Zum Inhalt

Unklare Raumforderung im M. masseter

download
DOWNLOAD
print
DRUCKEN
insite
SUCHEN

Redaktion

Torsten Reichert, Regensburg
QR-Code scannen & Beitrag online lesen

Hinweis des Verlags

Der Verlag bleibt in Hinblick auf geografische Zuordnungen und Gebietsbezeichnungen in veröffentlichten Karten und Institutsadressen neutral.

Anamnese

Eine im April 2013 in Syrien geborene Patientin stellte sich im Dezember 2024 erstmals in der MKG-Ambulanz vor. Seit 2 Jahren bestünden belastungsabhängige Schmerzen beim Kauen sowie eine intermittierende Schwellung der linken Wange. Laut Angaben des Vaters habe die Schwellung im letzten Jahr deutlich zugenommen. Es bestünden keine Ruheschmerzen, keine Dysphagie und keine Dyspnoe. Ein vorangegangenes Trauma wurde zunächst verneint. Die Anamnese war unauffällig: keine Vorerkrankungen, keine Dauermedikation, keine Allergien, keine Voroperationen oder Krankenhausaufenthalte.
Zuvor waren wiederholte Vorstellungen bei Kinder‑, HNO- und Zahnärzten erfolgt. Dabei konnte keine gesicherte Diagnose gestellt werden. Die Patientin wurde mehrfach ohne Verdachtsdiagnose weiterverwiesen. Im Dezember 2023 erfolgte bereits eine Vorstellung im Universitätsklinikum. Dort ergab eine Sonographie den Verdacht auf eine Myogelose im linken M. masseter. Konservative Maßnahmen (Analgesie, Wärmeanwendung) führten zu keiner Besserung. Im November 2024 erfolgte eine Überweisung an die Kollegen der Klinik für Hals‑, Nasen‑, Ohrenheilkunde unter Angabe einer bis zu 24 mm messenden Raumforderung im linken M. masseter sowie zervikal beidseits vergrößerter Lymphknoten. Die Patientin berichtete weiterhin über kaubelastungsabhängige Schmerzen und phasenweiser Schwellungszunahme der linken Wange.
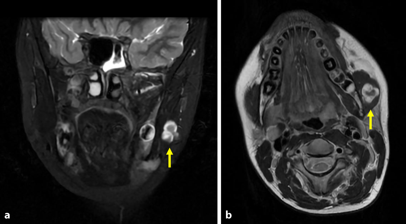
Eine darauffolgende MRT-Bildgebung des Kopf-Hals-Bereichs zeigte eine im Seitenvergleich prominente, zystisch imponierende Struktur im M. masseter links. In T2-Wichtung waren hypointense Binnenstrukturen erkennbar (Abb. 1). Zusätzlich zeigten sich vergrößerte Lymphknoten ohne Hinweise auf Abszedierung oder Einschmelzung. Seitens der Kollegen der Radiologie wurde eine sonographische Korrelation empfohlen.
Abb. 1
Natives Kopf-Hals-Magnetresonanztomogramm der Patientin in a koronarer Schichtung (STIR T2 frFSE) und b axialer Schichtung (T2 FSE). Deutlich erkennbar ist die hyperintense Raumforderung (Pfeil). STIR „short tau inversion recovery“, frFSE „fast relaxation fast spin echo“, FSE „fast spin echo“
Bild vergrößern
Daraufhin erfolgte die Vorstellung in der Klinik für Mund‑, Kiefer- und Gesichtschirurgie.

Klinischer Befund

Die klinische Untersuchung ergab eine altersentsprechend entwickelte, kooperative, 11-jährige Patientin in gutem Allgemeinzustand. Extraoral bestand keine sichtbare Schwellung oder Hautveränderung. Bimanuell tastete sich eine prallelastische, leicht druckdolente Raumforderung im linken M. masseter bis zum Kieferwinkel reichend. Keine Überwärmung, Rötung oder Fluktuation. Zervikal linksseitig waren verschiebliche, vergrößerte Lymphknoten palpabel. Die Mundöffnung war schmerzfrei und erfolgte ohne Deviation des Unterkiefers. Intraoral zeigte sich die Schleimhaut reizlos und das Gebiss altersentsprechend. Keine Befunde im Vestibulum oder am Mundboden.

Weiterführende Diagnostik

Die sonographische Kontrolle bestätigte eine 24,9 × 9,2 × 5,4 mm große, avaskuläre, inhomogene, zystische Raumforderung im linken M. masseter. Keine dorsale Schallverstärkung oder Schallschatten (Abb. 2). Zusätzlich fanden sich in den Leveln Ib und IIa links vergrößerte ovale, hilär vaskularisierte, scharf begrenzte Lymphknoten ohne Malignitätszeichen. Ein ergänzendes Orthopantomogramm (OPG) ergab keine Hinweise auf röntgendichte Fremdkörper, dentogene Foci oder anderweitige knöcherne Pathologien, die die klinischen Beschwerden erklären konnten.
Abb. 2
B‑Bild-Sonographie des Kopfes. a transversal und b longitudinal. rf Raumforderung, uk Unterkiefer, m. masseter M. masseter
Bild vergrößern

Weiteres Procedere

Nach zunächst erfolglosem konservativen Therapieversuch wurde die Indikation zur vollständigen chirurgischen Exstirpation der Raumforderung gestellt. Der Eingriff wurde in Intubationsnarkose über einen intraoralen Zugang durchgeführt. Die Inzision erfolgte in üblicher Weise entlang der ventralen Begrenzung des Ramus mandibulae, ossär krestal vom Processus coronoideus bis zur Regio 37. Die Präparation erfolgte unter konsequenter digitaler Palpationskontrolle. Mithilfe kontinuierlicher intraoperativer Sonographie konnte die Läsion in der Tiefe des linken M. masseter lokalisiert und unter spitz-stumpfer Präparation sukzessive freigelegt werden (Abb. 3 und 4). Makroskopisch war die Raumforderung schwer von der umgebenden Muskulatur abgrenzbar. Nach vollständiger Mobilisation gelang die Entfernung der Raumforderung in toto. Sämtliche Proben wurden zur histopathologischen Aufarbeitung eingesandt (Abb. 5). Nach sorgfältiger Hämostase erfolgte ein spannungsfreier, mehrschichtiger speicheldichter Wundverschluss mit resorbierbarem Nahtmaterial. Abschließend wurde ein Kopfdruckverband angelegt.
Abb. 3
Kontinuierliche intraoperative B‑Bild-Sonographie mit Darstellung der Raumforderung (Pfeil) von extraoral. Asterisk Corpus mandibulae, Raute M. masseter
Bild vergrößern
Abb. 4
Operationssitus: supraperiostale Präparation der intramuskulären Raumforderung (Pfeil)
Bild vergrößern
Abb. 5
Geborgene exstirpierte Raumforderungen (rechts) und intraoperativ suspekte Gewebeproben (links und mittig)
Bild vergrößern

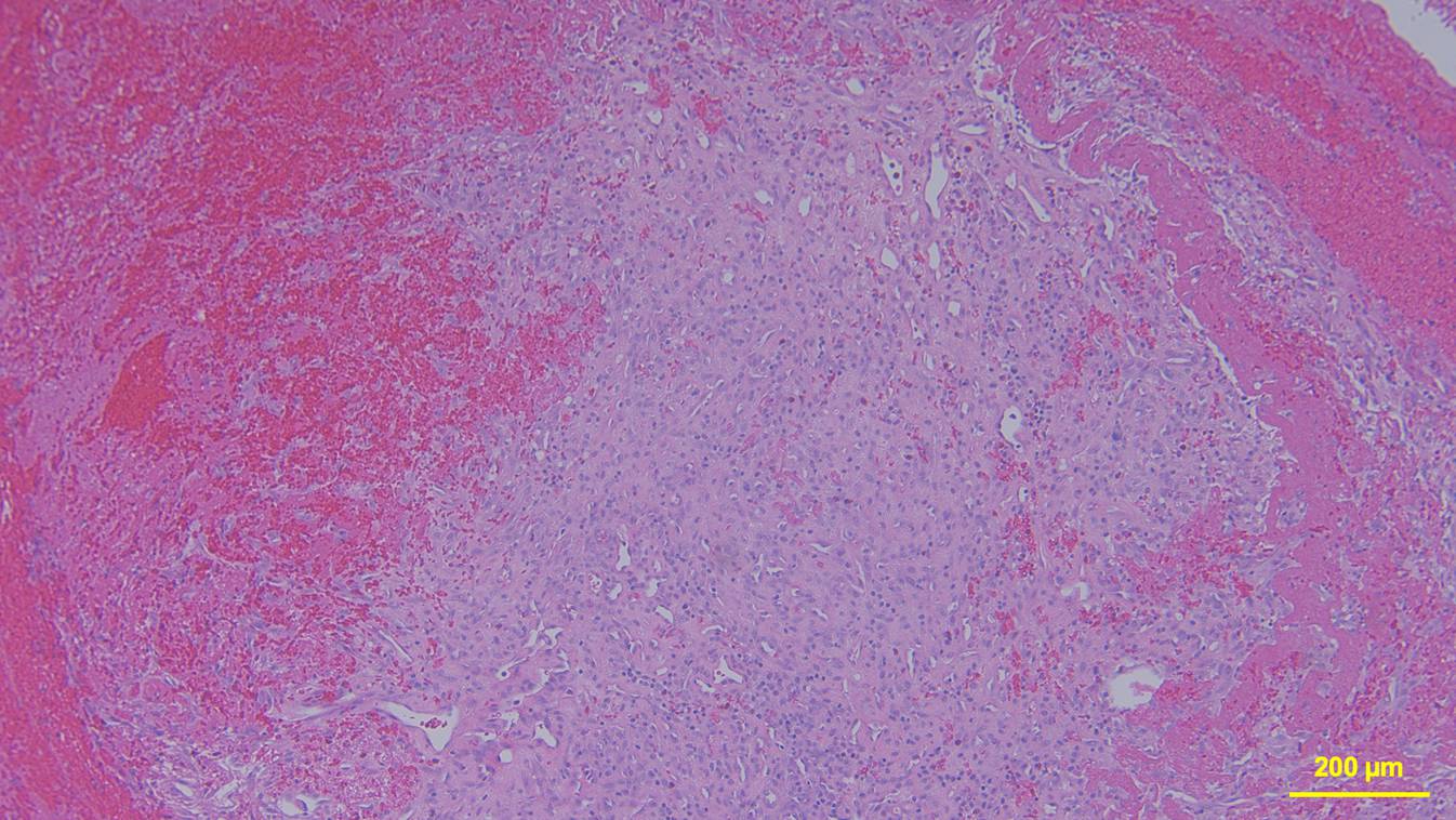
Histologie

Die histopathologische Aufarbeitung ergab: Fibröses Bindegewebe mit einliegender, leicht atropher Skelettmuskulatur. Daneben flächige Erythrozytenansammlungen durchsetzt mit Fibrin und korpuskulären Blutbestandteilen. Angrenzend knotiges Granulationsgewebe mit Kapillar- und Fibroblastenproliferaten sowie Histiozyten (Abb. 6). Kein wesentlicher florider inflammatorischer Prozess. Keine atypischen Zellinfiltrate. In der histologischen Gesamtbeurteilung ergibt sich eine atrophe Skelettmuskulatur mit älteren Einblutungen und einer assoziierten chronisch-resorptiven Entzündungsreaktion.
Abb. 6
Exemplarischer mikroskopischer Befund der exstirpierten Raumforderung. HE-Färbung
Bild vergrößern

Wie lautet Ihre Diagnose?

Histopathologisch ist dieser Befund mit einer chronisch-entzündlichen Reaktion auf einen Fremdkörper zu vereinbaren. Bei fehlendem Fremdkörpernachweis ist am ehesten von einer vollständigen Resorption auszugehen.

Komplettierte Anamnese

Im Rahmen der weiterführenden Klärung und unter Berücksichtigung einer uneinheitlichen Befundkonstellation wurde ein erneutes, ausführliches Anamnesegespräch mit der Patientin und ihrem Vater geführt. Dabei ergaben sich erstmals wesentliche Angaben zur Lebensgeschichte. Die aus Syrien stammende Familie war direkt vom dort seit 2011 andauernden Bürgerkrieg betroffen. Im Jahr 2015 überlebte die Patientin im Alter von 2 Jahren gemeinsam mit ihrem Vater einen Luftangriff, bei dem das Wohnhaus der Familie zerstört wurde. Aufgrund des Bombardements kamen die Mutter und die Schwester ums Leben. Die überlebende Patientin erlitt fremdanamnestisch eine oberflächliche Weichteilverletzung der linken Wange mit kurzzeitiger Blutung. Aufgrund der akuten Kriegssituation, fehlenden medizinischen Versorgung und zerstörten Infrastruktur erfolgte keine ärztliche Behandlung. Im Verlauf heilte die Läsion spontan ab. Vor dem Hintergrund der familiären Verluste und der existenziellen Bedrohung wurde der Verletzung keine weitere Beachtung geschenkt. Erst nach Ankunft in Deutschland im Jahr 2020 entwickelte sich im weiteren Verlauf eine progrediente Symptomatik mit lokalisierter Schwellung und kaubelastungsabhängigen Schmerzen im Bereich der linken Wange, die ab 2023 zu beschriebenen medizinischen Vorstellungen führte.

Definition

Ein Fremdkörpergranulom bezeichnet eine chronische Entzündungsreaktion auf eingedrungene Materialien wie Holz, Silikon oder Keratin, die nach Traumata, Operationen oder Injektionen entstehen kann [13]. Klinisch zeigt sich, wie in unserem Fallbeispiel, meist eine schmerzlose, tastbare Schwellung, häufig ohne erinnerte Verletzung. Diagnostisch ist die Bildgebung wegweisend. Während sowohl in der Sonographie, der Röntgenuntersuchung (in diesem Beispiel das OPG) und auch in der MRT der verursachende Fremdkörper meist dargestellt werden kann, zeigte sich hier lediglich die verbliebene Weichteilreaktion. Klassisch stellt sich in den T2-gewichteten Sequenzen eine deutliche Hyperintensität dar [1, 2]. Histologisch zeigen sich typischerweise die beschriebenen Ansammlungen von Histiozyten und Fibroblastenproliferationen [3]. Die Therapie besteht i. d. R. in der chirurgischen Entfernung des Fremdkörpers, falls vorhanden, und der reaktiven Kapsel.

Differenzialdiagnose

Zunächst sind bei kaubelastungsabhängigen Schmerzen funktionelle Erkrankungen des temporomandibulären Apparats auszuschließen. Zur kraniomandibulären Dysfunktion als ein im Kindesalter verbreiteter und v. a. bei weiblichen Patienten häufiger vorkommender Beschwerdekomplex [4] passen die belastungsabhängigen Schmerzen der Kaumuskulatur, insbesondere des M. masseter. Auch die beschriebene Schwellung wäre vereinbar. Allerdings zeigte die Patientin sowohl klinisch als auch radiologisch keine Zeichen von Kiefergelenkveränderungen und wies einen altersgerechten Zahnstatus mit habitueller Klasse-I-Okklusion auf. Zudem verwies die in Ruhestellung bestehende tastbare Raumforderung innerhalb des M. masseter auf eine andere Diagnosegruppe.
Intramuskuläre Raumforderungen im Kopf-Hals-Bereich sind insgesamt selten und sehr heterogen. Neben rein funktionell-biomechanischen Ursachen sind dennoch verschiedene benigne wie auch maligne Ätiologien als Symptomursache möglich – gerade bei fehlender Darstellbarkeit eines Fremdkörpers sowie zunächst verneintem Trauma [1, 2]. Intramuskuläre Hämangiome beispielsweise machen weniger als 1 % aller Hämangiome aus; etwa 14 % treten im Kopf-Hals-Bereich auf, am häufigsten im M. masseter [5]. Klinisch zeigen sie sich als indolente, langsam progrediente Schwellung, die bei Kieferkontraktion prominenter wird [5, 6]. In allen Altersgruppen, auch bei Kindern, werden sie als weiche, gut abgrenzbare Läsionen beschrieben [57]. Aufgrund des schleichenden subklinischen Verlaufs bei unserer Patientin und der Lokalisation musste ein intramuskuläres Hämangiom als Differenzialdiagnose erwogen werden. Da sich die Raumforderung sonographisch allerdings avaskuläre darstellte, war ein intramuskuläres Hämangiom unwahrscheinlich.
Weitaus seltener und in Einzelfällen im M. masseter beschrieben sind verschiedene weitere benigne Raumforderungen. Exemplarisch können Schwannome, Lipome, aber auch lymphatische Malformationen auftreten [810]. Insbesondere ihr langsames und nichtinfiltrierendes Wachstum muss bei eingangs beschriebener Symptomatik differenzialdiagnostisch beachtet werden. Seltene maligne Tumoren im Kindesalter umfassen Rhabdomyosarkome und Synovialkarzinome, die jeweils bereits im M. masseter beschrieben wurden [11, 12]. Bei fehlenden neurologischen Ausfällen und bildgebend scharfen Grenzen und somit fehlenden Anzeichen für ein infiltratives Wachstum war ein Malignom allerdings unwahrscheinlich.
Diagnose: Chronisches Fremdkörpergranulom mit vollständiger Resorption des Fremdkörpers
Darüber hinaus müssen infektiöse und entzündliche Ursachen (z. B. Tuberkulose, Abszessformationen etc.) bei hinweisgebenden klinischen und laborchemischen Befunden mitbedacht und ausgeschlossen werden.

Nachsorge und Verlauf

Postoperativ zeigte sich die Patientin durchgehend stabil und unter adäquater Analgesie schmerzkompensiert. Der Kopfdruckverband über der linken Wange wurde gut toleriert. Es kam postoperativ zu keiner Nachblutung sowie einer regelrechten Wundkonsolidierung, sodass die Patientin am zweiten postoperativen Tag in die Häuslichkeit entlassen werden konnte. Im Rahmen der ambulanten Nachsorge zeigte sich eine beschwerdefreie Patientin ohne tastbare Schwellung über dem linken M. masseter sowie nun fehlenden Schmerzen beim Kauen.
Der Fall zeigt die besonderen diagnostischen und therapeutischen Anforderungen an die Mund‑, Kiefer- und Gesichtschirurgie, insbesondere bei seltenen und komplexen Differenzialdiagnosen. Die unklare Weichteilschwellung bei einem Kind, der Verdacht auf ein Fremdkörpergranulom ohne nachweisbaren Fremdkörper sowie der mögliche Zusammenhang mit einem kriegstraumatischen Ereignis erfordern nicht nur hohe fachliche Spezialisierung, sondern auch interdisziplinäres Denken und besondere Sensibilität im Umgang mit jungen Patienten. All das zeichnet unser Fachgebiet aus.

Fazit für die Praxis

  • Intramuskuläre Raumforderungen im MKG-Bereich sind selten und hochvariabel und stellen hohe Anforderungen an differenzialdiagnostisches Geschick.
  • Ein fehlender Fremdkörper schließt ein Fremdkörpergranulom nicht aus.
  • Die Anamnese muss über aktuelle Beschwerden hinausgehen.
  • Kriegstraumata können Spätfolgen mit unspezifischer Symptomatik haben.
  • Kriegsverletzte sind auch in Europa eine zunehmend relevante Patientengruppe.
  • Die MKG-Chirurgie spielt fachlich und historisch eine bedeutsame Rolle bei Kriegsverletzungen.

Danksagung

Vielen Dank an die Kollegen des Instituts für Pathologie für die freundliche Bereitstellung der histopathologischen Schnittbilder.

Einhaltung ethischer Richtlinien

Interessenkonflikt

N.R. Klama, S. Baricak, F. Tavassol und F.N. Tilsen geben an, dass kein Interessenkonflikt besteht.
Für diesen Beitrag wurden von den Autor/-innen keine Studien an Menschen oder Tieren durchgeführt. Für die aufgeführten Studien gelten die jeweils dort angegebenen ethischen Richtlinien. Für Bildmaterial oder anderweitige Angaben innerhalb des Manuskripts, über die Patient/-innen zu identifizieren sind, liegt von ihnen und/oder ihren gesetzlichen Vertretern/Vertreterinnen eine schriftliche Einwilligung vor.
Open Access Dieser Artikel wird unter der Creative Commons Namensnennung 4.0 International Lizenz veröffentlicht, welche die Nutzung, Vervielfältigung, Bearbeitung, Verbreitung und Wiedergabe in jeglichem Medium und Format erlaubt, sofern Sie den/die ursprünglichen Autor(en) und die Quelle ordnungsgemäß nennen, einen Link zur Creative Commons Lizenz beifügen und angeben, ob Änderungen vorgenommen wurden. Die in diesem Artikel enthaltenen Bilder und sonstiges Drittmaterial unterliegen ebenfalls der genannten Creative Commons Lizenz, sofern sich aus der Abbildungslegende nichts anderes ergibt. Sofern das betreffende Material nicht unter der genannten Creative Commons Lizenz steht und die betreffende Handlung nicht nach gesetzlichen Vorschriften erlaubt ist, ist für die oben aufgeführten Weiterverwendungen des Materials die Einwilligung des jeweiligen Rechteinhabers einzuholen. Weitere Details zur Lizenz entnehmen Sie bitte der Lizenzinformation auf http://​creativecommons.​org/​licenses/​by/​4.​0/​deed.​de.

Hinweis des Verlags

Der Verlag bleibt in Hinblick auf geografische Zuordnungen und Gebietsbezeichnungen in veröffentlichten Karten und Institutsadressen neutral.

Unsere Produktempfehlungen

Die Chirurgie + umfangreiches Online-Angebot

Print-Titel

Das Abo mit mehr Tiefe

Mit der Zeitschrift Die Chirurgie erhalten Sie zusätzlich Online-Zugriff auf weitere 43 chirurgische Fachzeitschriften, CME-Fortbildungen, Webinare, Vorbereitungskursen zur Facharztprüfung und die digitale Enzyklopädie e.Medpedia.

Die MKG-Chirurgie

Print-Titel

  • Offizielles Organ der Deutschen Gesellschaft für Mund-, Kiefer- und Gesichtschirurgie (DGMKG)
  • Alle Bereiche der angewandten MKG-Chirurgie werden in umfassenden Themenschwerpunkten praxisnah abgedeckt

e.Med Interdisziplinär

Kombi-Abonnement

Für Ihren Erfolg in Klinik und Praxis - Die beste Hilfe in Ihrem Arbeitsalltag

Mit e.Med Interdisziplinär erhalten Sie Zugang zu allen CME-Fortbildungen und Fachzeitschriften auf SpringerMedizin.de.

Weitere Produktempfehlungen anzeigen
download
DOWNLOAD
print
DRUCKEN
Titel
Unklare Raumforderung im M. masseter
Verfasst von
Dr. med. N. R. Klama
S. Baricak
F. Tavassol
F. N. Tilsen
Publikationsdatum
04.11.2025
Verlag
Springer Medizin
Erschienen in
Die MKG-Chirurgie
Print ISSN: 2731-748X
Elektronische ISSN: 2731-7498
DOI
https://doi.org/10.1007/s12285-025-00544-x
1.
Zurück zum Zitat Ando A, Hatori M, Hagiwara Y, Isefuku S, Itoi E (2009) Imaging features of foreign body granuloma in the lower extremities mimicking a soft tissue neoplasm. Ups J Med Sci 114(1):46–51. https://​doi.​org/​10.​1080/​0300973080260245​5CrossRefPubMedPubMedCentral
2.
Zurück zum Zitat Felin GC, De Carli JP, Ericson Flores M, Bernardon Pretto JL, Copatti Dogenski L, De Conto F (2019) Foreign body reaction simulating mandibular osteosarcoma-Case report. Int J Surg Case Rep 60:58–62. https://​doi.​org/​10.​1016/​j.​ijscr.​2019.​03.​058CrossRef
3.
Zurück zum Zitat Hirsh BC, Johnson WC (1984) Pathology of granulomatous diseases. Foreign body granulomas. Int J Dermatol 23(8):531–538. https://​doi.​org/​10.​1111/​j.​1365-4362.​1984.​tb04204.​xCrossRefPubMed
4.
Zurück zum Zitat Minervini G, Franco R, Marrapodi MM, Fiorillo L, Cervino G, Cicciù M (2023) Prevalence of temporomandibular disorders in children and adolescents evaluated with Diagnostic Criteria for Temporomandibular Disorders: A systematic review with meta-analysis. J of Oral Rehabilitation 50(6):522–530. https://​doi.​org/​10.​1111/​joor.​13446CrossRef
5.
Zurück zum Zitat Kumar LKS, Kurien NM, Venugopal K, Nair PR, Mony V (2016) Intramuscular hemangioma of the masseter muscle—a case report and review of literature. Int J Surg Case Rep 26:209–216. https://​doi.​org/​10.​1016/​j.​ijscr.​2016.​07.​025CrossRef
6.
Zurück zum Zitat Park D, Park S, Baik B, Kim S (2021) A hemangioma in the masseter muscle: a case report. Arch Craniofac Surg 22(4):218–221. https://​doi.​org/​10.​7181/​acfs.​2021.​00283CrossRefPubMedPubMedCentral
7.
Zurück zum Zitat Kumar V, Ayushree (2022) Paediatric Masseter Hemangioma with Facial Nerve Involvement: A Diagnostic and Therapeutic Challenge. Indian J Otolaryngol Head Neck Surg 74(2):2045–2048. https://​doi.​org/​10.​1007/​s12070-020-02003-8CrossRefPubMed
8.
Zurück zum Zitat Kumar S, Agarwal P, Mehrotra D, Vijayan N (2018) Lymphatic malformation of the masseter: A case report. J Oral Biol Craniofac Res 8(3):200–202. https://​doi.​org/​10.​1016/​j.​jobcr.​2017.​06.​001CrossRefPubMed
9.
Zurück zum Zitat Nakamura A, Iguchi H, Kusuki M, Zushi T, Yamane H, Wakasa K (2006) Intramasseteric schwannoma in a child. Auris Nasus Larynx 33(3):347–350. https://​doi.​org/​10.​1016/​j.​anl.​2005.​11.​017CrossRefPubMed
10.
Zurück zum Zitat Tsumuraya G, Yamada H, Shimizu H, Hamada Y (2014) Intramuscular lipoma in the masseter muscle: a case report. Br J Oral Maxillofac Surg 52(4):e21–e23. https://​doi.​org/​10.​1016/​j.​bjoms.​2014.​01.​013CrossRefPubMed
11.
Zurück zum Zitat Freling NJ, Merks JH, Saeed P, Balm AJ, Bras J, Pieters BR, Adam JA, van Rijn RR (2010) Imaging findings in craniofacial childhood rhabdomyosarcoma. Pediatr Radiol 40(11):1723–1855. https://​doi.​org/​10.​1007/​s00247-010-1787-3CrossRefPubMedPubMedCentral
12.
Zurück zum Zitat Funato M, Kaneko H, Ozeki M, Kanda K, Fukao T, Mizuta K, Kondo N (2008) Pediatric synovial sarcoma of the right masseter muscle: A case report. Int J Pediatr Otorhinolaryngol Extra 3:105–108. https://​doi.​org/​10.​1016/​j.​pedex.​2007.​12.​001CrossRef

Neu im Fachgebiet Chirurgie

Periprothetische Infektion: Welches Verfahren beim Prothesenwechsel liegt im Trend?

Eine periprothetische Gelenkinfektion stellt ein erhebliches Mortalitätsrisiko in der Endoprothetik dar. Der Prothesenwechsel kann in einem einzeitigen oder zweizeitigen Verfahren erfolgen. Die Wahl des Verfahrens beeinflusst die Prognose maßgeblich, weshalb der Trend klar in eine Richtung geht.

Gliome zielgerichtet behandeln mit Vorasidenib

IDH (Isocitrat-Dehydrogenase)-Mutationen sind bei Gliomen im Erwachsenenalter ein wichtiger prognostischer und prädiktiver Faktor und zugleich ein ideales Target für eine zielgerichtete Therapie. Mittlerweile gibt es mit Vorasidenib eine zugelassene Behandlungsoption. 

Bei präoperativer Dyspnoe könnte sich gezieltes Atemtraining lohnen

Eine präoperative Dyspnoe war bei Teilnehmenden eines Prähabilitationsprogramms ein Risikofaktor für suboptimale Ergebnisse nach Op. am Magen-Darm-Trakt. Forschende aus den USA plädieren für ein verstärktes individuelles Atemtraining.

Bundesverfassungsgericht: Triage-Regelung nicht mit Grundgesetz vereinbar

Das Bundesverfassungsgericht hat Regelungen zur Triage für nichtig erklärt. Es gab damit Verfassungsbeschwerden von Intensiv- und Notfallmedizinern statt. Der Eingriff in die Berufsfreiheit der Ärztinnen und Ärzte sei verfassungsrechtlich nicht gerechtfertigt, betont das Gericht.

Update Chirurgie

Bestellen Sie unseren Fach-Newsletter und bleiben Sie gut informiert.

Bildnachweise
Knochensäge im Einsatz bei Knie-TEP/© Issara / stock.adobe.com (Symbolbild mit Fotomodellen), Hirntumoren sichtbar im MRT/© semnic / Getty Images / iStock (Symbolbild mit Fotomodell), Lungentrainer/© S@photo / stock.adobe.com (Symbolbild mit Fotomodell), Junge Ärztin vor einem Triage-Zelt/© Milos / Stock.adobe.com (Symbolbild mit Fotomodell)