Zum Inhalt

Benötigen wir die endoskopische Mittelohrchirurgie?

Das Endoskop bietet bei der Visualisierung mikroskopisch schlechter oder gar nicht einsehbarer Bereiche des Mittelohres unschätzbare Vorteile. Hierzulande wird die Methode jedoch immer noch mit Skepsis betrachtet. Es lohnt sich daher, die Vor- und Nachteile aus der Sicht von primär mikroskopisch ausgebildeten Mittelohrchirurgen auch audiologisch näher anzusehen.

weiterlesen

Weiterführende Themen

Was wir über das Mikrobiom von Ohr bis Nasenrachen wissen

Aufgrund der zunehmenden Zahl wissenschaftlicher Publikationen auf dem Gebiet der Mikrobiomforschung gibt es immer bessere Daten, die Normalbefunde und pathologische Veränderungen evidenzbasiert nachweisen. Wie kann dieses Wissen genutzt werden? Ein Scoping-Review.

weiterlesen

Benötigen wir die endoskopische Mittelohrchirurgie?

Das Endoskop bietet bei der Visualisierung mikroskopisch schlechter oder gar nicht einsehbarer Bereiche des Mittelohres unschätzbare Vorteile. Hierzulande wird die Methode jedoch immer noch mit Skepsis betrachtet. Es lohnt sich daher, die Vor- und Nachteile aus der Sicht von primär mikroskopisch ausgebildeten Mittelohrchirurgen auch audiologisch näher anzusehen.

weiterlesen

Kasuistiken

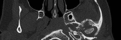
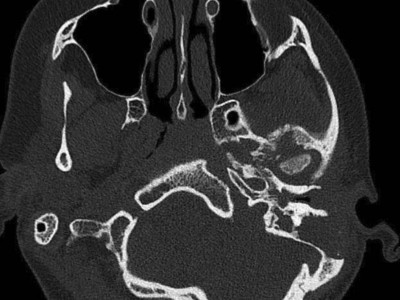
Was löst hier eine schwere Kiefergelenkzerstörung aus?

Weil die Schmerzen im linken Unterkiefer immer schlimmer werden, kommt die 26-jährige Patientin in die LMU-Klinik. Bereits seit fünf Jahren leidet sie unter wiederkehrenden Schmerzen im Unterkiefer. Anamnestisch hat alles angefangen mit einer Otitis media acuta. 

Ohrenschmerzen und anhaltende Otorrhö – Wie gehen Sie weiter vor?

Ein 28-jähriger Mann stellt sich mit erstmalig aufgetretener Otorrhö rechts vor, die bereits seit zweieinhalb Wochen anhält. Zudem bestehen Juckreiz im Gehörgang, ein rauschendes Ohrgeräusch und Otalgie.

Nach dem Flug spielt das Cochlea-Implantat verrückt

Bei einer Patientin mit beidseitigen Cochlea-Implantaten kommt es nach jeweils zwei Flugreisen zu schwerwiegenden Dysfunktionen des Implantats. Als Ursache für das im CT festgestellte Pneumolabyrinth wird jeweils eine Perilymphfistel vermutet und entfernt. Dies ist jedoch nicht die eigentliche Ursache.

Weitere Artikel aus unseren Fachzeitschriften

Objektive Verfahren der Hörprüfung als Beitrag zur wissenschaftlich fundierten Begutachtung

Objektive Hörprüfungsverfahren haben im Gutachten einen hohen Stellenwert, da ihre Ergebnisse von der zu untersuchenden Person nicht manipulierbar sind, sie erhöhen die Richtigkeit, Genauigkeit und diagnostische Tiefe sowie die forensische …

Benötigen wir die endoskopische Mittelohrchirurgie?

Das Endoskop bietet bei der Visualisierung mikroskopisch schlechter oder gar nicht einsehbarer Bereiche des Mittelohres unschätzbare Vorteile. Hierzulande wird die Methode jedoch immer noch mit Skepsis betrachtet. Es lohnt sich daher, die Vor- und Nachteile aus der Sicht von primär mikroskopisch ausgebildeten Mittelohrchirurgen auch audiologisch näher anzusehen.

Tinnitus – das sind die neuesten Erkenntnisse

In der Tinnitusforschung und -behandlung hat sich im vergangenen Jahr viel getan. Aufbauend auf neuen Studien konnten zentrale Mechanismen besser verstanden werden, beispielsweise wie Tinnitus entsteht. Mehr dazu und zu weiteren aktuellen Entwicklungen erfahren Sie im folgenden Beitrag.

Bedarf an Remote Care in der Cochleaimplantat-Nachsorge

Zunehmend existieren digitale Gesundheitsanwendungen, die Patienten und Patientinnen im Alltag unterstützen und Wege zu spezialisierten Einrichtungen ersparen können. Auch in der Cochleaimplantat(CI)-Versorgung gibt es Apps für z. B. Hörtraining …

Lost in Translation – eine Untersuchung der Höranstrengung und Performanz von Patient*innen mit Cochleaimplantat im erst- und fremdsprachlichen Setting

Angesichts globaler Migrationsbewegungen und sprachlicher Diversität begegnen Fachkräfte im klinischen Alltag immer häufiger Patient*innen, deren dominante Alltagssprache nicht der Umgebungssprache entspricht. Audiometrische Routinediagnostik …

Antibiotische Therapie in der ambulanten Pädiatrie

Antibiotika sollten im klinischen Alltag möglichst gezielt und zurückhaltend eingesetzt werden. Die praktische Umsetzung einer rationalen Antibiotikatherapie ist jedoch nicht einfach, und insbesondere in der kinder- und jugendärztlichen …

Cochleaimplantatmikrofoncheck mittels Datalogging

Seit mehr als 10 Jahren bieten Cochleaimplantat(CI)-Systeme die Möglichkeit, das Nutzerverhalten des Patienten aufzuzeichnen. Mit Hilfe der Datalogging-Funktion können z. B. Daten wie die Dauer der CI-, der Programm- und der Zubehörnutzung sowie …

Was wir über das Mikrobiom von Ohr bis Nasenrachen wissen

Aufgrund der zunehmenden Zahl wissenschaftlicher Publikationen auf dem Gebiet der Mikrobiomforschung gibt es immer bessere Daten, die Normalbefunde und pathologische Veränderungen evidenzbasiert nachweisen. Wie kann dieses Wissen genutzt werden? Ein Scoping-Review.

Sonderformate

Leitlinienbasierte Therapie bei akuter Otitis media

Gemäß der Leitlinienempfehlung der Deutschen Gesellschaft für Allgemeinmedizin und Familienmedizin (DEGAM) heißt es bei unkomplizierten Fällen einer akuten Otitis media zunächst abzuwarten und Symptome zu behandeln, bevor eventuell ein Antibiotikum zum Einsatz kommt. Ein homöopathisches Komplexmittel kann die Genesung von Anfang an unterstützen.

Mit freundlicher Unterstützung von:
  • Homöopathisches Laboratorium Alexander Pflüger GmbH & Co. KG

Videos und Webinare

Webinar

Atemwegsinfektionen in der Praxis

  • Webinar | 13.11.2024 | 17:30

Im Spätherbst und Winter sind Atemwegsinfektionen wieder das tägliche Brot in der Praxis. Wie unterscheidet man zuverlässig zwischen viralem und bakteriellem Infekt? Wie ist das aktuelle Vorgehen bei oberen, wie bei unteren Atemwegsinfektionen? Was kennzeichnet die beginnende COPD-Exazerbation? Und welche Maßnahmen sind bei Verdacht auf Otitis, Sinusitis, Tonsillitis und Laryngitis zu ergreifen? Antworten geben drei Experten aus der Allgemeinmedizin, HNO und Pneumologie im Webinar.

Prof. Dr. Dr. Adrian Gillissen
Prof. Dr. med. Jörg Schelling
Prof. Dr. med. Bernhard Olzowy
MMW – Fortschritte der Medizin

Buchkapitel zum Thema

Hals-Nasen- und Ohrenerkrankungen

Im Vordergrund der symptomatischen Behandlung mit RhinologikaRhinologika steht die Beseitigung der behinderten Nasenatmung. Sie ist das am meisten störende Symptom aller Rhinitisformen, wobei in manchen Fällen noch Niesreiz und eine Hypersekretion …

Tinnitus

Tinnitus ist eine relativ häufige akustische Perzeptionsstörung, die bei einem Teil der Betroffenen mit erheblicher psychischer Beeinträchtigung verbunden ist, die bis zur Arbeitsunfähigkeit führen kann. Diese wird weniger durch die …

Beschwerden und Erkrankungen im Bereich von Nase, Ohren, Mund und Hals

Einzelne Erkrankungen im Bereich von Nase, Ohren, Mund und Hals, die häufig mit Fieber einhergehen, wurden bereits in Kap. 2 vorgestellt.

Ohr

Der zweite Sinn nach Aristoteles ist das Hören, die auditive Wahrnehmung. Als peripherer Teil der Hörbahn erfolgt hier die Aufnahme, Verstärkung und Weiterleitung der akustischen Informationen. Der evolutionsbiologisch recht alte Sinn führt bei …

Nicht gefunden, wonach Sie suchten?

Probieren Sie es mit der Suchfunktion:

Neu im Fachgebiet HNO

Schlechter Geruchssinn als mögliches Anzeichen für erhöhtes KHK-Risiko

Ein nachlassender Geruchssinn könnte ein Hinweis auf ein erhöhtes Risiko für die koronare Herzkrankheit (KHK) sein. In einer Analyse von über 5.000 älteren Erwachsenen war die Assoziation in den ersten Jahren nach Testung am stärksten und nahm mit der Zeit ab.

Prophylaktische Antibiotika bei Nasentamponade ohne erkennbaren Nutzen

Bei immunsupprimierten Patientinnen und Patienten mit Nasentamponade nach anteriorer Epistaxis konnte durch eine prophylaktische Antibiotikagabe keine Reduktion klinisch relevanter Infektionen erzielt werden. Die Rate unerwünschter Arzneimittelwirkungen lag hingegen deutlich über der Infektionsrate.

Paukenröhrchen: HNO-ärztliche Verlaufskontrollen überflüssig

Für Kinder, die mit Paukenröhrchen versorgt wurden, wird eine fachärztliche Verlaufskontrolle empfohlen. Eine Studie aus Norwegen stellt die Notwendigkeit dieses Vorgehens infrage.

Erste positive Daten zu Kopf-Hals-Tumoren in der Neoadjuvanz

Auch bei Kopf-Hals-Tumoren eröffnen Checkpoint-Inhibitoren neue Behandlungsmöglichkeiten. Nachdem die adjuvante Gabe wenig erfolgreiche Studienergebnisse hervorbrachte, wird nun der Fokus auf die neoadjuvante und perioperative Gabe gelegt – mit ersten Erfolgen.

Update HNO

Bestellen Sie unseren Fach-Newsletter und bleiben Sie gut informiert – ganz bequem per eMail.

Bildnachweise
Aufbau bei einer endoskopische Mittelohrchirurgie/© Mir-Salim P., Berlin, In-Ear-Kophörer/© diy13 / Stock.adobe.com (Symbolbild mit Fotomodell), CT des Felsenbeins bei Osteomyelitis der Schädelbasis/© Dewenter I.. et al. doi.org/10.1007/s00106-025-01649-6 unter CC-BY 4.0, Mikrobiom auf der Haut am Finger/© STEVE GSCHMEISSNER/SCIENCE PHOTO LIBRARY /Getty images / iStock, Otitis externa/© Dr. P. Marazzi / Science Photo Library (Symbolbild), Mann hält sich eine Hand ans Ohr/© herlanzer / stock.adobe.com (Symbolbild mit Fotomodell), Älterer Mann legt ein Hörgerät an/© VioletaStoimenova / Getty Images / iStock (Symbolbild mit Fotomodell), Kleinkind mit Cochleaimplantat/© satura86 / Getty Images / iStock (Symbolbild mit Fotomodell), Älterer Mann fasst sich ans Ohr/© Nes / Getty Images / iStock (Symbolbild mit Fotomodell), Ein Arzt bereitet das Hörscreening bei einer Frau vor/© kaisersosa67 / Getty Images / iStock (Symbolbild mit Fotomodell), Otoskopie bei einem jungen Kind/© SolStock / Getty Images / iStock (Symbolbild mit Fotomodellen), Hörgerät im Ohr einer älteren Person /© edwardolive / stock.adobe.com (Symbolbild mit Fotmodell), Frau mit schmerzverzerrtem Gesicht in Wohnzimmer/© fizkes / stock.adobe.com (Symbolbild mit Fotomodell), Mann erleidet Schwindel/© Tunatura / Getty Images / iStock (Symbolbild mit Fotomodell), Frau mit Kopfschmerzen/© MaximFesenko / Getty Images / iStock (Symbolbild mit Fotomodell), Eine ältere Frau riecht an einem Basilikumblatt/© Halfpoint / Stock.adobe.com (Symbolbild mit Fotomodell), Otoskopie in der Praxis/© RomanR / stock.adobe.com (Symbolbild mit Fotomodell), Person hält Medikamente/© fizkes / Stock.adobe.com (Symbolbild mit Fotomodell), Titel/© J. Hornung, Erlangen, Cholesterolgranulom im MRT/© Frederik F/ all rights reserved Springer Medizin Verlag GmbH, Tampanometrie bei einem Kind/© peakSTOCK / Getty Images / iStock (Symbolbild mit Fotomodell), Kleine Saktosalpinx rechts /© Universitätsklinikum Carl Gustav Carus, Dresden, Tympanometrie bei einer Frau/© Viacheslav Yakobchuk (Symbolbild mit Fotomodell), Hörgerät Modell/© Kaulitz S et al. / all rights reserved Springer Medizin Verlag GmbH, Eine Lehrende Person unterhält sich mit einem Kind mit Cochlea-Implantat/© vgajic / Getty Images / iStock (Symbolbild mit Fotomodell), Mann mit Zeichen einer Schwerhörigkeit/© Rido / stock.adobe.com, Computertomographie Felsenbein links /© Marti S et al. doi.org/10.1007/s00106-025-01602-7 unter CC-BY 4.0, Neugeborenen-Hörscreening/© isayildiz / Getty Images / iStock (Symbolbild mit Fotomodell), Eine Frau steckt sich die Finger in die Ohren zum Schutz vor Lärm/© apomares / Getty Images / iStock (Symbolbild mit Fotomodell), Atemwegsinfektionen/© (M) RFBSIP / stock.adobe.com / stock.adobe.com (Symbolbild mit Fotomodellen), Search Icon, HNO-Untersuchung beim Jungen/© adamkaz / Getty Images / iStock (Symbolbild mit Fotomodellen), Infusion/© georgeoprea9 / Getty Images / iStock