Zum Inhalt

Beidseitige nichtarteriitische anteriore ischämische Optikusneuropathie (NA-AION) bei Thrombophilie: Zufallsbefund oder prädisponierender Risikofaktor?

Erschienen in:

Auszug

Es stellte sich eine 42-jährige Frau mit subjektiven Gesichtsfeldausfällen am linken Auge seit 3 Tagen vor. Der Visus betrug beidseits 1,0, jedoch zeigte sich am rechten Auge ein relativer afferenter Pupillendefekt. Es wurden eine Papillenatrophie rechts und eine Papillenschwellung links festgestellt (Abb. 1). Es zeigten sich keine Anzeichen für eine Drusenpapille. Die Gesichtsfelduntersuchung bestätigte Defekte auf beiden Augen (Abb. 2). Die Fluoreszeinangiographie ergab eine späte, aspezifische Leckage am Sehnervenkopf (Abb. 3). Die Patientin hatte zuvor mit 36 Jahren eine nichtarteriitische anteriore ischämische Optikusneuropathie (NA-AION) am rechten Auge. Die kardiovaskuläre Abklärung war zu diesem Zeitpunkt unauffällig. Es wurde jedoch Acetylsalicylsäure (ASS) aus ophthalmologischer Sicht empfohlen, welches die Patientin seitdem täglich einnahm. Orale Kontrazeptiva oder andere Medikamente wurden nicht eingenommen. Sie verneinte Nikotin- und Alkoholkonsum. Die Familienanamnese war anamnestisch unauffällig.
Abb. 1
Papillenschwellung im oberen und nasalen Bereich am linken Auge
Bild vergrößern
Abb. 2
Beidseitige Gesichtsfeldausfälle, rechts (a) mehr als links (b)
Bild vergrößern
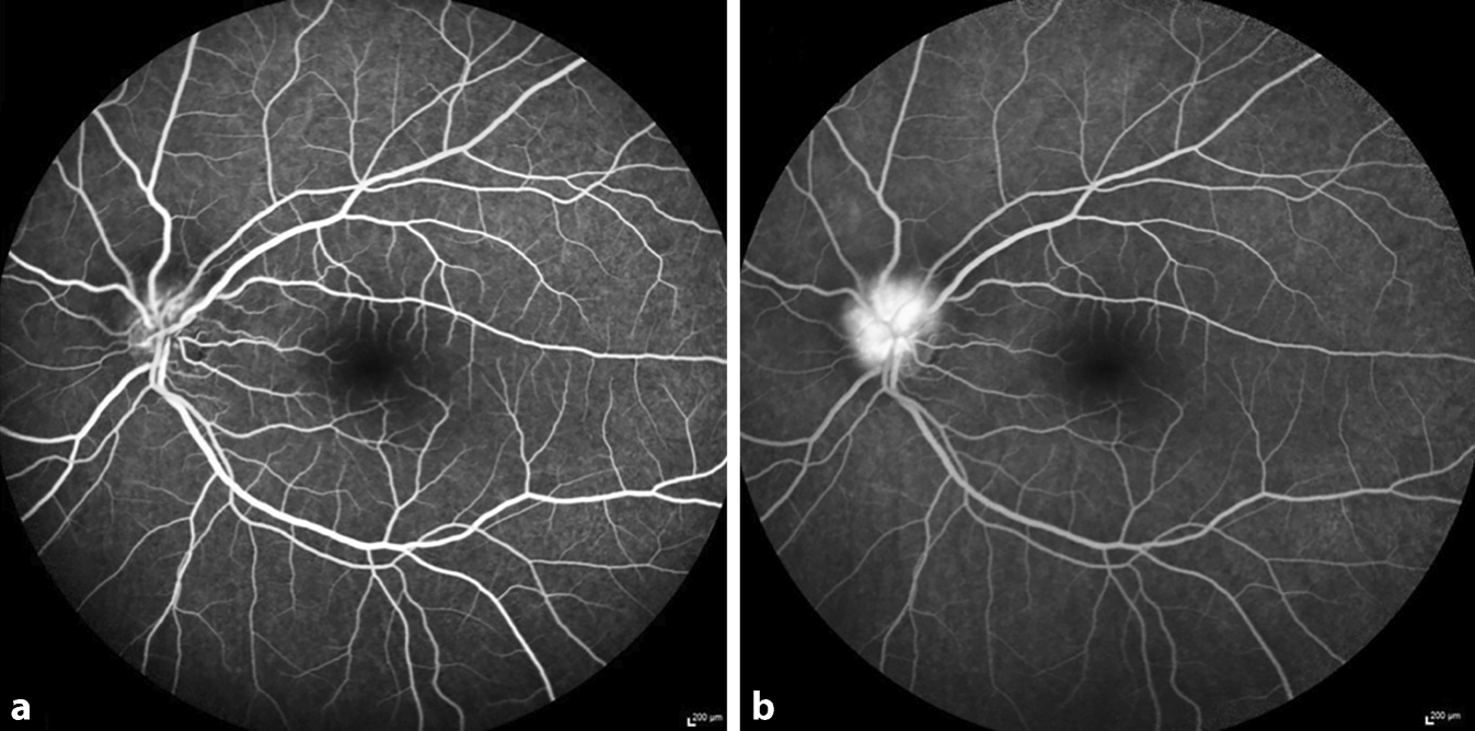
Abb. 3
Fluoreszeinangiographie. a Frühphase. b Späte Leckage im Papillenbereich am linken Auge
Bild vergrößern
Titel
Beidseitige nichtarteriitische anteriore ischämische Optikusneuropathie (NA-AION) bei Thrombophilie: Zufallsbefund oder prädisponierender Risikofaktor?
Verfasst von
Anne-Cécile Vandebroek
Karl T. Boden
Gesine Szurman
Peter Szurman
Annekatrin Rickmann
Publikationsdatum
29.05.2024
Verlag
Springer Medizin
Erschienen in
Die Ophthalmologie / Ausgabe 8/2024
Print ISSN: 2731-720X
Elektronische ISSN: 2731-7218
DOI
https://doi.org/10.1007/s00347-024-02053-1
Dieser Inhalt ist nur sichtbar, wenn du eingeloggt bist und die entsprechende Berechtigung hast.
Bildnachweise
Mädchen in selbst gebauter Zeitmaschine/© Santen GmbH (Symbolbild mit Fotomodell)