Zum Inhalt
Augenheilkunde Erkrankungen der Linse

Erkrankungen der Linse

CME: Rauchen und Augenerkrankungen – die wichtigsten Punkte für die Beratung

Nikotin beeinträchtigt die Augengesundheit und fördert Erkrankungen wie Katarakt und Glaukom. Diese CME-Fortbildung hilft Ihnen, die vielfältigen Assoziationen von Nikotinabusus und Augenerkrankungen zu identifizieren und Ihre Patienten entsprechend zu beraten.

weiterlesen

Weiterführende Themen

CME: Rauchen und Augenerkrankungen – die wichtigsten Punkte für die Beratung

Nikotin beeinträchtigt die Augengesundheit und fördert Erkrankungen wie Katarakt und Glaukom. Diese CME-Fortbildung hilft Ihnen, die vielfältigen Assoziationen von Nikotinabusus und Augenerkrankungen zu identifizieren und Ihre Patienten entsprechend zu beraten.

weiterlesen

Kasuistiken

Auffällige Veränderung im Spiegelbezirk – wie lautet Ihre Diagnose?

Eine 67-jährige Patientin stellt sich in unserer Sprechstunde zur jährlichen Kontrolle bei einer Pigmentation im Karunkelbereich des rechten Auges vor. Zufällig wird im Spiegelbezirk der Linsenrückfläche eine ungewöhnliche Veränderung festgestellt. Worum handelt es sich?

Doppelbilder links bei 35-Jähriger – was war die Ursache?

Eine 35-jährige Patientin mit monokularen Doppelbildern links stellt sich in der Augensprechstunde vor. Der bestkorrigerte Fernvisus beträgt beidseits 0,4. Bei der Untersuchung zeigt sich eine Katarakt mit ausgeprägter Subluxatio lentis. Wie lautet Ihre Diagnose?

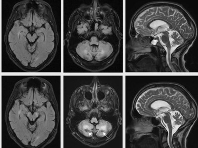
Junger Patient mit zentralnervöser Symptomatik, beidseitigem Katarakt und Durchfall

Ein 30-jähriger Patient entwickelt innerhalb von drei Jahren einen kognitiven Abbau, eine ausgeprägte Sprachstörung und eine schwere Gangstörung. Besonders auffällig sind der beidseitige Katarakt und die wiederholten Durchfälle, die auf eine genetische Erkrankung hinweisen. Kennen Sie die Diagnose?

Weitere Artikel aus unseren Fachzeitschriften

Schwannomatose bei Kindern und Jugendlichen: hohe Relevanz frühzeitiger Diagnostik

Die häufigste Form der Schwannomatose (SWN) ist die NF2 -bedingte SWN, die mit einer Inzidenz von 1:61.332 auftritt (Tab. 1 ). Früher wurde diese SWN-Form als Neurofibromatose Typ 2 (NF2) bezeichnet, und die genetische Ursache ist eine …

Bedeutung des Sehvermögens im Alter

Das Sehvermögen ist eine bedeutsame Determinante von Lebensqualität und Autonomie älterer Menschen. Es nimmt während des Alterns durch natürliche Prozesse ab. In der Gesamtbevölkerung wird dies durch altersabhängige Augenerkrankungen wie Katarakt …

Inzidenz und Risikofaktoren der späten Hinterkammerlinsendislokation

Die späte Hinterkammerlinsen(HKL)-Dislokation wurde erstmals 1977 beschrieben und stellt heute nach der Ablatio retinae eine der häufigsten Spätkomplikationen nach erfolgreicher Kataraktoperation dar [ 3 , 5 ]. Eine späte HKL-Dislokation ist …

Kataraktchirurgie in Subsahara-Afrika – Möglichkeiten und Grenzen

Die Bedeutung von Sehbeeinträchtigung und Blindheit für Individuen und Gesellschaften hat in den letzten Jahren ein hohes Maß an Aufmerksamkeit erfahren. Wesentliche Aspekte dieser Thematik sind im World report on vision der …

Katarakt im Kindesalter

Weltweit sind etwa 200.000 Kinder aufgrund einer Katarakt blind. Die Katarakt, auch grauer Star genannt, stellt damit eine wichtige Ursache vermeidbarer Blindheit in dieser Altersgruppe dar. Eine frühzeitige Diagnose ist von zentraler Bedeutung …

James Joyce. Chronisch rezidivierende Iritis infolge einer postvenerischen reaktiven Arthritis

  • Open Access
  • Iritis
  • Originalie

Der irische Autor James Joyce (1882–1941) erkrankte an chronisch rezidivierender Iritis mit vielfältigen Komplikationen, die zu einer fast völligen Blindheit führten. Als Auslöser diskutiert wurden v. a. Syphilis und eine rheumatische Erkrankung …

Ein neuer validierter ophthalmologischer Patientenfragebogen zur Katarakt- und Linsen-Operation

Klinische Daten (Clinical Reported Outcome Measurement, CROM) dienen zur Ermittlung der Ergebnis-Qualität für die Katarakt‑/Linsen-Operation. Ein weiterer Ergebnis-Parameter sind subjektive Daten in Patienten-Fragebögen (Patient-Reported Outcome …

Auswirkungen des Klimawandels auf die Kataraktentwicklung

Die Inzidenz der Katarakt steigt nicht nur aufgrund der Bevölkerungsalterung – auch durch den Menschen verursachte Umweltveränderungen tragen zu einem Anstieg bei. In der vorliegenden Übersicht geht es um den Zusammenhang zwischen Klimawandel, dem Abbau der Ozonschicht und modifizierbaren Risikofaktoren für die Entwicklung von Katarakten.

Aphakiekorrektur bei unzureichender Kapselsackstabilität

Eine Vielzahl an Situationen kann zur Notwendigkeit führen, eine Intraokularlinse(IOL) andernorts als im Kapselsack zu fixieren. Je nach Ausgangssituation stehen sulcusfixierte IOL, irisfixierte IOL (IFIOL) und sklerafixierte (SFIOL) zur …

Buchkapitel zum Thema

Beschwerden und Erkrankungen im Bereich der Augen

Am Auge erkrankte Personen suchen heute zunehmend den Augenarzt direkt auf, denn die Beschwerden können vom Laien selbst dem Organ »Auge« anatomisch und funktionell zugeordnet werden. Andererseits wird mancher auch von der Angst getrieben, seine …

Nicht gefunden, wonach Sie suchten?

Probieren Sie es mit der Suchfunktion:

Neu im Fachgebiet Augenheilkunde

Risikomodifikation durch Ernährung und Nahrungsergänzungsmittel bei diabetischen Augenerkrankungen

Eine Diabetes-gerechte Ernährung ist ein wesentlicher Bestandteil des Diabetesmanagements. Systematische Übersichtsarbeiten zum Einfluss der Ernährung auf die diabetische Retinopathie (DR) legen nahe, dass die Ernährung auch hier eine wichtige …

Schwindel im Alter

Schwindel stellt bei älteren Patienten ein häufiges und oft multifaktorielles Symptom dar, das die Lebensqualität erheblich beeinträchtigen kann. Die Ursachen sind divers und unterscheiden sich von denen bei jüngeren Patienten. Im Alter häufiger …

Ernährung und Nahrungsergänzungsmittel bei altersabhängiger Makuladegeneration

Diverse Nährstoffe und Spurenelemente haben nachweislich antioxidative Wirkung und reduzieren den oxidativen Stress sowie die Menge an reaktiven Sauerstoffspezies (ROS), die zu Zellschäden führen können. Daher untersuchten verschiedene Studien den …

Glaukom im Säuglings- und Kindesalter – erste Anzeichen rechtzeitig erkennen

Ein Glaukom im Säuglings- und Kindesalter tritt eher selten auf. Umso wichtiger ist es jedoch, erste Anzeichen richtig einzuordnen, da eine schnelle Diagnosestellung und Therapie zur Verhinderung einer Erblindung unbedingt erforderlich sind.

Update Augenheilkunde

Bestellen Sie unseren Fach-Newsletter und bleiben Sie gut informiert.

Bildnachweise
Raucher Zigarette Rauch /© buenaventura13 / stock.adobe.com (Symbolbild mit Fotomodell), Strahlender Sonnenschein/© alinamd / stock.adobe.com, Kind mit dichter unilateraler Katarakt/© Kuhli-Hattenbach C et al. / all rights reserved Springer Medizin Verlag GmbH, Kongenitale Katarakt/© Kuhli-Hattenbach C et al. / all rights reserved Springer Medizin Verlag GmbH, Hinterkapseldelle im Spiegelbezirk/© Zhuravlyov A / all rights reserved Springer Medizin Verlag GmbH, Augenoperation/© Svitlana / stock.adobe.com (Symbolbild mit Fotomodellen), Diabetische Retinopathie/© Hammes H-P / Springer-Verlag 2011, Ophthalmoskopie/© LuckyBusiness / Getty Images / iStock (Symbolbild mit Fotomodell), Tropf im OP/© kadmy / Getty Images / iStock, Minimalinvasive AC-Gelenk-Operation/© Springer Medizin, Auge schaut durch Lupe/© by-studio / Fotolia, Kind bei der augenärztlichen Untersuchung/© NDABCREATIVITY / stock.adobe.com (Symbolbild mit Fotomodellen), Rotes Auge/© ia_64 / Getty Images / iStock (Symbolbild mit Fotomodell), Subluxatio lentis bei Marfan-Syndrom/© Britz L et al. / all rights reserved Springer Medizin Verlag GmbH, Leukenzephalopathische Veränderungen bei Zerebrotendinöse Xanthomatose/© Lier J et al. | all rights reserved Springer Medizin Verlag GmbH, Search Icon