ihrer hohen Rate an Therapieversagen stellt die bakterielle Vaginose in der klinischen Praxis häufig eine Herausforderung dar. Dank molekulargenetischer Untersuchungen konnte mittlerweile neues Wissen generiert werden. Das Ergebnis ist die aktuelle S2k-Leitlinie, die im letzten Jahr veröffentlicht wurde.

Operative Konzepte für die Therapie der Endometriose

Die operative Therapie der Endometriose ist anspruchsvoll. Sie reicht von der Resektion oberflächlicher peritonealer Herde bis zur interdisziplinären Operation mit partiellen Organresektionen an Darm, Blase, Urogenitaltrakt und Zwerchfell. Die …

Infertilität bei Endometriose und Adenomyose – welche Bedeutung hat die Implantation?

Die Implantationsrate ist bei Endometriose unstrittig vermindert, sowohl bei spontaner Konzeption als auch im Rahmen einer IVF-Behandlung. Im Beitrag wird den physiologischen Abläufen der Implantation und möglichen Störungen bei Adenomyose und Endometriose nachgegangen.

CME: Die aktuelle Evidenz zur Prolaps-Chirurgie

In den Leitlinien zur Prolapschirurgie steht wenig zu Symptomen, wie Schmerzen oder über- bzw. unteraktiver Blase, obwohl die Ätiologie und Pathophysiologie hierfür mittlerweile erarbeitet wurden. Und neuere Studien zeigen, dass eine ligamentäre Prolapskorrektur Prolaps-bedingte Dysfunktionen in hohen Prozentsätzen langfristig heilen kann.

CME: Infektionen mit Herpes-simplex-Virus Typ 2

Eine Infektion mit Herpes-simplex-Virus Typ 2 ist durch die schmerzhaften genitalen Läsionen und häufigen Rezidive eine stark belastende Erkrankung. Vor allem Schwangere und Immunsupprimierte sind für schwere Verläufe gefährdet. Da keine Impfung existiert, ist es wichtig, früh und sicher eine Diagnose zu stellen.

Neu im Fachgebiet Gynäkologie und Geburtshilfe

Multiple Sklerose und Schwangerschaft: Was darf man und was nicht?

Was gilt es zu beachten, bei Frauen mit Multipler Sklerose und Kinderwunsch? Auf dem diesjährigen DGN-Kongress wurden u. a. neue Erkenntnisse zur Auswirkung der Reproduktionsmedizin bei MS-Patientinnen sowie bei Schwangeren mit schwerem Verlauf präsentiert.

Podcast

Depression: Die Zeit bis zum Therapieplatz sinnvoll nutzen

Die Zahl der diagnostizierten Depressionen steigt – gleichzeitig fehlen flächendeckend Therapieplätze. Für Betroffene ist die Hausarztpraxis eine erste Anlaufstelle. Doch wie kann dort der passende Raum entstehen? Allgemeinmedizinerin Prof. Dr. med. Anne Simmenroth und Psychologin Maike Krauthausen berichten, wie niederschwellig Hilfe angeboten werden kann.

Zeitschrift für Allgemeinmedizin, DEGAM

Deutliche Rezidivangst bei jeder siebten Brustkrebspatientin

Fünf Jahre nach Diagnose eines frühen Brusttumors leidet jede siebte Langzeitüberlebende unter ausgeprägter Rezidivangst. Besonders betroffen sind Frauen mit Nebenwirkungen der endokrinen Therapie oder ohne eine solche Behandlung.

Tiefere Diagnostik, mehr Therapietargets bei metastasiertem Brustkrebs

Eine umfangreichere molekulardiagnostische Aufarbeitung kann bei metastasiertem Brustkrebs mehr therapierelevante Angriffsstellen aufdecken als das Standardvorgehen, was sich in Behandlungsvorteile übersetzt. Dafür sprechen zumindest die ersten Ergebnisse der deutschen CATCH-Studie.     

Update Gynäkologie

Bestellen Sie unseren Fach-Newsletter und bleiben Sie gut informiert – ganz bequem per eMail.

Bildnachweise
Springer Medizin Podcast - Endometriose/© (M) Willer D. et al. / all rights reserved Springer Medizin Verlag GmbH Logo: Springer Medizin Verlag GmbH, Ärztin misst Blutdruck bei Schwangeren/© Andrey Popov / Stock.adobe.com (Symbolbild mit Fotomodell), Schwangere Frau hält Tablette und Glas Wasser/© NDABCREATIVITY / stock.adobe.com (Symbolbild mit Fotomodell), Justiz/© hawi_101 / Fotolia, CT des Uterus einer 47-Jährigen /© Rizos A et al. | all rights reserved Springer Medizin Verlag GmbH, Gardnerella spp. bedeckte Schlüsselzellen/© Swidsinski A et al. / all rights reserved Springer Medizin Verlag GmbH, Impfung/© Remains / Getty Images / iStock (Symbolbild mit Fotomodellen), Junge Frau sitzt auf Toilette/© Dragana Gordic / stock.adobe.com (Symbolbild mit Fotomodell), Spritze wird aufgezogen/© scyther5 / Getty Images / iStock, Ultraschall der "kissing ovaries" bei Endometriose/© Willer D. et al. / all rights reserved Springer Medizin Verlag GmbH, Ärztin führt Ultraschall bei einer Frau durch/© satyrenko / stock.adobe.com (Symbolbild mit Fotomodellen), Doxy-PEP/© Tobias Arhelger / stock.adobe.com, Junge Frau zur Beratung bei Ärztin/© demaerre / Getty Images / iStock (Symbolbild mit Fotomodellen), Schwangere macht Gymnastik/© fotostorm / Getty Images / iStock (Symbolbild mit Fotomodell), Junge Patientin im Gespräch mit einer Ärztin/© FatCamera / Getty Images / iStock (Symbolbild mit Fotomodellen), Urogenitale Fistel bei einer 36-jährigen Patientin/© Lautenschlager S et al. / exklusiv lizenziert an Springer-Verlag GmbH Austria, ein Teil von Springer Nature 2024, CT bei endometrioidem Karzinom/© Kuzinska MZ et al. / all rights reserved Springer Medizin Verlag GmbH, Frau nimmt Diaphragma in der Hand/© AndreyPopov / Getty Images / iStock (Symbolbild mit Fotomodellen), Ein Abstrich vom Gebärmutterhals wird auf ein Objektivträger geschmiert/© Tatiana Buzmakova / Getty Images / iStock (Symbolbild mit Fotomodellen), Frau nutzt Pen am Bauch/© bung / Stock.adobe.com (Symbolbild mit Fotomodell), Reife Eizelle im Mikroskop/© S. Al-Hasani, Podcast mit Partnern - Roche STI/© (M) Aleksej / stock.adobe.com; Logo: Springer Medizin GmbH, Titelbild Kongress Kompakt EADV 2024/© Hintergrundbild: gnoparus / stock.adobe.com, Search Icon, Paar schaut glücklich auf Schwangerschaftstest/© Andrii Zastrozhnov / Stock.adobe.com (Symbolbild mit Fotomodellen), ZFA TALKS - Depression/© (M) seb_ra / Getty Images / iStock (Symbolbild mit Fotomodell) Logo: Springer Medizin Verlag GmbH, Ältere Frau fasst sich an die Brust/© Jelena Stanojkovic / Stock.adobe.com (Symbolbild mit Fotomodell), Person setzt DNS-Probe in Maschine ein/© Vit Kovalcik / stock.adobe.com