Zum Inhalt

GLI1/2-altered mesenchymal tumors: a study of 8 cases expanding the clinicopathological and molecular spectrum including an upstream PTCH1-inactivating mutation

  • Open Access
  • 14.08.2025
  • ORIGINAL ARTICLE
Erschienen in:

Abstract

GLI1/2 alterations drive mesenchymal tumors harboring rearrangements and amplifications. Affected patients show a broad age range and tumor distribution, and histology varies. We describe the clinicopathologic and molecular characteristics of eight cases (7 females, 1 male, age range 15–82 years). Tumors were located in the ovary (n = 3), endometrium (n = 1), retroperitoneum (n = 1), skin (n = 1), neck (n = 1), and hypopharynx (n = 1). The cases showed epithelioid (n = 2), spindle cell (n = 1), biphasic (n = 1), or round cell (n = 3) morphology. Two of the latter neoplasms had a prominent myxoid stroma. One tumor was polymorphic with brisk mitotic activity. Immunohistochemistry demonstrated variable positivity for S100,  pankeratin AE1/3, EMA, CD56, synaptophysin and chromogranin. MDM2, CDK4, and STAT6 expressions were detected in cases with GLI1 amplification. In three neoplasms, a fusion gene was identified (GLI1::MALAT1, n = 2; PTBP1::GLI2, n = 1). Three cases harbored GLI1-amplification, with co-amplification of MDM2/CDK4 in two of them. GLI2 was amplified in one tumor. Another case had an inactivating PTCH1 mutation. By RNA expression and DNA methylation profiling, the cases formed a cluster. GLI-amplified tumors occurred in older patients (n = 3) who died within 3–27 months. GLI-fusion genes and the PTCH1 mutation were identified in neoplasms of younger patients (n = 3) remaining disease-free (25–31 months). In conclusion, our GLI1/2 altered mesenchymal tumors, clustered at RNA level and epigenetically, confirming that they form one entity, including neoplasms with PTCH1 mutations. Amplified tumors occurred in older patients and behaved more aggressively, in contrast to lesions with a fusion gene originating in younger patients and showing a favorable outcome.

Publisher's Note

Springer Nature remains neutral with regard to jurisdictional claims in published maps and institutional affiliations.

Introduction

Glioma-associated oncogene homologue 1 (GLI1), located at chromosome 12 (12q13.3–14.1), was first reported in 1987 being amplified in a glioblastoma multiforme [1]. GLI1 is an important transcription factor of the Kruppel family, acting as a terminal effector in the sonic hedgehog (HH) signaling pathway [2]. While HH signaling is involved in normal cell growth and differentiation, aberrant pathway activation results in oncogenesis of various tumor types, including medulloblastoma, several carcinomas (e.g., basal cell carcinoma), and melanoma. The Gorlin–Goltz syndrome is an example of an inherited HH signaling disturbance with multiple disorders and the development of different cancers [27].
In 2004, a GLI1 fusion gene, involving the beta-actin gene (ACTB), located on chromosome 7, was described in cases designated as “pericytoma with t(7;12) translocation” [8]. Since then, GLI1 alterations, including amplifications as alternatives to rearrangements, have been identified in a variety of epithelioid and spindle cell tumors with a wide age range and broad anatomical distribution [913]. The most frequent but not exclusively reported fusion partners are MALAT1, PTCH1, FOXO4, and ACTB [14]. When amplified, co-amplification of the adjacent genes on 12q, MDM2, CDK4, STAT6, DDIT3, and HMGA2 was found [15, 16]. Hence, the currently favored terminology is that of “GLI1-altered mesenchymal tumor” [10, 11, 14]. In a few similar cases, GLI2 fusion genes have been reported [12, 1719].
Histological characteristics vary from relatively monomorphic neoplasms consisting of ovoid and/or spindle cells to epithelioid/epithelial lesions with a multinodular architecture and sheet-like, nested or cord-like growth pattern. Other cases have a more primitive round cell appearance or a straightforward malignant, polymorphic histology. A biphasic pattern consisting of epithelial/epithelioid cells is attributed to gastroblastomas. Multinucleated giant cells may also be present. A hemangiopericytoma-like vasculature is common, mainly in spindle cell lesions, often with protrusion of tumor nests into the lumina similar to myofibroma/myopericytoma [20].
There is a heterogeneous immunohistochemical profile, to some extent related to the specific cell type (e.g., keratin expression in epithelioid cells), that can be misleading. However, it has been demonstrated that GLI1 immunohistochemistry is an appropriate surrogate marker for the more common GLI1-related lesions [912, 16].
In this study, we describe the clinicopathologic and molecular features of eight GLI (pathway)-altered lesions, including cluster analysis on RNA expression- and DNA methylation-level in order to substantiate the relationship of those lesions.

Materials and methods

The eight cases were retrieved from the author’s (referral) files, and hematoxylin and eosin (H&E) slides were reviewed. Clinical information was available in all cases.
All samples were handled according to the ethical guidelines described in “Code for Proper Secondary Use of Human Tissue in The Netherlands” in a coded (pseudonymized) manner, as approved by the local institutions IRB.
We searched the literature for suitable articles focusing on clinicopathologic, genetic, and epigenetic features within the family of GLI-altered mesenchymal tumors.

Immunohistochemistry

Four-micron-thick sections from formalin-fixed paraffin embedded (FFPE) blocks were cut, mounted on pre-coated slides, and dried for at least 10 min at 56 °C. After deparaffinization, the slides were stained using an automated Ventana tissue stainer (BenchMark Ultra, Roche). The following antibodies were used: S100 (ready to use, 4C4.9, Roche), SOX10 (ready to use, EP268, Roche), CD56 (ready to use, CD564, Leica), chromogranin (ready to use, 5H7, Leica), synaptophysin (ready to use, 27G12, Leica), MDM2 (IF2, 1:40, Cell Marque), CDK4 (DCS-31, 1:400, Cell Marque), CKAE1/3 (ready to use, AE1/AE3, Leica), EMA (ready to use, GP1.4, Leica), STAT6 (ready to use, EP325, Cell Marque), and CD99 (Leica, PCB1, 1:40). Pretreatment was performed according to standard protocols.

Molecular analyses

Targeted mRNA sequencing

According to standard protocols, RNA was isolated from FFPE with the Maxwell RSC 48 Instrument (Promega, Madison, Wisconsin, USA) using the RNA FFPE kit (promega), and cDNA libraries were generated with 250 ng RNA using the Archer FusionPlex Lung Kit for Ion Torrent (Archer, Boulder, CO, USA). Sequencing was performed with the Ion S5 instrument (Thermo Fisher Scientific, Waltham, Massachusetts, USA), and Archer analysis software (version 6.0) was used for data analysis.

Whole transcriptome sequencing (mRNA sequencing)

Total RNA was isolated using the AllPrep DNA/RNA/Protein Mini Kit (Qiagen) in keeping with standard protocol on the QiaCube (Qiagen). For Case 6, fresh frozen tissue was used, while for Cases 1–5, only FFPE was available. RNA-seq libraries were generated with 300 ng RNA using the KAPA RNA HyperPrep Kit with RiboErase (Roche) and subsequently sequenced on a NovaSeq 6000 system (2 × 150 bp) (Illumina). The RNA sequencing data were processed as per GATK 4.0 best practices workflow for variant calling, using a WDL and Cromwell-based workflow (https://gatk.broadinstitute.org/hc/en-us/sections/360007226651-Best-Practices-Workflows). This included performing quality control with FastQC (version 0.11.5) to calculate the number of sequencing reads and the insert size, Picard (version 2.20.1) for RNA metrics output, and MarkDuplicates [21]. The raw sequencing reads were aligned using STAR (version 2.7.0f) to GRCh38 and Gencode version 29 [22].

Whole exome sequencing (WES)

Total DNA was isolated using the AllPrep DNA/RNA/Protein Mini Kit (QIAGEN) according to standard protocol on the QiaCube (Qiagen). DNA-seq libraries were generated with 150 ng DNA using the KAPA HyperPrep Kit in combination with the HyperExome capture kit (Roche) and subsequently sequenced on a NovaSeq 6000 system (2 × 150 bp) (Illumina). The DNA sequencing data of the tumor and the normal (DNA extracted from blood) were processed as per the GATK 4.0 best practices workflow for variant calling, using a wdl and Cromwell-based workflow (https://gatk.broadinstitute.org/hc/en-us/sections/360007226651-Best-Practices-Workflows). This included performing quality control with Fastqc (version 0.11.5) to calculate the number of sequencing reads and the insert size, Picard (version 2.20.1) for DNA metrics output, and MarkDuplicates [21]. Single nucleotide variants (SNVs) were identified using paired tumor-normal samples by Mutect2 from GATK 4.1 [23] and pathogenicity was predicted by variant effect predictor (VEP) (version 92) [24].
Somatic copy number alterations (CNAs) were identified with the GATK4 pipeline using an in-house-generated panel of “normals” (PON) from normal samples prepared and sequenced under the same conditions, which were then used for normalization. The allelic imbalance ratios were calculated using 1000 genomes, autosomal SNP sites with a minor allele frequency (MAF) > 0.1.

Methylation profiling (including copy number variation analysis)

DNA was isolated by NorDiag Arrow using the DiaSorin DNA extraction kit (NL) or GeneRead DNA FFPE Kit (Qiagen) according to the respective manufacturer’s instructions. DNA concentration was measured using the Qubit 2.0 fluorometer. Per sample, we used 500 ng (DK) or 200 ng (NL) of DNA. Bisulphite conversion was performed with EZ DNA Methylation™ Kit (Zymo Research, Irvine, CA, USA). All methylation data were generated using the Illumina® MethylationEPIC (850 k) BeadChip platform as previously described [25]. Classification of the samples was performed by the Heidelberg sarcoma classifier using the most recent version available, v12.2 [26]. DNA methylation data were processed using a modified version of the minfi package [27], and computational analyses were performed employing R version 4.6.1 (https://www.R-project.org).

Fluorescence in situ hybridization (FISH) analysis

MDM2 dual color FISH was performed on Case 8. On fresh cut 4-µm sections of FFPE tissue, a dual-color amplification probe for MDM2-CEN12 (Z-2013; ZytoVision) was applied. For the amplification of MDM2, a MDM2/CEN12 ratio > 2 or > 4 copies of MDM2 needs to be present. At least 100 nuclei were counted.

Results

Clinical characteristics (depicted in Table 1)

Table 1
Clinical data of the study cohort (n = 8)
Case
Sex/age
Location
Size (cm)
Metastases
Follow-up
1
M/82
Hypopharynx
3.2
Lung (bilateral, multiple)
DOD (3 months after diagnosis)
2
F/27
Sternocleidomastoid muscle
0.8
None
NED (25 months)
3
F/16
Ovary
14
Locoregional spread
NED (31 months)
4
F/70
Endometrium
7.5
Peritoneum and liver
DOD (27 months)
5
F/15
Ovary
NN
Locoregional spread
No follow-up
6
F/16
Ovary
7.0
None
No follow-up
7
F/53
Skin upper leg
0.6
None
NED (18 months)
8
F/54
Para-aortal
9.1
Lung (multiple), pleural, bone (multiple), intraabdominal (multiple), soft tissue (multiple)
DOD (5 months)
F female, M male, DOD death of disease, NED no evidence of disease, NN not known
The eight tumors were from seven females and one male aged between 15 and 82 years (median, 40 years). The neoplasms were located in the ovary (n = 3), endometrium (n = 1), retroperitoneum (n = 1), skin of the upper leg (n = 1), sternocleidomastoid muscle (n = 1), and hypopharynx (n = 1). The tumor size was 0.6 to 14 cm (mean, 6.0 cm). Follow-up ranged from 0 to 31 months (median 21.5 months). Three patients developed metastases: one bilateral in the lungs (Case 1), one in the peritoneum and liver (Case 4), and one presented with multiple metastases in the lung, pleura, bone, abdomen, and soft tissue (Case 8). Two patients with an ovarian lesion had locoregional spread (Cases 3 and 5) with intraabdominal extension, in one case after rupture of the primary tumor (Case 3). Three patients (Cases 2, 3, and 7) had no evidence of disease after 25, 31, and 18 months, respectively. Patients 1, 4, and 8 died of disease 3, 27, and 5 months after diagnosis, respectively. For two patients, no follow-up was available (Cases 5 and 6).

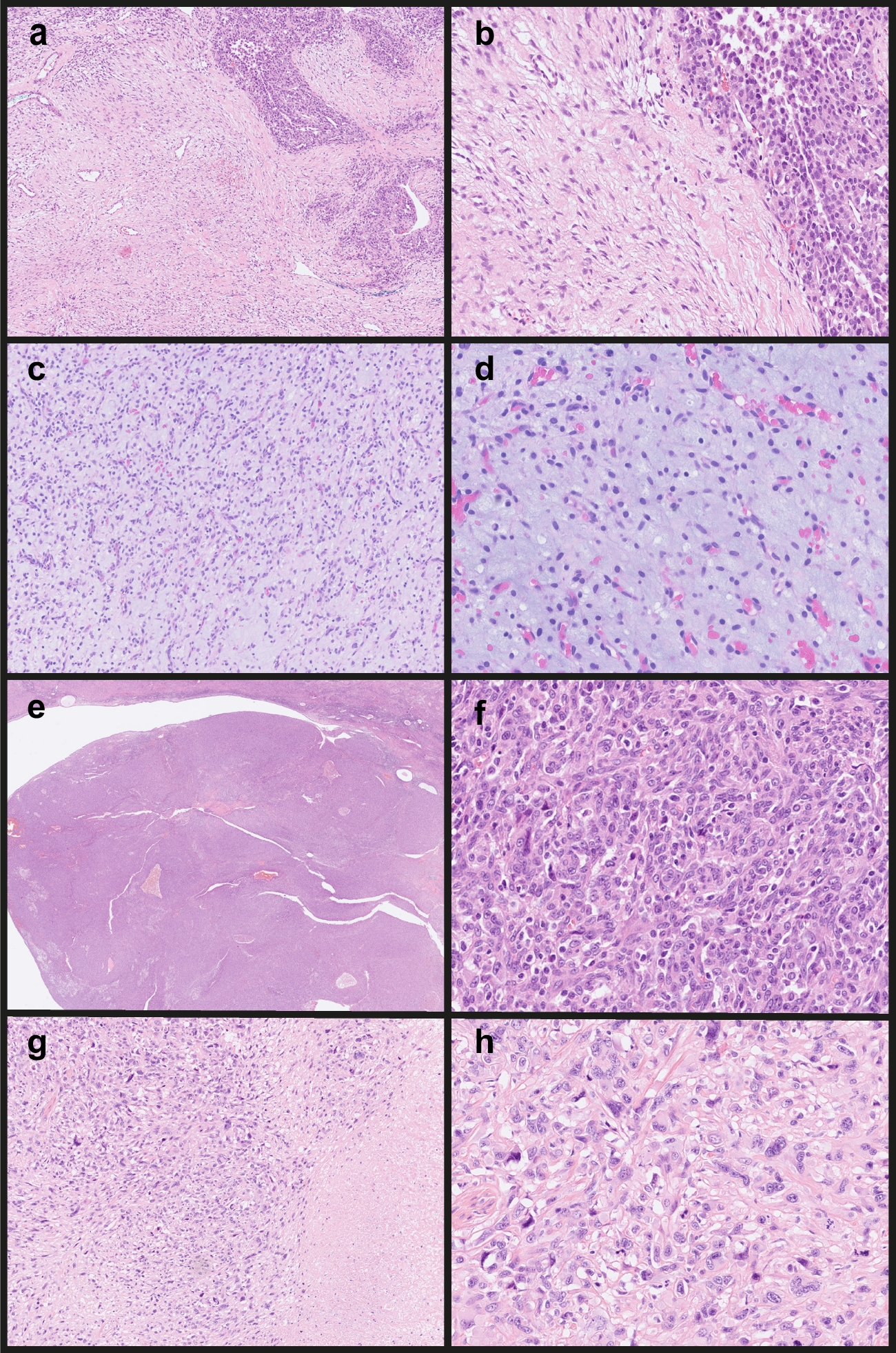
Histopathology (depicted in Table 2 and in Fig. 1 and 2)

Fig. 1
Morphological features (H&E stain). a and b, Case 2: A biphasic pattern consisting of nests and sheets of epithelioid cells transitioning into a spindle cell component (as seen in gastroblastomas) was present (× 10 and × 32 magnification). c and d, Case 3:  Similarities with myxoid liposarcoma comprised of primitive round and spindle cells set in a myxoid stroma were seen. Note the delicate chickenwire-like vasculature (× 8 and × 20 magnification). e and f, Case 4: The endometrial neoplasm had a polypoid appearance and consisted of epithelioid cells arranged in sheets and nests (× 1 and × 25 magnification). g and h, Case 8: Polymorphic epithelioid tumor cells were mainly arranged in sheets. There was brisk mitotic activity (h). Tumor necrosis was present (on the right in g) (× 8 and × 20 magnification)
Bild vergrößern
The neoplasms of the hypopharynx and skin (Cases 1 and 7) were located in the subepithelial stroma and dermis, respectively, with protrusion of the surface and consisted of irregular nodules. The uterine lesion (Case 4) was polypoid and confined to the endometrium with inclusion of preexistent glands (Fig. 1e). The tumors originating from the ovary were either a sharply demarcated nodule located within the stroma (Case 3), polypoid on the surface (Case 6), or infiltrating into surrounding structures of the small pelvis (Case 5). The soft tissue lesions of the sternocleidoid muscle and retroperitoneum had a nodular/expansile (Case 2) or infiltrative growth pattern into adjacent structures (Case 8).
In two cases (Cases 1 and 4), cells were mainly epithelioid and arranged in sheets, nests, and pseudoglandular structures. Nuclei were round to oval and slightly pleomorphic with a vesicular chromatin and small nucleoli. Mitotic figures were not seen. There was an amphophilic cytoplasm with retraction in some areas, focally imparting univacuolated lipoblasts. The cell membrane was clearly visible (Fig. 1f). Case 2 had a biphasic gastroblastoma-like appearance, showing monomorphic epithelioid cells as described above, with a gradual transition to a patternless spindle cell component (Fig. 1a and b). The nuclei of the latter were elongated, varying slightly in size and shape. There was a homogeneous chromatin and inconspicuous cytoplasm. No mitotic figures were found. The background was collagenous, in part loosely arranged (Fig. 1a and b).
The Cases 3 and 5 had a myxoid liposarcoma-like appearance showing a multinodular architecture with varying cellularity and a prominent myxoid background (Fig. 1c). Cells possessed round to oval nuclei with vesicular chromatin and small nucleoli. No mitoses were present. There was a scant amphophilic cytoplasm. Scattered around were pseudolipoblasts due to retraction of the cytoplasm and mucin vacuoles (Fig. 1d).
In Case 6, a multinodular architecture was present. The spindle cells were arranged in vague bundles. They showed oval nuclei with a vesicular chromatin and small nucleoli. The cytoplasm was indiscernible. Mitoses were absent (Fig. 2a and b). The features resembled to some degree a plexiform fibromyxoma.
Fig. 2
Morphological features of Case 6 (H&E stain), a and b: A multinodular proliferation of monomorphous spindle cells arranged in vague bundles was identified in Case 6 harboring a PTCH1 mutation (× 8 and × 25 magnification)
Bild vergrößern
The skin lesion of Case 7 was cellular, consisting mainly of round cells with a vesicular chromatin, small nucleoli, and scant cytoplasm. There were 7 mitotic figures per 10 high-power fields (HPF).
Case 8 was composed of a diffuse proliferation of polymorphic epithelioid tumor cells with brisk mitotic activity, including atypical mitoses (Fig. 1h).
A fine branching vascular network was seen in all cases. Cases 2, 5, and 6 also displayed a hemangiopericytoma-like vasculature. Tumor necrosis was present in Cases 1 and 8 (Fig. 1g).

Immunohistochemical results (shown in Table 2)

Table 2
Pathological and molecular findings
Case
Morphology
IHC + 
IHC − 
NGS/WES
Archer/RNA
RNA expression; clustering
1
Nests/sheets, epithelioid cells, pseudoglandular structures, amphophilic cytoplasm, distinct cell borders, no mitoses/10 HPF, necrosis
CD56, chromogranin, synaptophysin, S100, MDM2, CDK4
STAT6
GLI1/MDM2/CDK4 amplification
GLI1 amplification
GLI1: 720
GLI2: 27;
Mesenchymal tumor with GLI alteration
2
Biphasic, gradual transition from spindle to epithelioid cells, no mitoses/10 HPF (gastroblastoma-like)
pan-CK
EMA, S100, synaptophysin
NA
MALAT1 (NR_002819.4) exon 1::GLI1 (NM_005269.2) intron 5
NA (no RNA sequencing performed)
3
Primitive round cells, pseudolipoblasts, myxoid matrix, plexiform vasculature, no mitoses/10 HPF (myxoid liposarcoma-like)
CD56, EMA ± 
pan-CK, S100, MDM2, CDK4, STAT6
NA
MALAT1 (NR_002819.4) exon 1::GLI1 (XM_011538189.2) exon 1
GLI1: 1320
GLI2: 13;
Mesenchymal tumor with GLI alteration
4
Nests/sheets, epithelioid cells, pseudoglandular structures, amphophilic cytoplasm, distinct cell borders, no mitoses/10 HPF
pan-CK, CD56, EMA (weak), STAT6 (weak)
S100, SOX10, chromogranin, synaptophysin
GLI1/MDM2/CDK4 amplification
GLI1 amplification
GLI1: 1160
GLI2: 4;
Mesenchymal tumor with GLI alteration
5
Primitive round cells, pseudolipoblasts, myxoid matrix, plexiform vasculature, no mitoses/10 HPF (myxoid-liposarcoma-like)
NA
NA
NA
PTBP1(NM_002819.5) exon 10:: GLI2(NM_001371271.1) exon 8
GLI1: 73
GLI2: 60;
Mesenchymal tumor with GLI alteration
6
Vague bundles of spindle cells, bland oval nuclei, no mitoses/10 HPF (plexiform fibromyxoma-like)
No positive markers 
EMA, desmin, myogenin, myoD1, WT1
PTCH1(NM_000264.5) c.2833_2843del (p.Arg945Glyfs*10) mutation
No gene rearrangements or amplifications
GLI1: 123
GLI2: 55;
Mesenchymal tumor with GLI alteration
7
Sheets of round cells, 7 mitoses/10 HPF (small blue round cell tumor-like)
S100 ±, CD99 ± (cp)
pan-CK, SOX10, synaptophysin
NA
GLI1 amplification
GLI1: 980
GLI2: 8;
No score > 0.8
8
Diffuse proliferation of polymorphic epitheloid cells, brisk mitotic activity, atypical mitoses, necrosis
No positive markers
pan-CK, EMA, S100, SOX10
Biallecic loss CDKN2A (exon 1 and 2) (NM_000077.5);
CHEK2 [NM_007194.4]: exon 2:c.283C > T
GLI2 amplification
GLI1: 68
GLI2: 220;
No score > 0.8
Cp cytoplasm, HPF high-power field, NA not analyzed, NGS next generation sequencing, WES whole exome sequencing, pan-CK: AE1/3
S100 positivity was observed in 2/6 cases, with one of the two positive cases being negative for SOX10. In addition, SOX10 negativity was found in two other cases not stained for S100. Pancytokeratin (AE1/3) and EMA were partially expressed in 2/5 cases, with co-expression in one case. MDM2/CDK4 and STAT6 were positive in 1/2 and 1/3 cases tested, respectively, correlating with amplification of the corresponding genes. In 3/3 cases, CD56 positive staining was observed, whereas synaptophysin and chromogranin showed a partial positive reaction in 1/4 cases and 1/3 cases, respectively. Case 7 depicted in part cytoplasmic positivity for CD99.

Molecular results (depicted with details in Table 2)

Two cases harbored a GLI1 gene fusion involving MALAT1 (Cases 2 and 3) while in Case 5, a PTBP1::GLI2 was detected. In three cases (Cases 1, 4 and 7), GLI1 amplification was identified, co-amplified with MDM2/CDK4 in Cases 1 and 4. In contrast, Case 8 showed GLI2 amplification (located at 2q14). No amplification of MDM2 and CDK4 was detected in this case by NGS and FISH. In Case 6, a loss of function mutation in PTCH1 was present instead of a GLI1/2 alteration.
Based upon RNA expression analysis, out of seven cases tested, five tumors clustered together as a group of GLI-altered mesenchymal tumors, including Case 6 harboring the PTCH1 mutation.
Methylation profiling was performed in 7/8 cases excluding Case 5. The heatmap analysis using hierarchical clustering showed separate clustering of these seven cases apart from other entities/possible histological mimics such as Ewing sarcoma, sarcomas with BCOR alterations or CIC rearrangements, angioleiomyoma/myopericytoma, melanoma, myxoid liposarcoma, well-differentiated/dedifferentiated liposarcoma, solitary fibrous tumor, and synovial sarcoma (Fig. 3). This indicates an epigenetic match of GLI-altered tumors based on a similar methylation profile.
Fig. 3
The heatmap of methylation profiling shows a separate cluster of the GLI-altered cases, apart from the clusters of other entities/histological mimics, underpinning that this is a separate tumor group/entity
Bild vergrößern
Except for the GLI1/2 and the MDM2/CDK4 amplification detected in Cases 1 and 4, all cases but one had a mainly flat copy number profile without significant gains or losses. In Case 8, in contrast, multiple gains and losses were seen without amplification of MDM2/CDK4.

Discussion

When HH ligands bind to the transmembrane receptor Patched 1 (PTCH1), normally repressing the activity of the 7-transmembrane G protein-coupled receptor Smoothened (SMO), HH signaling becomes activated by abrogated inhibition of SMO. As a result, GLI zinc-finger transcription factors are released from cytoplasmic sequestration by suppressor of fused (SUFU). This leads to nuclear translocation of GLI with binding to transcriptional target genes and their regulation [2, 2830]. Of the three protein isoforms, GLI1 principally acts as a transcriptional activator, whereas GLI2 and GLI3 have both activator and suppressor functions [1, 2, 3133].
GLI1 and GLI2 alterations have already been described in different soft tissue neoplasms, including pericytoma with t(7;12), gastroblastoma, and plexiform fibromyxoma, with the latter two entities mainly being located in the stomach (Table 3) [8, 3440].
Table 3
Literature overview of mesenchymal tumors with a GLI alteration
Entity
Location
Morphology
Immunohistochemistry
Genetics
References
Pericytoma with t(7;12)
Tongue, stomach, calf, bone (rare)
Lobulated; uniform ovoid cells with perivascular distribution; thin-walled vasculature
Positive: SMA, laminin, CD99 (patchy), NSE;
Variable: S100, EMA, keratin;
Negative: desmin, WT1, synaptophysin, chromogranin, NF, CD34
ACTB::GLI1
Dahlen et al. (2004); Kerr et al. (2019); Bridge et al. (2012) [8, 3436]
Gastroblastoma
Stomach
Biphasic: epithelial and spindled elements;
Epithelial elements: nests of uniform epithelioid cells; rosette-like structures frequently present;
Spindles elements: bland spindles cells in myxoid stroma
Epithelial elements:
Positive: keratins, CD56, NSE, GLI1;
Spindled elements:
Positive: SMA (patchy), CD10 (focal), GLI1;
Negative in both elements: EMA, chromogranin, synaptophysin, SMA, desmin, S100, SOX10, CD34, CD117, DOG1, calretinin, CD99
MALAT1::GLI1
Graham et al. 2017, Miettinen et al. (2009) [37, 38]
Plexiform fibromyxoma
Stomach
Plexiform; bland spindled cells; myxoid stroma; small vessels
Positive: SMA, CD10 (focal/partial), desmin, caldesmon, CD99;
Negative: DOG1, CD117, EMA (or only focal +), keratins (or only focal +), ALK, S100, CD34, desmin, SOX10
MALAT1::GLI1; PTCH1 deletion
Spans et al. (2016); Takahashi et al. (2007); Banerjee et al. (2019) [39, 47, 60]
GLI-altered mesenchymal tumor
Diverse: soft tissue ≫ bone; head & neck (especially tongue) > visceral organs
Lobulated; uniform ovoid-epithelioid cells; sometimes cytoplasmic vacuolization; nuclear atypia rare; arborizing capillary network; dense fibrous stroma
Inconsistent:
Positive: CD56, NSE, CyclinD1, SMA (subset), CD10 (subset), S100 (50%), BCOR (rare), ER, P16 (subset), MDM2/CDK4/STAT6 (in GLI1 amplified cases), GLI1;
Variable: EMA, CyclinD1, BCL2, D2-40;
Negative: SOX10, chromogranin (or only focal +), synaptophysin (or only focal +), GFAP, ERG, CD31, desmin, myogenin, MyoD1, keratins (or only focal +)
GLI1 gene rearrangements (fusion partners: MALAT1, PTCH1, APOD, DERA, SYT1, NCOR2, HNRNPA1, TXNIP, NEAT, PAMR1);
GLI1 amplification
Cloutier et al. (2024); Kerr et al. (2024); Antonescu et al. (2018); Xu et al. (2020); Liu et al. (2022); Argani et al. (2022) [9, 11, 12, 16, 42, 51, 52]
Distinctive nested glomoid neoplasm
Wide: trunk, neck, tongue, extremities
Nests; uniform round-ovoid cells; prominent capillary network; fibrous septa; myxoid stroma (focally)
Positive: MDM2, S100, STAT6, keratin;
Negative: beta-catenin, chromogranin, synaptophysin, EMA, desmin, SMA, CD34
GLI1 gene rearrangements (fusion partners: ACTB, PTCH1, HNRNPA1, NEAT1, TXNIP); GLI1 amplification
Papke et al. (2023) [54]
Primary cutaneous/superficial (epithelioid) mesenchymal neoplasm
Skin
Nests or trabeculae, pericytic localization; uniform round-epithelioid cells; prominent vasculature; fibrocollagenous-myxoid stroma
Positive: S100, CD56, CyclinD1;
Negative: SOX10, SMA, Melan-A, HMB45, keratin, CD34 (or partially +), CD31, ERG, EMA (or patchy +), synaptophysin, chromogranin, CD99
GLI1 gen rearrangements (fusion partners: ACTB, ATP2B4); GLI1 amplification
Rollins et al. (2021); Aivazian et al. (2022); Machado et al. (2023); Rezaee et al. (2023) [44, 4850]
GLI1 and GLI2 rearrangements mostly result in promoter exchanges leading to a highly expressed gene and protein. The DNA-binding zinc finger domain of GLI1/2 is always retained in the fusion transcript. This effectively upregulates GLI1 or GLI2 expression with consequently deregulation of their downstream targets [9, 17, 39]. In our cohort, two cases carried a commonly reported MALAT1::GLI1 fusion. One was a biphasic gastroblastoma-like tumor located in the sternocleidoid muscle, and one was a myxoid liposarcoma-like lesion of the ovary. The latter was comparable to one of the cases by Miettinen et al. [37] and Saoud et al. [20]. In another neoplasm of an ovary, a PTPB1::GLI2 was identified, adding a novel partner gene to the more rarely reported GLI2 fusions [12, 1719]. The more infrequent involvement of GLI2 could be due to its additional suppressor function when compared to GLI1 [41]. However, analytic bias cannot be excluded.
GLI1 and GLI2 amplification also lead to upregulated mRNA and protein expression showing a similar effect as GLI fusion genes. In our cohort, not only GLI1 was amplified (n = 3; with co-amplification of MDM2/CDK4 in two cases) as reported [10, 20, 42], but also, GLI2 amplification was detected in one case originating in the retroperitoneum, not previously described in soft tissue tumors. However, GLI2 involvement is also seen in other tumor types [43]. Recent work investigating a large cohort of 38 cases hypothesized that due to higher GLI1 mRNA overexpression in GLI1-amplified tumors in comparison to GLI1-rearranged tumors, the overall survival is poorer in the first group [20]. We made the same observation in our much smaller cohort where 3/4 patients with GLI1/2 amplified tumors died of the disease. The fourth lesion arose in the skin, demonstrating that superficial localization of such neoplasms and sarcomas in general is a favorable prognostic sign [44, 45]. The more aggressive behavior, probably due to higher GLI expression in GLI-amplified tumors versus lesions with rearrangement, shows that GLI functions as a strong (dys)regulator of HH [41]. However, in almost all GLI1-amplified cases, co-amplification of adjacent genes is demonstrated, quite likely influencing behavior [20].
Although GLI gene rearrangements and amplifications activate HH signaling, GLI mutations do not, in contrast to mutations in other factors of the HH signaling pathway, such as HH, PTCH1, SMO, and SUFU [2, 31, 32, 46]. This is in line with the findings in one of our ovarian cases, harboring a PTCH1 loss of function mutation. PTCH1 deletions were previously detected in a subset of plexiform fibromyxomas, confirming that other members of the HH cascade can be affected [47]. This should be considered in the diagnostic work-up when GLI1/2 is not altered.
On RNA-expression level and by DNA-methylation profiling, most of our cases clustered as one group, including the case with the alternative loss-of-function PTCH1 mutation, underpinning that mesenchymal lesions with GLI alterations or alternative mechanisms impacting the HH pathway belong to the same entity. This is confirmed by a very recently published multiomic study analyzing six GLI1-altered tumors with either rearrangements or amplifications [16].
In all our cases, except one highly malignant case, a flat CNV profile was observed. Nevertheless, metastatic disease was also seen in two cases with GLI1- and adjacent gene-amplification, indicating that the CNV profile alone cannot predict behavior. It seems, at least in our cohort, that older age combined with GLI amplification is an adverse prognostic factor. In contrast, patients of young age whose tumors commonly harbor a fusion gene and patients with neoplasms at superficial localization (skin) showed a favorable outcome, in line with reported cases [44, 4850].
The morphological spectrum of our cases was broad. Lesions either consisted of epithelioid and/or spindle cells usually without pleomorphism, including a biphasic gastroblastoma-like soft tissue lesion, or of more primitive round to oval cells. Possible vacuolated cytoplasm imparted a (myxoid) liposarcoma-like appearance. Mitotic activity was commonly negligible. This highlights the reported variable histomorphology of GLI1/2-altered mesenchymal tumors, which also includes tumors with an epithelial (immuno)phenotype and rarely cases with pleomorphism [9, 11, 13, 18, 37, 38, 42, 51, 52] (Table 3). In our small cohort, there was no association between morphology and biological behavior. However, it has been proposed that tumor size ≥ 6 cm, high mitotic index (≥ 5 per 10 HPF) and necrosis are associated with metastatic disease, which we observed in one of our cases [10, 11, 16]. As there are currently no definitive criteria for malignancy, these features should be used with caution.
Immunohistochemistry can be misleading, especially in tumors with GLI amplification when the adjacent genes are co-amplified, resulting in overexpression of the corresponding proteins, such as MDM2/CDK4 and STAT6 [15]. This is also demonstrated in our study, with dedifferentiated liposarcoma and solitary fibrous tumor (SFT) in the differential diagnoses. Additionally, SFT and GLI1/2-altered tumors may share the patternless pattern and hemangiopericytoma-like vasculature. Pancytokeratin or EMA positivity detected in a subset of our cases can lead to confusion with (myo)epithelial tumors, in particular when an epitheloid/epithelial phenotype is seen and S100 is positive [53, 54]. Co-expression of CD56, synaptophysin, and chromogranin may lead to the assumption of neuroendocrine differentiation, especially when a nested and trabecular growth pattern is observed [54, 55].
Other differential diagnoses are small round cell sarcomas, including Ewing sarcoma (due to the primitive morphology and CD99 expression) and desmoplastic small round cell tumor, or pericytic tumors (due to the prominent vasculature and perivascular localization of tumor cells), myxoid liposarcoma (due to the primitive cell morphology with vacuolated cytoplasm, myxoid background and branching capillaries, and possible DDIT3 positivity based on co-amplification in GLI1 amplified tumors), epithelioid hemangioendothelioma (when mainly epithelioid tumor cells are arranged in cords set in a fibromyxoid matrix), soft tissue angiofibroma (due to branching small vessels), (non)ossifying fibromyxoid tumor, and melanoma (owing to S100 expression) [911, 5254, 56].
As was shown recently and already mentioned in the introduction, GLI1 immunohistochemistry (most often with cytoplasmic staining in rearranged cases and predominantly nuclear staining in amplified cases) might be a promising adjunct to identify tumors with GLI1 alterations, especially when (high throughput) molecular techniques are not available [16, 39, 57, 58]. However, cases with overexpression of GLI2 and PTCH1 alterations can be missed, and further studies are needed to confirm the robustness of this test. Also, co-amplification of GLI1 in other tumor types, e.g., dedifferentiated liposarcoma, should be kept in mind, especially in biopsies when atypical adipocytes are not present [59].
In conclusion, our study adds to the understanding of mesenchymal tumors with GLI-(related) alterations and confirms that these tumors show a broad clinicopathological and genetic spectrum, including GLI2 amplification, novel fusion partners (GLI2::PTBP1) and PTCH1-inactivating mutations, with the latter being an example of other alterations in the HH signaling pathway in this tumor entity. In contrast to the aggressive behavior of tumors at older ages with GLI1/2 amplification leading to unfavorable outcomes [9, 11, 20], our study cohort showed an indolent clinical course in young patients (with lesions with a GLI1/2 fusion), even in those with metastatic disease. Further studies are needed in order to improve therapeutic management and to better predict behavior, as biology is heterogeneous.

Acknowledgements

We would like to thank Dr. Alexi Baidoshvili and David Tvildiani of the Medical University Tbilisi in Georgia and Megalab Tbilisi in Georgia for their contribution to this manuscript.

Declarations

This study was conducted in accordance with the Code of Conduct for Medical Research of the Federation of the Dutch Medical Scientific Societies. In addition, the material acquisition was performed in accordance with the local biobanking initiative.

Conflict of interest

The authors declare no competing interests.
Open Access This article is licensed under a Creative Commons Attribution-NonCommercial-NoDerivatives 4.0 International License, which permits any non-commercial use, sharing, distribution and reproduction in any medium or format, as long as you give appropriate credit to the original author(s) and the source, provide a link to the Creative Commons licence, and indicate if you modified the licensed material. You do not have permission under this licence to share adapted material derived from this article or parts of it. The images or other third party material in this article are included in the article’s Creative Commons licence, unless indicated otherwise in a credit line to the material. If material is not included in the article’s Creative Commons licence and your intended use is not permitted by statutory regulation or exceeds the permitted use, you will need to obtain permission directly from the copyright holder. To view a copy of this licence, visit http://creativecommons.org/licenses/by-nc-nd/4.0/.

Publisher's Note

Springer Nature remains neutral with regard to jurisdictional claims in published maps and institutional affiliations.
download
DOWNLOAD
print
DRUCKEN
Titel
GLI1/2-altered mesenchymal tumors: a study of 8 cases expanding the clinicopathological and molecular spectrum including an upstream PTCH1-inactivating mutation
Verfasst von
L. S. Hiemcke-Jiwa
R. van Ewijk
M. M. van Noesel
B. B. J. Tops
S. A. Koppes
S. F. K. Lubeek
G. N. Jonges
A. J. Witkamp
A. von Deimling
A. H. G. Cleven
L. A. Kester
U. Flucke
Publikationsdatum
14.08.2025
Verlag
Springer Berlin Heidelberg
Erschienen in
Virchows Archiv / Ausgabe 4/2025
Print ISSN: 0945-6317
Elektronische ISSN: 1432-2307
DOI
https://doi.org/10.1007/s00428-025-04211-5
1.
Zurück zum Zitat Kinzler KW, Bigner SH, Bigner DD, Trent JM, Law ML, O’Brien SJ et al (1987) Identification of an amplified, highly expressed gene in a human glioma. Science 236(4797):70–73PubMedCrossRef
2.
Zurück zum Zitat Doheny D, Manore SG, Wong GL, Lo HW (2020) Hedgehog signaling and truncated GLI1 in cancer. Cells 9(9):2114PubMedPubMedCentralCrossRef
3.
Zurück zum Zitat Noubissi FK, Yedjou CG, Spiegelman VS, Tchounwou PB (2018) Cross-talk between Wnt and Hh signaling pathways in the pathology of basal cell carcinoma. Int J Environ Res Publ Health 15(7):1442CrossRef
4.
Zurück zum Zitat Cavalli FMG, Remke M, Rampasek L, Peacock J, Shih DJH, Luu B et al (2017) Intertumoral heterogeneity within medulloblastoma subgroups. Cancer Cell 31(6):737–54.e6PubMedPubMedCentralCrossRef
5.
Zurück zum Zitat Rubin LL, de Sauvage FJ (2006) Targeting the hedgehog pathway in cancer. Nat Rev Drug Discov 5(12):1026–1033PubMedCrossRef
6.
Zurück zum Zitat Sari IN, Phi LTH, Jun N, Wijaya YT, Lee S, Kwon HY (2018) Hedgehog signaling in cancer: a prospective therapeutic target for eradicating cancer stem cells. Cells 7(11):208PubMedPubMedCentralCrossRef
7.
Zurück zum Zitat Wang CY, Chang YC, Kuo YL, Lee KT, Chen PS, Cheung CHA et al (2019) Mutation of the PTCH1 gene predicts recurrence of breast cancer. Sci Rep 9(1):16359PubMedPubMedCentralCrossRef
8.
Zurück zum Zitat Dahlén A, Fletcher CD, Mertens F, Fletcher JA, Perez-Atayde AR, Hicks MJ et al (2004) Activation of the GLI oncogene through fusion with the beta-actin gene (ACTB) in a group of distinctive pericytic neoplasms: pericytoma with t(7;12). Am J Pathol 164(5):1645–1653PubMedPubMedCentralCrossRef
9.
Zurück zum Zitat Antonescu CR, Agaram NP, Sung YS, Zhang L, Swanson D, Dickson BC (2018) A distinct malignant epithelioid neoplasm with GLI1 gene rearrangements, frequent S100 protein expression, and metastatic potential: expanding the spectrum of pathologic entities with ACTB/MALAT1/PTCH1-GLI1 fusions. Am J Surg Pathol 42(4):553–560PubMedPubMedCentralCrossRef
10.
Zurück zum Zitat Agaram NP, Zhang L, Sung YS, Singer S, Stevens T, Prieto-Granada CN et al (2019) GLI1-amplifications expand the spectrum of soft tissue neoplasms defined by GLI1 gene fusions. Mod Pathol 32(11):1617–1626PubMedPubMedCentralCrossRef
11.
Zurück zum Zitat Xu B, Chang K, Folpe AL, Kao YC, Wey SL, Huang HY et al (2020) Head and neck mesenchymal neoplasms with GLI1 gene alterations: a pathologic entity with distinct histologic features and potential for distant metastasis. Am J Surg Pathol 44(6):729–737PubMedPubMedCentralCrossRef
12.
Zurück zum Zitat Liu J, Mao R, Lao IW, Yu L, Bai Q, Zhou X et al (2022) GLI1-altered mesenchymal tumor: a clinicopathological and molecular analysis of ten additional cases of an emerging entity. Virchows Arch 480(5):1087–1099PubMedCrossRef
13.
Zurück zum Zitat Bahceci D, Kim GE, Kakar S, Balitzer DJ, Nguyen ED, Ramachandran R et al (2024) Expanding the spectrum of GLI1-rearranged neoplasms of the gastrointestinal tract to include monophasic keratin-positive epithelial neoplasms. Am J Surg Pathol 48(11):1389–1394PubMedCrossRef
14.
Zurück zum Zitat Punjabi LS, Goh CHR, Sittampalam K (2023) Expanding the spectrum of GLI1-altered mesenchymal tumors-a high-grade uterine sarcoma harboring a novel PAMR1::GLI1 fusion and literature review of GLI1-altered mesenchymal neoplasms of the gynecologic tract. Genes Chromosomes Cancer 62(2):107–114PubMedCrossRef
15.
Zurück zum Zitat Reifenberger G, Reifenberger J, Ichimura K, Meltzer PS, Collins VP (1994) Amplification of multiple genes from chromosomal region 12q13-14 in human malignant gliomas: preliminary mapping of the amplicons shows preferential involvement of CDK4, SAS, and MDM2. Cancer Res 54(16):4299–4303PubMed
16.
Zurück zum Zitat Yeung MCF, Liu APY, Wong SI, Loong HH, Shek TWH (2024) GLI1-altered mesenchymal tumor-multiomic characterization of a case series and patient-level meta-analysis of one hundred sixty-seven cases for risk stratification. Mod Pathol 38(1):100635PubMedCrossRef
17.
Zurück zum Zitat Kim SH, Da Cruz PA, Basili T, Dopeso H, Bi R, Pareja F et al (2020) Identification of recurrent FHL2-GLI2 oncogenic fusion in sclerosing stromal tumors of the ovary. Nat Commun 11(1):44PubMedPubMedCentralCrossRef
18.
Zurück zum Zitat Shibayama T, Hayashi A, Abe N, Ohki A, Satomi K, Shibahara J (2024) Gastric mesenchymal tumor with gastroblastoma-like features harboring PTCH1::GLI2 fusion. Virchows Arch 485(3):563–567PubMedCrossRef
19.
Zurück zum Zitat Chen C, Lu J, Wu H (2022) Case report: Submucosal gastroblastoma with a novel PTCH1::GLI2 gene fusion in a 58-year-old man. Front Oncol 12:935914PubMedPubMedCentralCrossRef
20.
Zurück zum Zitat Saoud C, Agaimy A, Dermawan JK, Chen JF, Rosenblum MK, Dickson BC, Dashti N, Michal M, Kosemehmetoglu K, Din NU, Albritton K (2024) A comprehensive clinicopathologic and molecular reappraisal of GLI1-altered mesenchymal tumors with pooled outcome analysis showing poor survival in GLI1-amplified versus GLI1-rearranged tumors. Am J Surg Pathol 48(10):1302–17PubMedPubMedCentralCrossRef
21.
Zurück zum Zitat Wingett SW, Andrews S (2018) FastQ screen a tool for multi-genome mapping and quality control. F1000Res 7:1338PubMedPubMedCentralCrossRef
22.
Zurück zum Zitat Frankish A, Diekhans M, Jungreis I, Lagarde J, Loveland JE, Mudge JM et al (2021) GENCODE 2021. Nucleic Acids Res 49(D1):D916–D923PubMedCrossRef
23.
Zurück zum Zitat Benjamin D, Sato T, Cibulskis K, Getz G, Stewart C, Lichtenstein L (2019) Calling somatic SNVs and indels with Mutect2. bioRxiv 2:861054
24.
Zurück zum Zitat McLaren W, Gil L, Hunt SE, Riat HS, Ritchie GR, Thormann A et al (2016) The Ensembl variant effect predictor. Genome Biol 17(1):122PubMedPubMedCentralCrossRef
25.
Zurück zum Zitat Capper D, Jones DTW, Sill M, Hovestadt V, Schrimpf D, Sturm D et al (2018) DNA methylation-based classification of central nervous system tumours. Nature 555(7697):469–474PubMedPubMedCentralCrossRef
26.
Zurück zum Zitat Koelsche C, Schrimpf D, Stichel D, Sill M, Sahm F, Reuss DE et al (2021) Sarcoma classification by DNA methylation profiling. Nat Commun 12(1):498PubMedPubMedCentralCrossRef
27.
Zurück zum Zitat Aryee MJ, Jaffe AE, Corrada-Bravo H, Ladd-Acosta C, Feinberg AP, Hansen KD et al (2014) Minfi: a flexible and comprehensive Bioconductor package for the analysis of infinium DNA methylation microarrays. Bioinformatics 30(10):1363–1369PubMedPubMedCentralCrossRef
28.
Zurück zum Zitat Taipale J, Cooper MK, Maiti T, Beachy PA (2002) Patched acts catalytically to suppress the activity of Smoothened. Nature 418(6900):892–897PubMedCrossRef
29.
Zurück zum Zitat Dunaeva M, Michelson P, Kogerman P, Toftgard R (2003) Characterization of the physical interaction of Gli proteins with SUFU proteins. J Biol Chem 278(7):5116–5122PubMedCrossRef
30.
Zurück zum Zitat Carpenter RL, Ray H (2019) Safety and tolerability of sonic hedgehog pathway inhibitors in cancer. Drug Saf 42(2):263–279PubMedPubMedCentralCrossRef
31.
Zurück zum Zitat Carpenter RL, Lo HW (2012) Hedgehog pathway and GLI1 isoforms in human cancer. Discov Med 13(69):105–113PubMedPubMedCentral
32.
Zurück zum Zitat Zhu H, Lo HW (2010) The human glioma-associated oncogene homolog 1 (GLI1) family of transcription factors in gene regulation and diseases. Curr Genomics 11(4):238–245PubMedPubMedCentralCrossRef
33.
Zurück zum Zitat Niewiadomski P, Niedziółka SM, Markiewicz Ł, Uśpieński T, Baran B, Chojnowska K (2019) GLI proteins: regulation in development and cancer. Cells 8(2):147PubMedPubMedCentralCrossRef
34.
Zurück zum Zitat Dahlén A, Mertens F, Mandahl N, Panagopoulos I (2004) Molecular genetic characterization of the genomic ACTB-GLI fusion in pericytoma with t(7;12). Biochem Biophys Res Commun 325(4):1318–1323PubMedCrossRef
35.
Zurück zum Zitat Kerr DA, Pinto A, Subhawong TK, Wilky BA, Schlumbrecht MP, Antonescu CR et al (2019) Pericytoma with t(7;12) and ACTB-GLI1 fusion: reevaluation of an unusual entity and its relationship to the spectrum of GLI1 fusion-related neoplasms. Am J Surg Pathol 43(12):1682–1692PubMedPubMedCentralCrossRef
36.
Zurück zum Zitat Bridge JA, Sanders K, Huang D, Nelson M, Neff JR, Muirhead D et al (2012) Pericytoma with t(7;12) and ACTB-GLI1 fusion arising in bone. Hum Pathol 43(9):1524–1529PubMedPubMedCentralCrossRef
37.
Zurück zum Zitat Miettinen M, Dow N, Lasota J, Sobin LH (2009) A distinctive novel epitheliomesenchymal biphasic tumor of the stomach in young adults (“gastroblastoma”): a series of 3 cases. Am J Surg Pathol 33(9):1370–1377PubMedCrossRef
38.
Zurück zum Zitat Graham RP, Nair AA, Davila JI, Jin L, Jen J, Sukov WR et al (2017) Gastroblastoma harbors a recurrent somatic MALAT1-GLI1 fusion gene. Mod Pathol 30(10):1443–1452PubMedCrossRef
39.
Zurück zum Zitat Spans L, Fletcher CD, Antonescu CR, Rouquette A, Coindre JM, Sciot R et al (2016) Recurrent MALAT1-GLI1 oncogenic fusion and GLI1 up-regulation define a subset of plexiform fibromyxoma. J Pathol 239(3):335–343PubMedPubMedCentralCrossRef
40.
Zurück zum Zitat Jessurun J, Orr C, McNulty SN, Hagen CE, Alnajar H, Wilkes D et al (2023) GLI1 -rearranged enteric tumor : expanding the spectrum of gastrointestinal neoplasms with GLI1 gene fusions. Am J Surg Pathol 47(1):65–73PubMedCrossRef
41.
Zurück zum Zitat Sabol M, Trnski D, Musani V, Ozretić P, Levanat S (2018) Role of GLI transcription factors in pathogenesis and their potential as new therapeutic targets. Int J Mol Sci 19(9):2562PubMedPubMedCentralCrossRef
42.
Zurück zum Zitat Cloutier JM, Kerr DA (2024) GLI1-altered mesenchymal tumors. Surg Pathol Clin 17(1):13–24PubMedCrossRef
43.
Zurück zum Zitat Sursal T, Ronecker JS, Dicpinigaitis AJ, Mohan AL, Tobias ME, Gandhi CD et al (2022) Molecular stratification of medulloblastoma: clinical outcomes and therapeutic interventions. Anticancer Res 42(5):2225–2239PubMedCrossRef
44.
Zurück zum Zitat Rezaee N, Cohen B, Eno C, Shon W (2023) Primary cutaneous epithelioid mesenchymal tumor with a novel ATP2B4::GLI1 gene fusion. Am J Dermatopathol 45(9):642–645PubMedCrossRef
45.
Zurück zum Zitat Mentzel T, Beham A, Calonje E, Katenkamp D, Fletcher CD (1997) Epithelioid hemangioendothelioma of skin and soft tissues: clinicopathologic and immunohistochemical study of 30 cases. Am J Surg Pathol 21(4):363–374PubMedCrossRef
46.
Zurück zum Zitat Stein U, Eder C, Karsten U, Haensch W, Walther W, Schlag PM (1999) GLI gene expression in bone and soft tissue sarcomas of adult patients correlates with tumor grade. Cancer Res 59(8):1890–1895PubMed
47.
Zurück zum Zitat Banerjee S, Corless CL, Miettinen MM, Noh S, Ustoy R, Davis JL et al (2019) Loss of the PTCH1 tumor suppressor defines a new subset of plexiform fibromyxoma. J Transl Med 17(1):246PubMedPubMedCentralCrossRef
48.
Zurück zum Zitat Rollins BT, Cassarino DS, Lindberg M (2022) Primary cutaneous epithelioid mesenchymal neoplasm with ACTB-GLI1 fusion: a case report. J Cutan Pathol 49(3):284–287PubMedCrossRef
49.
Zurück zum Zitat Aivazian K, Mahar A, Jackett LA, Kimble RM, Scolyer RA (2021) GLI activated epithelioid cell tumour: report of a case and proposed new terminology. Pathology 53(2):267–270PubMedCrossRef
50.
Zurück zum Zitat Machado I, Hosler GA, Traves V, Claramunt R, Sanmartín O, Santonja C et al (2023) Superficial GLI1‐amplified mesenchymal neoplasms: expanding the spectrum of an emerging entity which reaches the realm of dermatopathology. J Cutan Pathol 50(6):487–499PubMedCrossRef
51.
Zurück zum Zitat Kerr DA, Cloutier JM, Margolis M, Mata DA, Rodrigues Simoes NJ, Faquin WC et al (2024) GLI1-altered mesenchymal tumors with ACTB or PTCH1 fusion: a molecular and clinicopathologic analysis. Mod Pathol 37(2):100386PubMedCrossRef
52.
Zurück zum Zitat Argani P, Boyraz B, Oliva E, Matoso A, Gross J, Fridman E et al (2022) GLI1 gene alterations in neoplasms of the genitourinary and gynecologic tract. Am J Surg Pathol 46(5):677–687PubMedPubMedCentralCrossRef
53.
Zurück zum Zitat Board WCoTE (2020) Soft tissue and bone tumours. International Agency for Research on Cancer
54.
Zurück zum Zitat Papke DJ Jr., Dickson BC, Oliveira AM, Sholl LM, Fletcher CDM (2023) Distinctive nested glomoid neoplasm: clinicopathologic analysis of 20 cases of a mesenchymal neoplasm with frequent GLI1 alterations and indolent behavior. Am J Surg Pathol 47(1):12–24
55.
Zurück zum Zitat Rindi G, Mete O, Uccella S, Basturk O, La Rosa S, Brosens LAA et al (2022) Overview of the 2022 WHO classification of neuroendocrine neoplasms. Endocr Pathol 33(1):115–154PubMedCrossRef
56.
Zurück zum Zitat Diaz-Perez JA, Kerr DA (2024) Gene of the month: DDIT3. J Clin Pathol 77(4):211–216PubMedCrossRef
57.
Zurück zum Zitat Parrack PH, Mariño-Enríquez A, Fletcher CDM, Hornick JL, Papke DJ Jr (2023) GLI1 immunohistochemistry distinguishes mesenchymal neoplasms with GLI1 alterations from morphologic mimics. Am J Surg Pathol 47(4):453–460
58.
Zurück zum Zitat Machado I, Agaimy A, Giner F, Navarro S, Michal M, Bridge J et al (2024) The value of GLI1 and p16 immunohistochemistry in the premolecular screening for GLI1-altered mesenchymal neoplasms. Virchows Arch 484(5):765–775PubMedCrossRef
59.
Zurück zum Zitat Sharma AE, Dickson M, Singer S, Hameed MR, Agaram NP (2024) GLI1 coamplification in well-differentiated/dedifferentiated liposarcomas: clinicopathologic and molecular analysis of 92 cases. Mod Pathol 37(6):100494PubMedPubMedCentralCrossRef
60.
Zurück zum Zitat Takahashi Y, Shimizu S, Ishida T, Aita K, Toida S, Fukusato T et al (2007) Plexiform angiomyxoid myofibroblastic tumor of the stomach. Am J Surg Pathol 31(5):724–728PubMedCrossRef

Neu im Fachgebiet Pathologie

Fabrizierte und/oder Induzierte Krankheit und medizinische Kindesmisshandlung

Fabrizierte und/oder Induzierte Krankheit (FII, ehemals Münchhausen-by-Proxy-Syndrom)/medizinische Kindesmisshandlung (MKM) ist eine Form der Kindesmisshandlung, bei der ein Kind oder Jugendliche*r unter 18 Jahren durch Handlungen einer …

Forensisch-medizinische körperliche Untersuchung von Mädchen und Jungen bei Verdacht auf Misshandlung und Missbrauch

1 Einleitung 2 Zielsetzung der Empfehlung 3 Grundsätze zum Umgang mit unterschiedlichen Settings/Auftraggebern und Zuweisern 3.1 Konsiliarische Mitbeurteilungen 3.2 Verletzungseinschätzungen für Jugendämter 3.3 Ermittlungsbehörden 3.4 Sonderfall …

Leibzeichen in Norddeutschland – ein (fast) vergessener Rechtsbrauch

In nordeuropäischen Kirchen werden – meistens im Rahmen von Baumaßnahmen – immer wieder menschliche Überreste entdeckt; diese befinden sich oft in mumifiziertem Zustand, und ihr Ursprung ist weitgehend unbekannt. Zu der Herkunft dieser Relikte – …

Präneoplasien des hepatozellulären Karzinoms

Das hepatozelluläre Karzinom (HCC) entsteht meist auf dem Boden einer Leberzirrhose. Häufige Risikofaktoren sind virale Hepatitiden B/C, Alkoholabusus, „metabolic dysfunction associated steatotic liver disease“ (MASLD) und genetische Erkrankungen.