Zum Inhalt

Erythema nodosum

Erschienen in:
download
DOWNLOAD
print
DRUCKEN
insite
SUCHEN

Zusammenfassung

Das Erythema nodosum (EN) ist die am häufigsten auftretende Form einer akuten Pannikulitis. Es wird charakterisiert durch schmerzhafte, rote bis livide, erhabene Knötchen oder Beulen, die typischerweise symmetrisch im Bereich der Schienbeine auftreten. Häufig handelt es sich beim EN um eine Reaktion des Immunsystems auf Infektionen, entzündliche Erkrankungen oder Medikamente. In etwa der Hälfte der Fälle ist kein Auslöser zu eruieren. Nach Behandlung der zugrunde liegenden Ursache ist das EN in der Regel selbstlimitierend.

Wissenschaftliche Leitung

P. Aries, Hamburg
O. Distler, Zürich
M. Fleck, Bad Abbach
J. Grifka, Bad Abbach
J. Leipe, Mannheim
J. Wollenhaupt, Hamburg (Leitung)
QR-Code scannen & Beitrag online lesen

Hinweis des Verlags

Der Verlag bleibt in Hinblick auf geografische Zuordnungen und Gebietsbezeichnungen in veröffentlichten Karten und Institutsadressen neutral.

Lernziele

Nach der Lektüre dieses Beitrags ...
  • wissen Sie, dass das Erythema nodosum die häufigste Form einer septalen Pannikulitis ist,
  • kennen Sie die häufigsten Auslöser des Erythema nodosum,
  • sind Sie in der Lage, die verschiedenen diagnostischen Maßnahmen richtig einzusetzen,
  • ist Ihnen bekannt, im Rahmen welcher Syndrome das Erythema nodosum auftreten kann.

Einleitung

Das Erythema nodosum (EN) ist die häufigste Form einer akuten Fettgewebsentzündung (Pannikulitis) und ist durch schmerzhafte, subkutane, erythematöse Knoten im Bereich der Unterschenkel gekennzeichnet. Die Erkrankung tritt beim weiblichen Geschlecht 3‑ bis 6‑mal häufiger auf als beim männlichen, am häufigsten betroffen sind junge Frauen [1]. Das EN tritt bei systemischen Erkrankungen auf, kann aber häufig nur als idiopathisch klassifiziert werden. Aufgrund der Vielzahl an möglichen Auslösern ist es entscheidend, anhand einer genauen Anamnese jene Patienten zu identifizieren, bei denen aufgrund des Verdachts auf ein EN im Kontext einer relevanten Systemerkrankung eine umfassende weitere Diagnostik erforderlich ist.

Kurzkasuistik

Bei Ihnen stellt sich eine 27-jährige Frau vor, diese klagt neben allgemeinem Krankheitsgefühl und Fieber über stark schmerzhafte Beulen an den Unterschenkeln. Die Beulen seien so stark druckempfindlich, dass sie nicht einmal die Berührung durch die Bettdecke tolerieren könne. Seit einigen Tagen habe sie zudem auch Schwellungen und Schmerzen an beiden Sprunggelenken bemerkt. Sie nehme bis auf ein orales Kontrazeptivum keine Medikamente ein, Vorerkrankungen oder Allergien seien nicht bekannt. In der klinischen Untersuchung der febrilen Patientin (T: 38,7 °C) fallen Ihnen im Bereich der Schienbeine erythematöse, bis zu 5 cm große, stark druckdolente Knoten und Beulen auf, eine lokale Lymphadenopathie besteht nicht. Das obere Sprunggelenk (OSG) ist beidseits leicht geschwollen, gerötet, der Bewegungsumfang schmerzbedingt eingeschränkt. Sie führen eine Blutuntersuchung durch und fertigen ein Röntgenbild der Lunge sowie einen Ultraschall des OSG an. Laborchemisch zeigten sich eine Leukozytose, eine Erhöhung der BSG (Blutkörperchensenkungsgeschwindigkeit) sowie des CRP (C-reaktives Protein). Radiologisch zeigt sich eine bihiläre Lymphadenopathie, die Sonographie des OSG zeigt keine spezifischen Veränderungen, insbesondere keinen Gelenkerguss. Eine ergänzende magnetresonanztomographische Untersuchung zeigt entzündliche Veränderungen im subkutanen Fettgewebe und lediglich minimale Flüssigkeitsansammlungen im Gelenk, jedoch ohne floride Synovialitis.
Welche Verdachtsdiagnose haben Sie? Wie würden Sie weiter vorgehen?

Epidemiologie

Obwohl das EN grundsätzlich mit etwa 1–5/100.000 Fällen eine seltene Erkrankung ist, ist es die am häufigsten auftretende Pannikulitis [2]. Bei Erwachsenen liegt die Prävalenz von Frauen im Vergleich zu Männern bei 3–6:1 [1, 3], dabei sind insbesondere junge Frauen zwischen dem 20. und 30. Lebensjahr betroffen [2].
Merke
Das Erythema nodosum tritt gehäuft bei jungen Frauen auf.

Pathogenese

Beim EN handelt es sich um ein unspezifisches Reaktionsmuster der Haut auf eine heterogene Gruppe an Antigenen. Obwohl eine Typ-IV-Hypersensitivitätsreaktion vermutet wird, ist der genaue Pathomechanismus bis heute nicht bekannt [2]. Es wird angenommen, dass sich Immunkomplexe in den Gefäßen der Septen des subkutanen Fettgewebes ablagern und dadurch zu einer neutrophilen Pannikulitis führen [4].

Ätiologie

In etwa der Hälfte der Fälle kann kein Auslöser identifiziert werden [5, 6]. In den übrigen Fällen sind die Auslöser meist Infektionen, vorrangig der oberen Atemwege durch Streptokokken, entzündliche Grunderkrankungen wie die Sarkoidose, Morbus Behçet, Spondyloarthritiden oder chronisch entzündliche Darmerkrankungen, neutrophile Dermatosen, Medikamente oder Schwangerschaft [7].

Infektionen

Der mit Abstand häufigste Auslöser weltweit (ca. 30 %) des EN ist eine Infektion mit β‑hämolysierenden Streptokokken der Lancefield-Gruppe A. Dabei treten die EN-typischen Hautveränderungen ca. 2 bis 3 Wochen nach einer durchgemachten Streptokokkenpharyngitis auf. Sollten Patienten anamnestisch Symptome einer oberen Atemwegsinfektion schildern, empfiehlt sich daher zusätzlich zur Basisdiagnostik die Durchführung eines Rachenabstriches [2]. Auch bakterielle oder virale Infektionen der unteren Atemwege oder gastrointestinale Infektionen können zum Auftreten eines EN führen (Tab. 1; [7]).
Tab. 1
Ursachen des Erythema nodosum [8]
Idiopathisch (ca. 50%)
Infektionen
Infekte der oberen Atemwege
– Streptokokken (ca. 30 %)
– Respiratorische Viren (z. B. SARS-CoV-2)
Gastrointestinale Infektionen
Yersinien > Salmonellen > Campylobacter
Pneumonien
Mykoplasmen > Chlamydien > Tuberkulose
Entzündliche Erkrankungen
Sarkoidose (ca. 25 %)
Chronisch entzündliche Darmerkrankungen
Morbus Crohn > Colitis ulcerosa
Neutrophile Dermatosen
– Morbus Behçet (ca. 50 %)
– Sweet Syndrome
Medikamente
Orale Kontrazeptiva, Östrogene (ca. 10 %)
Antibiotika (Penicilline, Sulfonamide)
TNF-Inhibitoren (Infliximab, Adalimumab)
Checkpointinhibitoren (Nivolumab)
BRAF-Inhibitoren (Vemurafenib)
Sonstiges
Schwangerschaft (5 %)
Malignome
TNF Tumornekrosefaktor, BRAF V-Raf Murine Sarcoma Viral Oncogene Homolog B

Entzündliche Erkrankungen

Sarkoidose

Bei der Sarkoidose handelt es sich um die häufigste granulomatöse Erkrankung in Nordeuropa. Diese Autoimmun- und Multisystemerkrankung ist der zweithäufigste bekannte Auslöser eines EN weltweit [9]. Etwa ein Viertel aller Sarkoidosepatienten weisen eine Hautbeteiligung auf [1]. Insbesondere ist hier das Löfgren-Syndrom zu nennen, eine Form der akuten Sarkoidose. Klassischerweise wird dies durch die Trias aus Erythema nodosum, Arthritis der Sprunggelenke und bihiläre Lymphadenopathie, häufig in Kombination mit Fieber, definiert. Allerdings gilt es zu beachten, dass bei manchen Patienten weder arthrosonographisch noch magnetresonanztomographisch Zeichen einer Arthritis bzw. ein Gelenkerguss festzustellen sind [10]. Tatsächlich handelt es sich jedoch häufig um eine diffuse, perimalleoläre und nicht zwingend nodöse periartikuläre Pannikulitis, ein sog. kontusiformes („prellungsähnliches“) EN [11]. Diese Veränderungen gehen meist dem typischen Erscheinungsbild des EN im Rahmen eines Löfgren-Syndroms voraus (Abb. 3a). Des Weiteren ist nicht in allen Fällen eine typische bihiläre Lymphadenopathie in der Röntgenübersichtsaufnahme (Abb. 3b) detektierbar, sondern möglicherweise sind entsprechende Befunde hilär und mediastinal erst im Computertomogramm zu sehen.
Abb. 1
Klinisches Bild eines Erythema nodosum bei einer 37-jährigen Patientin. Multiple großflächige rote bis livide flache Knoten an den Unterschenkeln beidseits
Bild vergrößern
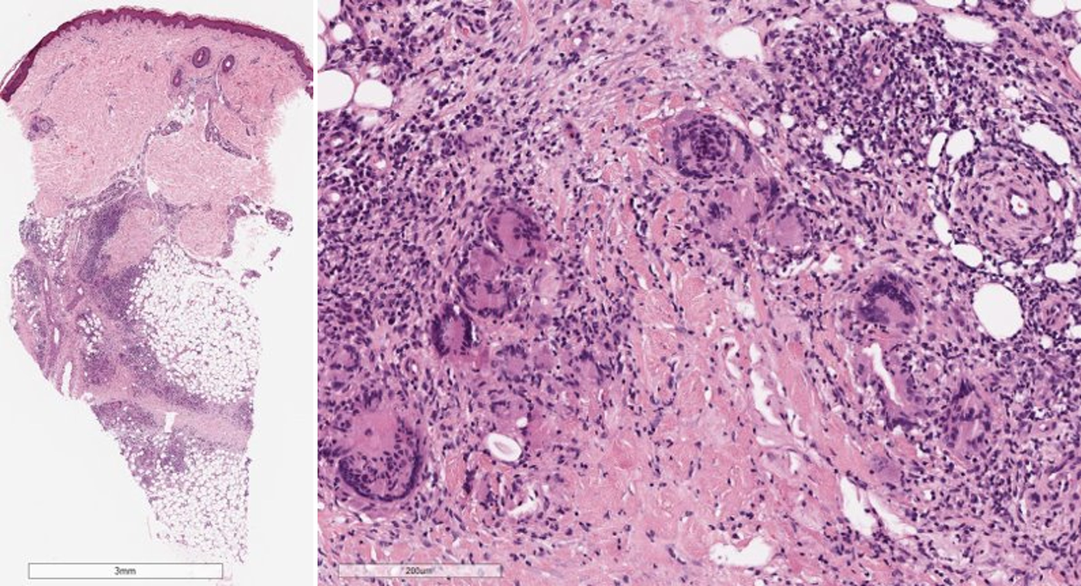
Abb. 2
Histologisches Bild eines Erythema nodosum mit septaler Pannikulitis (Hämatoxylin-Eosin-Färbung): Das entzündliche Infiltrat ist vorwiegend auf die verdickten und fibrotischen Septen der Subkutis beschränkt. Das entzündliche Infiltrat ist überwiegend lymphozytär mit einer Beimischung von eosinophilen Granulozyten, Plasmazellen und vielen vielkernigen Riesenzellen. Die Gefäße sind unauffällig
Bild vergrößern
Abb. 3
Löfgren-Syndrom bei einer 63-jährigen Patientin. a Rötliche bis livide Makulae im Bereich des rechten Sprunggelenks (Erythema contusiformis). b Röntgenaufnahme des Thorax mit bihilärer Lymphadenopathie
Bild vergrößern
Das Löfgren-Syndrom ist eine spontan remittierende Erkrankung ohne Tendenz zur Rekurrenz. Wichtig hierbei zu beachten ist jedoch, dass die Kombination aus EN und vergrößerten hilären Lymphknoten auch im Rahmen eines Lymphoms oder einer Tuberkulose auftreten kann [4].
Merke
Das erste Symptom eines Löfgren-Syndroms ist häufig ein perimalleoläres, kontusiformes EN.

Chronisch entzündliche Darmerkrankungen (CED)

Hautmanifestationen im Rahmen entzündlicher Darmerkrankungen wie Morbus Crohn (MC) und Colitis ulcerosa (CU) sind keine Seltenheit und können mitunter der Erstmanifestation der gastrointestinalen Symptomatik vorausgehen. Diese sind vielfältig und umfassen unter anderem das das EN, Pyoderma gangraenosum, aphthöse Ulzerationen an der Mundschleimhaut, furunkuloide Granulome bis hin zur Alopecia areata [12]. Umso wichtiger ist deren korrekte Einordnung. Das EN stellt hierbei die häufigste Hautmanifestation dar und tritt bei MC in 4–15 % der Fälle und bei CU in 3–10 % auf [1]. Interessanterweise scheint das Auftreten eines EN mit der Erkrankungsaktivität zu korrelieren [13].
Merke
Das Auftreten des EN im Rahmen einer CED korreliert mit der Krankheitsaktivität.

Neutrophile Dermatosen

Morbus Behçet

Der Morbus Behçet ist eine chronisch rezidivierende Systemvaskulitis mit bis dato unklarer Ätiologie. Gekennzeichnet ist die Erkrankung durch rezidivierende bipolare Aphten (enoral und genital), Arthritiden, Augenbeteiligung (80 %) sowie eine Hautbeteiligung, die sich in etwa 40 % der Fälle in Form eines EN äußert [3]. In anderen Fällen kann sich der Morbus Behçet kutan auch im Sinne von Papulopusteln manifestieren (ca. 50 %) [14].
Merke
In etwa 40 % der Fälle liegt bei einem Morbus Behçet ein Erythema nodosum vor.

Sweet-Syndrome

Das Sweet-Syndrom ist eine akute febrile neutrophile Dermatose, deren Auftreten mit chronisch entzündlichen Darmerkrankungen, Schwangerschaft, Paraneoplasien (AML [akute myeloische Leukämie]) oder Medikamenteneinnahme (G-CSF [„granulocyte-colony stimulating factor“]) assoziiert ist [15]. Im Zusammenhang mit dem Sweet-Syndrom kann es auch zur Ausbildung einer septalen Pannikulitis, eines EN, kommen. Das gleichzeitige Auftreten beider Erkrankungen kann sowohl im Rahmen zugrunde liegender Neoplasien [16], Grunderkrankungen wie Sarkoidose [17] und MC [18] oder Streptokokkeninfektionen [17, 19] vorkommen als auch als Teil des VEXAS(„vacuoles, E1 enzyme, X‑linked, autoinflammatory, somatic“)-Syndroms. Letzteres ist eine autoinflammatorische Erkrankung von hoher Morbidität und Mortalität, die durch somatische Mutationen im UBA1-Gen verursacht wird und typischerweise mit Fieber, neutrophilen Dermatosen, Vaskulitis und hämatologischen Anomalien wie Myelodysplasie einhergeht [20].
Im Gegensatz dazu stellt das subkutane Sweet-Syndrom, eine lobuläre Pannikulitis mit neutrophilem Infiltrat [21], eine Differenzialdiagnose des EN dar.

Medikamente

Etwa 3–10 % der Fälle des EN sind auf eine Überempfindlichkeitsreaktion auf verschiedene Medikamente zurückzuführen. Hierbei sind besonders Antibiotika wie Sulfonamide und Amoxicillin, aber auch orale Kontrazeptiva zu nennen [2]. Hierbei sind besonders häufig orale östrogenhaltige Kontrazeptiva die Auslöser, gefolgt von Antibiotika, meist Sulfonamide und Amoxicillin. Ein EN kann jedoch auch durch TNF(Tumornekrosefaktor)-α-Inhibitoren, neuere Immuntherapien oder zielgerichtete Therapien von Tumoren bedingt werden ([2]; s. Tab. 1).

Sonstige Auslöser

Schwangerschaft

Aufgrund der hohen Inzidenz von 5 % eines EN in der Schwangerschaft oder bei Einnahme von östrogenhaltigen Medikamenten stehen auch weibliche Sexualhormone im Verdacht, einen weiteren Auslöser des EN darzustellen [2]. Unterstützt wird diese These durch die sinkende Inzidenz ab 1980, als niedriger dosierte, östrogenhaltige Kontrazeptiva auf den Markt kamen [22].

Malignome

In seltenen Fällen ist ein paraneoplastisch auftretendes EN Erstmanifestation eines zugrunde liegenden Malignoms. Vorrangig sind hier Hodgkin- und Non-Hodgkin-Lymphome zu nennen, aber auch im Rahmen von Leukämien und soliden Tumoren kann es zum Auftreten eines EN kommen [1].
Merke
Das EN kann als kutane Erstmanifestation eines Lymphoms auftreten.

Klinik

Das Erythema nodosum tritt typischerweise akut auf und ist bei einem Drittel der Patienten vergesellschaftet mit einer vorangehenden Allgemeinzustandsverschlechterung, Fieber und Gelenkschmerzen, die typischerweise im Bereich der Sprunggelenke auftreten [6, 23]. Im Bereich der Haut finden sich erythematöse oder livide runde, unscharf begrenzte, stark schmerzhafte, nicht ulzerierende Knoten oder Plaques von bis zu 5 cm Durchmesser [24]. Das EN weist zumeist eine symmetrische Verteilung bilateral an den Streckseiten der Unterschenkel auf (Abb. 1), seltener sind die typischen Hautveränderungen auch an den Oberschenkeln, dem Gesäß oder den Streckseiten der Arme zu finden [25]. In einem Zeitraum von 2 bis 8 Wochen zeigt sich nach einer Abflachung der Läsionen (weniger nodöser Aspekt) eine charakteristische Farbveränderung: von anfänglich rot oder livide zu bräunlich und schließlich grünlich-gelblich, bevor das Erythema nodosum schließlich narbenfrei abheilt. Aufgrund der farblichen Veränderungen der Läsionen ähnlich einem Hämatom werden diese auch als Erythema contusiformis („prellungsähnliche Rötung“) bezeichnet. Nicht selten kommt es zu Rezidiven [8].
Merke
Aufgrund der charakteristischen Farbveränderung der Läsionen im Verlauf wird das Erythema nodosum auch als Erythema contusiformis bezeichnet.

Histopathologie

Die Histologie wird charakterisiert durch eine septale Pannikulitis ohne begleitende Vaskulitis. Die Zusammensetzung des entzündlichen Infiltrates ändert sich im Verlauf: Im Initialstadium zeigt sich im Korium ein schütteres perivaskuläres lymphozytäres Infiltrat, im Bereich des Fettgewebes zeigen sich septal und paraseptal Infiltrate neutrophiler Granulozyten mit einer Verbreiterung der subkutanen Septen durch das Ödem. Das Vollbild ist gekennzeichnet durch perivaskuläre und im Fettgewebe überwiegend septale histiozytenreiche Infiltrate mit Beimengung von Riesenzellen und neutrophilen Granulozyten. In der Subkutis finden sich durch fibrotischen Umbau verdickte Septen. Charakteristisch sind die sog. Miescher-Radiärknötchen, hierbei handelt es sich um paraseptale Granulome mit mehrkernigen histiozytären Riesenzellen (Abb. 2; [26]).
Merke
Das Erythema nodosum ist eine septale Entzündung des subkutanen Fettgewebes ohne begleitende Vaskulitis. Spezifisch ist der Nachweis von Miescher-Radiärknötchen.

Differenzialdiagnosen

Differenzialdiagnostisch kommen verschiedene weitere Pannikulitiden in Betracht, die ähnliche Veränderungen hervorrufen können. Hervorzuheben ist hier insbesondere das Erythema induratum Bazin, das klinisch sich ebenfalls vorwiegend an den Unterschenkeln manifestiert (allerdings dorsal im Vergleich zum EN). Auch eine pankreatische Pannikulitis kann sich an den Unterschenkeln manifestieren und sollte bei Verdacht oder Persistenz der Läsionen mittels laborchemischer Untersuchungen (s. Abschnitt „Diagnostik“) ausgeschlossen werden. Des Weiteren sollten infektiöse Quellen bei der Anamnese genau erfragt werden, da bakterielle, mykobakterielle oder Pilzinfektionen ebenfalls zu subkutanen Entzündungen führen können [27, 28]. Bei Verdacht sollte bei der Durchführung einer Biopsie ein Teil des Gewebes mikrobiologisch untersucht werden. Eine Liste genannter und weiterer möglicher Differenzialdiagnosen zeigt Tab. 2.
Tab. 2
Differenzialdiagnosen des Erythema nodosum. (Adaptiert nach [27, 28])
Infektionen
Infektiöse Pannikulitis durch (Myko‑)Bakterien oder Pilze
Klinisch: ulzerierende Knoten ohne spezifische Lokalisation, Narbenbildung, systemische Infektzeichen
Histologisch: septale und lobuläre neutrophilenreiche Infiltrate mit Abszessbildung, Nachweis von Erregern in den Spezialfärbungen
Erythema induratum Bazin (Tuberkulose)
Klinisch: ulzerierende Knoten im Bereich der Waden, Narbenbildung
Histologisch: subkutane, vorwiegend lobuläre Infiltrate mit Vaskulitis mittelkalibriger Arterien
Entzündliche Erkrankungen
Lupus-Pannikulitis
Klinisch: ulzerierende Knoten im Bereich der Oberarme und des Gesichts, Narbenbildung
Histologisch: lobuläre Pannikulitis, kleine perlschnurartig um Adipozyten angeordnete Lymphozyten, keine Vaskulitis
Kutane Polyarteriitis nodosa
Klinisch: ulzerierende Knoten im Bereich der unteren Extremität, Livedo racemosa, Nekrosen
Histologie: leukozytoklastische Vaskulitis arterieller Gefäße am Übergang zur Subkutis, keine genuine Pannikulitis
Systemerkrankungen
Pankreatische Pannikulitis
Klinisch: ulzerierende Knoten, häufig gelenknah, Narbenbildung, gürtelförmige Oberbauchschmerzen
Histologisch: lobuläre Pannikulitis, Geisterzellen und verseifte Fettläppchen
Alpha-1-Antitrypsin-Mangel-Pannikulitis
Klinisch: zu Beginn erysipelartig, im Verlauf ulzerierende Knoten, vorwiegend an Stamm, Schultern und Hüften
Histologisch: lobuläre Pannikulitis ohne Vaskulitis, Cluster normaler Adipozyten direkt neben Nekrosearealen
Sonstiges
Kältepannikulitis
Klinisch: schmerzlose Knoten, häufig Kinder, kälteexponierte Areale – Kinn, Wangen, spontane Abheilung
Histologie: lobuläre Pannikulitis ohne Vaskulitis

Diagnostik

In der Regel handelt es sich beim EN um eine Blickdiagnose. Aufgrund der Heterogenität der möglichen Auslöser des EN ist es jedoch wichtig, anhand einer genauen Anamnese sowie körperlichen Untersuchung die Patienten zu identifizieren, bei denen aufgrund des Verdachts auf das Vorliegen einer relevanten Systemerkrankung eine weiterführende Diagnostik angezeigt ist. Im Rahmen der Anamnese empfiehlt es sich, die Symptomatik der wichtigsten Auslöser systematisch abzufragen und nur bei Auffälligkeiten weiterführende laborchemische Diagnostik durchzuführen. Eine einheitliche Empfehlung zur Bestimmung der laborchemischen Parameter existiert nicht. Basierend auf den zugrunde liegenden Ursachen und der entsprechenden Literatur, empfiehlt sich jedoch initial die Untersuchung des Differenzialblutbildes, des C‑reaktiven Proteins, des Antistreptolysintiters (bei entsprechender Symptomatik) und des Beta-HCG (humanes Choriongonadotropin) (bei Frauen im gebärfähigen Alter) [27]. In der körperlichen Untersuchung sollten neben dem Hautbefund noch eine enorale Inspektion sowie die Untersuchung der Lymphknotenstationen und der Gelenke erfolgen. Eine Hautbiopsie ist nur bei atypischen Läsionen oder Persistenz trotz Therapie nötig, in diesen Fällen empfiehlt sich die Durchführung einer tiefen Spindelbiopsie. Sollten sämtliche Untersuchungsergebnisse unauffällig ausfallen, handelt es sich aller Wahrscheinlichkeit nach um ein idiopathisches EN. Von weiterführender Diagnostik ist in diesen Fällen abzusehen [2, 4, 6, 23].
Merke
Eine Hautbiopsie ist in der Regel nicht notwendig.

Therapie

In der Mehrzahl der Fälle ist das EN selbstlimitierend und eine rein symptomatische Therapie ausreichend. Falls diese zu eruieren ist, sollte die ursächliche Grunderkrankung behandelt oder das auslösende Medikament abgesetzt werden. Erstlinientherapie sind Hochlagerung der Beine und Kompression sowie eine analgetische und antiphlogistische Therapie mit nichtsteroidalen Antirheumatika (NSAR), z. B. Ibuprofen 400–800 mg bis zu 4-mal täglich. (Maximaldosis 3200 mg/Tag). Häufig werden zusätzlich topische Glukokortikoide der Klasse IV in Kombination mit Dimethylsulfoxid (DMSO) 1:1 eingesetzt, um die Eindringtiefe in das Gewebe zu erhöhen. Ebenfalls eine hohe Wirksamkeit weist die perorale Gabe von Kaliumjodid 3‑mal täglich 300 mg für die Dauer von 1 bis 2 Wochen auf [29]. Bei Patienten, die auf NSAR und Kaliumjodid nicht ansprechen oder primär eine Konstellation mit starken Schmerzen und/oder substanziell erhöhten Entzündungsparametern aufweisen, können systemische Glukokortikoide zum Einsatz kommen, worunter sich in der Regel ein schnelles Krankheitsansprechen zeigt (Dosen variieren zwischen 0,25 und 1 mg/kgKG [Körpergewicht] [27, 30, 31], langsames Ausschleichen in 10- bis 20 mg- und ab 20 mg in 5 mg-Schritten). Zum Einsatz von immunmodulatorischen und immunsuppressiven Therapien wie Colchicin, Hydroxychloroquin oder Dapson existieren nur Einzelfallberichte. Diese sind angezeigt im Falle therapierefraktärer oder chronisch rezidivierender Verläufe [32].

Fazit für die Praxis

  • Bei dem Erythema nodosum (EN) handelt es sich um die häufigste Form einer septalen Pannikulitis, betroffen sind überwiegend junge Frauen.
  • Mögliche Auslöser sind Infektionen, Medikamente, Sarkoidose und andere Systemerkrankungen sowie Schwangerschaft.
  • In den meisten Fällen lässt sich kein expliziter Auslöser eruieren.
  • Das EN ist eine Blickdiagnose, aufgrund der charakteristischen Farbveränderung der Läsionen im Verlauf kann es mit einem Hämatom verwechselt werden.
  • Diagnostisch wichtig sind eine gründliche Anamnese und körperliche Untersuchung; eine Biopsie ist nur in Ausnahmefällen erforderlich.
  • Ein wichtiges differenzialdiagnostisches Kriterium zur Abgrenzung des EN von anderen Pannikulitiden ist dessen fehlende Ulzeration.
  • Die Erstlinientherapie des EN besteht aus nichtsteroidalen Antirheumatika (NSAR), Kompression/Hochlagerung der betroffenen Extremität und topischen Glukokortikoiden in Kombination mit Dimethylsulfoxid (DMSO).
  • Bei Vorliegen von entzündlichen Systemerkrankungen sind häufig systemische Glukokortikoide notwendig.

Einhaltung ethischer Richtlinien

Interessenkonflikt

Gemäß den Richtlinien des Springer Medizin Verlags werden Autoren und Wissenschaftliche Leitung im Rahmen der Manuskripterstellung und Manuskriptfreigabe aufgefordert, eine vollständige Erklärung zu ihren finanziellen und nichtfinanziellen Interessen abzugeben.

Autoren

V. Weber: A. Finanzielle Interessen: V. Weber gibt an, dass kein finanzieller Interessenkonflikt besteht. – B. Nichtfinanzielle Interessen: Assistenzärztin für Dermatologie und Venerologie, Universitätsspital Zürich, Schweiz | Mitgliedschaften: SGDV (Schweizerische Gesellschaft für Dermatologie und Venerologie), ZDG (Zürcher Dermatologen Gesellschaft). K. Weimann: A. Finanzielle Interessen: K. Weimann gibt an, dass kein finanzieller Interessenkonflikt besteht. – B. Nichtfinanzielle Interessen: Unterassistent, Universitätsspital Zürich; Student, Universitätsklinikum Hamburg-Eppendorf. I. Kolm: A. Finanzielle Interessen: Patente, Geschäftsanteile, Aktien o. Ä. an einer im Medizinbereich aktiven Firma: Vahid Djamei (Ehemann): CEO swiss4ward. – B. Nichtfinanzielle Interessen: Angestellte Dermatologin, Universitätsspital Zürich: Oberärztin meV (2018–2023) seit 10/2023: Leitende Ärztin, Pathologie, Kantonsspital Luzern. B. Meier-Schiesser: A. Finanzielle Interessen: B. Meier-Schiesser gibt an, dass kein finanzieller Interessenkonflikt besteht. – B. Nichtfinanzielle Interessen: Angestellte Dermatologin am Universitätsspital Zürich (Oberärztin).

Wissenschaftliche Leitung

Die vollständige Erklärung zum Interessenkonflikt der Wissenschaftlichen Leitung finden Sie am Kurs der zertifizierten Fortbildung auf www.​springermedizin.​de/​cme.

Der Verlag

erklärt, dass für die Publikation dieser CME-Fortbildung keine Sponsorengelder an den Verlag fließen.
Für diesen Beitrag wurden von den Autor/-innen keine Studien an Menschen oder Tieren durchgeführt. Für die aufgeführten Studien gelten die jeweils dort angegebenen ethischen Richtlinien. Für Bildmaterial oder anderweitige Angaben innerhalb des Manuskripts, über die Patient/-innen zu identifizieren sind, liegt von ihnen und/oder ihren gesetzlichen Vertretern/Vertreterinnen eine schriftliche Einwilligung vor.
Open Access Dieser Artikel wird unter der Creative Commons Namensnennung 4.0 International Lizenz veröffentlicht, welche die Nutzung, Vervielfältigung, Bearbeitung, Verbreitung und Wiedergabe in jeglichem Medium und Format erlaubt, sofern Sie den/die ursprünglichen Autor(en) und die Quelle ordnungsgemäß nennen, einen Link zur Creative Commons Lizenz beifügen und angeben, ob Änderungen vorgenommen wurden.
Die in diesem Artikel enthaltenen Bilder und sonstiges Drittmaterial unterliegen ebenfalls der genannten Creative Commons Lizenz, sofern sich aus der Abbildungslegende nichts anderes ergibt. Sofern das betreffende Material nicht unter der genannten Creative Commons Lizenz steht und die betreffende Handlung nicht nach gesetzlichen Vorschriften erlaubt ist, ist für die oben aufgeführten Weiterverwendungen des Materials die Einwilligung des jeweiligen Rechteinhabers einzuholen.
Weitere Details zur Lizenz entnehmen Sie bitte der Lizenzinformation auf http://​creativecommons.​org/​licenses/​by/​4.​0/​deed.​de.

Hinweis des Verlags

Der Verlag bleibt in Hinblick auf geografische Zuordnungen und Gebietsbezeichnungen in veröffentlichten Karten und Institutsadressen neutral.

Unsere Produktempfehlungen

Zeitschrift für Rheumatologie

Print-Titel

Hot topics von Experten knapp, aussagekräftig und provokativ kommentiert, neueste Leitlinien und Empfehlungen sowie Stellungnahmen der Deutschen Gesellschaft für Rheumatologie

e.Med Interdisziplinär

Kombi-Abonnement

Für Ihren Erfolg in Klinik und Praxis - Die beste Hilfe in Ihrem Arbeitsalltag

Mit e.Med Interdisziplinär erhalten Sie Zugang zu allen CME-Fortbildungen und Fachzeitschriften auf SpringerMedizin.de.

e.Med Innere Medizin

Kombi-Abonnement

Mit e.Med Innere Medizin erhalten Sie Zugang zu CME-Fortbildungen des Fachgebietes Innere Medizin, den Premium-Inhalten der internistischen Fachzeitschriften, inklusive einer gedruckten internistischen Zeitschrift Ihrer Wahl.

download
DOWNLOAD
print
DRUCKEN
Titel
Erythema nodosum
Verfasst von
Dr. med. Viktoria Weber
cand. med. Konstantin Weimann
PD Dr. med. Isabel Kolm
Dr. med. Dr. sc. nat. Barbara Meier-Schiesser
Publikationsdatum
17.06.2024
Verlag
Springer Medizin
Erschienen in
Zeitschrift für Rheumatologie / Ausgabe 8/2024
Print ISSN: 0340-1855
Elektronische ISSN: 1435-1250
DOI
https://doi.org/10.1007/s00393-024-01529-4
1.
Zurück zum Zitat Chowaniec M, Starba A, Wiland P (2016) Erythema nodosum—review of the literature. Reumatologia 54(2):79–82CrossRefPubMedPubMedCentral
2.
Zurück zum Zitat Schwartz RA, Nervi SJ (2007) Erythema nodosum: a sign of systemic disease. Am Fam Physician 75(5):695–700PubMed
3.
Zurück zum Zitat Mert A et al (2004) Erythema nodosum: an experience of 10 years. Scand J Infect Dis 36(6–7):424–427CrossRefPubMed
4.
Zurück zum Zitat Requena L, Sanchez Yus E (2007) Erythema nodosum. Semin Cutan Med Surg 26(2):114–125CrossRefPubMed
5.
Zurück zum Zitat Garcia-Porrua C et al (2000) Erythema nodosum: etiologic and predictive factors in a defined population. Arthritis Rheum 43(3):584–592CrossRefPubMed
6.
Zurück zum Zitat Mert A et al (2007) Erythema nodosum: an evaluation of 100 cases. Clin Exp Rheumatol 25(4):563–570PubMed
7.
Zurück zum Zitat Leung AKC, Leong KF, Lam JM (2018) Erythema nodosum. World J Pediatr 14(6):548–554CrossRefPubMed
8.
Zurück zum Zitat Requena L, Yus ES (2008) Erythema nodosum. Dermatol Clin 26(4):425–438 (v)CrossRefPubMed
9.
Zurück zum Zitat Min MS, Fischer R, Fournier JB (2016) Unilateral Erythema Nodosum following Norethindrone Acetate, Ethinyl Estradiol, and Ferrous Fumarate Combination Therapy. Case Rep Obstet Gynecol 2016:5726416PubMedPubMedCentral
10.
Zurück zum Zitat Anandacoomarasamy A et al (2007) Magnetic resonance imaging in Lofgren’s syndrome: demonstration of periarthritis. Clin Rheumatol 26(4):572–575CrossRefPubMed
11.
Zurück zum Zitat Kellner H, Spathling S, Herzer P (1992) Ultrasound findings in Lofgren’s syndrome: is ankle swelling caused by arthritis, tenosynovitis or periarthritis? J Rheumatol 19(1):38–41PubMed
12.
Zurück zum Zitat Bernett CN, Krishnamurthy K, Disclosure: Karthik Krishnamurthy declares no relevant financial relationships with ineligible companies (2023) Cutaneous Crohn Disease. In: StatPearls. ineligible companies, Treasure Island (FL)
13.
Zurück zum Zitat Huang BL, Chandra S, Shih DQ (2012) Skin manifestations of inflammatory bowel disease. Front Physiol 3:13CrossRefPubMedPubMedCentral
14.
Zurück zum Zitat Krause L (2005) Adamantiades-Behcet’s disease. Ophthalmologe 102(4):329–334CrossRefPubMed
15.
Zurück zum Zitat Meier B, Maul JT, French LE (2016) Pyoderma gangrenosum and Sweet’s syndrome : Cutaneous manifestations of autoinflammatory disorders. Hautarzt 67(12):934–939CrossRefPubMed
16.
Zurück zum Zitat Cohen PR, Holder WR, Rapini RP (1992) Concurrent Sweet’s syndrome and erythema nodosum: a report, world literature review and mechanism of pathogenesis. J Rheumatol 19(5):814–820PubMed
17.
Zurück zum Zitat Wilkinson SM, Heagerty AH, English JS (1993) Acute febrile neutrophilic dermatosis in association with erythema nodosum and sarcoidosis. Clin Exp Dermatol 18(1):47–49CrossRefPubMed
18.
Zurück zum Zitat Waltz KM et al (1999) Sweet’s syndrome and erythema nodosum: the simultaneous occurrence of 2 reactive dermatoses. Arch Dermatol 135(1):62–66CrossRefPubMed
19.
Zurück zum Zitat Ben-Noun L (1995) Sweet’s syndrome associated with erythema nodosum. Aust Fam Physician 24(10):1867–1869PubMed
20.
Zurück zum Zitat Grayson PC, Patel BA, Young NS (2021) VEXAS syndrome. Blood 137(26):3591–3594PubMedPubMedCentral
21.
Zurück zum Zitat Guhl G, Garcia-Diez A (2008) Subcutaneous sweet syndrome. Dermatol Clin 26(4):541–551 (viii–ix)CrossRefPubMed
22.
Zurück zum Zitat Acosta KA, Haver MC, Kelly B (2013) Etiology and therapeutic management of erythema nodosum during pregnancy: an update. Am J Clin Dermatol 14(3):215–222CrossRefPubMed
23.
Zurück zum Zitat Cribier B et al (1998) Erythema nodosum and associated diseases. A study of 129 cases. Int J Dermatol 37(9):667–672CrossRefPubMed
24.
Zurück zum Zitat Blake T, Manahan M, Rodins K (2014) Erythema nodosum—a review of an uncommon panniculitis. Dermatol Online J 20(4):22376PubMed
25.
Zurück zum Zitat Babamahmoudi F et al (2016) Erythema nodosum: what should we consider about it? Caspian J Intern Med 7(4):304–305PubMedPubMedCentral
26.
Zurück zum Zitat Kempf W et al (2015) Dermatopathologie, 3. Aufl. Springer, Berlin, Heidelberg (2015)CrossRef
27.
Zurück zum Zitat Perez-Garza DM et al (2021) Erythema Nodosum: A Practical Approach and Diagnostic Algorithm. Am J Clin Dermatol 22(3):367–378CrossRefPubMedPubMedCentral
28.
Zurück zum Zitat Cerroni L et al (2016) Histopathologie der Haut, 2. Aufl. Springer Reference Medizin. Springer, Berlin, Heidelberg (2016)CrossRef
29.
Zurück zum Zitat Horio T et al (1981) Potassium iodide in the treatment of erythema nodosum and nodular vasculitis. Arch Dermatol 117(1):29–31CrossRefPubMed
30.
Zurück zum Zitat Fox MD, Schwartz RA (1992) Erythema nodosum. Am Fam Physician 46(3):818–822PubMed
31.
Zurück zum Zitat Kakourou T et al (2001) Erythema nodosum in children: a prospective study. J Am Acad Dermatol 44(1):17–21CrossRefPubMed
32.
Zurück zum Zitat Lebwohl M et al (2021) Treatment of skin disease : comprehensive therapeutic strategies, 6. Aufl. Elsevier, Amsterdam