Zum Inhalt

HNO

Aktuelle Übersichtsarbeiten

CME: Kutane Arzneimittelreaktionen: Klassifikation, Diagnostik, klinische und therapeutische Konsequenzen

Von milden Symptomen bis hin zu deutlich schwereren Verläufen wie dem Stevens-Johnson-Syndrom (SJS) oder der toxischen epidermalen Nekrolyse (TEN) können kutane Arzneimittelreaktionen sehr unterschiedlich verlaufen. Gibt es neue und präzisere Ansätze für die Diagnostik dieser Erkrankungen und was wissen wir über sie? 
 

Grundprinzipien der rekonstruktiven Dermatochirurgie im Kopf-Hals-Bereich

Plastische Rekonstruktionen im Kopf-Hals-Bereich sind häufige Eingriffe in der Dermatologie. Die theoretischen Grundlagen hierfür als Basis einer erfolgreich durchgeführten Operation werden in der Facharztweiterbildung jedoch wenig vermittelt.

Aktuelle dermatologische Leitlinien in Deutschland: eine Auswahl klinisch relevanter Empfehlungen

  • Open Access
  • Aphthen
  • Übersichtsartikel

Medizinische Leitlinien dienen als systematische Entscheidungshilfen, um eine evidenzbasierte und angemessene ärztliche Vorgehensweise bei bestimmten Krankheitsbildern zu gewährleisten. In Deutschland werden dermatologische Leitlinien unter der …

Objektive Verfahren der Hörprüfung als Beitrag zur wissenschaftlich fundierten Begutachtung

Objektive Hörprüfungsverfahren haben im Gutachten einen hohen Stellenwert, da ihre Ergebnisse von der zu untersuchenden Person nicht manipulierbar sind, sie erhöhen die Richtigkeit, Genauigkeit und diagnostische Tiefe sowie die forensische …

In-vivo-konfokale Lasermikroskopie und keratinozytäre Hauttumoren

Keratinozytäre Hauttumoren zählen zu den häufigsten malignen Hautläsionen weltweit v. a. bei älteren Patient:innen und umfassen ein Spektrum, das von aktinischer Keratose (AK) über Morbus Bowen (MB) bis hin zum invasiven Plattenepithelkarzinom …

Notfallversorgungen in der zahnärztlichen Praxis

Medizinische Notfälle in der Zahnarztpraxis sind selten, aber potenziell lebensbedrohlich. Eine sorgfältige Anamnese und Prävention helfen, Risiken frühzeitig zu erkennen, und das bewährte ABCDE-Schema unterstützt dabei eine strukturierte Notfallversorgung. Neben der frühzeitigen Erkennung und Behandlung ist ein gut geschultes Team essenziell.

Rezidivierendes Fieber - und was dahinterstecken kann

Fieber gehört zu den „Top 5“-Vorstellungsgründen in der Pädiatrie. In der Regel liegt eine Infektion zugrunde. Dauert das Fieber ungewöhnlich lange (mehr als sieben Tage), muss auch an andere Ursachen wie Autoimmunerkrankungen oder gar Malignome …

Postoperatives Wundmanagement nach Kopf-Hals-Gesichtsoperationen

Nach operativen Eingriffen im HNO-Bereich liegt die Verantwortung für die Wundheilung häufig bei niedergelassenen Kolleginnen und Kollegen - oftmals ohne lückenlose Übergabe aus der Klinik. Unterschiedliche Nachsorgekonzepte und fehlende Standards …

Ballondilatation als Alternative zur Chirurgie

  • HNO
  • Übersichtsartikel

Subglottische Trachealstenosen sind für den klinisch tätigen HNO-Arzt besondere Herausforderungen. Die Fallzahlen sind relativ gering und das klinische Bild sehr variabel. Das kritische Gefährdungspotenzial dieser Erkrankung resultiert aus der …

Benötigen wir die endoskopische Mittelohrchirurgie?

Das Endoskop bietet bei der Visualisierung mikroskopisch schlechter oder gar nicht einsehbarer Bereiche des Mittelohres unschätzbare Vorteile. Hierzulande wird die Methode jedoch immer noch mit Skepsis betrachtet. Es lohnt sich daher, die Vor- und Nachteile aus der Sicht von primär mikroskopisch ausgebildeten Mittelohrchirurgen auch audiologisch näher anzusehen.

Herz und Schlaf – ein starkes Team!

Schlafbezogene Atmungsstörungen sind mit einer erhöhten kardiovaskulären Morbidität und Mortalität assoziiert und stellen einen potenziell modifizierbaren Risikofaktor dar. Im Beitrag erfahren Sie, wie Schlafapnoe mit arterieller Hypertonie, koronarer Herzkrankheit oder Herzinsuffizienz zusammenhängt und worauf diagnostisch als auch therapeutische geachtet werden sollte.

Zentrale Schlafapnoe – wenn das Atemzentrum im Schlaf aussetzt

Die zentrale Schlafapnoe (ZSA) ist eine schlafbezogene Atmungsstörung, die durch wiederholte Aussetzer des vom Hirnstamm ausgehenden Atemantriebs während des Schlafs gekennzeichnet ist. Im Gegensatz zur obstruktiven Schlafapnoe liegt bei der ZSA …

Kombinierte Lappenplastiken zur Defektrekonstruktion an der Nase

Die weiterhin stetige Zunahme UV-bedingter nichtmelanozytärer Hauttumoren führt zu einer steigenden Anzahl an Patienten, bei denen mehrere und/oder ausgedehnte Tumoren operativ zu versorgen sind. Rekonstruktionen im Bereich der Nase sind in diesen …

Anwendung moderner Bildgebungsoptionen in der Dermatochirurgie

Die Dermatochirurgie stellt eine zentrale Säule in der Behandlung kutaner Neoplasien dar. Neben der vollständigen Tumorentfernung steht der funktionelle und ästhetische Erhalt im Vordergrund. Klassische histopathologische Verfahren bieten …

Die Videolaryngoskopie auf der Intensivstation – eine aktuelle Bewertung

Die Videolaryngoskopie (VL) ist mit der direkten Laryngoskopie (DL) eine der verwendeten Intubationsmethoden auf der Intensivstation, obwohl unklar ist, ob die routinemäßige Verwendung der VL in diesem Setting sinnvoll ist. Es wurde eine …

Diagnostik und Therapie der eosinophilen Ösophagitis

Die eosinophile Ösophagitis („eosinophilic esophagitis“, EoE) ist eine chronische, durch T‑Helferzellen vom Typ 2 (TH2‑Zellen) immunvermittelte Entzündung der Speiseröhre mit ösophagealer Dysfunktion und eosinophilenprädominanter Inflammation. Die …

Okkulte Mastozytose: Screening lohnt sich auch bei normwertiger Tryptase

Bei schweren anaphylaktischen Reaktionen nach Insektenstichen ohne typische Hautsymptome wie Urtikaria oder Angioödeme sollte stets eine systemische Mastozytose abgeklärt werden. Gerade bei normwertiger Tryptase kann die Erkrankung leicht übersehen werden. Ein Fallbeispiel einer Patientin mit schwerer Wespengiftanaphylaxie.

Update onkologische Sport- und Bewegungstherapie

Inzwischen ist der Nutzen von körperlicher Aktivität und Bewegungstherapie bei Krebskranken durch Studien gut belegt. Aber es gibt in Deutschland durchaus noch Hürden für die Versorgung in der Breite. Welche Effekte hat Bewegung auf Nebenwirkungen und Prognose? Wie lauten aktuelle Empfehlungen? Und wie kann der Zugang zu evidenzbasierten Angeboten erleichtert werden?

Schilddrüsenkrebs - eine unterschätzte Rehaindikation

Schilddrüsenkarzinome haben meist eine gute Prognose. Dennoch fühlen sich die Betroffenen oft sehr belastet. Das Ausmaß von z. B. Angst und Fatigue sowie die Beeinträchtigung der sozialen und sexuellen Gesundheit werden von den Behandelnden zum Teil deutlich unterschätzt. Die onkologische Rehabilitation ist eine gute Möglichkeit, Belastungen zu adressieren und Entlastung zu schaffen.

Biologika in der Therapie der atopischen Dermatitis: zugelassene Wirkstoffe und monoklonale Antikörper in fortgeschrittener klinischer Prüfung

Die atopische Dermatitis (AD) ist die häufigste chronisch-entzündliche Hauterkrankung in den Industrieländern und zeichnet sich durch heterogene (Endo-)Phänotypen sowie eine hohe Krankheitslast aus. In Europa sind derzeit vier Biologika und drei …

Systemische Therapie der atopischen Dermatitis mit Januskinase-Inhibitoren

Hintergrund: In den letzten acht Jahren wurde die Behandlung der atopischen Dermatitis (AD) durch die Entwicklung und Zulassung von neuartigen Systemtherapien geradezu revolutioniert. Mittlerweile stehen neben den Biologika Dupilumab …

Standardtherapie der atopischen Dermatitis - ein Update

Die atopische Dermatitis (AD) ist die häufigste chronisch-entzündliche Hauterkrankung und benötigt eine individualisierte leitlinienbasierte Therapie. Dieser narrative Review gibt ein Update über die Standardtherapie der AD, abhängig vom …

Medikamentöses hypereosinophiles Syndrom in der Praxis

Als seltene Nebenwirkung kann es unter dem IL-4/IL-13-Inhibitor Dupilumab zu einem akuten hypereosinophilen Syndrom mit Pneumonie kommen. Fallbeispiel eines 55-jährigen Asthmatikers.

Wie Riechstörungen objektiv messbar werden

Riechstörungen, die im Kontext eines Arbeitsunfalls auftreten, sind häufig schwer eindeutig zu begutachten. Eine Volumetrie des Bulbus olfactorius (BO) könnte hier eine zuverlässige und objektive Methode sein, um die Funktion des Riechsinns zu evaluieren. Wie ist sie anzuwenden, und welche Fallstricke gibt es?

Line-field konfokale optische Kohärenztomographie und künstliche Intelligenz

Die differenzierte Beurteilung von aktinischer Keratose (AK), Basalzellkarzinom (BCC) und Psoriasis bleibt trotz dermatoskopischer Expertise oft limitiert. Die Line-field konfokale optische Kohärenztomographie (LC-OCT) liefert hochauflösende …

Antibiotische Therapie in der ambulanten Pädiatrie

Antibiotika sollten im klinischen Alltag möglichst gezielt und zurückhaltend eingesetzt werden. Die praktische Umsetzung einer rationalen Antibiotikatherapie ist jedoch nicht einfach, und insbesondere in der kinder- und jugendärztlichen …

Immunresistenz: Wie Tumorzellen dem Immunsystem entwischen

Tumorzellen können sich maskieren oder sie erschweren es Immunzellen zu arbeiten, indem sie den pH-Wert der Tumormikroumgebung verändern. Sie nutzen diese und weitere Mechanismen, um der Kontrolle durch das Immunsystem zu entgehen. Das kann den Verlauf von onkologischen Erkrankung maßgeblich beeinflussen.

Weiterbetreuung von Patienten mit nichtinvasiver Überdrucktherapie

Die richtige Geräteeinstellung und Maskenversorgung bei einer Therapie mit nichtinvasiven Überdruckventilatoren in den möglichen Modi CPAP, APAP und BiPAP („continuous/automatic and BiLevel positive airway pressure“) sowie ASV („assisted …

ISO-Normen in der wissenschaftlich fundierten Begutachtung

  • HNO
  • Leitthema

Auch Normen enthalten Regeln und Leitlinien zur Anwendung. Diese sollen unter anderem auf den gesicherten Ergebnissen von Wissenschaft und Erfahrung basieren und können eine verlässliche Dokumentation von gesichertem Konsens bieten. Im Rahmen von …

Die Inkontinenz der Nase im Alter

Das altersassoziierte Nasenlaufen ist ein verbreitetes, in der klinischen Praxis jedoch häufig unterschätztes Beschwerdebild. Gerade bei älteren Patientinnen und Patienten kann das damit verbundene soziale Stigma die Lebensqualität erheblich beeinträchtigen.

Alter ist keine Diagnose

Was geht Ihnen durch den Kopf, wenn ältere Patientinnen und Patienten über eine ständig tropfende Nase, Hyposmie, viel Sekret, Schwindel, Dysphagie oder Dysphonie berichten? Altersdiskriminierung bzw. Ageismus erfolgt häufig unbewusst. Lesen Sie hier, wie Sie damit produktiv umgehen können.

How To: Transnasale Ösophagoskopie

Die transnasale Funktionsendoskopie des Ösophagus hat sich in den letzten Jahren als wichtiges Diagnosewerkzeug bewährt. Verschiedene Zentren setzen sie schwerpunktmäßig ein. Warum sich eine stärkere Standardisierung lohnt und wie diese aussehen könnte, beschreiben zwei Experten in der folgenden Fortbildung.

Line-field-konfokale optische Kohärenztomographie bei melanozytären Tumoren

Die Line-field-konfokale optische Kohärenztomographie (LC-OCT) ist ein innovatives und nichtinvasives Bildgebungsverfahren, das die Vorteile der konfokalen Lasermikroskopie (KLM) und der optischen Kohärenztomographie (OCT) kombiniert. Bisher …

Ex vivo konfokale Laserscanmikroskopie und künstliche Intelligenz bei Hauttumoren

Die ex vivo konfokale Laserscanmikroskopie (Ex-vivo-KLM) ist eine innovative Diagnostikmethode, mit der Gewebeproben direkt nach der Entnahme digital, schnell und hochauflösend dargestellt werden können. Dadurch erhalten Dermatologinnen und …

Ex vivo konfokale Laserscanmikroskopie in der Dermatologie

Die ex vivo konfokale Laserscanmikroskopie ist eine Weiterentwicklung der in vivo konfokalen Laserscanmikroskopie. Sie erlaubt eine schnelle, nichtinvasive mikroskopische Untersuchung von frisch exzidiertem, unfixiertem Gewebe. Lesen Sie mehr über die Vorteile und die Fehlerquellen dieser Methode.

Das Mikrobiom bei Erkrankungen der Nase und der Nasennebenhöhlen

Das nasale Mikrobiom wird als Synonym für die Summe und die Diversität der Bakterien im Nasenbereich verwendet. Während das Darmmikrobiom in den letzten Jahren aufgrund von Fortschritten bei den Diagnosetechnologien im Mittelpunkt der …

Grundlagen der Mikrobiomforschung

  • Open Access
  • HNO
  • Leitthema

Die Mikrobiomforschung im HNO(Hals-, Nasen- und Ohren)-Bereich hat in den letzten Jahrzehnten erheblich an Bedeutung gewonnen. Dabei haben moderne Sequenzierungsmethoden die traditionelle Kultivierung weitgehend ersetzt. Um zuverlässige und …

Gefährliches Geschenk aus der Heimat

Seit dem Morgen sieht eine 60-Jährige verschwommene Doppelbilder. Sie berichtet, dass sie vor zwei Tagen eingelegten Fisch aus der Dose gegessen und sich mehrfach erbrochen habe. Zunächst scheint diese Info nicht weiter wichtig, doch schnell stellt sich heraus, hier ist was fischig.

„Ozempic-Face“: Wie die Abnehmspritze die Ästhetik verändert

Der Hype um die GLP-1-Rezeptor-Agonisten (GLP-1-RA) wie Semaglutid und Tirzepatid hat in den letzten Jahren stark zugenommen. Sie sind als „Abnehmspritze“ bekannt und werden gerne off-label zur Gewichtsreduktion genutzt. Doch der damit einhergehende schnelle Gewichtsverlust hat auch seine ästhetischen Schattenseiten, darunter das sogenannte „Ozempic-Face“, das durch Volumenverlust im Gesichtsbereich gekennzeichnet ist.

Prä‑, Pro- und Postbiotika – eine Einführung

Das menschliche Mikrobiom besteht aus einer Vielzahl von Mikroorganismen, die essenzielle Funktionen für die Gesundheit erfüllen. Besonders das orale Mikrobiom spielt eine zentrale Rolle in der Mundgesundheit, indem es die Kolonisation pathogener …

IgE immunoadsorption: technical background, functionality, and first clinical experience

Background: The prevalence of allergic diseases has risen in the 21st century, drawing attention to specific therapeutic and preventive strategies. Due to the key role of immunoglobulin E (IgE) in the development of allergic reactions, IgE …

Therapeutische Ansätze bei Nahrungsmittelallergien

Diese Arbeit gibt eine Übersicht über die verschiedenen Therapieoptionen bei Nahrungsmittelallergien, angefangen vom Verzehr stark erhitzter Lebensmittel, über Immuntherapien, Lebensmittel-Leitern bis zur medikamentösen Behandlung.Zitierweise: …

Epidemiologie der Nahrungsmittelallergie

Nahrungsmittelallergien sind mit erheblichen psychosozialen Belastungen und Einschränkungen der Lebensqualität verbunden. Während Eltern oft von Nahrungsmittelallergien bei ihren Kindern berichten, zeigen Studien, dass die wahrgenommene Prävalenz …

Diagnostik von Nahrungsmittelallergien

Allergiediagnostik bei Nahrungsmittelallergien erfordert ein überlegtes Vorgehen vom ersten Schritt an. Ursache ist das häufige Vorliegen von klinisch irrelevanten IgE-Sensibilisierungen bei einer hohen Anzahl an Personen. Die Gleichsetzung von …

Der Einfluss von Ernährungsberatung auf allergische Reaktionen bei Kindern mit Nahrungsmittelallergie

Hintergrund: Ernährungsberatung bei Nahrungsmittelallergien zielt darauf ab, Betroffene dabei zu unterstützen, allergische Reaktionen zu vermeiden. Der konkrete Einfluss dieser Intervention auf die Häufigkeit allergischer Reaktionen ist jedoch …

Gewitterasthma: eine bisher unterschätzte Gefahr

Auch in Deutschland gewinnt das Phänomen Gewitterasthma angesichts der steigenden Pollenbelastung und veränderter Wetterbedingungen durch den Klimawandel immer mehr an Bedeutung. Doch was genau steckt hinter den Symptomen?

Stellenwert der Videolaryngoskopie als flächendeckende primäre Intubationstechnik für die anästhesiologische Praxis

Laut den Daten der Weltgesundheitsorganisation (WHO) werden weltweit jährlich etwa 300 Mio. chirurgische Eingriffe durchgeführt. Der Großteil dieser Eingriffe erfolgt in Allgemeinanästhesie, wobei bei mehr als der Hälfte der Eingriffe eine …

Therapie des oralen Lichen planus – eine aktuelle Übersicht

Bis heute gibt es noch keine Standardtherapie für den Lichen planus mucosus (MLP). Gerade für Betroffene mit einer ulzerierenden Form dieser chronisch rezidivierenden, entzündlichen T-Zell-Erkrankung der Schleimhäute ist es schwierig, eine konsistent wirksame Therapie zu finden. Was gibt es da Neues?

Entzündliche Erkrankungen des Felsenbeins

Meistens können entzündliche Erkrankungen des Felsenbeins klinisch diagnostiziert werden. Bei bestimmten Krankheitsentitäten muss jedoch die Ausdehnung des Befundes mithilfe der Schnittbildgebung erfasst oder es müssen wichtige Komplikationen ausgeschlossen werden. In diesem Artikel werden die wichtigsten entzündlichen Läsionen des Schläfenbeins und des Mittelohrs sowie die Differenzialdiagnosen besprochen.

Ohrenschmerzen und anhaltende Otorrhö – Wie gehen Sie weiter vor?

Ein 28-jähriger Mann stellt sich mit erstmalig aufgetretener Otorrhö rechts vor, die bereits seit zweieinhalb Wochen anhält. Zudem bestehen Juckreiz im Gehörgang, ein rauschendes Ohrgeräusch und Otalgie.

Objektive Bewertung peripherer Vestibulopathien als Beitrag zur wissenschaftlich fundierten HNO-Begutachtung

Der wissenschaftliche Fortschritt in der Therapie von Schwindelsyndromen hat zu einem Paradigmenwechsel in der diagnostischen Herangehensweise, einem einheitlichen Vokabular und international standardisierten Kriterien geführt. Objektive Methoden …

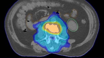
Neues in der Radiochemotherapie von Kopf-Hals-Tumoren

Erste Studien deuten darauf hin, dass eine Deeskalation der Radiochemotherapie bei nichtmetastasierten Kopf-Hals-Tumoren möglich ist – insbesondere bei HPV-positiven Karzinomen. Hypoxiesensitive Bildgebung könnte die Patientenselektion unterstützen. Gleichzeitig zeichnet sich die perioperative Checkpointinhibition als potenzieller neuer Standard bei resektablen HNSCC ab.


N-Cadherin als neuer diagnostischer Marker

Die Differentialdiagnose intrahepatischer Cholangiokarzinome (iCCA), hepatozellulärer Karzinome (HCC) und von Lebermetastasen extrahepatischer Primärtumoren ist von entscheidender diagnostischer Bedeutung, kann sich jedoch schwierig gestalten.

Schwindelsymptomatik und Bogengangdehiszenzsyndrom

„Der Patient hat Schwindel.“ Schwindel – ein Symptom, das so vielseitig ist wie die Ursachen, die dahinterstecken können und rein bildmorphologisch oft schwer zu fassen ist. Multimodales Vorgehen und interdisziplinäre Zusammenarbeit sind hier die …

Upper-Airway-Cough-Syndrom

Unter dem Begriff Upper-Airway-Cough-Syndrom (UACS) wird ein chronischer Husten bezeichnet, der durch eine Vielzahl von Erkrankungen der oberen Atemwege, wie z. B. eine chronische Rhinosinusitis, ausgelöst werden kann. Lesen Sie hier mehr zur möglichen Pathophysiologie, Diagnostik und zukünftigen Therapien.

Update Kopf-Hals-Tumoren 2025

Die Primärtherapie von Kopf-Hals-Tumoren besteht nach wie vor meist in der chirurgischen Resektion. Die Radio(chemo)therapie spielt bei der multidisziplinären Behandlung eine zentrale Rolle. Medikamentöse Therapien, u. a. mit Immuncheckpointinhibitoren, finden bislang vor allem im palliativen Stadium Anwendung, werden jedoch zunehmend für den neoadjuvanten und adjuvanten Einsatz untersucht.

Besondere tympanometrische Befunde: Was tun bei zwei Gipfeln?

Bei Verdacht auf eine Schwerhörigkeit wird in aller Regel ein Tympanogramm angefertigt, um die Schallleitungsfähigkeit des Mittelohres zu untersuchen. Gelegentlich zeigt dieses aber nicht den typischen Kurvenverlauf mit einem Gipfelwert, sondern mit zwei Gipfeln. Was heißt das?

Stimmlippeninjektion in der HNO-Praxis

Stimmlippeninjektionen am wachen Patientinnnen und Patienten haben sich als minimalinvasive, effektive Methode zur Behandlung von Stimmstörungen etabliert. Die Injektion kann ambulant durchgeführt werden und stellt eine patientenfreundliche Alternative zur Operation in Vollnarkose dar.

Funktionelle Anwendungen mit Botulinumtoxin in der HNO-Praxis

Botulinumtoxin (BTX) in der ästhetischen Medizin ist ein Klassiker. Darüber hinaus gibt es aber auch viele funktionelle Anwendungsmöglichkeiten. Denn mit BTX lassen sich verschiedenste Symptome und Krankheitsbilder minimalinvasiv behandeln, die therapeutisch zum Teil sonst nur schwer zugänglich sind. 

Lokoregionale Anästhesie in der HNO

In der HNO-Heilkunde, wo nahezu alle Eingriffe empfindliche Bereiche betreffen, sind Anästhetika unverzichtbar. Durch die Kombination bewährter Rezepturen mit modernen Entwicklungen kann die Lokalanästhesie passgenau und den individuellen Erfordernissen entsprechend gestaltet werden. 

Empfehlung zur allergikerfreundlichen Bepflanzung von Städten unter Berücksichtigung des Klimawandels

Der Klimawandel führt insbesondere in Städten zu Veränderungen von Temperaturen und Pollenexposition, besonders die erhöhten Sommertemperaturen vermindern das Wohlbefinden für die Mehrheit der Stadtbevölkerung. Sowohl den erhöhten Temperaturen als …

CME: Allergen-Immuntherapie im Kindes- und Jugendalter im Jahr 2025

Mit der Neuzulassung zweier SLIT-Präparate für Hausstaubmilben und Birkenpollen für Kinder ab fünf Jahren kommt die Allergen-Immuntherapie (AIT) im Kindes- und Jugendalter langsam aus der Talsohle der letzten Jahre heraus. Was es beim Einsatz der AIT bei Kindern und Jugendlichen noch zu beachten gibt, lesen Sie im folgenden CME-Artikel.

Neue therapeutische Entwicklungen bei Oligometastasierung

Es gibt zunehmende Evidenz für die stereotaktische Strahlentherapie (SBRT) sämtlicher Metastasen bei oligometastasierten Tumorerkrankungen wie beispielsweise Kopf-Hals-Tumoren. Zudem wird die Kombination aus Immuntherapie und SBRT auch bei Oligometastasierung geprüft. Und bei einigen Entitäten zeigt die Metastasenchirurgie Überlebensvorteile. 


Lungenkrebs: Das ist in der hausärztlichen Praxis zu tun

Lung cancer is one of the most common and deadliest forms of cancer worldwide. General practitioners play a crucial role in early detection, monitoring and coordination of treatment. Comprehensive knowledge of risk factors, symptoms, diagnostics …

Wie Sie die Tumoren des Felsenbeins in der Bildgebung unterscheiden können

Obwohl Tumoren des Felsenbeins insgesamt selten sind, haben sie aufgrund der komplexen anatomischen Verhältnisse und der Nähe zu kritischen Strukturen am Schädel eine hohe Priorität in der Diagnostik. Was muss bei der Bildgebung alles beachtet werden, um die diversen Entitäten sicher zu unterscheiden?

Aktualisierte Schimmelpilzleitlinie

Eine erhöhte Schimmelpilzbelastung kann bei Menschen unter anderem zu Sensibilisierungen und allergischen Erkrankungen führen. Welche Schimmelpilzallergene sind besonders relevant? Und welche diagnostischen Möglichkeiten sollten gemäß der aktualisierten Leitlinie eingesetzt werden?

Psychische Belastung und psychiatrische Komorbidität in der Therapie von Schluckstörungen bei Patienten mit Kopf-Hals-Tumoren

Neben der Beeinträchtigung von Atmung und Stimme stellt die Dysphagie, im Sinne einer Störung der natürlichen Nahrungsaufnahme, die größte funktionelle Einschränkung für Patienten mit Kopf-Hals-Tumoren dar [ 17 ]. An einem typischen …

Klein, aber mit großer Wirkung: Nanopartikel bei Kopf-Hals-Tumoren

Was Nanopartikel so besonders macht, sind ihre vergleichsweise große Oberfläche im Verhältnis zu ihrem Volumen. Das macht sie zu vielseitigen Werkzeug auf Zellebene für die Krebstherapie. Einen Überblick über die neusten Entwicklungen und Anwendungen von Nanopartikeln in der Kopf-Hals-Onkologie.

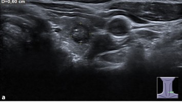
Update Medulläres Schilddrüsenkarzinom – Was ist für die Chirurgie relevant?

Leitlinien zur Behandlung des medullären Schilddrüsenkarzinom (MTC) sind aktuell national und international in Überarbeitung. Ihre Veröffentlichung wird mehrheitlich noch in diesem Jahr erwartet. In diesem Übersichtsbeitrag werden relevante Aspekte für die chirurgische Behandlung des MTC unter Berücksichtigung neuerer Entwicklungen und in Erwartung dieser Leitlinien kurz dargestellt.

Evidenzbasierte Phytotherapie in der HNO-Heilkunde – das Update

Welche Phytopharmaka spielen in der HNO-Heilkunde eine Rolle und gibt es dazu evidenzbasierte Daten? Dieser Frage ist dieses Review nachgegangen, in denen die aktuellsten Studien zur Phytotherapie für verschiedenste Anwendungen im Nasen-Rachen-Raum kritisch beurteilt werden.

Wie gelingt eine erfolgreiche Stereotaxie bei Oligometastasierung?

Die Hochpräzisionsbestrahlung bzw. Stereotaxie spielt eine zentrale Rolle bei oligometastatischen Tumoren. Relevante technischen und prozeduralen Anforderungen wurden durch entsprechende Fachgesellschaften definiert. Darüber hinaus spielen moderne bildgebende Verfahren eine zentrale Rolle bei der Ausbreitungsdiagnostik, Zielvolumendefinition und Beurteilung des Therapieansprechens.

Chronischer Husten: Symptom oder Krankheit?

Die Prävalenz des chronischen, d. h. über 8 Wochen anhaltenden Hustens liegt in verschiedenen europäischen Ländern zwischen 4 und 10,9 %. Husten wird in den pneumologischen Textbüchern als charakteristisches Symptom beinahe aller pneumologischen …

Handreichung zur Epikutantestung mit patienteneigenen Substanzen in der Berufsdermatologie

  • GOÄ
  • Übersichtsartikel

Allergische Kontaktekzeme zählen zu den häufigsten beruflich bedingten Hauterkrankungen. Aufgrund der begrenzten Verfügbarkeit kommerzieller Epikutantestsubstanzen kommt der Epikutantestung mit patienteneigenen Substanzen (PS) im Rahmen der …

Was ist Glück? Und was hat die HNO-Heilkunde damit zu tun?

Glück ist ein Thema, das den meisten Menschen in unserer Gesellschaft wichtig ist, obwohl es in politischen und gesellschaftlichen Zielsetzungen nur eine untergeordnete Rolle spielt. Welche Evidenz es zu dieser Frage gibt und warum die HNO-Heilkunde dabei eine zentrale Rolle spielt, erläutern die Autoren in diesem Beitrag.

Was, wenn es ein refluxassoziierter Husten ist?

Kann ein gastroösophagealer Reflux Husten auslösen? Und wenn ja, inwieweit könnten Protonenpumpeninhibitoren (PPI) hier angewendet werden? Welche Evidenz es dazu gibt, wurde im folgenden Beitrag zusammengetragen.

Medikamentöse Tumortherapie von Kopf-Hals-Tumoren: zwischen Standardisierung und Personalisierung

In der medikamentösen Tumortherapie von Kopf-Hals-Malignomen gab es insbesondere in der palliativen Therapie neue Zulassungen, die zur Änderung von Therapiestandards führten. Gleichzeitig bestehen für einige Therapien molekulare Biomarker, die …

Der blaue Laser in der Otorhinolaryngologie

  • Laser
  • Übersichtsartikel

Die Lasertechnologie hat die chirurgischen Interventionen in der Otorhinolaryngologie revolutioniert, indem sie eine präzise Gewebsinteraktion mit minimaler thermischer Schädigung ermöglicht. 

Frührehabilitation der Stimme nach Stimmlippenoperationen

Die Empfehlungen zum Umgang mit der Stimme nach einer Stimmlippenoperation variieren weltweit erheblich. Traditionell wurde eine verlängerte Phase der Stimmruhe empfohlen. Neuere Daten deuten jedoch darauf hin, dass eine frühzeitige, kontrollierte Stimmaktivierung die funktionellen Ergebnisse verbessern kann

Die Altersstimme erkennen und behandeln

Altersbedingte Veränderungen der Stimme zeichnen sich durch einen leisen und heiseren Stimmklang aus. Bei Männern klingt die Stimme oft höher und bei Frauen eher tiefer.Geht die Stimmveränderung mit einem Leidensdruck einher, sollte zum Ausschluss anderer Pathologien eine laryngoskopische Untersuchung erfolgen.

Gewitterasthma – eine unterschätzte Gefahr

Gewitterasthma ist zwar selten, aber potenziell lebensbedrohlich, v. a. für Menschen mit allergischen Atemwegserkrankungen. Auch in Deutschland gewinnt das Phänomen an Bedeutung. Doch was genau steckt hinter den Symptomen?

Individualisierung und Standardisierung in der Kopf-Hals-Pathologie

Individualisierung und Standardisierung sind scheinbar widersprüchliche Anforderungen in der Medizin. In der Tumorbehandlung von Kopf-Hals-Karzinomen haben beide Begriffe direkten Einfluss auf die Diagnostik, welche üblicherweise in pathologischen …

Wie Sie die neuen Therapieziele bei chronischer Rhinosinusitis erreichen

Da die chronische Rhinosinusitis eine starke Belastung sein kann, sollten die Betroffenen auch eine ausreichende Therapie erhalten. Mit der Einführung von Biologika haben sich neue Behandlungsmöglichkeiten ergeben. Wann diese zum Einsatz kommen, lesen Sie hier.

Diagnostik und Therapie bei Schwindel

Im Nachgang an eine publizierte Umfrage unter Schweizer Primärversorger:innen und neurootologischen Spezialist:innen (HNO-Heilkunde, Neurologie) zum Thema Diagnostik und Therapie bei Schwindel wurde eine interdisziplinäre Arbeitsgruppe …

Orale Hyposensibilisierung jetzt auch bei Kindern?

In den letzten Jahren hat sich neben der subkutanen Therapie die orale Hyposensibilisierung etabliert. Sie gewinnt insbesondere bei der Behandlung von Kindern zunehmend an Bedeutung, denn sie verspricht eine Reihe von Vorteilen.

Neue systemische Therapieansätze bei malignen Augenlidtumoren

Maligne Tumoren der Augenlider stellen eine diagnostische und therapeutische Herausforderung dar. Insbesondere in fortgeschrittenen und metastasierten Stadien gewinnen moderne Behandlungsansätze wie zielgerichtete Therapien und Immuntherapien …

Chronischer Tinnitus aus psychologischer Sicht

Chronischer Tinnitus ist ein belastendes Phänomen, das in der chronischen Phase zuvorderst psychologisch aufrechterhalten wird. Die psychosomatischen Wechselwirkungen sind komplex und hierbei zentral. Was der aktuelle Wissensstand ist und wie Sie ihn in die Praxis integrieren können, erfahren Sie hier.

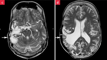
Normaler Verlauf nach Hirntumor?

Der Fall eines 52-jährigen Mannes verdeutlicht, warum es sinnvoll ist, Diagnosen zu hinterfragen. Er kam mit seinem Betreuer zur Kontrolle nach einem Anfallsrezidiv. Anamnestisch lag ein Astrozytom vor, das bereits mehrfach operiert wurde. Auffällig waren seine Schwerhörigkeit und sein unsicherer Gang.

Anpassung von Cochleaimplantatsystemen

Die technische Anpassung von Cochleaimplantat(CI)-Systemen ist ein zentraler Bestandteil des Versorgungsprozesses. Einerseits besteht dieser aus einem standardisierten Vorgehen, andererseits werden individuelle Bedürfnisse des Patienten …

Das Interesse an der Schilddrüse steigt – eine Übersicht für die HNO

Das vorliegende Referat gibt einen Überblick als Einstiegshilfe zur Schilddrüse. Zuerst werden die chirurgische Anatomie und die Physiologie dargestellt. Im Weiteren werden die häufigsten benignen und malignen Erkrankungen der Schilddrüse skizziert. 

Krebsnachsorge leicht gemacht

Die lebenslange Betreuung von „Cancer Survivors“ wird zunehmend zur Realität. In der Nachsorge müssen die behandelnden Ärztinnen und Ärzte die genaue Therapie und ihren Verlauf berücksichtigen. Ein Survivorship-Pass könnte ihnen dabei helfen.

Wie Sie Nebenwirkungen der Checkpoint-Inhibition erkennen und behandeln

Immunvermittelte Nebenwirkungen (irAE) treten abhängig vom Wirkstoff häufig in bestimmten Zeitspannen auf und können unterschiedliche Organe betreffen. Mit einem Fokus auf gastrointestinale Nebenwirkungen lesen Sie, wie sie den Schweregrad von irAE einordnen können. Das hilft Ihnen zu entscheiden, ob Kortikosteroide erforderlich oder ein Abbruch der ICI-Therapie nötig ist.

Verschiedene immunologische Typen der CRSwNP im Kontext der neuen Europäischen EAACI-Nomenklatur

  • Open Access
  • Zytokine
  • Übersichtsartikel

Der vorliegenden Publikation liegt ein Positionspapier der europäischen Akademie für Allergie und klinische Immunologie (EAACI) zugrunde, in dem eine modernisierte und erweiterte Klassifikation von Hypersensitivitätsreaktionen vorgestellt wird [ 22 …]. Diese wurde inzwischen auch an das deutsche Gesundheitssystem angepasst [

So gehen Sie der richtigen Ursache von Schwindel auf den Grund

Da Schwindel diverse Ursachen hat, die über Fachgebietsgrenzen führen, sehen sich Ärztinnen und Ärzte trotz standardisierten Vorgehens mit einer großen diagnostischen Aufgabe konfrontiert. Dieser Beitrag stellt die häufigsten und seltensten Schwindelsyndrome auf dem aktuellen Stand des Wissens vor.

Lymphknotenschwellung – Infektion oder Malignom?

Eine passagere Schwellung von Lymphknoten ist häufig unkritisch. Aus infektiologischer und onkologischer Sicht sind vor allem solche vergrößerten Lymphknoten abklärungsbedürftig, die länger als zwei Wochen bleiben oder mit der Zeit größer werden.

Neu im Fachgebiet HNO

Erste positive Daten zu Kopf-Hals-Tumoren in der Neoadjuvanz

Auch bei Kopf-Hals-Tumoren eröffnen Checkpoint-Inhibitoren neue Behandlungsmöglichkeiten. Nachdem die adjuvante Gabe wenig erfolgreiche Studienergebnisse hervorbrachte, wird nun der Fokus auf die neoadjuvante und perioperative Gabe gelegt – mit ersten Erfolgen.

Hartnäckige Hyponatriämie als erstes Krebsanzeichen

Trotz eines Olfaktoriusneuroblastoms ist eine 36-Jährige komplett frei von sinunasalen Beschwerden. Glücklicherweise führt eine anhaltende Hyponatriämie auf die Spur des Tumors.

Bundesverfassungsgericht: Triage-Regelung nicht mit Grundgesetz vereinbar

Das Bundesverfassungsgericht hat Regelungen zur Triage für nichtig erklärt. Es gab damit Verfassungsbeschwerden von Intensiv- und Notfallmedizinern statt. Der Eingriff in die Berufsfreiheit der Ärztinnen und Ärzte sei verfassungsrechtlich nicht gerechtfertigt, betont das Gericht.

Langzeitbeobachtung von oralen Präkanzerosen lohnt sich

Personen mit potenziell malignen Erkrankungen der Mundhöhle wie Leukoplakien entwickeln primär in den ersten fünf Jahren nach der Diagnose einen bösartigen Tumor. Danach ist das Transformationsrisiko zwar geringer, liegt aber noch immer bei mehr als 1%.

Update HNO

Bestellen Sie unseren Fach-Newsletter und bleiben Sie gut informiert – ganz bequem per eMail.

Bildnachweise
Kutane Arzneimittelreaktion/© Hötzenecker, W., Heimlich-Manöver/© Widmer, N; Heimes, D / all rights reserved Springer Medizin Verlag GmbH, Aufbau bei einer endoskopische Mittelohrchirurgie/© Mir-Salim P., Berlin, Wespen auf Stein/© merlion / Getty Images / iStock (Symbolbild), Schilddrüse einer Patientin wird untersucht/© Werner / stock.adobe.com (Symbolbild mit Fotmodellen), Volumetrie des Bulbus olfactorius/© Keweloh S.. et al. doi.org/10.1007/s00106-025-01650-z unter CC-BY 4.0, Augen und Nase einer Frau/© AlexanderFord / Getty Images / iStock (Symbolbild mit Fotomodell), Eine ältere Frau schaut in die Ferne/© RgStudio / Getty Images / iStock (Symbolbild mit Fotomodell), Transnasales Ösophagoskop/© F. Michel, Seeheim-Jugenheim, Ex vivo konfokales Laserscanmikroskopiebild eines Morbus Bowen/© Grunewald S et al. / all rights reserved Springer Medizin Verlag GmbH, Einweckglas mit Hering/© FoodieMedia / Getty Images / iStock (Symbolbild), Zwei Injektionspens mit Semaglutid/© Kassandra / Stock.adobe.com, Gewitter mit Blitzschlag/© solarseven / Getty images / iStock, Ulzerative Form des oralen Lichen planus/© Abdusalamov K. et al. doi.org/10.1007/s00105-025-05540-x unter CC-BY 4.0, Otitis externa/© Dr. P. Marazzi / Science Photo Library (Symbolbild), VMAT-Bestrahlungsplan einer definitiven Radiochemotherapie eines linksseitigen, lokal fortgeschrittenen Tonsillenkarzinoms/© Schnellhardt, S et al. / all rights reserved Springer Medizin Verlag GmbH, Frau hustet/© Suzi Media Production / Getty Images / iStock (Symbolbild mit Fotomodell), Tympanometrie bei einer Frau/© Viacheslav Yakobchuk (Symbolbild mit Fotomodell), Stimmlippeninjektion in der HNO-Praxis/© Markus Hess, Mann erhält eine Spritze im Gesicht/© Alvaro / Stock.adobe.com (Symbolbild mit Fotomodell), Ein Arzt sprüht ein antimikrobielles und entzündungshemmendes Spray in den entzündeten Hals eines Mädchens./© HENADZY / Stock.adobe.com (Symbolbild mit Fotomodell), Junger Mensch bekommt Spritze verabreicht/© mapo / Getty Images / iStock (Symbolbild mit Fotomodellen), Bestrahlungsplans einer Wirbelsäulenmetastase eines oligometastasierten Prostatakarzinoms/© Springer Medizin Verlag GmbH, Cholesterolgranulom im MRT/© Frederik F/ all rights reserved Springer Medizin Verlag GmbH, Schimmelbefall an der Wand/© Bigy / Stock.adobe.com (Symbolbild), Rasterelektronenmikroskopische Aufnahme von Nanopartikeln/© Hansen S. et al. doi.org/10.1007/s00106-025-01633-0 unter CC-BY 4.0, Medulläres Schilddrüsenkarzinom linker Schilddrüsenlappen in der Sonographie/© Lorenz K et al. / all rights reserved Springer Medizin Verlag GmbH, Sonnenhüte (Echinacea)/© Wieland Teixeira / Getty Images / iStock (Symbolbild mit Fotomodell), Körperstereotaxie einer Lebermetastase im Segment VIII am MR-LINAC/© Ehret, F. et al. / all rights reserved Springer Medizin Verlag GmbH, Eine ältere Frau riecht an einem Basilikumblatt/© Halfpoint / Stock.adobe.com (Symbolbild mit Fotomodell), Mann hustet/© kostyha / stock.adobe.com (Symbolbild mit Fotomodell), Titel/© J. Hornung, Erlangen, Senior hält sich vor Schmerzen an den Hals/© brizmaker / Getty Images / iStock (Symbolbild mit Fotomodell), Chor von älteren Menschen/© Highwaystarz-Photography / Getty (Symbolbild mit Fotomodellen), Eine junge Frau spült sich mir einer Nasenspülung die Nase/© puhhha / Getty Images / iStock (Symbolbild mit Fotomodell), Kleiner Junge mit Pille auf der Zunge/© redpepper82 / stock.adobe.com (Symbolbild mit Fotomodell), Frau mit Kopfschmerzen/© MaximFesenko / Getty Images / iStock (Symbolbild mit Fotomodell), Normaler Verlauf nach Hirntumor?/© Wolfgang Freund, Szintigraphie der Schilddrüse mit zwei Knoten/© AniphaeS / Getty Images / iStock, Patient mit Bauchschmerzen beim Arzt/© anon / Stock.adobe.com (Ausschnitt; Symbolbild mit Fotomodellen), Mann erleidet Schwindel/© Tunatura / Getty Images / iStock (Symbolbild mit Fotomodell), Ärztin untersucht ältere Frau/© peopleimages.com / stock.adobe.com (Symbolbild mit Fotomodellen), Infusion/© georgeoprea9 / Getty Images / iStock, Frau wird Blut abgenommen/© andresr / Getty Images / iStock (Symbolbild mit Fotomodellen), Junge Ärztin vor einem Triage-Zelt/© Milos / Stock.adobe.com (Symbolbild mit Fotomodell)