Zum Inhalt

Hämatothorax nach heftigem Hustenanfall – eine seltene Komplikation

download
DOWNLOAD
print
DRUCKEN
insite
SUCHEN
QR-Code scannen & Beitrag online lesen

Hinweis des Verlags

Der Verlag bleibt in Hinblick auf geografische Zuordnungen und Gebietsbezeichnungen in veröffentlichten Karten und Institutsadressen neutral.

Anamnese

Ein 61-jähriger Patient stellte sich aufgrund von rechtsthorakalem Druckgefühl in Notarztbegleitung in unserer interdisziplinären Notaufnahme vor.
Seit vier Tagen bestand bei dem Patienten eine gering symptomatische SARS-CoV-2(Severe acute respiratory syndrome coronavirus type 2)-Infektion. Mit dem Ziel der Entisolation führte die Ehefrau des Patienten bei ihm einen SARS-CoV-2-Antigen-Schnelltest mittels Rachenabstrich durch. Dies löste beim Patienten einen heftigen Hustenanfall aus. Anschließend verspürte er Kribbelparästhesien der Hände, Dyspnoe und ein rechtsthorakales Druckgefühl. Es bestanden keine relevanten Vorerkrankungen. Der Patient nahm keine Dauer- oder Bedarfsmedikation ein.
Bei Eintreffen des Rettungsdiensts besserte sich die Symptomatik spontan. Die Vitalzeichen waren stabil und auf weitere Maßnahmen vor Ort wurde verzichtet. Während des Transports kam es zu plötzlich einsetzender Diaphorese und einer Sinusbradykardie bis minimal 45/min, welche nach circa zwei Minuten ohne weitere Intervention sistierte.

Befund

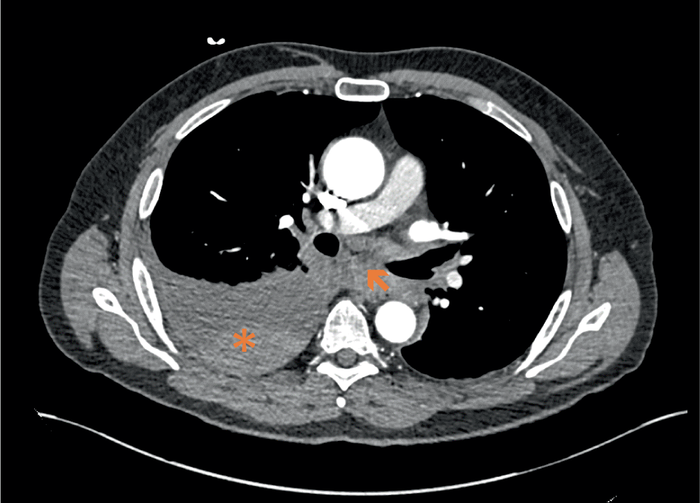
Bei Übergabe in der Notaufnahme präsentierte sich der Patient wach, 4‑fach orientiert und in einem regelrechten Allgemein- und Ernährungszustand. Der Patient gab an, nun keinerlei Beschwerden mehr zu haben. Die Vitalparameter lagen bis auf eine leicht erhöhte Atemfrequenz (25/min) im Normbereich. Rechts basal fand sich ein abgeschwächtes Atemgeräusch, die weitere körperliche Untersuchung war unauffällig. Im EKG zeigte sich ein normofrequenter Sinusrhythmus ohne akute Erregungsrückbildungsstörungen. Im Point-of-Care-Ultraschall konnte ein rechtsseitiger Pleuraerguss mit einer maximalen kraniokaudalen Ausdehnung von ca. 6 cm festgestellt werden. Laborchemisch waren die D‑Dimere leichtgradig erhöht (0,77 mg/l [< 0,5 mg/l]). Die weiteren Gerinnungsparameter, die Entzündungswerte und kardialen Markerenzyme waren normwertig. Zur weiteren Diagnostik erfolgte eine kontrastmittelgestützte CT-Untersuchung des Thorax (Abb. 1). Dabei fanden sich der rechtsseitige Pleuraerguss mit erhöhten Dichtewerten sowie eine Wandverdickung des distalen Ösophagus. Eine Lungenarterienembolie, ein Aortenaneurysma oder eine Aortendissektion konnten ausgeschlossen werden. Zur weiteren Abklärung erfolgte eine Pleurapunktion, wobei sich im Pleurapunktat ein Hämoglobinwert von 8,1 g/dl fand.
Abb. 1
CT Thorax mit Darstellung des Hämatothorax rechts (Asterisk) und des wandverdickten distalen Ösophagus (Pfeil)
Bild vergrößern

Diagnose

Bei einem signifikant erhöhten Hämoglobinwert und überwiegend Erythrozyten im Pleurapunktat konnte die Diagnose eines Hämatothorax unklarer Genese gestellt werden.

Therapie und Verlauf

Bei normwertigen Vitalzeichen und klinischer Beschwerdefreiheit wurde im interdisziplinären Konsens kein akuter operativer Interventionsbedarf gesehen und der Patient zur intensivmedizinischen Überwachung aufgenommen. Am Folgetag kam es zu einem signifikanten Abfall des Hämoglobinwerts. Aufgrund der unklaren Verdickung im Bereich des distalen Ösophagus wurde zunächst eine Gastroskopie durchgeführt. Hier kam ein suspektes Areal am gastroösophagealen Übergang zur Darstellung. Histologisch konnte eine Barrett-Mukosa ohne Dysplasien nachgewiesen werden, es ergab sich kein Anhalt für Malignität.
Im Anschluss an die Gastroskopie erfolgte eine Thorakotomie mit Ausräumung des Hämatoms und Darstellung des Ösophagus. Der paraösophageale Raum stellte sich intraoperativ als massiv unterblutet dar. Eine aktive Blutungsquelle oder Perforation konnte jedoch nicht festgestellt werden. Der postoperative Verlauf gestaltete sich komplikationslos und der Patient wurde schließlich am zehnten postoperativen Tag in subjektivem Wohlbefinden entlassen (Abb. 2).
Abb. 2
Zeitachse des Verlaufs. Dx Diagnose
Bild vergrößern

Diskussion

Das Auftreten eines Hämatothorax ohne prädisponierende Erkrankungen ist eine seltene Komplikation von starkem Husten. In der Literatur werden als eine mögliche Ursache u. a. Rippenfrakturen durch das Husten aufgeführt [13]. Ricketti et al. beschrieben 2016 einen Fall eines idiopathischen Hämatothorax bei einer 29-jährigen Patientin im Status asthmaticus. Die Genese des Hämatothorax blieb unklar, sodass die Autoren ebenfalls von einem sekundären Hämatothorax infolge von starkem Husten ausgehen [4]. Im Rahmen von COVID-19 findet sich nur ein weiterer Fallbericht eines spontan auftretenden Hämatopneumothorax bei einem 17-jährigen Patienten [5]. Hierbei ist jedoch von einem Einriss des Lungenparenchyms auszugehen.
Bei dem hier beschriebenen Patienten bestand kein Pneumothorax. Aufgrund des intraoperativ festgestellten paraösophagealen Hämatoms ist am ehesten von einem Einriss der äußeren Wandschichten des Ösophagus mit sekundärer Blutung in den Pleuraraum auszugehen, verursacht durch den plötzlichen und starken Anstieg des intrathorakalen Drucks im Rahmen des Hustenstoßes. Die während des Notfalltransports beobachtete Diaphorese und Sinusbradykardie interpretierten wir a. e. im Rahmen einer vagalen Reizung durch den sich ausbreitenden Hämatothorax.

Fazit für die Praxis

Ein Hämatothorax nach starkem Husten ist eine sehr seltene Komplikation, sollte jedoch bei passender Anamnese und Klinik in die differenzialdiagnostischen Überlegungen miteinbezogen werden.

Einhaltung ethischer Richtlinien

Interessenkonflikt

C. Maier-Stocker, M. Malsy, F. Hanses, M. Zimmermann und J. Hupf geben an, dass kein Interessenkonflikt besteht.
Für diesen Beitrag wurden von den Autor/-innen keine Studien an Menschen oder Tieren durchgeführt. Für die aufgeführten Studien gelten die jeweils dort angegebenen ethischen Richtlinien. Für Bildmaterial oder anderweitige Angaben innerhalb des Manuskripts, über die Patient/-innen zu identifizieren sind, liegt von ihnen und/oder ihren gesetzlichen Vertretern/Vertreterinnen eine schriftliche Einwilligung vor.
Open Access Dieser Artikel wird unter der Creative Commons Namensnennung 4.0 International Lizenz veröffentlicht, welche die Nutzung, Vervielfältigung, Bearbeitung, Verbreitung und Wiedergabe in jeglichem Medium und Format erlaubt, sofern Sie den/die ursprünglichen Autor(en) und die Quelle ordnungsgemäß nennen, einen Link zur Creative Commons Lizenz beifügen und angeben, ob Änderungen vorgenommen wurden.
Die in diesem Artikel enthaltenen Bilder und sonstiges Drittmaterial unterliegen ebenfalls der genannten Creative Commons Lizenz, sofern sich aus der Abbildungslegende nichts anderes ergibt. Sofern das betreffende Material nicht unter der genannten Creative Commons Lizenz steht und die betreffende Handlung nicht nach gesetzlichen Vorschriften erlaubt ist, ist für die oben aufgeführten Weiterverwendungen des Materials die Einwilligung des jeweiligen Rechteinhabers einzuholen.
Weitere Details zur Lizenz entnehmen Sie bitte der Lizenzinformation auf http://​creativecommons.​org/​licenses/​by/​4.​0/​deed.​de.

Hinweis des Verlags

Der Verlag bleibt in Hinblick auf geografische Zuordnungen und Gebietsbezeichnungen in veröffentlichten Karten und Institutsadressen neutral.

Unsere Produktempfehlungen

Notfall + Rettungsmedizin

Print-Titel

Praxisorientierte Leitthemen für die optimale Behandlung von Notfallpatientinnen und -patienten, interdisziplinäre Ansätze und Konzepte sowie praxisnahe Übersichten, Fallberichte, Leitlinien und Empfehlungen


e.Med Interdisziplinär

Kombi-Abonnement

Für Ihren Erfolg in Klinik und Praxis - Die beste Hilfe in Ihrem Arbeitsalltag

Mit e.Med Interdisziplinär erhalten Sie Zugang zu allen CME-Fortbildungen und Fachzeitschriften auf SpringerMedizin.de.

e.Dent – Das Online-Abo der Zahnmedizin

Online-Abonnement

Mit e.Dent erhalten Sie Zugang zu allen zahnmedizinischen Fortbildungen und unseren zahnmedizinischen und ausgesuchten medizinischen Zeitschriften.

Weitere Produktempfehlungen anzeigen
download
DOWNLOAD
print
DRUCKEN
Titel
Hämatothorax nach heftigem Hustenanfall – eine seltene Komplikation
Verfasst von
Dr. Constantin Maier-Stocker
Manuela Malsy
Frank Hanses
Markus Zimmermann
Julian Hupf
Publikationsdatum
29.11.2024
Verlag
Springer Medizin
Erschienen in
Notfall + Rettungsmedizin
Print ISSN: 1434-6222
Elektronische ISSN: 1436-0578
DOI
https://doi.org/10.1007/s10049-024-01426-y
1.
Zurück zum Zitat Camarillo-Reyes LA, Marquez-Córdova RI, Surani S, Varon J (2019) Hemothorax induced by severe cough: An unusual presentation. Sage Open Med Case Reports. https://​doi.​org/​10.​1177/​2050313X19846043​CrossRef
2.
Zurück zum Zitat Henriques AC, Malena CR, Freitas Oliveira AC, Waisberg J, Pires Casemiro A (2010) Hérnia intercostal transdiafragmática após fratura espontânea de costelas secundária à crise de tosse. Rev Col Bras Cir 37(1):78–80. https://​doi.​org/​10.​1590/​s0100-6991201000010001​6CrossRefPubMed
3.
Zurück zum Zitat Hillenbrand A, Henne-Bruns D, Wurl P (2006) Cough induced rib fracture, rupture of the diaphragm and abdominal herniation. World J Emerg Surg 1:34. https://​doi.​org/​10.​1186/​1749-7922-1-34CrossRefPubMedPubMedCentral
4.
Zurück zum Zitat Ricketti PA, Unkle DW, Lockey R, Cleri DJ, Ricketti AJ (2016) Case study: Idiopathic hemothorax in a patient with status asthmaticus. J Asthma 53(7):770–773. https://​doi.​org/​10.​3109/​02770903.​2016.​1155216CrossRefPubMed
5.
Zurück zum Zitat Montgomery AB, Finck C (2021) Spontaneous hemopneumothorax in an adolescent with COVID-19. J Pediatr Surg Case Rep 69:101852. https://​doi.​org/​10.​1016/​j.​epsc.​2021.​101852CrossRefPubMedPubMedCentral

Passend zum Thema

ANZEIGE

S2k-Leitlinie bestätigt Thymian-Efeu-Kombination bei akutem Husten

Die Deutsche Gesellschaft für Pneumologie und Beatmungsmedizin (DGP) hat am 28. Februar 2025 die aktualisierte „S2k-Leitlinie Fachärztliche Diagnostik und Therapie von erwachsenen Patienten mit Husten“ veröffentlicht. Das Update der Leitlinie aus 2019 bestätigt die „Sollte“-Empfehlung für Phytopharmaka mit Evidenzbasis bei akutem Husten, zu denen unter anderem die Thymian-Efeu-Kombination zählt. Dies unterstreicht die wissenschaftliche Evidenz der Pflanzenkombination.

ANZEIGE

Resistenzen: Deutschlands Antwort auf die stille Pandemie

Laut WHO werden 2050 weltweit ca. 10 Mio. Todesfälle durch Infektionen mit multiresistenten Keimen erwartet. Höchste Zeit für ein entschlossenes Handeln. Deutschland begegnet den aktuellen Herausforderungen mit einer umfassenden Strategie und einem engagierten Aktionsplan. Hier geht’s zur aktuellen Übersicht.

ANZEIGE

Gemeinsam gegen Antibiotika Resistenzen

  • Content Hub

Die WHO schlägt Alarm und fordert ein Umdenken im Antibiotikaeinsatz. Wir machen mit. Sie auch? Dann finden Sie auf dieser online Themenseite therapierelevante Informationen für einen rationalen Antibiotikaeinsatz und welchen Stellenwert Experten einer evidenzbasierten Phytotherapie einräumen. Praxisnah. Kompakt. Aktuell. Jetzt informieren.

Bionorica SE
Bildnachweise
Hämatothorax/© Maier-Stocker C et al. doi.org/10.1007/s10049-024-01426-y unter CC-BY 4.0, Leitlinie Husten/© iiierlok_xolms | Adobe Stock, Ärztin macht "Psst" Geste/© Charday Penn, Bionorica CH Visual/© Bionorica SE