Zum Inhalt

Kasuistiken zum Thema

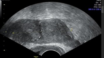
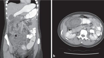
Was diesen Bauch wachsen ließ, war alles andere als erwartet

Der Bauchumfang wächst und der hCG-Wert steigt. Trotzdem verneint die 47-jährige Patientin eine kürzlich zurückliegende Schwangerschaft, als sie sich mit Verdacht auf eine neu aufgetretene Hypertonie vorstellt. Was die Sonographie dann zeigt, ist ein Befund, den man nur selten zu Gesicht bekommt.

Urogenitale Fistel: So wurde die Patientin endlich beschwerdefrei

Eine 36-Jährige hat bereits mehrere abdominale Operationen hinter sich, um die bestehende Endometriose zu behandeln. Die daraus bedingte Urogenitalfistel und damit einhergehende totale Harninkontinenz konnten bislang nicht erfolgreich behandelt werden.

Beckenraumforderung: Seltene Folge nach Kaiserschnitt

Bei der Routineuntersuchung einer 55-jährigen Patientin fällt eine Raumforderung im Becken auf. Die weitere chirurgische Abklärung offenbart einen Tumor von erstaunlicher Größe. Der Schlüssel zur Diagnose ist ein Kaiserschnitt, der mehrere Jahrzehnte zurückliegt.

Entzündeter Intimbereich: Was der Husten damit zu tun hat

Ein 10-jähriges Mädchen stellt sich mit geschwollenen, schmerzenden Schamlippen vor. Hinweise auf sexuelle Handlungen oder Infektionen fehlen – und doch ist es ein alarmierender Befund. Erst der starke Husten bringt den Behandelnden auf die richtige Spur.

Ursachensuche bei Dysmenorrhö und starken Unterbauchschmerzen

Seit dem 16. Lebensjahr leidet eine heute 34-Jährige unter ausgeprägter Dysmenorrhö und Unterleibsschmerzen. Bei V.a. Endometriose nimmt sie verschiedene Kontrazeptiva, mit nur mäßigem Erfolg. Jetzt - bei bestehendem Kinderwunsch und nach Absetzten der Kontrazeptiva - kehren die Beschwerden noch stärker zurück. Die aktuelle Diagnostik offenbart den wahren Grund.

Was steckt hinter dieser lividen Raumforderung der Vulva?

Eine 39-jährige Patientin stellt sich mit einer chronisch rezidivierenden, lividen vulvären Raumforderung der rechten Labie in der Sprechstunde vor. Extern erfolgte bereits eine ambulante Spaltung. Es entleerte sich blutiges, nicht putrides Sekret. Handelt es sich hier um einen Abzess oder eine Neoplasie?

Laparoskopie mit (nur scheinbar) eindeutigem Vorbefund

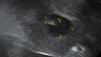
Bei einer 36-Jährigen soll bei sekundärer Sterilität eine Laparoskopie durchgeführt werden. Der Vorbefund ist scheinbar eindeutig: in der Sonographie stellt sich das Bild einer Saktosalpinx im rechten Adnexbereich dar. Doch während des Eingriffs präsentiert sich den Operierenden eine gänzlich andere Ursache. 

HIV-Patient mit papulösen Hautveränderungen – Ihre Diagnose?

Ein 28-Jähriger stellte sich zur dringenden Verdachtsabklärung einer pulmonalen Infektion vor. Kurz zuvor wurde eine HIV-Infektion diagnostiziert. Wie passen die grobblasigen Rasselgeräusche, der auffällige Zahnstatus und Mundsoor sowie die vorwiegend im Gesicht und Genitalbereich zentral gedellten papulösen Hautveränderungen zusammen?

Diagnose gesucht: Persistierende Proktitis und anorektales Ulkus

Der Patient ist 39 Jahre alt, hat Sex mit Männern und ist HIV-positiv. Bei der Vorstellung bestehen proktitische Beschwerden, ein anales Ulkus und der Verdacht auf eine neuerliche Syphilis-Infektion. Nachdem unter der erneuten Therapie mit Benzathin-Benzylpenicillin das Ulkus größenprogredient war, wurde der Abszess drainiert – erfolglos. Was sollte als Nächstes unternommen werden?

Simultane intra- und extrauterine Gravidität

Bei einer 37-Jährigen wurde eine IVF und ein Transfer mit zwei Embryonen durchgeführt. Einen Monat später treten starke Bauchschmerzen auf. Im Ultraschall zeigt sich: sowohl intrauterin als auch in der Tube rechts kann eine Fruchthöhle dargestellt werden. Was kann getan werden, um das Leben der Patientin und die intrauterine Schwangerschaft zu retten?

Solitäres Ulkus unklarer Ätiologie an der Glans penis

Seit zwei Wochen besteht bei einem 59-jährigen Patienten eine ulzerierte Läsion am Sulcus coronarius des Penis. Der letzte Sexualkontakt liege mehrere Jahre zurück. Bei Verdacht auf ein Peniskarzinom wird eine Penisteilamputation geplant. Nachdem jedoch die Ergebnisse des Routinelabors vorliegen, wird dieser wieder abgesagt. Welche Ursache vermuten Sie?

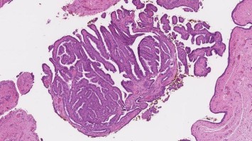
Akutes Abdomen mit überraschender Ursache

In der Notaufnahme stellt sich eine 26-Jährige mit kolikartigen, rechtsseitigen Unter- und Mittelbauchschmerzen mit Erbrechen vor. Intraoperativ deutet zunächst alles auf eine onkologische Ursache hin. Die Überraschung folgt in der histologischen Aufarbeitung. Hätten Sie die richtige Diagnose gestellt?

Zufallsbefund bei Endometriose-Op.

Auch junge, vermeintlich gesunde Frauen können während der Laparoskopie Auffälligkeiten zeigen. Daher ist ein intraabdominaler Rundumblick unerlässlich. Das zeigt der Fall einer 32-Jährigen, bei der den Behandelnden während einer Endometriose-Op. die Leberoberfläche mit bläulich-rötlich und weißlichen Stippchen ins Auge fällt. Was hat es damit auf sich?

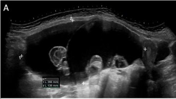
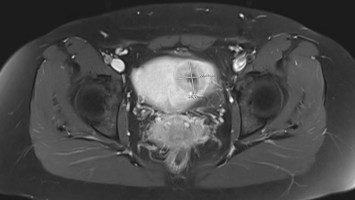
Uterine Raumforderung: Ist hier eine Hysterektomie wirklich erforderlich?

Bei einer 34-jährigen Patientin wird eine ca. drei Zentimeter große Raumforderung im Bereich des linken Tubenwinkels festgestellt. Die erste histologische Begutachtung deutet auf ein Adenokarzinom hin. Mit der Hoffnung, eine Hysterektomie zu vermeiden und den Uterus zu erhalten, sucht die Patientin nach einer Zweitmeinung. Wie wären Sie vorgegangen?

Zyste, Tumor, Endometriose – Wie lautet die Diagnose?

Bei einer 35-jährigen Patientin wird eine etwa vier Zentimeter große, symptomatische und sonographisch solide Ovarialzyste festgestellt. Aufgrund der Befunde wird eine Laparoskopie durchgeführt. Sie offenbart gleich mehrere Diagnosen. Wie wären Sie vorgegangen?

Schmerz in der unteren Extremität nach einer Laparoskopie

Eine 49-jährige Patientin stellt sich einen Tag nach einer Laparoskopie bei Ihnen vor. Sie klagt über Schmerzen in der rechten Wade, mit einhergehender Rötung und Schwellung. Was hat die Patientin?

Unklare Unterbauchschmerzen in der 28. Schwangerschaftswoche

Eine 36-Jährige wurde wegen unklaren Unterbauchschmerzen verlegt. Extern erfolgte die stationäre Aufnahme wegen starker Unterbauchschmerzen mit Erbrechen und Obstipation. Schon zuvor musste sie sich aufgrund ihrer Endometriose mehreren Operationen unterziehen. War die Vorerkrankung verantwortlich für die Komplikationen in der Schwangerschaft ?

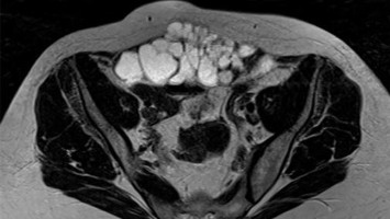
Alles weist auf eine Echinokokkose – doch das war es nicht

Die 29-jährige Patientin aus China stellt sich mit Appetitverlust und Druckgefühl im Abdomen vor. Obwohl sie weniger isst als zuvor, hat sie in den letzten Wochen 3 Kilo zugenommen. Der Ultraschall lässt schnell einen Verdacht für die Ursache ihrer Beschwerden aufkeimen: eine riesige polyzystische Raumforderung – typisch für eine Echinokokkose. Oder doch nicht? Eine englischsprachige Kasuistik.

Unerwarteter Fund im Bruchsack einer Umbilikalhernie

Eine 39-jährige Patientin stellte sich mit einer seit ca. 4 Monaten bestehenden, nicht reponiblen Vorwölbung im Bereich des Bauchnabels vor. Vor 10 Jahren wurde eine laparoskopische Exstirpation einer benignen Ovarialzyste durchgeführt. Kennen Sie schon die Diagnose?

Ungewöhnlicher Genitalbefund: Woher kamen Dysurie und Harnverhalt?

Fieber bis 39,4 °C, Übelkeit und Erbrechen: Bei einer Neunjährigen wird in der Notfallpraxis eine Harnwegsinfektion festgestellt und behandelt. Doch dann folgen Dysurie und Harnverhalt. In der Klinik bringt schließlich die Untersuchung des Genitales eine sehr ungewöhnliche Diagnose ans Licht.

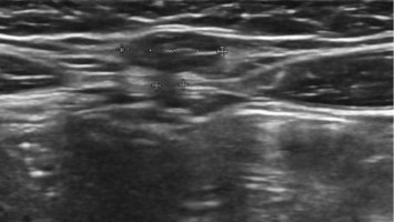
Schmerzhafte Schwellung der Leiste nach ungeschütztem Geschlechtsverkehr

  • HIV
  • Kasuistik

Ein 29-Jähriger stellt sich mit einer seit 2 Monaten bestehenden, langsam größenprogredienten Schwellung im Bereich der rechten Leiste vor. Urethraler oder analer Ausfluss bestehen nicht. In der Sexualanamnese wird regelmäßiger ungeschützter Geschlechtsverkehr mit gleichgeschlechtlichen Sexualpartnern angegeben. Ihre Diagnose?

HPV-positives Oropharynxkarzinom – eine Gefahr für den Partner?

Bei einer 58-jährigen Patientin wird ein HPV-positives Plattenepithelkarzinom des Oropharynx erfolgreich therapiert. Knapp drei Jahre später stellt sich ihr inzwischen 70 Jahre alter Ehemann mit einem Druckgefühl des Halses rechts vor...

Was ist die Ursache für die Schmerzen im Unterbauch?

Ein 10-jähriges Mädchen in gutem Allgemeinzustand und altersentsprechender Entwicklung wurde aufgrund seit 4 Wochen bestehender und an Intensität zunehmender Unterbauchschmerzen zum Ausschluss eines entzündlichen Geschehens auf unsere Kinderstation aufgenommen. Mittels Bildgebung kamen die Ärzte der Ursache auf die Spur.

Akuter Harnverhalt in der Frühschwangerschaft

Eine 41-jährige III-Gravida I‑Para – Zustand nach Sectio – stellt sich mit Unterbauchschmerzen und tropfenweiser Harninkontinenz in der 11. Schwangerschaftswoche vor. Es besteht keine vaginale Blutung, gastroenterologische Ursachen sind ausgeschlossen. Was war der Grund für die Beschwerden?

Enanthem und schmerzende Ulzeration der Zunge bei einer jungen Frau

Seit 3 Monaten leidet die 27-jährige Patientin unter schmerzhaften Hautveränderungen der seitlichen Zunge. Weiterhin habe sie an den Handflächen und Fußsohlen fleckige, symptomlose Hautveränderungen bemerkt. Zudem sei sie häufig müde. Was steckt dahinter?

Vor der Menstruation schmerzt der Knoten im Bauchnabel

Bei einer 44-jährigen Patientin wächst seit ca. 1 Jahr ein braun-rötlicher, derber Knoten im Bauchnabel. Dieser ist zeitweilig druckschmerzhaft und schmerzt seit 3 Monaten v. a. vor der Menstruation. Bei der Patientin ist eine abdominelle Endometriose bekannt. Ihre Diagnose?

Neu im Fachgebiet Gynäkologie und Geburtshilfe

Mammografie-Screening: Das sind Hindernisse und Motivatoren

Brustkrebs ist die häufigste Krebserkrankung bei Frauen. Mit dem Mammografie-Screening können Tumoren potenziell früh erkannt werden – allerdings nehmen es viele Patientinnen nicht in Anspruch. Wie kann man sie besser motivieren?

Gestörte Glukosetoleranz nach Gestationsdiabetes: Diese Empfehlungen helfen

Um bei Frauen mit Schwangerschaftsdiabetes im späteren Leben das Entstehen eines manifesten Typ-2-Diabetes zu verhindern, können allgemeine und medikamentöse Maßnahmen helfen. An deren Umsetzung hapert es jedoch.

Studienteam plädiert für Antibiotika auch nach Dammriss zweiten Grades

Schützen Antibiotika vor Wundkomplikationen nach einem Dammriss oder einer Episiotomie? Eine dänische Studie hat diese Frage untersucht – mit überraschenden Ergebnissen bei klinisch relevanten Komplikationen.

Unnötige Strahlenbelastung bei Schwangeren mit Verdacht auf Lungenembolie?

In der Praxis hapert es an der Umsetzung von Empfehlungen, die bei Lungenembolieverdacht in der Schwangerschaft zunächst strahlungsfreie Diagnostikpfade vorsehen. Dafür sprechen zumindest Daten einer Kohortenstudie aus Kalifornien.

Update Gynäkologie

Bestellen Sie unseren Fach-Newsletter und bleiben Sie gut informiert – ganz bequem per eMail.

Bildnachweise
Springer Medizin Podcast - Endometriose/© (M) Willer D. et al. / all rights reserved Springer Medizin Verlag GmbH Logo: Springer Medizin Verlag GmbH, Ärztin misst Blutdruck bei Schwangeren/© Andrey Popov / Stock.adobe.com (Symbolbild mit Fotomodell), Schwangere Frau hält Tablette und Glas Wasser/© NDABCREATIVITY / stock.adobe.com (Symbolbild mit Fotomodell), Justiz/© hawi_101 / Fotolia, CT des Uterus einer 47-Jährigen /© Rizos A et al. | all rights reserved Springer Medizin Verlag GmbH, Gardnerella spp. bedeckte Schlüsselzellen/© Swidsinski A et al. / all rights reserved Springer Medizin Verlag GmbH, Impfung/© Remains / Getty Images / iStock (Symbolbild mit Fotomodellen), Junge Frau sitzt auf Toilette/© Dragana Gordic / stock.adobe.com (Symbolbild mit Fotomodell), Spritze wird aufgezogen/© scyther5 / Getty Images / iStock, Ultraschall der "kissing ovaries" bei Endometriose/© Willer D. et al. / all rights reserved Springer Medizin Verlag GmbH, Ärztin führt Ultraschall bei einer Frau durch/© satyrenko / stock.adobe.com (Symbolbild mit Fotomodellen), Doxy-PEP/© Tobias Arhelger / stock.adobe.com, Ärztin macht im Gespräch Notizen/© nortonrsx / Getty Images / iStock (Symbolbild mit Fotomodell), Schwangere macht Gymnastik/© fotostorm / Getty Images / iStock (Symbolbild mit Fotomodell), Junge Patientin im Gespräch mit einer Ärztin/© FatCamera / Getty Images / iStock (Symbolbild mit Fotomodellen), Urogenitale Fistel bei einer 36-jährigen Patientin/© Lautenschlager S et al. / exklusiv lizenziert an Springer-Verlag GmbH Austria, ein Teil von Springer Nature 2024, CT bei endometrioidem Karzinom/© Kuzinska MZ et al. / all rights reserved Springer Medizin Verlag GmbH, Jugendliche wird von Ärztin untersucht/© FatCamera / Getty Images / iStock (Symbolbild mit Fotomodell), Ein Abstrich vom Gebärmutterhals wird auf ein Objektivträger geschmiert/© Tatiana Buzmakova / Getty Images / iStock (Symbolbild mit Fotomodellen), Frau nutzt Pen am Bauch/© bung / Stock.adobe.com (Symbolbild mit Fotomodell), Reife Eizelle im Mikroskop/© S. Al-Hasani, Podcast mit Partnern - Roche STI/© (M) Aleksej / stock.adobe.com; Logo: Springer Medizin GmbH, Titelbild Kongress Kompakt EADV 2024/© Hintergrundbild: gnoparus / stock.adobe.com, Search Icon, Radiologin richtet Mammographiescreening ein/© LIGHTFIELD STUDIOS / stock.adobe.com (Symbolbild mit Fotomodellen), Schwangere misst Blutzucker/© MMPhotography / Getty Images / iStock (Symbolbild mit Fotomodell), Frau bei der Geburt/© gorodenkoff / Getty Images / iStock (Symbolbild mit Fotomodellen), CT-Pulmonalisangiographie/© Das M et al. doi.org/10.1007/s00117-016-0100-3 unter CC-BY 4.0