Zum Inhalt

Gradenigo’s syndrome associated to internal carotid artery vasculitis

  • 09.11.2023
  • Neuro-Images
Erschienen in:

Auszug

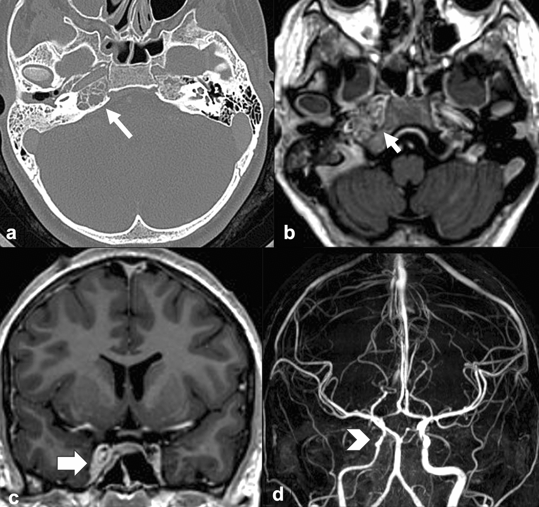
A 12-year-old girl presented with 10 day history of headache, retroocular pain, right 6th cranial nerve palsy and right side otorrhea. Based on clinical presentation, Gradenigo’s syndrome was diagnosed. Head CT demonstrated opacification in the right middle ear cavity, the mastoid air cells and right petrous apex. Asymmetric appearance of the cavernous sinuses was noted concerning for right cavernous sinus thrombosis. Brain MRI showed abnormal enhancement of the right petrous apex and the mastoid air cells in keeping with petrous apicitis and otomastoiditis. Filling defects and bulging of the lateral wall of the right cavernous sinus were seen due to right cavernous sinus thrombosis. There was narrowing of the cavernous segment of the right internal carotid artery (ICA) with associated soft-tissue thickening and vessel wall enhancement consistent with right ICA arteritis due to infectious vasculitis (Fig. 1). The patient was treated with intravenous antibiotics and anticoagulant therapy with improvement of the symptoms.
Fig. 1
Axial (a) head CT image shows opacification in the right middle ear cavity, the mastoid air cells, and right petrous apex (arrow). Axial (b) and coronal (c) T1 weighted images with contrast of brain MRI demonstrate abnormal enhancement of the right petrous apex (short arrow in b) and asymmetric appearance of the right cavernous sinus with filling defects and bulging of its lateral wall (arrow in c). Coronal maximal intensity projection time of flight MRA (d) shows narrowing of the cavernous segment of the right internal carotid artery (arrowhead)
Bild vergrößern
Titel
Gradenigo’s syndrome associated to internal carotid artery vasculitis
Verfasst von
Angela Guarnizo
Carlos Rugilo
Publikationsdatum
09.11.2023
Verlag
Springer International Publishing
Erschienen in
Acta Neurologica Belgica / Ausgabe 1/2025
Print ISSN: 0300-9009
Elektronische ISSN: 2240-2993
DOI
https://doi.org/10.1007/s13760-023-02408-6
Dieser Inhalt ist nur sichtbar, wenn du eingeloggt bist und die entsprechende Berechtigung hast.

Kompaktes Leitlinien-Wissen Neurologie (Link öffnet in neuem Fenster)

Mit medbee Pocketcards schnell und sicher entscheiden.
Leitlinien-Wissen kostenlos und immer griffbereit auf ihrem Desktop, Handy oder Tablet.

Neu im Fachgebiet Neurologie

Fazialisparese in der Liquordiagnostik aufgeklärt

Periphere Fazialisparesen sollten nicht vorschnell als idiopathisch klassifiziert werden. Vor allem bei atypischen Manifestationen gilt es, auf dem Quivive zu sein. Der Fall einer 73-Jährigen zeigt, warum.

Hilft Kaffee gegen Demenz?

  • 12.02.2026
  • Demenz
  • Nachrichten

Mit zwei bis drei Tassen Kaffee am Tag ist das Demenzrisiko um fast ein Fünftel reduziert, auch die kognitive Leistung ist dann deutlich besser als bei Kaffee-Abstinenz. Das gilt jedoch nur für koffeinhaltigen Kaffee. Ob Koffein tatsächlich protektiv wirkt, lässt eine Langzeitstudie aber offen.

Antibiotikum verbessert Prognose nach leichtem Schlaganfall

Eine Therapie mit Minocyclin kann das funktionelle Ergebnis nach einem milden ischämischen Schlaganfall geringfügig verbessern. In einer Phase-3-Studie aus China lag damit die Chance auf ein sehr gutes funktionelles Ergebnis rund fünf Prozentpunkte höher als unter Placebo.

Schlafarchitektur nach OP oft massiv gestört

Nach einem operativen Eingriff ist die Schlafqualität oft massiv beeinträchtigt. In einer US-Studie waren bei Risikopatienten nicht nur die Gesamtdauer des Schlafs, sondern vor allem auch REM- und Tiefschlafphasen deutlich verkürzt.

Update Neurologie

Bestellen Sie unseren Fach-Newsletter und bleiben Sie gut informiert.

Bildnachweise
Die Leitlinien für Ärztinnen und Ärzte, Lumbalpunktion/© Felipe Caparrós / stock.adobe.com, Arzt sitzt vor dem PC und trinkt Kaffee/© Jacob Lund / Stock.adobe.com (Symbolbild mit Fotomodell), Fachperson breitet Infusion vor/© pirke / stock.adobe.com (Symbolbild mit Fotomodellen), Frauen ruhen im Krankenhaus /© Gorodenkoff / Stock.adobe.com (Symbolbild mit Fotomodell)