Zum Inhalt

GLP- 1R status using validated monoclonal antibody in 689 cases of neuroendocrine neoplasm and its correlation with somatostatin receptor scintigraphy, insulin production, and histological grades

  • Open Access
  • 26.04.2025
  • ORIGINAL ARTICLE
Erschienen in:

Abstract

Radiolabeled glucagon-like peptide 1 (GLP- 1) analog scintigraphy is a new, high-sensitivity imaging method for detecting small insulinomas. Somatostatin receptor scintigraphy (SRS) is an established method for detecting gastroenteropancreatic neuroendocrine tumors. However, small benign insulinomas are difficult to detect using SRS. Furthermore, GLP- 1 receptor (GLP- 1R) expression and SRS results may be inversely correlated. We identified 689 neuroendocrine neoplasms, including pancreatic neuroendocrine tumors (PanNETs) and neuroendocrine neoplasms originating from non-pancreatic sites, and performed GLP- 1R immunostaining. Among the non-insulinoma PanNETs, immunohistochemical insulin or proinsulin positive cases were categorized as Inspos, and both negative cases as Insneg. High prevalence of GLP- 1R expression was detected in PanNETs and duodenal NETs (34% and 53%, respectively). Some pulmonary NETs were GLP- 1R positive (9%). In contrast, neither GI-NEC excluding one case nor pulmonary NEC exhibited GLP- 1R expression. The percentage of GLP- 1R positive cases for Inspos, Insneg, and insulinoma was 31%, 0%, and 84%, respectively. Among PanNETs, GLP- 1R positive cases showed higher expression of insulin and proinsulin than negative cases. SRS-positive patients showed lower expression levels of insulin, proinsulin, and GLP- 1R than SRS-negative patients. The expression in PanNETs and duodenal NETs may be derived from the expression in their normal counterparts. Insulinoma and Inspos cases showed GLP- 1R expression. Furthermore, as GLP- 1R-positive patients showed significantly higher expression of insulin and proinsulin than GLP- 1R negative patients, GLP- 1R may also be associated with neoplastic insulin production and GLP- 1 analog scintigraphy may detect subclinical insulinomas. In addition, SRS-negative cases showed significantly higher GLP- 1R expression than SRS-positive cases. These results suggest the application potential of GLP- 1 analog scintigraphy in combination with SRS as a detection tool.

Supplementary Information

The online version contains supplementary material available at https://doi.org/10.1007/s00428-025-04098-2.

Publisher's Note

Springer Nature remains neutral with regard to jurisdictional claims in published maps and institutional affiliations.

Introduction

Insulinomas are the most common functional pancreatic neuroendocrine tumors (PanNETs) that produce insulin and cause the hypoglycemic syndrome. Insulinomas are usually small in size, thereby complicating diagnosis using conventional imaging methods, such as CT, MRI, and EUS [1]. As even small insulinomas can cause clinical symptoms and be life-threatening if they cannot be surgically removed, imaging methods must be highly sensitive [2, 3]. Recently, radiolabeled glucagon-like peptide 1 (GLP- 1) analog scintigraphy has been introduced as a high-sensitivity imaging method for the detection of small insulinomas [3].
Somatostatin scintigraphy (SRS) is an established method for detecting gastroenteropancreatic neuroendocrine tumors. However, its detection is dependent on SSTR2 expression in the tumors, and small benign insulinomas are difficult to detect using SRS [14]. SRS detects biologically indolent with less sensitivity than GLP- 1 receptor (GLP- 1R) SPECT/CT [1], possibly because of lower SSTR2 expression [4, 5]. Furthermore, a previous study showed that in six malignant insulinomas, SRS-positive 3 cases were GLP- 1R scan-negative and three cases were GLP- 1R scan positive [3]. Therefore, GLP- 1R expression and SRS results were postulated to be inversely correlated; however, this hypothesis has not yet been confirmed. In addition, a recent study demonstrated the potential of GLP- 1R PET as a detection tool for pheochromocytomas, which are neuroendocrine tumors of the adrenal gland [6]. Therefore, neuroendocrine tumors of organs other than the pancreas might also express GLP- 1R; however, this has not been extensively studied.
GLP- 1R was associated with insulin secretion of β-cells of normal pancreatic tissues [7]. GLP- 1, an incretin hormone secreted from the enteroendocrine L cells in response to food intake, stimulates insulin release from β cells with connection to GLP- 1R [7]. Therefore, GLP- 1R expression might also be associated with insulin secretion in PanNETs, particularly insulinomas; however, this association has not been explored in detail. In addition, GLP- 1 has also been reported to augment cell proliferation and inhibit apoptosis in pancreatic endocrine β cells. These antiapoptotic actions are essential for the survival of β cells in response to cellular injury [8]. Other than β cells, GLP- 1 was also suggested to induce focal proliferation in the exocrine pancreas and, in the context of exocrine dysplasia, has been shown in previous studies to accelerate the formation of neoplastic PanIN lesions [9]. Moreover, the GLP- 1-based therapy for patients with diabetes potentially promotes pancreatic cancer [10]. In addition, GLP- 1R PET may be a potential tool for risk stratification of pheochromocytomas [6]. Therefore, the expression of GLP- 1R is postulated to be associated with neuroendocrine cell proliferation, progression, and the malignancy of neuroendocrine tumors; however, the relevant details are unknown.
The immunohistochemical expression of GLP- 1R has been studied using non-specific polyclonal antibodies [7]; however, in this study, we used an extensively validated monoclonal antibody (Mab3 F52) [7, 11]. Using this antibody, we explored the correlation between GLP- 1R expression and SRS and insulin production in PanNETs and compared its expression in PanNETs with that in neuroendocrine tumors of various organs. We also explored the association between its expression and histological grades.

Materials & methods

Samples and immunohistochemistry

We searched for information on NET, neuroendocrine carcinoma (NEC), carcinoid, middle ear adenoma/NET, olfactory neuroblastoma, paraganglioma/pheochromocytoma, cauda equina NET (CE-NET), medullary thyroid carcinoma, parathyroid adenoma, Merkel cell carcinoma, and pituitary adenoma/neuroendocrine tumors from pathology files at Tohoku University Hospital (Miyagi, Japan), Osaki Citizen Hospital (Miyagi, Japan), Aichi Prefectural Cancer Center Hospital (Nagoya, Japan), Noe Hospital (Osaka, Japan), Kansai Electric Power Hospital, and Kohnan Hospital (Miyagi, Japan). We excluded patients under 20 years of age at the time of surgery. Three pathologists (HW, FF, and HS) carefully reviewed the specimen histology and confirmed the diagnosis. In total, 689 cases were selected for immunohistochemical analysis, which included 108 PanNETs, 18 gastric NETs, 59 duodenal NETs, 1 NET of papilla Vater, 8 small intestinal NETs, 1 appendiceal NET, 79 rectal NETs, 1 NET of gallbladder, 2 NETs of extrahepatic bile duct, 27 gastrointestinal NECs, 23 pulmonary NETs, 5 mediastinum NETs, 22 pulmonary NECs, 1 renal NET, 9 urinary NECs, 3 NEC of uterine cervix, 3 middle ear NETs, 11 olfactory neuroblastomas, 1 NEC of pharynx, 90 paragangliomas/pheochromocytomas, 4 CE-NETs, 26 medullary thyroid carcinomas (MTC), 53 parathyroid adenomas, 6 parathyroid carcinomas, 20 Merkel cell carcinomas, and 108 pituitary neuroendocrine tumors. Eight cases (neuroendocrine carcinoma of the urine, uterine cervix, and pharynx and merkel cell carcinoma) were biopsied, and all other cases were resected. SRS was carried out in 17 patients with PanNETs. The results of the SRS were gained from radiological reports.
Serial sections of 10% formalin-fixed, paraffin-embedded (FFPE) tissues were prepared for subsequent analyses. A representative tissue section containing the tumor was selected for each case. Serial tissue sections with thickness within the range of 3–4 μm from the FFPE blocks were carefully prepared. The IHC protocols used in this study are summarized in Supplementary Table 1. We evaluated GLP- 1R immunoreactivity using a validated monoclonal antibody, 3 F52 [1113]. The histological grades of pancreatic and gastrointestinal neuroendocrine tumors were determined by calculating the Ki- 67 labeling index (Ki- 67 Li) and the mitotic index according to WHO, as previously described [1416].
The clinicopathological characteristics included in this study are summarized in Table 1. The research protocol of this study was approved by the institutional review boards of Tohoku University Graduate School of Medicine (2022–1–847, 2023–1–283) and the institutions mentioned above.
Table 1
Summary of clinicopathological findings of NENs in this study
Type of NEN
Total number (Male/Female)
Age Median (range)
Sampling method, n (%)
Histological grades
Other clinicopathological features, n (%)
GLP- 1R IRS, n
GLP- 1R IRS> 0
0
1
2
3
4
6
8
9
12
PanNET
108 (53/55)
60 (23–88)
Resection, n= 108 (100%)
G1, n= 63 (58%); G2, n = 43 (40%);G3, n = 2 (2%)
Hormonal activity: NF-PanNET n= 67 (62%); Insulinoma n = 31 (29%); PanNET, NOS n = 10 (9%)/Result of SRS: SRS positive, n = 11 (10%); SRS negative, n = 6 (6%); SRS NA, n = 91 (84%)/Hereditary background: MEN1, n = 7 (6%); VHL, n = 3 (3%); NA, n = 98 (91%)
71
3
4
7
8
2
9
0
4
37/108 (34%**)
Gastric NET
18 (15/4)
57 (23–88)
Resection, n= 18 (100%)
G1, n= 8 (44%); G2, n = 8 (44%); G3, n = 2 (12%)
 
15
0
1
1
0
1
0
0
0
3/18 (17%)
Duodenal NET
59 (36/23)
61 (31–81)
Resection, n= 59 (100%)
G1, n= 49 (83%); G2, n = 10 (17%)
Hereditary background: MEN1, n= 12 (20%); NF1, n = 1 (2%); NA, n = 46 (78%)
28
12
8
0
4
4
1
1
1
31/59 (53%)
NET of papilla Vater
1 (1/0)
61
Resection, n= 1 (100%)
G1, n= 1 (100%)
 
1
0
0
0
0
0
0
0
0
0/1 (0%)
SI-NET
8 (4/4)
62 (54–74)
Resection, n= 8 (100%)
G1, n= 5 (63%); G2, n = 3 (37%)
 
7
1
0
0
0
0
0
0
0
1/8 (13%)
Appendiceal NET
1 (0/1)
44
Resection, n= 1 (100%)
G1, n= 1 (100%)
 
1
0
0
0
0
0
0
0
0
0/1 (0%)
Rectal NET
79 (51/28)
60 (33–79)
Resection, n= 79 (100%)
G1, n= 59 (75%); G2, n = 19 (24%); G3, n = 1 (1%)
 
79
0
0
0
0
0
0
0
0
0/79 (0%)
NET of gallbladder
1(1/0)
58
Resection, n= 1 (100%)
G1, n= 62 (75%); G2, n = 20 (24%); G3, n = 1 (1%)
 
1
0
0
0
0
0
0
0
0
0/1 (0%)
NET of extrahepatic bile duct
2 (1/1)
54 (44–64)
Resection, n= 2 (100%)
G1, n= 1 (50%); G2, n = 1 (50%)
 
1
0
1
0
0
0
0
0
0
1/2 (50%)
GI-NEC
27 (20/7)
70 (43–86)
Resection, n = 27 (100%)
 
Site: Esophagus, n = 8 (30%); EG junction, n = 2 (8%); Stomach, n = 11 (41%); Papilla of vater, n = 1 (3%); Colon, n = 4 (15%); Rectum, n = 1 (3%)
27
0
0
0
1*
0
0
0
0
1/27 (4%)
Pulmonary NET
23 (11/12)
65 (36–81)
Resection, n = 23 (100%)
Typical carcinoid, n = 13 (57%); Atypical carcinoid, n = 7 (30%); Carcinoid, NOS, n = 3 (13%)
 
21
1
0
0
1
0
0
0
0
2/23 (9%)
Mediastinum NET
5 (4/1)
44 (36–57)
Resection, n = 5 (100%)
Atypical carcinoid, n = 5 (100%)
 
5
0
0
0
0
0
0
0
0
0/5 (0%)
Pulmonary NEC
22 (14/8)
71.5 (53–80)
Resection, n = 22 (100%)
 
Histology: Small cell carcinoma, n = 13 (59%); LCNEC, n = 9 (41%)
22
0
0
0
0
0
0
0
0
0/22 (0%)
Renal NET
1 (0/1)
46
Resection, n = 1 (100%)
  
1
0
0
0
0
0
0
0
0
0/1 (0%)
Urinary NEC
9 (8/1)
77 (67–87)
Resection, n = 6 (67%); Biopsy, n = 3 (33%)
 
Site: Ureter, n = 1 (11%); Urinary bladder, n = 5 (56%); Prostate, n = 3 (33%)
9
0
0
0
0
0
0
0
0
0/9 (0%)
NEC of uterine cervix
3 (0/3)
52 (35–62)
Resection, n = 2 (67%), Biopsy, n = 1 (23%),
  
3
0
0
0
0
0
0
0
0
0/3 (0%)
Middle ear NET
3 (2/1)
47 (46–52)
Resection, n = 3 (100%)
  
3
0
0
0
0
0
0
0
0
0/3 (0%)
Olfactory neuroblastoma
11 (8/3)
45 (31–75)
Resection n = 11 (100%)
  
11
0
0
0
0
0
0
0
0
0/11 (0%)
NEC of pharynx
1 (1/0)
58
Biopsy n = 1 (100%)
  
1
0
0
0
0
0
0
0
0
0/1 (0%)
Paraganglioma/Pheochromocytoma
90 (34/56)
51.5 (20–85)
Resection n = 90 (100%)
 
Histology: Paraganglioma, n = 28; Pheochromocytoma, n = 62
78
4
1
2
3
2
0
0
0
12/90 (13%)
Cauda equina NET
4(4/0)
51 (40–56)
Resection n = 4 (100%)
  
4
0
0
0
0
0
0
0
0
0/4 (0%)
Medullary thyroid carcinoma
26 (12/14)
57.5 (23–82)
Resection n = 26 (100%)
  
24
2
0
0
0
0
0
0
0
2/26 (8%)
Parathyroid adenoma
53 (16/37)
66 (25–86)
Resection n = 53 (100%)
  
52
0
0
0
0
1
0
0
0
1/53 (2%)
Parathyroid carcinoma
6 (3/3)
58.5 (57–75)
Resection n = 6 (100%)
  
6
0
0
0
0
0
0
0
0
0/6 (0%)
Merkel cell carcinoma
20 (7/13)
84 (56–93)
Resection, n = 17 (85%); Biopsy, n = 3 (15%)
  
20
0
0
0
0
0
0
0
0
0/20 (0%)
Pituitary NET
108 (53/55)
58 (21–79)
Resection n = 108 (100%)
 
PitNETof SF1 lineage/Gonadotroph PitNET, n = 55; PitNETof TPIT lineage/Corticotroph PitNET, n = 14; PitNETof PIT1 lineage/Lactotroph PitNET, n = 9; PitNETof PIT1 lineage/Somatotroph PitNET, n = 4; PitNETof PIT1 lineage/Mixed somatotroph-lactotroph PitNET, n = 1; PitNETof PIT1 lineage, NOS, n = 1; Mature plurihormonal PIT1-lineage PitNET, n = 3/Immature PIT1-lineage PitNET, n = 1; Null cell PitNET, n = 11; Plurihormonal PitNET, n = 2; Multiple synchromous PitNET, n = 3; PitNET, NOS, n = 4
108
0
0
0
0
0
0
0
0
0/108 (0%)
Abbreviation: IRS immunoreactivitiy score; NEN Neuroendocrine neoplasm; NET Neuroendocrine tumor; NF Non functional; NOS Not other specified; SI small intestinal; GI Gastrointestinal, NEC Neuroendocrine carcinoma; LCNEC Large cell neurondocrine carcinoma; SRS somatostatin receptor scintigraphy; NA Not available
* Gastric NEC
** Round off to the closest whole number

Immunohistochemical staining for GLP1-R, insulin, and proinsulin immunoreactivity

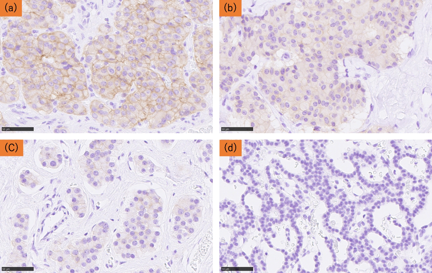
Membranous immunoreactivity of GLP- 1R and cytoplasmic immunoreactivity of insulin and proinsulin were evaluated semi-quantitatively using the immunoreactive score (IRS) [17]. IRS was calculated as reported in previous studies [17, 18]. An IRS ≥ 1 was defined as positive, and an IRS = 0 as negative [18, 19]. Representative images of GLP- 1R immunoreactivity are shown in Fig. 1.
Fig. 1
Representative illustrations of GLP- 1R immunohistochemistry. a Strong, (b) moderate, (c) weak (d) negative GLP- 1R immunoreactivity in the membrane of tumor cells
Bild vergrößern

Statistical analyses

All statistical analyses were carried out in JMP Pro ver. 16.0.0 (SAS Institute, Cary, NC, USA). The percentage of GLP- 1R IRS positive cases were compared using the χ2 test. The differences of insulin-, proinsulin- and GLP- 1R-IRS were evaluated using the Mann–Whitney U test. The correlation between insulin-, proinsulin- and GLP- 1R-IRS were evaluated using Spearman’s test. Statistical significance was set at P < 0.05.

Results

GLP- 1R immunoreactivity

GLP- 1R expression in neuroendocrine neoplasms is summarized in Table 1. Briefly, the expression of GLP- 1R varied among different types of neuroendocrine neoplasms. High prevalence of GLP- 1R expression was detected in PanNETs and duodenal NETs (34% and 53%, respectively). Some of the gastric NETs, pulmonary NETs, paraganglioma/pheochromocytoma, and medullary thyroid carcinoma were GLP- 1R positive. Neither GI-NEC excluding one case nor pulmonary NEC exhibited GLP- 1R expression. All rectal NET and pituitary NET were negative for GLP- 1R expression.
Furthermore, we confirmed six cases with a hereditary background (Multiple Endocrine Neoplasia type 1, MEN1), showing NENs in multiple organ tissues. These results are summarized in Table 2. Of the six cases, three (Cases 1, 3, and 4) showed lesions in both tissues that were positive for GLP- 1R expression, one showed lesions in which one of the tissues was positive (Case 2), and two were negative (Cases 5 and 6).
Table 2
GLP- 1R expression in the cases with a hereditary background showing multiple NENs
Case No
Sex
Age
Hereditary background
Hormonal activity
Tissue
GLP- 1R IRS
1
F
52
MEN1
Gastrinoma
Duodenum
6
Pancreas
12
2
M
46
MEN1
Gastrinoma
Duodenum
2
Pancreas
0
3
M
39
MEN1
Gastrinoma
Duodenum
4
Pancreas
8
4
M
31
MEN1
Gastrinoma
Duodenum
1
Pancreas
8
5
M
67
MEN1
Gastrinoma
Duodenum
0
Pancreas
0
6
M
52
MEN1
Gastrinoma
Duodenum
0
Pancreas
0
Abbreviation: IRS immunoreactivitiy score; MEN1 Multiple Endocrine Neoplasia type 1

Correlation between GLP- 1R immunoreactivity and insulin and proinsulin immunoreactivity and SRS results in PanNETs

In PanNET cases other than insulinoma, insulin- or proinsulin-IRS-positive cases were categorized as Inspos, both negative cases as Insneg, referring to a previous study [18]. A comparison of GLP- 1R expression between Inspos, Insneg, and insulinomas is summarized in Table 3. The percentage of GLP- 1R positive cases for Inspos, Insneg, and insulinoma was 31%, 0%, and 84%, respectively. Expression of GLP- 1R was significantly different between these groups (Inspos vs. Insneg, p < 0.0001; Inspos vs. Insulinoma, p < 0.0001; Insneg vs. Insulinoma, p < 0.0001).
Table 3
Association between insulin production and GLP- 1R expression
GLP1-R IRS > 0
P-value
Non-insulinoma
Insulinoma
Inspos
Insneg
Inspos vs.Insneg
Inspos vs.Insulinoma
Insneg vs.Insulinoma
11/35 (31%)
0/42 (0%)
26/31 (84%)
P < 0.0001
P < 0.0001
P < 0.0001
Abbreviation: IRS, immunoreactivitiy score
In PanNETs, GLP- 1R positive cases showed higher expression of insulin and proinsulin than GLP- 1R negative cases (Fig. 2a, b, p < 0.0001 and p < 0.0001, respectively). SRS-positive cases showed lower expression of insulin, proinsulin, and GLP- 1R than SRS-negative cases (Fig. 2c-e, p = 0.0182, p = 0.0457, and p = 0.0187, respectively). In addition, insulin- and proinsulin-IRS were both significantly correlated with GLP- 1R-IRS (Insulin-IRS: p < 0.0001, ρ = 0.6011; Proinsulin-IRS: p < 0.0001, ρ = 0.7348) analyzed by Spearman’s test.
Fig. 2
Box-plot graphs comparing immunoreactivity of GLP- 1R, insulin, proinsulin, and the result of SRS in PanNETs, GLP- 1R positive cases showed higher expression of (a) insulin (p < 0.0001) and (b) proinsulin (p < 0.0001) than GLP- 1R negative cases. SRS positive cases showed lower expression of (c) insulin (p = 0.0182), (d) proinsulin (p = 0.0457), and (e) GLP- 1R (p = 0.0187) than SRS negative cases
Bild vergrößern

Correlation between GLP- 1R expression and the histological grade

We explored the correlation between GLP- 1R immunoreactivity and histological grade in PanNETs and duodenal NETs. The results are summarized in Supplementary Table 2. No statistically significant differences were detected in the histological grade in all cases.

Discussion

In this study, we first evaluated GLP- 1R immunoreactivity using a validated monoclonal antibody, 3 F52 [11], in a large number of neuroendocrine tumors of the whole body. Furthermore, we explored the association between the primary sites, insulin or proinsulin productivity, SRS results, and histological grades.
In epithelial NENs, PanNETs and duodenal NETs show relatively high prevalence of GLP- 1R expression (34% and 53%, respectively, Table 1). In non-epithelial NENs, Paraganglioma/Pheochromocytoma also showed GLP- 1R expression (13%, Table 1). Previous studies showed the expression of GLP- 1R in insulinomas and paraganglioma/pheochromocytomas, but not in pituitary adenomas and pulmonary small cell carcinomas [20, 21] and the results of these previous studies are comparable with those of this study. Previous studies have observed that GLP- 1R expression was detected by autoradiography in normal tissues such as islets of the pancreas and Brunner’s glands of the duodenum [20, 22]. PanNETs and duodenal NETs often arise from neuroendocrine cells in the islets and Brunner’s glands, respectively. Therefore, we hypothesized that the expression in these tumors results from the expression native to their normal counterparts. GLP- 1R expression was also detected in 2/26 cases (8%; Table 1) of MTCs. Previous reports have demonstrated that 2/10 (20%) sporadic MTC cases and 0/10 (0%) MEN2 MTCs exhibit GLP- 1R expression [20, 23], which is consistent with our results. In addition, a previous study showed that C cells in human thyroid tissue do not express GLP- 1R [23]. MTCs showed hardly any GLP- 1R expression, possibly because MTCs might inherit C cells that do not show GLP- 1R expression. A larger sample of such cases is required for further clarification.
GLP- 1R expression was compared with insulin or proinsulin production and the results of SRS. Both insulinoma and Inspos cases exhibited GLP- 1R expression (Table 3). Furthermore, GLP- 1R-positive cases showed statistically significantly higher expression of insulin and proinsulin than GLP- 1R negative cases, so GLP- 1R could be associated with insulin production in PanNETs like β cells in pancreatic islets [8]. In addition, SRS-negative cases showed significantly higher expression of insulin, proinsulin, and GLP- 1R than SRS-positive cases, which is consistent with the results of a previous study that showed an inverse correlation between the results of the GLP- 1 receptor and somatostatin receptor subtype 2 scan [3]. Therefore, glucagon-like peptide 1 (GLP- 1) analog scintigraphy is likely not only a sensitive imaging method for the detection of small insulinomas [3], but also for subclinical insulinomas, and SRS-negative PanNETs. Furthermore, in certain patients with a hereditary background, MEN1 and multiple NET lesions showed GLP- 1R expression (Table 2). In addition, a previous report has suggested a detection tool targeting increased GLP- 1R expression in early lesions of MEN1 pancreas [24]. The usefulness of GLP- 1 analog scintigraphy as a tool for detecting multiple NETs should also be explored.
To investigate the relationship between GLP- 1R expression and malignancy, we examined the association between GLP- 1R and histological grade. Specifically, we studied PanNETs and duodenal NETs, which have relatively high GLP- 1R expression rates, but found no correlation between GLP- 1R and histological grade. Previous studies on PanNETs, specifically insulinomas, have demonstrated a relationship between GLP- 1R expression and prognosis, indicating that the lack of GLP- 1R expression is associated with poor prognosis [25]. The association between GLP- 1R expression and malignancy has been unclear. So further investigation is needed to clarify the relationship between GLP- 1R expression and malignancy.
The limitations of the present study are that GLP- 1R, insulin, and proinsulin were evaluated only immunohistochemically. We used samples collected between 2000 and 2024, so the results of immunohistochemistry might be affected by the aging of the tissue blocks. In addition, the cases were not collected consecutively and the number of cases tested via SRS was small, leading to the risk of selection bias. We might include patients with a history of endocrine disorders, which could be associated with insulin or GLP- 1R expression.
In conclusion, we suggested that GLP- 1R is expressed not only in insulinomas but also in subclinical insulinomas in PanNETs. In addition to PanNETs, duodenal NETs show high prevalence of GLP- 1R expression. Furthermore, SRS-negative PanNET cases show higher GLP- 1R expression; therefore, we propose the potential use of GLP- 1 analog scintigraphy as a detection tool in combination with SRS; however, this result warrants further analyses, including radiological studies.

Acknowledgements

We thank the laboratory technicians at Tohoku University Hospital for their assistance in preparing the histological and immunohistochemical images.

Declarations

Information regarding this study including the purpose of the study has been disclosed by posting the information disclosure materials approved by the Ethics Committee on the website of the Graduate School of Medicine, Tohoku University, Sendai, Japan. The requirement for patient consent was waived.

Conflicts of interest

The authors declare no conflicts of interest.

Institutional review board statement

The study was conducted in accordance with the guidelines of the Declaration of Helsinki and approved by the Institutional Review Board of Tohoku University Graduate School of Medicine (2022–1 - 847, 2024–1 - 184).
Open Access This article is licensed under a Creative Commons Attribution 4.0 International License, which permits use, sharing, adaptation, distribution and reproduction in any medium or format, as long as you give appropriate credit to the original author(s) and the source, provide a link to the Creative Commons licence, and indicate if changes were made. The images or other third party material in this article are included in the article's Creative Commons licence, unless indicated otherwise in a credit line to the material. If material is not included in the article's Creative Commons licence and your intended use is not permitted by statutory regulation or exceeds the permitted use, you will need to obtain permission directly from the copyright holder. To view a copy of this licence, visit http://creativecommons.org/licenses/by/4.0/.

Publisher's Note

Springer Nature remains neutral with regard to jurisdictional claims in published maps and institutional affiliations.
download
DOWNLOAD
print
DRUCKEN
Titel
GLP- 1R status using validated monoclonal antibody in 689 cases of neuroendocrine neoplasm and its correlation with somatostatin receptor scintigraphy, insulin production, and histological grades
Verfasst von
Hirofumi Watanabe
Fumiyoshi Fujishima
Yuto Yamazaki
Masayuki Imamura
Susumu Hijioka
Kazuo Hara
Takamichi Kuwahara
Yasushi Yatabe
Kazuhiro Sakamoto
Hisashi Shiga
Tomohiro Kawaguchi
Hiroyoshi Suzuki
Yumi Kanbayashi
Akira Ohkoshi
Muneaki Shimada
Hiromichi Niikawa
Mami Sato
Atsushi Fujio
Toshihiko Masui
Yosuke Kasai
Hideki Ota
Hiroshi Ozawa
Hidenori Endo
Michiaki Unno
Hironobu Sasano
Takashi Suzuki
Publikationsdatum
26.04.2025
Verlag
Springer Berlin Heidelberg
Erschienen in
Virchows Archiv / Ausgabe 6/2025
Print ISSN: 0945-6317
Elektronische ISSN: 1432-2307
DOI
https://doi.org/10.1007/s00428-025-04098-2

Supplementary Information

Below is the link to the electronic supplementary material.
1.
Zurück zum Zitat Baumann T, Rottenburger C, Nicolas G, Wild D (2016) Gastroenteropancreatic neuroendocrine tumours (GEP-NET) - Imaging and staging. Best Pract Res Clin Endocrinol Metab 30:45–57CrossRefPubMed
2.
Zurück zum Zitat Brom M, Oyen WJ, Joosten L, Gotthardt M, Boerman OC (2010) 68Ga-labelled exendin-3, a new agent for the detection of insulinomas with PET. Eur J Nucl Med Mol Imaging 37:1345–1355CrossRefPubMedPubMedCentral
3.
Zurück zum Zitat Wild D, Christ E, Caplin ME et al (2011) Glucagon-like peptide-1 versus somatostatin receptor targeting reveals 2 distinct forms of malignant insulinomas. J Nucl Med 52:1073–1078CrossRefPubMed
4.
Zurück zum Zitat Portela-Gomes GM, Stridsberg M, Grimelius L, Rorstad O, Janson ET (2007) Differential expression of the five somatostatin receptor subtypes in human benign and malignant insulinomas - predominance of receptor subtype 4. Endocr Pathol 18:79–85CrossRefPubMed
5.
Zurück zum Zitat Watanabe H, Ide R, Yamazaki Y et al (2021) Quantitative digital image analysis of somatostatin receptor 2 immunohistochemistry in pancreatic neuroendocrine tumors. Med Mol Morphol 54:324–336CrossRefPubMed
6.
Zurück zum Zitat Li M, Liu Y, Xu Y et al (2020) Preliminary evaluation of GLP-1R PET in the diagnosis and risk stratification of pheochromocytomas. Neoplasma 67:27–36CrossRefPubMed
7.
Zurück zum Zitat Kirk RK, Pyke C, von Herrath MG et al (2017) Immunohistochemical assessment of glucagon-like peptide 1 receptor (GLP-1R) expression in the pancreas of patients with type 2 diabetes. Diabetes Obes Metab 19:705–712CrossRefPubMed
8.
Zurück zum Zitat Drucker DJ (2003) Glucagon-Like Peptide-1 and the Islet β-Cell: Augmentation of cell proliferation and inhibition of apoptosis. Endocrinology 144:5145–5148CrossRefPubMed
9.
Zurück zum Zitat Gier B, Matveyenko AV, Kirakossian D, Dawson D, Dry SM, Butler PC (2012) Chronic GLP-1 receptor activation by exendin-4 induces expansion of pancreatic duct glands in rats and accelerates formation of dysplastic lesions and chronic pancreatitis in the Kras(G12D) mouse model. Diabetes 61:1250–1262CrossRefPubMedPubMedCentral
10.
Zurück zum Zitat Elashoff M, Matveyenko AV, Gier B, Elashoff R, Butler PC (2011) Pancreatitis, pancreatic, and thyroid cancer with glucagon-like peptide-1-based therapies. Gastroenterology 141:150–156CrossRefPubMed
11.
Zurück zum Zitat Pyke C, Heller RS, Kirk RK et al (2014) GLP-1 receptor localization in monkey and human tissue: novel distribution revealed with extensively validated monoclonal antibody. Endocrinology 155:1280–1290CrossRefPubMed
12.
Zurück zum Zitat Hennen S, Kodra JT, Soroka V et al (2016) Structural insight into antibody-mediated antagonism of the Glucagon-like peptide-1 Receptor. Sci Rep 6:26236CrossRefPubMedPubMedCentral
13.
Zurück zum Zitat Caltabiano R, Condorelli D, Panza S et al (2020) Glucagon-like peptide-1 receptor is expressed in human and rodent testis. Andrology 8(6):1935–1945CrossRefPubMed
14.
Zurück zum Zitat Nagtegaal ID, Odze RD, Klimstra D et al (2020) The 2019 WHO classification of tumours of the digestive system. Histopathology 76:182–188CrossRefPubMed
15.
Zurück zum Zitat Watanabe H, Yamazaki Y, Fujishima F et al (2020) O(6)-Methylguanine DNA methyltransferase and glucose transporter 2 in foregut and hindgut gastrointestinal neuroendocrine neoplasms. BMC Cancer 20:1195CrossRefPubMedPubMedCentral
16.
Zurück zum Zitat Watanabe H, Fujishima F, Komoto I et al (2022) Somatostatin receptor 2 expression profiles and their correlation with the efficacy of somatostatin analogues in gastrointestinal neuroendocrine tumors. Cancers (Basel) 14:775CrossRefPubMed
17.
Zurück zum Zitat Gatto F, Feelders RA, van der Pas R et al (2013) Immunoreactivity score using an anti-sst2A receptor monoclonal antibody strongly predicts the biochemical response to adjuvant treatment with somatostatin analogs in acromegaly. J Clin Endocrinol Metab 98:E66–E71CrossRefPubMed
18.
Zurück zum Zitat Tachibana T, Kasajima A, Aoki T et al (2020) Progesteron receptor expression in insulin producing cells of neuroendocrine neoplasms. J Steroid Biochem Mol Biol 201:105694CrossRefPubMed
19.
Zurück zum Zitat Kasajima A, Pavel M, Darb-Esfahani S et al (2011) mTOR expression and activity patterns in gastroenteropancreatic neuroendocrine tumours. Endocr Relat Cancer 18:181–192CrossRefPubMed
20.
Zurück zum Zitat Körner M, Stöckli M, Waser B, Reubi JC (2007) GLP-1 receptor expression in human tumors and human normal tissues: potential for in vivo targeting. J Nucl Med 48:736–743CrossRefPubMed
21.
Zurück zum Zitat Körner M, Christ E, Wild D, Reubi JC (2012) Glucagon-like peptide-1 receptor overexpression in cancer and its impact on clinical applications. Front Endocrinol (Lausanne) 3:158CrossRefPubMed
22.
Zurück zum Zitat Li Y, Tweedie D, Mattson MP et al (2010) Enhancing the GLP-1 receptor signaling pathway leads to proliferation and neuroprotection in human neuroblastoma cells. J Neurochem 113:1621–1631CrossRefPubMedPubMedCentral
23.
Zurück zum Zitat Waser B, Blank A, Karamitopoulou E et al (2015) Glucagon-like-peptide-1 receptor expression in normal and diseased human thyroid and pancreas. Mod Pathol 28:391–402CrossRefPubMed
24.
Zurück zum Zitat Monazzam A, Lau J, Velikyan I et al (2018) Increased expression of GLP-1R in proliferating islets of men1 mice is detectable by [(68)Ga]Ga-DO3A-VS-Cys(40)-Exendin-4 /PET. Sci Rep 8:748CrossRefPubMedPubMedCentral
25.
Zurück zum Zitat Vesterinen T, Peltola E, Leijon H et al (2023) Immunohistochemical glucagon-like peptide-1 receptor expression in human insulinomas. Int J Mol Sci 24:15164CrossRefPubMedPubMedCentral
26.
Zurück zum Zitat Kimura N, Takayanagi R, Takizawa N et al (2014) Pathological grading for predicting metastasis in phaeochromocytoma and paraganglioma. Endocr Relat Cancer 21:405–414CrossRefPubMed

Neu im Fachgebiet Pathologie

Taking imaging into the fourth dimension

  • Hauptreferate: Hauptprogramm der DGP

Modern hematopathology is in a constant state of evolution. New methods continuously allow unprecedented insights and interpretations of immune system processes. Both immunological reactions and malignant tumors of the immune system appear in a …

Automation of a pathology laboratory – current developments

  • Open Access
  • Hauptreferate: Hauptprogramm der DGP

Automation in histopathology is by no means a new topic. Indeed, a device for automated dehydration and paraffin impregnation was awarded a patent as early as 1909 [ 1 ]. However, subsequent efforts were limited to a few additional steps, such as …

Synoptic reporting

  • Hauptreferate: Hauptprogramm der DGP – Kurzbeiträge

Data quality (DQ) in surgical pathology is critical for both patient care and research. Particularly in times of big data and artificial intelligence (AI), data quality assurance is becoming increasingly important. Accordingly, synoptic reporting …

Koloniales Unrecht aufarbeiten – Provenienzforschung zur historischen „Schädelsammlung“ der Universität Leipzig (Deutschland)

  • Pathologie
  • Hauptreferate: Arbeitsgemeinschaften der DGP

Eine seit Jahren zunehmende Zahl von Museen und wissenschaftlichen Einrichtungen übernehmen Verantwortung für ihre Vergangenheit, indem sie Provenienzforschung in ihren Sammlungen initiieren und sich mit den dabei aufgedeckten Unrechtskontexten …