Zum Inhalt
HNO Erkrankungen der Speicheldrüsen

Erkrankungen der Speicheldrüsen

CME: Erkrankungen der großen Kopfspeicheldrüsen

Erkrankungen der Speicheldrüsen können durch eine Vielzahl von Ursachen bedingt sein und reichen von entzündlichen sowie obstruktiven Prozessen, systemischen Pathologien bis hin zu Tumorerkrankungen. Diese CME-Arbeit bietet eine Übersicht über Diagnostik- und Therapiepfade im Kontext der aktuellen Studien.

weiterlesen

Kasuistiken

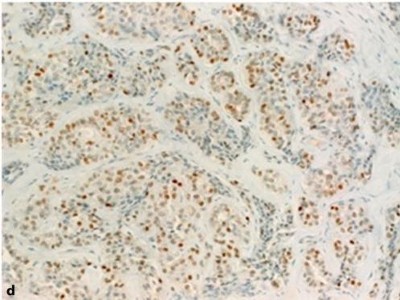
Einseitige Hörminderung mit Otalgie – was ist die Ursache?

Eine 64-jährige Patientin leidet seit 6 Monaten unter rezidivierenden Episoden von Otalgie sowie einem einseitigen Hörverlust rechts. Bei der Otoskopie rechts fällt eine Vorwölbung und Hypervaskularisation auf. Der MRT-Befund verstärkt den Verdacht auf ein ausgedehntes jugolotympanales Parangliom. Die Histopathologie weist jedoch auf eine andere seltene Tumorerkrankung hin. Erkennen Sie, um welche es sich handelt?

Warum schwillt die Wange beim Essen an?

Eine 42-jährige Patientin berichtet über seit zwei Wochen beim Essen auftretende Schwellungen an der linken Wange. Bei sauren Speisen seien diese besonders ausgeprägt. Seit zwei Tagen habe sie zunehmend auch Schmerzen, einen eitrigen Geschmack im Mund und die Schwellung bilde sich nicht mehr zurück.

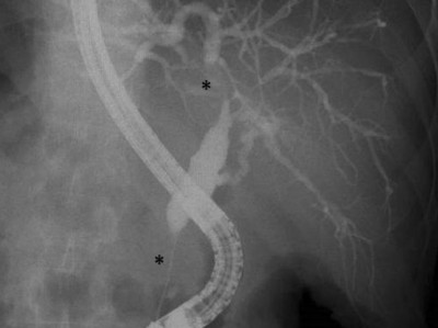
Schmerzloser Ikterus und Sicca-Symptomatik: Ihre Diagnose?

Ein 53-jähriger Patient stellte sich mit schmerzlosem Ikterus, Nachtschweiß und ungewolltem Gewichtsverlust von etwa 8 kg vor. Darüber hinaus beklagte der Patient eine ausgeprägte Sicca-Symptomatik. Letztlich kamen die Ärzte zwei zusammenhängenden Erkrankungen im Sinne eines Überlappungssyndroms auf die Spur.

Weitere Artikel aus unseren Fachzeitschriften

Kindliche Speicheldrüsenerkrankungen erkennen und behandeln

Mit Ausnahme viral induzierter Krankheiten sind pädiatrische Speicheldrüsenerkrankungen selten. Im Umgang mit Betroffenen kann daher eine gewisse Verunsicherung herrschen. Eine sorgfältige Anamnese sowie Untersuchung führen aber in den meisten Fällen zur richtigen Diagnose.

Nicht gefunden, wonach Sie suchten?

Probieren Sie es mit der Suchfunktion:

Neu im Fachgebiet HNO

Erste positive Daten zu Kopf-Hals-Tumoren in der Neoadjuvanz

Auch bei Kopf-Hals-Tumoren eröffnen Checkpoint-Inhibitoren neue Behandlungsmöglichkeiten. Nachdem die adjuvante Gabe wenig erfolgreiche Studienergebnisse hervorbrachte, wird nun der Fokus auf die neoadjuvante und perioperative Gabe gelegt – mit ersten Erfolgen.

Hartnäckige Hyponatriämie als erstes Krebsanzeichen

Trotz eines Olfaktoriusneuroblastoms ist eine 36-Jährige komplett frei von sinunasalen Beschwerden. Glücklicherweise führt eine anhaltende Hyponatriämie auf die Spur des Tumors.

Bundesverfassungsgericht: Triage-Regelung nicht mit Grundgesetz vereinbar

Das Bundesverfassungsgericht hat Regelungen zur Triage für nichtig erklärt. Es gab damit Verfassungsbeschwerden von Intensiv- und Notfallmedizinern statt. Der Eingriff in die Berufsfreiheit der Ärztinnen und Ärzte sei verfassungsrechtlich nicht gerechtfertigt, betont das Gericht.

Langzeitbeobachtung von oralen Präkanzerosen lohnt sich

Personen mit potenziell malignen Erkrankungen der Mundhöhle wie Leukoplakien entwickeln primär in den ersten fünf Jahren nach der Diagnose einen bösartigen Tumor. Danach ist das Transformationsrisiko zwar geringer, liegt aber noch immer bei mehr als 1%.

Update HNO

Bestellen Sie unseren Fach-Newsletter und bleiben Sie gut informiert – ganz bequem per eMail.

Bildnachweise
Sialendoskopie/© UKL-HNO, Otoskopie bei einem jungen Kind/© SolStock / Getty Images / iStock (Symbolbild mit Fotomodellen), Speicheldrüsensonographie der Glandula parotis links bei Sjögren-Syndrom/© Zehrfeld N. et al. / all rights reserved Springer Medizin Verlag GmbH, Peritonsillarabszess links/© Matti Sievert et al. / all rights reserved Springer Medizin Verlag GmbH, Lymphknoten mit follikulärem Lymphom/© Meng S / all rights reserved Springer Medizin Verlag GmbH, Drehen einer Marihuanazigarette/© guruXOX / stock.adobe.com, IMRT-Bestrahlungsplan eines Ösophaguskarzinoms/© Rühle, A., Huber, P.E. / all rights reserved Springer Medizin Verlag GmbH, Masern, Mumps, Röteln im Impfpass/© Astrid Gast / stock.adobe.com, Aufziehen von Flüssigkeit mit Spritze/© Eisenhans / Fotolia, Skalpell/© imago, Histopathologisches Präparat/© K. Mantsopoulos et al. / all rights reserved Springer Medizin Verlag GmbH, Ultraschallbild der linken Glandula submandibularis/© V. Volgger, Doppelstenose des Ductus hepatocholedochus/© Springer Medizin, Search Icon, Infusion/© georgeoprea9 / Getty Images / iStock, Frau wird Blut abgenommen/© andresr / Getty Images / iStock (Symbolbild mit Fotomodellen), Junge Ärztin vor einem Triage-Zelt/© Milos / Stock.adobe.com (Symbolbild mit Fotomodell)