Zum Inhalt
Allgemeinmedizin Geriatrie in der Hausarztpraxis

Geriatrie in der Hausarztpraxis

STIKO ändert Empfehlung zur Herpes zoster-Impfung

Menschen mit erhöhtem Risiko, an Herpes zoster zu erkranken, empfiehlt die STIKO nun, sich bereits ab 18 statt ab 50 Jahren mit dem Totimpfstoff Shingrix impfen zu lassen.

weiterlesen

Kasuistiken

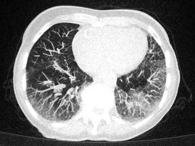
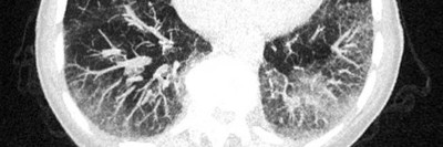
Ist diese Seniorin einfach nur "gebrechlich"?

Schwäche, Dysphagie oder Gewichtsverlust: Diese Symptome sind im Alter ein Zeichen  für "Frailty". Dabei sollten aber auch andere Ursachen nicht übersehen werden. Das veranschaulicht der Fall einer 90-Jährigen, die bis vor kurzem noch regelmäßig sportlich aktiv war.

Kennen Sie das "Purple urine bag syndrome"?

Eine ältere Frau wurde in die Notaufnahme wegen Fieber und einer Verschlechterung des Allgemeinzustands eingeliefert. Die Patientin trägt einen Dauerkatheter, der mit ca. 300 ml lila-gefärbtem Urin gefüllt ist. Dahinter steckt ein Hinweis auf ein spezifisches Stoffwechselproblem.

Was sagt Ihnen diese Beinstellung nach Sturz?

Eine 84 Jahre alte Patientin war zu Hause über einen Teppich gestolpert und gestürzt. Der sofort einsetzende Schmerz war so stark, dass sie ihre linke Hüfte nicht mehr bewegen konnte. Erkennen Sie die Ursache schon anhand der Stellung des linken Beines?

Weitere Artikel aus unseren Fachzeitschriften

Wer gut stolpert, stürzt nicht!

Stürze sind ein wesentlicher Risikofaktor für den Verlust der Selbstständigkeit. Eine Präventionsmöglichkeit: Perturbationsbasiertes Gleichgewichtstraining auf dem Laufband trainiert gezielt das Stolpern, um die Gangsicherheit zu erhöhen.

Wechselwirkungen zwischen Ernährung und Frailty

Bei der multifaktoriellen Entstehung von Frailty wird der Ernährung eine wesentliche Bedeutung zugesprochen. Bereits im mittleren Lebensalter und später sind sowohl die Quantität als auch die Qualität der Ernährung relevant. Umgekehrt beeinflusst Frailty auch die Ernährung betroffener Personen. Die Zusammenhänge und Empfehlungen im Überblick.

Frailty und Pharmakotherapie: Tipps zum Medikationsmanagement

Ältere Patienten mit Frailty zeigen eine gesteigerte Vulnerabilität für negative Gesundheitsereignisse, die unter anderem als Folge von unerwünschten Arzneimittelwirkungen eintreten. Angesichts der komplexen klinischen Bedarfe älterer Patienten mit Frailty sollte in dieser Population ein fokussiertes Medikationsmanagement erfolgen.

Alter ist keine Diagnose

Was geht Ihnen durch den Kopf, wenn ältere Patientinnen und Patienten über eine ständig tropfende Nase, Hyposmie, viel Sekret, Schwindel, Dysphagie oder Dysphonie berichten? Altersdiskriminierung bzw. Ageismus erfolgt häufig unbewusst. Lesen Sie hier, wie Sie damit produktiv umgehen können.

Ist Deutschland auf einen Hitzedom vorbereitet?

Wie bereitet man sich als Land auf etwas vor, was es so noch nie gab? Der sogenannte "Hitzedom" ist eines der möglichen Extremwetterphänomene, die Deutschland in Zukunft treffen können. Welche medizinischen Vorkehrungen müssen für ein solches Szenario getroffen werden? Und wie gut sind wir aktuell tatsächlich darauf vorbereitet?  

SGLT2-Inhibitoren und GLP-1-RA: auch im Alter sicher und wirksam?

Für die Entscheidung, ob Sie die neueren Diabetesmedikamente auch bei Älteren verordnen können, sind drei Fragen wichtig: Welche Evidenz liegt bezüglich Wirksamkeit und Sicherheit vor? Welche Hinweise gibt es für weitere Einsatzmöglichkeiten? Und wie wirkt sich das Absetzen dieser pharmakologischen Therapie auf Ältere aus? Ein Überblick.

Diabetes im Alter: Therapieziele anpassen!

Das Hauptziel der Diabetesbehandlung im Alter ist, Stoffwechselentgleisungen zu vermeiden, da sie u.a. das Sturz- und langfristig das Demenzrisiko erhöhen. Deshalb sollten Sie zuallererst die individuelle Situation beurteilen, bevor Sie dann das persönliche Therapieziel in Absprache mit den Betroffenen festlegen.

Feucht oder trocken - die altersbedingte Makuladegeneration

Verzerrtes Sehen oder Ausfälle im zentralen Gesichtsfeld: Das sind die typischen ersten Symptome einer Makuladegeneration. Bei den Spätstadien mit drohender Erblindung werden die geografische (trockene) Atrophie und die neovaskuläre (feuchte) nAMD unterschieden. Dieser Beitrag gibt einen Überblick und Ausblick zu den Behandlungsmöglichkeiten.

Wie kann das Risiko für Nierenversagen risikoadaptiert abgeschätzt werden?

Die geschätzte glomeruläre Filtrationsrate (eGFR) ist zur Bewertung des Risikos eines Nierenversagens bei chronischer Nierenkrankheit nur eingeschränkt geeignet. Eine Alternative bietet die Kidney Failure Risk Equation (KFRE), die Geschlecht, Alter, eGFR und UACR (Albumin-Kreatinin-Ratio im Urin) gemeinsam berücksichtigt. 

Geriatrische Versorgungsstrukturen: Welche gibt es? Wie überweisen?

Von der mobilen über die ambulante bis hin zur stationären Versorgung gibt es in der Geriatrie eine Reihe von Versorgungsmöglichkeiten. Ziel ist es immer, die Therapie so anzupassen, dass der Krankheitsverlauf gemildert und die Lebensqualität verbessert werden kann.

Buchkapitel zum Thema

Kognitive Beeinträchtigung im Alter

In diesem Kapitel wird die psychotherapeutische Behandlung von Patienten mit leichten dementiellen Erkrankungen beschrieben (z. B. Alzheimer-Demenz, vaskuläre Demenz, frontotemporale Demenz, Parkinsonerkrankung, Lewy-Body-Demenz, etc.). Die …

PräventivmedizinPräventivmedizin

Unter medizinischer Prävention versteht man Maßnahmen, die mögliche unerwünschte Ereignisse (insbesondere Krankheiten) verhindern sollen. Prävention stellt insofern selbst eine Form der Intervention dar. Die Begriffe der Vorbeugung und Prophylaxe …

MultiprofessionalitätMultiprofessionalität in der modernen Geriatrie

Geriatrie ohne multiprofessionelle Teamarbeit ist undenkbar. Der Grund hierfür liegt in der regelmäßig vorhandenen Multimorbidität und der Notwendigkeit, ein komplexes Gesundheitsmanagement zu organisieren, wenn das geriatrische Postulat „optimale …

Das therapeutische Team in der Geriatrie

Der geriatrische Patient definiert sich durch hohes Alter als Risikofaktor für aktuelle oder chronifizierende Erkrankungen, durch bereits bestehende Multimorbidität mit diversen Interaktionen, die Funktion, Fähigkeit und Teilhabe im alltäglichen …

Nicht gefunden, wonach Sie suchten?

Probieren Sie es mit der Suchfunktion:

Passend zum Thema

ANZEIGE

Pneumokokken-Kinderimpfquote steigern!

Wie viel Prozent der Kinder sind in Deutschland im Alter von 24 Monaten vollständig gegen Pneumokokken geimpft? Und wie könnte die Impfquote weiter gesteigert werden? Hier geht’s zu den Antworten!

ANZEIGE

HPV-Impfung für Erwachsene – eine Rechnung die aufgeht!

Kostenübernahme der HPV-Impfung bei Erwachsenen – wir unterstützen Sie mit fundierten Informationen zur Verordnung und Abrechnung. So lassen sich bürokratische Hürden reduzieren und der Zugang zur HPV-Impfung erleichtern – für die Prävention bestimmter HPV-bedingter Erkrankungen.

ANZEIGE

Impfstoffe – Krankheiten vorbeugen, bevor sie entstehen

Seit mehr als 130 Jahren entwickelt und produziert MSD Impfstoffe für alle Altersgruppen. Hier finden Sie nützliche Informationen und Praxismaterialien rund um das Thema Impfen.

MSD Sharp & Dohme GmbH

Passend zum Thema

ANZEIGE

Risikogruppen schützen: Wie Zink das Immunsystem stärken kann

Wenn akute Atemwegsinfekte kursieren, gilt es Risikogruppen wie ältere und multimorbide Menschen vor langwierigen und schwerwiegenden Infekten zu schützen. Die Versorgung mit Zink spielt dabei eine zentrale Rolle. Was kann Zink leisten? Und was ist bei der Substitution zu beachten? Mehr >>

Bildnachweise
Herpes Zoster am Rücken/© Mumemories / Getty Images / iStock (Symbolbild mit Fotomodell), CT einer Lunge mit Milchglastrübungen/© Kremer P et al. / all rights reserved Springer Medizin Verlag GmbH, Perturbationslaufband (MediTouch BalanceTutor™ BT100, Tnuvot, Israel)/© Haug V et al. | all rights reserved Springer Medizin Verlag GmbH, Tee aus Linghzi-Pilzen/© krungchingpixs / Getty Images / iStock, Eine ältere Frau schaut in die Ferne/© RgStudio / Getty Images / iStock (Symbolbild mit Fotomodell), Einer älteren Frau im Rollstuhl wird der Blutdruck gemessen/© David L / peopleimages.com / Stock.adobe.com (Symbolbild mit Fotomodell), Älterer Mann schaut kritisch auf Tabletten/© Mediteraneo / stock.adobe.com (Symbolbild mit Fotomodell), Alte Person hält Wasserglas in der Hand/© Mike Fouque / stock.adobe.com (Symbolbild mit Fotomodell), ZFA TALKS - Demenz/© (M) Alican Lazutti / Getty Images / iStock (Symbolbild mit Fotomodell) Logo: Springer Medizin Verlag GmbH, Tabletten auf einem EEG-Befund/© Attila Barabas / Getty Images / iStock, Basiskurs Geriatrie, Frau hält sich den linken Fuß/© toa555 / stock.adobe.com (Symbolbild mit Fotomodell), Transrektale MRT/© Springer Medizin, Lila-gefärbter Urin in einem Katheterbeutel/© Franzoi M et al. / all rights reserved Springer Medizin Verlag GmbH, Nach außen rotierter Fuß nach Oberschenkelhalsfraktur/© A. Schuh, Gleise in der untergehenden Sonne/© sanderstock / stock.adobe.com, Älter Frau misst bei älterem Mann Blutzucker/© Vladimir Vladimirov / Getty Images / iStock (Symbolbild mit Fotomodell), Ältere Frau am Tisch misst Blutzucker/© Dragica / stock.adobe.com (Symbolbild mit Fotomodell), Geographische Atrophie/© Augenklinik der LMU München, Ultraschalluntersuchung der Niere/© Your_Photo_Today (Symbolbild mit Fotomodellen), Älterer Mann spricht mit jüngerer Frau/© Photodjo / Getty Images / iStock (Symbolbild mit Fotomodellen), Search Icon, Kleinkind rennt draußen, während es in die Luft zeigt/© William / Adobe Stock, Teaserbild HPV-Impfung für Erwachsene – eine Rechnung die aufgeht!/© syedfahadghazanfar / shutterstock, Neuer Inhalt/© MKC / shutterstock, Teaserbild OA Wörwag Zink/© Tondone | AdobeStock