Zum Inhalt
Die Pathologie

Gefäßtumoren der Leber

Erschienen in:
download
DOWNLOAD
print
DRUCKEN
insite
SUCHEN

Zusammenfassung

Gefäßtumoren der Leber haben eine Spannbreite von häufigen benignen Hämangiomen bis hin zu sehr seltenen malignen Gefäßtumoren, epitheloiden Hämangioendotheliomen und Angiosarkomen. Hämangiome werden in Relation zu ihrer Häufigkeit selten biopsiert und reseziert, insbesondere in radiologisch unklaren Fällen oder bei großen, rupturgefährdeten Tumoren. Besondere Aufmerksamkeit widmen wir in diesem Übersichtsartikel dem neu beschriebenen „hepatic small vessel neoplasm“ (HSVN/hepatische Kleingefäßneoplasie). Epitheloide Hämangioendotheliome und Angiosarkome können aufgrund ihrer Seltenheit und diagnostischer Fallstricke Schwierigkeiten in der histologischen Diagnostik bereiten. Diese „Pitfalls“ werden hier gezielt beleuchtet.

Schwerpunktherausgeberin

Beate Straub, Mainz
QR-Code scannen & Beitrag online lesen

Hinweis des Verlags

Der Verlag bleibt in Hinblick auf geografische Zuordnungen und Gebietsbezeichnungen in veröffentlichten Karten und Institutsadressen neutral.
Gefäßtumoren der Leber reichen von den häufigen benignen Hämangiomen bis hin zu den seltenen, hochmalignen Angiosarkomen. Hämangiome werden aufgrund ihres charakteristischen radiologischen Erscheinungsbildes nur selten biopsiert oder ab einer bestimmten Größe und Rupturgefahr reseziert. Es ist daher wichtig, auch ungewöhnliche Formen oder Varianten von Hämangiomen zu kennen, wie z. B. das „hepatic small vessel neoplasm“ (HSVN). Maligne Gefäßtumoren der Leber sind äußerst selten, bergen aber erhebliche diagnostische Fallstricke, denen wir in diesem Beitrag besondere Aufmerksamkeit widmen.

Nichtneoplastische Erkrankungen des hepatischen Gefäßsystems

Nichtneoplastische Erkrankungen des Gefäßsystems sind selten, bilden aber ein relativ weites Spektrum ab. Hierbei kann nach Alter des Patienten, aber auch nach betroffenem Gefäßabschnitt unterschieden werden.
Insgesamt sind primäre Erkrankungen der hepatischen Arterien äußerst selten, Einzelfallberichte zu Aneurysmen hepatischer Arterien (auch mit Ruptur) existieren [52]. Viel häufiger hingegen sind sekundäre Schädigungen bei Systemerkrankungen wie Diabetes mellitus, Arteriosklerose oder immunologisch vermittelte Vaskulopathien, z. B. im Rahmen von Autoimmunerkrankungen oder im Transplantationskontext. Typische Folgen sind Minderdurchblutungen der Leber mit zentralvenösen (Zone 3) hepatischen Nekrosen oder Ausbildung einer ischämischer Cholangiopathie.
Kongenitale Gefäßmalformationen betreffen häufig die Portalvenen. Je nach Ausprägung kann es zu Verschlüssen, Kollaps oder Verlust der Portalvenen führen. Folge ist, je nach Schwere, ein portaler Hypertonus.
Sinusoidale, nichtneoplastische Veränderungen kommen etwas häufiger vor, z. B. in Form der nichtobstruktiven sinusoidalen Dilatation oder in seiner Extremform als Peliosis hepatis, bei der es zu einer zystischen bis sackartigen Ausstülpung und Aufweitung der Sinusoide mit Ausbildung blutgefüllter Hohlräume (bis mehrere Zentimeter Größe) kommt. Die Ätiologie dahinter ist noch nicht hinreichend verstanden. Diskutiert werden Änderungen im Interleukin-6-Pathway oder die Aktivierung des vaskulären endothelialen Wachstumsfaktors (VEGF), aber auch Reaktionen auf andere Pathologien oder Medikamente sind beschrieben [22]. Oftmals sind diese histologisch zu beobachtenden Veränderungen jedoch klinisch inapparent. Differentialdiagnostisch ist in der Biopsie die bazilläre Angiomatose (Bartonellen-Infektion, s. Abschn. „Benigne Gefäßtumoren“) abzugrenzen. Sekundäre Formen können als „Rückstauphänomen“ beim Budd-Chiari-Syndrom auftreten. Sinusoidale Okklusionssyndrome (SOS) mit zentralvenöser Kongestion werden bei bestimmten Medikamenten (z. B. Alkaloide) beobachtet. Kommt es hier infolgedessen zu einer Obliteration kleiner Venen, ist der Begriff der „veno-occlusive disease“ (VOD) erfüllt. Dieser Zustand ist morphologisch nicht vom Budd-Chiari-Syndrom abzugrenzen. Beim Budd-Chiari-Syndrom handelt es sich um einen Verschluss der vor allem kleinen hepatischen Venen, primär oder sekundär, z. B. bei Schwangeren oder durch Infiltration intra- oder extrahepatischer Gefäße (Vena cava) durch maligne Tumoren [5]. Typisch ist bei allen diesen Formen eine Obliteration der Zentralvenen mit assoziierter Fibrose. Folge sind intrahepatische Thrombosen, die unbehandelt zum Tod führen können.

Benigne Gefäßtumoren

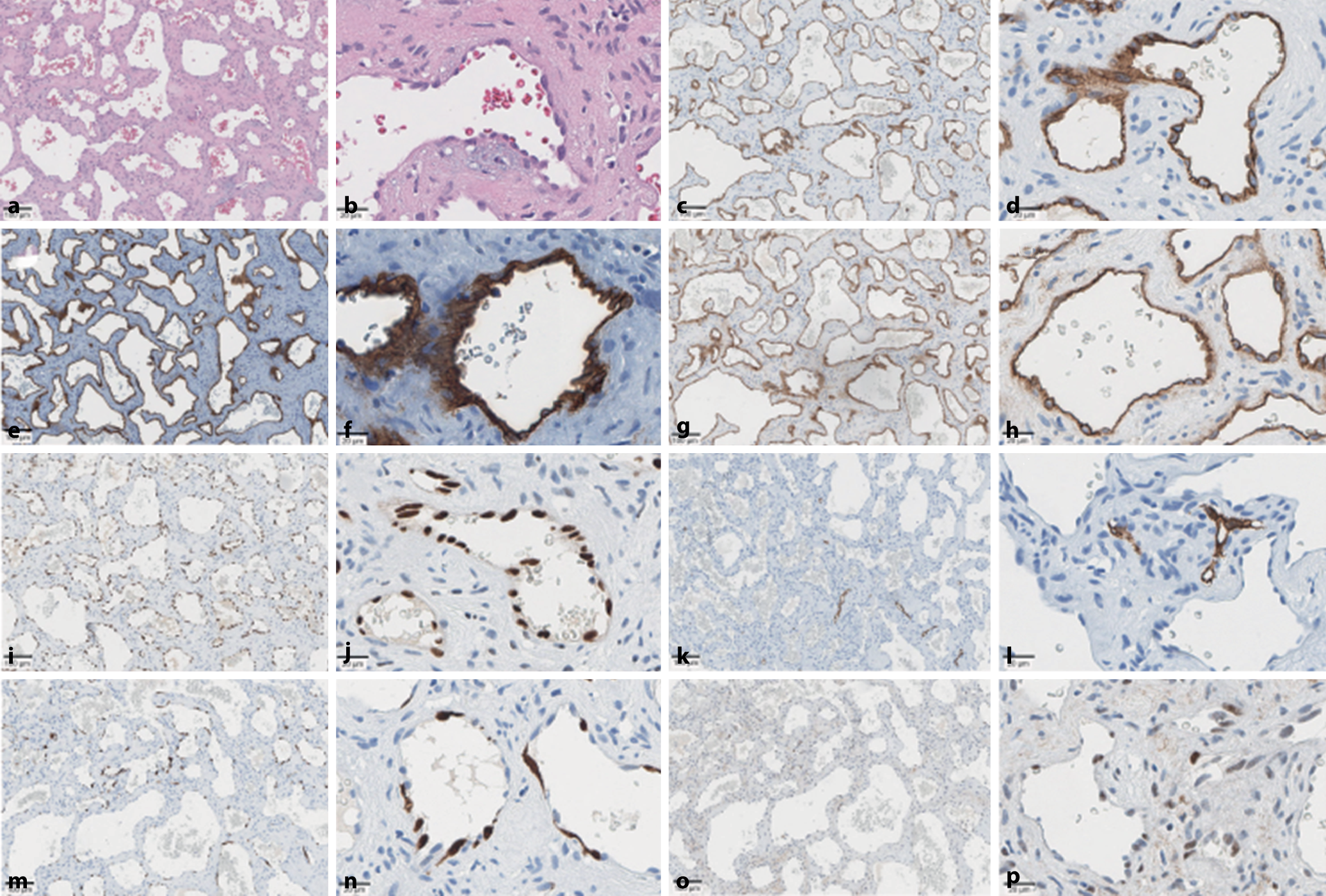
Mit Abstand am häufigsten ist die Gruppe der gutartigen Gefäßtumoren in der Leber zu finden. Sie machen etwa 20 % aller mesenchymalen Tumoren der Leber aus [3, 17]. Hierzu zählen mehrere, distinkte Entitäten [7]: konventionelle (kavernöse) Hämangiome, kongenitale Hämangiome, infantile hepatische Hämangiome, Lymphangiome und die Gruppe der „hepatic small vessel neoplasms“ (HSVN)/anastomosierende Hämangiome, wobei das klassische (kavernöse) Hämangiom mit Abstand am häufigsten zu beobachten ist. Diese sind in der Regel diagnostisch kein Problem für den Pathologen: Sie weisen typischerweise ein charakteristisches Bild dilatierter Gefäßspalten und Hohlräume mit blander Endothelzellauskleidung und umgebendem Stroma sowie typischem Immunprofil auf (Abb. 1). Bei pädiatrischen Hämangiomen sind neben histomorphologischen Merkmalen auch Unterschiede in der GLUT1-Expression differentialdiagnostisch hilfreich (kongenitales Hämangiom GLUT1-negativ, infantiles Hämangiom GLUT1-positiv [2]).
Abb. 1
Immunhistochemische Charakterisierung hepatischer klassischer (kavernöser) Hämangiome. Jeweils 2 unterschiedliche Vergrößerungen eines hepatischen Hämangioms in HE (ab), CD31 (cd), CD34 (ef), Thrombomodulin (gh), ERG (ij), Podoplanin (kl), p16 (mn) und p53 (op). Maßstab: 100 und 20 µm
Bild vergrößern
Stark sklerosierte Hämangiome als Sonderform des Hämangioms können in der radiologischen Diagnostik herausfordernd sein und machen im Vergleich zum konventionellen (kavernösen) Hämangiom oft eine Leberbiopsie nötig [48, 50]. Lange bestehende Läsionen können mitunter ausgeprägt sklerosiert sein und nur noch fokal endotheliale Strukturen beinhalten, sodass die differentialdiagnostische Abgrenzung zu Narbengewebe oder regressiv veränderten Malignomen erforderlich ist und ggf. eine Elastinfärbung durchgeführt werden sollte.
Eine relativ neue Entität, die zusammen mit den anastomosierenden Hämangiomen eine distinkte Gruppe mit gemeinsamen morphologischen und molekularen Eigenschaften bildet, ist das „hepatic small vessel neoplasm“ (HSVN) bzw. die hepatische Kleingefäßneoplasie. Hierbei handelt es sich um einen lokal infiltrativen, neoplastischen Gefäßtumor, der nahezu ausschließlich einem benignen Verlauf folgt [12, 30]. Histologisch zeigt sich eine vaskuläre Neoplasie mit kapillarähnlicher Morphologie (Abb. 2a, b). Ein hilfreiches differentialdiagnostisches Charakteristikum gegenüber anderen vaskulären Tumoren ist der Nachweis einer intraläsionalen, extramedullären Hämatopoese, die bevorzugt in der Tumorperipherie lokalisiert ist (Abb. 2c). Die Endothelzellauskleidung ist zytologisch blande und reagiert immunhistochemisch positiv gegenüber klassischen Endothelzellmarkern wie CD31, ERG und auch CD34 (Abb. 2d–f). Eine Assoziation des HSVN mit dem Budd-Chiari-Syndrom ist beschrieben [20]. Das HSVN weist häufig Mutationen im GNAQ-, GNA11- und GNA14-Gen auf, was in der Abgrenzung zu malignen Prozessen wie Angiosarkomen ein hilfreiches Diagnostikum bieten kann [27]. Im Unterschied zum HSVN zeigen anastomosierende Hämangiome kein infiltratives Wachstum.
Abb. 2
Typische Morphologie und Immunhistologie eines „hepatic small vessel neoplasm“ (HSVN, hepatische Kleingefäßneoplasie). In der Übersicht sieht man eine knotig-lobulär gebaute vaskuläre Proliferation (a, HE), die ein infiltratives Wachstum gegenüber dem Leberparenchym zeigt (b, HE; stehen gebliebene Leberinsel) und bei höherer Vergrößerung einen kapillarähnlichen Aufbau sowie eine extramedulläre Hämatopoese (c, HE; siehe einzelne Megakaryozyten) erkennen lässt. Kräftige Immunreaktionen für CD31 (d; membranär) und ERG (e; nukleär) in Abwesenheit von den über AE1/3 darstellbaren Zytokeratinen (f). Maßstab: a 200 µm, b 100 µm, cf 50 µm
Bild vergrößern
Extrem selten können reaktive/entzündliche Läsionen auftreten, wie z. B. die bazilläre Angiomatose, die häufig durch Bartonellen im Rahmen einer koexistierenden HIV-Infektion ausgelöst wird [44]. Sie sollte nicht mit einer echten vaskulären Neoplasie der Leber oder einer Peliosis hepatis verwechselt werden.

Maligne Gefäßtumoren

Epitheloides Hämangioendotheliom (EHE)

Hierbei handelt es sich um seltene, häufig multifokal auftretende, maligne Gefäßtumoren mit heterogenen morphologischen und klinischen Eigenschaften [51]. Häufig ist die Leber befallen, andere typische Lokalisationen sind Knochen [8, 55, 60], Lunge [14, 56] und Weichteile [18, 35, 57]. Molekularpathologisch lässt sich in 90 % der epitheloiden Hämangioendotheliome eine WWTR1::CAMTA1-Fusion detektieren [43], welche auch durch die Expression von CAMTA1 als Surrogatmarker immunhistochemisch nachgewiesen werden kann [9, 47]. In der Literatur sind allerdings vereinzelt immunhistochemisch falsch negative Fälle beschrieben [40]. In den übrigen 10 % der Fälle liegt eine YAP1::TFE3-Translokation vor. Diese zumeist als Subtyp der EHE angesehenen Fälle zeigen einen etwas aggressiveren tumorbiologischen Verlauf [23, 34, 37]. Neben den typischen Treibermutationen lassen sich in Einzelfällen noch Mutationen in Genen des DNA-Reparaturzyklus oder der Zellzykluskontrolle nachweisen [36]. Frauen sind bei den EHEs häufiger betroffen als Männer, wobei kein spezifischer Altersgipfel existiert, aber eine Häufung zwischen dem 30. und 40. Lebensjahr beschrieben ist.
Die EHEs können morphologisch sehr unterschiedlich erscheinen. Allen gemeinsam ist eine Proliferation gering bis mäßig atypischer, überwiegend epitheloider bis plump-spindelförmiger Zellen (Abb. 3a–c), eingebettet in eine zellarme, hyaline bis oftmals charakteristisch myxoide Grundsubstanz (Abb. 3d). Nekrosen können vorkommen und schließen die Diagnose eines EHE nicht aus. Die Zellkerne sind in der Regel mäßig vergrößert und können Nukleolen aufweisen (Abb. 3e). Charakteristisch sind insbesondere intrazytoplasmatische Lumina, in denen sich ab und an auch Erythrozyten erkennen lassen, sog. „blister cells (Abb. 3f).
Abb. 3
Jeweils 2 unterschiedliche Phänotypen eines epitheloiden Hämangioendothelioms in HE (ab). Typische Lagerung gering bis mäßiggradig atypischer, epitheloider Zellen in hypozellulärem Stroma (c HE, d Elastica van Gieson). Intrazytoplasmatische Lumenbildung (e) mit Nachweis von Erythrozyten (Pfeilf), Zytokeratinexpression (CK18, g), ERG (h), nur partieller Expression von CD34 (i), aber kräftiger Expression von CAMTA1 (j). Maßstab: 200µm (a, b, j). 100µm (g, h, i). 50µm (c, d, e, f)
Bild vergrößern
Die Diagnose eines epitheloiden Hämangioendothelioms kann mitunter problematisch sein [42]. Aufgrund der Seltenheit, der oftmals geringen Zellularität, der unspezifischen zytologischen Veränderungen, einer entzündlichen Überlagerung und angesichts des zellarmen Stromas können EHE in der Stanzbiopsie als reaktive/entzündliche Läsionen oder Granulationsgewebe fehlgedeutet werden. Da EHE (wie auch Angiosarkome) Zytokeratine (Abb. 3g) exprimieren können, sind insbesondere Adenokarzinome mit Stromadesmoplasie, aber auch (epitheloide) Angiosarkome wichtige Differentialdiagnosen mit Verwechslungspotenzial. Karzinome können durch den immunhistochemischen Nachweis einer vaskulären Differenzierung (z. B. mittels CD34, CD31, bedingt ERG, s.u.) ausgeschlossen werden, wobei einzelne Gefäßmarker auch negativ sein können. Daher sollte immer ein Panel verschiedener vaskulärer und epithelialer Marker durchgeführt werden (Abb. 3i). Diagnostisch hilfreich sind die Überexpression von CAMTA1 (s. oben; Abb. 3j) oder TFE3 oder der direkte molekularpathologische Nachweis der zugrundeliegenden Fusion.
Therapeutisch kann bei multifokalem Auftreten oder großer Tumormanifestation neben einer Leberteilresektion auch eine Lebertransplantation erwogen werden [49]. Ein extrahepatischer Tumornachweis oder Lymphknotenbefall ist hierbei keine Kontraindikationen für eine Transplantation. Die Prognose ist individuell sehr variabel und anhand klinischer und pathologischer Faktoren kaum vorherzusagen. Etwa ein Viertel aller Fälle entwickelt Fernmetastasen. Die 5‑Jahres-Überlebensrate beträgt im Durchschnitt 82 %, nach 10 Jahren noch etwa 64 % [24, 33].

Angiosarkome

Angiosarkome der Leber sind mit weltweit nur etwa 200 diagnostizierten Fällen pro Jahr äußerst seltene Tumoren, die etwa 2 % aller malignen primären Leberneoplasien ausmachen und die häufigste maligne mesenchymale Neoplasie der Leber darstellen [6]. Die Erkrankung tritt überwiegend im letzten Lebensdrittel auf, wobei Männer mit einem Verhältnis von 3:1 gegenüber Frauen deutlich häufiger betroffen sind [26].
Historisch besteht eine Assoziation mit in erster Linie 2 chemischen Substanzen, die aufgrund ihrer bekannten kanzerogenen Wirkung inzwischen nicht mehr verwendet werden, jedoch aufgrund der langen Latenzzeit in der Klinik weiterhin eine Rolle spielen können. Hierzu zählen das bei der Herstellung von Polyvinylchlorid (PVC) verwendete Gas Vinylchlorid [10, 31] sowie kolloidales Thoriumdioxid, das unter dem Handelsnamen Thorotrast bis in die 1960er-Jahre als Röntgenkontrastmittel Verwendung fand [15, 21]. Weitere Risikofaktoren sind androgene Steroide [11] sowie eine chronische Arsen- und Radiumintoxikation [46]. Insgesamt kann jedoch in etwa 75 % aller Fälle keine Verbindung zu den oben genannten Karzinogenen hergestellt werden [6]. Im Gegensatz zu anderen Organen wie der Brust spielen strahlungsassoziierte, sekundäre Angiosarkome in der Leber kaum eine Rolle, wobei auch hier einzelne Fälle bekannt sind [4].
Bedingt durch die geringe Inzidenz fehlen spezifische Studien zur Untersuchung von Tumorbiologie oder genomischen Alterationen in hepatischen Angiosarkomen, jedoch schließen einige breiter angelegte Studien auch einzelne hepatische Angiosarkome mit ein. Von 4 untersuchten Fällen zeigten hierbei 2 eine KDR-Amplifikation, außerdem wurden in je einem Fall eine MYC-Amplifikation, ein Verlust von CDKN2A und eine Missense-Mutation im NRAS-Gen identifiziert [39]. Eigene, bislang unpublizierte Daten können diese molekularen Veränderungen jedoch nicht bestätigen.
Hepatische Angiosarkome haben eine sehr schlechte Prognose. Eine große Metaanalyse zu Prognose und Behandlung hepatischer Angiosarkome aus dem Jahr 2023 stellte ein medianes Überleben von 7,0 Monaten sowie ein durchschnittliches 3‑Jahres-Überleben von unter 5 % fest [45]. Wenn möglich, wird eine radikale Therapie mit chirurgischer Resektion empfohlen. Dann liegt das durchschnittliche Überleben dieser Patienten mit etwa 17 Monaten deutlich höher als bei Patienten mit irresektablem Befund [45]. Eine Lebertransplantation stellte sich im Gegensatz zu anderen hepatischen Tumoren als erfolglos heraus [41]. Bis heute existiert kein therapieprädiktiver Biomarker, wobei nach Identifikation einzelner Fälle mit einer ROS1::GPOC-Genfusion kurzzeitig ROS1-Inhibitoren wie Crizotinib als aussichtsreiche Kandidaten angesehen wurden. Jedoch wurden in einer größeren Studie mit 13 hepatischen Angiosarkomen keine weiteren ROS1-Fusionsgene gefunden [16, 32].
Makroskopisch zeigen hepatische Angiosarkome in der Mehrzahl der Fälle einen ausgedehnten Leberparenchymbefall bei Diagnosestellung (Infiltration beider Leberlappen in 81,4 %, [54]), oft unter Ausbildung multipler Tumorherde (10,6–38,6 %, [45, 54]) oder mit diffuser Parenchyminfiltration (20,5 %, [54]) und einer medianen Tumorgröße von ca. 11 cm [54]. Die Tumoren sind unscharf begrenzt und hämorrhagisch.
Histomorphologisch liegt aufgrund der endothelialen Differenzierung hepatischer Angiosarkome nahe, dass sie in der Regel eine vasoformative Morphologie annehmen, zumeist in Form kleinkalibriger, komplex anastomosierender neoplastischer Blutgefäße und manchmal auch nur in Form schlitzförmiger, schlecht differenzierter Gefäßspalten (Abb. 4). Beinahe ebenso häufig ist aber kein vasoformatives Wachstum nachweisbar [58]. Solche hepatischen Angiosarkome nehmen dann eine epitheloide oder spindelzellige Morphologie an und sind diagnostisch besonders herausfordernd, da sie ein breites Spektrum an Differentialdiagnosen aufwerfen (Tab. 1).
Abb. 4
Wuchsformen hepatischer Angiosarkome. Komplex anastomosierende Gefäßspalten (a). Drüsen imitierende Gefäßstrukturen eines Angiosarkoms (weiße Pfeile) mit zytoplasmatischen Vakuolen mit Erythrozyten (schwarze Pfeile: Gallengänge, b). Angiosarkomrezidiv mit subtiler sinusoidaler Ausbreitung (cd). Die neoplastischen Endothelien demaskieren sich mittels p53-Immunhistochemie (e)
Bild vergrößern
Tab. 1
Diagnostische Herausforderungen bei hepatischen Angiosarkomen
Diagnostische Situation
Differenzialdiagnosen
Pitfalls
Hilfestellungen
Gut differenziertes vasoformatives Wachstum
Benigne vaskuläre Läsionen (z. B. anastomosierendes Hämangiom, hepatische Kleingefäßneoplasie)
Hochgradige Kernatypien; hohe Mitoserate; atypische Mitosen; Molekularpathologie (GNAQ/GNA11/GNA14 bei hepatischer Kleingefäßneoplasie); klinisch-radiologischer Kontext
Sinusoidale Ausbreitung
Zirkulatorisch bedingte Dilatation der Sinusoide; Peliose; Leberzirrhose
Kernatypien bei sinusoidaler Ausbreitung des Angiosarkoms oft subtil
p53; klinisch-radiologischer Kontext
Vasoformatives Wachstum, epitheloide Morphologie
(hepatozelluläres) Karzinom mit pseudvaskulärer Wuchsform
Angiosarkom ggf. CK+
ERG; CD31
Fehlendes vasoformatives Wachstum, spindelzellige Morphologie
Sarkomatoides Karzinom bzw. Karzinommetastase, Metastase eines gastrointestinalen Stromatumors, Melanommetastase, Kaposi-Sarkom
Angiosarkom ggf. CK+, GIST oft CD34+
ERG; CD31; bzgl. Kaposi-Sarkom HHV8
Fehlendes vasoformatives Wachstum, epitheloide Morphologie
Karzinom(metastase), Melanommetastase, Lymphom
Angiosarkom ggf. CK+, Prostatakarzinom oft ERG+
ERG, CD31
In der Regel zeichnen sich hepatische Angiosarkome durch ausgeprägte Kernatypien, hohe Mitoserate und komplexe Architektur aus. Am besser differenzierten Ende des Spektrums kann die Abgrenzung von benignen Gefäßtumoren schwerfallen. Insbesondere die seltene HSVN/das anastomosierende Hämangiom sollten trotz der architekturalen Komplexität nicht als Angiosarkom fehlinterpretiert werden [28]. Differentialdiagnostisch wegweisend sind hier insbesondere die das Angiosarkom kennzeichnenden zytologischen Atypien, die Mitoseaktivität und ggf. das Vorhandensein von Tumorzellnekrosen. In Einzelfällen kann eine Abgrenzung aber schwerfallen. Hier können molekularpathologische Zusatzuntersuchungen (z. B. GNAQ/GNA11/GNA14-Mutationen bei HSVN) und auch eine Korrelation mit dem klinisch-radiologischen Bild (Tumorgröße, Multifokalität, Wachstumsdynamik) hilfreich sein.
Besonders herausfordernd sind solche Areale in hepatischen Angiosarkomen, in denen sich die Tumorzellen entlang der Lebersinusoide ausbreiten und ggf. zu einer Erweiterung der Sinusoide bis hin zu einem Peliosis-artigen Bild führen. In 4 von 21 Fällen [58] war diese sinusoidale Infiltration der Leber das prädominante Wuchsmuster, welches auch immer wieder in Einzelfallberichten [19, 25, 29, 59] beschrieben wird und in der Erfahrung der Autoren einen bedeutenden Fallstrick darstellt. Eine diagnostische Stütze kann eine p53-Immunhistochemie in mutierten Fällen sein [59]. Sie sollte bei unklaren Läsionen der Leber großzügig zum Einsatz kommen, um auch Minimalinfiltrate eines Angiosarkoms nicht zu übersehen.
Besteht HE-morphologisch in einer Leberbiopsie der Verdacht auf ein Angiosarkom oder möchte man ein solches im Fall eines atypischen spindelzelligen oder epitheloiden Tumors ausschließen, sind ERG und CD31 die aktuell besten immunhistochemischen Marker, da in der Erfahrung der Autoren praktisch alle Angiosarkome ERG und CD31 exprimieren (laut Literatur: ERG in 87,5–100 %, CD31 in 79,2–100 % [53, 54]; Abb. 5). Als diagnostischer Pitfall seien Adenokarzinome der Prostata genannt, die ebenfalls oft ERG exprimieren, wobei sich diese Differentialdiagnose durch den entsprechenden klinischen Kontext und weitere immunhistochemische Marker (z. B. NKX3.1, PSA) auflösen lässt. Aus der Erfahrung der Autoren können die in den immunhistochemischen Laboren etablierten ERG-Antikörperklone bzw. -Färbeprotokolle in ihrer Sensitivität variieren, sodass die Kenntnis der laboreigenen Sensitivität und Spezifität hinsichtlich ERG für die Bewertung des Färbeergebnisses bedeutsam ist. CD34 ist ein zweischneidiges Schwert und wie CD31 als membranärer Marker besser als ERG geeignet, das Wuchsmuster zu beurteilen. Dies kann für den Nachweis einer architekturalen Komplexität hilfreich sein, da die HE-Morphologie manchmal durch Hämorrhagien erschwert beurteilbar ist. CD34 ist zwar zumeist positiv (76,9–87,5 %; [53, 54]), bietet aber keine ausreichende Spezifität und kann von einer Vielzahl anderer, v. a. mesenchymaler Tumoren exprimiert werden. Beispielsweise sei hier der gastrointestinale Stromatumor (GIST) genannt. Eine Abgrenzung einer Lebermetastase eines CD34-positiven GIST gegenüber einem spindelzelligen, nichtvasoformativen Angiosarkom gelingt durch Hinzunahme weiterer vaskulärer Marker wie ERG und CD31, welche von GIST nicht exprimiert werden. Von einer alleinigen Verwendung von CD34 bei Verdacht auf ein Angiosarkom ist somit, insbesondere bei nichtvasoformativen Tumoren, abzuraten.
Abb. 5
Epitheloides, kaum vasoformatives Angiosarkom (a) mit aberranter Zytokeratinexpression (b, Klon AE1/3), aber durchgehender ERG-Expression (c). Zwar wird CD31 kräftig exprimiert (d), allerdings ist CD34 vollständig negativ (e)
Bild vergrößern
Ein weiterer immunhistochemischer Fallstrick ist eine aberrante Zytokeratinexpression. Diese wird in der Literatur in 3–33 % der Fälle berichtet [1, 53], tritt aber in der Erfahrung der Autoren häufiger auf und kann vor allem bei epitheloiden, nichtvasoformativen Angiosarkomen zur Fehldiagnose eines Karzinoms führen. Auf der anderen Seite können aber auch lebereigne Karzinome in seltenen Fällen ein pseudovaskuläres Wachstum aufweisen und ein Angiosarkom imitieren [13, 38].
Ebenfalls zu erwähnen seien die Kaposi-Sarkome der Leber, welche zumindest klassifikatorisch ebenfalls den malignen Gefäßtumoren zuzuordnen sind. Sie sind regelhaft mit einer HHV8-Infektion assoziiert sind und treten fast ausschließlich bei Patienten mit AIDS auf. Wie die bazilläre Angiomatose ist das Kaposi-Sarkom in der Leber eine absolute Rarität und stellt eher bei mangelnden klinischen Angaben einen diagnostischen Fallstrick dar. Die Differenzialdiagnose eines Kaposi-Sarkoms sollte man im Hinterkopf behalten, bevor die Diagnose eines nicht/kaum vasoformativen und nur gering atypischen spindelzelligen Angiosarkoms gestellt wird.
Eine Zusammenfassung der wichtigsten Gefäßtumoren der Leber mit typischen molekularen Veränderungen, die für die Diagnostik hilfreich sind, gibt Tab. 2.
Tab. 2
Die wichtigsten Gefäßtumoren der Leber
Kriterien
Hämangiom
Epitheloides Hämangioendotheliom
Angiosarkom
Makroskopie
Scharf begrenzt; meist solitär und subkapsulär; dunkelrote Schnittfläche; blutgefüllt und schwammartige Konsistenz
Multiple noduläre, unscharf begrenzte und teils konfluierte Läsionen; derbe Konsistenz, oftmals beigefarben
Unscharf begrenzt; meist multiple Tumorherde oder diffuse Infiltration; mediane Tumorgröße ca. 11 cm
Matrixdiagnose
Frauen häufiger betroffen als Männer; Prävalenz ca. 2,5 %
Frauen etwas häufiger betroffen als Männer; Peak um das 30.–40. Lebensjahr
Männer häufiger als Frauen; Peak im letzten Lebensdrittel
Histologie
Dilatierte, teils unregelmäßige Architektur, teils mit intravaskulären Thromben; Endothelzellen flach und blande; perivaskuläres Stroma heterogen; teils eingeschlossene größere Blutgefäße und Gallengänge; ausgeprägte regressive Veränderungen möglich
Epitheloide bis plump-spindelige Zellkomplexe in reichlich hyaliner bis myxoider Matrix; intrazytoplasmatische Lumina mit Erythrozyten
Vasoformativ (komplex anastomosierende Gefäßspalten) oder nichtvasoformativ (epitheloid, spindelzellig); manchmal sinusoidale Ausbreitung; deutliche Kernatypien; hohe Mitoserate und atypische Mitosefiguren; Nekrosen
Immunhistochemie
ERG+, CD31+, CD34+, D2–40 partiell, THBD+, FVIII+, p16 teilweise
ERG+, CD31/CD34 ±, Keratine ±, CAMTA1 oder TFE3+
ERG+, CD31+, CD34 ±, Keratine ±
Molekularpathologie
Sporadisch können KRAS- oder BRAF-Mutationen nachgewiesen werden. GNAQ/GNA11/GNA14-Mutationen bei HSVN
WWTR1::CAMTA1 oder YAP1::TFE3
TP53-Mutationen, ggf. Amplifikationen (KDR, MYC), Deletionen (CDKN2A), NRAS-Mutationen

Fazit für die Praxis

  • Gefäßtumoren der Leber sind mit Ausnahme des Hämangioms selten.
  • Insbesondere epitheloide Hämangioendotheliome und Angiosarkome haben aufgrund ihrer Seltenheit und einer möglichen aberranten Keratinexpression das Potential für Fehldiagnosen.
  • ERG, CD34 und CD31 sind empfehlenswerte Marker für Gefäßtumoren (CAVE: Prostatakarzinome oft ERG-positiv).
  • Typische molekulare Veränderungen können diagnostisch hilfreich sein.

Einhaltung ethischer Richtlinien

Interessenkonflikt

F. Keil, T. Metzler, S. Thomann, T. Albrecht und C. Mogler geben an, dass kein Interessenkonflikt besteht.
Für diesen Beitrag wurden von den Autor/-innen keine Studien an Menschen oder Tieren durchgeführt. Für die aufgeführten Studien gelten die jeweils dort angegebenen ethischen Richtlinien.
Open Access Dieser Artikel wird unter der Creative Commons Namensnennung - Nicht kommerziell - Keine Bearbeitung 4.0 International Lizenz veröffentlicht, welche die nicht-kommerzielle Nutzung, Vervielfältigung, Verbreitung und Wiedergabe in jeglichem Medium und Format erlaubt, sofern Sie den/die ursprünglichen Autor(en) und die Quelle ordnungsgemäß nennen, einen Link zur Creative Commons Lizenz beifügen und angeben, ob Änderungen vorgenommen wurden. Die Lizenz gibt Ihnen nicht das Recht, bearbeitete oder sonst wie umgestaltete Fassungen dieses Werkes zu verbreiten oder öffentlich wiederzugeben. Die in diesem Artikel enthaltenen Bilder und sonstiges Drittmaterial unterliegen ebenfalls der genannten Creative Commons Lizenz, sofern sich aus der Abbildungslegende nichts anderes ergibt. Sofern das betreffende Material nicht unter der genannten Creative Commons Lizenz steht und die betreffende Handlung nicht nach gesetzlichen Vorschriften erlaubt ist, ist für die oben aufgeführten Weiterverwendungen des Materials die Einwilligung des jeweiligen Rechteinhabers einzuholen. Weitere Details zur Lizenz entnehmen Sie bitte der Lizenzinformation http://​creativecommons.​org/​licenses/​by-nc-nd/​4.​0/​.

Hinweis des Verlags

Der Verlag bleibt in Hinblick auf geografische Zuordnungen und Gebietsbezeichnungen in veröffentlichten Karten und Institutsadressen neutral.

Unsere Produktempfehlungen

Die Pathologie

Print-Titel

Umfassende Themenschwerpunkte aus allen Bereichen der Pathologie sowie Pitfalls: Fallstricke in der Diagnostik 

e.Med Interdisziplinär

Kombi-Abonnement

Für Ihren Erfolg in Klinik und Praxis - Die beste Hilfe in Ihrem Arbeitsalltag

Mit e.Med Interdisziplinär erhalten Sie Zugang zu allen CME-Fortbildungen und Fachzeitschriften auf SpringerMedizin.de.

e.Dent – Das Online-Abo der Zahnmedizin

Online-Abonnement

Mit e.Dent erhalten Sie Zugang zu allen zahnmedizinischen Fortbildungen und unseren zahnmedizinischen und ausgesuchten medizinischen Zeitschriften.

download
DOWNLOAD
print
DRUCKEN
Titel
Gefäßtumoren der Leber
Verfasst von
Dr. med. Felix Keil
Dr. med. vet. Thomas Metzler
Dr. med. Stefan Thomann
Dr. med. Thomas Albrecht
Prof. Dr. med. Carolin Mogler
Publikationsdatum
15.09.2025
Verlag
Springer Medizin
Erschienen in
Die Pathologie / Ausgabe 6/2025
Print ISSN: 2731-7188
Elektronische ISSN: 2731-7196
DOI
https://doi.org/10.1007/s00292-025-01468-0
1.
Zurück zum Zitat Al-Abbadi MA, Almasri NM, Al-Quran S et al (2007) Cytokeratin and epithelial membrane antigen expression in angiosarcomas: an immunohistochemical study of 33 cases. Arch Pathol Lab Med 131:288–292PubMed
2.
Zurück zum Zitat Berklite L, Malik F, Ranganathan S et al (2023) Pediatric hepatic vascular tumors: clinicopathologic characteristics of 33 cases and proposed updates to current classification schemes. Hum Pathol 141:78–89PubMed
3.
Zurück zum Zitat Bioulac-Sage P, Laumonier H, Laurent C et al (2008) Benign and malignant vascular tumors of the liver in adults. Semin Liver Dis 28:302–314PubMed
4.
Zurück zum Zitat Botros M, Quevedo JF, Miller RC (2009) Angiosarcoma of the liver after multimodality therapy for gallbladder carcinoma. Radiol Oncol 43:126–131
5.
Zurück zum Zitat Camp B, Danza CN, Fateri C et al (2025) Budd-Chiari syndrome from pleomorphic sarcoma compressing the inferior vena cava: A case report. Radiol Case Rep 20:5161–5164PubMedPubMedCentral
6.
Zurück zum Zitat Chaudhary P, Bhadana U, Singh RA et al (2015) Primary hepatic angiosarcoma. Eur J Surg Oncol 41:1137–1143PubMed
7.
Zurück zum Zitat Choi JH, Thung SN (2025) Mesenchymal Tumors of the Liver: An Update Review. Biomedicines 13
8.
Zurück zum Zitat Derfoufi J, Omari M, Najioui Y et al (2024) Metastatic Epithelioid Hemangioendothelioma of the Bone: A Case Report and Literature Review. Cureus 16:e58378PubMedPubMedCentral
9.
Zurück zum Zitat Doyle LA, Fletcher CD, Hornick JL (2016) Nuclear expression of CAMTA1 distinguishes epithelioid hemangioendothelioma from histologic mimics. Am J Surg Pathol 40:94–102PubMed
10.
Zurück zum Zitat Elliott P, Kleinschmidt I (1997) Angiosarcoma of the liver in Great Britain in proximity to vinyl chloride sites. Occup Environ Med 54:14–18PubMedPubMedCentral
11.
Zurück zum Zitat Falk H, Thomas LB, Popper H et al (1979) Hepatic angiosarcoma associated with androgenic-anabolic steroids. Lancet 2:1120–1123PubMed
12.
Zurück zum Zitat Gill RM, Buelow B, Mather C et al (2016) Hepatic small vessel neoplasm, a rare infiltrative vascular neoplasm of uncertain malignant potential. Hum Pathol 54:143–151PubMedPubMedCentral
13.
Zurück zum Zitat Hakozaki M, Ito S, Fujii T et al (2019) Combined hepatocellular-cholangiocarcinoma with angiosarcomatoid change: A case report with immunohistochemical study. Pathol Int 69:110–116PubMed
14.
Zurück zum Zitat Haroun P, Salame H, Tack D et al (2024) Pleuropulmonary Epithelioid Hemangioendothelioma. Cureus 16:e69967PubMedPubMedCentral
15.
Zurück zum Zitat Ito Y, Kojiro M, Nakashima T et al (1988) Pathomorphologic characteristics of 102 cases of thorotrast-related hepatocellular carcinoma, cholangiocarcinoma, and hepatic angiosarcoma. Cancer 62:1153–1162PubMed
16.
Zurück zum Zitat Jung H, Kim HN, Jang Y et al (2020) Hepatic Angiosarcoma: Clinicopathologic Study With an Investigation of ROS1 Gene Rearrangements. In Vivo 34:1463–1467PubMedPubMedCentral
17.
Zurück zum Zitat Karhunen PJ (1986) Benign hepatic tumours and tumour like conditions in men. J Clin Pathol 39:183–188PubMedPubMedCentral
18.
Zurück zum Zitat Kimura H, Yamamoto N, Hayashi K et al (2021) Multifocal Epithelioid Hemangioendothelioma Complicated with Disseminated Intravascular Coagulation. Case Rep Oncol 14:1490–1496PubMedPubMedCentral
19.
Zurück zum Zitat Kitsugi K, Kawata K, Matsumoto M et al (2023) Hepatic Angiosarcoma with Peliosis Hepatis. Intern Med 62:1157–1166PubMed
20.
Zurück zum Zitat Kobayashi H, Notohara K, Nakashima M et al (2023) Multiple hemangiomas (hepatic small vessel neoplasia) in the liver with Budd-Chiari syndrome. Virchows Arch 482:1085–1089PubMed
21.
Zurück zum Zitat Kojiro M, Nakashima T, Ito Y et al (1985) Thorium dioxide-related angiosarcoma of the liver. Pathomorphologic study of 29 autopsy cases. Arch Pathol Lab Med 109:853–857PubMed
22.
Zurück zum Zitat Lahlou W, Bourial A, Rami A et al (2024) Hepatic peliosis in a newborn—A case report and review of the literature. Int J Surg Case Rep 125:110476PubMedPubMedCentral
23.
Zurück zum Zitat Lamar JM, Motilal Nehru V, Weinberg G (2018) Epithelioid Hemangioendothelioma as a Model of YAP/TAZ-Driven Cancer: Insights from a Rare Fusion Sarcoma. Cancers (basel) 10:
24.
Zurück zum Zitat Larson EL, Ciftci Y, Jenkins RT et al (2025) Outcomes of Liver Transplant for Hepatic Epithelioid Hemangioendothelioma. Clin Transplant 39:e70087PubMed
25.
Zurück zum Zitat Leoncini G, Sarkar AL, Cascella T (2024) Primary sinusoidal-type hepatic angiosarcoma presenting with acute liver failure. Dig Liver Dis 56:2156–2158PubMed
26.
Zurück zum Zitat Lerut J, Iesari S (2018) Vascular tumours of the liver: a particular story. Transl Gastroenterol Hepatol 3:62PubMedPubMedCentral
27.
Zurück zum Zitat Liau JY, Tsai JH, Lan J et al (2020) GNA11 joins GNAQ and GNA14 as a recurrently mutated gene in anastomosing hemangioma. Virchows Arch 476:475–481PubMed
28.
Zurück zum Zitat Lin J, Bigge J, Ulbright TM et al (2013) Anastomosing hemangioma of the liver and gastrointestinal tract: an unusual variant histologically mimicking angiosarcoma. Am J Surg Pathol 37:1761–1765PubMed
29.
Zurück zum Zitat Lin XJ, Luo HC (2024) Rare infiltrative primary hepatic angiosarcoma: A case report and review of literature. World J Gastrointest Oncol 16:3341–3349PubMedPubMedCentral
30.
Zurück zum Zitat Lyu SI, Meinel J, Drebber U (2025) HSVN—hepatic small vessel neoplasm. Pathol (heidelb) 46:77
31.
Zurück zum Zitat Mark L, Delmore F, Creech JL et al (1976) Clinical and morphologic features of hepatic angiosarcoma in vinyl chloride workers. Cancer 37:149–163PubMed
32.
Zurück zum Zitat Marks EI, Pamarthy S, Dizon D et al (2019) ROS1-GOPC/FIG: a novel gene fusion in hepatic angiosarcoma. Oncotarget 10:245–251PubMedPubMedCentral
33.
Zurück zum Zitat Melehy A, Agopian VG (2025) Role of Liver Transplant in Primary and Secondary Liver Malignancies. Clin Liver Dis 29:217–234PubMed
34.
Zurück zum Zitat Meng K, Yang X, Guo S et al (2025) Hepatic epithelioid hemangioendothelioma with TFE3 rearrangement: a case report and literature review. Front Oncol 15:1442233PubMedPubMedCentral
35.
Zurück zum Zitat Mesa F, Camargo M, Carvajal L et al (2023) Soft tissue epithelioid hemangioendothelioma on the palm of the hand. Case report. Case Reports Plast Surg Hand Surg 10:2256541PubMedPubMedCentral
36.
Zurück zum Zitat Mogler C, Koschny R, Heilig CE et al (2020) Molecular characterization of hepatic epithelioid hemangioendothelioma reveals alterations in various genes involved in DNA repair, epigenetic regulation, signaling pathways, and cell cycle control. Genes Chromosomes Cancer 59:106–110PubMed
37.
Zurück zum Zitat Mohamed AD, Tremblay AM, Murray GI et al (2015) The Hippo signal transduction pathway in soft tissue sarcomas. Biochim Biophys Acta 1856:121–129PubMed
38.
Zurück zum Zitat Murakami K, Itoh T, Okamura Y et al (2024) Molecular pathological demonstration of an unusual angiosarcoma-like dedifferentiation pattern in hepatocellular carcinoma. Pathol Int 74:157–159PubMed
39.
Zurück zum Zitat Murali R, Chandramohan R, Möller I et al (2015) Targeted massively parallel sequencing of angiosarcomas reveals frequent activation of the mitogen activated protein kinase pathway. Oncotarget 6:36041–36052PubMedPubMedCentral
40.
Zurück zum Zitat Nie Y, Jing W, Zheng X et al (2025) CAMTA1-immunonegative epithelioid hemangioendotheliomas of the liver: a clinicopathological and molecular analysis of seven cases. Front Oncol 15:1478036PubMedPubMedCentral
41.
Zurück zum Zitat Orlando G, Adam R, Mirza D et al (2013) Hepatic hemangiosarcoma: an absolute contraindication to liver transplantation—the European Liver Transplant Registry experience. Transplantation 95:872–877PubMed
42.
Zurück zum Zitat Pacheco-Molina C, Baeza-Zapata AA, García-De LÓR et al (2021) Hepatic epithelioid hemangioendothelioma: a diagnostic challenge of vascular tumors. Cir Cir 89:6–9PubMed
43.
Zurück zum Zitat Patel NR, Salim AA, Sayeed H et al (2015) Molecular characterization of epithelioid haemangioendotheliomas identifies novel WWTR1-CAMTA1 fusion variants. Histopathology 67:699–708PubMed
44.
Zurück zum Zitat Perkocha LA, Geaghan SM, Yen TS et al (1990) Clinical and pathological features of bacillary peliosis hepatis in association with human immunodeficiency virus infection. N Engl J Med 323:1581–1586PubMed
45.
Zurück zum Zitat Rojas S, Chaves RCE, Robledo S et al (2024) Primary hepatic angiosarcoma: a systematic review. Ann Med Surg (lond) 86:1601–1605PubMed
46.
Zurück zum Zitat Salgado M, Sans M, Forns X et al (1995) Hepatic angiosarcoma: a report of a case associated with treatment with arsenic salts and a review of the literature. Gastroenterol Hepatol 18:132–135PubMed
47.
Zurück zum Zitat Shibuya R, Matsuyama A, Shiba E et al (2015) CAMTA1 is a useful immunohistochemical marker for diagnosing epithelioid haemangioendothelioma. Histopathology 67:827–835PubMed
48.
Zurück zum Zitat Takihara H, Oura S, Shintani H et al (2025) Diagnostic Pitfalls of Hepatic Sclerosed Hemangiomas: A Case Report. Cureus 17:e80738PubMedPubMedCentral
49.
Zurück zum Zitat Talakić E, Janek E, Mikalauskas S et al (2021) Liver Transplantation in Malignancies: A Comprehensive and Systematic Review on Oncological Outcome. Visc Med 37:302–314PubMedPubMedCentral
50.
Zurück zum Zitat Tamura H, Mashiko T, Ogasawara T et al (2025) Sclerosing hepatic hemangioma can be difficult to differentiate from liver metastasis of rectal cancer: A Case Report. Tokai J Exp Clin Med 50:37–42PubMed
51.
Zurück zum Zitat Vadlamani SP, Mahato A, Madakshira MG (2024) Multifocal epithelioid hemangioendothelioma of liver. Med J Armed Forces India 80:738–740PubMed
52.
Zurück zum Zitat Vogl TJ, Pi-Bansa CE, Oikonomou K et al (2025) Endovascular treatment of a giant aneurysm of the proper hepatic artery: A case report. Radiol Case Rep 20:4104–4107PubMedPubMedCentral
53.
Zurück zum Zitat Wang ZB, Yuan J, Chen W et al (2014) Transcription factor ERG is a specific and sensitive diagnostic marker for hepatic angiosarcoma. World J Gastroenterol 20:3672–3679PubMedPubMedCentral
54.
Zurück zum Zitat Wilson GC, Lluis N, Nalesnik MA et al (2019) Hepatic Angiosarcoma: A Multi-institutional, International Experience with 44 Cases. Ann Surg Oncol 26:576–582PubMed
55.
Zurück zum Zitat Wu W, Zhao W, Zhang Y et al (2024) Malignant epithelioid hemangioendothelioma of the sternum: A case report and literature review. Jtcvs Tech 28:206–208PubMedPubMedCentral
56.
Zurück zum Zitat Xiao C, Xu W, Shen M et al (2025) A Lung Epithelioid Hemangioendothelioma Subtype with YAP1::TFE3 Fusion: A Case Report. Int J Surg Pathol (10668969251333124)
57.
Zurück zum Zitat Yadav SK, Jamal A, Kantiwal P et al (2024) Multifocal lower limb hemangioendothelioma in a young female: a case report and review of the literature. Int J Clin Exp Pathol 17:83–89PubMedPubMedCentral
58.
Zurück zum Zitat Yasir S, Torbenson MS (2019) Angiosarcoma of the Liver: Clinicopathologic Features and Morphologic Patterns. Am J Surg Pathol 43:581–590PubMed
59.
Zurück zum Zitat Zen Y, Sofue K (2019) Sinusoidal-type Angiosarcoma of the Liver: Imaging Features and Potential Diagnostic Utility of p53 Immunostaining. Am J Surg Pathol 43:1728–1731PubMed
60.
Zurück zum Zitat Zhang Y, Zhang Z (2025) Total talectomy and reconstruction using unrestricted 3D printed prosthesis for pediatric talus hemangioendothelioma. Bone Rep 24:101830PubMedPubMedCentral

Kompaktes Leitlinien-Wissen Innere Medizin (Link öffnet in neuem Fenster)

Mit medbee Pocketcards schnell und sicher entscheiden.
Leitlinien-Wissen kostenlos und immer griffbereit auf ihrem Desktop, Handy oder Tablet.

Neu im Fachgebiet Innere Medizin

Schlechter Geruchssinn als mögliches Anzeichen für erhöhtes KHK-Risiko

Ein nachlassender Geruchssinn könnte ein Hinweis auf ein erhöhtes Risiko für die koronare Herzkrankheit (KHK) sein. In einer Analyse von über 5.000 älteren Erwachsenen war die Assoziation in den ersten Jahren nach Testung am stärksten und nahm mit der Zeit ab.

Tiefere Diagnostik, mehr Therapietargets bei metastasiertem Brustkrebs

Eine umfangreichere molekulardiagnostische Aufarbeitung kann bei metastasiertem Brustkrebs mehr therapierelevante Angriffsstellen aufdecken als das Standardvorgehen, was sich in Behandlungsvorteile übersetzt. Dafür sprechen zumindest die ersten Ergebnisse der deutschen CATCH-Studie.     

Zystische Fibrose: Immer mehr Frauen können erfolgreich schwanger werden

Dank verbesserter Therapieoptionen können Frauen mit zystischer Fibrose (CF) heute häufiger Kinder bekommen. Eine retrospektive Analyse aus England zeigt, dass dabei nur selten Komplikationen auftreten.

Antisense-Medikament senkt Triglyzeride und Pankreatitis-Risiko

In zwei Phase-3-Studien zeigte eine Therapie mit dem Antisense-Oligonukleotid Olezarsen einen starken Triglyzerid-senkenden Effekt bei Betroffenen mit schwerer Hypertriglyzeridämie. Auch das Risiko für akute Pankreatitiden reduzierte sich.

Update Innere Medizin

Bestellen Sie unseren Fach-Newsletter und bleiben Sie gut informiert.

Bildnachweise
Die Leitlinien für Ärztinnen und Ärzte, Eine ältere Frau riecht an einem Basilikumblatt/© Halfpoint / Stock.adobe.com (Symbolbild mit Fotomodell), Person setzt DNS-Probe in Maschine ein/© Vit Kovalcik / stock.adobe.com, Schwangere/© Yakobchuk Olena / Stock.adobe.com (Symbolbild mit Fotomodell)