Zum Inhalt
DGNeurologie

Hirnstamminfarkte – gezielte Diagnostik als Schlüssel für die Akutbehandlung

Erschienen in:

Zusammenfassung

Ungefähr jeder 5. Schlaganfall betrifft das vertebrobasiläre Stromgebiet, was aufgrund der dichten Anordnung kritischer Strukturen im Hirnstamm eine klinische Herausforderung darstellt. Das Erkennen und Einordnen von Hirnstammsymptomen erfordern tiefgehende Kenntnisse der Anatomie und Physiologie des Hirnstamms. Im vorliegenden Beitrag werden verschiedene Hirnstammsyndrome diskutiert, wobei der Schwerpunkt auf der Akutdiagnostik liegt, um eine schnelle und zielgerichtete Behandlung zu ermöglichen.

Wissenschaftliche Leitung

Susanne Knake, Marburg
Markus Krämer, Essen
Helmar C. Lehmann, Leverkusen

Hinweis des Verlags

Der Verlag bleibt in Hinblick auf geografische Zuordnungen und Gebietsbezeichnungen in veröffentlichten Karten und Institutsadressen neutral.

Lernziele

Nach Lektüre dieses Beitrags …
  • sind Ihnen die grundlegende Anatomie und Physiologie des Hirnstamms geläufig,
  • können Sie die klinischen Symptome von Hirnstammläsionen anatomisch zuordnen,
  • können Sie die verschiedenen Ursachen für Hirnstammsymptome – ischämisch, hämorrhagisch, entzündlich, neoplastisch – erkennen und differenzieren, um die geeignete Therapie rasch einzuleiten
  • kennen Sie die diagnostischen Schritte bei Verdacht auf Hirnstamminfarkt, einschließlich Bildgebung und Liquordiagnostik, sowie die Akuttherapien, wie Thrombolyse und endovaskuläre Therapie,
  • können Sie die Langzeitprognose von Patienten mit Hirnstammläsionen und die Bedeutung einer frühzeitigen Rehabilitation zur Minimierung von Defiziten einschätzen.

Hintergrund

Etwa jeder 5. Schlaganfall betrifft das vertebrobasiläre Stromgebiet. Aufgrund der hohen Dichte an kritischen Strukturen und deren charakteristischer Verteilung setzen das prompte Erkennen und die korrekte Einordnung von Hirnstammsymptomen und -zeichen detaillierte Kenntnisse der Hirnstammanatomie, -physiologie und -pathophysiologie voraus. Im vorliegenden Beitrag werden verschiedene Hirnstammsyndrome diskutiert und ein besonderer Fokus auf die Akutdiagnostik gelegt.

Einführung

Hirnstammsyndrome stellen aufgrund ihrer klinischen Variabilität und Fluktuation eine Herausforderung dar. Sie können sich mit verschiedenen Symptomen wie Schwindel, Augenbewegungs‑, Schluck‑, Sprech- und Koordinationsstörungen manifestieren und erfordern eine sorgfältige klinische und neuroradiologische Diagnostik sowie eine geeignete Notfallbehandlung. Die Ursachen sind vielfältig: ischämische oder hämorrhagische Insulte, entzündliche Erkrankungen oder Tumoren. Im Folgenden werden die anatomischen Grundlagen sowie die Diagnostik und Behandlung verschiedener Hirnstammsyndrome, insbesondere aber von Hirnstammischämien, dargelegt.
Die Epidemiologie der Hirnstammsyndrome variiert je nach Ursache, wobei in Deutschland jährlich etwa 200.000 Menschen von Schlaganfällen betroffen sind [1] und ca. 20 % derselben die hintere Strombahn betreffen. Differenzialdiagnostisch müssen stets nichtischämische Ursachen einer Hirnstammsymptomatik bedacht werden. Laut Schätzungen anhand von Daten aus den Vereinigten Staaten betreffen ca. 11 % der Hirntumoren den Hirnstamm, die am häufigsten bei Kindern im Alter von 5–9 Jahren vorkommen [2] und histopathologisch meist Ependymomen entsprechen [3]. Der Hirnstamm ist häufiger von hirneigenen Tumoren als von Metastasen betroffen [3]. Im Hinblick auf entzündliche Hirnstammsyndrome stellt in Kohortenstudien die Anti-MOG-Antikörper-Erkrankung (MOGAD [MOG: Myelin-Oligodendrozyten-Glykoprotein]) eine häufige Ursache dar, gefolgt von Neuromyelitis-optica-Spektrum-Erkrankungen (NMOSD) und viel seltener multipler Sklerose (MS; [4]). Zur Prävalenz einer sehr seltenen Hirnstammenzephalitis [5], des Miller-Fisher-Syndroms sowie anderen Ursachen der Hirnstammsyndrome [6] liegen kaum einheitliche epidemiologische Daten vor.
Der Hirnstamm ist eine zentrale und anatomisch höchst anspruchsvolle, lebenswichtige Struktur, weshalb bereits kleine Läsionen lebensbedrohlich sein können. Für die Einleitung einer korrekten Therapie ist es entscheidend, die möglichen ischämischen, hämorrhagischen, entzündlichen und neoplastischen Ursachen voneinander abzugrenzen. Neben der Anamnese, klinischen Untersuchung und einer Schädel-MRT (MRT: Magnetresonanztomographie) kann Liquordiagnostik indiziert sein. Je nach Resultaten der Diagnostik kommen unterschiedliche Behandlungsmodalitäten in Frage, welche von Revaskularisation (i.v. Thrombolyse [IVT] und endovaskuläre Therapie [EVT]) über eine Blutdrucktherapie und selten einen chirurgischen Eingriff bis hin zur Immunsuppression reichen.

Anatomie des Hirnstamms

Der Hirnstamm, bestehend aus dem Mesenzephalon, dem Pons (sog. Brücke) und der Medulla oblongata, beherbergt auf einem engen Raum von 25 ml [7] alle auf- und absteigenden Leitungsbahnen, alle Kerne von 10 der 12 Hirnnerven (III–XII), wichtige Strukturen der Motorik (Substantia nigra und Nucleus ruber sowie Oliven- und Brückenkerne), bedeutsame Umschaltstationen für die visuelle und akustische Perzeption (Vierhügelplatte) und die Formatio reticularis, welche für ein intaktes Bewusstsein und die vegetative Regulation (Atmung, Herz- und Kreislauf) maßgeblich ist.
Die Gefäßversorgung erfolgt über den hinteren Kreislauf. Die Vertebralarterien verlassen die Aa. subclaviae und steigen entlang der Wirbelkörper auf (in 5 % der Fälle entspringt die linke Vertebralarterie direkt aus dem Aortenbogen). Für die Versorgung der Medulla oblongata ist primär die paarig angelegte A. cerebelli inferior posterior (PICA) verantwortlich, welche aus den Vertebralarterien hervorgehen. Auf Höhe des Pons vereinigen sich die Vertebralarterien zur A. basilaris, welche über die paarig angelegte A. cerebelli inferior anterior (AICA) und ihre Seitenäste den Pons versorgt. Weiter distal gibt sie die beiden Aa. cerebelli superior (SCA) ab und teilt sich an der Basilarisspitze in die beiden Aa. cerebri posterior (PCA) auf. Die paarig angelegte A. communicans posterior, welche Bestandteil des Circulus arteriosus Willisii ist, bildet Anastomosen mit dem vorderen Kreislauf und stellt eine gewisse Reserve für die Blutversorgung in Fällen von Verschlüssen dar (vgl. Abb. 1). Es finden sich jedoch viele Varianten der zerebralen Gefäßversorgung, z. B. kann ein fetaler Versorgungstyp der PCA vorliegen, d. h. diese entspringt der A. cerebri media, und es fehlt die A. communicans posterior.
Abb. 1
Grafische Darstellung der Gefäßversorgung im vorderen und hinteren zerebralen Stromgebiet
Bild vergrößern
Aufgrund der dichten räumlichen Verhältnisse können bereits kleine Läsionen verschiedene, komplexe klinische Bilder verursachen und erfordern eine dezidierte klinisch-neurologische Untersuchung (vgl. Tab. 1). Aufgrund ihrer Komplexität stellen sie eine Herausforderung an die Erstversorgenden dar. Dabei ist die klinische Untersuchung auch subtiler neurologischer Befunde sehr wichtig, um Fehltriagen sowie diagnostische Fehler mit hoher Morbidität und Mortalität zu vermeiden. Dies wird auch dadurch unterstrichen, dass die häufigsten atypischen Symptome, die zu einer Fehldiagnose bei Schlaganfallpatienten führen (Kopfschmerz, Schwindel, Übelkeit/Erbrechen, Vigilanzstörungen, Gangstörungen), im Hirnstamm lokalisiert sind [8].
Tab. 1
Hirnstammsyndrome
Hirnstammsyndroma
Betroffene Strukturen
Klinische Befunde
Bemerkungen
Claude-Syndrom
Dorsale Abschnitte des Mittelhirns
Ipsilaterale Okulomotoriusparese
Ggf. zusätzlicher Tremor kontralateral
Kontralaterale Extremitätenataxie
Nothnagel-Syndrom
Dorsale Abschnitte des Mesenzephalons
Ipsilaterale Okulomotoriusparese
Ggf. auch bilaterale Okulomotoriusparese
Variabel: ipsilaterale Extremitätenataxie
Weber-Syndrom
Ventrale Abschnitte des Mesenzephalons
Ipsilaterale Okulomotoriusparese
Kontralaterale Hemiparese
Benedikt-Syndrom
Paramediane Abschnitte des Mesenzephalons
Ipsilaterale Okulomotoriusparese
Tremor/Chorea bedingt durch Läsion des N. ruber
Kontralaterale Chorea oder Tremor
Parinaud-Syndrom (sog. dorsales Mittelhirnsyndrom)
Dorsale Abschnitte des Mesenzephalons
Vertikale Blickparese („upgaze“ ≫ „downgaze“)
Konvergenzspasmus oder Parese
Licht-Nah-Dissoziation der Pupillen
Lidretraktion
„Square-wave jerks“
Konvergenz-Retraktions-Nystagmus
„Skew deviation“
Foville-Syndrom
Dorsale mediale Abschnitte des kaudalen Pons
Ipsilaterale Fazialisparese
Variable klinische Präsentation
Ipsilaterale Abduzensparese/horizontale Blickparese
Kontralaterale Extremitätenataxie
Kontralaterale Hemiparese
Variabel zusätzlich ipsilateral Horner-Syndrom, Hörminderung, Hypästhesie im Gesicht und Geschmacksstörung
Millard-Gubler-Syndrom
Paramediane Abschnitte des Pons
Ipsilaterale Abduzensparese
Umschriebenere Läsion im Vergleich zum Foville-Syndrom
Ipsilaterale Fazialisparese
Kontralaterale Hemiparese
Locked-in-Syndrom
Ventraler Pons, kaudales, ventrales Mesenzephalon
Tetraplegie
Erhaltenes Bewusstsein, Sprachverständnis, Orientierung, Gehör, Blinzeln und vertikale Augenbewegungen
Bulbäre Paralyse
Apnoe/Schädigung des Atemzentrums
Hirnnervenparesen III–VII und IX–XII
Schwindel
(Dorso-)laterales medulläres Syndrom (Wallenberg-Syndrom)
Laterale und dorsale Abschnitte der Medulla oblongata
Ipsilateral eingeschränktes Temperatur- und Schmerzempfinden im Gesicht und kontralateral der Extremitäten/Rumpf
Extremitätenparesen gehören nicht zum Bild eines Wallenberg-Syndroms
Ipsilaterale Hemiataxie
Ipsilaterales Horner-Syndrom
Ipsilaterales Kulissenphänomen und fehlender Würgreflex
Ipsilateral Geschmacksstörung
Ipsilaterale Mundastschwäche [9, 10]
Dysphagie, heisere Stimme, Schluckauf
Spontannystagmus (horizontal-torsionell, vertikal, Blickrichtungsnystagmus)
Ipsilaterale okulare Lateropulsion
Mediales medulläres Syndrom (Déjérine-Syndrom)
Paramediane Abschnitte der Medulla oblongata
Kontralaterale Arm- und Beinschwäche
Kontralateral vermindertes Berührungsempfinden, Vibration und Lagesinn
Ipsilaterale Hypoglossusparese
Spontannystagmus (meist Upbeat-Nystagmus)
a Angelehnt an Bradley and Daroff’s Neurology in Clinical Practice (8th edn; [11])
Merke
Eine akut oder subakut aufgetretene gekreuzte Halbseitensymptomatik (z. B. Hypästhesie der rechten Gesichts- und der linken Körperhälfte), ein isolierter Schwindel, eine Schluck‑, Sprech- oder Okulomotorikstörung, eine Gangataxie und ein Bewusstseinsverlust sollten an ein Hirnstammsyndrom denken lassen.

Verschiedene Hirnstammsyndrome – charakteristische Befunde bei Ischämien

Aufgrund von oftmals lakunären Ischämien lassen sich verschiedene, klinisch meist gut abgrenzbare Hirnstammsyndrome unterscheiden, wobei eine Einteilung in medulläre, pontine und mesenzephale Syndrome erfolgt. Die wichtigsten Hirnstammsyndrome sind in Tab. 1 zusammengefasst, eine weitere Vereinfachung wurde von Gates propagiert [12]. Einschränkend gilt zu erwähnen, dass die Gefäßversorgung im Hirnstamm individuell stark variieren kann, weshalb die Kombination an klinischen Befunden im Einzelfall von der Beschreibung abweichen kann, wie von Marx u. Thömke diskutiert [13]. Die Erkennung spezifischer Hirnstammsyndrome ist v. a. für eine präzise Fragestellung an die Neuroradiologie und für die Korrelation klinischer und radiologischer Befunde essenziell.
Fallbeispiel
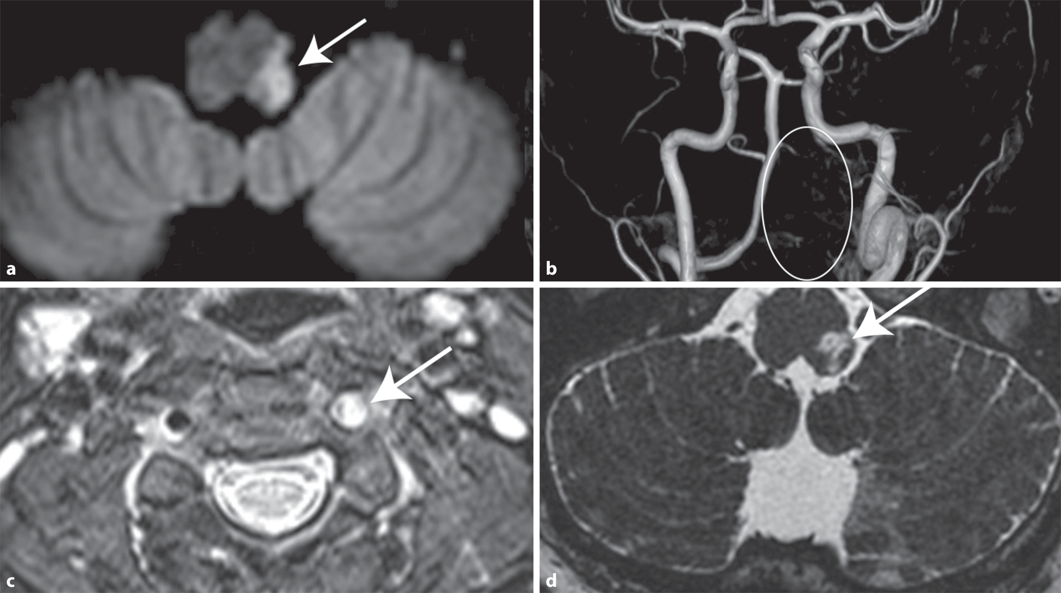
Eine bis dahin gesunde, 46-jährige Patientin wurde gegen 5 Uhr morgens mit einer akut aufgetretenen Schluckstörung, anhaltendem Schwankschwindel, Fallneigung und Doppelbildern mit dem Rettungsdienst auf die Notfallstation gebracht. Bereits ca. 5 h zuvor hatte sie einen plötzlich einsetzenden Drehschwindel, Übelkeit, Erbrechen und Durchfall bemerkt. In der initialen klinisch-neurologischen Untersuchung zeigten sich Auffälligkeiten der Okulomotorik (nach oben schlagender Spontannystagmus, horizontal eingeschränkte exzentrische Blickhaltefunktion [sog. Blickrichtungsnystagmus]), eine Ptosis links mit Anisokorie (links < rechts), eine Mundastschwäche, eine leichtgradige Gaumensegelparese links, eine Koordinationsstörung des linken Arms im Finger-Nase-Versuch, eine ausgeprägte Fallneigung nach links und ein arm- und beinbetontes vermindertes Temperaturempfinden rechts. In einer umgehend erfolgten zerebralen Computertomographie (CT) einschließlich CT-Angiographie ließ sich ein Verschluss der linken A. vertebralis im V2- bis V4-Segment (bis kurz vor Abgang der PICA) nachweisen (vergleiche auch Abb. 2b). Eine Blutung oder Raumforderung fand sich nicht. Die CT-Perfusion war negativ. Es wurde eine antiaggregatorische Therapie mit Azetylsalizylsäure (initial „loading“ mit 500 mg i.v., dann 100 mg/Tag) begonnen, und die Patientin wurde zum Monitoring und zur weiteren Diagnostik auf die Stroke-Unit aufgenommen. In der MRT des Schädel ließ sich eine akute Diffusionsrestriktion in der dorsolateralen Medulla oblongata links nachweisen, passend zu einem Wallenberg-Syndrom (Abb. 2a). Die MR-Angiographie mit Dissektionsprotokoll bestätigte eine spontane Dissektion in der linken Vertebralarterie im V2- bis V4-Segment (Abb. 2c). Nach 4 Wochen ließ sich in der MRT der aufgetretene Substanzdefekt deutlich nachweisen (Abb. 2d). Bei Abschluss der stationären Neurorehabilitation nach 2,5 Monaten hatten sich die klinischen Befunde bis auf die Temperatursinnstörung der rechten Körperseite nahezu vollständig normalisiert.
Abb. 2
Zerebrale Bildgebung (Fallbeispiel) im Akutstadium (a–c) sowie im Verlauf nach 4 Wochen (d), a axiale diffusionsgewichtete (DWI) Sequenz mit Nachweis eines akuten Infarkts (Pfeil) im Bereich der linken dorsolateralen Medulla oblongata, b MR-TOF-Angiographie (MR-: Magnetresonanz-; TOF: „time of flight“), dabei Nachweis einer links fehlenden A. vertebralis im Bereich der Markierung (Kreis), c axiale T2-gewichtete fettsupprimierte Sequenz (sog. Dissektionsprotokoll) mit Nachweis eines die linke Vertebralarterie komprimierenden Wandhämatoms (Pfeil), d axiale hochauflösende T2-Sequenz mit Nachweis einer subakuten Läsion in der links-lateralen Medulla oblongata (Pfeil), Aufnahme 4 Wochen nach Symptombeginn
Bild vergrößern

Akutdiagnostik und -therapie bei Verdacht auf Hirnstamminfarkt, Sekundärprävention

Akutdiagnostik

Bei Hirnstamminfarkten können klinische Befunde und Symptome stark variieren (s. hierzu auch Abschnitt Verschiedene Hirnstammsyndrome – charakteristische Befunde bei Ischämien/Tab. 1). Es können sensomotorische Hemisyndrome (typischerweise gekreuzt), einzelne Hirnnervenausfälle (z. B. akute Fazialisparese, horizontale Diplopie durch eine Abduzensparese oder eine Zungendeviation durch eine Hypoglossusparese) oder auch subtile okulomotorische Befunde im Kontext eines akuten prolongierten Schwindels oder einer akuten Stand- und Gangataxie vorliegen (für eine detaillierte Diskussion der diagnostischen Aufarbeitung des akuten vestibulären Syndroms einschließlich des akuten Imbalancesyndroms s. Tarnutzer u. Edlow [14]).
Bei Verdacht auf das Vorliegen eines Hirnstamminfarkts ist die notfallmäßige Zuweisung in die nächstgelegene Stroke-Unit mittels Rettungsdienst erforderlich. Das initiale diagnostische Work-up schließt eine notfallmäßige zerebrale Bildgebung mit ein. Je nach Verfügbarkeit und Kontraindikationen kann diese primär eine CT des Schädels einschließlich einer CT-Angiographie und CT-Perfusion (Standard in den meisten Stroke-Units) oder auch direkt eine MRT des Schädels beinhalten (mit dem Vorteil eines deutlich sensitiveren Nachweises akuter Ischämien in den diffusionsgewichteten Sequenzen, einer besseren Auflösung der hinteren Schädelgrube und insbesondere bei Wake-up-Konstellation). Hierbei liegt der Fokus auf der Diagnosesicherung sowie der Abgrenzung zu „stroke mimics“, wie z. B. einem epileptischen Anfall oder einer akuten Hypoglykämie. Bestätigt sich der Verdacht auf eine Hirnstammischämie sind insbesondere die Symptomdauer (Zeitpunkt des letztmals beschwerdefreien Zustands) und das Vorliegen von Kontraindikationen herauszufinden. Hierbei haben sich in den letzten 10 Jahren sowohl die Behandlungsfenster als auch die Therapieoptionen (v. a. endovaskulär) deutlich erweitert, dies primär aufgrund einer erweiterten, perfusionsgestützten CT- oder MR-Bildgebung (MR-: Magnetresonanz‑). Eine CT-Perfusion gehört mittlerweile zum Standard (Verfügbarkeit 24/7) in einer Stroke-Unit. Viele Hirnstamminfarkte sind lakunär, und die Klinik kann entsprechend umschrieben sein, z. B. im Sinne einer punktförmigen Ischämie entlang des medialen longitudinalen Faszikels (MLF) und des klinischen Bilds einer isolierten internukleären Ophthalmoplegie (INO) oder auch einer isolierten Dysarthrie. In diesen Fällen ist die CT-Perfusion aufgrund der Knochenartefakte der hinteren Schädelgrube sowie des geringen Perfusionsvolumens und der damit kleinen Perfusionsdefizite meist unauffällig, und der Infarkt lässt sich erst im MRT in der diffusionsgewichteten Sequenz (DWI) nachweisen. Bei Hirnstamminfarkten ist die Ischämie oftmals erst nach 24–72 h richtig zu erkennen, dementsprechend kann bei initial unauffälligem MRT eine erneute, vorzugsweise koronare, Feinschichtung des Hirnstamms einschließlich DWI nach 1–2 Tagen erforderlich sein [15, 16]. Auch ohne Ischämienachweis sollte bei suggestiver klinischer und anamnestischer Symptomatik und fehlenden Kontraindikationen ohne Zeitverzug eine Akuttherapie eingeleitet werden.

Akuttherapie

Zur i.v. Thrombolyse (IVT) sind innerhalb der ersten 4,5 h nach Symptombeginn in Deutschland Alteplase und Tenecteplase, in der Schweiz bisher nur Alteplase zugelassen. Bei Nachweis eines relevanten Mismatch (d. h. eines noch vitalen, aber ungenügend durchbluteten Hirnareals) kann, basierend auf Studiendaten, bis zu ca. 9 h nach mutmaßlichem Symptombeginn eine Off-Label-Behandlung mittels IVT durchgeführt werden [17, 18, 19]. Liegt ein Verschluss eines größeren Hirngefäßes vor, kann dieser mittels endovaskulärer Therapie wiedereröffnet werden (Behandlung bis zu 24 h nach Symptombeginn). Dies gilt bei Hirnstammsyndromen insbesondere für Basilaristhrombosen, entsprechende Evidenz liegt inzwischen vor (BAOCHE- und ATTENTION-Studie; [20, 21]). Die Wiedereröffnung von Vertebralisverschlüssen ist aktuell kein Therapiestandard, kann aber in Einzelfällen erwogen werden [22]. Insbesondere Basilaristhrombosen weisen unbehandelt eine hohe Morbidität und Mortalität auf. Folgende Faktoren gelten als prognostisch ungünstig: fehlende Hirnstammreflexe ≥ 1 h, Koma ≥ 4 h, Tetraplegie ≥ 6 h, bereits demarkierter größerer Hirnstamminfarkt. Folglich sollte insbesondere in diesen Fällen der Entscheid zur IVT und EVT rasch und zuverlässig erfolgen.
Die standardisierte Erhebung klinischer Defizite mittels der National Institutes of Health Stroke Scale (NIHSS), welche sich bei Schlaganfällen im vorderen Stromgebiet bewährt hat und eine wichtige Grundlage dafür bildet, ob eine Akutbehandlung erfolgen soll oder nicht, bildet Hirnstammläsionen häufig nur ungenügend oder gar nicht ab. So kann bei isoliertem akutem Schwindel und Gangunsicherheit ohne weitere fokal-neurologische Defizite ein NIHSS von 0 Punkten vorliegen. Der Entscheid, ob eine Akuttherapie (IVT, EVT) indiziert ist, muss dementsprechend bei vermutetem Hirnstamminfarkt primär anhand der Frage, ob die akut bestehenden Defizite klinisch relevant sind oder nicht, gefällt werden. Dies unterstreicht die Wichtigkeit einer dezidierten klinisch-neurologischen Untersuchung im Akutsetting und die Einbeziehung des Patienten/der Angehörigen in den Therapieentscheid.

Ursachenabklärung und Sekundärprophylaxe

Die Ursachenabklärung beim Hirnstamminfarkt unterscheidet sich nicht wesentlich von derjenigen von Ischämien im vorderen Stromgebiet. Der Fokus liegt auf der Suche nach symptomatischen Gefäßstenosen, Gefäßdissektionen (v. a. Vertebralisdissektionen), kardialen Emboliequellen (Vorhofflimmern, intrakardiale Thromben, intrakardiale Shunts) und mikrovaskulären Veränderungen (s. auch [23]). Im Rahmen der Sekundärprophylaxe sollten vaskuläre Risikofaktoren gezielt minimiert, d. h. eine arterielle Hypertonie korrigiert, eine Dyslipidämie sowie ein Diabetes mellitus gemäß empfohlener sekundärpräventiver Zielwerte eingestellt werden [23]. Die medikamentöse Sekundärprävention richtet sich nach der zugrunde liegenden Ursache. Lässt sich ein Vorhofflimmern nachweisen, so ist die langfristige orale Antikoagulation (bevorzugt mit einem DOAK [direktes orales Antikoagulans]) indiziert, in allen anderen Fällen (Kontraindikationen ausgeschlossen) wird nach ischämischem Schlaganfall eine antiaggregatorische Therapie begonnen. Eine kombinierte Behandlung (Azetylsalizylsäure 100 mg und Clopidogrel 75 mg) über die ersten 10–21 Tage hat sich bei „moderate-to-high risk“ transitorischen ischämischen Attacken (TIA) sowie Schlaganfällen mit einem NIHSS-Score von ≤ 3 Punkten etabliert [24]. Eine initiale kombinierte Behandlung mit Acetylsalicylsäure und Ticagrelor kann sogar bis zu einem NIHSS-Score von ≤ 5 Punkten erwogen werden [25], wobei allerdings Ticagrelor zur Sekundärprophylaxe des Schlaganfalls in Deutschland und der Schweiz nicht zugelassen ist. Bei hochgradigen (d. h. > 50 %igen) intrakranialen symptomatischen Stenosen (z. B. hochgradige M1-Stenose mit Ischämie im nachgeschalteten Mediastromgebiet) ist eine duale Plättchenhemmung (DAPT) unabhängig vom NIHSS empfohlen. Eine Statintherapie ist ebenso Standard wie die Evaluation einer (stationären) Neurorehabilitation zur Minimierung der Defizite und zur Verbesserung der Selbstständigkeit im Alltag.
Progrediente Vigilanzminderung, rezidivierender Vomitus, Anisokorie, lichtstarre Pupillen und Strecksynergismen weisen auf eine fortgeschrittene Hirnstammischämie und/oder Hirndruck hin, wie er v. a. bei länger bestehenden Basilaristhrombosen zu beobachten ist. Diese Symptome müssen als prognostisch ungünstig gewertet werden.
Wichtige Differenzialdiagnosen bei Verdacht auf einen ischämischen Hirnstamminfarkt stellen hämorrhagische Hirnstamminfarkte (insbesondere Ponsblutungen bei Gefäßmalformationen [Kavernome]), entzündliche Läsionen (entzündliche ZNS-Erkrankungen [ZNS: zentrales Nervensystem] mit Hirnstammläsionen [z. B. MOGAD – Myelin-Oligodendrozyten-Glykoprotein-Antikörper-assoziierte Erkrankung, NMOSD, Hirnstammenzephalitis oder MS] und Neoplasien [Hirnstammgliome oder Metastasen]) dar. Die Abgrenzung zu ischämischen Läsionen gelingt mittels MRT in den meisten Fällen rasch und zuverlässig.

Prognose

Die Prognose von Hirnstamminfarkten ist von vielen Faktoren abhängig. Neben den Einschränkungen durch die ischämiebedingten fokal-neurologischen Defizite spielt auch der prämorbide Zustand bei der Erholung eine Rolle. Die Erfahrung zeigt, dass Hirnstammsyndrome sich schneller erholen als Infarkte in anderen Territorien [26]. Gleichzeitig können bei Betroffenen Diplopie, Koordinationsstörungen (inklusive Sturzneigung), Dysarthrie und Dysphagie persistieren. Letztere stellt ein hohes Risiko für rezidivierende Aspirationen dar. Umso wichtiger ist, dass eine gute Schlaganfallbehandlung ein hohes Maß an interdisziplinärer Zusammenarbeit (Ergo‑, Physiotherapie, Ernährungsberatung und Logopädie) unter neurologischer Supervision erfordert.

Ausblick

Bei der Diagnostik und Therapie von Hirnstammsyndromen ist die klinisch-neurologische Untersuchung essenziell. Entsprechendes Training zur Erkennung subtiler Befunde ist dringlich, um die Rate an Fehldiagnosen (z. B. peripherer Schwindel, virale Enteritis oder unklare Synkope) oder verpassten Diagnosen zu minimieren. Während die zunehmende Verfügbarkeit notfallmäßiger MRT-Untersuchungen auch außerhalb der regulären Arbeitszeiten das Risiko vermindert, akute Hirnstammischämien zu verpassen, beträgt die Sensitivität der frühen (d. h. innerhalb der ersten 24–48 h erhobenen) MRT inklusive DWI für Hirnstammläsionen nur ca. 80 %. Mittels CT ist diese deutlich geringer (knapp 30 %, [27]). Die telemedizinische Mitbeurteilung bei initialer Präsentation in peripheren Krankenhäusern durch Schlaganfallzentren („stroke center“) in Schlaganfallnetzwerken stellt eine weitere Möglichkeit dar, bei der Erstbeurteilung dieser komplexen Krankheitsbilder zu unterstützen.

Fazit für die Praxis

  • Hirnstammsyndrome können aufgrund der hohen Faser- und Nervenkerndichte bereits durch kleine Läsionen verursacht werden.
  • Aufgrund der komplexen Klinik stellen Hirnstammsyndrome eine Herausforderung an die Erstversorgenden dar.
  • Hirnstammsyndrome erfordern eine rasche diagnostische Einordnung und Therapie.
  • Im Fall ischämischer Insulte bilden die i.v. Thrombolyse und die endovaskuläre Therapie grundlegende Behandlungsoptionen und machen eine Überwachung auf einer Stroke-Unit/in einem „stroke center“ unerlässlich.

Danksagung

Wir danken Dr. med. Pascal Suda (FMH Allgemeine Innere Medizin), Läufelfingen, Schweiz, für die kritische Sichtung des Manuskripts.

Einhaltung ethischer Richtlinien

Interessenkonflikt

Gemäß den Richtlinien des Springer Medizin Verlags werden Autoren und Wissenschaftliche Leitung im Rahmen der Manuskripterstellung und Manuskriptfreigabe aufgefordert, eine vollständige Erklärung zu ihren finanziellen und nichtfinanziellen Interessen abzugeben.

Autoren

A. Schmick: A. Finanzielle Interessen: A. Schmick gibt an, dass kein finanzieller Interessenkonflikt besteht. – B. Nichtfinanzielle Interessen: Oberarzt Neurologie, Klinik für Neurologie, Universitätsspital Zürich | Mitgliedschaften: Deutsche Gesellschaft für Neurologie (DGN), Schweizerische Gesellschaft für Neurologie (SNG), Schweizerische Gesellschaft für Neurophysiologie (SGKN), European Academy of Neurology (EAN). S. Wegener: A. Finanzielle Interessen: S. Wegener gibt an, dass kein finanzieller Interessenkonflikt besteht. – B. Nichtfinanzielle Interessen: USZ (Universitätsspital Zürich) und UZH (Universität Zürich) Anstellungsverhältnis, Kommissionsarbeit (UZH) | Zürcher Zentrum für Neurowissenschaften (ZNZ) Forschungsgrant und Steuerungskommissionsmitglied Zürcher Neurologen Gesellschaft | Mitgliedschaften: Schweizerische Kopfwehgesellschaft (SKG); Mitglied des Vorstandes Schweizerische Hirnschlaggesellschaft (SHG); European Stroke Organisation (ESO); Women in Neurology (WIN), Mitglied des Vorstandes; Schweizerischer Nationalfond Mitarbeit/Board bei Nationalem Forschungsschwerpunkt CAS Sex and Gender in Medicine (UZH/Uni Bern), Mitglied des Vorstandes; Brain Disease Foundation (Zollikon), Scientific Advisory Board Swiss, Socienty of Neurosciences (SSN) Mitglied. A.A. Tarnutzer: A. Finanzielle Interessen: Forschungsförderung projektbezogen (2021): „investigation of the adaptational mechanisms of human heading perception through gait analysis: impact of preceding body position and task repetition“, Forschungsfonds Kantonsspital Baden. – Referentenhonorar: Teva Pharma, Schwabe Pharma. – Mitsubishi Tanabe Pharma (einmalige Teilnahme an einem Advisory Board), Medtronic (einmalige Teilnahme an einem Advisory Board), Schwabe Pharma (Teilnahme an 2 Advisory Boards). – B. Nichtfinanzielle Interessen: Leitender Arzt Neurologie, Kantonsspital Baden, Baden, Schweiz | Vorstandsmitglied der Schweizerischen Neurologischen Gesellschaft.

Wissenschaftliche Leitung

Die vollständige Erklärung zum Interessenkonflikt der Wissenschaftlichen Leitung finden Sie am Kurs der zertifizierten Fortbildung auf www.springermedizin.de/cme.

Der Verlag

erklärt, dass für die Publikation dieser CME-Fortbildung keine Sponsorengelder an den Verlag fließen.
Ein schriftlicher „informed consent“ zur Publikation liegt vor.
Open Access This article is licensed under a Creative Commons Attribution 4.0 International License, which permits use, sharing, adaptation, distribution and reproduction in any medium or format, as long as you give appropriate credit to the original author(s) and the source, provide a link to the Creative Commons licence, and indicate if changes were made. The images or other third party material in this article are included in the article’s Creative Commons licence, unless indicated otherwise in a credit line to the material. If material is not included in the article’s Creative Commons licence and your intended use is not permitted by statutory regulation or exceeds the permitted use, you will need to obtain permission directly from the copyright holder. To view a copy of this licence, visit http://creativecommons.org/licenses/by/4.0/.

Hinweis des Verlags

Der Verlag bleibt in Hinblick auf geografische Zuordnungen und Gebietsbezeichnungen in veröffentlichten Karten und Institutsadressen neutral.
Zum CME-Kurs
download
DOWNLOAD
print
DRUCKEN
Titel
Hirnstamminfarkte – gezielte Diagnostik als Schlüssel für die Akutbehandlung
Verfasst von
Dr. med. A. Schmick, FEBN
S. Wegener
A. A. Tarnutzer
Publikationsdatum
07.03.2025
Verlag
Springer Medizin
Erschienen in
DGNeurologie / Ausgabe 2/2025
Print ISSN: 2524-3446
Elektronische ISSN: 2524-3454
DOI
https://doi.org/10.1007/s42451-025-00726-y
2.
Zurück zum Zitat Ostrom QT, Cioffi G, Gittleman H, Patil N, Waite K, Kruchko C et al (2019) CBTRUS Statistical Report: Primary Brain and Other Central Nervous System Tumors Diagnosed in the United States in 2012–2016. Neuro Oncol 21(5):v1–v100CrossRefPubMedPubMedCentral
3.
Zurück zum Zitat Liu H, Qin X, Zhao L, Zhao G, Wang Y (2021) Epidemiology and Survival of Patients With Brainstem Gliomas: A Population-Based Study Using the SEER Database. Front Oncol 11:692097CrossRefPubMedPubMedCentral
4.
Zurück zum Zitat Banks SA, Morris PP, Chen JJ, Pittock SJ, Sechi E, Kunchok A et al (2020) Brainstem and cerebellar involvement in MOG-IgG-associated disorder versus aquaporin-4-IgG and MS. J Neurol Neurosurg Psychiatry
5.
Zurück zum Zitat Tan IL, Mowry EM, Steele SU, Pardo CA, McArthur JC, Nath A et al (2013) Brainstem encephalitis: etiologies, treatment, and predictors of outcome. J Neurol 260(9):2312–2319CrossRefPubMedPubMedCentral
6.
Zurück zum Zitat Noioso CM, Bevilacqua L, Acerra GM, Della Valle P, Serio M, Vinciguerra C et al (2023) Miller Fisher syndrome: an updated narrative review. Front Neurol 14:1250774CrossRefPubMedPubMedCentral
7.
Zurück zum Zitat Chen Y, Jia L, Gao W, Wu C, Mu Q, Fang Z et al (2023) Alterations of brainstem volume in patients with first-episode and recurrent major depressive disorder. BMC Psychiatry 23(1):687CrossRefPubMedPubMedCentral
8.
Zurück zum Zitat Newman-Toker DE, Peterson SM, Badihian S, Hassoon A, Nassery N, Parizadeh D et al (2022) Diagnostic Errors in the Emergency Department: A Systematic Review. MD, RockvilleCrossRef
9.
Zurück zum Zitat Shrestha R, Kharel G, Acharya S, Pandit R, Limbu N (2022) A case report: Lateral medullary syndrome with facial nerve palsy and hemiparesis. Ann Med Surg 82:104722CrossRef
10.
Zurück zum Zitat Kornbluh A, Twanow JD (2018) Teaching NeuroImages: Adolescent Wallenberg syndrome with overlooked signs: Ipsipulsion and ipsilateral facial palsy. Neurology 91(20):e1949–e1950CrossRefPubMed
11.
Zurück zum Zitat Jankovic J, Mazziotta JC, Pomeroy SL (2021) Bradley and Daroff’s Neurology in Clinical Practice, 8. Aufl. Elsevier Saunders, Amsterdam, The Netherlands
12.
Zurück zum Zitat Gates P (2005) The rule of 4 of the brainstem: a simplified method for understanding brainstem anatomy and brainstem vascular syndromes for the non-neurologist. Intern Med J 35(4):263–266CrossRefPubMed
13.
Zurück zum Zitat Marx JJ, Thomke F (2009) Classical crossed brain stem syndromes: myth or reality? J Neurol 256(6):898–903CrossRefPubMed
14.
Zurück zum Zitat Tarnutzer AA, Edlow JA (2023) Bedside Testing in Acute Vestibular Syndrome-Evaluating HINTS Plus and Beyond—A Critical Review. Audiol Res 13(5):670–685CrossRefPubMedPubMedCentral
15.
Zurück zum Zitat Alkhiri A, Alturki F, Alansari NM, Almaghrabi AA, Alghamdi BA, Alamri AF et al (2024) Prognosis and distribution of ischemic stroke with negative diffusion-weighted imaging: a systematic review and meta-analysis. Front Neurol 15:1376439CrossRefPubMedPubMedCentral
16.
Zurück zum Zitat Edlow BL, Hurwitz S, Edlow JA (2017) Diagnosis of DWI-negative acute ischemic stroke: A meta-analysis. Neurology 89(3):256–262CrossRefPubMedPubMedCentral
17.
Zurück zum Zitat Ma H, Campbell BCV, Parsons MW, Churilov L, Levi CR, Hsu C et al (2019) Thrombolysis Guided by Perfusion Imaging up to 9 Hours after Onset of Stroke. N Engl J Med 380(19):1795–1803CrossRefPubMed
18.
Zurück zum Zitat Thomalla G, Simonsen CZ, Boutitie F, Andersen G, Berthezene Y, Cheng B et al (2018) MRI-Guided Thrombolysis for Stroke with Unknown Time of Onset. N Engl J Med 379(7):611–622CrossRefPubMed
19.
Zurück zum Zitat Albers GW, Jumaa M, Purdon B, Zaidi SF, Streib C, Shuaib A et al (2024) Tenecteplase for Stroke at 4.5 to 24 Hours with Perfusion-Imaging Selection. N Engl J Med 390(8):701–711CrossRefPubMed
20.
Zurück zum Zitat Jovin TG, Li C, Wu L, Wu C, Chen J, Jiang C et al (2022) Trial of Thrombectomy 6 to 24 Hours after Stroke Due to Basilar-Artery Occlusion. N Engl J Med 387(15):1373–1384CrossRefPubMed
21.
Zurück zum Zitat Tao C, Nogueira RG, Zhu Y, Sun J, Han H, Yuan G et al (2022) Trial of Endovascular Treatment of Acute Basilar-Artery Occlusion. N Engl J Med 387(15):1361–1372CrossRefPubMed
22.
Zurück zum Zitat Liang K, Wang B, Zhao L, Cao Y, Jiang L, Liu Q et al (2023) Management of posterior circulation tandem occlusions in acute ischemic stroke: Recanalize the dominant vertebral artery with priority. Interv Neuroradiol 29(5):570–576CrossRefPubMed
23.
Zurück zum Zitat Kleindorfer DO, Towfighi A, Chaturvedi S, Cockroft KM, Gutierrez J, Lombardi-Hill D et al (2021) 2021 Guideline for the Prevention of Stroke in Patients With Stroke and Transient Ischemic Attack: A Guideline From the American Heart Association/American Stroke Association. Stroke 52(7):e364–e467CrossRefPubMed
24.
Zurück zum Zitat Pan Y, Elm JJ, Li H, Easton JD, Wang Y, Farrant M et al (2019) Outcomes Associated With Clopidogrel-Aspirin Use in Minor Stroke or Transient Ischemic Attack: A Pooled Analysis of Clopidogrel in High-Risk Patients With Acute Non-Disabling Cerebrovascular Events (CHANCE) and Platelet-Oriented Inhibition in New TIA and Minor Ischemic Stroke (POINT) Trials. JAMA Neurol 76(12):1466–1473CrossRefPubMedPubMedCentral
25.
Zurück zum Zitat Johnston SC, Amarenco P, Denison H, Evans SR, Himmelmann A, James S et al (2020) Ticagrelor and Aspirin or Aspirin Alone in Acute Ischemic Stroke or TIA. N Engl J Med 383(3):207–217CrossRefPubMed
26.
Zurück zum Zitat Joa KL, Han TR, Pyun SB, Rah UW, Park JH, Kim YH et al (2015) Inpatient stroke rehabilitation outcomes in Korea derived from the Korean Brain Rehabilitation Centers’ online database system for the years 2007 to 2011. J Korean Med Sci 30(5):644–650CrossRefPubMedPubMedCentral
27.
Zurück zum Zitat Tarnutzer AA, Gold D, Wang Z, Robinson KA, Kattah JC, Mantokoudis G et al (2023) Impact of Clinician Training Background and Stroke Location on Bedside Diagnostic Test Accuracy in the Acute Vestibular Syndrome—A Meta-Analysis. Ann Neurol 94(2):295–308CrossRefPubMedPubMedCentral

Kompaktes Leitlinien-Wissen Neurologie (Link öffnet in neuem Fenster)

Mit medbee Pocketcards schnell und sicher entscheiden.
Leitlinien-Wissen kostenlos und immer griffbereit auf ihrem Desktop, Handy oder Tablet.

Neu im Fachgebiet Neurologie

Als Kind pummelig, als Erwachsener geistig weniger flexibel

Wer bereits in der Kindheit oder Jugend ein ungünstiges kardiovaskuläres Risikoprofil aufweist, muss im jungen Erwachsenenalter mit kognitiven Nachteilen rechnen.

Gesunder Lebensstil bei Parkinson essenziell

Wie sehr Menschen mit Parkinson von körperlicher Aktivität, mediterraner Ernährung und Entspannungsübungen profitieren, zeigt ein Review im Fachblatt „Lancet“. Betroffene können mit entsprechenden Maßnahmen eine deutlich verbesserte Lebensqualität erreichen.

RNA-basierte CAR-T-Zell-Therapie hält Myasthenie in Schach

Eine gegen BCMA gerichtete Therapie mit CAR-T-Zellen kann eine schwere Myasthenia gravis über ein Jahr hinweg gut kontrollieren. Der RNA-basierte Ansatz verursacht zudem kaum Nebenwirkungen, erfordert aber sechs wöchentliche Infusionen.

Kombination von SGLT2-Inhibitor mit Statin ist sicher

Die Rhabdomyolyse ist eine gefürchtete, aber sehr seltene Nebenwirkung von Statinen. Medikamenteninteraktionen können das Risiko erhöhen. Mit SGLT2-Inhibitoren scheint dies nicht der Fall zu sein – die Ko-Therapie könnte das Risiko sogar senken.

Update Neurologie

Bestellen Sie unseren Fach-Newsletter und bleiben Sie gut informiert.

Bildnachweise
Fachperson breitet Infusion vor/© pirke / stock.adobe.com (Symbolbild mit Fotomodellen), Die Leitlinien für Ärztinnen und Ärzte, Untersuchung eines adipösen Kindes/© Colourbox (Symbolbild mit Fotomodell), Senior mit Parkinson hält den Löffel mit zwei Händen/© MarianVejcik / Getty Images / iStock (Symbolbild mit Fotomodell), Störung der Lidhebung bei Myasthenia gravis/© Alessandro Grandini / stock.adobe.com (Symbolbild mit Fotomodell)